Role of Venous Sampling in the Diagnosis of Endocrine Disorders
Abstract
:1. Introduction
2. Pathophysiology
2.1. Cushing’s Disease
2.2. Primary Aldosteronism
2.3. Primary Hyperparathyroidism
3. Noninvasive Workup
3.1. Cushing’s Disease
3.2. Primary Aldosteronism
3.3. Primary Hyperparathyroidism
4. Procedure and Results Interpretation
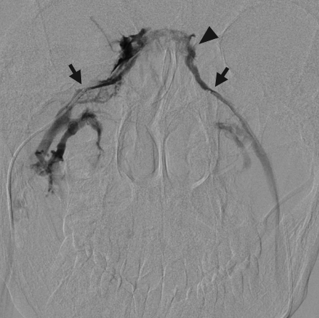
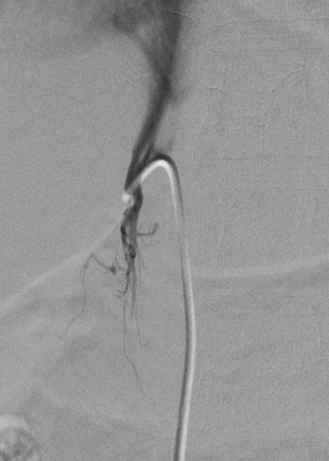
4.1. Bilateral Inferior Petrosal Sinus Sampling for Cushing’s Disease
4.2. Adrenal Vein Sampling for Primary Aldosteronism
4.3. Parathyroid Hormone Venous Sampling for Primary Hyperparathyroidism
5. Emerging Venous Sampling Procedures
6. Conclusions
Conflicts of Interest
References
- Egan, B.M.; Zhao, Y.; Axon, R.N. US trends in prevalence, awareness, treatment, and control of hypertension, 1988–2008. JAMA 2010, 303, 2043–2050. [Google Scholar] [CrossRef] [PubMed]
- Clarke, B.L. Epidemiology of primary hyperparathyroidism. J. Clin. Densitom. 2013, 16, 8–13. [Google Scholar] [CrossRef] [PubMed]
- Deipolyi, A.; Oklu, R. Bilateral inferior petrosal sinus sampling in the diagnosis of Cushing disease. J. Vasc. Diagn. 2015, 3, 1–7. [Google Scholar]
- Sugg, S.L.; Fraker, D.L.; Alexander, H.R.; Doppman, J.L.; Miller, D.L.; Chang, R.; Skarulis, M.C.; Marx, S.J.; Spiegel, A.M.; Norton, J.A. Prospective evaluation of selective venous sampling for parathyroid hormone concentration in patients undergoing reoperations for primary hyperparathyroidism. Surgery 1993, 114, 1004–1010. [Google Scholar] [PubMed]
- Kumar, V.; Abbas, A.K.; Fausto, N.; Aster, J.C. Robbins and Cotran Pathologic Basis of Disease, Professional Edition e-Book; Elsevier Health Sciences: Philadelphia, PA, USA, 2014. [Google Scholar]
- Miller, D.L.; Doppman, J.L. Petrosal sinus sampling: Technique and rationale. Radiology 1991, 178, 37–47. [Google Scholar] [CrossRef] [PubMed]
- Schricker, K.; Holmer, S.; Krämer, B.K.; Riegger, G.A.; Kurtz, A. The role of angiotensin II in the feedback control of renin gene expression. Pflügers Arch. 1997, 434, 166–172. [Google Scholar] [CrossRef]
- Tomaschitz, A.; Pilz, S.; Ritz, E.; Obermayer-Pietsch, B.; Pieber, T.R. Aldosterone and arterial hypertension. Nat. Rev. Endocrinol. 2010, 6, 83. [Google Scholar] [CrossRef] [PubMed]
- Young, W.F. Primary aldosteronism: Renaissance of a syndrome. Clin. Endocrinol. 2007, 66, 607–618. [Google Scholar] [CrossRef] [PubMed]
- Mattsson, C.; Young, W.F., Jr. Primary aldosteronism: Diagnostic and treatment strategies. Nat. Rev. Nephrol. 2006, 2, 198–208. [Google Scholar] [CrossRef] [PubMed]
- Brown, E.M. Extracellular Ca2+ sensing, regulation of parathyroid cell function, and role of Ca2+ and other ions as extracellular (first) messengers. Physiol. Rev. 1991, 71, 371–411. [Google Scholar] [CrossRef] [PubMed]
- Bartsch, D.; Nies, C.; Hasse, C.; Willuhn, J.; Rothmund, M. Clinical and surgical aspects of double adenoma in patients with primary hyperparathyroidism. BJS 1995, 82, 926–929. [Google Scholar] [CrossRef]
- Ruda, J.M.; Hollenbeak, C.S.; Stack, B.C., Jr. A systematic review of the diagnosis and treatment of primary hyperparathyroidism from 1995 to 2003. Otolaryngol. Head Neck Surg. 2005, 132, 359–372. [Google Scholar] [CrossRef] [PubMed]
- Marx, S.J.; Simonds, W.F.; Agarwal, S.K.; Burns, A.L.; Weinstein, L.S.; Cochran, C.; Skarulis, M.C.; Spiegel, A.M.; Libutti, S.K.; Alexander, J.H. Hyperparathyroidism in hereditary syndromes: Special expressions and special managements. J. Bone Miner. Res. 2002, 17, N37–N43. [Google Scholar] [PubMed]
- Bilezikian, J.; Brandi, M.; Rubin, M.; Silverberg, S. Primary hyperparathyroidism: New concepts in clinical, densitometric and biochemical features. J. Intern. Med. 2005, 257, 6–17. [Google Scholar] [CrossRef] [PubMed]
- Silverberg, S.J.; Bilezikian, J.P. Evaluation and management of primary hyperparathyroidism. J. Clin. Endocrinol. Metab. 1996, 81, 2036–2040. [Google Scholar] [PubMed]
- Doppman, J.L.; Hammond, W.G. The anatomic basis of parathyroid venous sampling. Radiology 1970, 95, 603–610. [Google Scholar] [CrossRef] [PubMed]
- Gross, B.A.; Mindea, S.A.; Pick, A.J.; Chandler, J.P.; Batjer, H.H. Diagnostic approach to Cushing disease. Neurosurg. Focus 2007, 23, 1–7. [Google Scholar] [CrossRef] [PubMed]
- Ilias, I.; Torpy, D.J.; Pacak, K.; Mullen, N.; Wesley, R.A.; Nieman, L.K. Cushing’s syndrome due to ectopic corticotropin secretion: Twenty years’ experience at the National Institutes of Health. J. Clin. Endocrinol. Metab. 2005, 90, 4955–4962. [Google Scholar] [CrossRef] [PubMed]
- Aron, D.C.; Raff, H.; Findling, J.W. Effectiveness versus efficacy: The limited value in clinical practice of high dose dexamethasone suppression testing in the differential diagnosis of adrenocorticotropin-dependent Cushing’s syndrome. J. Clin. Endocrinol. Metab. 1997, 82, 1780–1785. [Google Scholar] [CrossRef] [PubMed]
- Woo, Y.S.; Isidori, A.M.; Wat, W.Z.; Kaltsas, G.A.; Afshar, F.; Sabin, I.; Jenkins, P.J.; Monson, J.P.; Besser, G.M.; Grossman, A.B. Clinical and biochemical characteristics of adrenocorticotropin-secreting macroadenomas. J. Clin. Endocrinol. Metab. 2005, 90, 4963–4969. [Google Scholar] [CrossRef] [PubMed]
- Patronas, N.; Bulakbasi, N.; Stratakis, C.A.; Lafferty, A.; Oldfield, E.H.; Doppman, J.; Nieman, L.K. Spoiled gradient recalled acquisition in the steady state technique is superior to conventional postcontrast spin echo technique for magnetic resonance imaging detection of adrenocorticotropin-secreting pituitary tumors. J. Clin. Endocrinol. Metab. 2003, 88, 1565–1569. [Google Scholar] [CrossRef] [PubMed]
- Ezzat, S.; Asa, S.L.; Couldwell, W.T.; Barr, C.E.; Dodge, W.E.; Vance, M.L.; McCutcheon, I.E. The prevalence of pituitary adenomas. Cancer 2004, 101, 613–619. [Google Scholar] [CrossRef] [PubMed]
- Molitch, M.E.; Russell, E.J. The pituitary incidentaloma. Ann. Intern. Med. 1990, 112, 925–931. [Google Scholar] [CrossRef] [PubMed]
- Funder, J.W.; Carey, R.M.; Mantero, F.; Murad, M.H.; Reincke, M.; Shibata, H.; Stowasser, M.; Young, W.F., Jr. The management of primary aldosteronism: Case detection, diagnosis, and treatment: An endocrine society clinical practice guideline. J. Clin. Endocrinol. Metab. 2016, 101, 1889–1916. [Google Scholar] [CrossRef] [PubMed]
- Ahmed, A.H.; Cowley, D.; Wolley, M.; Gordon, R.D.; Xu, S.; Taylor, P.J.; Stowasser, M. Seated saline suppression testing for the diagnosis of primary aldosteronism: A preliminary study. J. Clin. Endocrinol. Metab. 2014, 99, 2745–2753. [Google Scholar] [CrossRef] [PubMed]
- Kempers, M.J.; Lenders, J.W.; van Outheusden, L.; van der Wilt, G.J.; Kool, L.J.S.; Hermus, A.R.; Deinum, J. Systematic review: Diagnostic procedures to differentiate unilateral from bilateral adrenal abnormality in primary aldosteronism. Ann. Intern. Med. 2009, 151, 329–337. [Google Scholar] [CrossRef] [PubMed]
- Yen, R.-F.; Wu, V.-C.; Liu, K.-L.; Cheng, M.-F.; Wu, Y.-W.; Chueh, S.-C.; Lin, W.-C.; Wu, K.-D.; Tzen, K.-Y.; Lu, C.-C. 131I-6β-iodomethyl-19-norcholesterol SPECT/CT for primary aldosteronism patients with inconclusive adrenal venous sampling and CT results. J. Nuclear Med. 2009, 50, 1631–1637. [Google Scholar] [CrossRef] [PubMed]
- Umakoshi, H.; Ogasawara, T.; Takeda, Y.; Kurihara, I.; Itoh, H.; Katabami, T.; Ichijo, T.; Wada, N.; Shibayama, Y.; Yoshimoto, T.; et al. Accuracy of adrenal computed tomography in predicting the unilateral subtype in young patients with hypokalaemia and elevation of aldosterone in primary aldosteronism. Clin. Endocrinol. 2018. [Google Scholar] [CrossRef] [PubMed]
- Shinall, M.; Dahir, K.; Broome, J. Differentiating familial hypocalciuric hypercalcemia from primary hyperparathyroidism. Endocr. Pract. 2013, 19, 697–702. [Google Scholar] [CrossRef] [PubMed]
- Peel, J.K.; Melck, A.L. Same-day discharge after unilateral parathyroidectomy is safe. Can. J. Surg. 2016, 59, 242–246. [Google Scholar] [CrossRef] [PubMed]
- Cheung, K.; Wang, T.S.; Farrokhyar, F.; Roman, S.A.; Sosa, J.A. A meta-analysis of preoperative localization techniques for patients with primary hyperparathyroidism. Ann. Surg. Oncol. 2012, 19, 577–583. [Google Scholar] [CrossRef] [PubMed]
- Weber, T.; Maier-Funk, C.; Ohlhauser, D.; Hillenbrand, A.; Cammerer, G.; Barth, T.F.; Henne-Bruns, D.; Boehm, B.O.; Reske, S.N.; Luster, M. Accurate preoperative localization of parathyroid adenomas with C-11 methionine PET/CT. Ann. Surg. 2013, 257, 1124–1128. [Google Scholar] [CrossRef] [PubMed]
- Jaskowiak, N.; Norton, J.A.; Alexander, H.R.; Doppman, J.L.; Shawker, T.; Skarulis, M.; Marx, S.; Spiegel, A.; Fraker, D.L. A prospective trial evaluating a standard approach to reoperation for missed parathyroid adenoma. Ann. Surg. 1996, 224, 308–321. [Google Scholar] [CrossRef] [PubMed]
- Lebastchi, A.H.; Aruny, J.E.; Donovan, P.I.; Quinn, C.E.; Callender, G.G.; Carling, T.; Udelsman, R. Real-time super selective venous sampling in remedial parathyroid surgery. J. Am. Coll. Surg. 2015, 220, 994–1000. [Google Scholar] [CrossRef] [PubMed]
- Deipolyi, A.R.; Alexander, B.; Rho, J.; Hirsch, J.A.; Oklu, R. Bilateral inferior petrosal sinus sampling using desmopressin or corticotropic-releasing hormone: A single-center experience. J. Neurointerv. Surg. 2014. [Google Scholar] [CrossRef] [PubMed]
- Javorsky, B.R.; Findling, J.W. Inferior petrosal sampling for the differential diagnosis of ACTH-dependent Cushing’s syndrome. In Cushing’s Syndrome; Springer: New York, NY, USA, 2010; pp. 105–119. [Google Scholar]
- Deipolyi, A.; Bailin, A.; Hirsch, J.A.; Walker, T.G.; Oklu, R. Bilateral inferior petrosal sinus sampling: Experience in 327 patients. J. Neurointerv. Surg. 2016. [Google Scholar] [CrossRef]
- Oldfield, E.H.; Doppman, J.L.; Nieman, L.K.; Chrousos, G.P.; Miller, D.L.; Katz, D.A.; Cutler, G.B., Jr.; Loriaux, D.L. Petrosal sinus sampling with and without corticotropin-releasing hormone for the differential diagnosis of Cushing’s syndrome. N. Engl. J. Med. 1991, 325, 897–905. [Google Scholar] [CrossRef] [PubMed]
- Mulligan, G.; Eray, E.; Faiman, C.; Gupta, M.; Pineyro, M.; Makdissi, A.; Suh, J.; Masaryk, T.; Prayson, R.; Weil, R. Reduction of false-negative results in inferior petrosal sinus sampling with simultaneous prolactin and corticotropin measurement. Endocr. Pract. 2010, 17, 33–40. [Google Scholar] [CrossRef] [PubMed]
- Obuobie, K.; Davies, J.; Ogunko, A.; Scanlon, M. Venous thrombo-embolism following inferior petrosal sinus sampling in Cushing’s disease. J. Endocrinol. Investig. 2000, 23, 542–544. [Google Scholar] [CrossRef] [PubMed]
- Gandhi, C.; Meyer, S.; Patel, A.; Johnson, D.; Post, K. Neurologic complications of inferior petrosal sinus sampling. Am. J. Neuroradiol. 2008, 29, 760–765. [Google Scholar] [CrossRef] [PubMed]
- Rossi, G.P.; Barisa, M.; Allolio, B.; Auchus, R.J.; Amar, L.; Cohen, D.; Degenhart, C.; Deinum, J.; Fischer, E.; Gordon, R. The Adrenal Vein Sampling International Study (AVIS) for identifying the major subtypes of primary aldosteronism. J. Clin. Endocrinol. 2012, 97, 1606–1614. [Google Scholar] [CrossRef] [PubMed]
- Reznek, R.; Armstrong, P. The adrenal gland. Clin. Endocrinol. 1994, 40, 561–576. [Google Scholar] [CrossRef]
- Daunt, N. Adrenal vein sampling: How to make it quick, easy, and successful. Radiographics 2005, 25, S143–S158. [Google Scholar] [CrossRef] [PubMed]
- Young, W.F.; Stanson, A.W.; Thompson, G.B.; Grant, C.S.; Farley, D.R.; Van Heerden, J.A. Role for adrenal venous sampling in primary aldosteronism. Surgery 2004, 136, 1227–1235. [Google Scholar] [CrossRef] [PubMed]
- Rossi, G.P.; Auchus, R.J.; Brown, M.; Lenders, J.W.; Naruse, M.; Plouin, P.F.; Satoh, F.; Young, W.F. An Expert Consensus Statement on Use of Adrenal Vein Sampling for the Subtyping of Primary AldosteronismNovelty and Significance. Hypertension 2014, 63, 151–160. [Google Scholar] [CrossRef] [PubMed]
- Makita, K.; Nishimoto, K.; Kiriyama-Kitamoto, K.; Karashima, S.; Seki, T.; Yasuda, M.; Matsui, S.; Omura, M.; Nishikawa, T. A Novel Method: Super-selective Adrenal Venous Sampling. J. Vis. Exp. 2017, 55716. [Google Scholar] [CrossRef] [PubMed]
- Omura, M.; Saito, J.; Matsuzawa, Y.; Nishikawa, T. Supper-selective ACTH-stimulated adrenal vein sampling is necessary for detecting precisely functional state of various lesions in unilateral and bilateral adrenal disorders, inducing primary aldosteronism with subclinical Cushing’s syndrome. Endocr. J. 2011, 58, 919–920. [Google Scholar] [CrossRef] [PubMed]
- Satani, N.; Ota, H.; Seiji, K.; Morimoto, R.; Kudo, M.; Iwakura, Y.; Ono, Y.; Nezu, M.; Omata, K.; Ito, S. Intra-adrenal aldosterone secretion: Segmental adrenal venous sampling for localization. Radiology 2015, 278, 265–274. [Google Scholar] [CrossRef] [PubMed]
- Satoh, F.; Morimoto, R.; Seiji, K.; Satani, N.; Ota, H.; Iwakura, Y.; Ono, Y.; Kudo, M.; Nezu, M.; Omata, K. Is there a role for segmental adrenal venous sampling and adrenal sparing surgery in patients with primary aldosteronism? Eur. J. Endocrinol. 2015, 173, 465–477. [Google Scholar] [CrossRef] [PubMed]
- Taslakian, B.; Sebaaly, M.G.; Al-Kutoubi, A. Patient evaluation and preparation in vascular and interventional radiology: What every interventional radiologist should know (part 1: Patient assessment and laboratory tests). Cardiovasc. Interv. Radiol. 2016, 39, 325–333. [Google Scholar] [CrossRef] [PubMed]
- Taslakian, B.; Sebaaly, M.G.; Al-Kutoubi, A. Patient evaluation and preparation in vascular and interventional radiology: What every interventional radiologist should know (part 2: Patient preparation and medications). Cardiovasc. Interv. Radiol. 2016, 39, 489–499. [Google Scholar] [CrossRef] [PubMed]
- Taslakian, B.; Trerotola, S.O.; Sacks, B.; Oklu, R.; Deipolyi, A. The essentials of parathyroid hormone venous sampling. Cardiovasc. Interv. Radiol. 2017, 40, 9–21. [Google Scholar] [CrossRef] [PubMed]
- Ogilvie, C.; Brown, P.; Matson, M.; Dacie, J.; Reznek, R.; Britton, K.; Carpenter, R.; Berney, D.; Drake, W.; Jenkins, P. Selective parathyroid venous sampling in patients with complicated hyperparathyroidism. Eur. J. Endocrinol. 2006, 155, 813–821. [Google Scholar] [CrossRef] [PubMed]
- Gough, I. Reoperative parathyroid surgery: The importance of ectopic location and multigland disease. ANZ J. Surg. 2006, 76, 1048–1050. [Google Scholar] [CrossRef] [PubMed]
- Reidel, M.A.; Schilling, T.; Graf, S.; Hinz, U.; Nawroth, P.; Büchler, M.W.; Weber, T. Localization of hyperfunctioning parathyroid glands by selective venous sampling in reoperation for primary or secondary hyperparathyroidism. Surgery 2006, 140, 907–913. [Google Scholar] [CrossRef] [PubMed]
- Mauro, M.A.; Murphy, K.P.; Thomson, K.R.; Venbrux, A.C.; Morgan, R.A. Image-Guided Interventions E-Book; Expert Radiology Series; Elsevier Health Sciences: Philadelphia, PA, USA, 2013. [Google Scholar]
- Placzkowski, K.A.; Vella, A.; Thompson, G.B.; Grant, C.S.; Reading, C.C.; Charboneau, J.W.; Andrews, J.C.; Lloyd, R.V.; Service, F.J. Secular trends in the presentation and management of functioning insulinoma at the Mayo Clinic, 1987–2007. J. Clin. Endocrinol. Metab. 2009, 94, 1069–1073. [Google Scholar] [CrossRef] [PubMed]
- Okabayashi, T.; Shima, Y.; Sumiyoshi, T.; Kozuki, A.; Ito, S.; Ogawa, Y.; Kobayashi, M.; Hanazaki, K. Diagnosis and management of insulinoma. World J. Gastroenterol. 2013, 19, 829–837. [Google Scholar] [CrossRef] [PubMed]
- Tseng, L.-M.; Chen, J.-Y.; Won, J.G.-S.; Tseng, H.-S.; Yang, A.-H.; Wang, S.-E.; Lee, C.-H. The role of intra-arterial calcium stimulation test with hepatic venous sampling (IACS) in the management of occult insulinomas. Ann. Surg. Oncol. 2007, 14, 2121–2127. [Google Scholar] [CrossRef] [PubMed]
- Levens, E.D.; Whitcomb, B.W.; Csokmay, J.M.; Nieman, L.K. Selective venous sampling for androgen-producing ovarian pathology. Clin. Endocrinol. 2009, 70, 606–614. [Google Scholar] [CrossRef] [PubMed]
- Catalona, W.J.; Richie, J.P.; Ahmann, F.R.; M’Liss, A.H.; Scardino, P.T.; Flanigan, R.C.; Dekernion, J.B.; Ratliff, T.L.; Kavoussi, L.R.; Dalkin, B.L. Comparison of digital rectal examination and serum prostate specific antigen in the early detection of prostate cancer: Results of a multicenter clinical trial of 6630 men. J. Urol. 1994, 151, 1283–1290. [Google Scholar] [CrossRef]
- Farrelly, C.; Lal, P.; Trerotola, S.O.; Nadolski, G.J.; Watts, M.M.; Gorrian, C.M.; Guzzo, T.J. Correlation of Peripheral Vein Tumour Marker Levels, Internal Iliac Vein Tumour Marker Levels and Radical Prostatectomy Specimens in Patients with Prostate Cancer and Borderline High Prostate-Specific Antigen: A Pilot Study. Cardiovasc. Interv. Radiol. 2016, 39, 724–731. [Google Scholar] [CrossRef] [PubMed]







© 2018 by the authors. Licensee MDPI, Basel, Switzerland. This article is an open access article distributed under the terms and conditions of the Creative Commons Attribution (CC BY) license (http://creativecommons.org/licenses/by/4.0/).
Share and Cite
England, R.W.; Geer, E.B.; Deipolyi, A.R. Role of Venous Sampling in the Diagnosis of Endocrine Disorders. J. Clin. Med. 2018, 7, 114. https://doi.org/10.3390/jcm7050114
England RW, Geer EB, Deipolyi AR. Role of Venous Sampling in the Diagnosis of Endocrine Disorders. Journal of Clinical Medicine. 2018; 7(5):114. https://doi.org/10.3390/jcm7050114
Chicago/Turabian StyleEngland, Ryan W., Eliza B. Geer, and Amy R. Deipolyi. 2018. "Role of Venous Sampling in the Diagnosis of Endocrine Disorders" Journal of Clinical Medicine 7, no. 5: 114. https://doi.org/10.3390/jcm7050114
APA StyleEngland, R. W., Geer, E. B., & Deipolyi, A. R. (2018). Role of Venous Sampling in the Diagnosis of Endocrine Disorders. Journal of Clinical Medicine, 7(5), 114. https://doi.org/10.3390/jcm7050114
