Lateral Flow Biosensor for On-Site Multiplex Detection of Viruses Based on One-Step Reverse Transcription and Strand Displacement Amplification
Abstract
1. Introduction
2. Materials and Methods
2.1. Reagents and Chemicals
2.2. Preparation of Gold Nanoparticles (AuNPs)–Oligo Conjugates
2.3. Construction of Lateral Flow Biosensor
2.4. Experimental Design
2.5. Carrier RNA Preparation
2.6. Detection of Pathogens
2.7. Ready-to-Use Kit Preparation
3. Results
3.1. Design of Probes for Pathogens Detection
3.2. Establishment of the Biosensor
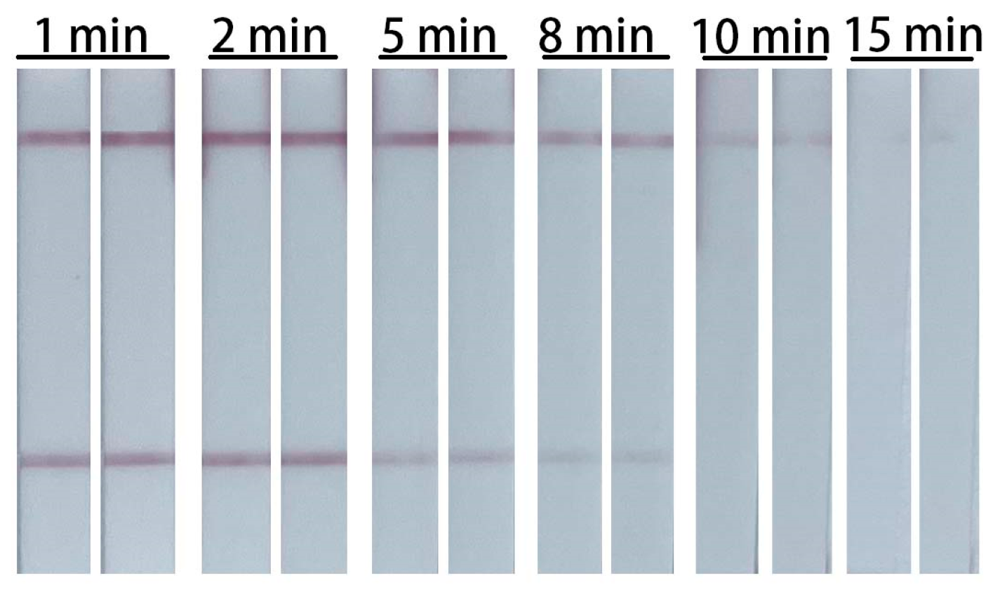
3.3. Optimization of the Biosensor
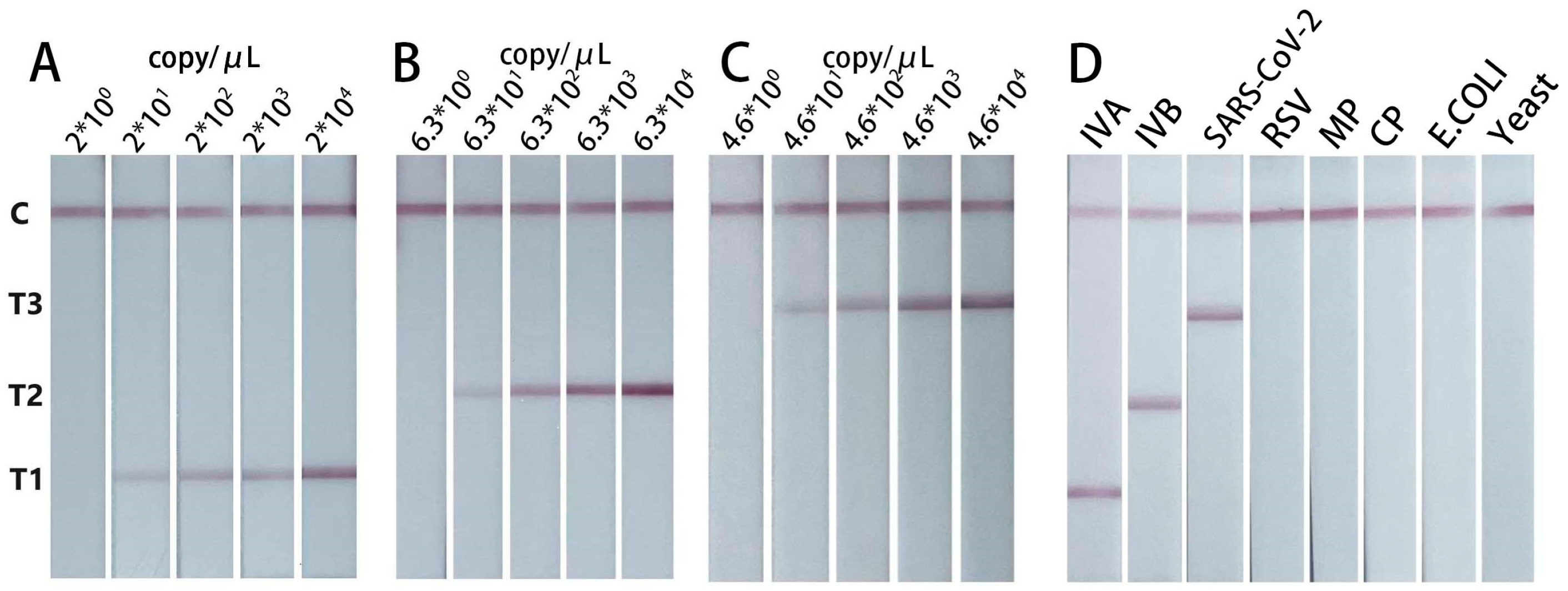
3.4. Sensitivity and Specificity of the Biosensor for Different Viruses
3.5. The Detection of Spiked Samples
4. Discussion
5. Conclusions
Author Contributions
Funding
Institutional Review Board Statement
Informed Consent Statement
Data Availability Statement
Acknowledgments
Conflicts of Interest
References
- Perez, A.; Lively, J.Y.; Curns, A. Respiratory Virus Surveillance Among Children with Acute Respiratory Illnesses—New Vaccine Surveillance Network, United States, 2016–2021. MMWR Morb. Mortal Wkly. Rep. 2022, 71, 1253–1259. [Google Scholar] [CrossRef] [PubMed]
- Berry, M.; Gamieldien, J.; Fielding, B.C. Identification of New Respiratory Viruses in the New Millennium. Viruses 2015, 7, 996–1019. [Google Scholar] [CrossRef] [PubMed]
- Bhadra, S.; Jiang, Y.S.; Kumar, M.R.; Johnson, R.F.; Hensley, L.E.; Ellington, A.D. Real-Time Sequence-Validated Loop-Mediated Isothermal Amplification Assays for Detection of Middle East Respiratory Syndrome Coronavirus (MERS-CoV). PLoS ONE 2015, 10, e0123126. [Google Scholar] [CrossRef] [PubMed]
- Hutchinson, E.C. Influenza Virus. Trends Microbiol. 2018, 26, 809–810. [Google Scholar] [CrossRef] [PubMed]
- Shi, M.; Lin, X.D.; Chen, X.; Tian, J.H.; Chen, L.J.; Li, K.; Wang, W.; Eden, J.S.; Shen, J.J.; Liu, L.; et al. The evolutionary history of vertebrate RNA viruses. Nature 2018, 556, 197–202. [Google Scholar] [CrossRef] [PubMed]
- Olsen, B.; Munster, V.J.; Wallensten, A.; Waldenström, J.; Osterhaus, A.D.M.E.; Fouchier, R.A.M. Global Patterns of Influenza A Virus in Wild Birds. Science 2006, 312, 384–388. [Google Scholar] [CrossRef]
- Javanian, M.; Barary, M.; Ghebrehewet, S.; Koppolu, V.; Vasigala, V.; Ebrahimpour, S. A brief review of influenza virus infection. J. Med. Virol. 2021, 93, 4638–4646. [Google Scholar] [CrossRef]
- Monto, A.S.; Gravenstein, S.; Elliott, M.; Colopy, M.; Schweinle, J. Clinical Signs and Symptoms Predicting Influenza Infection. Arch. Intern. Med. 2000, 160, 3243–3247. [Google Scholar] [CrossRef]
- Peeling, R.W.; Olliaro, P.L.; Boeras, D.I.; Fongwen, N. Scaling up COVID-19 rapid antigen tests: Promises and challenges. Lancet Infect. Dis. 2021, 21, e290–e295. [Google Scholar] [CrossRef]
- Gavin, P.J.; Thomson, R.B. Review of Rapid Diagnostic Tests for Influenza. Clin. Appl. Immunol. Rev. 2004, 4, 151–172. [Google Scholar] [CrossRef]
- Koski, R.R.; Klepser, M.E. A systematic review of rapid diagnostic tests for influenza: Considerations for the community pharmacist. J. Am. Pharm. Assoc. 2017, 57, 13–19. [Google Scholar] [CrossRef]
- Green Daniel, A.; StGeorge, K. Rapid Antigen Tests for Influenza: Rationale and Significance of the FDA Reclassification. J. Clin. Microbiol. 2018, 56. [Google Scholar] [CrossRef]
- Meseko, C.A.; Oladokun, A.T.; Ekong, P.S.; Fasina, F.O.; Shittu, I.A.; Sulaiman, L.K.; Egbuji, A.N.; Solomon, P.; Ularamu, H.G.; Joannis, T.M. Rapid antigen detection in the diagnosis of highly pathogenic avian influenza (H5N1) virus in Nigeria. Diagn. Microbiol. Infect. Dis. 2010, 68, 163–165. [Google Scholar] [CrossRef] [PubMed]
- Scohy, A.; Anantharajah, A.; Bodéus, M.; Kabamba-Mukadi, B.; Verroken, A.; Rodriguez-Villalobos, H. Low performance of rapid antigen detection test as frontline testing for COVID-19 diagnosis. J. Clin. Virol. 2020, 129, 104455. [Google Scholar] [CrossRef] [PubMed]
- Fox, J.D. Nucleic acid amplification tests for detection of respiratory viruses. J. Clin. Virol. 2007, 40, S15–S23. [Google Scholar] [CrossRef] [PubMed]
- Mustafa Hellou, M.; Górska, A.; Mazzaferri, F.; Cremonini, E.; Gentilotti, E.; De Nardo, P.; Poran, I.; Leeflang, M.M.; Tacconelli, E.; Paul, M. Nucleic acid amplification tests on respiratory samples for the diagnosis of coronavirus infections: A systematic review and meta-analysis. Clin. Microbiol. Infect. 2021, 27, 341–351. [Google Scholar] [CrossRef] [PubMed]
- Huang, H.S.; Tsai, C.L.; Chang, J.; Hsu, T.C.; Lin, S.; Lee, C.C. Multiplex PCR system for the rapid diagnosis of respiratory virus infection: Systematic review and meta-analysis. Clin. Microbiol. Infect. 2018, 24, 1055–1063. [Google Scholar] [CrossRef] [PubMed]
- Chiu, Y.-T.; Tien, N.; Lin, H.-C.; Wei, H.-M.; Lai, H.-C.; Chen, J.-A.; Low, Y.-Y.; Lin, H.-H.; Hsu, Y.-L.; Hwang, K.-P. Detection of respiratory pathogens by application of multiplex PCR panel during early period of COVID-19 pandemic in a tertiary hospital in Central Taiwan. J. Microbiol. Immunol. Infect. 2022, 55, 1144–1150. [Google Scholar] [CrossRef]
- Chung, H.-Y.; Jian, M., Jr.; Chang, C.-K.; Lin, J.-C.; Yeh, K.-M.; Chen, C.-W.; Chiu, S.-K.; Wang, Y.-H.; Liao, S.-J.; Li, S.-Y.; et al. Novel dual multiplex real-time RT-PCR assays for the rapid detection of SARS-CoV-2, influenza A/B, and respiratory syncytial virus using the BD MAX open system. Emerg. Microbes Infect. 2021, 10, 161–166. [Google Scholar] [CrossRef]
- Powers-Fletcher, M.V.; Powell, E.A. Molecular testing for respiratory viruses. In Diagnostic Molecular Pathology; Elsevier: Amsterdam, The Netherlands, 2024; pp. 117–132. [Google Scholar]
- Garneret, P.; Coz, E.; Martin, E.; Manuguerra, J.-C.; Brient-Litzler, E.; Enouf, V.; González Obando, D.F.; Olivo-Marin, J.-C.; Monti, F.; van der Werf, S.; et al. Performing point-of-care molecular testing for SARS-CoV-2 with RNA extraction and isothermal amplification. PLoS ONE 2021, 16, e0243712. [Google Scholar] [CrossRef]
- Zanoli, L.M.; Spoto, G. Isothermal Amplification Methods for the Detection of Nucleic Acids in Microfluidic Devices. Biosensors 2013, 3, 18–43. [Google Scholar] [CrossRef] [PubMed]
- Nieuwkerk, D.M.; Korajkic, A.; Valdespino, E.L.; Herrmann, M.P.; Harwood, V.J. Critical review of methods for isothermal amplification of nucleic acids for environmental analysis. J. Microbiol. Methods 2020, 179, 106099. [Google Scholar] [CrossRef] [PubMed]
- Daher, R.K.; Stewart, G.; Boissinot, M.; Bergeron, M.G. Recombinase Polymerase Amplification for Diagnostic Applications. Clin. Chem. 2016, 62, 947–958. [Google Scholar] [CrossRef] [PubMed]
- Eboigbodin, K.; Filén, S.; Ojalehto, T.; Brummer, M.; Elf, S.; Pousi, K.; Hoser, M. Reverse transcription strand invasion based amplification (RT-SIBA): A method for rapid detection of influenza A and B. Appl. Microbiol. Biotechnol. 2016, 100, 5559–5567. [Google Scholar] [CrossRef] [PubMed]
- van Dongen, J.E.; Berendsen, J.T.W.; Steenbergen, R.D.M.; Wolthuis, R.M.F.; Eijkel, J.C.T.; Segerink, L.I. Point-of-care CRISPR/Cas nucleic acid detection: Recent advances, challenges and opportunities. Biosens. Bioelectron. 2020, 166, 112445. [Google Scholar] [CrossRef]
- Bonini, A.; Poma, N.; Vivaldi, F.; Kirchhain, A.; Salvo, P.; Bottai, D.; Tavanti, A.; Di Francesco, F. Advances in biosensing: The CRISPR/Cas system as a new powerful tool for the detection of nucleic acids. J. Pharm. Biomed. Anal. 2021, 192, 113645. [Google Scholar] [CrossRef] [PubMed]
- Broughton, J.P.; Deng, X.; Yu, G.; Fasching, C.L.; Servellita, V.; Singh, J.; Miao, X.; Streithorst, J.A.; Granados, A.; Sotomayor-Gonzalez, A.; et al. CRISPR–Cas12-based detection of SARS-CoV-2. Nat. Biotechnol. 2020, 38, 870–874. [Google Scholar] [CrossRef]
- Park, B.J.; Park, M.S.; Lee, J.M.; Song, Y.J. Specific Detection of Influenza A and B Viruses by CRISPR-Cas12a-Based Assay. Biosensors 2021, 11, 88. [Google Scholar] [CrossRef]
- Shi, J.; Zhang, Y.; Yang, M. Recent development of microfluidics-based platforms for respiratory virus detection. Biomicrofluidics 2023, 17, 024104. [Google Scholar] [CrossRef]
- Clark, J.A.; Conway Morris, A.; Curran, M.D.; White, D.; Daubney, E.; Kean, I.R.L.; Navapurkar, V.; Bartholdson Scott, J.; Maes, M.; Bousfield, R.; et al. The rapid detection of respiratory pathogens in critically ill children. Crit. Care 2023, 27, 11. [Google Scholar] [CrossRef]
- Cavanaugh, S.E.; Bathrick, A.S. Direct PCR amplification of forensic touch and other challenging DNA samples: A review. Forensic Sci. Int. Genet. 2018, 32, 40–49. [Google Scholar] [CrossRef]
- Fang, Z.; Wu, W.; Lu, X.; Zeng, L. Lateral flow biosensor for DNA extraction-free detection of salmonella based on aptamer mediated strand displacement amplification. Biosens. Bioelectron. 2014, 56, 192–197. [Google Scholar] [CrossRef]
- Wu, W.; Zhao, S.; Mao, Y.; Fang, Z.; Lu, X.; Zeng, L. A sensitive lateral flow biosensor for Escherichia coli O157:H7 detection based on aptamer mediated strand displacement amplification. Anal. Chim. Acta 2015, 861, 62–68. [Google Scholar] [CrossRef] [PubMed]
- Zhang, N.; Wang, L.; Deng, X.; Liang, R.; Su, M.; He, C.; Hu, L.; Su, Y.; Ren, J.; Yu, F.; et al. Recent advances in the detection of respiratory virus infection in humans. J. Med. Virol. 2020, 92, 408–417. [Google Scholar] [CrossRef]
- Wang, X.; Stelzer-Braid, S.; Scotch, M.; Rawlinson, W.D. Detection of respiratory viruses directly from clinical samples using next-generation sequencing: A literature review of recent advances and potential for routine clinical use. Rev. Med. Virol. 2022, 32, e2375. [Google Scholar] [CrossRef] [PubMed]
- Bloomfield, M.G.; Balm, M.N.D.; Blackmore, T.K. Molecular testing for viral and bacterial enteric pathogens: Gold standard for viruses, but don’t let culture go just yet? Pathology 2015, 47, 227–233. [Google Scholar] [CrossRef] [PubMed]
- Sritong, N.; Sala de Medeiros, M.; Basing, L.A.; Linnes, J.C. Promise and perils of paper-based point-of-care nucleic acid detection for endemic and pandemic pathogens. Lab Chip 2023, 23, 888–912. [Google Scholar] [CrossRef]








| Oligonucleotide | Sequence 5′-3′ |
|---|---|
| IVA-RT@ | CATTTGAA |
| IVA-SDA | TCATTGGGATCTTG |
| IVA-AU2x * | TAATCCACAATTAATCCACAAT—biotin |
| IVA-Capture2x * | AAAAGACGATCAAAAAGACGATCA |
| IVA-Control | ACCTGATATTGTGGATACTGATCGTCTTTTTTTCAAATG |
| IVA-F | CCCTCAAAGCCGAGATCGC |
| IVA-R | CTGGGCACGGTGAGCGTGAA |
| IVB-RT | ATCTAATTGTG |
| IVB-SDA | ACAATGGTGGAT |
| IVB-AU | CTTCGGGTAATGGTCCA—biotin |
| IVB-Capture | CATAGGCACTCGGCTCA |
| 1AB-RT | TACTTAAGATTCA |
| 1AB-SDA | TGAGTTATGAGGAT |
| 1AB-AU | Biotin—GAGTTATAGTAGGGATGAC |
| 1AB-Capture2x * | CGTTTTGTATATGCGCGTTTTGTATATGCG |
| Actin-RT | GCTTGGTGCGAG |
| Actin-SDA | GTTCTCAGTGGTGG |
| Actin-AU | GGTCAGCAATACCAGGGAAC—biotin |
| Actin-Capture | CAGTGATCTCCTTGCTCATA |
| En-prob 1 # | GTCCTCGCTCACTGGTTTTT—biotin |
| En-prob 2 # | CCAGTGAGCGAGGACCCAGTGAGCGAGGAC—biotin |
Disclaimer/Publisher’s Note: The statements, opinions and data contained in all publications are solely those of the individual author(s) and contributor(s) and not of MDPI and/or the editor(s). MDPI and/or the editor(s) disclaim responsibility for any injury to people or property resulting from any ideas, methods, instructions or products referred to in the content. |
© 2024 by the authors. Licensee MDPI, Basel, Switzerland. This article is an open access article distributed under the terms and conditions of the Creative Commons Attribution (CC BY) license (https://creativecommons.org/licenses/by/4.0/).
Share and Cite
Lu, X.; Ding, K.; Fang, Z.; Liu, Y.; Ji, T.; Sun, J.; Zeng, Z.; He, L. Lateral Flow Biosensor for On-Site Multiplex Detection of Viruses Based on One-Step Reverse Transcription and Strand Displacement Amplification. Biosensors 2024, 14, 103. https://doi.org/10.3390/bios14020103
Lu X, Ding K, Fang Z, Liu Y, Ji T, Sun J, Zeng Z, He L. Lateral Flow Biosensor for On-Site Multiplex Detection of Viruses Based on One-Step Reverse Transcription and Strand Displacement Amplification. Biosensors. 2024; 14(2):103. https://doi.org/10.3390/bios14020103
Chicago/Turabian StyleLu, Xuewen, Kangning Ding, Zhiyuan Fang, Yilei Liu, Tianxing Ji, Jian Sun, Zhenling Zeng, and Limin He. 2024. "Lateral Flow Biosensor for On-Site Multiplex Detection of Viruses Based on One-Step Reverse Transcription and Strand Displacement Amplification" Biosensors 14, no. 2: 103. https://doi.org/10.3390/bios14020103
APA StyleLu, X., Ding, K., Fang, Z., Liu, Y., Ji, T., Sun, J., Zeng, Z., & He, L. (2024). Lateral Flow Biosensor for On-Site Multiplex Detection of Viruses Based on One-Step Reverse Transcription and Strand Displacement Amplification. Biosensors, 14(2), 103. https://doi.org/10.3390/bios14020103

