Bilateral Localized-Tenosynovial Giant Cell Tumor of the Knee: Case Report and Review
Abstract
1. Introduction
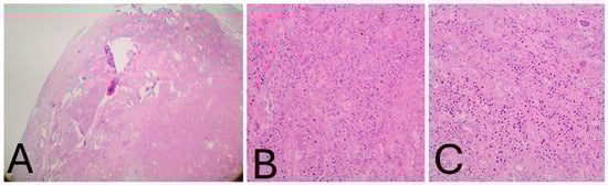
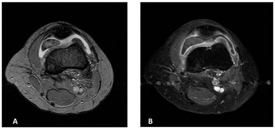
2. Case Presentation
3. Discussion
4. Conclusions
Author Contributions
Funding
Institutional Review Board Statement
Informed Consent Statement
Data Availability Statement
Conflicts of Interest
References
- de St Aubain, S.; Van de Rijn, M. Tenosynovial giant cell tumour, localized type. In WHO Classification of Tumours of Soft Tissue and Bone, 4th ed.; Fletcher, C.D.M.B.J., Hogendoorn, P.C.W., Mertens, F., Eds.; IARC: Lyon, France, 2013; Volume 5, pp. 100–101. [Google Scholar]
- de St Aubain, S.; Van de Rijn, M. Tenosynovial giant cell tumour, diffuse type. In WHO Classification of Tumours of Soft Tissue and Bone; Fletcher, C.D.M.B.J., Hogendoorn, P.C.W., Mertens, F., Eds.; IARC: Lyon, France, 2013; Volume 5, pp. 102–103. [Google Scholar]
- Granowitz, S.P.; D’Antonio, J.; Mankin, H.L. The pathogenesis and long-term end results of pigmented villonodular synovitis. Clin. Orthop. Relat. Res. 1976, 114, 335–351. [Google Scholar]
- Stacchiotti, S.; Dürr, H.R.; Schaefer, I.-M.; Woertler, K.; Haas, R.; Trama, A.; Caraceni, A.; Bajpai, J.; Baldi, G.G.; Bernthal, N.; et al. Best clinical management of tenosynovial giant cell tumor (TGCT): A consensus paper from the community of experts. Cancer Treat. Rev. 2022, 112, 102491. [Google Scholar] [CrossRef] [PubMed]
- Mastboom, M.J.L.; Verspoor, F.G.M.; Verschoor, A.J.; Uittenbogaard, D.; Nemeth, B.; Mastboom, W.J.B.; Bovée, J.V.M.G.; Dijkstra, P.D.S.; Schreuder, H.W.B.; Gelderblom, H.; et al. Higher incidence rates than previously known in tenosynovial giant cell tumors: A nationwide study in the Netherlands. Acta Orthop. 2017, 88, 688–694. [Google Scholar] [CrossRef] [PubMed]
- De St Aubain, S.; van de Rijn, M. Tenosynovial Giant Cell Tumour. In World Health Organization (WHO) Classification of Soft Tissue and Bone Tumours, 5th ed.; International Agency for Research on Cancer (IARC): Lyon, France, 2020; pp. 133–136. [Google Scholar]
- Ehrenstein, V.; Andersen, S.L.; Qazi, I.; Sankar, N.; Pedersen, A.B.; Sikorski, R.; Acquavella, J.F. Tenosynovial Giant Cell Tumor: Incidence, prevalence, patient characteristics and recurrence. A registry-based cohort study in Denmark. J. Rheumatol. 2017, 44, 1476–1483. [Google Scholar] [CrossRef]
- Chassaignac, E.P. Cancer de la gaine des tendons. Gaz. Des Hop. Civ. Mil. 1852, 25, 185–186. [Google Scholar]
- Simon, G. Exstirpation einer sehr grossen, mit dickem Stiele angewachsenen Kniegelenkmaus mit glucklichem Erfolge. Arch. Klin. Chir. 1865, 6, 573. [Google Scholar]
- Moser, E. Primares sarkom der fussgelenkkapsel. Dtsch. Z. Chir. 1909, 98, 306–310. [Google Scholar] [CrossRef]
- Jaffe, H.L.; Lichenstein, L.; Sutro, C.J. Pigmented: Villonodular synovitis, bursitis and tendosynovitis. Arch. Pathol. 1941, 31, 731–765. [Google Scholar]
- Murphey, M.D.; Rhee, J.H.; Lewis, R.B.; Fanburg-Smith, J.C.; Flemming, D.J.; Walker, E.A. Pigmented villonodular synovitis: Radiologic-pathologic correlation. Radiographics 2008, 28, 1493–1518. [Google Scholar] [CrossRef]
- Hughes, T.H.; Sartoris, D.J.; Schweitzer, M.E.; Resnick, D.L. Pigmented villonodular synovitis: MRI characteristics. Skelet. Radiol. 1995, 24, 7–12. [Google Scholar] [CrossRef]
- Flandry, F.; Hughston, J.C. Pigmented villonodular synovitis. J. Bone Jt. Surg. Am. 1987, 69, 942–949. [Google Scholar] [CrossRef]
- West, R.B.; Rubin, B.P.; Miller, M.A.; Subramanian, S.; Kaygusuz, G.; Montgomery, K.; Zhu, S.; Marinelli, R.J.; De Luca, A.; Downs-Kelly, E.; et al. A landscape effect in tenosynovial giant-cell tumor from activation of CSF1 expression by a translocation in a minority of tumor cells. Proc. Natl. Acad. Sci. USA 2006, 103, 690–695. [Google Scholar] [CrossRef]
- Cupp, J.S.; Miller, M.; Montgomery, K.; Nielsen, T.O.; O’Connell, J.X.; Huntsman, D.; van de Rijn, M.; Gilks, C.B.; West, R.B. Translocation and expression of CSF1 in pigmented villonodular synovitis, tenosynovial giant cell tumor, rheumatoid arthritis and other reactive synovitides. Am. J. Surg. Pathol. 2007, 31, 970–976. [Google Scholar] [CrossRef]
- Moller, E.; Mandahl, N.; Mertens, F.; Panagopoulos, I. Molecular identification of COL6A3-CSF1 fusion transcript in tenosynovial giant cell tumors. Genes Chromosomes Cancer 2008, 47, 21–25. [Google Scholar] [CrossRef]
- Monaghan, H.; Salter, D.M.; AL-Nafussi, A. Giant cell tumour of tendon sheath(localized nodular tenosynovitis): Clinicopathological features of 71 cases. J. Clin. Pethol. 2001, 54, 404–407. [Google Scholar] [CrossRef]
- Darling, J.M.; Goldring, S.R.; Harada, Y.; Handel, M.L.; Glowacki, J.; Gravallese, E.M. Multinucleated cells in pigmented villonodular synovitis and giant cell tumor of tendon sheath express features of osteoclasts. Am. J Pathol. 1997, 150, 1383–1393. [Google Scholar]
- de saint Aubain Somerhausen, N.; Fletcher, C.D.M. Diffuse type giant cell tumor: Clinikopathologic and immunohistochemical analysis of 50 cases with extraarticular disease. Am. J. Surg. Pathol. 2000, 24, 479–492. [Google Scholar] [CrossRef] [PubMed]
- Yoshida, W.; Uzuki, M.; Kurose, A.; Yoshida, M.; Nishida, J.; Shimamura, T.; Sawai, T. Cell characterization of mononuclear and giant cells constiuning pigmented villonodular synovitis. Hum. Pathol. 2003, 34, 65–73. [Google Scholar] [CrossRef] [PubMed]
- Byers, P.D.; Cotton, R.E.; Deacon, O.W.; Lowy, M.; Newman, P.H.; Sissons, H.A.; Thomson, A.D. The diagnosis and treatment of pigmented villonodular synovitis. J. Bone Jt. Surg. Br. 1968, 50, 290–305. [Google Scholar] [CrossRef]
- Available online: https://emedicine.medscape.com/article/1253223-overview (accessed on 12 April 2024).
- Gaillard, F. Pigmented Villonodular Synovitis (PVNS). Case Study. Available online: https://radiopaedia.org/ (accessed on 5 September 2024).
- Botez, P.; Sirbu, P.D.; Grierosu, C.; Mihailescu, D.; Savin, L.; Scarlat, M.M. Adult multifocal pigmented villonodular Synovitis clinical review. Int. Orthop. 2013, 37, 729–733. [Google Scholar] [CrossRef]
- Masih, S.; Antebi, A. Imaging of pigmented villonodular synovitis. Semin. Musculoskelet. Radiol. 2003, 7, 205–216. [Google Scholar] [CrossRef] [PubMed]
- Ottaviani, S.; Ayral, X.; Dougados, M.; Gossec, L. Pigmented Villonodular Synovitis: A retrospective single-Center study of 122 cases and review of the literature. Semin. Arthritis Rheum. 2011, 40, 539–546. [Google Scholar] [CrossRef]
- Gelhorn, H.L.; Tong, S.; McQuarrie, K.; Vernon, C.; Hanlon, J.; Maclaine, G.; Lenderking, W.; Ye, X.; Speck, R.M.; Lackman, R.D.; et al. Patient-reported Symptoms of Tenosynovial Giant Cell Tumors. Clin Ther. 2016, 38, 778–793. [Google Scholar] [CrossRef] [PubMed]
- van der Heijden, L.; Gibbons, C.L.; Hassan, A.B.; Kroep, J.R.; Gelderblom, H.; van Rijswijk, C.S.; Nout, R.A.; Bradley, K.M.; Athanasou, N.A.; Dijkstra, P.D.; et al. A multidisciplinary approach to giant cell tumors of tendon sheath and synovium—A critical appraisal of literature and treatment proposal. J. Surg. Oncol. 2013, 107, 433–445. [Google Scholar] [CrossRef]
- Verspoor, F.G.M.; Zee, A.A.G.; Hannink, G.; van der Geest, I.C.M.; Veth, R.P.H.; Schreuder, H.W.B. Long term follow up results of primary and recurrent pigmented villonodular synovitis. Rheumatology 2014, 53, 2063–2070. [Google Scholar] [CrossRef]
- Kelikian, H.; Lewis, E.K. Arthrograms. Radiology 1949, 52, 465–487. [Google Scholar] [CrossRef]
- Greenfield, M.M.; Wallace, K.M. Pigmented villonodular synovitis. Radiology 1950, 54, 350–356. [Google Scholar] [CrossRef] [PubMed]
- Gehweiler, J.A.; Wilson, J.W. Diffuse biarticular pigmented villonodular synovitis. Radiology 1969, 93, 845–851. [Google Scholar] [CrossRef]
- Sharma, V.; Cheng, E.Y. Outcomes after excision of pigmented villonodular synovitis of the knee. Clin. Orthop. Relat. Res. 2009, 467, 2852–2858. [Google Scholar] [CrossRef]
- Kim, H.S.; Kwon, J.W.; Ahn, J.H.; Chang, M.J.; Cho, E.Y. Localized tenosynovial giant cell tumor in both knee joints. Skelet. Radiol. 2010, 39, 923–926. [Google Scholar] [CrossRef]
- Soubai, R.B.; Tahiri, L.; Ibrahimi, A. Bilateral pigmented villonodular synovitis of the knee. Jt. Bone Spine 2011, 78, 219–221. [Google Scholar] [CrossRef]
- Cho, H.J.; Lee, S.H.; Han, S.B.; Lee, D.K.; Kim, C.H.; Lee, D.H. Bilateral tenosynovial giant cell of the knee accompanied by chronic ACL tear. J. Orthop. Sci. 2012, 17, 93–97. [Google Scholar] [CrossRef]
- Klammer, G.; Betz, M.; Delaloye, B.; Farshad, M.; Peter, K.P. Bilateral diffuse pigmented villonodular synovitis of the knee. J. Knee Surg. 2013, 26, S67–S71. [Google Scholar]
- Shah, S.H.; Porrino, J.A.; Green, J.R.; Chew, F.S. Bilateral pigmented villonodular synovitis of the knee. Rad. Case Rep. 2015, 10, 56–60. [Google Scholar] [CrossRef] [PubMed]
- Meftah, A.; Moumen, A.; Eljadi, H.; Guerboub, A.A.; Elmoussaoui, S.; Belmejdoub, G. Synovite villondulaire bilatérale du genou chez un patient diabétique. Presse Med. 2016, 45, 465–467. [Google Scholar] [CrossRef]
- Fernandes, T.L.; Videira, L.D.; Sasaki, S.U.; Natalino, R.J.M.; DE Almeida, A.M.; Pedrinelli, A.; Hernandez, A.J. Bilateral localized pigmented villonodular synovitis of the knee: Case report and review. Acta Ortop. Bras. 2018, 26, 183–186. [Google Scholar] [CrossRef]
- Okamura, H.; Ishikawa, H.; Ohno, T.; Fujita, S.; Inagaki, K. Localized Pigmented Villonodular Synovitis of the Bilateral Knee, A case report. J. Orthop. Case Rep. 2022, 12, 18–21. [Google Scholar] [CrossRef]
- Lachkar, A.; Najib, A.; Yacoubi, H. Bilateral knee pigmented villonodular synovitis in a young adult: Radiologic diagnosis and surgical approach. Radial. Case Rep. 2024, 20, 145–150. [Google Scholar] [CrossRef]
- Graf, J.; Bernd, L.; Pauschert, R.; Niethard, F.U. Rare occurrence of villonodular synovitis of both shoulder joints. Z Rheumatol. 1991, 50, 46–48. [Google Scholar] [PubMed]
- Jamieson, T.W.; Curran, J.J.; Desmet, A.A.; Cotelingam, J.D.; Kimmich, H. Bilateral pigmented villonodular synovitis of the wrists. Orthop. Rev. 1990, 19, 432–436. [Google Scholar] [PubMed]
- Dalal, S.; Bostock, S.H. Bilateral symmetrical giant cell tumours of the thumb. Hand Surg. 2003, 8, 237–238. [Google Scholar] [CrossRef]
- Eisenberg, R.L.; Hedgcock, M.W. Bilateral pigmented villonodular synovitis of the hip. Br. J. Radiol. 1978, 51, 916–917. [Google Scholar] [CrossRef]
- Cotten, A.; Flipo, R.M.; Chastanet, P.; Desvigne-Noulet, M.C.; Duquesnoy, B.; Delcambre, B. Pigmented villonodular synovitis of the hip: Review of radiographic features in 58 patients. Skelet. Radiol 1995, 24, 1–6. [Google Scholar] [CrossRef]
- Patkar, D.; Prasad, S.; Shah, J.; Patankar, T.; Kothari, S. Pigmented villonodular synovitis: Magnetic resonance features of an unusual case of bilateral hip joint involvement. Australas. Radiol. 2000, 44, 458–459. [Google Scholar] [CrossRef]
- Pavlica, L.; Nikolić, D.; Tadić, J.; Tatić, V.; Bralović, S.; Panajotović, L. Pigmented villonodular synovitis—Analysis of 50 patients. Vojnosanit. Pregl. 1997, 54, 209–216. [Google Scholar]
- Krause, F.G.; Wroblewski, J.A.; Younger, A.S. Pigmented villonodular synovitis in both hindfeet. Can. J. Surg. 2009, 52, E38–E39. [Google Scholar]
- Mohapatra, N.C.; Samal, P.; Mylarappa, A.; Mishra, J. Bilateral giant cell tumor of tendo achilles: A case series on reconstruction by peroneus brevis-tibialis posterior tendon. Foot 2021, 48, 101813. [Google Scholar] [CrossRef] [PubMed]
- Datta, S.; Ghosh, S.; Chaudhuri, A.; Moulik, S.G. Bilateral giant cell tumor of tendon sheath of tendoachilles. Med. J. Dr. Patil. Univ. 2014, 7, 211–214. [Google Scholar]
- Mastboom, M.J.L.; Staals, E.L.; Verspoor, F.G.M.; Rueten-Budde, A.J.; Stacchiotti, S.; Palmerini, E.; Schaap, G.R.; Jutte, P.C.; Aston, W.; Leithner, A.; et al. Surgical Treatment of Localized-Type Tenosynovial Giant Cell Tumors of Large Joints: A Study Based on a Multicenter-Pooled Database of 31 International Sarcoma Centers. J. Bone Jt. Surg. Am. 2019, 101, 1309–1318, Erratum in J. Bone Jt. Surg. Am. 2020, 102, e49. [Google Scholar] [CrossRef] [PubMed]
- Kampen, W.U.; Boddenberg-Patzold, B.; Fischer, M.; Gabriel, M.; Klett, R.; Konijnenberg, M.; Kresnik, E.; Lellouche, H.; Paycha, F.; Terslev, L.; et al. The EANM guideline for radiosynoviorthesis. Eur. J. Nucl. Med. Mol. Imaging 2022, 49, 681–708. [Google Scholar] [CrossRef] [PubMed]
- Freudenberg, L.S.; Sewerin, P.; Ohlerth, S.M.; Pomykala, K.L.; Freudenberg, S.; Rischpler, C.; Lützen, U. The future of radiosynoviorthesis: Bright or bleak? Q. J. Nucl. Med. Mol. Imaging 2022, 66, 345–351. [Google Scholar] [CrossRef]
- Tap, W.D.; Wainberg, Z.A.; Anthony, S.P.; Ibrahim, P.N.; Zhang, C.; Healey, J.H.; Chmielowski, B.; Staddon, A.P.; Cohn, A.L.; Shapiro, G.I.; et al. Structure-Guided Blockade of CSF1R Kinase in Tenosynovial Giant-Cell Tumor. N. Engl. J. Med. 2015, 373, 428–437. [Google Scholar] [CrossRef]
- Tap, W.D.; Gelderblom, H.; Palmerini, E.; Desai, J.; Bauer, S.; Blay, J.-Y.; Alcindor, T.; Ganjoo, K.; Martín-Broto, J.; Ryan, C.W.; et al. Pexidartinb versus placebo for advanced tenosynovial cell tumour (ENLIVEN): A randomized phase 3 trial. Lancet 2019, 394, 478–487. [Google Scholar] [CrossRef]
- Gelderblom, H.; van de Sande, M. Pexidartinib: First approved systemic therapy for patients with tenosynovial giant cell tumor. Future Oncol. 2020, 16, 2345–2356. [Google Scholar] [CrossRef] [PubMed]
- Gelderblom, H.; Wagner, A.J.; Tap, W.D.; Palmerini, E.; Wainberg, Z.A.; Desai, J.; Healey, J.H.; van de Sande, M.A.J.; Bernthal, N.M.; Staals, E.L.; et al. Long-term outcomes of pexidartinib in tenosynovial giant cell tumors. Cancer 2021, 127, 884–893. [Google Scholar] [CrossRef] [PubMed]
- Cassier, P.A.; Italiano, A.; Gomez-Roca, C.A.; Le Tourneau, C.; Toulmonde, M.; Cannarile, M.A.; Ries, C.; Brillouet, A.; Müller, C.; Jegg, A.-M.; et al. CSF1R inhibition with emactuzumab in locally advanced diffuse-type tenosynovial giant cell tumours of the soft tissue: A dose-escalation and dose-expansion phase 1 study. Lancet Oncol. 2015, 16, 949–956. [Google Scholar] [CrossRef] [PubMed]
- Smart, K.; Bröske, A.M.; Rüttinger, D.; Mueller, C.; Phipps, A.; Walz, A.; Ries, C.; Baehner, M.; Cannarile, M.; Meneses-Lorente, G. PK/PD Mediated Dose Optimization of Emactuzumab, a CSF1R Inhibitor, in Patients with Advanced Solid Tumors and Diffuse-Type Tenosynovial Giant Cell Tumor. Clin. Pharmacol. Ther. 2020, 108, 616–624. [Google Scholar] [CrossRef]
- Sankhala, K.K.; Blay, J.-Y.; Ganjoo, K.N.; Italiano, A.; Hassan, A.B.; Kim, T.M.; Ravi, V.; Cassier, P.A.; Rutkowski, P.; Sankar, N.; et al. A phase I/II dose escalation and expansion study of cabiralizumab (cabira; FPA-008), an anti-CSF1R antibody, in tenosynovial giant cell tumor (TGCT, diffuse pigmented villonodular synovitis D-PVNS). J. Clin. Oncol. 2017, 35, 11078. [Google Scholar] [CrossRef]
- MCS110 in Patients with Pigmented Villonodular Synovitis (PVNS). ClinicalTrials.gov. IDNCT01643850. Available online: https://clinicaltrials.gov/study/NCT01643850?tab=results (accessed on 29 October 2023).
- Available online: https://www.creativebiolabs.net/lacnotuzumab-overview.htm (accessed on 15 December 2023).
- Thongchot, S.; Duangkaew, S.; Yotchai, W.; Maungsomboon, S.; Phimolsarnti, R.; Asavamongkolkul, A.; Thuwajit, P.; Thuwajit, C.; Chandhanayingyong, C. Novel CSF1R-positive tenosynovial giant cell tumor cell lines and their pexidartinib (PLX3397) and sotuletinib (BLZ945)-induced apoptosis. Hum. Cell 2022, 36, 456–467. [Google Scholar] [CrossRef]
- Gelderblom, H.; Cropet, C.; Chevreau, C.; Boyle, R.; Tattersall, M.; Stacchiotti, S.; Italiano, A.; Piperno-Neumann, S.; Le Cesne, A.; Ferraresi, V.; et al. Nilotinib in locally advanced pigmented villonodular synovitis: A multicentre, open-label, single-arm, phase 2 trial. Lancet Oncol. 2018, 19, 639–648. [Google Scholar] [CrossRef]
- Spierenburg, G.; Grimison, P.; Chevreau, C.; Stacchiotti, S.; Piperno-Neumann, S.; Le Cesne, A.; Ferraresi, V.; Italiano, A.; Duffaud, F.; Penel, N.; et al. Long-term follow-up of nilotinib in patients with advanced tenosynovial giant cell tumours. Eur. J. Cancer 2022, 173, 219–228. [Google Scholar] [CrossRef]
- Verspoor, F.G.M.; Mastboom, M.J.L.; Hannink, G.; Maki, R.G.; Wagner, A.; Bompas, E.; Desai, J.; Italiano, A.; Seddon, B.M.; van der Graaf, W.T.A.; et al. Long-Term Efficacy of Imatinib Mesylate in Patients with Advanced Tenosynovial Giant Cell Tumor. Sci. Rep. 2019, 9, 14551. [Google Scholar] [CrossRef] [PubMed]
- Yao, L.; Zhou, Y.; Li, B.; Xie, X.; Du, X.; Yuan, T.; Chen, B.; Zou, Q.; Guo, Q.; Liang, P.; et al. Efficacy and safety profile of pimicotinib (ABSK021) in Tenosynovial Giant Cell Tumor (TGCT): Phase 1b update. J. Clin. Oncol. 2023, 41, 11559. [Google Scholar] [CrossRef]
- Available online: https://www.onclive.com/view/vimseltinib-improves-25-week-orr-vs-placebo-in-tgct (accessed on 16 November 2023).
- Available online: https://www.fda.gov/drugs/resources-information-approved-drugs/fda-approves-vimseltinib-symptomatic-tenosynovial-giant-cell-tumor (accessed on 2 January 2025).






| No | Age/Sex | Type of TGCT | Surgical Procedure | FU (Months) | Recurrence | |
|---|---|---|---|---|---|---|
| 1 | (Kelikian H et al., 1949) [31] | 15/F | Diffuse | Synovectomy | N/A | N/A |
| 2 | (Kelikian H et al., 1949) [31] | young/M | Diffuse | Synovectomy | N/A | N/A |
| 3 | (Greenfield MM et al., 1950) [32] | 24/M | Diffuse | Exploratory arthrotomy/Irradiation | 8 | N/A |
| 4 | (Gehweiler JA et al., 1969) [33] | 56/F | Diffuse | Synovectomy patellectomy, meniscectomy | 24 (Left Knee) N/A (Right Knee) | No for the Left Knee N/A (Right Knee) |
| 5 | (Sharma H et al., 2009) [34] | 58/F | Localized (anterior compartment) | Partial synovectomy-open excisional | 12 | Only Stiff knee treated with manipulation under anesthesia |
| 6 | (Kim HS et al., 2010) [35] | 29/M | Localized | Open mass excision | N/A | N/A |
| 7 | (Soubai et al., 2011) [36] | 20/F | Diffuse | Open total synovectomy | N/A | N/A |
| 8 | (Cho et al., 2012) [37] | 16/M | Localized | Arthroscopic excision | 14 | No Recurrence |
| 9 | (Klammer G et al., 2013) [38] | 16/F | Diffuse | Arthroscopic Total Synovectomy and open dorsal synovectomy and open popliteal | 18 | 42 months (Left Knee) 48 months (Right Knee) |
| 10 | (Shat SH et al., 2015) [39] | 62/M | Diffuse | Arthroscopic excision with synovectomy and chondroplasty | 6 years | At 2 years for the Right Knee |
| 11 | (Meftah A et al., 2016) [40] | 28/ | Diffuse | Total synovectomy | N/A | N/A |
| 12 | (Fernandes TL et al., 2018) [41] | 28/F | Localized | Synovectomy | N/A | N/A |
| 13 | (Okamura H et al., 2022) [42] | 28/F | Localized | Arthroscopic resection | 6 | No recurrence |
| 14 | (Lachkar A et al., 2024) [43] | 20/F | Diffuse | Open total synovectomy | 12 | No recurrence |
| 15 | (Present case, 2025) | 48/F | Localized | Open excision | 60 | No recurrence |
Disclaimer/Publisher’s Note: The statements, opinions and data contained in all publications are solely those of the individual author(s) and contributor(s) and not of MDPI and/or the editor(s). MDPI and/or the editor(s) disclaim responsibility for any injury to people or property resulting from any ideas, methods, instructions or products referred to in the content. |
© 2026 by the authors. Licensee MDPI, Basel, Switzerland. This article is an open access article distributed under the terms and conditions of the Creative Commons Attribution (CC BY) license.
Share and Cite
Dania, V.D.; Papagelopoulos, D.P.; Tolis, I.; Papanikolaou, M.; Stavropoulos, N.A.; Papakonstantinou, O.; Korkolopoulou, P.; Papagelopoulos, P.J. Bilateral Localized-Tenosynovial Giant Cell Tumor of the Knee: Case Report and Review. J. Clin. Med. 2026, 15, 1016. https://doi.org/10.3390/jcm15031016
Dania VD, Papagelopoulos DP, Tolis I, Papanikolaou M, Stavropoulos NA, Papakonstantinou O, Korkolopoulou P, Papagelopoulos PJ. Bilateral Localized-Tenosynovial Giant Cell Tumor of the Knee: Case Report and Review. Journal of Clinical Medicine. 2026; 15(3):1016. https://doi.org/10.3390/jcm15031016
Chicago/Turabian StyleDania, Vasiliki D., Dimitra P. Papagelopoulos, Ioannis Tolis, Maria Papanikolaou, Nikolaos A. Stavropoulos, Olympia Papakonstantinou, Penelope Korkolopoulou, and Panayiotis J. Papagelopoulos. 2026. "Bilateral Localized-Tenosynovial Giant Cell Tumor of the Knee: Case Report and Review" Journal of Clinical Medicine 15, no. 3: 1016. https://doi.org/10.3390/jcm15031016
APA StyleDania, V. D., Papagelopoulos, D. P., Tolis, I., Papanikolaou, M., Stavropoulos, N. A., Papakonstantinou, O., Korkolopoulou, P., & Papagelopoulos, P. J. (2026). Bilateral Localized-Tenosynovial Giant Cell Tumor of the Knee: Case Report and Review. Journal of Clinical Medicine, 15(3), 1016. https://doi.org/10.3390/jcm15031016

