Abstract
Background: Deep neck infections (DNIs) can compromise the airway and are associated with high morbidity and mortality rates. Diabetes mellitus (DM) is a metabolic disorder characterized by chronic hyperglycemia that is associated with several comorbidities. We compared the clinical characteristics of DNI patients with and without DM. Methods: This study recorded the relevant clinical variables of 383 patients with DNIs between November 2016 and September 2022; of those patients, 147 (38.38%) had DM. The clinical factors between DNI patients with and without DM were assessed. Results: Patients with DM were older (p < 0.001), had higher white blood cell counts (p = 0.029) and C-reactive protein levels (CRP, p < 0.001), had a greater number of deep neck spaces (p = 0.002) compared to patients without DM, and had longer hospital stays (p < 0.001). Klebsiella pneumoniae was cultured more frequently from patients with DM than those without DM (p = 0.002). A higher CRP level (OR = 1.0094, 95% CI: 1.0047–1.0142, p < 0.001) was a significant independent risk factor for DM patients with prolonged hospitalization. The lengths of hospital stays in patients with poorly controlled DM were longer than those with well-controlled DM (p = 0.027). Conclusions: DNI disease severity and outcomes were worse in patients with DM than those without DM. Antibiotics effective against Klebsiella pneumoniae should be used for DNI patients with DM. DNI patients with DM and high CRP levels had more prolonged hospitalizations. Appropriate blood glucose control is essential for DNI patients with DM.
1. Introduction
A deep neck infection (DNI) is a lethal emergent bacterial infection of the deep neck spaces that can lead to cellulitis or abscess formation [1]. Although DNIs usually result from upper aerodigestive tract infections, such as odontogenic infections and pharyngotonsillitis [2,3,4], there is an increasing proportion of DNI cases with an unknown primary origin [5]. Treating DNIs is difficult because the infection is in close proximity to vital structures and the head and neck region has a complex anatomy [6]. Despite the availability of antibiotics, advances in diagnostic technology, and surgical debridement, DNIs are still capable of causing serious complications, including airway obstruction [7], and can spread to the mediastinum [2].
Patients with comorbidities, such as alcohol consumption, drug abuse, and diabetes mellitus (DM), are at increased risk of complications from DNIs [8]. DM affects almost 4% of the total population of Taiwan [9]. It is also the most common comorbidity in DNIs [10]. Animal and in vitro studies have found that hyperglycemia impairs the immune functions of hosts, including cellular immunity, complement activation, and neutrophil bactericidal function [11,12,13]. In turn, immune deficiency predisposes DM patients to invasive infections [14]. Multiple host factors in DM patients may increase the risk of skin and soft tissue infections, including uncontrolled hyperglycemia, disruption of the skin barrier, poor vascularization, and immune system dysfunction [15,16]. Uncontrolled hyperglycemia is the main culprit behind infection. Furthermore, the clinical course of DNIs differs between patients with and without DM [17,18]. The management of patients with a DNI and DM is complicated. In this study, we compared the clinical characteristics, outcomes, and prognosis of DNIs between patients with and without DM.
2. Materials and Methods
We retrospectively reviewed the medical records of 383 patients diagnosed with DNIs between November 2016 and September 2022 at the main branch of Chang Gung Memorial Hospital Linkou, a tertiary medical center in Taiwan. The patients were diagnosed on the basis of their clinical presentation and computed tomography (CT) findings (Figure 1 and Figure 2) [19]. The management of DNIs involved antibiotics and open surgical incision and drainage (I&D). Pathogen cultures were performed on specimens obtained using an aseptic procedure. Because primary culture results are often obtained after >3 days, empirical antibiotics were routinely administered prior to obtaining the culture results [20]. Ceftriaxone 1 gm q12h and metronidazole 500 mg q8h were used as empirical antibiotics for aerobic and anaerobic bacteria [17,21,22].
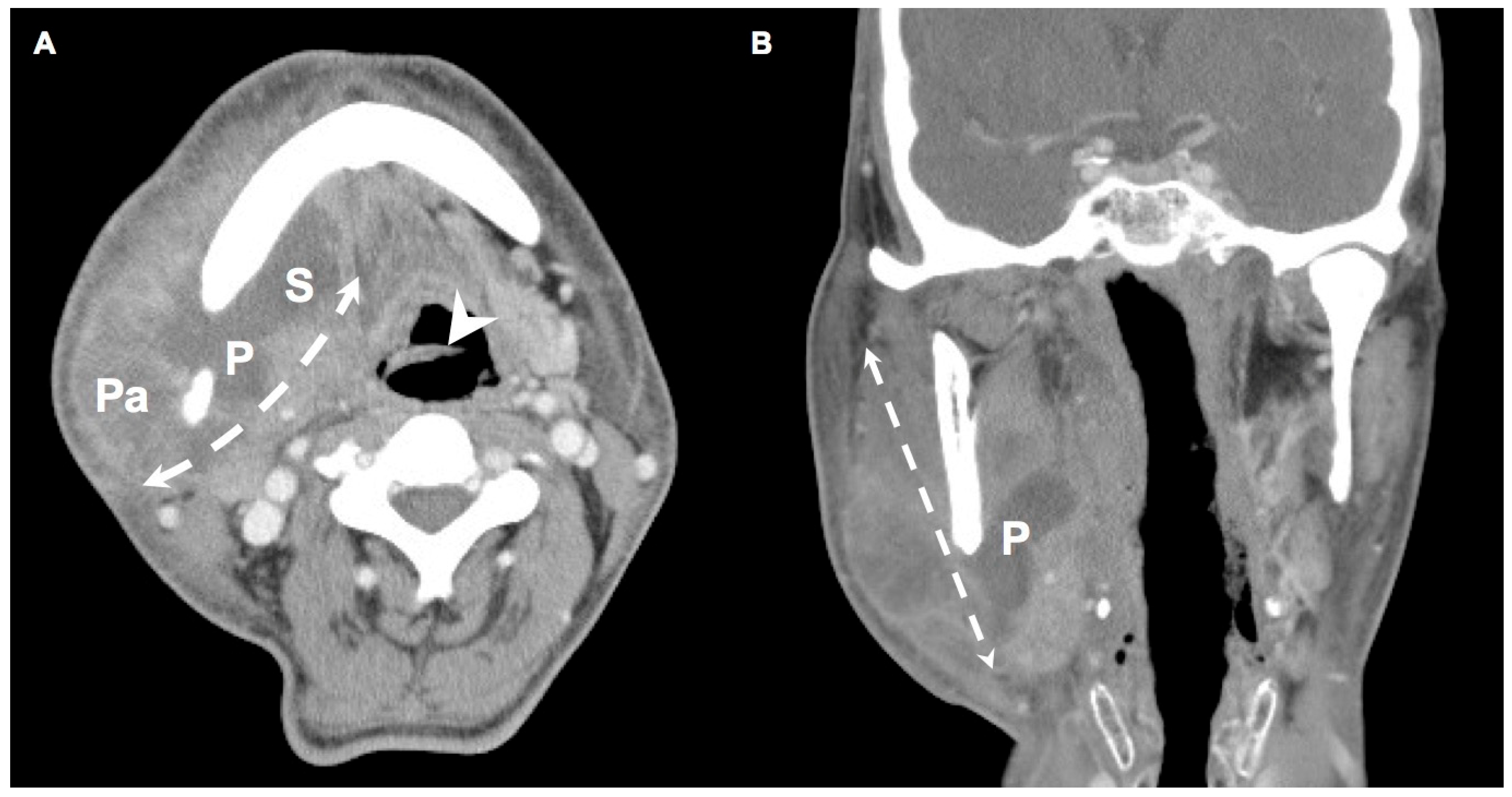
Figure 1.
(A) Axial view and (B) coronal view of a DNI patient with DM. (A) indicates that the infection spread from the parapharyngeal space to the parotid space and the submandibular space, encompassing infection across multiple deep neck spaces. (B) depicts infection in the coronal plane. Arrowhead: epiglottis; Double dotted arrow: involved spaces of DNI; P: parapharyngeal space; Pa: parotid space; S: submandibular space. (300 × 300 dpi).
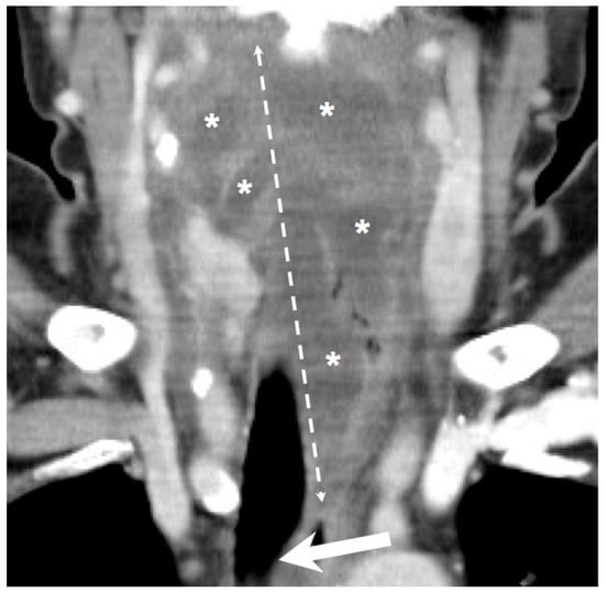
Figure 2.
The coronal view showed extensive infection in the retropharyngeal spaces with poor DM control. Arrow: compromised and deviated airway; Asterisk; multiloculated deep neck abscess; Double dotted arrow: involved spaces of DNI. (300 × 300 dpi).
There were 147 (38.38%) and 236 (61.62%) patients with and without DM, respectively. All patients with DM were treated with appropriate anti-diabetic medications.
2.1. Exclusion Criteria
Patients with previous head and neck surgery, radiotherapy to the head and neck region, or accidental swallowing of a foreign body were excluded. In this article, we only enrolled patients with type II DM and excluded patients with type I DM. In total, 383 patients with DNIs were included, including 147 with DM.
2.2. Data Collection
We collected data on gender, age, chief complaint duration, length of hospital stays, white blood cell (WBC) count, C-reactive protein (CRP) level, duration of DM, involvement of multiple spaces (≥3), surgical I&D, tracheostomy, deep neck space involvement, mediastinitis, pneumonia, necrotizing fasciitis, septic shock, and identified pathogens.
2.3. Ethics Statement
This study was approved by the Institutional Review Board (IRB) of Chang Gung Medical Foundation (IRB no.: 202201624B0). The sample size of the study was not determined based on any criteria. We included patients based on IRB-approved enrollment time. Data were collected retrospectively and anonymized before the analysis. The IRB waived the requirement for informed consent from patients.
2.4. Statistical Analysis
The Kolmogorov–Smirnov test showed that the data were not normally distributed. Therefore, the chi-square test and Mann–Whitney U test were used to compare categorical and continuous variables, respectively. We performed univariate and multivariate analyses via logistic regression. We employed forward stepwise selection followed by multiple logistic regression; all variables included in the univariate analysis were entered into the final multivariable analysis. Data were analyzed using MedCalc software (version 18.6; MedCalc, Ostend, Belgium). p < 0.05 was considered to indicate statistical significance.
3. Results
Table 1 presents the clinical characteristics of the 383 patients with DNIs (254 [66.31%] males and 129 [33.69%] females; mean age: 52.01 ± 18.92 years). The mean chief complaint duration was 5.06 ± 4.34 days.
Table 1.
Clinical characteristics of the 383 patients with DNIs.
The mean WBC count was 15,360.65 ± 6041.59 µL and the mean CRP level was 134.67 ± 105.78 mg/L. There were 111 (28.98%) patients with involvement of multiple deep neck spaces (≥3).
The parapharyngeal, submandibular, retropharyngeal, parotid, masticator, anterior cervical, visceral, perivertebral, carotid, and posterior cervical spaces were involved in 230 (60.05%), 161 (42.03%), 109 (28.45%), 84 (21.93%), 74 (19.32%), 31 (8.09%), 22 (5.74%), 17 (4.43%), 12 (3.13%), and 8 (2.08%) patients, respectively.
Table 2 compares differences in the clinical characteristics of patients with and without DM. Among the individuals studied, there were 147 patients with DM and 236 patients without DM. In terms of age, there was a notable disparity between the two groups (p < 0.001); those with DM were considerably older, with a mean age of 56.28 ± 16.65 compared to 49.36 ± 19.77 for those without DM. When it comes to WBC and CRP, both levels were significantly higher in patients with DM (p = 0.029 and p < 0.001). The mean duration of DM was 3.93 ± 4.27 years, and mean HbA1c was 6.74 ± 0.51%. Regarding anti-diabetic drugs, 35 patients (23.81%) received insulin control, 85 patients (57.83%) used one anti-diabetic drug, and 27 patients (18.36%) used more than two anti-diabetic drugs. The proportion of more than three deep neck spaces involved in patients with DM is significantly higher than those without DM (38.09% vs. 23.31%, p = 0.002).
Table 2.
Comparison of clinical characteristics between patients with and without DM.
Table 3 illustrates the comparison of management strategies and morbidity outcomes between patients with and without DM. The mean length of hospital stay was 9.97 ± 8.38 days. The analysis indicated that the length of hospital stay in patients with DM was longer than those without DM (p < 0.001). Tracheostomy was performed in 47 (12.27%) patients, and 172 (44.91%) patients underwent open I&D for DNIs. Retinopathy, nephropathy, and neuropathy were noted in 17 (11.56%), 11 (7.48%), and 31 (21.08%) patients. Mediastinitis, pneumonia, necrotizing fasciitis, and septic shock were present in 25 (6.52%), 23 (6.01%), 19 (4.96%), and 17 (4.43%) patients, respectively. Nevertheless, there were no marked differences in the length of hospital days, number of tracheostomies, surgical I&D, morbidities, and mortality between patients with and without DM.
Table 3.
Comparison of management and morbidity between patients with and without DM.
Table 4 shows the comparison of pathogens between patients with and without DM. The prevalence of Klebsiella pneumoniae between the two groups was significantly different (p = 0.002), and was higher in those with DM. Klebsiella pneumoniae (21.08%) was the most common pathogen in patients with DM, followed by Streptococcus constellatus (20.41%), Parvimonas micra (10.88%), and Streptococcus anginosus (10.88%). Meanwhile, Parvimonas micra (16.94%), Prevotella buccae (15.67%), and Streptococcus constellatus (14.41%) were the top three most prevalent pathogens in patients without DM.
Table 4.
Comparison of pathogens between patients with and without DM.
Table 5 shows univariate and multivariate analyses of 147 DM patients for prolonged hospitalization. For univariate analysis, the higher WBC level (odds ratio (OR) = 1.0001, 95% confidence interval (CI): 1.0000–1.0002, p = 0.001), the higher CRP (OR = 1.0113, 95% CI: 1.0070–1.0156, p < 0.001), the involvement of at least three spaces (OR = 2.6625, 95% CI: 1.2889–5.4999, p = 0.007), and mediastinitis (OR = 4.3556, 95% CI: 1.3372–14.186, p = 0.013) were significant risk factors for prolonged hospitalization in DM patients. All factors were subjected to forward stepwise selection, which was followed by multivariate logistic regression. A higher CRP level (OR = 1.0094, 95% CI: 1.0047–1.0142, p < 0.001) was a significant independent risk factor for prolonged hospitalization.
Table 5.
Univariate and multivariate analyses of 147 DM patients for prolonged hospitalization.
Table 6 displays the comparison between DNI patients with poorly controlled (HbA1c ≥ 6.5) and well-controlled (HbA1c < 6.5) DM. The analysis indicated that the lengths of hospital stays in patients with poorly controlled DM were longer than those without DM (p = 0.027).
Table 6.
Comparison between DNI patients with poorly controlled and well-controlled DM.
4. Discussion
Although DNIs are an emergent condition because of their severe sequelae, the mortality rate has significantly declined because of improved diagnostic techniques, greater availability of antibiotics, and the development of advanced surgical interventions [23,24]. Nevertheless, DNIs are still associated with severe complications and even death [2,6,20,21,25,26,27,28,29,30,31,32,33]. Thus, the treatment of DNIs remains challenging.
DM has a significant impact on the course of infections. In Taiwan, disease control using appropriate medications is achieved in 60% of DM patients; the remaining patients have uncontrolled disease [9]. DM represents a group of physiological dysfunctions characterized by hyperglycemia due to insufficient insulin production, glucagon hypersecretion (type 1 DM), or directly from insulin resistance (type 2 DM) [34,35]. Type 1 DM is a chronic autoimmune disease that affects about 1% of the population in developed countries [36]. This immune response is induced and promoted by the interaction of environmental as well as genetic factors [37]. In contrast, in type 2 diabetes, insulin resistance appears to be the primary cause of hyperglycemia (affecting around 8.5% of the adult population) [36]. Patients with systemic diseases such as DM may experience the opportunistic advancement of seemingly minor infections due to compromised immune systems and vascular function [18,38,39]. Huang et al. [1] found that the prevalence of DM was higher in DNI patients than in the general population of Taiwan. DM patients have a higher risk of infection and impaired cutaneous wound and soft tissue healing [40]. Thus, DNI patients with DM have more severe and extensive inflammation [41,42].
In the present study, DNI patients with DM were older and had longer hospital stays, a higher WBC count and CRP level, and a greater number of involved deep neck spaces compared to DNI patients without DM. Patients with DNI and DM have more serious infections, a worse prognosis, and a higher rate of Klebsiella pneumoniae infection compared to patients with DNI alone.
In our research, patients with DM were older and had a longer hospital stay than patients without DM. Older patients with systemic diseases have impaired defense against pathogenic infections and a worse recovery rate, leading to prolonged hospital stays [10]. DM is an expected risk depending on the age of the patients. It is a risk factor that must be controlled in every surgery. In addition, DM patients also had a higher WBC counts and CRP levels, as well as greater numbers of involved deep neck spaces compared to patients without DM, suggesting that the DM patients had more severe inflammation and worse outcomes [43]. Sideris et al. [44] found that CRP level correlated with blood glucose level. Furthermore, the involvement of multiple deep neck spaces was a risk factor for the need for tracheostomy [45]. Cheng et al. [46] also found that DM patients were at an increased risk of necrotizing fasciitis. Based on the findings that DM patients have more severe DNIs and poor outcomes, blood glucose levels should be monitored and appropriately controlled.
Timely open surgery is essential for the treatment of DNIs, and repeated surgical I&D is necessary in some patients [47]. Therapeutic needle aspiration has also been performed in select cases [10,48]. Although pus cultures obtained via needle aspiration or surgical drainage can aid the selection of appropriate antibiotics, empirical antibiotics should be administered before the culture results become available [49].
A DNI is typically caused by polymicrobial aerobic and anaerobic organisms [50]. Studies from different countries and areas have reported different pathogenic causes of DNIs [21,51]. Furthermore, the causative organisms of DNIs may change over time and might be influenced by the choice of antibiotics [20].
We found that DM patients had a higher rate of Klebsiella pneumoniae infection than patients without DM, in line with previous studies [10,18]. One study found that Klebsiella pneumoniae is responsible for more than half of all DNI cases among DM patients [1]. Klebsiella pneumoniae is a Gram-negative aerobe [20]. The higher rate of identification of Klebsiella pneumoniae in DNI patients with DM may be because of oropharyngeal colonization by Gram-negative bacilli and a defective host defense, particularly phagocytosis [52,53]. Although odontogenic infection is the most common etiology of DNIs [24,54,55], Huang et al. [49] found that DM patients had a high culture rate of Klebsiella pneumoniae, irrespective of the odontogenic or nonodontogenic origin of their DNI. Klebsiella pneumoniae is susceptible to cefazolin, gentamicin, and trimethoprim/sulfamethoxazole [21]. However, clindamycin should not be administered alone because of its weak effect against Klebsiella pneumoniae [49].
Uncontrolled hyperglycemia correlates with a fatal outcome in DM patients with infectious diseases [56]. Appropriate blood glucose control reduces the microangiopathic and macroangiopathic complications of DM [57,58]. To achieve a favorable prognosis, the blood glucose level should be maintained below 200 mg/dL [1,10]. For optimal empiric coverage, it is recommended to use either penicillin in combination with a β-lactamase inhibitor or a β-lactamase–resistant antibiotic combined with a drug highly effective against most anaerobes [59,60]. Moreover, the addition of gentamicin is for effective Gram-negative coverage against Klebsiella pneumoniae, especially in DM patients, when it is resistant to clindamycin [55].
5. Study Limitations
This was a retrospective study performed at a single tertiary hospital. The treatments and management for patients with DNIs may have been relatively similar. When performing research in the future, patients could be enrolled from multiple hospitals to reduce such biases. Additionally, our study included only 383 cases. An increased number of samples can provide more comprehensive results.
Ideally, patients with infections should be switched from oral hypoglycemic agents to insulin. However, some patients still want to maintain their original oral hypoglycemic agents for treatment during hospitalization. As long as the patient’s condition did not worsen, we kept the patient’s original oral hypoglycemic agents.
Diabetes complications, such as diabetic retinopathy and peripheral neuropathy, can lead to balance impairment [61]. However, this retrospective article mainly discusses the impact of DM on DNI patients with potential risk of mortality and does not document whether the patients suffered from diabetic balance or vertigo. The effect of DM on balance is an important topic worthy of future research.
6. Conclusions
Our data showed several characteristic features among DM patients with DNIs, including an older age, elevated levels of WBC and CRP, the involvement of multiple spaces, and extended hospital stays. Therefore, we recommend a more rigorous approach when dealing with DNIs in DM patients, emphasizing the importance of good glycemic control to prevent the occurrence of more severe complications. In addition, since the prevalence of Klebsiella pneumoniae is increased in patients with DM, the selection of empiric antibiotics should also take this into consideration.
Author Contributions
Conceptualization, T.-I.L., C.-Y.H., Y.-C.W., S.-C.C., K.-C.C. and S.-L.C.; methodology, T.-I.L., C.-Y.H. and S.-L.C.; validation, C.-Y.H. and S.-L.C.; data curation, C.-Y.H. and S.-L.C.; writing—original draft preparation, T.-I.L., C.-Y.H. and S.-L.C.; writing—review and editing, S.-L.C.; visualization, C.-Y.H., S.-C.C., K.-C.C. and S.-L.C.; supervision: C.-Y.H., Y.-C.W. and S.-L.C.; project administration, C.-Y.H., S.-C.C., K.-C.C. and S.-L.C. All authors have read and agreed to the published version of the manuscript.
Funding
This research received no external funding.
Institutional Review Board Statement
This study was approved by the Institutional Review Board (IRB) of Chang Gung Medical Foundation (IRB no.: 202201624B0, approval date: 13 October 2022).
Informed Consent Statement
The data were collected retrospectively, and the patients were anonymized before data analysis. The IRB of the Chang Gung Medical Foundation approved the waiver of the participants’ consent.
Data Availability Statement
Data are contained within the article.
Acknowledgments
The authors thank all of the members of Department of Otorhinolaryngology-Head and Neck Surgery, Chang Gung Memorial Hospital, Linkou, for their invaluable help.
Conflicts of Interest
The authors declare no conflicts of interest.
Abbreviations
CT: Computed tomography; CRP: C-reactive protein; DNI: Deep neck infection; DM: Diabetes mellitus.
References
- Huang, T.T.; Tseng, F.Y.; Liu, T.C.; Hsu, C.J.; Chen, Y.S. Deep neck infection in diabetic patients: Comparison of clinical picture and outcomes with nondiabetic patients. Otolaryngol. Head Neck Surg. 2005, 132, 943–947. [Google Scholar] [CrossRef] [PubMed]
- Rzepakowska, A.; Rytel, A.; Krawczyk, P.; Osuch-Wojcikiewicz, E.; Widlak, I.; Deja, M.; Niemczyk, K. The Factors Contributing to Efficiency in Surgical Management of Purulent Infections of Deep Neck Spaces. Ear Nose Throat J. 2021, 100, 354–359. [Google Scholar] [CrossRef] [PubMed]
- Larawin, V.; Naipao, J.; Dubey, S.P. Head and neck space infections. Otolaryngol. Head Neck Surg. 2006, 135, 889–893. [Google Scholar] [CrossRef] [PubMed]
- Chi, T.H.; Tsao, Y.H.; Yuan, C.H. Influences of patient age on deep neck infection: Clinical etiology and treatment outcome. Otolaryngol. Head Neck Surg. 2014, 151, 586–590. [Google Scholar] [CrossRef] [PubMed]
- Wang, L.F.; Kuo, W.R.; Tsai, S.M.; Huang, K.J. Characterizations of life-threatening deep cervical space infections: A review of one hundred ninety-six cases. Am. J. Otolaryngol. 2003, 24, 111–117. [Google Scholar] [CrossRef] [PubMed]
- Tapiovaara, L.; Back, L.; Aro, K. Comparison of intubation and tracheotomy in patients with deep neck infection. Eur. Arch. Otorhinolaryngol. 2017, 274, 3767–3772. [Google Scholar] [CrossRef] [PubMed]
- Chen, S.L.; Chin, S.C.; Ho, C.Y. Deep Learning Artificial Intelligence to Predict the Need for Tracheostomy in Patients of Deep Neck Infection Based on Clinical and Computed Tomography Findings-Preliminary Data and a Pilot Study. Diagnostics 2022, 12, 1943. [Google Scholar] [CrossRef] [PubMed]
- Celakovsky, P.; Kalfert, D.; Tucek, L.; Mejzlik, J.; Kotulek, M.; Vrbacky, A.; Matousek, P.; Stanikova, L.; Hoskova, T.; Pasz, A. Deep neck infections: Risk factors for mediastinal extension. Eur. Arch. Otorhinolaryngol. 2014, 271, 1679–1683. [Google Scholar] [CrossRef] [PubMed]
- Tai, T. Current status of diabetes in Taiwan. Diabetes Res. Clin. Pr. 2000, 50 (Suppl. S2), S1–S2. [Google Scholar] [CrossRef]
- Huang, T.T.; Liu, T.C.; Chen, P.R.; Tseng, F.Y.; Yeh, T.H.; Chen, Y.S. Deep neck infection: Analysis of 185 cases. Head Neck 2004, 26, 854–860. [Google Scholar] [CrossRef] [PubMed]
- Hostetter, M.K. Handicaps to host defense. Effects of hyperglycemia on C3 and Candida albicans. Diabetes 1990, 39, 271–275. [Google Scholar] [CrossRef] [PubMed]
- MacCuish, A.C.; Urbaniak, S.J.; Campbell, C.J.; Duncan, L.J.; Irvine, W.J. Phytohemagglutinin transformation and circulating lymphocyte subpopulations in insulin-dependent diabetic patients. Diabetes 1974, 23, 708–712. [Google Scholar] [CrossRef] [PubMed]
- Delamaire, M.; Maugendre, D.; Moreno, M.; Le Goff, M.C.; Allannic, H.; Genetet, B. Impaired leucocyte functions in diabetic patients. Diabet. Med. 1997, 14, 29–34. [Google Scholar] [CrossRef]
- Joshi, N.; Caputo, G.M.; Weitekamp, M.R.; Karchmer, A.W. Infections in patients with diabetes mellitus. N. Engl. J. Med. 1999, 341, 1906–1912. [Google Scholar] [CrossRef] [PubMed]
- Polk, C.; Sampson, M.M.; Roshdy, D.; Davidson, L.E. Skin and Soft Tissue Infections in Patients with Diabetes Mellitus. Infect. Dis. Clin. N. Am. 2021, 35, 183–197. [Google Scholar] [CrossRef] [PubMed]
- Daryabor, G.; Atashzar, M.R.; Kabelitz, D.; Meri, S.; Kalantar, K. The Effects of Type 2 Diabetes Mellitus on Organ Metabolism and the Immune System. Front. Immunol. 2020, 11, 1582. [Google Scholar] [CrossRef] [PubMed]
- Chen, M.K.; Wen, Y.S.; Chang, C.C.; Lee, H.S.; Huang, M.T.; Hsiao, H.C. Deep neck infections in diabetic patients. Am. J. Otolaryngol. 2000, 21, 169–173. [Google Scholar] [CrossRef] [PubMed]
- Lin, H.T.; Tsai, C.S.; Chen, Y.L.; Liang, J.G. Influence of diabetes mellitus on deep neck infection. J. Laryngol. Otol. 2006, 120, 650–654. [Google Scholar] [CrossRef] [PubMed]
- Becker, M.; Zbaren, P.; Hermans, R.; Becker, C.D.; Marchal, F.; Kurt, A.M.; Marre, S.; Rufenacht, D.A.; Terrier, F. Necrotizing fasciitis of the head and neck: Role of CT in diagnosis and management. Radiology 1997, 202, 471–476. [Google Scholar] [CrossRef] [PubMed]
- Yang, S.W.; Lee, M.H.; Lee, Y.S.; Huang, S.H.; Chen, T.A.; Fang, T.J. Analysis of life-threatening complications of deep neck abscess and the impact of empiric antibiotics. ORL J. Otorhinolaryngol. Relat. Spec. 2008, 70, 249–256. [Google Scholar] [CrossRef] [PubMed]
- Yang, S.W.; Lee, M.H.; See, L.C.; Huang, S.H.; Chen, T.M.; Chen, T.A. Deep neck abscess: An analysis of microbial etiology and the effectiveness of antibiotics. Infect. Drug Resist. 2008, 1, 3554. [Google Scholar] [CrossRef] [PubMed]
- Lanisnik, B.; Cizmarevic, B. Necrotizing fasciitis of the head and neck: 34 cases of a single institution experience. Eur. Arch. Otorhinolaryngol. 2010, 267, 415–421. [Google Scholar] [CrossRef] [PubMed]
- Sethi, D.S.; Stanley, R.E. Deep neck abscesses--changing trends. J. Laryngol. Otol. 1994, 108, 138–143. [Google Scholar] [CrossRef] [PubMed]
- Har-El, G.; Aroesty, J.H.; Shaha, A.; Lucente, F.E. Changing trends in deep neck abscess. A retrospective study of 110 patients. Oral. Surg. Oral. Med. Oral Pathol. 1994, 77, 446–450. [Google Scholar] [CrossRef] [PubMed]
- Boscolo-Rizzo, P.; Marchiori, C.; Montolli, F.; Vaglia, A.; Da Mosto, M.C. Deep neck infections: A constant challenge. ORL J. Otorhinolaryngol. Relat. Spec. 2006, 68, 259–265. [Google Scholar] [CrossRef] [PubMed]
- Prado-Calleros, H.M.; Jimenez-Fuentes, E.; Jimenez-Escobar, I. Descending necrotizing mediastinitis: Systematic review on its treatment in the last 6 years, 75 years after its description. Head. Neck 2016, 38 (Suppl. S1), E2275–E2283. [Google Scholar] [CrossRef] [PubMed]
- Aizawa, N.; Tsuchiya, A.; Takahashi, S. Two cases of deep neck infection with esophageal perforation. J-STAGE 2013, 26, 149–154. [Google Scholar] [CrossRef]
- Ho, C.Y.; Chin, S.C.; Chen, S.L. Management of Descending Necrotizing Mediastinitis, a Severe Complication of Deep Neck Infection, Based on Multidisciplinary Approaches and Departmental Co-Ordination. Ear Nose Throat J. 2022, 1455613211068575. [Google Scholar] [CrossRef] [PubMed]
- Chen, S.-L.; Chin, S.-C.; Wang, Y.-C.; Ho, C.-Y. Factors Affecting Patients with Concurrent Deep Neck Infection and Cervical Necrotizing Fasciitis. Diagnostics 2022, 12, 443. [Google Scholar] [CrossRef] [PubMed]
- Ho, C.Y.; Chin, S.C.; Wang, Y.C.; Chen, S.L. Factors affecting patients with concurrent deep neck infection and aspiration pneumonia. Am. J. Otolaryngol. 2022, 43, 103463. [Google Scholar] [CrossRef] [PubMed]
- Chen, S.L.; Ho, C.Y.; Chin, S.C.; Wang, Y.C. Factors affecting perforation of the esophagus in patients with deep neck infection. BMC Infect. Dis. 2022, 22, 501. [Google Scholar] [CrossRef] [PubMed]
- Chen, S.L.; Chin, S.C.; Wang, Y.C.; Ho, C.Y. Factors Affecting Patients with Concurrent Deep Neck Infection and Lemierre’s Syndrome. Diagnostics 2022, 12, 928. [Google Scholar] [CrossRef] [PubMed]
- Hidaka, H.; Yamaguchi, T.; Hasegawa, J.; Yano, H.; Kakuta, R.; Ozawa, D.; Nomura, K.; Katori, Y. Clinical and bacteriological influence of diabetes mellitus on deep neck infection: Systematic review and meta-analysis. Head Neck 2015, 37, 1536–1546. [Google Scholar] [CrossRef] [PubMed]
- Krause, M.; De Vito, G. Type 1 and Type 2 Diabetes Mellitus: Commonalities, Differences and the Importance of Exercise and Nutrition. Nutrients 2023, 15, 4279. [Google Scholar] [CrossRef] [PubMed]
- Cloete, L. Diabetes mellitus: An overview of the types, symptoms, complications and management. Nurs. Stand. 2022, 37, 61–66. [Google Scholar] [CrossRef] [PubMed]
- Zheng, Y.; Ley, S.H.; Hu, F.B. Global aetiology and epidemiology of type 2 diabetes mellitus and its complications. Nat. Rev. Endocrinol. 2018, 14, 88–98. [Google Scholar] [CrossRef] [PubMed]
- Krause Mda, S.; de Bittencourt, P.I., Jr. Type 1 diabetes: Can exercise impair the autoimmune event? The L-arginine/glutamine coupling hypothesis. Cell Biochem. Funct. 2008, 26, 406–433. [Google Scholar] [CrossRef] [PubMed]
- Ko, H.H.; Chien, W.C.; Lin, Y.H.; Chung, C.H.; Cheng, S.J. Examining the correlation between diabetes and odontogenic infection: A nationwide, retrospective, matched-cohort study in Taiwan. PLoS ONE 2017, 12, e0178941. [Google Scholar] [CrossRef] [PubMed]
- Acharyya, M.; Chakrabarti, B.K. Growth of breakdown susceptibility in random composites and the stick-slip model of earthquakes: Prediction of dielectric breakdown and other catastrophes. Phys. Rev. E Stat. Phys. Plasmas Fluids Relat. Interdiscip. Topics 1996, 53, 140–147. [Google Scholar] [CrossRef] [PubMed]
- Giaccari, A.; Sorice, G.; Muscogiuri, G. Glucose toxicity: The leading actor in the pathogenesis and clinical history of type 2 diabetes—Mechanisms and potentials for treatment. Nutr. Metab. Cardiovasc. Dis. 2009, 19, 365–377. [Google Scholar] [CrossRef] [PubMed]
- Hasegawa, J.; Hidaka, H.; Tateda, M.; Kudo, T.; Sagai, S.; Miyazaki, M.; Katagiri, K.; Nakanome, A.; Ishida, E.; Ozawa, D.; et al. An analysis of clinical risk factors of deep neck infection. Auris Nasus Larynx 2011, 38, 101–107. [Google Scholar] [CrossRef] [PubMed]
- Hidaka, H.; Ishida, E.; Suzuki, T.; Matsutani, S.; Kobayashi, T.; Takahashi, S. Unusual parapharyngeal extension of peritonsillar abscess to the masticator space: Successfully drained by extraoral and intraoral endoscopic approaches. Ann. Otol. Rhinol. Laryngol. 2014, 123, 333–337. [Google Scholar] [CrossRef] [PubMed]
- Lee, K.C.; Tami, T.A.; Echavez, M.; Wildes, T.O. Deep neck infections in patients at risk for acquired immunodeficiency syndrome. Laryngoscope 1990, 100, 915–919. [Google Scholar] [CrossRef] [PubMed]
- Sideris, G.; Sapountzi, M.; Malamas, V.; Papadimitriou, N.; Maragkoudakis, P.; Delides, A. Early detecting cervical necrotizing fasciitis from deep neck infections: A study of 550 patients. Eur. Arch. Otorhinolaryngol. 2021, 278, 4587–4592. [Google Scholar] [CrossRef] [PubMed]
- Chen, S.L.; Young, C.K.; Tsai, T.Y.; Chien, H.T.; Kang, C.J.; Liao, C.T.; Huang, S.F. Factors Affecting the Necessity of Tracheostomy in Patients with Deep Neck Infection. Diagnostics 2021, 11, 1536. [Google Scholar] [CrossRef] [PubMed]
- Cheng, N.C.; Tai, H.C.; Chang, S.C.; Chang, C.H.; Lai, H.S. Necrotizing fasciitis in patients with diabetes mellitus: Clinical characteristics and risk factors for mortality. BMC Infect. Dis. 2015, 15, 417. [Google Scholar] [CrossRef] [PubMed]
- Ho, C.Y.; Wang, Y.C.; Chin, S.C.; Chen, S.L. Factors Creating a Need for Repeated Drainage of Deep Neck Infections. Diagnostics 2022, 12, 940. [Google Scholar] [CrossRef] [PubMed]
- Herzon, F.S. Needle aspiration of nonperitonsillar head and neck abscesses. A six-year experience. Arch. Otolaryngol. Head Neck Surg. 1988, 114, 1312–1314. [Google Scholar] [CrossRef] [PubMed]
- Huang, T.T.; Tseng, F.Y.; Yeh, T.H.; Hsu, C.J.; Chen, Y.S. Factors affecting the bacteriology of deep neck infection: A retrospective study of 128 patients. Acta Otolaryngol. 2006, 126, 396–401. [Google Scholar] [CrossRef] [PubMed]
- Karkas, A.; Chahine, K.; Schmerber, S.; Brichon, P.Y.; Righini, C.A. Optimal treatment of cervical necrotizing fasciitis associated with descending necrotizing mediastinitis. Br. J. Surg. 2010, 97, 609–615. [Google Scholar] [CrossRef] [PubMed]
- Lee, Y.Q.; Kanagalingam, J. Bacteriology of deep neck abscesses: A retrospective review of 96 consecutive cases. Singapore Med. J. 2011, 52, 351–355. [Google Scholar] [CrossRef] [PubMed]
- Mackowiak, P.A.; Martin, R.M.; Smith, J.W. The role of bacterial interference in the increased prevalence of oropharyngeal gram-negative bacilli among alcoholics and diabetics. Am. Rev. Respir. Dis. 1979, 120, 589–593. [Google Scholar] [PubMed]
- Sahly, H.; Podschun, R.; Ullmann, U. Klebsiella infections in the immunocompromised host. Adv. Exp. Med. Biol. 2000, 479, 237–249. [Google Scholar] [CrossRef] [PubMed]
- El-Sayed, Y.; al Dousary, S. Deep-neck space abscesses. J. Otolaryngol. 1996, 25, 227–233. [Google Scholar] [PubMed]
- Vieira, F.; Allen, S.M.; Stocks, R.M.; Thompson, J.W. Deep neck infection. Otolaryngol. Clin. N. Am. 2008, 41, 459–483. [Google Scholar] [CrossRef] [PubMed]
- Leibovici, L.; Yehezkelli, Y.; Porter, A.; Regev, A.; Krauze, I.; Harell, D. Influence of diabetes mellitus and glycaemic control on the characteristics and outcome of common infections. Diabet. Med. 1996, 13, 457–463. [Google Scholar] [CrossRef]
- UK Prospective Diabetes Study (UKPDS) Group. Intensive blood-glucose control with sulphonylureas or insulin compared with conventional treatment and risk of complications in patients with type 2 diabetes (UKPDS 33). Lancet 1998, 352, 837–853. [Google Scholar] [CrossRef]
- Diabetes, C.; Complications Trial Research, G.; Nathan, D.M.; Genuth, S.; Lachin, J.; Cleary, P.; Crofford, O.; Davis, M.; Rand, L.; Siebert, C. The effect of intensive treatment of diabetes on the development and progression of long-term complications in insulin-dependent diabetes mellitus. N. Engl. J. Med. 1993, 329, 977–986. [Google Scholar] [CrossRef]
- Brook, I. Anaerobic bacteria in upper respiratory tract and other head and neck infections. Ann. Otol. Rhinol. Laryngol. 2002, 111, 430–440. [Google Scholar] [CrossRef] [PubMed]
- Stalfors, J.; Adielsson, A.; Ebenfelt, A.; Nethander, G.; Westin, T. Deep neck space infections remain a surgical challenge. A study of 72 patients. Acta Otolaryngol. 2004, 124, 1191–1196. [Google Scholar] [CrossRef] [PubMed]
- Dixon, C.J.; Knight, T.; Binns, E.; Ihaka, B.; O’Brien, D. Clinical measures of balance in people with type two diabetes: A systematic literature review. Gait Posture 2017, 58, 325–332. [Google Scholar] [CrossRef]
Disclaimer/Publisher’s Note: The statements, opinions and data contained in all publications are solely those of the individual author(s) and contributor(s) and not of MDPI and/or the editor(s). MDPI and/or the editor(s) disclaim responsibility for any injury to people or property resulting from any ideas, methods, instructions or products referred to in the content. |
© 2024 by the authors. Licensee MDPI, Basel, Switzerland. This article is an open access article distributed under the terms and conditions of the Creative Commons Attribution (CC BY) license (https://creativecommons.org/licenses/by/4.0/).

