Data-Proximal Complementary ℓ1-TV Reconstruction for Limited Data Computed Tomography
Abstract
1. Introduction
1.1. Variational Regularization
1.2. Main Contribution
- We construct two separate reconstructions, u and .
- The two separate reconstructions are coupled only in data space, allowing for more flexibility in the image space.
2. Background
2.1. The Radon Transform
2.2. Frames and TI-Frames
2.2.1. Translational-Invariant (TI) Frames
2.2.2. Regular Frames
2.3. Variational Image Reconstruction
2.3.1. Sparse -Regularization
2.3.2. TV Regularization
2.3.3. Hybrid Regularizers
3. Complementary -TV Reconstruction
3.1. BB Splitting Algorithm
3.2. Proposed Reconstruction Strategy
| Algorithm 1 Proposed Complementary -TV Minimization |
|
3.3. Theoretical Properties
4. Numerical Experiments
4.1. Implementation Details
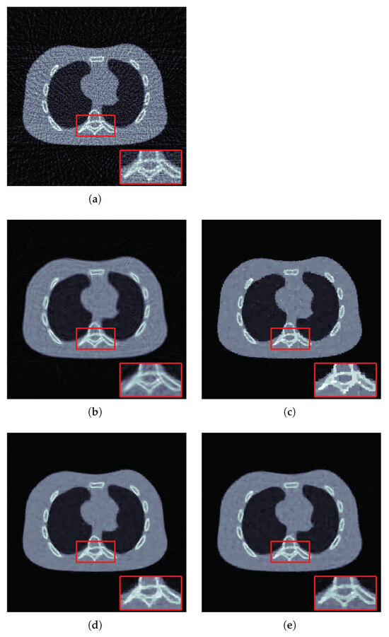
4.2. Results for Limited View Data
4.3. Results for Sparse View Data
5. Conclusions
Author Contributions
Funding
Data Availability Statement
Conflicts of Interest
Appendix A. Wedge-Adapted TI Curvelet Frames
Appendix A.1. Standard TI Curvelet Frame

Appendix A.2. Wedge Adaption
References
- Quinto, E.T. Singularities of the X-ray transform and limited data tomography in R2 and R3. SIAM J. Math. Anal. 1993, 24, 1215–1225. [Google Scholar] [CrossRef]
- Quinto, E.T. Artifacts and visible singularities in limited data X-ray tomography. Sens. Imaging 2017, 18, 1–14. [Google Scholar] [CrossRef]
- Frikel, J.; Quinto, E.T. Characterization and reduction of artifacts in limited angle tomography. Inverse Probl. 2013, 29, 125007. [Google Scholar] [CrossRef]
- Frikel, J.; Quinto, E.T. Artifacts in Incomplete Data Tomography with Applications to Photoacoustic Tomography and Sonar. SIAM J. Appl. Math. 2015, 75, 703–725. [Google Scholar] [CrossRef]
- Frikel, J.; Quinto, E.T. Limited Data Problems for the Generalized Radon Transform in Rn. SIAM J. Math. Anal. 2016, 48, 2301–2318. [Google Scholar] [CrossRef]
- Borg, L.; Jørgensen, J.S.; Frikel, J.; Quinto, E.T. Analyzing reconstruction artifacts from arbitrary incomplete X-ray CT Data. SIAM J. Imaging Sci. 2018, 11, 2786–2814. [Google Scholar] [CrossRef]
- Natterer, F. The Mathematics of Computerized Tomography; SIAM: Philadelphia, PA, USA, 2001. [Google Scholar]
- Benning, M.; Burger, M. Modern regularization methods for inverse problems. Acta Numer. 2018, 27, 1–111. [Google Scholar] [CrossRef]
- Scherzer, O.; Grasmair, M.; Grossauer, H.; Haltmeier, M.; Lenzen, F. Variational Methods in Imaging; Springer: New York, NY, USA, 2009. [Google Scholar]
- Persson, M.; Bone, D.; Elmqvist, H. Total variation norm for three-dimensional iterative reconstruction in limited view angle tomography. Phys. Med. Biol. 2001, 46, 853. [Google Scholar] [CrossRef] [PubMed]
- Velikina, J.; Leng, S.; Chen, G.H. Limited view angle tomographic image reconstruction via total variation minimization. In Proceedings of the Medical Imaging 2007: Physics of Medical Imaging, San Diego, CA, USA, 17–22 February 2007; Volume 6510, pp. 709–720. [Google Scholar]
- Sidky, E.Y.; Pan, X. Image reconstruction in circular cone-beam computed tomography by constrained, total-variation minimization. Phys. Med. Biol. 2008, 53, 4777. [Google Scholar] [CrossRef]
- Wang, T.; Nakamoto, K.; Zhang, H.; Liu, H. Reweighted anisotropic total variation minimization for limited-angle CT reconstruction. IEEE Trans. Nucl. Sci. 2017, 64, 2742–2760. [Google Scholar] [CrossRef]
- Candes, E.J.; Donoho, D.L. Recovering edges in ill-posed inverse problems: Optimality of curvelet frames. Ann. Stat. 2002, 30, 784–842. [Google Scholar] [CrossRef]
- Haltmeier, M.; Li, H.; Munk, A. A variational view on statistical multiscale estimation. Annu. Rev. Stat. Appl. 2022, 9, 343–372. [Google Scholar] [CrossRef]
- Candes, E.J.; Guo, F. New multiscale transforms, minimum total variation synthesis: Applications to edge-preserving image reconstruction. Signal Process. 2002, 82, 1519–1543. [Google Scholar] [CrossRef]
- Sahiner, B.; Yagle, A.E. Limited angle tomography using wavelets. In Proceedings of the Nuclear Science Symposium and Medical Imaging Conference, San Francisco, CA, USA, 31 October–6 November 1993; pp. 1912–1916. [Google Scholar]
- Rantala, M.; Vanska, S.; Jarvenpaa, S.; Kalke, M.; Lassas, M.; Moberg, J.; Siltanen, S. Wavelet-based reconstruction for limited-angle X-ray tomography. IEEE Trans. Med. Imaging 2006, 25, 210–217. [Google Scholar] [CrossRef] [PubMed]
- Bubba, T.A.; Kutyniok, G.; Lassas, M.; März, M.; Samek, W.; Siltanen, S.; Srinivasan, V. Learning the invisible: A hybrid deep learning-shearlet framework for limited angle computed tomography. Inverse Probl. 2019, 35, 064002. [Google Scholar] [CrossRef]
- Andrade-Loarca, H.; Kutyniok, G.; Öktem, O.; Petersen, P. Deep microlocal reconstruction for limited-angle tomography. Appl. Comput. Harmon. Anal. 2022, 59, 155–197. [Google Scholar] [CrossRef]
- Vandeghinste, B.; Goossens, B.; Van Holen, R.; Vanhove, C.; Pizurica, A.; Vandenberghe, S.; Staelens, S. Combined shearlet and TV regularization in sparse-view CT reconstruction. In Proceedings of the 2nd International Meeting on Image Formation in X-ray Computed Tomography, Baltimore, MD, USA, 12–16 June 2022. [Google Scholar]
- Kai, C.; Min, J.; Qu, Z.; Yu, J.; Yi, S. Moreau-envelope-enhanced nonlocal shearlet transform and total variation for sparse-view CT reconstruction. Meas. Sci. Technol. 2020, 32, 015405. [Google Scholar] [CrossRef]
- Papafitsoros, K.; Schönlieb, C.B. A combined first and second order variational approach for image reconstruction. J. Math. Imaging Vision 2014, 48, 308–338. [Google Scholar] [CrossRef]
- Frikel, J. Sparse regularization in limited angle tomography. Appl. Comput. Harmon. Anal. 2013, 34, 117–141. [Google Scholar] [CrossRef]
- Smith, K.T.; Solmon, D.C.; Wagner, S.L. Practical and mathematical aspects of the problem of reconstructing objects from radiographs. Bull. Am. Math. Soc. 1977, 83, 1227–1270. [Google Scholar] [CrossRef]
- Kutyniok, G.; Lim, W.Q. Compactly supported shearlets are optimally sparse. J. Approx. Theory 2011, 163, 1564–1589. [Google Scholar] [CrossRef]
- Mallat, S. A Wavelet Tour of Signal Processing, Third Edition: The Sparse Way, 3rd ed.; Academic Press, Inc.: Cambridge, MA, USA, 2008. [Google Scholar]
- Göppel, S.; Frikel, J.; Haltmeier, M. Translation invariant diagonal frame decomposition of inverse problems and their regularization. Inverse Probl. 2023, 39, 065011. [Google Scholar] [CrossRef]
- Parhi, R.; Unser, M. The Sparsity of Cycle Spinning for Wavelet-Based Solutions of Linear Inverse Problems. IEEE Signal Process. Lett. 2023, 30, 568–572. [Google Scholar] [CrossRef]
- Coifman, R.R.; Donoho, D.L. Translation-invariant de-noising. In Wavelets and Statistics; Springer: New York, NY, USA, 1995; pp. 125–150. [Google Scholar]
- Daubechies, I. Ten Lectures on Wavelets; SIAM: Philadelphia, PA, USA, 1992. [Google Scholar]
- Ebner, A.; Frikel, J.; Lorenz, D.; Schwab, J.; Haltmeier, M. Regularization of inverse problems by filtered diagonal frame decomposition. Appl. Comput. Harmon. Anal. 2023, 62, 66–83. [Google Scholar] [CrossRef]
- Frikel, J.; Haltmeier, M. Sparse regularization of inverse problems by operator-adapted frame thresholding. In Mathematics of Wave Phenomena; Springer: Berlin/Heidelberg, Germany, 2020; pp. 163–178. [Google Scholar]
- Vandeghinste, B.; Goossens, B.; Van Holen, R.; Vanhove, C.; Pižurica, A.; Vandenberghe, S.; Staelens, S. Iterative CT reconstruction using shearlet-based regularization. IEEE Trans. Nucl. Sci. 2013, 60, 3305–3317. [Google Scholar] [CrossRef]
- Bubba, T.A.; Labate, D.; Zanghirati, G.; Bonettini, S. Shearlet-based regularized reconstruction in region-of-interest computed tomography. Math. Model. Nat. Phenom. 2018, 13, 34. [Google Scholar] [CrossRef]
- Candes, E.J.; Donoho, D.L. Curvelets and reconstruction of images from noisy Radon data. In Proceedings of the Wavelet Applications in Signal and Image Processing VIII, San Diego, CA, USA, 30 July–4 August 2000; Volume 4119, pp. 108–117. [Google Scholar]
- Grasmair, M.; Haltmeier, M.; Scherzer, O. Sparse regularization with ℓq penalty term. Inverse Probl. 2008, 24, 055020. [Google Scholar] [CrossRef]
- Lorenz, D.A. Convergence rates and source conditions for Tikhonov regularization with sparsity constraints. J. Inverse Ill-Posed Probl. 2008, 16, 463–478. [Google Scholar] [CrossRef]
- Acar, R.; Vogel, C.R. Analysis of bounded variation penalty methods for ill-posed problems. Inverse Probl. 1994, 10, 1217. [Google Scholar] [CrossRef]
- Luo, X.; Yu, W.; Wang, C. An image reconstruction method based on total variation and wavelet tight frame for limited-angle CT. IEEE Access 2017, 6, 1461–1470. [Google Scholar] [CrossRef]
- Combettes, P.L.; Pesquet, J.C. Proximal splitting methods in signal processing. In Fixed-Point Algorithms for Inverse Problems in Science and Engineering; Springer: New York, NY, USA, 2011; pp. 185–212. [Google Scholar]
- Bertsekas, D.P. Nonlinear programming. J. Oper. Res. Soc. 1997, 48, 334. [Google Scholar] [CrossRef]
- Xu, Y.; Yin, W. A block coordinate descent method for regularized multiconvex optimization with applications to nonnegative tensor factorization and completion. SIAM J. Imaging Sci. 2013, 6, 1758–1789. [Google Scholar] [CrossRef]
- Segars, W.P.; Mahesh, M.; Beck, T.J.; Frey, E.C.; Tsui, B.M. Realistic CT simulation using the 4D XCAT phantom. Med. Phys. 2008, 35, 3800–3808. [Google Scholar] [CrossRef] [PubMed]
- Yu, Z.; Noo, F.; Dennerlein, F.; Wunderlich, A.; Lauritsch, G.; Hornegger, J. Simulation tools for two-dimensional experiments in x-ray computed tomography using the FORBILD head phantom. Phys. Med. Biol. 2012, 57, N237. [Google Scholar] [CrossRef] [PubMed]
- Bubba, T.A.; Hauptmann, A.; Huotari, S.; Rimpeläinen, J.; Siltanen, S. Tomographic X-ray data of a lotus root filled with attenuating objects. arXiv 2016, arXiv:1609.07299. [Google Scholar]
- Xu, J.; Zhao, Y.; Li, H.; Zhang, P. An image reconstruction model regularized by edge-preserving diffusion and smoothing for limited-angle computed tomography. Inverse Probl. 2019, 35, 085004. [Google Scholar] [CrossRef]
- Zhang, Z.; Chen, B.; Xia, D.; Sidky, E.Y.; Pan, X. Directional-TV algorithm for image reconstruction from limited-angular-range data. Med. Image Anal. 2021, 70, 102030. [Google Scholar] [CrossRef] [PubMed]
- Gong, C.; Liu, J. Structure-guided computed tomography reconstruction from limited-angle projections. J. X-ray Sci. Technol. 2023, 31, 95–117. [Google Scholar] [CrossRef] [PubMed]
- Chambolle, A.; Pock, T. A first-order primal-dual algorithm for convex problems with applications to imaging. J. Math. Imaging Vision 2011, 40, 120–145. [Google Scholar] [CrossRef]
- Pan, B.; Arridge, S.R.; Lucka, F.; Cox, B.T.; Huynh, N.; Beard, P.C.; Zhang, E.Z.; Betcke, M.M. Photoacoustic Reconstruction Using Sparsity in Curvelet Frame: Image Versus Data Domain. IEEE Trans. Comput. Imaging 2021, 7, 879–893. [Google Scholar] [CrossRef]






| # Photons | Method | PSNR | SSIM |
|---|---|---|---|
| FBP | 17.1021 | 0.2693 | |
| 22.590 | 0.559 | ||
| TV | 29.725 | 0.953 | |
| -TV | 25.4124 | 0.8540 | |
| proposed | 31.438 | 0.949 | |
| FBP | 16.7306 | 0.1635 | |
| 22.1291 | 0.5430 | ||
| TV | 27.1590 | 0.9210 | |
| -TV | 24.0859 | 0.7633 | |
| proposed | 29.0141 | 0.8815 | |
| FBP | 14.1189 | 0.0696 | |
| 21.4974 | 0.4328 | ||
| TV | 24.9321 | 0.8621 | |
| -TV | 23.7100 | 0.7898 | |
| proposed | 26.1420 | 0.7906 |
| # Photons | Method | PSNR | SSIM |
|---|---|---|---|
| FBP | 18.0747 | 0.3567 | |
| 22.8527 | 0.8449 | ||
| TV | 24.9294 | 0.9516 | |
| -TV | 24.6716 | 0.9289 | |
| proposed | 25.1727 | 0.9540 |
| # Photons | Method | PSNR | SSIM |
|---|---|---|---|
| FBP | 20.8702 | 0.1767 | |
| 29.7290 | 0.7308 | ||
| TV | 30.3933 | 0.9294 | |
| -TV | 32.0445 | 0.8884 | |
| proposed | 31.0289 | 0.9302 |
Disclaimer/Publisher’s Note: The statements, opinions and data contained in all publications are solely those of the individual author(s) and contributor(s) and not of MDPI and/or the editor(s). MDPI and/or the editor(s) disclaim responsibility for any injury to people or property resulting from any ideas, methods, instructions or products referred to in the content. |
© 2024 by the authors. Licensee MDPI, Basel, Switzerland. This article is an open access article distributed under the terms and conditions of the Creative Commons Attribution (CC BY) license (https://creativecommons.org/licenses/by/4.0/).
Share and Cite
Göppel, S.; Frikel, J.; Haltmeier, M. Data-Proximal Complementary ℓ1-TV Reconstruction for Limited Data Computed Tomography. Mathematics 2024, 12, 1606. https://doi.org/10.3390/math12101606
Göppel S, Frikel J, Haltmeier M. Data-Proximal Complementary ℓ1-TV Reconstruction for Limited Data Computed Tomography. Mathematics. 2024; 12(10):1606. https://doi.org/10.3390/math12101606
Chicago/Turabian StyleGöppel, Simon, Jürgen Frikel, and Markus Haltmeier. 2024. "Data-Proximal Complementary ℓ1-TV Reconstruction for Limited Data Computed Tomography" Mathematics 12, no. 10: 1606. https://doi.org/10.3390/math12101606
APA StyleGöppel, S., Frikel, J., & Haltmeier, M. (2024). Data-Proximal Complementary ℓ1-TV Reconstruction for Limited Data Computed Tomography. Mathematics, 12(10), 1606. https://doi.org/10.3390/math12101606

