Bioperformance Studies of Biphasic Calcium Phosphate Scaffolds Extracted from Fish Bones Impregnated with Free Curcumin and Complexed with β-Cyclodextrin in Bone Regeneration
Abstract
:1. Introduction
2. Materials and Methods
2.1. Obtaining Biphasic Calcium Phosphate (BCP)
2.2. Preparation of BCP Scaffolds
2.3. Characterization of BCP Powder (HAp+β-TCP)
2.4. Analysis of Morphology and Particle Size of BCP
2.5. X-ray Diffraction Analysis and Rietveld Refinement
2.6. BCP Powder Analysis by Infrared Spectroscopy (FTIR)
2.7. BCP Powder Analysis by Micro-Raman Spectroscopy
2.8. Analysis of Scaffolds Porosity
2.9. Analysis of BCP Scaffolds by Scanning Electron Microscopy (SEM)
2.10. Curcumin Complexation with β-Cyclodextrin (β-CD) by Coprecipitation Method and Incorporation in BCP Scaffolds
2.11. In Vitro Bioactivities Study of Scaffolds with Curcumin and Curcumin-β-CD
2.12. In Vivo Bone Regeneration Study Evaluating Scaffolds Impregnated with Curcumin in Free Form and Complexed with Β-CD
2.12.1. Micro-Raman Spectroscopy Analysis of the Scaffolds Implanted in the Calvaria of the Animals
2.12.2. Histology of the Scaffolds
3. Results
3.1. Analysis of the Morphology and Particle Size of BCP
3.2. X-ray Diffraction Analysis and Rietveld Refinement
3.3. Analysis of Scaffolds Porosity by SEM and EDS
3.4. BCP Powder Analysis by Infrared Spectroscopy (FTIR)
3.5. BCP Powder Analysis by Micro-Raman
3.6. Complexation of Curcumin with β-Cyclodextrin (β-CD)
3.7. In Vitro Study of the Bioactivities of Scaffolds
3.8. Ex Vivo Micro-Raman Analysis of Implants
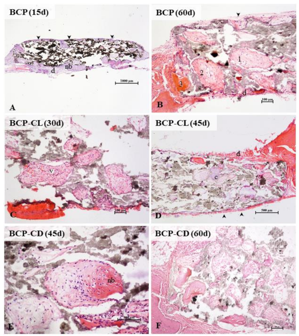
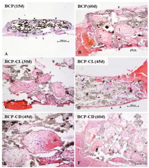
3.9. Histological Study of the Implants
4. Conclusions
Author Contributions
Funding
Institutional Review Board Statement
Informed Consent Statement
Data Availability Statement
Acknowledgments
Conflicts of Interest
Sample Availability
References
- Mohd Pu’ad, N.A.S.; Koshy, P.; Abdullah, H.Z.; Idris, M.I.; Lee, T.T.D.S.C. Syntheses of hydroxyapatite from natural sources. Heliyon 2019, 5, e01588. [Google Scholar] [CrossRef] [PubMed] [Green Version]
- Szcześ, A.; Hołysz, L.; Chibowski, E. Synthesis of hydroxyapatite for biomedical applications. Adv. Colloid Interface Sci. 2017, 249, 321–330. [Google Scholar] [CrossRef] [PubMed]
- Rose, F.R.; Hou, Q.; Oreffo, R.O. Delivery systems for bone growth factors: The new players in skeletal regeneration. J. Pharm. Pharmacol. 2004, 56, 415–427. [Google Scholar] [CrossRef] [PubMed]
- Samavedi, S.; Whittington, A.R.; Goldstein, A.S. Calcium phosphate ceramics in bone tissue engineering: A review of properties and their influence on cell behavior. Acta Biomater. 2013, 9, 8037–8045. [Google Scholar] [CrossRef]
- Eliaz, N.; Metoki, N. Calcium Phosphate Bioceramics: A Review of Their History, Structure, Properties, Coating Technologies and Biomedical. Materials 2017, 10, 334. [Google Scholar] [CrossRef] [Green Version]
- Kumar, P.; Vinitha, B.; Fathima, G. Bone grafts in dentistry. J. Pharm. Bioallied Sci. 2013, 5 (Suppl. S1), S125–S127. [Google Scholar] [CrossRef]
- Dorozhkin, S.V. Calcium orthophosphate-based biocomposites and hybrid biomaterials. J. Mat. Sci. 2009, 44, 2343–2387. [Google Scholar] [CrossRef] [Green Version]
- Tang, Z.; Li, X.; Tan, Y.; Fan, H.; Zhang, X. The material and biological characteristics of osteoinductive calcium phosphate ceramics. Regen Biomater. 2018, 5, 43–59. [Google Scholar] [CrossRef] [Green Version]
- Pae, H.C.; Kang, J.H.; Cha, J.K.; Lee, J.S.; Paik, J.W.; Jung, U.W.; Choi, S.H. Bone regeneration using three-dimensional hexahedron channel structured BCP block in rabbit calvarial defects. J. Biomed. Mater. Res. B 2019, 107, 2254–2262. [Google Scholar] [CrossRef]
- Muhammad, A.; Rashid, A.; Imran, S.; Wan, A.; Ibrahim, I.W.; Rafaqat, H. Extracting hydroxyapatite and its precursors from natural resources. J. Mater. Sci. 2014, 49, 1461–1475. [Google Scholar] [CrossRef]
- Liu, B.; Lun, D.X. Current Application of β-tricalcium Phosphate Composites In orthopaedics. Orthop. Surg. 2012, 4, 139–144. [Google Scholar] [CrossRef]
- Yubao, L.; Xingdong, Z.; Groot., K. Hydrolysis and phase transition of alpha-tricalcium phosphate. Biomaterials 1997, 18, 737. [Google Scholar] [CrossRef]
- Szpalski, C.; Barr, J.; Wetterau, M.; Saadeh, P.B.; Warren, S.M. Cranial bone defects: Current and future strategies. Neurosurg Focus 2010, 29, E8. [Google Scholar] [CrossRef] [PubMed] [Green Version]
- Sendemir-Urkmez, A.; Jamison, R.D. The addition of biphasic calcium phosphate to porous chitosan scaffolds enhances bone tissue development in vitro. J. Biomed. Mater. Res. 2007, 81, 624–633. [Google Scholar] [CrossRef] [PubMed]
- Skallevold, H.E.; Rokaya, D.; Khurshid, Z.; Zafar, M.S. Bioactive Glass Applications in Dentistry. Int. J. Mol. Sci. 2019, 20, 5960–5984. [Google Scholar] [CrossRef] [PubMed] [Green Version]
- Kim, J.; Kim, H.J.; Chang, S.W.; Oh, S.; Kim, S.Y.; Choi, K.K.; Kim, D.S.; Jang, J.H. Effect of bioactive glass addition on the physical properties of mineral trioxide aggregate. Biomater. Res. 2021, 25, 39–50. [Google Scholar] [CrossRef] [PubMed]
- Döbelin, N.; Luginbühl, R.; Bohner, M. Synthetic calcium phosphate ceramics for treatment of bone fractures. Chimia 2010, 64, 723–729. [Google Scholar] [CrossRef] [Green Version]
- Tsagarakis, K.; Palialexis, A.; Vassilopoulou, V. Mediterranean fishery discards: Review of the existing knowledge. ICES J. Mar. Sci. 2014, 71, 1219–1234. [Google Scholar] [CrossRef] [Green Version]
- Prado, G.C.; Weinand, W.R.; Volnistem, E.A.; Baesso, M.L.; Noronha, J.N.; Truite, C.; Souza, B.M.; Bonadio, T.M.; Hernandes, L. Physicochemical and bone regeneration studies using scaffoldings of pure natural hydroxyapatite or associated with Nb2O5. Mater. Chem. Phys. 2021, 272, 124922. [Google Scholar] [CrossRef]
- Kiyochi, H.J., Jr.; Candido, A.G.; Bonadio, T.G.M.; da Cruz, J.A.; Baesso, M.L.; Weinand, W.R.; Hernandes, L. In vivo evaluation of interactions between biphasic calcium phosphate (BCP)-niobium pentoxide (Nb2O5) nanocomposite and tissues using a rat critical-size calvarial defect model. J. Mater. Sci. Mater. Med. 2020, 31, 71. [Google Scholar] [CrossRef]
- Bonadio, T.M.G.; Fiorentina, E.R.; Candido, A.G.; Miyahara, R.Y.; Freitas, V.F.; Kiyochi, H.J., Jr.; Hernandes, L.; Rosso, E.R.; Burato, J.A.; Santos, I.A.; et al. Enhanced mechanical properties and osseointegration features of CaNb 2O6 –PNb9O25 –Ca3(PO4)2 triphasic nanostructured bioceramics derived by optimised sinterization of Nb2O5 and natural hydroxyapatite-β-tricalcium phosphate. Ceram. Int. 2020, 46, 12837–12845. [Google Scholar] [CrossRef]
- Corrêa, T.H.A.; Holanda, J.N.F. Fish Bone as a Source of Raw Material for Synthesis of Calcium Phosphat. Mat. Res. 2019, 22 (Suppl. S1), e20190486. [Google Scholar] [CrossRef]
- Granito, R.N.; Renno, A.C.M.; Yamamura, H.; Almeida, M.C.; Ruiz, P.L.M.; Ribeiro, D.A. Hydroxyapatite from Fish for Bone Tissue Engineering: A Promising Approach. Int. J. Mol. Cell Med. 2018, 7, 80–90. [Google Scholar] [CrossRef] [PubMed]
- Labusca, L.S.; Cionca, D. Clinical Review about the Role of Platelet Rich Plasma for the Treatment of Traumatic and Degenerative Musculoskeletal Disorders. Ortho. Rheum. Open Access J. 2016, 2, 555589. [Google Scholar] [CrossRef]
- Santos, A.A.; Miranda, C.D.O.; Alves, M.T.S.; Faloppa, F. The role of bone morphogenetic protein on bone tissue repair. Acta Ortop. Bras. 2005, 13, 194–195. [Google Scholar] [CrossRef] [Green Version]
- Lin, F.H.; Dong, G.C.; Chen, K.S.; Jiang, G.J.; Huang, C.W.; Sun, J.S. Immobilization of Chinese herbal medicine onto the surface-modified calcium hydrogenphosphate. Biomaterials 2003, 24, 2413–2422. [Google Scholar] [CrossRef] [Green Version]
- Hie, M.; Yamazaki, M.; Tsukamoto, I. Curcumin suppresses increased bone resorption by inhibiting osteoclastogenesis in rats with streptozotocin-induced diabetes. Eur. J. Pharmacol. 2009, 621, 1–9. [Google Scholar] [CrossRef]
- Martins, C.A.; Leyhausen, G.; Volk, J.; Geurtsen, W. Curcumin in combination with piperine suppresses osteoclastogenesis in vitro. J. Endodont 2005, 41, 1638–1645. [Google Scholar] [CrossRef]
- Rohanizadeh, R.; Deng, Y.; Verron, E. Therapeutic actions of curcumin in bone disorders. Bonekey Rep. 2016, 2, 793. [Google Scholar] [CrossRef] [Green Version]
- Jain, S.; Meka, S.R.K.; Chatterjee, K. Curcumin eluting nanofibers augment osteogenesis toward phytochemical based bone tissue engineering. Biomed. Mater. 2016, 6, 055007. [Google Scholar] [CrossRef]
- Son, H.E.; Kim, E.J.; Jang, W.G. Curcumin induces osteoblast differentiation through mild-endoplasmic reticulum stress-mediated such as BMP2 on osteoblast cells. Life Sci. 2018, 15, 34–39. [Google Scholar] [CrossRef] [PubMed]
- Yang, M.W.; Wang, T.H.; Yan, P.P.; Chu, L.W.; Yu, J.; Gao, Z.D.; Li, Y.Z.; Guo, B.L. Curcumin improves bone microarchitecture and enhances mineral density in APP/PS1 transgenic mice. Phytomedicine 2011, 18, 205–213. [Google Scholar] [CrossRef] [PubMed]
- French, D.L.; Muir, J.M.; Webber, C.E. The ovariectomized, mature rat model of postmenopausal osteoporosis: An assessment of the bone sparing effects of curcumin. Phytomed 2008, 15, 1069–1078. [Google Scholar] [CrossRef]
- Anand, P.; Kunnumakkara, A.B.; Newman, R.A.; Aggarwal, B.B. Bioavailability of curcumin: Problems and promises. Mol. Pharm. 2007, 4, 807–818. [Google Scholar] [CrossRef]
- Mangolim, C.S.; Moriwaki, C.; Nogueira, A.C.; Sato, F.; Baesso, M.L.; Neto, A.M.; Matioli, G. Curcumin-β-cyclodextrin inclusion complex: Stability, solubility, characterisation by FT-IR, FT-Raman, X-ray diffraction and photoacoustic spectroscopy, and food application. Food Chem. 2014, 15, 361–370. [Google Scholar] [CrossRef] [Green Version]
- Weinand, W.R.; Lima, W.M. Processo de Obtenção de Hidroxiapatita via Calcinação de Osso de Peixe—PI 0506242-0. Rede dos Núcleos de Inovação Tecnológica do Paraná. 2017. Available online: http://www.nitpar.pr.gov.br/producao-de-hidroxiapatita-via-calcinacao-de-osso-de-peixe/ (accessed on 20 March 2018).
- Vuong, B.X. Synthesis and characterization of HA/β-TCP bioceramic powder. Vietnam J. Chem 2018, 56, 152–155. [Google Scholar] [CrossRef]
- Chen, Z.; Xue, J.; Shen, T.; Um, S.; Fu, Q. Curcumin alleviates glucocorticoid-induced osteoporosis through the regulation of the Wnt signaling pathway. Int. J. Mol. Med. 2016, 37, 329–338. [Google Scholar] [CrossRef] [Green Version]
- JCPDS International Centre for Diffraction Data. Conditions of Use. Available online: https://www.icdd.com (accessed on 30 April 2019).
- ICSD—Inorganic Crystal Structure Database. Available online: https://www.fiz-karlsruhe.de/icsd_home.html (accessed on 30 April 2019).
- Rodriguez-Carvajal, J. FULLPROF. A Program for Rietveld, Profile Matching and Integrated Intensities Refinement of X-ray and/or Neutron Data. Laboratoire Leon Brillouin: CEA-Saclay, France, 2000. Available online: http://mill2.chem.ucl.ac.uk/tutorial/fullprof/doc/fp_frame.htm (accessed on 30 April 2019).
- Yacoubi, A.E.; Massit, A.; Moutaoikel, S.E.; Rezzouk, A.; Idrissi, B.C.E. Rietveld Refinement of the Crystal Structure of Hydroxyapatite Using X-ray Powder Diffraction. Am. J. Mater. Sci. Eng. 2017, 5, 1–5. [Google Scholar] [CrossRef] [Green Version]
- ASTM (American Society for Testing and Materials) C37388. Available online: https://www.astm.org/DIGITAL_LIBRARY/index.html (accessed on 30 April 2019).
- Kokubo, T.; Takadama, H. How useful is SBF in predicting in vivo bone bioactivity? Biomaterials 2006, 27, 2907–2915. [Google Scholar] [CrossRef] [PubMed]
- Goodhew, P.J.; Humphreys, J.; Beamland, R. Electron Microscopy and Analysis, 3rd ed.; Taylor & Francis: London, UK, 2001. [Google Scholar] [CrossRef]
- Thangamani, N.; Chinnakali, K.; Gnanam, F.D. The effect of powder processing on densification, microstructure and mechanical properties of hydroxyapatite. Ceram. Int. 2001, 28, 355–362. [Google Scholar] [CrossRef]
- Muralithran, G.; Ramesh, S. The effects of sintering temperature on the properties of hydroxyapatite. Ceram. Int. 2000, 26, 221–230. [Google Scholar] [CrossRef]
- Hench, L.L.; Ethridge, E.C. Biomaterials: An Interfacial Approach; Academic Press: New York, NY, USA, 1992. [Google Scholar]
- Hulbert, S.F.; Young, F.A.; Mathews, R.S.; Klawitter, J.J.; Talbert, C.D.; Stelling, F.H. Potential of ceramic materials as permanently implantable skeletal prostheses. J. Biomed. Mater. Res. 1970, 43, 433–456. [Google Scholar] [CrossRef]
- Berzina-Cimdinam, L.; Borodajenko, N. Research of calcium phosphates using Fourier transform infrared spectroscopy. In Infrared Spectroscopy-Materials Science, Engineering and Technology; Theophile, T., Ed.; InTech: Rijeka, Croatia, 2012; pp. 123–148. Available online: https://www.intechopen.com/chapters/36171 (accessed on 15 September 2019).
- Meejoo, S.; Maneeprakor, W.; Winotai, P. Phase and thermal stability of nanocrystalline hydroxyapatite prepared via microwave heating. Thermochim. Acta 2006, 447, 115–120. [Google Scholar] [CrossRef]
- Rehman, I.; Bonfield, W. Characterization of hydroxyapatite and carbonated apatite by photo acoustic FTIR spectroscopy. J. Mat. Sci: Mat. Med. 1997, 8, 1–4. [Google Scholar] [CrossRef]
- Penel, G.; Leroy, G.; Rey, C.; Bres, E. Microraman spectral study of the PO4 and CO3 vibrational modes in synthetic and biological apatites. Calcif. Tissue Int. 1998, 63, 475–481. [Google Scholar] [CrossRef]
- Cuscó, R.; Guitián, F.; Aza, S.D.; Artús, L. Differentiation between hydroxyapatite and β-tricalcium phosphate by means of μ-Raman spectroscopy. J. Eur. Ceram. Soc. 1998, 18, 1301–1305. [Google Scholar] [CrossRef]
- Zhang, J.; Dai, C.; Wei, J.; Wen, Z.; Zhang, S.; Lin, L. Calcium phosphate/chitosan composite coating: Effect of different concentrations of Mg2+ in the m-SBF on its bioactivity. Appl. Surf. Sci. 2013, 280, 256–262. [Google Scholar] [CrossRef]
- Bose, S.; Sarkar, N.; Banerjee, D. Effects of PCL, PEG and PLGA polymers on curcumin release from calcium phosphate matrix for in vitro and in vivo bone regeneration. Mater. Today Chem. 2018, 8, 110–120. [Google Scholar] [CrossRef]
- Liang, L.; Rulis, P.; Ching, W.Y. Mechanical properties, electronic structure and bonding of alpha- and beta-tricalcium phosphates with surface characterization. Acta Biomater. 2010, 6, 3763–3771. [Google Scholar] [CrossRef]
- Zhang, X.; Liao, Z.; Yang, L.; Hu, Z.; Jiang, K.; Guo, Y. Interaction between β-cyclodextrin and crystallization of calcium carbonate. Acta Chim. Sinica 2003, 61, 69–73. [Google Scholar]
- Wang, S.; Wang, Y.; Sun, K.; Sun, X. Low temperature preparation of α-tricalcium phosphate and its mechanical properties. Process. Appl. Ceram. 2017, 11, 100–105. [Google Scholar] [CrossRef] [Green Version]
- Pasquinelli, H.B.A. Compósito de Hidroxiapatita-Pentóxido de Nióbio βHAp-PNB na Forma de Arcabouço Induz Regeneração Óssea em Defeitos de Tamanho Crítico em Calvária de Ratos. Ph.D. Thesis, Programa de Pós graduação em Odontologia Integrada. Universidade Estadual de Maringá, Maringá, Brasil, 2015. [Google Scholar]
- Bonadio, T.G.B. Biocompósitos de Pentóxido de Nióbio, Hidroxiapatita e β-Fosfato Tricálcio: Produção, Caracterização e Estudos In Vivo como Suportes Ósseos Densos e Porosos. Ph.D. Thesis. Programa de Pósgraduação em Física. Universidade Estadual de Maringá: Maringá, Brasil, 2014. Available online: www.pfi.uem.br (accessed on 30 April 2019).
- Zhang, F.; Liu, F.; Zhang, G.; Li, J.; Xinjun, S. Protective Effect of Curcumin on Bone Trauma in a Rat Model via Expansion of Myeloid Derived Suppressor Cells. Med. Sci. Monit. 2020, 26, 1–9. [Google Scholar] [CrossRef] [PubMed]
- Canalis, E.; Economides, A.N.; Gazzerro, E. Bone morphogenetic proteins, their antagonists, and the skeleton. Endocr. Ver. 2003, 24, 218–235. [Google Scholar] [CrossRef] [PubMed] [Green Version]
- Welch, R.D.; Jones, A.L.; Bucholz, R.W.; Reinert, C.M.; Tjia, J.S.; Pierce, W.A.; Wozney, J.M.; Li, X.J. Effect of recombinant human bone morphogenetic protein-2 on fracture healing in a goat tibial fracture model. J. Bone Miner. Res. 1998, 13, 1483–1490. [Google Scholar] [CrossRef] [PubMed]
- Notoya, M.; Nishimura., H.; Woo, J.T.; Nagai, K.; Ishihara, Y.; Hagiwara, H. Curcumin inhibits the proliferation and mineralization of cultured osteoblasts. Eur. J. Pharmacol. 2006, 534, 55–62. [Google Scholar] [CrossRef]












| Phase: β-TCP—(Ca3(PO4)2) System: Rhombohedral—R3c (167) | Phase: HAp—(Ca10(PO4)6(OH)2) System: Hexagonal—P63/m (176) | ||||||||
|---|---|---|---|---|---|---|---|---|---|
| a = b (Å) | c (Å) | V (Å3) | ρ g/cm3 | wt% | a = b (Å) | c (Å) | V (Å3) | ρ g/cm3 | wt% |
| 10.3480(6) | 37.071 (2) | 3457.9 (4) | 3.09 | 42.8 | 9.422(4) | 6.881 (3) | 529.30(4) | 3.142 | 57.2 |
| 10. 4290 * | 37.380 * | 3520.91 * | 3.0 * | 100* | 9.418 ** | 6.884 ** | 528.0 ** | 3.16 ** | 100 ** |
Publisher’s Note: MDPI stays neutral with regard to jurisdictional claims in published maps and institutional affiliations. |
© 2022 by the authors. Licensee MDPI, Basel, Switzerland. This article is an open access article distributed under the terms and conditions of the Creative Commons Attribution (CC BY) license (https://creativecommons.org/licenses/by/4.0/).
Share and Cite
Truite, C.V.R.; Noronha, J.N.G.; Prado, G.C.; Santos, L.N.; Palácios, R.S.; do Nascimento, A.; Volnistem, E.A.; da Silva Crozatti, T.T.; Francisco, C.P.; Sato, F.; et al. Bioperformance Studies of Biphasic Calcium Phosphate Scaffolds Extracted from Fish Bones Impregnated with Free Curcumin and Complexed with β-Cyclodextrin in Bone Regeneration. Biomolecules 2022, 12, 383. https://doi.org/10.3390/biom12030383
Truite CVR, Noronha JNG, Prado GC, Santos LN, Palácios RS, do Nascimento A, Volnistem EA, da Silva Crozatti TT, Francisco CP, Sato F, et al. Bioperformance Studies of Biphasic Calcium Phosphate Scaffolds Extracted from Fish Bones Impregnated with Free Curcumin and Complexed with β-Cyclodextrin in Bone Regeneration. Biomolecules. 2022; 12(3):383. https://doi.org/10.3390/biom12030383
Chicago/Turabian StyleTruite, Cecilia V. R., Jessica N. G. Noronha, Gabriela C. Prado, Leonardo N. Santos, Raquel S. Palácios, Adriane do Nascimento, Eduardo A. Volnistem, Thamara T. da Silva Crozatti, Carolina P. Francisco, Francielle Sato, and et al. 2022. "Bioperformance Studies of Biphasic Calcium Phosphate Scaffolds Extracted from Fish Bones Impregnated with Free Curcumin and Complexed with β-Cyclodextrin in Bone Regeneration" Biomolecules 12, no. 3: 383. https://doi.org/10.3390/biom12030383
APA StyleTruite, C. V. R., Noronha, J. N. G., Prado, G. C., Santos, L. N., Palácios, R. S., do Nascimento, A., Volnistem, E. A., da Silva Crozatti, T. T., Francisco, C. P., Sato, F., Weinand, W. R., Hernandes, L., & Matioli, G. (2022). Bioperformance Studies of Biphasic Calcium Phosphate Scaffolds Extracted from Fish Bones Impregnated with Free Curcumin and Complexed with β-Cyclodextrin in Bone Regeneration. Biomolecules, 12(3), 383. https://doi.org/10.3390/biom12030383

