Toxic Epidermal Necrolysis, A Serious Side Effect of Tenoxicam Use: A Case Report
Abstract
1. Introduction
2. Case Presentation
3. Discussion
3.1. Clinical Presentation and Diagnosis
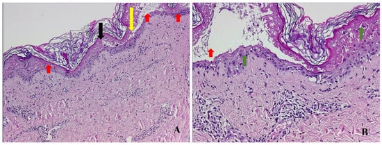
3.2. Skin Biopsy and Pathophysiology
3.3. Differential Diagnosis
3.4. Prognostic Scores
3.5. Treatment Algorithm and Multidisciplinary Approach
4. Conclusions
Author Contributions
Funding
Institutional Review Board Statement
Informed Consent Statement
Data Availability Statement
Acknowledgments
Conflicts of Interest
References
- Mockenhaupt, M.; Viboud, C.; Dunant, A.; Naldi, L.; Halevy, S.; Bouwes Bavinck, J.N.; Sidoroff, A.; Schneck, J.; Roujeau, J.C.; Flahault, A. Stevens-Johnson syndrome and toxic epidermal necrolysis: Assessment of medication risks with emphasis on recently marketed drugs. The EuroSCAR-study. J. Investig. Dermatol. 2008, 128, 35–44. [Google Scholar] [CrossRef]
- Kameshwari, J.S.; Devde, R. A case report on toxic epidermal necrolysis with etoricoxib. Indian J. Pharmacol. 2015, 47, 221–223. [Google Scholar] [CrossRef] [PubMed]
- Halevy, S.; Ghislain, P.D.; Mockenhaupt, M.; Fagot, J.P.; Bouwes Bavinck, J.N.; Sidoroff, A.; Naldi, L.; Dunant, A.; Viboud, C.; Roujeau, J.C.; et al. Allopurinol is the most common cause of Stevens-Johnson syndrome and toxic epidermal necrolysis in Europe and Israel. J. Am. Acad. Dermatol. 2008, 58, 25–32. [Google Scholar] [CrossRef]
- Nakamura, R.; Ochi, F.; Chisaka, T.; Jogamoto, T.; Eguchi, M. Acetaminophen-induced Stevens-Johnson syndrome with lethal lung injury: A case report. Clin. Case Rep. 2022, 10, e6294. [Google Scholar] [CrossRef] [PubMed]
- Shakya, P.; Sharma Nepal, A. Daunorubicin induced Stevens-Johnson syndrome: A case report. Clin. Case Rep. 2021, 9, e04475. [Google Scholar] [CrossRef]
- Kurian, C.J.; Desai, A.; Rafferty, W.; Abou Hussein, A.K. Case report: Alpelisib-induced Stevens-Johnson syndrome. Front. Oncol. 2022, 12, 954027. [Google Scholar] [CrossRef]
- Morales-Conde, M.; López-Ibáñez, N.; Calvete-Candenas, J.; Mendonça, F.M.I. Fulvestrant-induced toxic epidermal necrolysis. An. Bras. Dermatol. 2019, 94, 218–220. [Google Scholar] [CrossRef] [PubMed]
- Deng, M.; Chai, H.; Yang, M.; Wei, X.; Zhang, W.; Wang, X.; Li, J.; Wang, Z.; Chen, H. Stevens-Johnson Syndrome Caused by Enzalutamide: A Case Report and Literature Review. Front. Oncol. 2021, 11, 736975. [Google Scholar] [CrossRef]
- Cokan, A.; Gavrić Lovrec, V.; Takač, I. A Case of Stevens-Johnson Syndrome in Recurrent Late-Stage Ovarian Cancer Patient after Management of Chronic Pain with Elastomeric Pump. Curr. Oncol. 2021, 28, 2928–2932. [Google Scholar] [CrossRef]
- Holfinger, S.; Roy, A.; Schmidt, M. Stevens-Johnson Syndrome after Armodafinil Use. J. Clin. Sleep Med. 2018, 14, 885–887. [Google Scholar] [CrossRef]
- Prince, V.; Philippidou, M.; Walsh, S.; Creamer, D. Stevens-Johnson syndrome induced by modafinil. Clin. Exp. Dermatol. 2018, 43, 191–192. [Google Scholar] [CrossRef]
- Jawaro, T.; Kumar, A.; Pistun, O.; Dixit, D. Stevens-Johnson Syndrome Associated with Chlordiazepoxide. J. Pharm. Technol. 2018, 34, 82–85. [Google Scholar] [CrossRef] [PubMed]
- De Perosanz-Lobo, D.; Fernández-Nieto, D.; Burgos-Blasco, P.; Aroca-Ruiz, M.; Fernández-Guarino, M. Stevens-Johnson syndrome/toxic epidermal necrolysis induced by pirfenidone. Indian J. Dermatol. Venereol. Leprol. 2021, 87, 542–544. [Google Scholar] [CrossRef] [PubMed]
- Ogiji, E.D.; Maduba, C.C.; Nnadozie, U.U.; Okorie, G.M.; Ukoh, U.C.; Ezeanosike, E.; Umeokonkwo, C.D. Stevens-Johnson syndrome/toxic epidermal necrolysis overlap following sulfadoxine-pyrimethamine overdose: A case report. PAMJ-Clin. Med. 2022, 8, 9. [Google Scholar] [CrossRef]
- Lerch, M.; Mainetti, C.; Terziroli Beretta-Piccoli, B.; Harr, T. Current Perspectives on Stevens-Johnson Syndrome and Toxic Epidermal Necrolysis. Clin. Rev. Allergy Immunol. 2018, 54, 47–176. [Google Scholar] [CrossRef]
- Bastuji-Garin, S.; Rzany, B.; Stern, R.S.; Shear, N.H.; Naldi, L.; Roujeau, J.C. Clinical classification of cases of toxic epidermal necrolysis, Stevens-Johnson syndrome, and erythema multiforme. Arch. Dermatol. 1993, 129, 92–96. [Google Scholar] [CrossRef] [PubMed]
- Valeyrie-Allanore, L.; Wolkenstein, P.; Brochard, L.; Ortonne, N.; Maître, B.; Revuz, J.; Bagot, M.; Roujeau, J.C. Open trial of ciclosporin treatment for Stevens-Johnson syndrome and toxic epidermal necrolysis. Br. J. Dermatol. 2010, 163, 847–853. [Google Scholar] [CrossRef]
- Strom, B.L.; Carson, J.L.; Halpern, A.C.; Schinnar, R.; Snyder, E.S.; Shaw, M.; Tilson, H.H.; Joseph, M.; Dai, W.S.; Chen, D.; et al. A population-based study of Stevens-Johnson syndrome. Incidence and antecedent drug exposures. Arch. Dermatol. 1991, 127, 831–838. [Google Scholar] [CrossRef]
- Frey, N.; Jossi, J.; Bodmer, M.; Bircher, A.; Jick, S.S.; Meier, C.R.; Spoendlin, J. The Epidemiology of Stevens-Johnson Syndrome and Toxic Epidermal Necrolysis in the UK. J. Investig. Dermatol. 2017, 137, 1240–1247. [Google Scholar] [CrossRef] [PubMed]
- Saraogi, P.P.; Nayak, C.S.; Pereira, R.R.; Dhurat, R.S. Inadvertent Provocative Oral Ondansetron use Leading to Toxic Epidermal Necrolysis in an HIV-infected Patient. Indian J. Dermatol. 2012, 57, 503. [Google Scholar] [CrossRef]
- Gronich, N.; Maman, D.; Stein, N.; Saliba, W. Culprit Medications and Risk Factors Associated with Stevens-Johnson Syndrome and Toxic Epidermal Necrolysis: Population-Based Nested Case-Control Study. Am. J. Clin. Dermatol. 2022, 23, 257–266. [Google Scholar] [CrossRef] [PubMed]
- Schwartz, R.A.; McDonough, P.H.; Lee, B.W. Toxic epidermal necrolysis: Part I. Introduction, history, classification, clinical features, systemic manifestations, etiology, and immunopathogenesis. J. Am. Acad. Dermatol. 2013, 69, 173.e1–173.e13; quiz 185–186. [Google Scholar] [CrossRef] [PubMed]
- Roujeau, J.C.; Huynh, T.N.; Bracq, C.; Guillaume, J.C.; Revuz, J.; Touraine, R. Genetic susceptibility to toxic epidermal necrolysis. Arch. Dermatol. 1987, 123, 1171–1173. [Google Scholar] [CrossRef] [PubMed]
- Lonjou, C.; Borot, N.; Sekula, P.; Ledger, N.; Thomas, L.; Halevy, S.; Naldi, L.; Bouwes-Bavinck, J.N.; Sidoroff, A.; de Toma, C.; et al. A European study of HLA-B in Stevens-Johnson syndrome and toxic epidermal necrolysis related to five high-risk drugs. Pharm. Genom. 2008, 18, 99–107. [Google Scholar] [CrossRef]
- Nilsen, O.G. Clinical pharmacokinetics of tenoxicam. Clin. Pharmacokinet. 1994, 26, 16–43. [Google Scholar] [CrossRef]
- Gonzalez, J.P.; Todd, P.A. Tenoxicam. A preliminary review of its pharmacodynamic and pharmacokinetic properties, and therapeutic efficacy. Drugs 1987, 34, 289–310. [Google Scholar] [CrossRef]
- Merry, A.F.; Webster, C.S.; Holland, R.L.; Middleton, N.G.; Schug, S.A.; James, M.; McGrath, K.A. Clinical tolerability of perioperative tenoxicam in 1001 patients—A prospective, controlled, double-blind, multi-centre study. Pain 2004, 111, 313–322. [Google Scholar] [CrossRef] [PubMed]
- Vischer, T.L. Efficacy and tolerability of tenoxicam—An overview. Eur. J. Rheumatol. Inflamm. 1987, 9, 51–57. [Google Scholar] [CrossRef]
- Caughey, D.; Waterworth, R.F. A study of the safety of tenoxicam in general practice. N. Z. Med. J. 1989, 102, 582–583. [Google Scholar]
- Katsinelos, P.; Katsos, I.; Patsiaoura, K.; Xiarchos, P.; Goulis, I.; Eugenidis, N. Tenoxicam-associated hepatic injury: A case report and review. Eur. J. Gastroenterol. Hepatol. 1997, 9, 403–406. [Google Scholar] [CrossRef]
- Aroca García, M.D.; Luna Rodríguez, C.; Gallego Navarro, M.A.; Ortiz de Solar, E. Alopecia secundaria a tenoxicam. Un efecto adverso no descrito? [Alopecia secondary to tenoxicam. An undescribed adverse effect?]. Aten. Primaria 1997, 20, 157. [Google Scholar]
- Heintz, R.C. Tenoxicam and renal function. Drug Saf. 1995, 12, 110–119. [Google Scholar] [CrossRef] [PubMed]
- Tannenbaum, H.; Davis, P.; Russell, A.S.; Atkinson, M.H.; Maksymowych, W.; Huang, S.H.; Bell, M.; Hawker, G.A.; Juby, A.; Vanner, S.; et al. An evidence-based approach to prescribing NSAIDs in musculoskeletal disease: A Canadian consensus. Canadian NSAID Consensus Participants. Can. Med. Assoc. J. 1996, 155, 77–88. [Google Scholar]
- Jones, R.D.; Endre, Z.; Miles, W.; Prankerd, R.; Chilvers, M.; Willgoss, D. Tenoxicam IV for major gynaecological surgery—Effects on renal function. Anaesth. Intensive Care 2000, 28, 501–509. [Google Scholar] [CrossRef]
- Moreno, M.; Ruíz Ruiz, D.; Ramos Barrantes, I.; Martín Arias, L.H.; Carvajal García-Pando, A. Hipoglucemia secundaria a tenoxicam [Hypoglycemia secondary to tenoxicam]. Rev. Clin. Esp. 1992, 191, 50–51. [Google Scholar]
- Sánchez Sevillano, A.; Blázquez Encinar, J.C.; Femenia Pérez, M.; Mora Rufete, M.A. Agranulocitosis inducida por Tenoxicam, con buena respuesta al factor estimulante de colonias (G-CSF) [Tenoxicam-induced agranulocytosis, with good response to colony stimulating factor (G-CSF)]. An. Med. Interna 1993, 10, 519–520. [Google Scholar]
- Tiwari, P.; Panik, R.; Bhattacharya, A.; Ahirwar, D.; Chandy, A. Toxic epidermal necrolysis: An update. Asian Pac. J. Trop. Dis. 2013, 3, 85–92. [Google Scholar] [CrossRef]
- Ward, K.E.; Archambault, R.; Mersfelder, T.L. Severe adverse skin reactions to nonsteroidal nti-inflammatory drugs: A review of the literature. Am. J. Health-Syst. Pharm. 2010, 67, 206–213. [Google Scholar] [CrossRef] [PubMed]
- Lapeyre-Mestre, M.; Grolleau, S.; Montastruc, J.L.; Association Française des Centres Régionaux de Pharmacovigilance (CRPV). Adverse drug reactions associated with the use of NSAIDs: A case/noncase analysis of spontaneous reports from the French pharmacovigilance database 2002–2006. Fundam. Clin. Pharmacol. 2013, 27, 223–230. [Google Scholar] [CrossRef]
- La Grenade, L.; Lee, L.; Weaver, J.; Bonnel, R.; Karwoski, C.; Governale, L.; Brinker, A. Comparison of reporting of Stevens-Johnson syndrome and toxic epidermal necrolysis in association with selective COX-2 inhibitors. Drug Saf. 2005, 28, 917–924. [Google Scholar] [CrossRef]
- Layton, D.; Marshall, V.; Boshier, A.; Friedmann, P.; Shakir, S.A. Serious skin reactions and selective COX-2 inhibitors: A case series from prescription-event monitoring in England. Drug Saf. 2006, 29, 687–696. [Google Scholar] [CrossRef] [PubMed]
- Wong, A.; Malvestiti, A.A.; Hafner, M.D. Stevens-Johnson syndrome and toxic epidermal necrolysis: A review. Rev. Assoc. Méd. Bras. 2016, 62, 468–473. [Google Scholar] [CrossRef] [PubMed]
- Mockenhaupt, M.; Kelly, J.P.; Kaufman, D.; Stern, R.S.; SCAR Study Group. The risk of Stevens-Johnson syndrome and toxic epidermal necrolysis associated with nonsteroidal antiinflammatory drugs: A multinational perspective. J. Rheumatol. 2003, 10, 2234–2240. [Google Scholar]
- Friedman, B.; Orlet, H.K.; Still, J.M.; Law, E. Toxic epidermal necrolysis due to administration of celecoxib (Celebrex). South. Med. J. 2002, 95, 1213–1214. [Google Scholar] [CrossRef]
- Perna, A.G.; Woodruff, C.A.; Markus, R.F.; Hsu, S. Toxic epidermal necrolysis as a complication of treatment with celecoxib. Dermatol. Online J. 2003, 9, 25. [Google Scholar] [CrossRef]
- Roy, S.S.; Mukherjee, S.; Era, N.; Mukherjee, M. Etoricoxib-induced toxic epidermal necrolysis: A fatal case report. Indian J. Pharmacol. 2018, 50, 139–142. [Google Scholar] [CrossRef]
- Massari, M.; Peccerillo, F.; Bonzano, L.; Pavone, P.; Motolese, A.; Froio, E.; Motolese, A. Ketoprofen-induced severe toxic epidermal necrolysis associated with vanishing bile duct syndrome leading to liver transplantation. J. Dtsch. Dermatol. Ges. 2022, 20, 687–689. [Google Scholar] [CrossRef]
- Kim, H.Y.; Yang, H.K.; Kim, S.H.; Park, J.H. Ibuprofen associated acute vanishing bile duct syndrome and toxic epidermal necrolysis in an infant. Yonsei Med. J. 2014, 55, 834–837. [Google Scholar] [CrossRef]
- Barry, R.J.; Zanetto, U.; Kolli, S.; Morjaria, R. Toxic epidermal necrolysis: The red eye and red herrings in casualty. BMJ Case Rep. 2018, 2018, bcr-2018. [Google Scholar] [CrossRef]
- Kamanabroo, D.; Schmitz-Landgraf, W.; Czarnetzki, B.M. Plasmapheresis in severe drug-induced toxic epidermal necrolysis. Arch. Dermatol. 1985, 121, 1548–1549. [Google Scholar] [CrossRef]
- Frey, N.; Bodmer, M.; Bircher, A.; Jick, S.S.; Meier, C.R.; Spoendlin, J. Stevens-Johnson Syndrome and Toxic Epidermal Necrolysis in Association with Commonly Prescribed Drugs in Outpatient Care Other than Anti-Epileptic Drugs and Antibiotics: A Population-Based Case-Control Study. Drug Saf. 2019, 42, 55–66. [Google Scholar] [CrossRef] [PubMed]
- Shao, Q.H.; Yin, X.D.; Zeng, N.; Zhou, Z.X.; Mao, X.Y.; Zhu, Y.; Zhao, B.; Li, Z.L. Stevens-Johnson Syndrome Following Non-steroidal Anti-inflammatory Drugs: A Real-World Analysis of Post-marketing Surveillance Data. Front. Pediatr. 2022, 10, 896867. [Google Scholar] [CrossRef] [PubMed]
- Bastuji-Garin, S.; Fouchard, N.; Bertocchi, M.; Roujeau, J.C.; Revuz, J.; Wolkenstein, P. SCORTEN: A severity-of-illness score for toxic epidermal necrolysis. J. Investig. Dermatol. 2000, 115, 149–153. [Google Scholar] [CrossRef]
- Sassolas, B.; Haddad, C.; Mockenhaupt, M.; Dunant, A.; Liss, Y.; Bork, K.; Haustein, U.F.; Vieluf, D.; Roujeau, J.C.; Le Louet, H. ALDEN, an algorithm for assessment of drug causality in Stevens-Johnson Syndrome and toxic epidermal necrolysis: Comparison with case-control analysis. Clin. Pharmacol. Ther. 2010, 88, 60–68. [Google Scholar] [CrossRef] [PubMed]
- Naranjo, C.A.; Busto, U.; Sellers, E.M.; Sandor, P.; Ruiz, I.; Roberts, E.A.; Janecek, E.; Domecq, C.; Greenblatt, D.J. A method for estimating the probability of adverse drug reactions. Clin. Pharmacol. Ther. 1981, 30, 239–245. [Google Scholar] [CrossRef] [PubMed]
- Dodiuk-Gad, R.P.; Chung, W.H.; Valeyrie-Allanore, L.; Shear, N.H. Stevens-Johnson Syndrome and Toxic Epidermal Necrolysis: An Update. Am. J. Clin. Dermatol. 2015, 16, 475–493. [Google Scholar] [CrossRef]
- Letko, E.; Papaliodis, D.N.; Papaliodis, G.N.; Daoud, Y.J.; Ahmed, A.R.; Foster, C.S. Stevens-Johnson syndrome and toxic epidermal necrolysis: A review of the literature. Ann. Allergy Asthma Immunol. 2005, 94, 419–436; quiz 436–438, 456. [Google Scholar] [CrossRef]
- Roujeau, J.C.; Stern, R.S. Severe adverse cutaneous reactions to drugs. N. Engl. J. Med. 1994, 331, 1272–1285. [Google Scholar] [CrossRef]
- Naik, P.P. A contemporary snippet on clinical presentation and management of toxic epidermal necrolysis. Scars Burn. Heal. 2022, 8, 20595131221122381. [Google Scholar] [CrossRef]
- Marija, S.; Ivana, B.; Nina, R.; Dragan, N.; Zlatko, B.; Branislav, J.; Jelena, P.; Dusica, S. Toxic epidermal necrolysis in a child with lupus-associated pancreatitis. Rheumatol. Int. 2017, 37, 1221–1226. [Google Scholar] [CrossRef]
- Richer, V.; Bouffard, D.; Bélisle, A.; Duranceau, L.; Perreault, I.; Provost, N. Acute blistering diseases on the burn ward: Beyond Stevens-Johnson Syndrome and Toxic Epidermal Necrolysis. Burns 2013, 39, 1290–1296. [Google Scholar] [CrossRef]
- Lim, V.M.; Do, A.; Berger, T.G.; Nguyen, A.H.; DeWeese, J.; Malone, J.D.; Jordan, K.; Hom, F.; Tuffanelli, L.; Fillari, P.; et al. A decade of burn unit experience with Stevens-Johnson Syndrome/Toxic Epidermal Necrolysis: Clinical pathological diagnosis and risk factor awareness. Burns 2016, 42, 836–843. [Google Scholar] [CrossRef] [PubMed]
- Haber, J.; Hopman, W.; Gomez, M.; Cartotto, R. Late outcomes in adult survivors of toxic epidermal necrolysis after treatment in a burn center. J. Burn. Care Rehabil. 2005, 26, 33–41. [Google Scholar] [CrossRef]
- Wei, C.Y.; Chung, W.H.; Huang, H.W.; Chen, Y.T.; Hung, S.I. Direct interaction between HLA-B and carbamazepine activates T cells in patients with Stevens-Johnson syndrome. J. Allergy Clin. Immunol. 2012, 129, 1562–1569.e5. [Google Scholar] [CrossRef]
- Cartotto, R. Burn Center Care of Patients with Stevens-Johnson Syndrome and Toxic Epidermal Necrolysis. Clin. Plast. Surg. 2017, 44, 583–595. [Google Scholar] [CrossRef] [PubMed]
- Pichler, W.J. Pharmacological interaction of drugs with antigen-specific immune receptors: The p-i concept. Curr. Opin. Allergy Clin. Immunol. 2002, 2, 301–305. [Google Scholar] [CrossRef] [PubMed]
- Abe, R.; Shimizu, T.; Shibaki, A.; Nakamura, H.; Watanabe, H.; Shimizu, H. Toxic epidermal necrolysis and Stevens-Johnson syndrome are induced by soluble Fas ligand. Am. J. Pathol. 2003, 162, 1515–1520. [Google Scholar] [CrossRef]
- Downey, A.; Jackson, C.; Harun, N.; Cooper, A. Toxic epidermal necrolysis: Review of pathogenesis and management. J. Am. Acad. Dermatol. 2012, 66, 995–1003. [Google Scholar] [CrossRef]
- Chang, H.C.; Wang, T.J.; Lin, M.H.; Chen, T.J. A Review of the Systemic Treatment of Stevens-Johnson Syndrome and Toxic Epidermal Necrolysis. Biomedicines 2022, 10, 2105. [Google Scholar] [CrossRef]
- Gupta, S.S.; Sabharwal, N.; Patti, R.; Kupfer, Y. Allopurinol-Induced Stevens-Johnson Syndrome. Am. J. Med. Sci. 2019, 357, 348–351. [Google Scholar] [CrossRef]
- Harr, T.; French, L.E. Toxic epidermal necrolysis and Stevens-Johnson syndrome. Orphanet J. Rare Dis. 2010, 5, 39. [Google Scholar] [CrossRef]
- Strużyna, J.; Surowiecka, A.; Korzeniowski, T.; Korulczyk, P.; Drozd, L.; Stachura, A.; Torres, K.; Krajewski, A. Accuracy of SCORTEN in predicting mortality in toxic epidermal necrolysis. BMC Med. Inform. Decis. Mak. 2022, 22, 273. [Google Scholar] [CrossRef] [PubMed]
- Noe, M.H.; Rosenbach, M.; Hubbard, R.A.; Mostaghimi, A.; Cardones, A.R.; Chen, J.K.; Cotliar, J.; Davis, M.D.P.; Dominguez, A.; Fox, L.P.; et al. Development and Validation of a Risk Prediction Model for In-Hospital Mortality among Patients with Stevens-Johnson Syndrome/Toxic Epidermal Necrolysis-ABCD-10. JAMA Dermatol. 2019, 155, 448–454. [Google Scholar] [CrossRef] [PubMed]
- Torres-Navarro, I.; Briz-Redón, Á.; Botella-Casas, G.; Sahuquillo-Torralba, A.; Calle-Andrino, A.; de Unamuno-Bustos, B.; Piqueras-García, J.; Roca Ginés, J.; Magdaleno Tapial, J.; Alegre de Miquel, V.; et al. Accuracy of SCORTEN and ABCD-10 to predict mortality and the influence of renal function in Stevens-Johnson syndrome/toxic epidermal necrolysis. J. Dermatol. 2020, 47, 1182–1186. [Google Scholar] [CrossRef] [PubMed]
- Duplisea, M.J.; Roberson, M.L.; Chrisco, L.; Strassle, P.D.; Williams, F.N.; Ziemer, C.M. Performance of ABCD-10 and SCORTEN mortality prediction models in a cohort of patients with Stevens-Johnson syndrome/toxic epidermal necrolysis. J. Am. Acad. Dermatol. 2021, 85, 873–877. [Google Scholar] [CrossRef]
- Fernando, S.L. The management of toxic epidermal necrolysis. Australas. J. Dermatol. 2012, 53, 165–171. [Google Scholar] [CrossRef] [PubMed]
- Creamer, D.; Walsh, S.A.; Dziewulski, P.; Exton, L.S.; Lee, H.Y.; Dart, J.K.; Setterfield, J.; Bunker, C.B.; Ardern-Jones, M.R.; Watson, K.M.; et al. UK guidelines for the management of Stevens-Johnson syndrome/toxic epidermal necrolysis in adults 2016. Br. J. Dermatol. 2016, 174, 1194–1227. [Google Scholar] [CrossRef] [PubMed]
- Narita, Y.M.; Hirahara, K.; Mizukawa, Y.; Kano, Y.; Shiohara, T. Efficacy of plasmapheresis for the treatment of severe toxic epidermal necrolysis: Is cytokine expression analysis useful in predicting its therapeutic efficacy? J. Dermatol. 2011, 38, 236–245. [Google Scholar] [CrossRef]
- Szczeklik, W.; Nowak, I.; Seczynska, B.; Sega, A.; Krolikowski, W.; Musial, J. Beneficial therapeutic effect of plasmapheresis after unsuccessful treatment with corticosteroids in two patients with severe toxic epidermal necrolysis. Ther. Apher. Dial. 2010, 14, 354–357. [Google Scholar] [CrossRef]
- Frantz, R.; Huang, S.; Are, A.; Motaparthi, K. Stevens-Johnson Syndrome and Toxic Epidermal Necrolysis: A Review of Diagnosis and Management. Medicina 2021, 57, 895. [Google Scholar] [CrossRef]
- Aihara, M.; Kano, Y.; Fujita, H.; Kambara, T.; Matsukur, S.; Katayama, I.; Azukizawa, H.; Miyachi, Y.; Endo, Y.; Asada, H.; et al. Efficacy of additional i.v. immunoglobulin to steroid therapy in Stevens-Johnson syndrome and toxic epidermal necrolysis. J. Dermatol. 2015, 42, 768–777. [Google Scholar] [CrossRef] [PubMed]
- Pham, C.H.; Gillenwater, T.J.; Nagengast, E.; McCullough, M.C.; Peng, D.H.; Garner, W.L. Combination therapy: Etanercept and intravenous immunoglobulin for the acute treatment of Stevens-Johnson syndrome/toxic epidermal necrolysis. Burns 2019, 45, 1634–1638. [Google Scholar] [CrossRef] [PubMed]
- Lee, H.Y.; Fook-Chong, S.; Koh, H.Y.; Thirumoorthy, T.; Pang, S.M. Cyclosporine treatment for Stevens-Johnson syndrome/toxic epidermal necrolysis: Retrospective analysis of a cohort treated in a specialized referral center. J. Am. Acad. Dermatol. 2017, 76, 106–113. [Google Scholar] [CrossRef] [PubMed]
- Balai, M.; Meena, M.; Mittal, A.; Gupta, L.K.; Khare, A.K.; Mehta, S. Cyclosporine in Stevens-Johnson Syndrome and Toxic Epidermal Necrolysis: Experience from a Tertiary Care Centre of South Rajasthan. Indian Dermatol. Online J. 2020, 12, 116–122. [Google Scholar] [CrossRef] [PubMed]
- Woolum, J.A.; Bailey, A.M.; Baum, R.A.; Metts, E.L. A Review of the Management of Stevens-Johnson Syndrome and Toxic Epidermal Necrolysis. Adv. Emerg. Nurs. J. 2019, 41, 56–64. [Google Scholar] [CrossRef]
- Mockenhaupt, M. The current understanding of Stevens-Johnson syndrome and toxic epidermal necrolysis. Expert Rev. Clin. Immunol. 2011, 7, 803–813; quiz 814–815. [Google Scholar] [CrossRef]
- Zimmermann, S.; Sekula, P.; Venhoff, M.; Motschall, E.; Knaus, J.; Schumacher, M.; Mockenhaupt, M. Systemic Immunomodulating Therapies for Stevens-Johnson Syndrome and Toxic Epidermal Necrolysis: A Systematic Review and Meta-analysis. JAMA Dermatol. 2017, 153, 514–522. [Google Scholar] [CrossRef]
- Hirahara, K.; Kano, Y.; Sato, Y.; Horie, C.; Okazaki, A.; Ishida, T.; Aoyama, Y.; Shiohara, T. Methylprednisolone pulse therapy for Stevens-Johnson syndrome/toxic epidermal necrolysis: Clinical evaluation and analysis of biomarkers. J. Am. Acad. Dermatol. 2013, 69, 496–498. [Google Scholar] [CrossRef]
- Halebian, P.H.; Corder, V.J.; Madden, M.R.; Finklestein, J.L.; Shires, G.T. Improved burn center survival of patients with toxic epidermal necrolysis managed without corticosteroids. Ann. Surg. 1986, 204, 503–512. [Google Scholar] [CrossRef]
- Chantaphakul, H.; Sanon, T.; Klaewsongkram, J. Clinical characteristics and treatment outcome of Stevens-Johnson syndrome and toxic epidermal necrolysis. Exp. Ther. Med. 2015, 10, 519–524. [Google Scholar] [CrossRef]
- Hoffman, M.; Chansky, P.B.; Bashyam, A.R.; Boettler, M.A.; Challa, N.; Dominguez, A.; Estupinan, B.; Gupta, R.; Hennessy, K.; Huckell, S.N.; et al. Long-term Physical and Psychological Outcomes of Stevens-Johnson Syndrome/Toxic Epidermal Necrolysis. JAMA Dermatol. 2021, 157, 712–715. [Google Scholar] [CrossRef] [PubMed]
- DeNiro, K.L.; Honari, S.; Hippe, D.S.; Dai, A.; Pham, T.N.; Caceres, M.; Mandell, S.P.; Duong, P.Q.; McMullen, K.A.; Gibran, N.S. Physical and Psychological Recovery Following Toxic Epidermal Necrolysis: A Patient Survey. J. Burn. Care Res. 2021, 42, 1227–1231. [Google Scholar] [CrossRef] [PubMed]
- Meneux, E.; Wolkenstein, P.; Haddad, B.; Roujeau, J.C.; Revuz, J.; Paniel, B.J. Vulvovaginal involvement in toxic epidermal necrolysis: A retrospective study of 40 cases. Obstet. Gynecol. 1998, 91, 283–287. [Google Scholar] [CrossRef] [PubMed]
- Sheridan, R.L.; Schulz, J.T.; Ryan, C.M.; Schnitzer, J.J.; Lawlor, D.; Driscoll, D.N.; Donelan, M.B.; Tompkins, R.G. Long-term consequences of toxic epidermal necrolysis in children. Pediatrics 2002, 109, 74–78. [Google Scholar] [CrossRef]



| Parameter | Points |
|---|---|
| age ≥ 40 years | 1 |
| cancer/malignancy | 0 |
| heart rate ≥ 120 beats per minute | 1 |
| body surface area detached ≥ 10% at day 1 | 1 |
| serum glucose > 14 mmol/L | 0 |
| serum blood urea nitrogen > 10 mmol/L | 0 |
| serum bicarbonate < 20 mmol/L | 0 |
| Total Value | 3 points |
| Mortality Risk | 35% |
Disclaimer/Publisher’s Note: The statements, opinions and data contained in all publications are solely those of the individual author(s) and contributor(s) and not of MDPI and/or the editor(s). MDPI and/or the editor(s) disclaim responsibility for any injury to people or property resulting from any ideas, methods, instructions or products referred to in the content. |
© 2023 by the authors. Licensee MDPI, Basel, Switzerland. This article is an open access article distributed under the terms and conditions of the Creative Commons Attribution (CC BY) license (https://creativecommons.org/licenses/by/4.0/).
Share and Cite
Neagu, T.P.; Tiglis, M.; Peride, I.; Niculae, A. Toxic Epidermal Necrolysis, A Serious Side Effect of Tenoxicam Use: A Case Report. Healthcare 2023, 11, 2195. https://doi.org/10.3390/healthcare11152195
Neagu TP, Tiglis M, Peride I, Niculae A. Toxic Epidermal Necrolysis, A Serious Side Effect of Tenoxicam Use: A Case Report. Healthcare. 2023; 11(15):2195. https://doi.org/10.3390/healthcare11152195
Chicago/Turabian StyleNeagu, Tiberiu Paul, Mirela Tiglis, Ileana Peride, and Andrei Niculae. 2023. "Toxic Epidermal Necrolysis, A Serious Side Effect of Tenoxicam Use: A Case Report" Healthcare 11, no. 15: 2195. https://doi.org/10.3390/healthcare11152195
APA StyleNeagu, T. P., Tiglis, M., Peride, I., & Niculae, A. (2023). Toxic Epidermal Necrolysis, A Serious Side Effect of Tenoxicam Use: A Case Report. Healthcare, 11(15), 2195. https://doi.org/10.3390/healthcare11152195

