Failure in Medical Practice: Human Error, System Failure, or Case Severity?
Abstract
1. Introduction
2. Cases
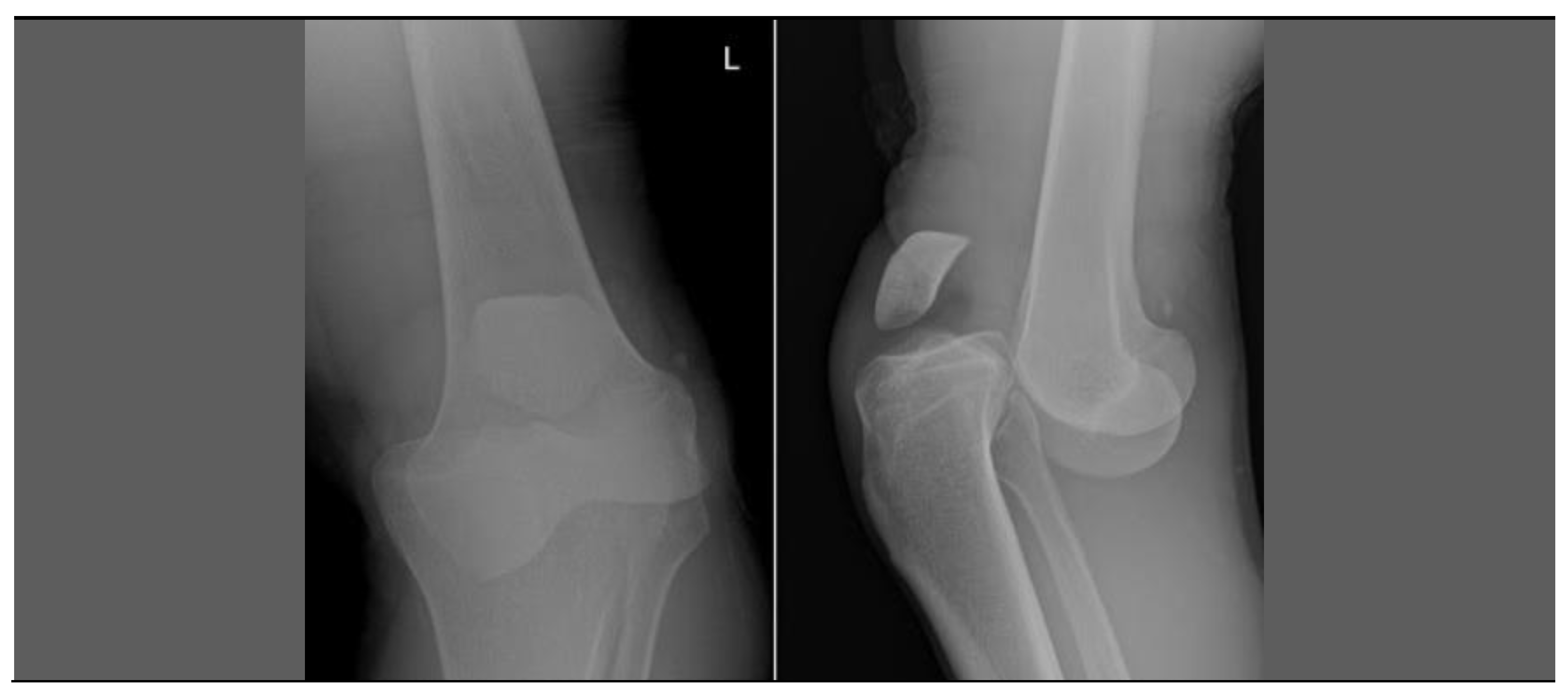
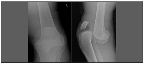
2.1. First Case—Human Error/System Deficiency
2.2. Second Case—Severity of Disease
2.3. Third Case
3. Discussion
4. Conclusions
Author Contributions
Funding
Institutional Review Board Statement
Informed Consent Statement
Conflicts of Interest
References
- Gawande, A.A.; Zinner, M.J.; Studdert, D.M.; Brennan, T.A. Analysis of errors reported by surgeons at three teaching hospitals. Surgery 2003, 133, 614–621. [Google Scholar] [CrossRef] [PubMed]
- Rodziewicz, T.L.; Houseman, B.; Hipskind, J.E. Medical Error Reduction, and Prevention; StatPearls Publishing: Treasure Island, FL, USA, 2022. [Google Scholar]
- Haragus, H.; Prejbeanu, R.; Patrascu, J.; Faur, C.; Roman, M.; Melinte, R.; Timar, B.; Codorean, I.; Stetson, W.; Marra, G. Cross-cultural adaptation and validation of the Romanian Oxford Shoulder Score. Medicine (Baltimore). Medicine 2018, 97, e10926. [Google Scholar] [CrossRef]
- Edmondson, A.C. Learning from failure in health care: Frequent opportunities, pervasive barriers. BMJ Qual. Saf. 2004, 13, ii3–ii9. [Google Scholar] [CrossRef]
- Cannon, M.; Edmondson, A. Confronting failure: Antecedents and consequences of shared beliefs about failure in organizational work groups. J. Organ. Behav. 2001, 22, 161–177. [Google Scholar] [CrossRef]
- Panagioti, M.; Khan, K.; Keers, R.N.; Abuzour, A.; Phipps, D.; Kontopantelis, E.; Bower, P.; Campbell, S.; Haneef, R.; Avery, A.J.; et al. Prevalence, severity, and nature of preventable patient harm across medical care settings: Systematic review and meta-analysis. BMJ 2019, 366, l4185. [Google Scholar] [CrossRef]
- Jukić, M.; Antišić, J.; Pogorelić, Z. Incidence and Causes of 30-Day Readmission Rate from Discharge as an Indicator of Quality Care in Pediatric Surgery. Acta. Chir. Belg. 2021, 1–5. [Google Scholar] [CrossRef] [PubMed]
- Gawande, A. Being Mortal: Medicine and What Matters in the End; Henry Holt and Company: New York, NY, USA, 2014. [Google Scholar]
- Makary, M.A.; Daniel, M. Medical error—The third leading cause of death in the US. BMJ 2016, 353, i2139. [Google Scholar] [CrossRef] [PubMed]
- Kaldjian, L.C.; Jones, E.W.; Wu, B.J.; Forman-Hoffman, V.L.; Levi, B.H.; Rosenthal, G.E. Reporting medical errors to improve patient SafetyA survey of physicians in teaching hospitals. Arch. Intern. Med. 2008, 168, 40–46. [Google Scholar] [CrossRef]
- Classen, D.C.; Holmgren, A.J.; Co, Z.; Newmark, L.P.; Seger, D.; Danforth, M.; Bates, D.W. National trends in the safety performance of electronic health record systems from 2009 to 2018. JAMA Netw. Open 2020, 3, e205547. [Google Scholar] [CrossRef] [PubMed]
- Aljabari, S.; Kadhim, Z. Common Barriers to Reporting Medical Errors. Sci. World J. 2021, 2021, 6494889. [Google Scholar] [CrossRef]
- Tozzo, P.; Caenazzo, L.; Rodriguez, D.; Bolcato, M. Delayed Diagnosis of Wernicke Encephalopathy with Irreversible Neural Damage after Subtotal Gastrectomy for Gastric Cancer: A Case of Medical Liability? Int. J. Surg. Case Rep. 2017, 30, 76–80. [Google Scholar] [CrossRef] [PubMed]
- Bolcato, M.; Aprile, A.; Caenazzo, L.; Rodriguez, D.; Tozzo, P. An Unusual Case of Chronic Cough: Professional Liability in Dentistry? Respir. Med. Case Rep. 2016, 19, 190–192. [Google Scholar] [CrossRef] [PubMed]
- Cheng, H.; Chen, B.P.; Soleas, I.M.; Ferko, N.C.; Cameron, C.G.; Hinoul, P. Prolonged Operative Duration Increases Risk of Surgical Site Infections: A Systematic Review. Surg. Infect. 2017, 18, 722–735. [Google Scholar] [CrossRef] [PubMed]
- Cruse, P.J.; Foord, R. The epidemiology of wound infection: A 10-year prospective study of 62,939 wounds. Surg. Clin. N. Am. 1980, 60, 27–40. [Google Scholar] [CrossRef] [PubMed]
- Medina, O.; Arom, G.A.; Yeranosian, M.G.; Petrigliano, F.A.; McAllister, D.R. Vascular and nerve injury after knee dislocation: A systematic review. Clin. Orthop. Relat. Res. 2014, 472, 2621–2629. [Google Scholar] [CrossRef]
- Roman, M.D.; Mohor, C.I.; Melinte, P.R.; Chicea, R.; Georgeanu, V.A.; Hasegan, A.; Boicean, A.G.; Fleacă, S.R. Meniscal Tear Management Associated with ACL Reconstruction. Appl. Sci. 2022, 12, 6175. [Google Scholar] [CrossRef]
- Tănăsescu, C.; Bratu, D.; Sabău, D. Characteristics of Thoraco-Abdominal Injuries—A Series of Three Cases. Chirurgia 2020, 115, 530–536. [Google Scholar] [CrossRef]
- Bennett, P.; Noble, S.; Johnston, S.; Jones, D.; Hunter, R. COVID-19 confessions: A qualitative exploration of healthcare workers experiences of working with COVID-19. BMJ Open 2020, 10, e043949. [Google Scholar] [CrossRef] [PubMed]
- Crisan, R.M.; Bacila, C.I.; Neamtu, B.; Cristian, A.N.; Topîrcean, E.; Popescu, A.; Morar, S. Psychological Autopsy and Forensic Considerations in Completed Suicide of the SARS-CoV-2 Infected Patients. A Case Series and Literature Review. Appl. Sci. 2021, 11, 11547. [Google Scholar] [CrossRef]
- Crișan, R.M.; Băcilă, C.I.; Morar, S. The role of psychological autopsy in investigating a case of atypical suicide in schizophrenia: A case report with a brief review of literature. Egypt. J. Forensic. Sci. 2022, 12, 30. [Google Scholar] [CrossRef]
- Ghaferi, A.A.; Birkmeyer, J.D.; Dimick, J.B. Complications, failure to rescue, and mortality with major inpatient surgery in Medicare patients. Ann. Surg. 2009, 250, 1029–1034. [Google Scholar] [CrossRef] [PubMed]
- Leeftink, A.G.; Visser, J.; de Laat, J.M.; van der Meij, N.T.M.; Vos, J.B.H.; Valk, G.D. Reducing failures in daily medical practice: Healthcare failure mode and effect analysis combined with computer simulation. Ergonomics 2021, 64, 1322–1332. [Google Scholar] [CrossRef] [PubMed]
- Sfeatcu, R.; Cernuşcǎ-Miţariu, M.; Ionescu, C.; Roman, M.; Cernuşcǎ-Miţariu, S.; Coldea, L.; Bota, G.; Burcea, C.C. The concept of well-being in relation to health and quality of life. Eur. J. Sci. Theol. 2014, 10, 123–128. [Google Scholar]
- Amalberti, R.; Auroy, Y.; Berwick, D.; Barach, P. Five system barriers to achieving ultrasafe health care. Ann. Intern. Med. 2005, 142, 756–764. [Google Scholar] [CrossRef]
- Blendon, R.J.; DesRoches, C.M.; Brodie, M.; Benson, J.M.; Rosen, A.B.; Schneider, E.; Altman, D.E.; Zapert, K.; Herrmann, M.J.; Steffenson, A.E. Views of practicing physicians and the public on medical errors. N. Engl. J. Med. 2002, 347, 1933–1940. [Google Scholar] [CrossRef]
- Millenson, M.L. Pushing the profession: How the news media turned patient safety into a priority. BMJ Qual. Saf. 2002, 11, 57–63. [Google Scholar] [CrossRef]
- Battles, J.B.; Lilford, R.J. Organizing patient safety research to identify risks and hazards. BMJ Qual. Saf. 2003, 12 (Suppl. S2), ii2–ii7. [Google Scholar] [CrossRef][Green Version]
- Kohn, L.T.; Corrigan, J.M.; Donaldson, M.S. (Eds.) To Err is Human: Building a Safer Health System, Institute of Medicine (US) Committee on Quality of Health Care in America; National Academies Press: Washington, DC, USA, 2000. [Google Scholar]
- Duclos, A.; Chollet, F.; Pascal, L.; Ormando, H.; Carty, M.J.; Polazzi, S.; Lifante, J.C. Effect of monitoring surgical outcomes using control charts to reduce major adverse events in patients: Cluster randomised trial. BMJ 2020, 371, m3840. [Google Scholar] [CrossRef]
- Moss, M. Spotting breast cancer, doctors are weak link. New York Times, 27 June 2002; pp. A1, A22. [Google Scholar]



Publisher’s Note: MDPI stays neutral with regard to jurisdictional claims in published maps and institutional affiliations. |
© 2022 by the authors. Licensee MDPI, Basel, Switzerland. This article is an open access article distributed under the terms and conditions of the Creative Commons Attribution (CC BY) license (https://creativecommons.org/licenses/by/4.0/).
Share and Cite
Roman, M.D.; Fleacă, S.R.; Boicean, A.G.; Mohor, C.I.; Morar, S.; Dura, H.; Cristian, A.N.; Bratu, D.; Tanasescu, C.; Teodoru, A.; et al. Failure in Medical Practice: Human Error, System Failure, or Case Severity? Healthcare 2022, 10, 2495. https://doi.org/10.3390/healthcare10122495
Roman MD, Fleacă SR, Boicean AG, Mohor CI, Morar S, Dura H, Cristian AN, Bratu D, Tanasescu C, Teodoru A, et al. Failure in Medical Practice: Human Error, System Failure, or Case Severity? Healthcare. 2022; 10(12):2495. https://doi.org/10.3390/healthcare10122495
Chicago/Turabian StyleRoman, Mihai Dan, Sorin Radu Fleacă, Adrian Gheorghe Boicean, Cosmin Ioan Mohor, Silviu Morar, Horatiu Dura, Adrian Nicolae Cristian, Dan Bratu, Ciprian Tanasescu, Adrian Teodoru, and et al. 2022. "Failure in Medical Practice: Human Error, System Failure, or Case Severity?" Healthcare 10, no. 12: 2495. https://doi.org/10.3390/healthcare10122495
APA StyleRoman, M. D., Fleacă, S. R., Boicean, A. G., Mohor, C. I., Morar, S., Dura, H., Cristian, A. N., Bratu, D., Tanasescu, C., Teodoru, A., Necula, R., & Russu, O. (2022). Failure in Medical Practice: Human Error, System Failure, or Case Severity? Healthcare, 10(12), 2495. https://doi.org/10.3390/healthcare10122495

