Next Article in Journal
Health-Related Quality of Life and Healthcare Events in Patients with Monotherapy of Anti-Diabetes Medications
Next Article in Special Issue
The Chain of Custody in the Era of Modern Forensics: From the Classic Procedures for Gathering Evidence to the New Challenges Related to Digital Data
Previous Article in Journal / Special Issue
Focus on Liability of Residences for Elderly and Sick People: A Case Series and Medico-Legal Issues
 
 
Font Type:
Arial Georgia Verdana
Font Size:
Aa Aa Aa
Line Spacing:
Column Width:
Background:
Case Report

Useful Evidence by Post-Mortem CT and Stereomicroscopy in Bone Injury: A Case Series from Forensic Practice

1
Section of Legal Medicine, Department of Health Promotion, Mother and Child Care, Internal Medicine and Medical Specialties, University of Palermo, I-90129 Palermo, Italy
2
Radiology Unit, Department of Biomedicine, Neuroscience and Advanced Diagnostics, University of Palermo, Via del Vespro 129, I-90127 Palermo, Italy
*
Author to whom correspondence should be addressed.
Healthcare 2023, 11(4), 540; https://doi.org/10.3390/healthcare11040540
Submission received: 31 December 2022 / Revised: 7 February 2023 / Accepted: 8 February 2023 / Published: 11 February 2023
(This article belongs to the Special Issue Old Issues and New Challenges in Forensic and Legal Medicine)

Abstract

:
The investigation of bone injuries is an essential topic in forensics. We sometimes have to deal with charred or dismembered human remains that have lost soft tissue, making it difficult to diagnose the mechanisms of injury that led to death. Our contribution aims to share with the scientific community how we approached two cases of very different bone injuries and the techniques used to differentiate relevant pathology findings of bone fragments. Two cases are analyzed from the case history of the forensic medicine institute of Palermo. PMCT made it possible to differentiate heat bone lesions from traumatic lesions. The stereomicroscope was superior to PMCT in being able to better characterize and evaluate shear injuries, allowing a more accurate measurement of acute lesions. Injury to bone remains can be appropriately investigated with rapid techniques such as PMCT and stereomicroscopy. The presented methodology shows the importance of a multidisciplinary approach when dealing with bone injuries in forensics that could find further applications in other circumstances to answer forensic questions.

1. Introduction

Bones are the body component most resistant to external damage. The bone tissue has a substantial dynamic capacity and can renew itself and change its form concerning the forces and pressures acting on it [1]. Understanding bone injury and its response to different damage have always been of great interest in clinical and forensic settings. The damages encountered in the cases illustrated are bladed injuries, traumatic injuries, and heat injuries. The damaging action of a blade on the bone results in V-shaped lesions with sharp apexes [2]. In the case of blunt injuries, it is helpful to identify the presence or absence of a linear transverse “V”-shaped shear section, trauma-associated fractures, loss or accumulation of tissue adjacent to the injury, or the presence of characteristic bone striations [3]. Exposure to a heat source causes collagen dehydration, resulting in a loss of bone elasticity that alters structural integrity and results in deformation and retraction of the bone surface [4,5]. Bone dehydration occurs at temperatures between 100 and 600 °C. It is always in the range of these temperatures that bone begins to deform and fracture [6]. During combustion, the bone changes its coloring. Several studies have shown that color variation can be associated with a specific exposure temperature [7,8,9]. In this regard, bone macroscopic analysis can provide information about circumstantial data and the manner of death.
Post-mortem CT (PMTC) has two significant advantages over conventional X-rays: three-dimensional image reconstruction and the ability to quantify X-ray attenuation. It is a non-invasive technique that allows images to be acquired in less than 15 min and is an essential guide to the subsequent autopsy investigation [10]. PMCT has proved very useful in studying bone lesions in charred corpses, allowing differentiation between heat-induced and traumatic fractures [11,12].
The presented cases show how the application ofa multidisciplinary approach involving the pathologist, the anthropologist, and the radiologist, by using PMCT and stereomicroscopic evaluation in two cases of present bone injury in a forensic context.

2. Case Series

2.1. Case 1

A dismembered body of a 47-year-old woman was found in the countryside. The dismembered remains had an overall length of 101 cm. The finding as a whole consisted of the lower half of the human body, with remnants of the vertebral column, pelvis, and lower limbs. External inspection showed signs of fraying and substance loss at the first lumbar vertebra level, while the subsequent vertebrae were perfectly fused. The bony surfaces and intervertebral discs were diffusely irregular, characterized by diffuse areas of loss of substance and dimpling. At the anterolateral right side of the soma of the third lumbar vertebra, there was a linear, central horizontal axis, sharp-edged wound, approximately 2.5 cm in length, which deepened into the bone tissue by a few millimeters. The surface of the left iliac crest was irregular and jagged due to the action of the macrofauna. Two acute-angled bone incisions were also present.

2.2. Case 2

A 16-year-old man was found dead in his car following a car accident. His body was found charred inside the car. On external inspection, the corpse showed a fracture of the cranial vault from a burst with exposure of the brain mass; injury to the vertex; disintegration of the parietal bones; silvery discoloration of the outer edge of the right orbit, and the residual part of the nasal pyramid; amputation at the level of the lower third of the right arm, the upper third of the left forearm, as well as at the middle third of the right thigh, the upper third of the left leg; fracture of the right tibia; initial greyish-black discoloration of the exposed stump of the middle third of the right thigh; a residual fraction of femur and tarsal bones with tendon exposure.
The autopsy showed multiple right costal fractures at the contralateral end of the sternal dumbbell. The heat burns also resulted in burst fractures involving the bones of the neuro- and splanchnocranium, as well as the upper and lower limbs; in addition to these fractures, there were traumatic injuries involving the thoracic and pelvic-sacral region.

2.3. PMCT Finding

Before the autopsy, PM-CT was carried out on 128-section multidetector CT scanners (Somatom Definition AS, Siemens Healthcare, Erlangen, Germany). The CT protocol consisted of a single total-body acquisition (nominal thickness 0.625 mm, reconstruction thickness 0.625 mm, and 1.25) In case 1, the three-dimensional CT reconstruction showedthe presence of shearing lesions at the level of the third lumbar vertebrae and the disruption of the cortical bone at the vertebral processes (Figure 1). In case 2, total-body CT scan showed multiple fracture rims with clean margins of the neurocranium, upper and lower limb fractures, multi-fragmented fracture of the right zygomatic bone and the nose, and fracture of the sternum; right costal fractures of II, IV, V, VII, and VIII;fracture of the right iliac spine, the right sacral half, the ischial branches, and the pubic bones bilaterally (Figure 2 and Figure 3). PMCT permitted to distinguish traumatic from heat fractures.

2.4. Stereomicroscope

In the laboratory, the bones were cleaned first by brushing and then washed with water with sieving of the water used for washing to avoid losing any valuable finds. Subsequently, bone fragments of the most significant interest were observed through a stereomicroscope(Carl Zeiss A772415, Carl Zeiss Co., Oberkochen, Germany) to determine the presence or absence of cut mark characteristics. In case 1,the lesion at the level of the intervertebral disc of the III vertebra appears linear, with an accumulation of tissue adjacent to the lesion and perfectly compatible with a stab lesion of a depth of 4 mm. The lesions at the level of the iliac crest present a “V” shape, a classic form of stabbing lesions(Figure 4). In case 2, the color variations of the charred remains were assessed using the Munsell, HEX, and RGB color scales to extrapolate the different exposure temperatures. The femur diaphysis, the cranium, and the long bones showed the typical changes of burned bones at stereomicroscopy analysis: color changes, fissuring, cracking, fractures, delamination of the cortical bone (Figure 5).

3. Discussion

The conventional autopsy has limitations that can be overcome through ancillary investigations [13].
When encountering stab wounds in forensic practice, a significant aid is provided by stereomicroscopy.A stereomicroscopeis is an inexpensive instrument readily available in forensic laboratories. It can be beneficial to differentiate a cut mark from a blunt trauma: regular edges due to the sharp mechanism and irregular edges due to the blunt mechanism [1,3]. A blunt weapon generates unstable, non-specific fractures. A blade generates typical striations on bone and cartilage. In addition, fractures are usually generated at the points of least resistance and are easily distinguishable from sharp injuries [14].
The action of a blade on a bone can generate hinge fractures. They are formed as a consequence of the retracting movement of the knife. This movement leads to a change in the orientation of the handle, which can prove a hinge fracture defect on the side of the cut mark opposite to the handedness of the individual [15]. Bernani et al. compared the use of the stereomicroscope and the electron microscope (SEM) in the study of false saw start. When comparing five parameters: the shape of the profiles, the shape of the walls, the pattern of the striae of the kerf floor, the shape of the bone islands, and the presence of bone debris, the use of the SM was equivalent in some of them [16]. Using a stereomicroscope to examine cut marks on bone may be sufficient in most cases. Regarding the burned body, the stereoscope investigation made it possible to isolate the different color shades of the cortical and thus extrapolate the average exposure temperatures(Table 1). Moreover, in case 2, stereomicroscopy analysis of burned bones showed the typical alterations of bones subjected to heat. Microscopic study is recommended in those cases where the usual macroscopic burning indicators are ambiguous or difficult to determine. In addition to temperature, other variables can influence the coloring of the bone. These are due to the presence or absence of organic material around the bone during combustion, discharge duration, or oxygen availability. Walker et al. showed that the availability of oxygen and the presence of organic material in the soil and oxygen availability are the factors that most influence bone color changes. Although important, the duration of heat action on the bone plays a minor role in color change. A recent experimental study showed that the color differences were minimal in bones charred after one hour and three hours. Moreover, this study stated that the duration of the burning process had less influence on bone color than other variables (temperature and environmental factors) [7]. In this regard, consistent data about the effects of the duration of burning on bone features are limited in the literature. As we mentioned before, one of the factors that influences the transformation of burnt bone is the presence of oxygen, therefore concerning open, airy environments rich in greater availability of vegetable oxygen. In the presence of oxygen, the temperatures reached are much higher, and therefore, the burnt bones’ color change is faster. The range of colors observed in charred bones is different in the absence of oxygen. A variation of colors is observed, which is slowed down. In carbonized bone (lacking oxygen), the color varies from white to white-yellow and yellow to red-brown at 300 °C. After this phase, at 600 °C, the color of the bone is black, while at 900°, and the bone remains black with reddish hues. Higher temperatures are appreciated more quickly in the bone burned in oxygen-rich environments and in the open air. At 350 °C, the bone becomes dark red-brown. From 400 to 600°, it becomes gray, while at temperatures higher than 900–1000 °C, the color of the bone becomes bright white [9,17,18,19]. The stereomicroscopy made it possible to evaluate the different bone colors due to exposure to a heat source [7,8,9]. In particular, the dominant colors ranged from red to brown. In some places, variations of grey and black were found.
On the other hand, a femoral fragment showed bluish-grey color, suggestingan exposure at about 500°/700°. A fracture could explain the colorimetric difference from other bones due to the trauma of the accident before heat exposure. The heat could have acted to a greater extent on this fragment not being covered and protected by soft tissues. In other fragments, the temperature was estimated at about 300°.
PMCT is essential in the case of knife injuries when the corpse is not dismembered [20]. Another tool in a forensic setting is the use of magnetic resonance imaging (MRI). It is used as a complement to PMCT investigation as it is excellent at recognizing soft tissue contrast. MRI allows the study of fluid accumulation at the soft-tissue level. However, in forensic analysis, decomposing bodies show extensive fluid collections in dependent subcutaneous fat areas, which may mask post-traumatic findings and produce false-positive MRI results [21]. MRI is recommended to diagnose sudden cardiac death or soft tissue trauma such as stab wounds, blunt force, or age determination [22]. In our cases, PMCT, stereomicroscope, and autopsy were sufficient in discriminating the different injuries. Indeed, PMCTmakes it possible to assess the blade’s path inside the body, in some cases providing more information than autopsy alone. Our case, however, involved dismembered remains. The 3D reconstruction showed the presence of a stab wound to the third vertebra and the destruction of the bony cortical. Through autopsy, these injuries were easily visible.
PMCT has proven useful, especially in traumatic injuries following road accidents [10,23,24]. Forensic medicine is interested in the study of accidents to describe the events that caused the damage, and the reconstruction of accidents and cause and manner of death is essential [25]. When the vehicle catches fire after an accident, it can be difficult to differentiate the pathophysiology of fractures. In this regard, three-dimensional reconstruction of bone fractures can improve diagnostic accuracy [26,27].
Another critical point is the age of the victims. The bones of young people have a different response to heat and blunt trauma than older bones. A recent experimental study showed that younger bone may fragment less than older bone because it can withstand more significant deformation before reaching the fracture point threshold [28]. Even before the autopsy, PMCT can make it possible to differentiate traumatic injuries from heat injuries based on their morphology [13,29,30]. The traumatic bone fractures can be distinguished from heat fractures as they are multifractured and less organized. Heat fractures, on the other hand, show clear margins or clear amputations. Heat fractures of the cranial theca in case 2 were evident: CT scan reported heat fractures as linear and with clear margins.According to literature trans-diploid fractures correspond to the separation of the inner and outer plates of the skull under the action of heat. Moreover, trans-diploid fractures are characterized by the separation of the inner and outer plates of the skull under the action of heat, and by a longitudinal fracture line that crosses the diploe parallel to the cortical bone. Differently, traumatic fractures typically affect both the inner and outer planks and are perpendicular to the bone’s surface.On extensively charred bodies, a complete split between the bone planks is possible, or even the disappearance of the outer bone plank under heat as areas of superficial delamination. Fractures or amputations of long bones have the typical blunt ends described as ‘flute-mouthpiece’ appearance [31,32].
Alongside the case 2 fractures were bony heat amputations of the upper and lower limbs. Heat fractures are thin and linear. If the extremities of the limbs are affected, heat amputations can be observed with regular margins. Such amputations differ from traumatic amputations because they are not covered by soft tissue or skeletal muscle [13]. Furthermore, in some cases, fragmentation can be observed. In our case, PMCT highlighted traumatic fractures involving the eyelid rhyme, sternum, ribs, and pelvic bones. Heat fractures were highlighted at the cranium and the upper and lower limbs.

4. Conclusions

Three-dimensional reconstruction made it possible to highlight and better characterize bone fracture and guide the subsequent autopsy investigation. In case of stab wounds, the use of stereomicroscopy can be essential to highlight several signs such as contusion or the precise size of bone lesions, guaranteeing a more excellent characterization of the presented bone injuries. The combined use of PMCT and stereomicroscopy is also helpful in the case of charred subjects. Stereomicroscopy, due to greater precision regarding the exposure temperature of the bone, allows a study of the variations in color according to heat and environmental factors.The burned bone undergoes organic changes also involving density, which could be investigated in the future by PMCT investigation to provide further information for forensic purposes. In the presented cases, the combined use of PMCT and stereomicroscopy was essential to evaluate the bone injuries. The presented methodology demonstrates the importance of a multidisciplinary approach when dealing with bone injuries in forensics that could find further applications in other circumstances to answer forensic questions.

Author Contributions

Conceptualization, G.D.A., S.Z. and A.A. (Antonina Argo); methodology, A.A. (Antonina Argo) and S.Z.; validation, S.Z., G.M. and A.A. (Alberto Alongi); formal analysis, G.F.L.R., S.S. and D.P.; investigation, A.A. (Alberto Alongi) and G.M.; resources, G.S. and M.P.; data curation, M.P. and G.S.; writing—original draft preparation, G.D.A., G.S. and M.P.; writing—review and editing, A.A. (Antonina Argo) and S.Z.; visualization, G.F.L.R., S.S. and G.M.; supervision, S.Z. and A.A. (Antonina Argo) All authors have read and agreed to the published version of the manuscript.

Funding

This research did not receive any specific grant from funding agencies in the public, commercial, or not-for-profit sectors.

Institutional Review Board Statement

The manuscript describes a series of human studies performed in charge of Prosecutor Office for Forensic purposes; therefore, Ethics Committee or Institutional Review Board approval is not required All procedures performed in this study were in accordance with the ethical standards of the institution and with the 1964 Helsinki Declaration and its later amendments or comparable ethical standards.

Informed Consent Statement

Informed consent was obtained from the relatives by Prosecutor Office.

Data Availability Statement

All data are included in the main text.

Conflicts of Interest

The authors declare no conflict of interest.

References

  1. Spatola, G.F.; Uzzo, M.L.; Lanzarone, A.; Piscionieri, D.; Daricello, D.; Zerbo, S. Forensic Medicine from Identification to Post-Mortem Imaging, 1st ed.; Lo Re, G., Argo, A., Midiri, M., Cattaneo, C., Eds.; Springer: New York, NY, USA, 2020; pp. 87–91. ISBN 978-3-319-96736-3. [Google Scholar]
  2. Walternberger, L.; Schutkowski, H. Effects of heat on cut mark characteristics. Forensic Sci. Int. 2017, 271, 49–58. [Google Scholar] [CrossRef]
  3. Nogueira, L.; Quatrehomme, G.; Bertrand, M.; Rallon, C.; Ceinos, R.; Du Jardin, P.; Adalian, P.; Alunni, V. Comparison of macroscopic and microscopic (stereomicroscopy and scanning electron microscopy) features of bone lesions due to hatchet hacking trauma. Int. J. Legal Med. 2017, 131, 465–472. [Google Scholar] [CrossRef]
  4. Robbins, S.C.; Fairgrieve, I.S.; Oost, T.S. Interpreting the Effects of Burning on Pre-incineration Saw Marks in Bone. J. Forensic Sci. 2015, 60, 182–187. [Google Scholar] [CrossRef]
  5. Herrmann, N.P.; Bennet, J.L. The differentiation of traumatic and heat-related fractues in burned bone. J. Forensic Sci. 1999, 44, 461–469. [Google Scholar] [CrossRef]
  6. Thompson, T.U.J. Recent advances in the study of burned bone and their implications for forensic anthropology. Forensic Sci. Int. 2004, 146, 203–205. [Google Scholar] [CrossRef]
  7. Walker, P.; Miller, K.; Richman, R. Experimental Study of the Effects of Environmental Conditions on the Color and Organic Content of Cremated Bone; Schmidt, C.W., Symes, S.A., Eds.; Academic Press: London, UK, 2008; ISBN 978-0-12-372510-3. [Google Scholar]
  8. Absolonovà, K.; Dobisikovà, M.; Beran, M.; Zocovà, J.; Veleminsky, P. The temperature of cremation and its effect on the microstructure of the human rib compact bone. Anthropol. Anz. 2012, 69, 439–460. [Google Scholar] [CrossRef]
  9. Ellingham, S.T.D.; Thompson, T.J.U.; Islam, M.; Taylor, G. Estimating temperature exposure of burnt bone—A methodological review. Sci. Justice 2015, 55, 181–188. [Google Scholar] [CrossRef]
  10. Legrand, L.; Delabarde, T.; Souillard-Scemama, R.; Sec, I.; Plu, I.; Laborie, J.M.; Delannoy, Y.; Hamza, L.; Taccoen, M.; de Jong, L.; et al. Comparison between post mortem computed tomography and autopsy in the detection of traumatic head injuries. J. Neuroradiol. 2020, 47, 5–12. [Google Scholar] [CrossRef]
  11. Coty, J.B.; Nedelcu, C.; Yahya, S.; Dupont, V.; Rouge’-Maillart, C.; Verschoore, M.; Ridereau Zins, C.; Aube, C. Burned body: Post-mortemcomputedtomography, an essential tool for modern forensic medicine. InsinghtsImaging 2018, 9, 731–743. [Google Scholar] [CrossRef]
  12. de Bakker, H.M.; Roelandt, G.H.J.; Soerdjbalie-Maikoe, V.; van Rijn, R.R.; de Bakker, B.S. The value of post-mortem computed tomography of burned victims in a forensic setting. Eur. Radiol. 2019, 29, 1912–1921. [Google Scholar] [CrossRef]
  13. Levy, A.D.; Harcke, H.T.; Getz, J.M.; Mallak, C.T. Multidetector Computed Tomography Findings in Deaths With Severe Burns. Am. J. Forensic Med. Pathol. 2009, 30, 137–141. [Google Scholar] [CrossRef]
  14. Alunni, V.; Nogueira, L.; Quatrehomme, G. Macroscopic and stereomicroscopic comparison of hacking trauma of bones before and after carbonization. Int. J. Legal Med. 2018, 132, 643–648. [Google Scholar] [CrossRef]
  15. Spagnoli, L.; Amadasi, A.; Frustaci, M.; Mazzarelli, D.; Porta, D.; Cattaneo, C. Characteristics and time-dependence of cut marks and blunt force fractures on costal cartilages: An experimental study. Forensic Sci. Med. Pathol. 2016, 12, 26–32. [Google Scholar] [CrossRef]
  16. Kooi, R.; Fairgrieve, S. SEM and Stereomicroscopic Analysis of Cut Marks in Fresh and Burned Bone. J. Forensic Sci. 2013, 58, 452–458. [Google Scholar] [CrossRef]
  17. Gallo, G.; Fyhrie, M.; Paine, C.; Ushakov, V.S.; Izuho, M.; Gunchinsuren, B.; Zwyns, N.; Navrotsky, A. Characterization of structural changes in modern and archaeological burnt bone: Implications for differential preservation bias. PLoS ONE 2021, 16, e0254529. [Google Scholar] [CrossRef]
  18. Reidsma, F.H.; van Hoesel, A.; van Os, B.J.H.; Megens, L.; Braadbaart, F. Charred bone: Physical and chemical changes during laboratorysimulated heating under reducing conditions and its relevance for thestudy of fire use in archaeology. J. Archaeol. Sci. Rep. 2016, 10, 282–292. [Google Scholar] [CrossRef]
  19. van Hoesel, A.; Reidsma, F.H.; van Os, B.J.H.; Megens, L.; Braadbaart, F. Combusted bone: Physical and chemical changes of bone during laboratory simulated heating under oxidising conditions and their relevance for the study of ancient fire use. J. Archaeol. Sci. Rep. 2019, 28, 102033. [Google Scholar] [CrossRef]
  20. Bernardi, C.; Nougueira, L.; Cabusat-Mailliet, C.; Alunni, V.G.; Quatrehomme, G. Analysis of false stars lesions on human bones produced by two hand saw with TPI. Int. J. Legal Med. 2020, 134, 613–618. [Google Scholar] [CrossRef]
  21. Ross, S.; Ebner, L.; Flach, P.; Brodhage, R.; Bolliger, S.A.; Christe, A.; Thali, M.J. Postmortem Whole-Body MRI in Traumatic Causes of Death. Am. J. Roentgenol. 2012, 199, 1186–1192. [Google Scholar] [CrossRef]
  22. Grabherr, S.; Baumann, P.; Minoiu, C.; Fahrni, S.; Mangin, P. Post-mortem imaging in forensic investigations: Current utility, limitations, and ongoing developments. RRFMS 2016, 6, 25–37. [Google Scholar] [CrossRef]
  23. Takahashi, Y.; Sano, R.; Hayakawa, A.; Fukuda, H.; Kubo, R.; Okawa, T.; Tokue, H.; Takei, H.; Kominato, Y. Superimposed CT imaging using fusion function to visualize the relationship between the knife and the wound path in a stabbing victim. J. Forensic Sci. 2021, 66, 1148–1153. [Google Scholar] [CrossRef] [PubMed]
  24. Zerbo, S.; Di Piazza, A.; Lo Re, G.; Aronica, G.L.; Salerno, S.; Lagalla, R. Utility of post mortem computed tomography in clivus fracture diagnosis. Case illustration and literature review. Leg. Med. 2018, 30, 42–45. [Google Scholar] [CrossRef] [PubMed]
  25. Jalalzadeh, H.; Giannakopoulos, G.F.; Berger, H.F.; Fronczek, J.; van de Goot, F.R.; Reijnders, U.J.; Zuidema, P.W. Post-mortem imaging compared with autopsy in trauma victims—A systematic review. Forensic Sci. Int. 2015, 257, 29–48. [Google Scholar] [CrossRef] [PubMed]
  26. Golfo, S.; VirzìMariotti, G.; Carollo, F.; Argo, A.; Barbaraci, G. Safety considerations on teenage pedestrian-bus impact. Proc. Inst. Mech. Eng. Part D J. Automob. Eng. 2019, 233, 3839–3856. [Google Scholar] [CrossRef]
  27. Salerno, S.; Zerbo, S.; Vinci, A.; Lanzarone, A.; Baldino, G.; Procaccianti, P.; Lo Re, G.; Argo, A. Role of post mortem computed tomography in diagnosis of uppercervical fractures in child due to road accident: A case report and literature review. Med. Leg. J. 2019, 87, 151–155. [Google Scholar] [CrossRef]
  28. Waterhouse, K. The effect of victim age on burnt bone fragmentation: Implications for remains recovery. Forensic Sci. Int. 2013, 231, 409.e1–409.e7. [Google Scholar] [CrossRef]
  29. Feola, A.; De Simone, M.; Ciamarra, P.; Sica, S.; Buonomo, C.; Carfora, A.; Campobasso, C.P. Chronic Encapsulated Intracerebral Hematoma as an Occasional Finding in Sudden Cardiac Death. Healthcare 2022, 10, 2053. [Google Scholar] [CrossRef]
  30. Mascolo, P.; Feola, A.; Zangani, P.; Famularo, D.; Liguori, B.; Mansueto, G.; Campobasso, C.P. Waterhouse Friderichsen Syndrome: Medico-legal issues. Forensic Sci. Int. Rep. 2021, 4, 100235. [Google Scholar] [CrossRef]
  31. Hammarlebiod, S.; Farrugia, A.; Bierry, G.; Raul, J.S.; Willaume, T. Thermal bone injuries: Postmortem computed tomography findings in 25 cases. Int. J. Legal Med. 2022, 136, 219–227. [Google Scholar] [CrossRef]
  32. Maglietta, F.; Sessa, F.; Albano, G.D.; Bertozzi, G.; Giugliano, P.; Vacchiano, G.; Salerno, M. Italian mafia: A focus on Apulia mafia with a literature review. Acta Med. Mediterr. 2017, 6, 947–952. [Google Scholar]
Figure 1. Case 1. PMCT Coronal plane reconstruction. (AC) Axial PMCT planes show disruption of the cortical bone at the vertebral processes (yellow arrows). (D) Three-dimensional volume rendering reconstruction.
Figure 1. Case 1. PMCT Coronal plane reconstruction. (AC) Axial PMCT planes show disruption of the cortical bone at the vertebral processes (yellow arrows). (D) Three-dimensional volume rendering reconstruction.
Healthcare 11 00540 g001
Figure 2. Case 2. Three-dimensional VR coronal deformatted images made by the dedicated workstation. (A) Burst fracture of the cranial theca. (B,C) Flutemouthpiece of the long bones and thermal delamination of the cortical of the left femur.
Figure 2. Case 2. Three-dimensional VR coronal deformatted images made by the dedicated workstation. (A) Burst fracture of the cranial theca. (B,C) Flutemouthpiece of the long bones and thermal delamination of the cortical of the left femur.
Healthcare 11 00540 g002
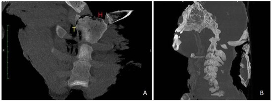
Figure 3. Case 2. (A) Paracoronal reformatted MIP-SLAB (20 mm). T: traumatic fracture; H: heat fracture. (B) Sagittal reformatted MIP-SLAB (50 mm). Explosion of the cranial vault.
Figure 3. Case 2. (A) Paracoronal reformatted MIP-SLAB (20 mm). T: traumatic fracture; H: heat fracture. (B) Sagittal reformatted MIP-SLAB (50 mm). Explosion of the cranial vault.
Healthcare 11 00540 g003
Figure 4. View of bone lesions with stereomicroscopy (Carl Zeiss A772415, CarlZeiss Co., Oberkochen, Germany) of case 1 (scale bar 5:1). (A) Lesion at the level of the III lumbar vertebra (zoom ×3.2). It appears linear, with clean margins, perfectly referable to the action of a blade; (B) lesions at the level of the iliac wing (zoom ×3.2). The classic ‘V’ shape and sharp margins can be seen. (C,D) Detail of the “V” shape (zoom ×3.6).
Figure 4. View of bone lesions with stereomicroscopy (Carl Zeiss A772415, CarlZeiss Co., Oberkochen, Germany) of case 1 (scale bar 5:1). (A) Lesion at the level of the III lumbar vertebra (zoom ×3.2). It appears linear, with clean margins, perfectly referable to the action of a blade; (B) lesions at the level of the iliac wing (zoom ×3.2). The classic ‘V’ shape and sharp margins can be seen. (C,D) Detail of the “V” shape (zoom ×3.6).
Healthcare 11 00540 g004
Figure 5. Case 2. Stereo microscopy view of several bone fragments. (A) Femur diaphysis: typical staining from exposure to a temperature of around 300/400 °C (brown-greyish-reddish) (B). Cranial fragment: the yellow arrow indicates the typical heat bone fracture, characterized by being thin and with regular margins. (C) Cortical of long bone: the bluish-white-grey coloring, the deep heat fissuring (indicated by the yellow arrow) and the thin cracks (outer third of the bone cortical) due to the effect of loss of organic matrix of the bone under the effect of heat can be appreciated in detail. (D) Phenomenon of delamination of the cortical bone.
Figure 5. Case 2. Stereo microscopy view of several bone fragments. (A) Femur diaphysis: typical staining from exposure to a temperature of around 300/400 °C (brown-greyish-reddish) (B). Cranial fragment: the yellow arrow indicates the typical heat bone fracture, characterized by being thin and with regular margins. (C) Cortical of long bone: the bluish-white-grey coloring, the deep heat fissuring (indicated by the yellow arrow) and the thin cracks (outer third of the bone cortical) due to the effect of loss of organic matrix of the bone under the effect of heat can be appreciated in detail. (D) Phenomenon of delamination of the cortical bone.
Healthcare 11 00540 g005
Table 1. Literature on the colorimetric variations tosuggest the exposure temperature of the bone fragments.
Table 1. Literature on the colorimetric variations tosuggest the exposure temperature of the bone fragments.
T in °CWalker, Miller, and Richman, 2008 [7]Absolonovà, Dobisikovà, Beran, Zocovà, and Veleminsky, 2012 [8]Ellingham, Thompson, Islam, and Taylor, 2014 [9]
100BrownishYellowishYellow-white
200BrownGrey-brown or dark brownYellow-white
300BlackDark brown to blackBrown-black-reddish-dark grey
400Brown-greyishDark brown to blackBrown-black-reddish-dark grey
500Dark greyLight grey/light blue greyGrey-black-blue/grey-reddish yellow spots
600GreyTending to whiteGrey-black-blue/grey-reddish yellow spots
700Light greyBright white, greyish-white, bluish-grey or dark greyMilk white-grey/blue spots
800Ever lighter greyWhiteWhite
Disclaimer/Publisher’s Note: The statements, opinions and data contained in all publications are solely those of the individual author(s) and contributor(s) and not of MDPI and/or the editor(s). MDPI and/or the editor(s) disclaim responsibility for any injury to people or property resulting from any ideas, methods, instructions or products referred to in the content.

Share and Cite

MDPI and ACS Style

Albano, G.D.; Scalzo, G.; Malta, G.; Puntarello, M.; Alongi, A.; Piscionieri, D.; Lo Re, G.F.; Salerno, S.; Zerbo, S.; Argo, A. Useful Evidence by Post-Mortem CT and Stereomicroscopy in Bone Injury: A Case Series from Forensic Practice. Healthcare 2023, 11, 540. https://doi.org/10.3390/healthcare11040540

AMA Style

Albano GD, Scalzo G, Malta G, Puntarello M, Alongi A, Piscionieri D, Lo Re GF, Salerno S, Zerbo S, Argo A. Useful Evidence by Post-Mortem CT and Stereomicroscopy in Bone Injury: A Case Series from Forensic Practice. Healthcare. 2023; 11(4):540. https://doi.org/10.3390/healthcare11040540

Chicago/Turabian Style

Albano, Giuseppe Davide, Giovanni Scalzo, Ginevra Malta, Maria Puntarello, Alberto Alongi, Donatella Piscionieri, Giuseppe Francesco Lo Re, Sergio Salerno, Stefania Zerbo, and Antonina Argo. 2023. "Useful Evidence by Post-Mortem CT and Stereomicroscopy in Bone Injury: A Case Series from Forensic Practice" Healthcare 11, no. 4: 540. https://doi.org/10.3390/healthcare11040540

APA Style

Albano, G. D., Scalzo, G., Malta, G., Puntarello, M., Alongi, A., Piscionieri, D., Lo Re, G. F., Salerno, S., Zerbo, S., & Argo, A. (2023). Useful Evidence by Post-Mortem CT and Stereomicroscopy in Bone Injury: A Case Series from Forensic Practice. Healthcare, 11(4), 540. https://doi.org/10.3390/healthcare11040540

Note that from the first issue of 2016, this journal uses article numbers instead of page numbers. See further details here.

Article Metrics

Back to TopTop