Transcriptional Regulation of Female and Male Flower Bud Initiation and Development in Pecan (Carya illinoensis)
Abstract
1. Introduction
2. Results
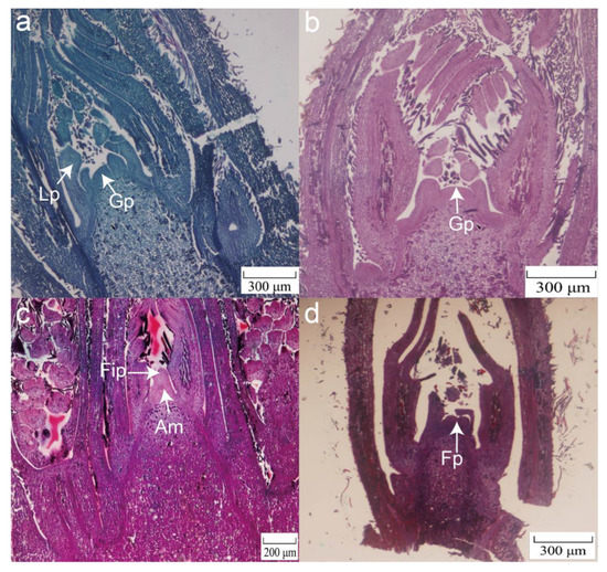
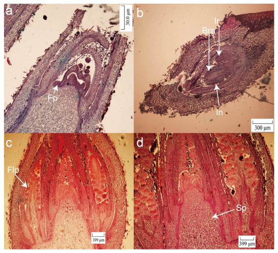
2.1. The Differentiation of Female and Male Flower Buds
2.2. Transcriptome Data of Female and Male Flower Buds
2.3. Differential Expression Analysis of Female and Male Flower Buds
2.4. Gene Set Analysis of Differentially Expressed Genes
2.5. Function Analysis of Differentially Expressed Genes
2.6. Gene Correlation and Expression Analysis
3. Discussion
4. Materials and Methods
4.1. Sample Collection
4.2. Microscopic Observation on the Morphology of Flower Bud Differentiation
4.3. Extraction and Quality Control of RNA for Transcriptome Sequencing
4.4. Quality Inspection, Alignment, and Gene Expression Level Calculation
4.5. Differential Expression Analysis
4.6. Genes Functional Analysis
4.7. Analysis of Gene Correlation and Expression Trend
4.8. Quantitative Real-Time PCR
5. Conclusions
Supplementary Materials
Author Contributions
Funding
Institutional Review Board Statement
Informed Consent Statement
Data Availability Statement
Acknowledgments
Conflicts of Interest
References
- Chang, J.; Ren, H.-d.; Yao, X.-h.; Yang, S.-p.; Wang, K.-l. Analysis of Dynamic Changes of Oil and Mineral Nutrients in Pecan at the Late Stage of Fruit Development. For. Res. 2019, 32, 122–129. [Google Scholar]
- Han, M.; Peng, F.; Marshall, P. Pecan Phenology in Southeastern China. Ann. Appl. Biol. 2018, 172, 160–169. [Google Scholar] [CrossRef]
- Venkatachalam, M.; Kshirsagar, H.H.; Seeram, N.P.; Heber, D.; Thompson, T.E.; Roux, K.H.; Sathe, S.K. Biochemical Composition and Immunological Comparison of Select Pecan [Carya illinoinensis (Wangenh.) K. Koch] Cultivars. J. Agric. Food Chem. 2007, 55, 9899–9907. [Google Scholar] [CrossRef]
- Hilbig, J.; Policarpi, P.B.; Grinevicius, V.; Mota, N.; Toaldo, I.M.; Luiz, M.; Pedrosa, R.C.; Block, J.M. Aqueous Extract From Pecan Nut [Carya illinoinensis (Wangenh) C. Koch] Shell Show Activity Against Breast Cancer Cell Line Mcf-7 and Ehrlich Ascites Tumor in Balb-C Mice. J. Ethnopharmacol. 2018, 211, 256–266. [Google Scholar] [CrossRef]
- Huang, Y.; Xiao, L.; Zhang, Z.; Zhang, R.; Wang, Z.; Huang, C.; Huang, R.; Luan, Y.; Fan, T.; Wang, J.; et al. The Genomes of Pecan and Chinese Hickory Provide Insights Into Carya Evolution and Nut Nutrition. GigaScience 2019, 8, giz036. [Google Scholar] [CrossRef]
- Chen, W.-j.; Liu, X.-r.; Deng, Q.-j.; Peng, F.-r.; He, H.-y.; Li, X.-f. Nut Development and Fatty Acid Accumulation in Carya illinoensis. Nonwood For. Res. 2016, 34, 50–55. [Google Scholar]
- Yao, X.-h.; Wang, K.L.; Ren, H.-D.; Xu, Y.-q. A Study on Flowering Phenology of Carya illinoensis New Varieties and Clones in East China. Acta Agric. Univ. Jiangxiiensis 2004, 26, 675–680. [Google Scholar]
- Chen, C.; Yu, F. Research Progress on Flower Bud Differentiation of Trees. Sci. Silvae Sin. 2020, 56, 119–129. [Google Scholar]
- Li, J.-a.; Sun, Y.; Gao, A.L.; Guo, W.-d.; Liu, R. Physiological nutrition and hormone variations in Vernicia fordii during flower bud differentiation. J. Cent. South Univ. For. Technol. 2011, 31, 34–37. [Google Scholar]
- Qu, B.; Zhang, W.; Chen, X.H.; Li, N.; Cui, N.; Li, T.L. Research Progress of Flower Bud Differentiation Mechanism of Plant. Chin. Agric. Sci. Bull. 2010, 26, 109–114. [Google Scholar]
- Zhao, D.Z.; Yong, W.D.; Chong, K.; Tan, K.H. Minireview of Research Advances on Flowering in Higher Plant. Chin. Bull. Bot. 1999, 16, 62–67. [Google Scholar]
- Yang, S.; Bai, M.; Guo, H. Research Progress on the Relationship Between Environmental Factors and Bud Differentiation. J. Inn. Mong. Agric. Univ. 2018, 39, 97–100. [Google Scholar]
- Miguel, A.B.; Detlef, W. Independent Regulation of Flowering by Phytochrome B and Gibberellins in Arabidopsis1. Plant Physiol. 1999, 120, 1025–1032. [Google Scholar]
- Mouradov, A.; Cremer, F.; Coupland, G. Control of Flowering Time. Plant Cell 2002, 14 (Suppl. S1), S111–S130. [Google Scholar] [CrossRef] [PubMed]
- Guo, H.; Duong, H.; Ma, N.; Lin, C. The Arabidopsis Blue Light Receptor Cryptochrome 2 is a Nuclear Protein Regulated by a Blue Light-Dependent Post-Transcriptional Mechanism. Plant J. 1999, 19, 279–287. [Google Scholar] [CrossRef] [PubMed]
- Li, J.-a.; Liu, R.; He, Z.X.; Sun, Y. Advances in Research on Flower Bud Differentiation Mechanism in Higher Plants. Nonwood For. Res. 2010, 28, 131–136. [Google Scholar]
- Rouse, D.T.; Sheldon, C.C.; Bagnall, D.J.; Peacock, W.J.; Dennis, E.S. FLC, a repressor of flowering, is regulated by genes in different inductive pathways. Plant J. 2002, 29, 183–191. [Google Scholar] [CrossRef] [PubMed]
- Sheldon, C.C.; Burn, J.E.; Perez, P.P.; Metzger, J.; Edwards, J.A.; Peacock, W.J.; Dennis, E.S. The Flf Mads Box Gene: A Repressor of Flowering in Arabidopsis Regulated by Vernalization and Methylation. Plant Cell 1999, 11, 445–458. [Google Scholar] [CrossRef] [PubMed]
- Ratcliffe, O.J.; Nadzan, G.C.; Reuber, T.L.; Riechmann, J.L. Regulation of Flowering in Arabidopsis by an FLC Homologue. Plant Physiol. 2001, 126, 122–132. [Google Scholar] [CrossRef] [PubMed]
- Yu, S.; Galvao, V.C.; Zhang, Y.C.; Horrer, D.; Zhang, T.Q.; Hao, Y.H.; Feng, Y.Q.; Wang, S.; Schmid, M.; Wang, J.W. Gibberellin Regulates the Arabidopsis Floral Transition through Mir156-Targeted Squamosa Promoter Binding-Like Transcription Factors. Plant Cell 2012, 24, 3320–3332. [Google Scholar] [CrossRef] [PubMed]
- Simpson, G.G. The Autonomous Pathway: Epigenetic and Post-Transcriptional Gene Regulation in the Control of Arabidopsis Flowering Time. Curr. Opin. Plant Biol. 2004, 7, 570–574. [Google Scholar] [CrossRef] [PubMed]
- Theissen, G.; Melzer, R.; Rumpler, F. Mads-Domain Transcription Factors and the Floral Quartet Model of Flower Development: Linking Plant Development and Evolution. Development 2016, 143, 3259–3271. [Google Scholar] [CrossRef] [PubMed]
- Ditta, G.; Pinyopich, A.; Robles, P.; Pelaz, S.; Yanofsky, M.F. The Sep4 Gene of Arabidopsis Thaliana Functions in Floral Organ and Meristem Identity. Curr. Biol. 2004, 14, 1935–1940. [Google Scholar] [CrossRef] [PubMed]
- Weigel, D.; Meyerowitz, E.M. The Abcs of Floral Homeotic Genes; Elsevier Inc.: New York, NY, USA, 1994; pp. 203–209. [Google Scholar]
- Angenent, G.; Franken, J.; Busscher, M.; van Dijken, A.; van Went, J.L.; Dons, H.J.; van Tunen, A.J. A Nove1 Class of Mads Box Genes 1S Lnvolved in Ovule Development in Petunia. Plant Cell 1995, 7, 1569–1582. [Google Scholar] [PubMed]
- Liljegren, S.J.; Ditta, G.S.; Eshed, Y.; Savidge, B.; Bowman, J.L.; Yanofsky, M.F. Shatterproof Mads-Box Genes Control Seed Dispersal in Arabidopsis. Nature 2000, 404, 766–770. [Google Scholar] [CrossRef] [PubMed]
- Pinyopich, A.; Ditta, G.S.; Savidge, B.; Liljegren, S.J.; Baumann, E.; Wisman, E.; Yanofsky, M.F. Assessing the Redundancy of Mads-Box Genes During Carpel and Ovule Development. Nature 2003, 424, 85–88. [Google Scholar] [CrossRef] [PubMed]
- Favaro, R.; Pinyopich, A.; Battaglia, R.; Kooiker, M.; Borghi, L.; Ditta, G.; Yanofsky, M.F.; Kater, M.; Colombo, L. Mads-Box Protein Complexes Control Carpel and Ovule Development in Arabidopsis. Plant Cell 2003, 15, 2603–2611. [Google Scholar] [CrossRef] [PubMed]
- Shchennikova, A.V.; Shulga, O.A.; Immink, R.; Skryabin, K.G.; Angenent, G.C. Identification and Characterization of Four Chrysanthemum Mads-Box Genes, Belonging to the Apetala1/Fruitfull and Sepallata3 Subfamilies. Plant Physiol. 2004, 134, 1632–1641. [Google Scholar] [CrossRef] [PubMed]
- Pelaz, S.; Ditta, G.S.; Baumann, E.; Wisman, E.; Yanofsky, M.F. B and C Floral Organ Identity Functions Require Sepallata Mads-Box Genes. Nature 2000, 405, 200–203. [Google Scholar] [CrossRef] [PubMed]
- Honma, T.; Goto, K. Complexes of Mads-Box Proteins are Sufficient to Convert Leaves Into Floral Organs. Nature 2001, 409, 525–529. [Google Scholar] [CrossRef] [PubMed]
- Yang, X.; Yuan, Z.; Ling, H.; Xu, K.; Zhu, T.; Xia, G.; Huang, J.Q.; Wang, Z. Choice of Pollination Varieties and the Fructification Analysis of Carya illinoensis of ‘Mahan’. J. Furit Sci. 2014, 31, 776–783. [Google Scholar]
- Chang, J.; Ren, H.D.; Yu LI, U.; Fu, G.L.; Dong, H.R.; Yao, X.H.; Wang, K.L. Morphological Observation of Staminate Flower Bud Differentiation of Pecan (Carya illinoensis). J. Southwest Univ. 2019, 41, 33–38. [Google Scholar]
- Li, P.; Yang, F.; Xiong, Y.-x. Research Progress of Walnut Flower Bud Morphological Differentiation. J. Anhui Agric. 2015, 43, 25–26. [Google Scholar]
- Marquard Robert, D. Fruit Set of Pecan Requires a Low Percentage of Live Pollen in Controlled Pollination. Hortscience 1992, 27, 473. [Google Scholar] [CrossRef]
- Conway, J.R.; Lex, A.; Gehlenborg, N. Upsetr: An R Package for the Visualization of Intersecting Sets and their Properties. Bioinformatics 2017, 33, 2938–2940. [Google Scholar] [CrossRef] [PubMed]
- Shen, L.; Yu, H. J3 Regulation of Flowering Time is Mainly Contributed by its Activity in Leaves. Plant Signal. Behav. 2011, 6, 601–603. [Google Scholar] [CrossRef] [PubMed]
- Siriwardana, C.L.; Gnesutta, N.; Kumimoto, R.W.; Jones, D.S.; Myers, Z.A.; Mantovani, R.; Holt, B.F. Nuclear Factor Y, Subunit a (Nf-Ya) Proteins Positively Regulate Flowering and Act through Flowering Locus T. PLoS Genet. 2016, 12, e1006496. [Google Scholar] [CrossRef] [PubMed]
- Roth, O.; Alvarez, J.P.; Levy, M.; Bowman, J.L.; Ori, N.; Shani, E. The Knoxi Transcription Factor Shoot Meristemless Regulates Floral Fate in Arabidopsis. Plant Cell 2018, 30, 1309–1321. [Google Scholar] [CrossRef] [PubMed]
- Varemo, L.; Nielsen, J.; Nookaew, I. Enriching the Gene Set Analysis of Genome-Wide Data by Incorporating Directionality of Gene Expression and Combining Statistical Hypotheses and Methods. Nucleic Acids Res. 2013, 41, 4378–4391. [Google Scholar] [CrossRef] [PubMed]
- Vesztrocy, A.W.; Dessimoz, C. A Gene Ontology Tutorial in Python. Methods Mol. Biol. 2017, 1446, 221–229. [Google Scholar] [PubMed]
- Yang, D.; Zhao, W.; Meng, Y.; Li, H.; Liu, B. A CIB1-LIKE transcription factor GmCIL10 from soybean positively regulates plant flowering. Sci. China Life Sci. 2015, 58, 261–269. [Google Scholar] [CrossRef]
- Wei, H.-l.; Ouyang, Q.-w.; Jiang, Y. Review On the Main Mechanism and Factors Affecting the Flowering and Fruit–Setting of Carya illinoensis and its Technical Measures of High Yield Cultivation. Hunan Agric. Sci. 2021, 27, 106–111. [Google Scholar]
- Ma, L.; Guan, Z.; Wang, Q.; Yan, X.; Wang, J.; Wang, Z.; Cao, J.; Zhang, D.; Gong, X.; Yin, P. Structural Insights Into the Photoactivation of Arabidopsis Cry2. Nat. Plants 2020, 6, 1432–1438. [Google Scholar] [CrossRef]
- Tian, X.; He, M.; Mei, E.; Zhang, B.; Tang, J.; Xu, M.; Liu, J.; Li, X.; Wang, Z.; Tang, W.; et al. Wrky53 Integrates Classic Brassinosteroid Signaling and the Mitogen-Activated Protein Kinase Pathway to Regulate Rice Architecture and Seed Size. Plant Cell 2021, 33, 2753–2775. [Google Scholar] [CrossRef]
- Chandler, J.W.; Werr, W. A Phylogenetically Conserved Apetala2/Ethylene Response Factor, Erf12, Regulates Arabidopsis Floral Development. Plant Mol. Biol. 2020, 102, 39–54. [Google Scholar] [CrossRef]
- Pose, D.; Yant, L.; Schmid, M. The End of Innocence: Flowering Networks Explode in Complexity. Curr. Opin. Plant Biol. 2012, 15, 45–50. [Google Scholar] [CrossRef]
- Yang, D.; Liu, Y.; Ali, M.; Ye, L.; Pan, C.; Li, M.; Zhao, X.; Yu, F.; Zhao, X.; Lu, G. Phytochrome Interacting Factor 3 Regulates Pollen Mitotic Division through Auxin Signalling and Sugar Metabolism Pathways in Tomato. New Phytol. 2022, 234, 560–577. [Google Scholar] [CrossRef] [PubMed]
- Thompson, E.P.; Wilkins, C.; Demidchik, V.; Davies, J.M.; Glover, B.J. An Arabidopsis Flavonoid Transporter is Required for Anther Dehiscence and Pollen Development. J. Exp. Bot. 2010, 61, 439–451. [Google Scholar] [CrossRef]
- Wang, L.; Wang, W.; Wang, Y.Q.; Liu, Y.Y.; Wang, J.X.; Zhang, X.Q.; Ye, D.; Chen, L.Q. Arabidopsis Galacturonosyltransferase (Gaut) 13 and Gaut14 Have Redundant Functions in Pollen Tube Growth. Mol. Plant 2013, 6, 1131–1148. [Google Scholar] [CrossRef] [PubMed]
- Pagnussat, G.C.; Yu, H.J.; Ngo, Q.A.; Rajani, S.; Mayalagu, S.; Johnson, C.S.; Capron, A.; Xie, L.F.; Ye, D.; Sundaresan, V. Genetic and Molecular Identification of Genes Required for Female Gametophyte Development and Function in Arabidopsis. Development 2005, 132, 603–614. [Google Scholar] [CrossRef]
- Petrussa, E.; Braidot, E.; Zancani, M.; Peresson, C.; Bertolini, A.; Patui, S.; Vianello, A. Plant Flavonoids--Biosynthesis, Transport and Involvement in Stress Responses. Int. J. Mol. Sci. 2013, 14, 14950–14973. [Google Scholar] [CrossRef]
- Bolger, A.M.; Lohse, M.; Usadel, B. Trimmomatic: A Flexible Trimmer for Illumina Sequence Data. Bioinformatics 2014, 30, 2114–2120. [Google Scholar] [CrossRef]
- Mortazavi, A.; Williams, B.A.; McCue, K.; Schaeffer, L.; Wold, B. Mapping and Quantifying Mammalian Transcriptomes by Rna-Seq. Nat. Methods 2008, 5, 621–628. [Google Scholar] [CrossRef] [PubMed]
- Garber, M.; Grabherr, M.G.; Guttman, M.; Trapnell, C. Computational Methods for Transcriptome Annotation and Quantification Using Rna-Seq. Nat. Methods 2011, 8, 469–477. [Google Scholar] [CrossRef] [PubMed]
- Robinson, M.D.; McCarthy, D.J.; Smyth, G.K. Edger: A Bioconductor Package for Differential Expression Analysis of Digital Gene Expression Data. Bioinformatics 2010, 26, 139–140. [Google Scholar] [CrossRef]
- Lim, K.J.; Paasela, T.; Harju, A.; Venalainen, M.; Paulin, L.; Auvinen, P.; Karkkainen, K.; Teeri, T.H. A Transcriptomic View to Wounding Response in Young Scots Pine Stems. Sci. Rep. 2021, 11, 3778. [Google Scholar] [CrossRef]
- Wu, T.; Hu, E.; Xu, S.; Chen, M.; Guo, P.; Dai, Z.; Feng, T.; Zhou, L.; Tang, W.; Zhan, L.; et al. Clusterprofiler 4.0: A Universal Enrichment Tool for Interpreting Omics Data. Innovation 2021, 2, 100141. [Google Scholar] [CrossRef]
- Livak, K.J.; Schmittgen, T.D. Analysis of Relative Gene Expression Data Using Real-Time Quantitative Pcr and the 2(-Delta Delta C(T)) Method. Methods 2001, 25, 402–408. [Google Scholar] [CrossRef] [PubMed]













Disclaimer/Publisher’s Note: The statements, opinions and data contained in all publications are solely those of the individual author(s) and contributor(s) and not of MDPI and/or the editor(s). MDPI and/or the editor(s) disclaim responsibility for any injury to people or property resulting from any ideas, methods, instructions or products referred to in the content. |
© 2023 by the authors. Licensee MDPI, Basel, Switzerland. This article is an open access article distributed under the terms and conditions of the Creative Commons Attribution (CC BY) license (https://creativecommons.org/licenses/by/4.0/).
Share and Cite
Xie, Y.; Hou, Z.; Shi, M.; Wang, Q.; Yang, Z.; Lim, K.-J.; Wang, Z. Transcriptional Regulation of Female and Male Flower Bud Initiation and Development in Pecan (Carya illinoensis). Plants 2023, 12, 1378. https://doi.org/10.3390/plants12061378
Xie Y, Hou Z, Shi M, Wang Q, Yang Z, Lim K-J, Wang Z. Transcriptional Regulation of Female and Male Flower Bud Initiation and Development in Pecan (Carya illinoensis). Plants. 2023; 12(6):1378. https://doi.org/10.3390/plants12061378
Chicago/Turabian StyleXie, Yifei, Zhiying Hou, Miao Shi, Qiaoyan Wang, Zhengfu Yang, Kean-Jin Lim, and Zhengjia Wang. 2023. "Transcriptional Regulation of Female and Male Flower Bud Initiation and Development in Pecan (Carya illinoensis)" Plants 12, no. 6: 1378. https://doi.org/10.3390/plants12061378
APA StyleXie, Y., Hou, Z., Shi, M., Wang, Q., Yang, Z., Lim, K.-J., & Wang, Z. (2023). Transcriptional Regulation of Female and Male Flower Bud Initiation and Development in Pecan (Carya illinoensis). Plants, 12(6), 1378. https://doi.org/10.3390/plants12061378

