You are currently on the new version of our website. Access the old version .
AgricultureAgriculture
  • Article
  • Open Access

3 October 2023

Gene Locus Mapping and Candidate Gene Screening for Branched Spike and Its Associated Traits of the Ynbs Mutant in Barley

,
,
,
and
College of Agronomy and Biotechnology, Yunnan Agricultural University, Kunming 650201, China
*
Author to whom correspondence should be addressed.
These authors contributed equally to this work.
This article belongs to the Special Issue Molecular Genetics and Functional Genomics for the Breeding of Cereal Crops

Abstract

The Ynbs (Yunnan branched-spike) mutant of naked barley with a branched spike displays some special traits, such as more degenerated multiple spikelets per spike and florets per multiple spikelets and a lower seed-setting rate. However, there is still a lack of understanding the loci of the trait. In the present study, the Ynbs mutant was crossed with Baodamai8 to breed F2 and F2:5 populations. The F2 and F2:5 populations were successively employed to map the loci for a branched spike, triplicate (or multiple) spikelet number per spike (T(M)SNS), degenerated triplicate (or multiple) spikelet number per spike (DT(M)SNS) and floret number per triplicate (or multiple) spikelet (FNT(M)S). The genetic interval mapped through the F2:5 population was flanked by markers HvSSR4 and HVSSR20, and, within that, mapped through the F2 population. The genetic distance of the branched-spike locus to HVSSR20 locus, T(M)SNS, FNT(M)S), and DT(M)SNS is 1.86 centiMorgan (cM), 0.27 cM, and 0.73 cM, respectively. The Morex genome sequence defined by markers HvSSR4 and HVSSR20 harbored 18 genes, among which HORVU.MOREX.r3.2HG0114260 belonged to the AP2/ERF domain transcription factor gene superfamily. In the Ynbs mutant, the C base at site 232 of the code domain sequence of the gene was substituted with T, leading to the substitution of arginine with cysteine at site 78 in the DNA-binding domain of the encoded protein. The gene harbors a new allele mutant in the Ynbs mutant and exhibits a pleiotropy in the development of a branched spike, spikelet, and floret. The results provide valuable information for elucidating the development mechanism of barley young spike.

1. Introduction

The inflorescence of barley (Hordeum vulgare L.) is composed of an unbranched rachis and triplicate spikelet attached to the rachis node in a one-to-one manner [1]. A triplicate spikelet consists of three sessile single-floret spikelets [1]. The sessile single-floret spikelet is composed of two glumes and one floret. As a basic unit of sexual reproduction, a fertile floret can bear only one grain after fertilization [2]. Except for a few rachis nodes on the base or top, each of barley rachis nodes can bear a triplicate spikelet [3]. Since there is not any branch on the rachis, the growth space of the triplicate spikelet is limited by the rachis length and rachis node density in barley [4,5]. Mapping and screening the genes of spike rachis length, rachis node density, triplicate spikelet number per spike, and floret number per triplicate spikelet is helpful for elucidating the young spike development mechanism in and innovating the high-yield breeding theory of barley.
The triplicate spikelet number per spike, rachis length, and rachis node density of barley are all quantitative traits that are genetically controlled by multiple genes [6,7]. Based on the studies of linkage and genome-wide association; the QTLs of rachis length were mapped on 7 chromosomes, the QTLs of floret number per spike were mapped on Chr2H, Chr4H, and Chr6H; and the QTLs of spikelet number per spike and grain number per spike were mapped on all the chromosomes except Chr6H [7,8,9,10,11,12,13,14,15]. Due to the influence of genetic background and environmental factors, the QTLs and their genetic effects on a special trait differ among the reports by different scholars, and most of the reported QTLs are minor loci [8,9,10,11,12,13,14,15,16]. Some of the above QTLs were believed to harbor row-type gene Vrs, indicating that the row-type genes may be involved in the genetic regulation of rachis length, rachis node density, and grain number per spike, in barley.
Although some QTLs of the above traits have been mapped, the studies were all conducted by barleys with the classic spike [10,15,17,18]. Due to the limitation posed by the genetic mechanism of inflorescence structural elements, such as rachis length, triplicate spikelet, and florets, it is difficult to map the regulatory genes of transformation from inflorescence meristem to spikelet meristem, maintenance of the activity of spikelet and floret meristems and their lateral proliferation ability, by using barleys with classic spike [19,20]. In a branched-spike mutant, the branched-spike primordia have been effectively activated, the spikelet primordia could only be expressed ectopically in the branched rachis node, and the activity maintenance and lateral amplification ability of spikelet and floret meristems were effectively increased [21]. Therefore, a branched-spike mutant can effectively compensate for the shortcomings of classical-spike barley in gene or QTL mapping.
Beiqing7 is a six-rowed highland barley variety with an unbranched spike, characterized by some excellent traits, such as high yield, stable yield, and wide adaptability [22]. By using EMS (Ethylmethylsulfone) to mutate the mature seed of Beiqing7, a naked barley mutant with a branched spike (Ynbs mutant) was successfully bred by our research group [23,24,25,26]. In addition to the branched spike, the Ynbs mutant also displays some special spike characteristics, such as the ectopic expression of multiple spikelets and its floral meristems on branched rachis nodes, more florets per multiple spikelets, and more degenerated multiple spikelets per spike. In order to effectively utilize the advantages of the Ynbs mutant in the mapping of the above trait gene loci, F2 and F2:5 populations from the cross (Ynbs mutant/Baodamai8) were successively developed. This study aimed to map the gene loci for branched spikes, T(M)SNS, DT(M)SNS, and FNT(M)S (hereinafter referred to as target traits) using the two populations and provide some new genes for elucidating the young spike development mechanism and innovating the high-yield breeding theory of barley, especially highland barley.

2. Materials and Methods

2.1. Materials

Three barley genotypes, Beiqing7, Ynbs mutant, and Baodamai8, were used as experimental materials in the present study. Among them, Beiqing7 is a major six-rowed spike barley variety that has been planted in Qinghai Province, China, for many years. The Ynbs mutant was bred through EMS mutagenesis of the Beiqing7 mature seeds by our research group. Baodamai8 is also a major six-rowed spike barley variety that has been planted in Yunnan Province, China, for many years. The F2 population (199 plants) was bred through self-breeding of F1 plants from the cross (Ynbs mutant/Baodamai8), and the F2:5 population (140 plants) was bred from the F2 plants and their descendants through single-seed descent.

2.2. Agronomic Trait Investigation and Data Analysis

The experimental materials were planted in the experimental farm of Yunnan Agricultural University. The F2 materials and their hybrid parents were planted on 10 November 2017, and the F2:5 materials and their hybrid parents were planted on 9 November 2020. Single-seed sowing with 20 cm per row and 5 cm per plant was employed to plant the materials. The other management measures were basically the same as those used for conventional field production.
At the grain-filling stage, the four target traits of the plants of the hybrid parents, F2 population, and F2:5 population were investigated according to the method reported by Wang et al. [26]. SPSS 20.0 software was employed to analyze the phenotypic mean difference in the three quantitative traits out of the four target traits between different parents, unbranched-spike plants, and branched-spike plants of the F2 population and F2:5 population. The thresholds for significant difference and extremely significant difference were 5% and 1%, respectively, in the present study.

2.3. Mapping the Gene Loci for Four Target Traits of F2 Plants

At the 5-leaf stage, the young leaves of the hybrid parents and each F2 plant used in the present study were collected and then used to extract genomic DNA by the cetyltrimethylammonium bromide (CTAB) method. The quality of the extracted DNA was detected by 0.8% agarose gel electrophoresis, and the DNA concentration was determined by UV spectrophotometry. Barley genome-wide polymorphic specific locus amplified fragment (SLAF) markers reported by Wang et al. [26] were used for genotyping the F2 plants. The software QTL IciMapping 4.0 was used to draw a high-density genetic map of the polymorphic SLAF markers and preliminarily mapped the gene loci of the four target traits.

2.4. Mapping the Gene Loci for Four Target Traits of F2:5 Plant

The Morex genome of the physical interval, defined by the markers flanking the above, that preliminarily mapped the loci of the four target traits was downloaded from the barley genome database (http://plants.ensembl.org/Hordeum_vulgare/Info/Index, accessed on 20 December 2020). The Primer Premier 5.0 software was used to design the primers for genome-sequence-specific markers, and then the Primer-BLAST module from the NCBI database was used to evaluate primer specificity based on an alignment between the Morex genome sequence and primer sequence. The primers were synthetized by Sangon Biotech (Shanghai) Co., Ltd. (Shanghai, China) The genomic DNAs of Ynbs mutant and Baodamai8 were used as templates to amplify the marker fragments. The amplified products were detected by 8% polyacrylamide gel electrophoresis, and then polymorphic markers were screened according to the detected marker fragment differences. The genome DNAs of the hybrid parents and each F2:5 plant used in the present study were extracted by the method described in the above Section 2.3. The selected polymorphic markers were employed to identify the genotypes of the F2:5 plants. The marker genotype data of the F2:5 plants were used to construct a genetic map of the polymorphic markers, and then the marker genotype data and the genetic map were together used to verify and further map the gene loci of the four target traits by the methods described in the above Section 2.3.

2.5. Annotation and Screening of Candidate Genes

The Basic Local Alignment Search Tool (BLAST) from the NCBI database was employed to detect a physical interval defined in the Morex genome by the markers flanking the mapped gene loci by the F2 plants. The Morex genome sequence within the defined physical interval was used to annotate candidate genes for the four target traits, and then the coding domain sequences (CDSs) of the annotated genes and the amino acid sequences of the putative proteins encoded by the annotated genes were collected. Based on the InterPro database (http://www.ebi.ac.uk/interpro/result/InterProScan/#table, accessed on 20 October 2021), the structural domains and functional domains of the above proteins were predicted. The FastPure® Plant Total RNA Isolation Kit was used to extract the total RNAs from young spikes at the jointing stage, and then the extracted RNAs were reversed by using the Hiscript®III 1st Strand cDNA Synthesis Kit. The cDNAs from Beiqing7 and the Ynbs mutant were used as templates to specifically amplify the coding domain sequences (CDSs) of the above annotated genes by using 2×Phanta® Flash Master Mix (Dye Plus) p520 high-fidelity enzyme. The PCR amplifications were conducted according to the usage instructions of the used enzyme, with an optimized primer annealing temperature (61 °C). The amplified products were sequenced by Sangon Biotech (Shanghai) Co., Ltd. ClusterX software was used to align the annotated gene CDS of Beiqing7 and Ynbs mutant, and the amino acid sequences of putative proteins coded by the annotated gene orthologs of different species. Finally, the sequence differences were used as evidence to screen the candidate genes of the four target traits from the annotated genes.

3. Results

3.1. Differences in Target Trait Phenotypes between Different Materials

Compared with Baodamai8, the Ynbs mutant displayed a typical branched spike, multiple spikelets borne on the branched rachis node (Figure 1A–F), and multiple spikelets obviously degenerated on base and top rachis node of the Ynbs mutant spike (Figure 1A,B). The results from the variance analysis showed that the multiple spikelet number per spike of the Ynbs mutant was significantly lower than the triplicate spikelet number per spike of Baodamai8 (Figure 1G), and the degenerated multiple spikelet number per spike and floret number per multiple spikelets of the Ynbs mutant were significantly higher than the degenerate triplicate spikelet number per spike and floret number per triplicate spikelet of Baodamai8 (Figure 1H,I). The phenotypic difference trends of the four target traits between the branched-spike plants and unbranched-spike plants were the same in F2 (Figure 1J–L) and F2:5 (Figure 1M–O) populations as those in the hybrid parents. The results showed a genetic association of branched spikes with T(M)SNS, DT(M)SNS, and FNT(M)S in the Ynbs mutant.
Figure 1. Spike characteristics of and their phenotypic value difference between unbranched-spike and branched-spike plants of hybrid parents, F2 population, and F2:5 population. (A,C,E) spike, rachis, and triplicate spike of Baodamai8; (B,D,F) spike, rachis, and multiple spike of Ynbs mutant; (GI): phenotypic mean difference between Baodamai8 and Ynbs; (JL) phenotypic mean difference between two types of F2 plants with branched and unbranched spikes; (MO) phenotypic mean difference between two types of F2:5 plants with branched and unbranched spikes. BS: branched-spike plant, UBS: unbranched-spike plant, where * represents a significant difference at the 0.05 level and ** represents a significant difference at the 0.01 level.

3.2. Mapping the Gene Loci for the Four Target Traits of the F2 Population

The 14348 SLAF markers reported by Wang et al. [26] and QTL IciMapping 4.0 software were employed to detect the gene loci of the four target traits throughout the barley genome. However, Chr2HS was the only chromosome that harbored a desired locus, which was shared by the four target traits and mapped within a genetic interval between Marker 310119 and Marker 267945, but the two markers define a large physical interval of 5.47 Mb (52,790,674 bp to 58,259,335 bp) in the Morex genome. The gene locus could explain 52.68% of the phenotypic variation from T(M)SNS, 66.24% of the phenotypic variation from DT(M)SNS, and 57.22% of the phenotypic variation from FNT(M)S (Figure 2).
Figure 2. Detection results on the gene loci of the four target traits in the barley genome. (AD) the gene locus for branched spike, T(M)SNS, DT(M)SNS, and FNT(M)S, respectively. 1H~7H: 7 chromosomes of barley.

3.3. Mapping the Gene Loci for the Four Target Traits of the F2:5 Population

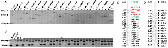
To verify and further map the loci mapped by using the F2 population, 149 specific markers were developed based on the Morex genome sequence of the physical interval defined by two SLAF markers (Marker 310119 and Marker 2679451). Among the markers, 16 markers showed stable polymorphism between the genomes of the Ynbs mutant and Baodamai8 (Figure 3A, Supplementary Table S1) and could be used to identify the genotype of the F2:5 plants in the population (Figure 3B). Based on the genotype data of 140 individual plants of the F2:5 population, a genetic map harboring the above 16 polymorphism markers was constructed with a length of 19.65 cM (Figure 3C). In the genetic map, the order of the 16 markers was highly consistent with their physical order in the Morex genome (Figure 3C,D); the maximum genetic distance and minimum genetic distance between the markers was 6.13 cM and 0.26 cM (Figure 3C), respectively. This genetic map could accurately reflect the positional relationship between the 16 polymorphism markers in the Morex genome and could be used to map the gene loci of the four target traits.
Figure 3. The 16 polymorphic markers and their genetic map and physical map and the mapped gene loci of the four target traits. (A) Differences in 16 polymorphic markers between the genomes of Baodamai8 (B) and Ynbs mutant (Y). (B) Genotype of some F2:5 plants and their hybrid parents. (C) Genetic map and gene loci of four target traits. (D) Physical map of 16 polymorphic markers. Genetic distance unit: cM, physical distance unit: Mb.
Based on the constructed genetic map, the four target trait gene loci were detected again on Chr2HS and mapped in a genetic interval defined by two polymorphism markers, HvSSR4 and HvSSR20, and the two marker loci are located within the physical interval defined by the two SLAF markers (Marker 310119 and Marker 2679451), with a genetic distance of 6.13 cM and a physical distance of 1.57 Mb (45,659,018 bp–47,232,898 bp), and the physical distance was significantly shortened by 3.90 Mb. The genetic distances from the branched-spike gene locus to the marker locus of the HVSSR4 and HVSSR20 locations were 4.27 cM and 1.86 cM, respectively. The gene locus of T(M)SNS (LOD = 4.29, PVE = 13.91%) and FNT(M)S (LOD = 13.19, PVE = 35.95%) was mapped at the same site between the branched-spike gene locus and HVSSR4 locus, and the genetic distances from this gene locus to the branched-spike gene locus and HVSSR4 locus were 0.27 cM and 4.00 cM, respectively. The gene locus of DT(M)SNS (LOD = 5.61, PVE = 17.14%) was mapped between the branched-spike gene locus and HVSSR20 locus, and the genetic distances from this gene locus to the branched-spike gene locus and HVSSR20 locus were 0.73 cM and 1.13 cM, respectively.

3.4. Screening of the Candidate Genes for the Four Target Traits

Based on the Morex genome sequence of the physical interval defined by the markers HVSSR4 and HVSSR20, 18 candidate genes were identified and annotated. The candidate genes were divided into 14 types based on their domains and other features. Two of these types, the SRC2/BAP C2 domain superfamily and the aspartate peptidase domain superfamily, both included three candidate genes, while the others included only one (Table 1).
Table 1. The candidate genes of the Morex genome sequence of the interval defined by the markers HVSSR4 and HVSSR20 and their annotation.
One candidate gene, HORVU.MOREX.r3.2HG0114260, was located within the physical interval from 46,712,521 bp to 46,713,444 bp in the Chr2HS genome of Morex, and the physical distances from the gene to HvSSR4 and HvSSR20 were 1.05 Mb and 0.52 Mb, respectively (Figure 3D). The result from sequence alignment showed that the putative protein encoded by HORVU.MOREX.r3.2HG0114260 shared the same amino acid sequences as the protein encoded by the barley branched-spike gene COM2, consisting of 307 amino acids, and belonged to the AP2/ERF domain transcription factor family. The alignment between the coding domain sequence of HORVU.MOREX.r3.2HG0114260 from the Ynbs mutant and Beiqin7 showed that the C base at position 232 was substituted with T (Figure 4), which caused an amino acid substitution of arginine with cysteine at position 78 (R78C) within the DNA-binding domain of the AP2/ERF structural domain in the encoded protein (Figure 5, Supplementary Table S2), but the CDSs of the other 17 annotated genes from the Ynbs mutant were same as those from Beiqing7.
Figure 4. The partial chromatogram for the code domain sequence of HORVU.MOREX.r3.2HG0114260 gene from Beiqin7 and Ynbs mutant. A: Beiqing7, B: Ynbs mutant.
Figure 5. The amino sequence of DNA-binding domain of some AP2/ERF domain proteins and the mutated amino acid in Ynbs mutant. Except for the protein sequences of Ynbs mutant and Beiqing7, the others were previously reported by Poursarebani et al. [27].

4. Discussion

Previous studies have shown that all barley chromosomes except Chr6H harbor the gene loci of spikelet number per spike, but only Chr2H, Chr4H, and Chr6H harbor the gene loci of floret number per spike [8,9,10,11,12,13,14,15,16]. However, the gene loci and their genetic effects are different among the reports by different scholars, and there are few reports about the gene loci of Chr2H for DT(M)SNS and FNT(M)S too. By successively using the populations of F2 and F2:5 in the present study, the three gene loci for the four target traits were successfully mapped on Chr2HS, showed an LOD value greater than 4.00, and could explain the more than 13% phenotypic variations from corresponding traits. According to the classification standard of the major gene locus reported by Tanksley [28], these gene loci are all major loci. Among them, the gene loci of DT(M)SNS and FNT(M)S were still the first reported, to date.
Based on the Morex genome sequences of the interval defined by two markers (HVSSR4 and HVSSR20), 18 candidate genes were annotated, among which HORVU.MOREX.r3.2HG0114260 belonged to the AP2/ERF domain superfamily harboring a DNA-binding domain. In rice, the gene FZP of HORVU.MOREX.r3.2HG0114260 can regulate floral organ development by regulating the transcription level of the OSMADS box gene [29,30]. Several AP2/ERF domain genes were also identified in barley, such as COM2, HVZEO1, and INT-M. The HVZEO1 gene can control spikelet density by regulating the length of the barley rachis node [4,31], the INT-M gene can regulate the development of barley spikelets and their florets [32], the mutations in TILLMORE48 and tillmore5865 can cause the branched rachis on a few base nodes of a spike, and the spikelet is expressed only in the branched-rachis nodes [33]. The studies show that the candidate gene, HORVU.MOREX.r3.2HG0114260, could be responsible for the regulation of branched spike, spikelet, and floret development in the Ynbs mutant.
The results from the amino acid sequence alignment showed that the amino acid sequence of the putative protein encoded by the HORVU.MOREX.r3.2HG0114260 gene is the same as that of the protein encoded by the barley spike development gene COM2 [33]. To date, several mutants of the COM2 gene have been reported, such as the com2.g mutant with a substitution of serine to arginine at site 221, the Irregular spike25 mutant with a substitution of leucine to histidine at site 228, and the Tillmore48 mutant with a substitution of leucine to histidine at site 110. The different allelic mutations of COM2 can cause different mutant phenotypes, such as spikelet degeneration and floret fertility decline in the Irregular spike25 mutant, the reduced spikelet per spike in the Freak mutant, and the multiple spikelet phenotype of the HOR14427 mutant [33]. Compared with other mutants, the Ynbs mutant displayed various traits caused by different mutations in the COM2 gene, which implied that the genetic effect of the allelic mutations in HORVU.MOREX.r3.2HG0114260 of the Ynbs mutant was different from those of other allelic mutations in COM2. The results from sequence alignment showed that the mutations of bases and amino acids in the Ynbs mutant were both different from those in other COM2 mutants; therefore, the Ynbs mutant harbors a new allelic mutation of the COM2 gene.
Through the phenotype difference analysis of three quantitative traits out of the four target traits, we found that the branched spike of the Ynbs mutant was genetically associated with T(M)SNS, DT(M)SNS, and FNT(M)S. This result was consistent with that reported by Shen et al. [23]. Although the gene loci of the four target traits were mapped at three different locations, there was not any blank interval defined by other markers between the three gene loci. An interference from the branched-spike gene locus on the T(M)SNS, DT(M)SNS, and FNT(M)S could not be effectively eliminated. Therefore, it is still difficult to elucidate the genetic mechanism of the association of the branched spike with the other traits based on the mapping results.
Arginine is an alkaline amino acid with a positive charge, but cysteine is a polar and uncharged amino acid; one of them shows a difference from the other in structure and function [34]. Due to the fact that the HORVU.MOREX.r3.2HG0114260 gene belongs to the AP2/ERF domain transcription factor gene family, the substitution of amino acids within the DNA-binding domain may affect the transcriptional regulation efficiency of the HORVU.MOREX.r3.2HG0114260 gene for some genes, such as the genes in the inhibition of spike branch meristem activity and the maintenance of single-floret spikelet and floret meristem activity [27,29,30,35,36]. Based on the above results, we still believe that candidate gene HORVU.MOREX.r3.2HG0114260 mutation underlies the development of a branched spike and genetic association of branched spikes with T(M)SNS, DT(M)SNS, and FNT(M)S in the Ynbs mutant.

Supplementary Materials

The following supporting information can be downloaded at https://www.mdpi.com/article/10.3390/agriculture13101934/s1. Table S1: 16 pairs of molecular marker primers developed in the present study; Table S2: Difference in code domain sequence (cds) of the gene HORVU.MOREX.r3.2HG0114260 between Ynbs mutant and Beiqing7; Table S3: Phenotypic data of four target traits of the parent, F2, and F2:5 plants; Table S4: Marker genotype data of F2 plants; Table S5: Marker genotype data of F2:5 plants.

Author Contributions

Conceptualization, H.Z., J.H. and S.C.; data curation, H.Z., J.H., M.W. and X.W.; formal analysis, H.Z. and J.H.; funding acquisition, S.C.; investigation, H.Z., J.H., M.W. and X.W.; methodology, H.Z., J.H. and S.C.; project administration, S.C.; resources, S.C.; software, H.Z. and J.H.; supervision, M.W.; validation, S.C.; visualization, H.Z. and J.H.; writing—original draft, H.Z., J.H. and S.C.; writing—review and editing, S.C. All authors have read and agreed to the published version of the manuscript.

Funding

The work was supported by the National Natural Science Foundation of China (32060457) and the Natural Science Foundation of the Science and Technology Department of Yunnan Province (202201AS070066).

Institutional Review Board Statement

Not applicable.

Data Availability Statement

The datasets generated during and/or analyzed during the current study are available in Supplementary Tables S3–S5.

Acknowledgments

The work was supported by the National Natural Science Foundation of China (32060457) and the Natural Science Foundation of the Science and Technology Department of Yunnan Province (202201AS070066). We acknowledge AJE for linguistic editing and proofreading during the preparation of this manuscript.

Conflicts of Interest

The authors declare no conflict of interest. The funders had no role in the design of the study; in the collection, analyses, or interpretation of data; in the writing of the manuscript; or in the decision to publish the results.

References

  1. Harwood, W.A. An Introduction to Barley: The Crop and the Model. Methods Protoc. 2019, 1900, 1–5. [Google Scholar] [CrossRef]
  2. Pieper, R.; Tomé, F.; Pankin, A.; von Korff, M. FLOWERING LOCUS T4 delays flowering and decreases floret fertility in barley. J. Exp. Bot. 2021, 72, 107–121. [Google Scholar] [CrossRef] [PubMed]
  3. Youssef, H.M.; Allam, M.; Boussora, F.; Himmelbach, A.; Milner, S.G.; Mascher, M.; Schnurbusch, T. Dissecting the Genetic Basis of Lateral and Central Spikelet Development and Grain Traits in Intermedium-Spike Barley (Hordeum vulgare Convar. Intermedium). Plants 2020, 9, 1655. [Google Scholar] [CrossRef] [PubMed]
  4. Patil, V.; McDermott, H.I.; McAllister, T.; Cummins, M.; Silva, J.C.; Mollison, E.; Meikle, R.; Morris, J.; Hedley, P.E.; Waugh, R.; et al. APETALA2 control of barley internode elongation. Development 2019, 146, dev170373. [Google Scholar] [CrossRef]
  5. Zwirek, M.; Waugh, R.; McKim, S.M. Interaction between row-type genes in barley controls meristem determinacy and reveals novel routes to improved grain. N. Phytol. 2019, 221, 1950–1965. [Google Scholar] [CrossRef] [PubMed]
  6. Xu, X.; Sharma, R.; Tondelli, A.; Russell, J.; Comadran, J.; Schnaithmann, F.; Pillen, K.; Kilian, B.; Cattivelli, L.; Thomas, W.T.B.; et al. Genome-Wide Association Analysis of Grain Yield-Associated Traits in a Pan-European Barley Cultivar Collection. Plant Genome 2018, 11, 170073. [Google Scholar] [CrossRef] [PubMed]
  7. Sharma, R.; Draicchio, F.; Bull, H.; Herzig, P.; Maurer, A.; Pillen, K.; Thomas, W.T.B.; Flavell, A.J. Genome-wide association of yield traits in a nested association mapping population of barley reveals new gene diversity for future breeding. J. Exp. Bot. 2018, 69, 3811–3822. [Google Scholar] [CrossRef] [PubMed]
  8. Li, J.Z.; Huang, X.Q.; Heinrichs, F.; Ganal, M.W.; Röder, M.S.; Gyenis, L.; Yun, S.; Smith, K.; Steffenson, B.; Bossolini, E.; et al. Analysis of QTLs for yield components, agronomic traits, and disease resistance in an advanced backcross population of spring barley. Genome 2006, 49, 454–466. [Google Scholar] [CrossRef]
  9. Ren, X.; Sun, D.; Sun, G.; Li, C.; Dong, W. Molecular detection of QTL for agronomic and quality traits in a doubled haploid barley population. Aust. J. Crop Sci. 2013, 7, 878–886. [Google Scholar] [CrossRef]
  10. Peighambari, S.A.; Samadi, B.Y.; Nabipour, A.; Charmet, G.; Sarrafi, A. QTL analysis for agronomic traits in a barley doubled haploids population grown in Iran. Plant Sci. 2005, 169, 1008–1013. [Google Scholar] [CrossRef]
  11. Wang, J.; Yang, J.; McNeil, D.L.; Zhou, M. Identification and molecular mapping of a dwarfing gene in barley (Hordeum vulgare L.) and its correlation with other agronomic traits. Euphytica 2010, 175, 331–342. [Google Scholar] [CrossRef]
  12. Hu, X.; Zuo, J.; Wang, J.; Liu, L.; Sun, G.; Li, C.; Ren, X.; Sun, D. Multi-locus genome-wide association studies for 14 main agronomic traits in barley. Front. Plant Sci. 2018, 9, 1683. [Google Scholar] [CrossRef]
  13. Shamasbi, F.V.; Jamali, S.H.; Sadeghzadeh, B.; Mandoulakani, B.A. Genetic Mapping of Quantitative Trait Loci for Yield-Affecting Traits in a Barley Doubled Haploid Population Derived from Clipper × Sahara 3771. Front. Plant Sci. 2017, 8, 688. [Google Scholar] [CrossRef] [PubMed]
  14. Li, J.; Huang, X.; Heinrichs, F.; Ganal, M.W.; Roder, M.S. Analysis of QTLs for yield, yield components, and malting quality in a BC3-DH population of spring barley. Theor. Appl. Genet. 2005, 110, 356–363. [Google Scholar] [CrossRef] [PubMed]
  15. Wang, J.; Sun, G.; Ren, X.; Li, C.; Liu, L.; Wang, Q.; Du, B.; Sun, D. QTL underlying some agronomic traits in barley detected by SNP markers. BMC Genet. 2016, 17, 103. [Google Scholar] [CrossRef] [PubMed]
  16. Sameri, M.; Takeda, K.; Komatsuda, T. Quantitative Trait Loci Controlling Agronomic Traits in Recombinant Inbred Lines from a Cross of Oriental- and Occidental-type Barley Cultivars. Breed. Sci. 2006, 56, 243–252. [Google Scholar] [CrossRef][Green Version]
  17. Wang, Q.; Sun, G.; Ren, X.; Du, B.; Cheng, Y.; Wang, Y.; Li, C.; Sun, D. Dissecting the Genetic Basis of Grain Size and Weight in Barley (Hordeum vulgare L.) by QTL and Comparative Genetic Analyses. Front. Plant Sci. 2019, 10, 469. [Google Scholar] [CrossRef] [PubMed]
  18. Wang, J.; Wu, X.; Yue, W.; Zhao, C.; Yang, J.; Zhou, M. Identification of QTL for barley grain size. PeerJ 2021, 9, e11287. [Google Scholar] [CrossRef]
  19. Koppolu, R.; Schnurbusch, T. Developmental pathways for shaping spike inflorescence architecture in barley and wheat. J. Integr. Plant Biol. 2019, 61, 278–295. [Google Scholar] [CrossRef]
  20. Boussora, F.; Allam, M.; Guasmi, F.; Ferchichi, A.; Rutten, T.; Hansson, M.; Youssef, H.M.; Börner, A. Spike developmental stages and ABA role in spikelet primordia abortion contribute to the final yield in barley (Hordeum vulgare L.). Bot. Stud. 2019, 60, 13. [Google Scholar] [CrossRef]
  21. Shang, Y.; Yuan, L.; Di, Z.; Jia, Y.; Zhang, Z.; Li, S.; Xing, L.; Qi, Z.; Wang, X.; Zhu, J.; et al. A CYC/TB1-type TCP transcription factor controls spikelet meristem identity in barley. J. Exp. Bot. 2020, 71, 7118–7131. [Google Scholar] [CrossRef] [PubMed]
  22. Zhou, T.; Wang, C.; Li, J.; Ma, J.; Guo, C. Identification and evaluation of Hordeum vulgare var.nudum resistance to barley yellow dwarf virus. J. Anhui Agric. Sci. 2019, 47, 152–153+158. [Google Scholar] [CrossRef]
  23. Shen, Z.; Li, J.; Chen, S.; Mo, F.; Li, Y.; Pu, X.; Wu, H.; Huang, W.; Luo, P. Spike characteristics and difference analysis on nine branched-spike mutants of naked kernel barley. J. Triticeae Crops 2017, 37, 66–72. [Google Scholar] [CrossRef]
  24. Wang, J.; Li, J.; Chen, S.; Mo, F.; Li, Y.; Pu, X.; Wu, H.; Huang, W.; Luo, P. The identification of mutant traits of 9 naked barley lines with spike branch and the analysis of the association between these mutant traits. J. Yunnan Agric. Univ. (Nat. Sci.) 2017, 32, 387–394. [Google Scholar] [CrossRef]
  25. Wang, X.; Wang, W.; Chen, S.; He, J.; Zhu, S.; Mo, F.; Yu, Q.; Zhang, T.; Li, Y. Characteristics of branched-spike of hulless barley mutant-ynbs-1 and its genetic analysis. J. Triticeae Crops 2019, 39, 574–580. [Google Scholar] [CrossRef]
  26. Wang, W.; He, J.; Chen, S.; Peng, P.; Zhong, W.; Wang, X.; Zhang, T.; Li, Y. Construction of a high-density genetic map and fine mapping of a candidate gene locus for a novel branched-spike mutant in barley. PLoS ONE 2020, 15, e0227617. [Google Scholar] [CrossRef] [PubMed]
  27. Poursarebani, N.; Seidensticker, T.; Koppolu, R.; Trautewig, C.; Gawroński, P.; Bini, F.; Govind, G.; Rutten, T.; Sakuma, S.; Tagiri, A.; et al. The Genetic Basis of Composite Spike Form in Barley and ‘Miracle-Wheat’. Genetics 2015, 201, 155–165. [Google Scholar] [CrossRef] [PubMed]
  28. Tanksley, S.D. Mapping polygenes. Annu. Rev. Genet. 1993, 27, 205–233. [Google Scholar] [CrossRef]
  29. Bai, X.; Huang, Y.; Mao, D.; Wen, M.; Zhang, L.; Xing, Y. Regulatory role of FZP in the determination of panicle branching and spikelet formation in rice. Sci. Rep. 2016, 6, srep19022. [Google Scholar] [CrossRef]
  30. Ren, D.; Hu, J.; Xu, Q.; Cui, Y.; Zhang, Y.; Zhou, T.; Rao, Y.; Xue, D.; Zeng, D.; Zhang, G.; et al. FZP determines grain size and sterile lemma fate in rice. J. Exp. Bot. 2018, 69, 4853–4866. [Google Scholar] [CrossRef]
  31. Houston, K.; McKim, S.M.; Comadran, J.; Bonar, N.; Druka, I.; Uzrek, N.; Cirillo, E.; Guzy-Wrobelska, J.; Collins, N.C.; Halpin, C.; et al. Variation in the interaction between alleles of HvAPETALA2 and microRNA172 determines the density of grains on the barley inflorescence. Proc. Natl. Acad. Sci. USA 2013, 110, 16675–16680. [Google Scholar] [CrossRef]
  32. Zhong, J.; van Esse, G.W.; Bi, X.; Lan, T.; Walla, A.; Sang, Q.; Franzen, R.; von Korff, M. INTERMEDIUM-M encodes an HvAP2L-H5 ortholog and is required for inflorescence indeterminacy and spikelet determinacy in barley. Proc. Natl. Acad. Sci. USA 2021, 118, e2011779118. [Google Scholar] [CrossRef]
  33. Shang, Y.; Zhu, J.; Hua, W.; Wang, J.; Jia, Q.; Yang, J. Characterization and mapping of a Prbs gene controlling spike development in Hordeum vulgare L. Genes Genom. 2014, 36, 275–282. [Google Scholar] [CrossRef]
  34. Pérez, L.; Pinazo, A.; Pons, R.; Infante, M. Gemini surfactants from natural amino acids. Adv. Colloid Interface Sci. 2014, 205, 134–155. [Google Scholar] [CrossRef]
  35. Feng, K.; Hou, X.; Xing, G.; Liu, J.; Duan, A.; Xu, Z.; Li, M.; Zhuang, J.; Xiong, A. Advances in AP2/ERF super-family transcription factors in plant. Crit. Rev. Biotechnol. 2020, 40, 750–776. [Google Scholar] [CrossRef]
  36. McSteen, P.; Laudencia-Chingcuanco, D.; Colasanti, J. A floret by any other name: Control of meristem identity in maize. Trends Plant Sci. 2000, 5, 61–66. [Google Scholar] [CrossRef] [PubMed]
Disclaimer/Publisher’s Note: The statements, opinions and data contained in all publications are solely those of the individual author(s) and contributor(s) and not of MDPI and/or the editor(s). MDPI and/or the editor(s) disclaim responsibility for any injury to people or property resulting from any ideas, methods, instructions or products referred to in the content.

Article Metrics

Citations

Article Access Statistics

Multiple requests from the same IP address are counted as one view.