Significance of Wnt/β-Catenin Signal Activation for Resistance to Neoadjuvant Chemoradiotherapy in Rectal Cancer
Abstract
1. Introduction
2. Materials and Methods
2.1. Study Population
2.2. Treatment Strategy
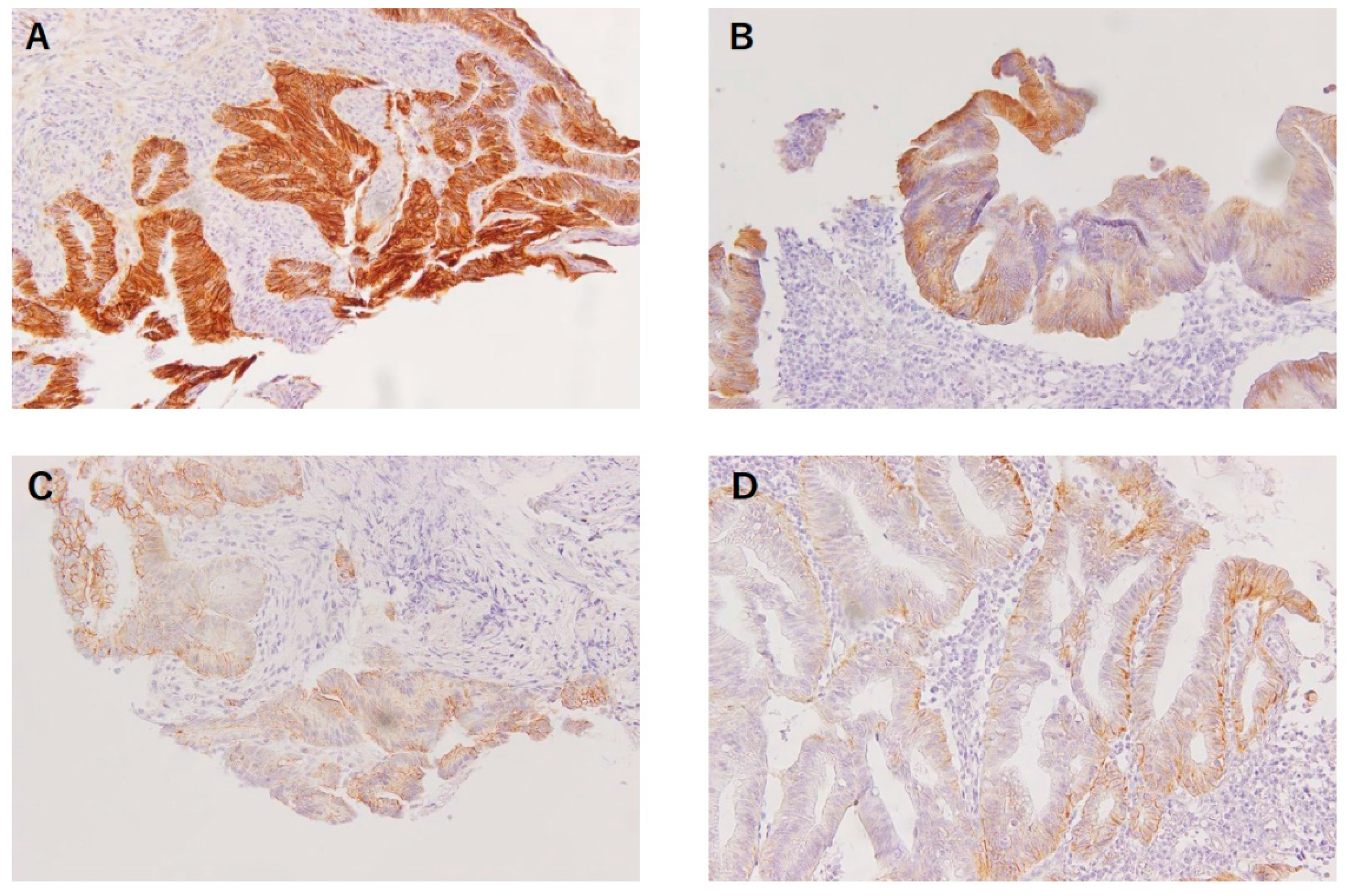
2.3. β-Catenin Immunostaining
2.4. Statistical Analysis
3. Results
4. Discussion
Author Contributions
Funding
Institutional Review Board Statement
Informed Consent Statement
Data Availability Statement
Conflicts of Interest
References
- Bosset, J.F.; Collette, L.; Calais, G.; Mineur, L.; Maingon, P.; Radosevic-Jelic, L.; Daban, A.; Bardet, E.; Beny, A.; Ollier, J.C. Chemotherapy with preoperative radiotherapy in rectal cancer. N. Engl. J. Med. 2006, 355, 1114–1123. [Google Scholar] [CrossRef] [PubMed]
- Gérard, J.P.; Conroy, T.; Bonnetain, F.; Bouché, O.; Chapet, O.; Closon-Dejardin, M.T.; Untereiner, M.; Leduc, B.; Francois, E.; Maurel, J.; et al. Preoperative radiotherapy with or without concurrent fluorouracil and leucovorin in T3-4 rectal cancers: Results of FFCD 9203. J. Clin. Oncol. 2006, 24, 4620–4625. [Google Scholar] [CrossRef] [PubMed]
- Sauer, R.; Becker, H.; Hohenberger, W.; Rödel, C.; Wittekind, C.; Fietkau, R.; Martus, P.; Tschmelitsch, J.; Hager, E.; Hess, C.F.; et al. Preoperative versus postoperative chemoradiotherapy for rectal cancer. N. Engl. J. Med. 2004, 351, 1731–1740. [Google Scholar] [CrossRef]
- Cunningham, D.; Atkin, W.; Lenz, H.J.; Lynch, H.T.; Minsky, B.; Nordlinger, B.; Starling, N. Colorectal cancer. Lancet 2010, 375, 1030–1047. [Google Scholar] [CrossRef] [PubMed]
- Grade, M.; Wolff, H.A.; Gaedcke, J.; Ghadimi, B.M. The molecular basis of chemoradiosensitivity in rectal cancer: Implications for personalized therapies. Langenbecks Arch. Surg. 2012, 397, 543–555. [Google Scholar] [CrossRef]
- Rödel, C.; Hofheinz, R.; Liersch, T. Rectal cancer: State of the art in 2012. Curr. Opin. Oncol. 2012, 24, 441–447. [Google Scholar] [CrossRef]
- Janjan, N.A.; Crane, C.; Feig, B.W.; Cleary, K.; Dubrow, R.; Curley, S.; Vauthey, J.N.; Lynch, P.; Ellis, L.M.; Wolff, R.; et al. Improved overall survival among responders to preoperative chemoradiation for locally advanced rectal cancer. Am. J. Clin. Oncol. 2001, 24, 107–112. [Google Scholar] [CrossRef]
- Maas, M.; Nelemans, P.J.; Valentini, V.; Das, P.; Rödel, C.; Kuo, L.J.; Calvo, F.A.; García-Aguilar, J.; Glynne-Jones, R.; Haustermans, K.; et al. Long-term outcome in patients with a pathological complete response after chemoradiation for rectal cancer: A pooled analysis of individual patient data. Lancet Oncol. 2010, 11, 835–844. [Google Scholar] [CrossRef]
- Tomono, A.; Yamashita, K.; Kanemitsu, K.; Sumi, Y.; Yamamoto, M.; Kanaji, S.; Imanishi, T.; Nakamura, T.; Suzuki, S.; Tanaka, K.; et al. Prognostic significance of pathological response to preoperative chemoradiotherapy in patients with locally advanced rectal cancer. Int. J. Clin. Oncol. 2016, 21, 344–349. [Google Scholar] [CrossRef]
- Anastas, J.N.; Moon, R.T. WNT signalling pathways as therapeutic targets in cancer. Nat. Rev. Cancer 2013, 13, 11–26. [Google Scholar] [CrossRef]
- Clevers, H.; Nusse, R. Wnt/β-catenin signaling and disease. Cell 2012, 149, 1192–1205. [Google Scholar] [CrossRef]
- Nusse, R.; Clevers, H. Wnt/β-Catenin Signaling, Disease, and Emerging Therapeutic Modalities. Cell 2017, 169, 985–999. [Google Scholar] [CrossRef]
- Masuda, M.; Uno, Y.; Ohbayashi, N.; Ohata, H.; Mimata, A.; Kukimoto-Niino, M.; Moriyama, H.; Kashimoto, S.; Inoue, T.; Goto, N.; et al. TNIK inhibition abrogates colorectal cancer stemness. Nat. Commun. 2016, 7, 12586. [Google Scholar] [CrossRef]
- Clevers, H. The cancer stem cell: Premises, promises and challenges. Nat. Med. 2011, 17, 313–319. [Google Scholar] [CrossRef]
- Mani, S.A.; Guo, W.; Liao, M.J.; Eaton, E.N.; Ayyanan, A.; Zhou, A.Y.; Brooks, M.; Reinhard, F.; Zhang, C.C.; Shipitsin, M.; et al. The epithelial-mesenchymal transition generates cells with properties of stem cells. Cell 2008, 133, 704–715. [Google Scholar] [CrossRef]
- Merlos-Suárez, A.; Barriga, F.M.; Jung, P.; Iglesias, M.; Céspedes, M.V.; Rossell, D.; Sevillano, M.; Hernando-Momblona, X.; da Silva-Diz, V.; Muñoz, P.; et al. The intestinal stem cell signature identifies colorectal cancer stem cells and predicts disease relapse. Cell Stem Cell 2011, 8, 511–524. [Google Scholar] [CrossRef]
- Emons, G.; Spitzner, M.; Reineke, S.; Möller, J.; Auslander, N.; Kramer, F.; Hu, Y.; Beissbarth, T.; Wolff, H.A.; Rave-Fränk, M.; et al. Chemoradiotherapy Resistance in Colorectal Cancer Cells is Mediated by Wnt/β-catenin Signaling. Mol. Cancer Res. 2017, 15, 1481–1490. [Google Scholar] [CrossRef]
- Gomez-Millan, J.; Perez, L.; Aroca, I.; Del Mar Delgado, M.; De Luque, V.; Román, A.; Torres, E.; Ramos, S.; Perez, S.; Bayo, E.; et al. Preoperative chemoradiotherapy in rectal cancer induces changes in the expression of nuclear β-catenin: Prognostic significance. BMC Cancer 2014, 14, 192. [Google Scholar] [CrossRef]
- Takahashi, H.; Nakamura, K.; Usami, A.; Tsuruta, T.; Hashimura, M.; Matsumoto, T.; Saegusa, M. Possible role of nuclear β-catenin in resistance to preoperative chemoradiotherapy in locally advanced rectal cancer. Histopathology 2017, 71, 227–237. [Google Scholar] [CrossRef]
- Weiser, M.R. AJCC 8th Edition: Colorectal Cancer. Ann. Surg. Oncol. 2018, 25, 1454–1455. [Google Scholar] [CrossRef]
- Matsuda, T.; Sumi, Y.; Yamashita, K.; Hasegawa, H.; Yamamoto, M.; Matsuda, Y.; Kanaji, S.; Oshikiri, T.; Nakamura, T.; Suzuki, S.; et al. Outcomes and prognostic factors of selective lateral pelvic lymph node dissection with preoperative chemoradiotherapy for locally advanced rectal cancer. Int. J. Colorectal. Dis. 2018, 33, 367–374. [Google Scholar] [CrossRef] [PubMed]
- Hashiguchi, Y.; Muro, K.; Saito, Y.; Ito, Y.; Ajioka, Y.; Hamaguchi, T.; Hasegawa, K.; Hotta, K.; Ishida, H.; Ishiguro, M.; et al. Japanese Society for Cancer of the Colon and Rectum (JSCCR) guidelines 2019 for the treatment of colorectal cancer. Int. J. Clin. Oncol. 2020, 25, 1–42. [Google Scholar] [CrossRef] [PubMed]
- Gomez-Millan, J.; Queipo, M.I.; Del Mar Delgado, M.; Perez-Villa, L.; Roman, A.; De la Portilla, F.; Torres, E.; De Luque, V.; Bayo, E.; Medina, J.A. The impact of body mass index and nuclear β-catenin on survival in locally advanced rectal cancer treated with preoperative radiochemotherapy. J. Surg. Oncol. 2017, 115, 301–306. [Google Scholar] [CrossRef] [PubMed]
- Stanczak, A.; Stec, R.; Bodnar, L.; Olszewski, W.; Cichowicz, M.; Kozlowski, W.; Szczylik, C.; Pietrucha, T.; Wieczorek, M.; Lamparska-Przybysz, M. Prognostic significance of Wnt-1, β-catenin and E-cadherin expression in advanced colorectal carcinoma. Pathol. Oncol. Res. 2011, 17, 955–963. [Google Scholar] [CrossRef] [PubMed]
- Bahadoer, R.R.; Dijkstra, E.A.; van Etten, B.; Marijnen, C.A.M.; Putter, H.; Kranenbarg, E.M.; Roodvoets, A.G.H.; Nagtegaal, I.D.; Beets-Tan, R.G.H.; Blomqvist, L.K.; et al. Short-course radiotherapy followed by chemotherapy before total mesorectal excision (TME) versus preoperative chemoradiotherapy, TME, and optional adjuvant chemotherapy in locally advanced rectal cancer (RAPIDO): A randomised, open-label, phase 3 trial. Lancet Oncol. 2021, 22, 29–42. [Google Scholar] [CrossRef]
- Cercek, A.; Roxburgh, C.S.D.; Strombom, P.; Smith, J.J.; Temple, L.K.F.; Nash, G.M.; Guillem, J.G.; Paty, P.B.; Yaeger, R.; Stadler, Z.K.; et al. Adoption of Total Neoadjuvant Therapy for Locally Advanced Rectal Cancer. JAMA Oncol. 2018, 4, e180071. [Google Scholar] [CrossRef]
- Garcia-Aguilar, J.; Chow, O.S.; Smith, D.D.; Marcet, J.E.; Cataldo, P.A.; Varma, M.G.; Kumar, A.S.; Oommen, S.; Coutsoftides, T.; Hunt, S.R.; et al. Effect of adding mFOLFOX6 after neoadjuvant chemoradiation in locally advanced rectal cancer: A multicentre, phase 2 trial. Lancet Oncol. 2015, 16, 957–966. [Google Scholar] [CrossRef]
- Nilsson, P.J.; van Etten, B.; Hospers, G.A.; Påhlman, L.; van de Velde, C.J.; Beets-Tan, R.G.; Blomqvist, L.; Beukema, J.C.; Kapiteijn, E.; Marijnen, C.A.; et al. Short-course radiotherapy followed by neo-adjuvant chemotherapy in locally advanced rectal cancer–The RAPIDO trial. BMC Cancer 2013, 13, 279. [Google Scholar] [CrossRef]
- Shiokawa, D.; Sato, A.; Ohata, H.; Mutoh, M.; Sekine, S.; Kato, M.; Shibata, T.; Nakagama, H.; Okamoto, K. The Induction of Selected Wnt Target Genes by Tcf1 Mediates Generation of Tumorigenic Colon Stem Cells. Cell Rep. 2017, 19, 981–994. [Google Scholar] [CrossRef]
- Tanaka, H.; Kawaguchi, M.; Shoda, S.; Miyoshi, T.; Iwasaki, R.; Hyodo, F.; Mori, T.; Hara, A.; Tomita, H.; Matsuo, M. Nuclear Accumulation of β-Catenin in Cancer Stem Cell Radioresistance and Stemness in Human Colon Cancer. Anticancer Res. 2019, 39, 6575–6583. [Google Scholar] [CrossRef]
- Tenbaum, S.P.; Ordóñez-Morán, P.; Puig, I.; Chicote, I.; Arqués, O.; Landolfi, S.; Fernández, Y.; Herance, J.R.; Gispert, J.D.; Mendizabal, L.; et al. β-catenin confers resistance to PI3K and AKT inhibitors and subverts FOXO3a to promote metastasis in colon cancer. Nat. Med. 2012, 18, 892–901. [Google Scholar] [CrossRef]
- Wong, C.C.; Xu, J.; Bian, X.; Wu, J.L.; Kang, W.; Qian, Y.; Li, W.; Chen, H.; Gou, H.; Liu, D.; et al. In Colorectal Cancer Cells With Mutant KRAS, SLC25A22-Mediated Glutaminolysis Reduces DNA Demethylation to Increase WNT Signaling, Stemness, and Drug Resistance. Gastroenterology 2020, 159, 2163–2180.e2166. [Google Scholar] [CrossRef]
- Gao, Z.H.; Lu, C.; Wang, M.X.; Han, Y.; Guo, L.J. Differential β-catenin expression levels are associated with morphological features and prognosis of colorectal cancer. Oncol. Lett. 2014, 8, 2069–2076. [Google Scholar] [CrossRef]
- Cao, H.; Xu, E.; Liu, H.; Wan, L.; Lai, M. Epithelial-mesenchymal transition in colorectal cancer metastasis: A system review. Pathol. Res. Pract. 2015, 211, 557–569. [Google Scholar] [CrossRef]
- Colvin, H.S.; Nishida, N.; Koseki, J.; Konno, M.; Kawamoto, K.; Tsunekuni, K.; Doki, Y.; Mori, M.; Ishii, H. Cancer stem cells of the digestive system. Jpn. J. Clin. Oncol. 2014, 44, 1141–1149. [Google Scholar] [CrossRef]
- de Marcondes, P.G.; Morgado-Díaz, J.A. The Role of EphA4 Signaling in Radiation-Induced EMT-Like Phenotype in Colorectal Cancer Cells. J. Cell Biochem. 2017, 118, 442–445. [Google Scholar] [CrossRef]
- Qi, J.; Cui, D.; Wu, Q.N.; Zhao, Q.; Chen, Z.H.; Li, L.; Birchmeier, W.; Yu, Y.; Tao, R. Targeting Wnt/β-Catenin Signaling by TET1/FOXO4 Inhibits Metastatic Spreading and Self-Renewal of Cancer Stem Cells in Gastric Cancer. Cancers 2022, 14, 3232. [Google Scholar] [CrossRef]
- Shao, M.; Wang, L.; Zhang, Q.; Wang, T.; Wang, S. STMN2 overexpression promotes cell proliferation and EMT in pancreatic cancer mediated by WNT/β-catenin signaling. Cancer Gene Ther. 2022. [Google Scholar] [CrossRef]
- Zhu, L.; Chen, Y.; Du, H.; Cong, Y.; Yan, W.; Ma, K.; Huang, X. N-glycosylation of CD82 at Asn157 is required for suppressing migration and invasion by reversing EMT via Wnt/β-catenin pathway in colon cancer. Biochem. Biophys. Res. Commun. 2022, 629, 121–127. [Google Scholar] [CrossRef]
- Bhangu, A.; Wood, G.; Brown, G.; Darzi, A.; Tekkis, P.; Goldin, R. The role of epithelial mesenchymal transition and resistance to neoadjuvant therapy in locally advanced rectal cancer. Colorectal Dis. 2014, 16, O133–O143. [Google Scholar] [CrossRef]
- Lessey, L.R.; Robinson, S.C.; Chaudhary, R.; Daniel, J.M. Adherens junction proteins on the move-From the membrane to the nucleus in intestinal diseases. Front. Cell Dev. Biol. 2022, 10, 998373. [Google Scholar] [CrossRef] [PubMed]
- Hao, X.P.; Pretlow, T.G.; Rao, J.S.; Pretlow, T.P. Beta-catenin expression is altered in human colonic aberrant crypt foci. Cancer Res. 2001, 61, 8085–8088. [Google Scholar] [PubMed]
- Leung, W.H.; Shih, J.W.; Chen, J.S.; Mokgautsi, N.; Wei, P.L.; Huang, Y.J. Preclinical Identification of Sulfasalazine’s Therapeutic Potential for Suppressing Colorectal Cancer Stemness and Metastasis through Targeting KRAS/MMP7/CD44 Signaling. Biomedicines 2022, 10, 377. [Google Scholar] [CrossRef] [PubMed]



| β-Catenin Low | β-Catenin High | p | |
|---|---|---|---|
| n = 25 | n = 35 | ||
| Age, mean (SD) | 67.52 (9.91) | 64.37 (8.30) | 0.187 |
| <65, n (%) | 9 (36.0) | 16 (45.7) | 0.596 |
| >65, n (%) | 16 (64.0) | 19 (54.3) | |
| <70 | 15 (60.0) | 25 (71.4) | 0.412 |
| >70 | 10 (40.0) | 10 (28.6) | |
| Sex, n (%) | |||
| Male | 19 (76.0) | 24 (68.6) | 0.575 |
| Female | 6 (24.0) | 11 (31.4) | |
| BMI (kg/m2) † | 23.22 (17.8–30.6) | 19.47 (15.8–30.7) | 0.026 |
| ASA-PS score, n (%) | 0.936 | ||
| 1 | 12 (48.0) | 18 (51.4) | |
| 2 | 10 (40.0) | 12 (34.3) | |
| 3 | 3 (12.0) | 5 (14.3) | |
| cT *, n (%) | |||
| 0, 1 | 1 (4.0) | 0 (0.0) | 0.004 |
| 2 | 4 (16.0) | 0 (0.0) | |
| 3 | 13 (52.0) | 30 (85.7) | |
| 4 | 7 (28.0) | 5 (14.3) | |
| cN *, n (%) | |||
| 0 | 4 (16.0) | 6 (17.1) | 1.00 |
| 1 | 8 (32.0) | 11 (31.4) | |
| 2 | 13 (52.0) | 18 (51.5) | |
| cM *, n (%) | |||
| 0 | 22 (88.0) | 30 (85.7) | 1.00 |
| 1 | 3 (12.0) | 5 (14.3) | |
| cStage *, n (%) | |||
| 0–I | 0 (0.0) | 0 (0.0) | 1.00 |
| II | 4 (16.0) | 6 (17.1) | |
| III | 18 (72.0) | 24 (68.6) | |
| IV | 3 (12.0) | 5 (14.3) | |
| Completion of NACRT | |||
| Yes | 22 (88.0) | 34 (97.1) | 0.298 |
| No | 3 (12.0) | 1 (2.9) | |
| Adjuvant chemotherapy, n (%) | |||
| Yes | 16 (64.0) | 17 (36.4) | 0.297 |
| No | 9 (36.0) | 18 (63.6) |
| β-Catenin Low | β-Catenin High | p Value | |
|---|---|---|---|
| n = 25 | n = 35 | ||
| Operative procedure, n (%) | |||
| HAR | 0 (0.0) | 1 (2.9) | 0.958 |
| LAR | 7 (28.0) | 10 (28.6) | |
| ISR | 2 (8.0) | 4 (11.4) | |
| APR | 16 (64.0) | 20 (57.1) | |
| Hartmann | 0 (0.0) | 0 (0.0) | |
| Surgical approach, n (%) | |||
| Open | 7 (28.0) | 13 (37.1) | 0.581 |
| Laparoscopy | 18 (72.0) | 22 (62.9) | |
| D, n (%) | |||
| D1 | 0 (0.0) | 0 (0.0) | 1.000 |
| D2 | 2 (8.0) | 3 (8.6) | |
| D3 | 23 (92.0) | 32 (91.4) | |
| LLND, n (%) | |||
| Yes | 15 (60.0) | 20 (57.1) | 1.000 |
| No | 10 (40.0) | 15 (42.9) | |
| Operation time (min) † | 489.24 (211–1052) | 516.83 (244–1138) | 0.609 |
| Estimated blood loss (ml) † | 649.36 (0–4200) | 603.91 (0–5345) | 0.861 |
| Blood transfusion, n (%) | |||
| Yes | 9 (36.0) | 10 (28.6) | 0.583 |
| No | 16 (64.0) | 25 (71.4) |
| β-Catenin Low | β-Catenin High | p Value | |
|---|---|---|---|
| n = 25 | n = 35 | ||
| Postoperative complications (CD ≥ II), n (%) | |||
| wound infection | 2 (8.0) | 3 (5.7) | 1.000 |
| wound dehiscence | 0 (0.0) | 0 (0.0) | NA |
| anastomotic leakage | 1 (4.0) | 4 (11.4) | 0.390 |
| bowel obstruction | 1 (4.0) | 2 (5.7) | 1.000 |
| lymphorrhea | 2 (8.0) | 1 (2.9) | 0.565 |
| deep vein thrombosis | 0 (0.0) | 0 (0.0) | NA |
| dysuria | 2 (8.0) | 4 (11.4) | 1.000 |
| ureteric injury | 0 (0.0) | 2 (5.7) | 0.506 |
| others | 2 (8.0) | 3 (8.6) | 1.000 |
| Postoperative complications (CD ≥ III), n (%) | 7 (28.0) | 10 (28.6) | 1.000 |
| Postoperative hospital stay †, days (range) | 41.48 (15–181) | 50.20 (12–205) | 0.406 |
| Mortality within 30 days, n (%) | 0 (0.0) | 0 (0.0) | 1.000 |
| Reoperation within 30 days, n (%) | 0 (0.0) | 0 (0.0) | 1.000 |
| Recurrence, n (%) | |||
| Yes | 19 (76.0) | 23 (65.7) | 0.569 |
| No | 6 (24.0) | 13 (34.3) |
| β-Catenin Low | β-Catenin High | p Value | |
|---|---|---|---|
| n = 25 | n = 35 | ||
| ypT *, n (%) | |||
| 0-is | 4 (16.0) | 0 (0.0) | 0.019 |
| 1 | 2 (8.0) | 0 (0.0) | |
| 2 | 6 (24.0) | 8 (22.9) | |
| 3 | 13 (52.0) | 25 (71.4) | |
| 4 | 0 (0.0) | 2 (5.7) | |
| ypN *, n (%) | |||
| 0 | 17 (68.0) | 19 (54.3) | 0.441 |
| 1 | 5 (20.0) | 8 (22.9) | |
| 2 | 3 (12.0) | 8 (5.7) | |
| ypM *, n (%) | |||
| 0 | 24 (96.0) | 31 (88.6) | 1.00 |
| 1 | 1 (4.0) | 4 (11.4) | |
| ypStage *, n (%) | |||
| 0 | 4 (16.0) | 0 (0.0) | 0.0521 |
| I | 5 (20.0) | 5 (14.3) | |
| II | 8 (32.0) | 14 (40.0) | |
| III | 7 (28.0) | 12 (34.3) | |
| IV | 1 (4.0) | 4 (8.75) | |
| Histological type *, n (%) | 0.508 | ||
| Well/moderately | 21 (84.0) | 32 (91.4) | |
| Mucinous/poorly | 3 (12.0) | 3 (8.6) | |
| Other | 1 (4.0) | 0 (0.0) | |
| Vascular invasion, n (%) | |||
| Absent | 20 (80.0) | 15 (42.9) | 0.007 |
| Present | 5 (20.0) | 20 (57.1) | |
| Lymphatic invasion, n (%) | |||
| Absent | 20 (80.0) | 25 (71.4) | 0.552 |
| Present | 5 (20.0) | 10 (28.6) | |
| Histological response ** (%) | |||
| Poor (Grade 1a, 1b) | 7 (28.0) | 22 (62.9) | <0.01 |
| Good (Grade 2, 3) | 18 (72.0) | 13 (37.1) |
| Univariate Analysis | Multivariate Analysis | ||||
|---|---|---|---|---|---|
| Factor | n | HR | p Value | HR | p Value |
| Age (>70/<70) | 20/40 | 0.598 (0.20–1.82) | 0.364 | ||
| Sex (male/female) | 42/18 | 2.637 (0.76–9.14) | 0.126 | ||
| ASA-PS (>2/1,2) | 8/52 | 1.075 (0.25–4.69) | 0.923 | ||
| Postoperative Complication (CD ≥III/CD I, II) | 17/43 | 0.881 (0.29–2.68) | 0.824 | ||
| β-catenin staining, nuclear (High/Low) | 35/25 | 1.444 (0.54–3.85) | 0.462 | ||
| β-catenin staining, nuclear-cytoplasm (the others/Low-High) | 51/9 | 3.324 (0.44–24.9) | 0.243 | ||
| Pathological Response (Poor/Good) | 29/31 | 2.629 (0.96–7.01) | 0.054 | 2.322 (0.81–6.63) | 0.115 |
| Surgical Method (open/laparo) | 20/40 | 2.168 (0.86–5.46) | 0.101 | ||
| ypT (3,4/0,1,2) | 40/20 | 1.372 (0.49–3.86) | 0.548 | ||
| ypN (positive/negative) | 24/36 | 3.276 (1.27–8.47) | 0.014 | 2.524 (0.95–6.69) | 0.062 |
| Ly (present/absent) | 15/45 | 2.354 (0.91–6.11) | 0.078 | 1.941 (0.69–5.42) | 0.205 |
| V (present/absent) | 25/35 | 2.804 (1.08–7.27) | 0.034 | 1.440 (0.48–4.32) | 0.515 |
| Histology (por, muc/tub1, 2) | 7/53 | 1.561 (0.45–5.40) | 0.482 | ||
| Adjuvant chemotherapy (No/Yes) | 27/33 | 1.313 (0.52–3.33) | 0.566 | ||
Disclaimer/Publisher’s Note: The statements, opinions and data contained in all publications are solely those of the individual author(s) and contributor(s) and not of MDPI and/or the editor(s). MDPI and/or the editor(s) disclaim responsibility for any injury to people or property resulting from any ideas, methods, instructions or products referred to in the content. |
© 2023 by the authors. Licensee MDPI, Basel, Switzerland. This article is an open access article distributed under the terms and conditions of the Creative Commons Attribution (CC BY) license (https://creativecommons.org/licenses/by/4.0/).
Share and Cite
Miyako, S.; Matsuda, T.; Koma, Y.-i.; Koide, T.; Sawada, R.; Hasegawa, H.; Yamashita, K.; Harada, H.; Urakawa, N.; Goto, H.; et al. Significance of Wnt/β-Catenin Signal Activation for Resistance to Neoadjuvant Chemoradiotherapy in Rectal Cancer. Biomedicines 2023, 11, 174. https://doi.org/10.3390/biomedicines11010174
Miyako S, Matsuda T, Koma Y-i, Koide T, Sawada R, Hasegawa H, Yamashita K, Harada H, Urakawa N, Goto H, et al. Significance of Wnt/β-Catenin Signal Activation for Resistance to Neoadjuvant Chemoradiotherapy in Rectal Cancer. Biomedicines. 2023; 11(1):174. https://doi.org/10.3390/biomedicines11010174
Chicago/Turabian StyleMiyako, Shoji, Takeru Matsuda, Yu-ichiro Koma, Takahiro Koide, Ryuichiro Sawada, Hiroshi Hasegawa, Kimihiro Yamashita, Hitoshi Harada, Naoki Urakawa, Hironobu Goto, and et al. 2023. "Significance of Wnt/β-Catenin Signal Activation for Resistance to Neoadjuvant Chemoradiotherapy in Rectal Cancer" Biomedicines 11, no. 1: 174. https://doi.org/10.3390/biomedicines11010174
APA StyleMiyako, S., Matsuda, T., Koma, Y.-i., Koide, T., Sawada, R., Hasegawa, H., Yamashita, K., Harada, H., Urakawa, N., Goto, H., Kanaji, S., Oshikiri, T., & Kakeji, Y. (2023). Significance of Wnt/β-Catenin Signal Activation for Resistance to Neoadjuvant Chemoradiotherapy in Rectal Cancer. Biomedicines, 11(1), 174. https://doi.org/10.3390/biomedicines11010174

