Atypical Presentation of Herpes Zoster Duplex Bilateralis in a Renal Transplanted Patient
Abstract
:1. Introduction
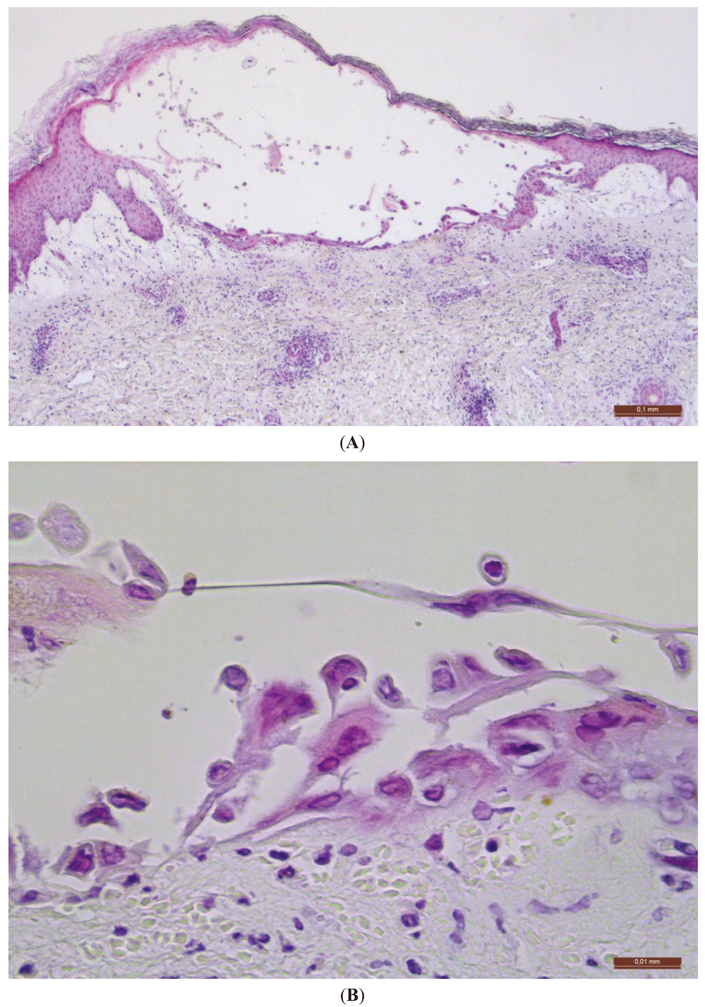
2. Results and Discussion


3. Conclusions
Acknowledgments
Conflicts of Interest
References
- Jha, R.; Narayen, G.; Sinha, S.; Kadeer, K.; Prasad, K.N. Symptomatic herpes virus infections in postrenal transplant. Transpl. Proc. 2003, 35, 284–285. [Google Scholar] [CrossRef]
- Formicone, F.; Fargnoli, M.C.; Pisani, F.; Rascente, M.; Famulari, A.; Peris, K. Cutaneous manifestations in Italian kidney transplant recipients. Transpl. Proc. 2005, 37, 2527–2528. [Google Scholar] [CrossRef]
- Slifkin, M.; Doron, S.; Snydman, D.R. Viral prophylaxis in organ transplant patients. Drugs 2004, 64, 2763–2792. [Google Scholar] [CrossRef]
- Geel, A.; Zuidema, W.; van Gelder, T.; van Doornum, G.; Weimar, W. Successful vaccination against varicella zoster virus prior to kidney transplantation. Transpl. Proc. 2005, 37, 952–953. [Google Scholar] [CrossRef]
- Tan, H.H.; Goh, C.L. Viral infections affecting the skin in organ transplant recipients: Epidemiology and current management strategies. Am. J. Clin. Dermatol. 2006, 7, 13–29. [Google Scholar] [CrossRef]
- Gourishankar, S.; McDermid, J.C.; Jhangri, G.S.; Preiksaitis, J.K. Herpes zoster infection following solid organ transplantation: Incidence, risk factors and outcomes in the current immunosuppressive era. Am. J. Transpl. 2004, 4, 108–115. [Google Scholar] [CrossRef]
- Shin, J.W.; Kim, D.H.; Whang, K.U.; Lee, J.; Park, Y.; Cho, M.K.; Lee, S.; Lee, S.Y. A case of zoster duplex bilateralis. Ann. Dermatol. 2009, 21, 423–425. [Google Scholar] [CrossRef]
- Durdu, M.; Baba, M.; Seçkin, D. The value of Tzanck smear test in diagnosis of erosive, vesicular, bullous, and pustular skin lesions. J. Am. Acad. Dermatol. 2008, 59, 958–964. [Google Scholar] [CrossRef]
- Takaoka, Y.; Miyachi, Y.; Yoshikawa, Y.; Tanioka, M.; Fujisawa, A.; Endo, Y. Bilateral disseminated herpes zoster in an immunocompetent host. Dermatol. Online J. 2013, 19, 13. [Google Scholar]
- Paskey, K.M.; Dunn, S.P.; Vlahovic, T.C. Herpes zoster affecting the lower extremity. Adv. Skin Wound Care 2009, 22, 502–505. [Google Scholar] [CrossRef]
- Tresch, S.; Trueb, R.M.; Kamarachev, J.; French, L.E.; Hofbauer, G.F. Disseminated herpes zoster mimicking rheumatoid vasculitis in a rheumatoid arthritis patient on etanercept. Dermatology 2009, 219, 347–349. [Google Scholar] [CrossRef]
- Mustapic, Z.; Basic-Jukic, N.; Kes, P.; Lovcic, V.; Bubic-Filipi, Lj.; Mokos, I.; Kastelan, Z.; Zekan, S. Varicella zoster infection in renal transplant recipients: Prevalence, complications and outcome. Kidney Blood Press Res. 2011, 34, 382–386. [Google Scholar] [CrossRef]
- Volpi, A.; Gross, G.; Hercogova, J.; Johnson, R.W. Current management of herpes zoster: The European view. Am. J. Clin. Dermatol. 2005, 6, 317–325. [Google Scholar] [CrossRef]
- Dworkin, R.H.; Johnson, R.W.; Breuer, J.; Gnann, J.W.; Levin, M.J.; Backonja, M.; Betts, R.F.; Gershon, A.A.; Haanpaa, M.L.; McKendrick, M.W.; et al. Recommendations for the management of herpes zoster. Clin. Infect. Dis. 2007, 44, S1–S26. [Google Scholar] [CrossRef]
- Gross, G.; Schöfer, H.; Wassilew, S.; Friese, K.; Timm, A.; Guthoff, R.; Pau, H.W.; Malin, J.P.; Wutzler, P.; Doerr, H.W. Herpes zoster guideline of the German Dermatology Society (DDG). J. Clin. Virol. 2003, 26, 277–289. [Google Scholar] [CrossRef]
- Wu, M.Y.; Hsu, Y.H.; Su, C.L.; Lin, Y.F.; Lin, H.W. Risk of herpes zoster in CKD: A matched-cohort study based on administrative data. Am. J. Kidney Dis. 2012, 60, 548–552. [Google Scholar] [CrossRef]
- Hwang, E.A.; Kang, M.J.; Han, S.Y.; Park, S.B.; Kim, H.C. Viral infection following kidney transplantation: Long-term follow-up in a single center. Transpl. Proc. 2004, 36, 2118–2119. [Google Scholar] [CrossRef]
© 2013 by the authors; licensee MDPI, Basel, Switzerland. This article is an open access article distributed under the terms and conditions of the Creative Commons Attribution license (http://creativecommons.org/licenses/by/3.0/).
Share and Cite
Gouveia, A.I.; Borges-Costa, J.; Soares-Almeida, L.; Santana, A.; Guerra, J. Atypical Presentation of Herpes Zoster Duplex Bilateralis in a Renal Transplanted Patient. Healthcare 2014, 2, 20-26. https://doi.org/10.3390/healthcare2010020
Gouveia AI, Borges-Costa J, Soares-Almeida L, Santana A, Guerra J. Atypical Presentation of Herpes Zoster Duplex Bilateralis in a Renal Transplanted Patient. Healthcare. 2014; 2(1):20-26. https://doi.org/10.3390/healthcare2010020
Chicago/Turabian StyleGouveia, Ana Isabel, João Borges-Costa, Luís Soares-Almeida, Alice Santana, and José Guerra. 2014. "Atypical Presentation of Herpes Zoster Duplex Bilateralis in a Renal Transplanted Patient" Healthcare 2, no. 1: 20-26. https://doi.org/10.3390/healthcare2010020
APA StyleGouveia, A. I., Borges-Costa, J., Soares-Almeida, L., Santana, A., & Guerra, J. (2014). Atypical Presentation of Herpes Zoster Duplex Bilateralis in a Renal Transplanted Patient. Healthcare, 2(1), 20-26. https://doi.org/10.3390/healthcare2010020
