Fibrotic Pulmonary Sarcoidosis—From Pathogenesis to Management
Abstract
1. Introduction
2. Methods
3. Pathogenesis
3.1. Genetic Background of Fibrotic Pulmonary Sarcoidosis
3.2. Molecular Mechanisms
3.2.1. Th1/Th2 Lymphocytes
3.2.2. Macrophages
3.2.3. Th17, Th17.1, Treg Lymphocytes
4. Clinical Features
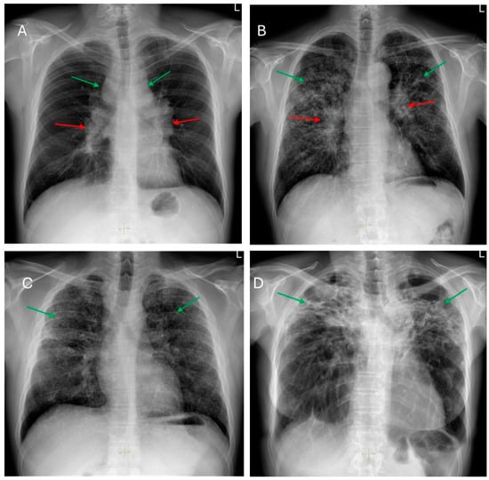
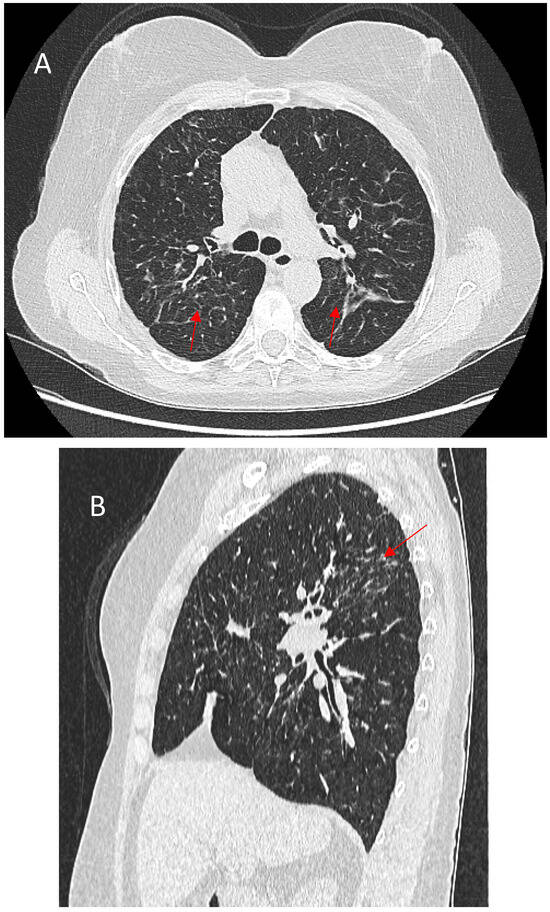
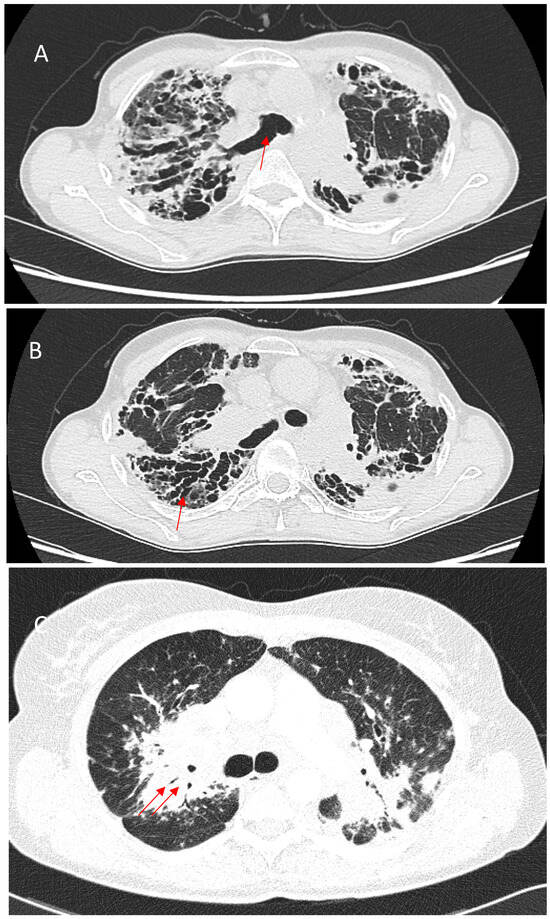
5. Radiological Aspects of Fibrotic Pulmonary Sarcoidosis
5.1. Key HRCT Findings in fPS
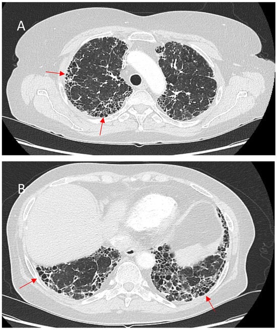
5.1.1. Micronodules and Ground-Glass Opacities (GGOs)
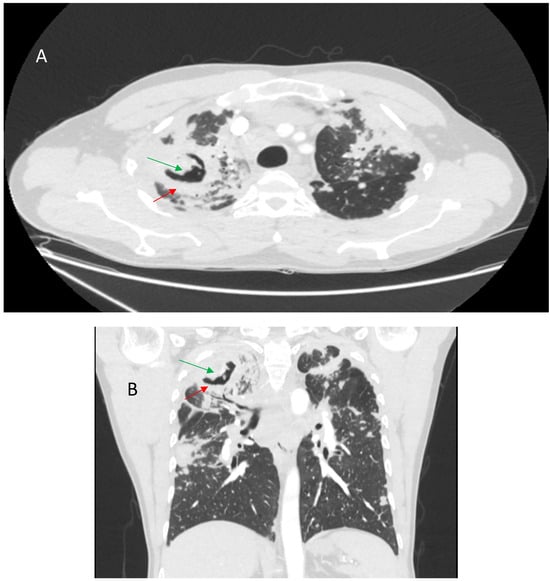
5.1.2. Bronchial Distortion
5.1.3. Honeycombing
5.1.4. Linear Fibrosis
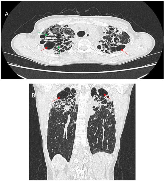
5.1.5. Bullae and Cysts
5.2. The Role of FDG-PET/CT in Assessing Disease Activity
5.3. Future Directions in Imaging
6. Pulmonary Function Tests
7. Bronchoalveolar Lavage
8. Histological Findings
9. Complications
9.1. Infections
9.2. Pulmonary Hypertension and Pulmonary Embolism
9.3. Acute Exacerbations
10. Management
Lung Transplantation
11. Prognosis and Mortality
12. Conclusions and Future Directions
Author Contributions
Funding
Institutional Review Board Statement
Informed Consent Statement
Data Availability Statement
Conflicts of Interest
Abbreviations
| fPS | Fibrotic pulmonary sarcoidosis |
| IL | Interleukin |
| Th | T helper |
| M1 | A proinflammatory subtype of macrophages |
| M2 | Alternatively activated macrophages |
| TNF-α | Tumor necrosis factor-α |
| TGF-β | Transforming growth factor-β |
| IFN-γ | Interferon-γ |
| CCL 18 | CC chemokine ligand 18 |
| CT | Computed tomography |
| HRCT | High-resolution computed tomography |
| PFT | Pulmonary function test |
| TLCO | Lung transfer factor for carbon monoxide |
| 6-MWT | Six-minute walk test |
| FEV1 | forced expiratory volume in 1 s |
| FVC | Forced vital capacity |
| FAS | Fatigue Assessment Scale |
| PH | Pulmonary hypertension |
| BAL | Bronchoalveolar lavage |
| BALF | Bronchoalveolar lavage fluid |
| CPI | Composite Physiologic Index |
| DSP | Distance-saturation product |
| ILD | Interstitial lung disease |
| PF-ILD | Progressive fibrosis- interstitial lung disease |
| UIP | Usual interstitial pneumonia |
| IPF | Idiopathic pulmonary fibrosis |
| ERS | European Respiratory Society |
| BTS | British Thoracic Society |
| CTD | Connective tissue disease |
| COPD | Chronic obstructive pulmonary disease |
| DAD | Diffuse alveolar damage |
| WHO | World Health Organisation |
| NYHA | New York Heart Association |
| CPA | Chronic Pulmonary Aspergillosis |
| CSIPF | combined sarcoidosis and idiopathic pulmonary fibrosis |
| PMNs | Polymorphonuclear neutrophils |
| PDGF | Platelet-derived growth factor |
| bFGF | Basic fibroblast growth factor |
| VEGF | Vascular endothelial growth factor |
| PR | Pulmonary Rehabilitation |
| NGS | next-generation sequencing |
| WES | Whole-exome sequencing |
| AI | Artificial Intelligence |
References
- Patterson, K.C.; Strek, M.E. Pulmonary Fibrosis in Sarcoidosis. Clin. Features Outcomes Ann. ATS 2013, 10, 362–370. [Google Scholar]
- Sato, H.; Woodhead, F.A.; Ahmad, T.; Grutters, J.C.; Spagnolo, P.; Bosch, J.M.v.D.; Maier, L.A.; Newman, L.S.; Nagai, S.; Izumi, T.; et al. Sarcoidosis HLA class II genotyping distinguishes differences of clinical phenotype across ethnic groups. Hum. Mol. Genet. 2010, 19, 4100–4111. [Google Scholar] [CrossRef] [PubMed]
- Calender, A.; Weichhart, T.; Valeyre, D.; Pacheco, Y. Current Insights in Genetics of Sarcoidosis: Functional and Clinical Impacts. J. Clin. Med. 2020, 9, 2633. [Google Scholar] [CrossRef] [PubMed]
- Baughman, R.P.; Field, S.; Costabel, U.; Crystal, R.G.; Culver, D.A.; Drent, M.; Judson, M.A.; Wolff, G. Sarcoidosis in America. Analysis Based on Health Care Use. Ann. Am. Thorac. Soc. 2016, 13, 1244–1252. [Google Scholar] [CrossRef] [PubMed]
- Arkema, E.V.; Grunewald, J.; Kullberg, S.; Eklund, A.; Askling, J. Sarcoidosis incidence and prevalence: A nationwide register-based assessment in Sweden. Eur. Respir. J. 2016, 48, 1690–1699. [Google Scholar] [CrossRef]
- Beghè, D.; Dall’Asta, L.; Garavelli, C.; Pastorelli, A.A.; Muscarella, M.; Saccani, G.; Bertorelli, G. Sarcoidosis in an Italian province. Prevalence and environmental risk factors. PLoS ONE 2017, 12, e0176859. [Google Scholar] [CrossRef]
- Rossides, M.; Grunewald, J.; Eklund, A.; Kullberg, S.; Di Giuseppe, D.; Askling, J.; Arkema, E.V. Familial aggregation and heritability of sarcoidosis: A Swedish nested case−control study. Eur. Respir. J. 2018, 52, 1800385. [Google Scholar] [CrossRef]
- Brennan, N.J.; Crean, P.; Long, J.P.; Fitzgerald, M.X. High prevalence of familial sarcoidosis in an Irish population. Thorax 1984, 39, 14–18. [Google Scholar] [CrossRef]
- Rybicki, B.A.; Kirkey, K.L.; Major, M.; Maliarik, M.J.; Popovich, J.; Chase, G.A.; Iannuzzi, M.C. Familial risk ratio of sarcoidosis in African-American sibs and parents. Am. J. Epidemiol. 2001, 153, 188–193. [Google Scholar] [CrossRef]
- Rybicki, B.A.; Harrington, D.; Major, M.; Simoff, M.; Popovich, J., Jr.; Maliarik, M.; Iannuzzi, M.C. Heterogeneity of familial risk in sarcoidosis. Genet. Epidemiol. 1996, 13, 23–33. [Google Scholar] [CrossRef]
- McGrath, D.S.; Daniil, Z.; Foley, P.; du Bois, J.L.; A Lympany, P.; Cullinan, P.; du Bois, R.M. Epidemiology of familial sarcoidosis in the UK. Thorax 2000, 55, 751–754. [Google Scholar] [CrossRef] [PubMed]
- Iannuzzi, M. Genetics of Sarcoidosis. Semin. Respir. Crit. Care Med. 2007, 28, 015–021. [Google Scholar]
- Morais, A.; Lima, B.; Alves, H.; Melo, N.; Mota, P.C.; Marques, A.; Delgado, L. Associations between sarcoidosis clinical course and ANXA11 rs1049550 C/T, BTNL2 rs2076530 G/A, and HLA class I and II alleles. Clin. Respir. J. 2018, 12, 532–537. [Google Scholar] [CrossRef] [PubMed]
- Darlington, P.; Gabrielsen, A.; Sörensson, P.; Tallstedt, L.; Padyukov, L.; Eklund, A.; Grunewald, J. HLA-alleles associated with increased risk for extra-pulmonary involvement in sarcoidosis. Tissue Antigens 2014, 83, 267–272. [Google Scholar]
- Heron, M.; van Moorsel, C.H.M.; Grutters, J.C.; Huizinga, T.W.J.; Mil, A.H.M.v.d.H.; Nagtegaal, M.M.; Ruven, H.J.T.; Bosch, J.M.M.v.D. Genetic variation in GREM1 is a risk factor for fibrosis in pulmonary sarcoidosis. Tissue Antigens 2011, 77, 112–117. [Google Scholar]
- Levin, A.M.; Iannuzzi, M.C.; Montgomery, C.G.; Trudeau, S.; Datta, I.; McKeigue, P.; Fischer, A.; Nebel, A.; A Rybicki, B. Association of ANXA11 genetic variation with sarcoidosis in African Americans and European Americans. Genes. Immun. 2013, 14, 13–18. [Google Scholar]
- Kruit, A.; Grutters, J.C.; Ruven, H.J.T.; van Moorsel, C.H.M.; Weiskirchen, R.; Mengsteab, S.; Bosch, J.M.M.v.D. Transforming Growth Factor-β Gene Polymorphisms in Sarcoidosis Patients With and Without Fibrosis. Chest 2006, 129, 1584–1591. [Google Scholar]
- Cooke, G.; Kamal, I.; Strengert, M.; Hams, E.; Mawhinney, L.; Tynan, A.; O’reilly, C.; O’dwyer, D.N.; Kunkel, S.L.; Knaus, U.G.; et al. Toll-like receptor 3 L412F polymorphism promotes a persistent clinical phenotype in pulmonary sarcoidosis. QJM Int. J. Med. 2018, 111, 217–224. [Google Scholar]
- O’dwyer, D.N.; Armstrong, M.E.; Trujillo, G.; Cooke, G.; Keane, M.P.; Fallon, P.G.; Simpson, A.J.; Millar, A.B.; McGrath, E.E.; Whyte, M.K.; et al. The Toll-like Receptor 3 L412F Polymorphism and Disease Progression in Idiopathic Pulmonary Fibrosis. Am. J. Respir. Crit. Care Med. 2013, 188, 1442–1450. [Google Scholar]
- Stock, C.J.; Sato, H.; Fonseca, C.; Banya, W.A.S.; Molyneaux, P.L.; Adamali, H.; Russell, A.-M.; Denton, C.P.; Abraham, D.J.; Hansell, D.M.; et al. Mucin 5B promoter polymorphism is associated with idiopathic pulmonary fibrosis but not with development of lung fibrosis in systemic sclerosis or sarcoidosis. Thorax 2013, 68, 436–441. [Google Scholar]
- Danila, E.; Jurgauskienė, L.; Norkūnienė, J.; Malickaitė, R. BAL fluid cells in newly diagnosed pulmonary sarcoidosis with different clinical activity. Upsala J. Med. Sci. 2009, 114, 26–31. [Google Scholar] [CrossRef] [PubMed][Green Version]
- Danila, E.; Jurgauskienė, L.; Malickaitė, R. BAL fluid cells and pulmonary function in different radiographic stages of newly diagnosed sarcoidosi. Adv. Med. Sci. 2008, 53, 228–233. [Google Scholar] [CrossRef] [PubMed]
- Partida-Zavala, N.; Ponce-Gallegos, M.A.; Buendía-Roldán, I.; Falfán-Valencia, R. Type 2 macrophages and Th2 CD4+ cells in interstitial lung diseases (ILDs): An overview. Sarcoidosis Vasc. Diffus. Lung Dis. 2018, 35, 98–108. [Google Scholar]
- Barros, M.H.M.; Hauck, F.; Dreyer, J.H.; Kempkes, B.; Niedobitek, G. Macrophage polarisation: An immunohistochemical approach for identifying M1 and M2 macrophages. PLoS ONE 2013, 8, e80908. [Google Scholar] [CrossRef]
- Robinson, B.W.; McLemore, T.L.; Crystal, R.G. Gamma interferon is spontaneously released by alveolar macrophages and lung T lymphocytes in patients with pulmonary sarcoidosis. J. Clin. Investig. 1985, 75, 1488–1495. [Google Scholar]
- Kaiser, Y.; Eklund, A.; Grunewald, J. Moving target: Shifting the focus to pulmonary sarcoidosis as an autoimmune spectrum disorder. Eur. Respir. J. 2019, 54, 1802153. [Google Scholar] [CrossRef] [PubMed]
- Hancock, W.W.; Kobzik, L.; Colby, A.J.; O’Hara, C.J.; Cooper, A.G.; Godleski, J.J. Detection of lymphokines and lymphokine receptors in pulmonary sarcoidosis. Immunohistologic evidence that inflammatory macrophages express IL-2 receptors. Am. J. Pathol. 1986, 123, 1–8. [Google Scholar]
- Wynn, T.A.; Ramalingam, T.R. Mechanisms of fibrosis: Therapeutic translation for fibrotic disease. Nat. Med. 2012, 18, 1028–1040. [Google Scholar] [CrossRef]
- Lee, C.G.; Homer, R.J.; Zhu, Z.; Lanone, S.; Wang, X.; Koteliansky, V.; Shipley, J.M.; Gotwals, P.; Noble, P.; Chen, Q.; et al. Interleukin-13 Induces Tissue Fibrosis by Selectively Stimulating and Activating Transforming Growth Factor β1. J. Exp. Med. 2001, 194, 809–822. [Google Scholar] [CrossRef]
- Abedini, A.; Naderi, Z.; Kiani, A.; Marjani, M.; Mortaz, E.; Ghorbani, F. The evaluation of interleukin-4 and interleukin-13 in the serum of pulmonary sarcoidosis and tuberculosis patients. J. Res. Med. Sci. 2020, 25, 24. [Google Scholar]
- Hauber, H.P. Increased interleukin-13 expression in patients with sarcoidosis. Thorax 2003, 58, 519–524. [Google Scholar] [CrossRef][Green Version]
- Berge, B.T.; Paats, M.S.; Bergen, I.M.; Blink, B.v.D.; Hoogsteden, H.C.; Lambrecht, B.N.; Hendriks, R.W.; KleinJan, A. Increased IL-17A expression in granulomas and in circulating memory T cells in sarcoidosis. Rheumatology 2012, 51, 37–46. [Google Scholar] [PubMed]
- Patterson, K.C.; Franek, B.S.; Müller-Quernheim, J.; Sperling, A.I.; Sweiss, N.J.; Niewold, T.B. Circulating cytokines in sarcoidosis: Phenotype-specific alterations for fibrotic and non-fibrotic pulmonary disease. Cytokine 2013, 61, 906–911. [Google Scholar] [CrossRef]
- McClean, C.M.; Tobin, D.M. Macrophage form, function, and phenotype in mycobacterial infection: Lessons from tuberculosis and other diseases. Pathog. Dis. 2016, 74, ftw068. [Google Scholar] [PubMed]
- Prasse, A.; Probst, C.; Bargagli, E.; Zissel, G.; Toews, G.B.; Flaherty, K.R.; Olschewski, M.; Rottoli, P.; Müller-Quernheim, J. Serum CC-Chemokine Ligand 18 Concentration Predicts Outcome in Idiopathic Pulmonary Fibrosis. Am. J. Respir. Crit. Care Med. 2009, 179, 717–723. [Google Scholar] [PubMed]
- Prasse, A.; Pechkovsky, D.V.; Toews, G.B.; Jungraithmayr, W.; Kollert, F.; Goldmann, T.; Vollmer, E.; Müller-Quernheim, J.; Zissel, G. A Vicious Circle of Alveolar Macrophages and Fibroblasts Perpetuates Pulmonary Fibrosis via CCL18. Am. J. Respir. Crit. Care Med. 2006, 173, 781–792. [Google Scholar]
- Wikén, M.; Idali, F.; Abo Al Hayja, M.; Grunewald, J.; Eklund, A.; Wahlström, J. No evidence of altered alveolar macrophage polarization, but reduced expression of TLR2, in bronchoalveolar lavage cells in sarcoidosis. Respir. Res. 2010, 11, 121. [Google Scholar]
- Shamaei, M.; Mortaz, E.; Pourabdollah, M.; Garssen, J.; Tabarsi, P.; Velayati, A.; Adcock, I.M. Evidence for M2 macrophages in granulomas from pulmonary sarcoidosis: A new aspect of macrophage heterogeneity. Hum. Immunol. 2018, 79, 63–69. [Google Scholar] [CrossRef]
- Wojtan, P.; Mierzejewski, M.; Osińska, I.; Domagała-Kulawik, J. Macrophage polarization in interstitial lung diseases. Cent. Eur. J. Immunol. 2016, 41, 159–164. [Google Scholar]
- Schinocca, C.; Rizzo, C.; Fasano, S.; Grasso, G.; La Barbera, L.; Ciccia, F.; Guggino, G. Role of the IL-23/IL-17 Pathway in Rheumatic Diseases: An Overview. Front. Immunol. 2021, 12, 637829. [Google Scholar] [CrossRef]
- Curtis, M.M.; Way, S.S. Interleukin-17 in host defence against bacterial, mycobacterial and fungal pathogens. Immunology 2009, 126, 177–185. [Google Scholar] [PubMed]
- Lexberg, M.H.; Taubner, A.; Albrecht, I.; Lepenies, I.; Richter, A.; Kamradt, T.; Chang, H.D. IFN-γ and IL-12 synergize to convert in vivo generated Th17 into Th1/Th17 cells. Eur. J. Immunol. 2010, 40, 3017–3027. [Google Scholar]
- Kaiser, Y.; Lepzien, R.; Kullberg, S.; Eklund, A.; Smed-Sörensen, A.; Grunewald, J. Expanded lung T-bet+ RORγT+ CD4+ T-cells in sarcoidosis patients with a favourable disease phenotype. Eur. Respir. J. 2016, 48, 484–494. [Google Scholar] [CrossRef] [PubMed]
- Broos, C.E.; Koth, L.L.; van Nimwegen, M.; in ‘t Veen, J.C.C.M.J.; Paulissen, S.M.; van Hamburg, J.P.; Annema, J.T.; Heller-Baan, R.; Kleinjan, A.; Kool, M.; et al. Increased T-helper 17.1 cells in sarcoidosis mediastinal lymph nodes. Eur. Respir. J. 2018, 51, 1701124. [Google Scholar]
- Jiang, D.; Xiao, H.; Zheng, X.; Dong, R.; Zhang, H.; Dai, H. Interleukin-17A plays a key role in pulmonary fibrosis following Propionibacterium acnes –induced sarcoidosis-like inflammation. Exp. Biol. Med. 2023, 248, 1181–1190. [Google Scholar] [CrossRef]
- Zhang, H.; Jiang, D.; Zhu, L.; Zhou, G.; Xie, B.; Cui, Y.; Costabel, U.; Dai, H. Imbalanced distribution of regulatory T cells and Th17.1 cells in the peripheral blood and BALF of sarcoidosis patients: Relationship to disease activity and the fibrotic radiographic phenotype. Front. Immunol. 2023, 14, 1185443. [Google Scholar] [CrossRef] [PubMed]
- Broos, C.E.; Van Nimwegen, M.; Kleinjan, A.; Ten Berge, B.; Muskens, F.; In ’TVeen, J.C.C.M.; Annema, J.T.; Lambrecht, B.N.; Hoogsteden, H.C.; Hendriks, R.W.; et al. Impaired survival of regulatory T cells in pulmonary sarcoidosis. Respir. Res. 2015, 16, 108. [Google Scholar] [CrossRef] [PubMed]
- Rappl, G.; Pabst, S.; Riemann, D.; Schmidt, A.; Wickenhauser, C.; Schütte, W.; Hombach, A.A.; Seliger, B.; Grohé, C.; Abken, H. Regulatory T cells with reduced repressor capacities are extensively amplified in pulmonary sarcoid lesions and sustain granuloma formation. Clin. Immunol. 2011, 140, 71–83. [Google Scholar] [CrossRef]
- Oswald-Richter, K.A.; Richmond, B.W.; Braun, N.A.; Isom, J.; Abraham, S.; Taylor, T.R.; Drake, J.M.; Culver, D.A.; Wilkes, D.S.; Drake, W.P. Reversal of Global CD4+ Subset Dysfunction Is Associated with Spontaneous Clinical Resolution of Pulmonary Sarcoidosis. J. Immunol. 2013, 190, 5446–5453. [Google Scholar]
- Nunes, H.; Brillet, P.Y.; Bernaudin, J.F.; Gille, T.; Valeyre, D.; Jeny, F. Fibrotic Pulmonary Sarcoidosis. Clin. Chest Med. 2024, 45, 199–212. [Google Scholar]
- Belperio, J.A.; Fishbein, M.C.; Abtin, F.; Channick, J.; Balasubramanian, S.A.; Lynch Iii, J.P. Pulmonary sarcoidosis: A comprehensive review: Past to present. J. Autoimmun. 2023, 149, 103107. [Google Scholar] [CrossRef] [PubMed]
- Nardi, A.; Brillet, P.-Y.; Letoumelin, P.; Girard, F.; Brauner, M.; Uzunhan, Y.; Naccache, J.-M.; Valeyre, D.; Nunes, H. Stage IV sarcoidosis: Comparison of survival with the general population and causes of death. Eur. Respir. J. 2011, 38, 1368–1373. [Google Scholar] [CrossRef] [PubMed]
- Baughman, R.P. Pulmonary hypertension associated with sarcoidosis. Arthritis Res. Ther. 2007, 9 (Suppl. S2), S8. [Google Scholar] [CrossRef] [PubMed][Green Version]
- Sulica, R.; Teirstein, A.S.; Kakarla, S.; Nemani, N.; Behnegar, A.; Padilla, M.L. Distinctive Clinical, Radiographic, and Functional Characteristics of Patients With Sarcoidosis-Related Pulmonary Hypertension. Chest 2005, 128, 1483–1489. [Google Scholar] [CrossRef]
- Pena, T.A.; Soubani, A.O.; Samavati, L. Aspergillus Lung Disease in Patients with Sarcoidosis: A Case Series and Review of the Literature. Lung 2011, 189, 167–172. [Google Scholar] [CrossRef]
- Uzunhan, Y.; Nunes, H.; Jeny, F.; Lacroix, M.; Brun, S.; Brillet, P.-Y.; Martinod, E.; Carette, M.-F.; Bouvry, D.; Charlier, C.; et al. Chronic pulmonary aspergillosis complicating sarcoidosis. Eur. Respir. J. 2017, 49, 1602396. [Google Scholar] [CrossRef]
- Górski, W.; Piotrowski, W. Fatigue Syndrome in Sarcoidosis. Adv. Respir. Med. 2016, 84, 244–250. [Google Scholar] [CrossRef]
- Zieleźnik, K.; Jastrzębski, D.; Ziora, D. Fatigue in Patients with Inactive Sarcoidosis Does Not Correlate with Lung Ventilation Ability or Walking Distance. Pilot. Study. Adv. Respir. Med. 2015, 83, 15–22. [Google Scholar] [CrossRef][Green Version]
- Polychronopoulos, V.S.; Prakash, U.B.S. Airway Involvement in Sarcoidosis. Chest 2009, 136, 1371–1380. [Google Scholar] [CrossRef]
- Scadding, J.G. Prognosis of Intrathoracic Sarcoidosis in England. BMJ 1961, 2, 1165–1172. [Google Scholar] [CrossRef]
- Culver, D.A.; Baughman, R.P. It’s time to evolve from Scadding: Phenotyping sarcoidosis. Eur. Respir. J. 2018, 51, 1800050. [Google Scholar] [CrossRef] [PubMed]
- Zhang, Y.; Du, S.S.; Zhao, M.M.; Li, Q.H.; Zhou, Y.; Song, J.C.; Li, H. Chest high-resolution computed tomography can make higher accurate stages for thoracic sarcoidosis than X-ray. BMC Pulm. Med. 2022, 22, 146. [Google Scholar] [CrossRef] [PubMed]
- Kirkil, G.; Lower, E.E.; Baughman, R.P. Predictors of Mortality in Pulmonary Sarcoidosis. Chest 2018, 153, 105–113. [Google Scholar] [CrossRef]
- Kirkil, G.; Lower, E.E.; Baughman, R.P. Chest CT scan: The best predictor of mortality in advanced pulmonary sarcoidosis? Respir. Med. 2020, 170, 106059. [Google Scholar] [CrossRef]
- Walsh, S.L.; Wells, A.U.; Sverzellati, N.; Keir, G.J.; Calandriello, L.; Antoniou, K.M.; Copley, S.J.; Devaraj, A.; Maher, T.M.; Renzoni, E.; et al. An integrated clinicoradiological staging system for pulmonary sarcoidosis: A case-cohort study. Lancet Respir. Med. 2014, 2, 123–130. [Google Scholar] [CrossRef] [PubMed]
- Obi, O.N.; Alqalyoobi, S.; Maddipati, V.; Lower, E.E.; Baughman, R.P. High-Resolution CT Scan Fibrotic Patterns in Stage IV Pulmonary Sarcoidosis. CHEST 2024, 165, 892–907. [Google Scholar] [CrossRef]
- Bailey, G.L.; Wells, A.U.; Desai, S.R. Imaging of Pulmonary Sarcoidosis—A Review. J. Clin. Med. 2024, 13, 822. [Google Scholar] [CrossRef]
- Koc, A.S.; Oncel, G.; Ince, O.; Sever, F.; Kobak, S. The role of chest X-ray in the early diagnosis and staging of sarcoidosis: Is it really should be done? Reumatol. Clínica (Engl. Ed.) 2023, 19, 560–564. [Google Scholar]
- Oberstein, A.; von Zitzewitz, H.; Schweden, F.; Müller-Quernheim, J. Non invasive evaluation of the inflammatory activity in sarcoidosis with high-resolution computed tomography. Sarcoidosis Vasc. Diffus. Lung Dis. 1997, 14, 65–72. [Google Scholar]
- Thillai, M.; Atkins, C.P.; Crawshaw, A.; Hart, S.P.; Ho, L.-P.; Kouranos, V.; Patterson, K.C.; Screaton, N.J.; Whight, J.; Wells, A.U. BTS Clinical Statement on pulmonary sarcoidosis. Thorax 2021, 76, 4–20. [Google Scholar] [CrossRef]
- Gupta, R.; Kim, J.S.; Baughman, R.P. An expert overview of pulmonary fibrosis in sarcoidosis. Expert. Rev. Respir. Med. 2023, 17, 119–130. [Google Scholar] [CrossRef] [PubMed]
- Wakulinski, J. Typical and Atypical Radiological Manifestations of Thoracic Sarcoidosis with Their Pathologic Correlation; European Congress of Radiology-ECR: Vienna, Austria, 2018. [Google Scholar]
- Abehsera, M.; Valeyre, D.; Grenier, P.; Jaillet, H.; Battesti, J.P.; Brauner, M.W. Sarcoidosis with Pulmonary Fibrosis: CT Patterns and Correlation with Pulmonary Function. Am. J. Roentgenol. 2000, 174, 1751–1757. [Google Scholar]
- Criado, E.; Sánchez, M.; Ramírez, J.; Arguis, P.; de Caralt, T.M.; Perea, R.J.; Xaubet, A. Pulmonary Sarcoidosis: Typical and Atypical Manifestations at High-Resolution CT with Pathologic Correlation. RadioGraphics 2010, 30, 1567–1586. [Google Scholar] [CrossRef] [PubMed]
- Calandriello, L.; Walsh, S. Imaging for Sarcoidosis. Semin. Respir. Crit. Care Med. 2017, 38, 417–436. [Google Scholar] [PubMed]
- Olsson, T.; Björnstad-Pettersen, H.; Sternberg, N.L. Bronchostenosis due to Sarcoidosis. Chest 1979, 75, 663–666. [Google Scholar]
- Verleden, S.E.; Vanstapel, A.; De Sadeleer, L.; Dubbeldam, A.; Goos, T.; Gyselinck, I.; Geudens, V.; Kaes, J.; Van Raemdonck, D.E.; Ceulemans, L.J.; et al. Distinct Airway Involvement in Subtypes of End-Stage Fibrotic Pulmonary Sarcoidosis. Chest 2021, 160, 562–571. [Google Scholar]
- Comes, A.; Sofia, C.; Richeldi, L. Novel insights in fibrotic pulmonary sarcoidosis. Curr. Opin. Pulm. Med. 2022, 28, 478–484. [Google Scholar]
- Manika, K.; Kioumis, I.; Zarogoulidis, K.; Kougioumtzi, I.; Dryllis, G.; Pitsiou, G.; Machairiotis, N.; Katsikogiannis, N.; Lampaki, S.; Papaiwannou, A.; et al. Pneumothorax in sarcoidosis. J. Thorac. Dis. 2014, 6 (Suppl. S4), S466–S469. [Google Scholar]
- Papiris, S.A.; Kolilekas, L.; Rivera, N.; Spanos, M.; Li, G.; Gokulnath, P.; Chatterjee, E.; Georgakopoulos, A.; Kallieri, M.; Papaioannou, A.I.; et al. From Karl Wurm and Guy Scadding’s staging to 18F-FDG PET/CT scan phenotyping and far beyond: Perspective in the evading history of phenotyping in sarcoidosis. Front. Med. 2023, 10, 1174518. [Google Scholar]
- Mostard, R.L.M.; Van Kroonenburgh, M.J.P.G.; Drent, M. The role of the PET scan in the management of sarcoidosis. Curr. Opin. Pulm. Med. 2013, 19, 538–544. [Google Scholar]
- Glaudemans, A.W.J.M.; De Vries, E.F.J.; Galli, F.; Dierckx, R.A.J.O.; Slart, R.H.J.A.; Signore, A. The Use of 18 F-FDG-PET/CT for Diagnosis and Treatment Monitoring of Inflammatory and Infectious Diseases. Clin. Dev. Immunol. 2013, 2013, 623036. [Google Scholar]
- Akaike, G.; Itani, M.; Shah, H.; Ahuja, J.; Gunes, B.Y.; Assaker, R.; Behnia, F. PET/CT in the Diagnosis and Workup of Sarcoidosis: Focus on Atypical Manifestations. RadioGraphics 2018, 38, 1536–1549. [Google Scholar] [PubMed]
- Sawahata, M.; Yamaguchi, T. Imaging findings of fibrosis in pulmonary sarcoidosis. Sarcoidosis Vasc. Diffus. Lung Dis. 2022, 39, e2022018. [Google Scholar]
- Schimmelpennink, M.C.; Meek, D.B.; Vorselaars, A.D.M.; Langezaal, L.C.M.; van Moorsel, C.H.M.; van der Vis, J.J.; Veltkamp, M.; Grutters, J.C. Characterization of the PF-ILD phenotype in patients with advanced pulmonary sarcoidosis. Respir. Res. 2022, 23, 169. [Google Scholar] [PubMed]
- Chenivesse, C.; Boulanger, S.; Langlois, C.; Wemeau-Stervinou, L.; Perez, T.; Wallaert, B. Oxygen desaturation during a 6-minute walk test as a predictor of maximal exercise-induced gas exchange abnormalities in sarcoidosis. J. Thorac. Dis. 2016, 8, 1995–2003. [Google Scholar] [CrossRef]
- Baughman, R.P.; Gupta, R.; Judson, M.; Lower, E.; Birrinder, S.; Stewart, J.; Reeves, R.; Wells, A. Pirfenidone for Fibrotic Sarcoidosis (PIRFS): Results of a Double Blind Placebo Controlled Feasibility Study. Sarcoidosis Vasc. Diffus. Lung Dis. 2022, 39, e2022011. [Google Scholar]
- Kouranos, V.; Ward, S.; Kokosi, M.A.; Castillo, D.; Chua, F.; Judge, E.P.; Thomas, S.; Van Tonder, F.; Devaraj, A.; Nicholson, A.G.; et al. Mixed Ventilatory Defects in Pulmonary Sarcoidosis. Chest 2020, 158, 2007–2014. [Google Scholar]
- Alhamad, E. The six-minute walk test in patients with pulmonary sarcoidosis. Ann. Thorac. Med. 2009, 4, 60. [Google Scholar] [CrossRef]
- Sharp, M.; Psoter, K.J.; Balasubramanian, A.; Pulapaka, A.V.; Chen, E.S.; Brown, S.-A.W.; Mathai, S.C.; Gilotra, N.A.; Chrispin, J.; Bascom, R.; et al. Heterogeneity of Lung Function Phenotypes in Sarcoidosis: Role of Race and Sex Differences. Ann. Am. Thorac. Soc. 2023, 20, 30–37. [Google Scholar] [CrossRef]
- Bandyopadhyay, D.; Mirsaeidi, M.S. Sarcoidosis-associated pulmonary fibrosis: Joining the dots. Eur. Respir. Rev. 2023, 32, 230085. [Google Scholar]
- Flaherty, K.R.; Wells, A.U.; Cottin, V.; Devaraj, A.; Walsh, S.L.; Inoue, Y.; Richeldi, L.; Kolb, M.; Tetzlaff, K.; Stowasser, S.; et al. Nintedanib in Progressive Fibrosing Interstitial Lung Diseases. N. Engl. J. Med. 2019, 381, 1718–1727. [Google Scholar] [CrossRef] [PubMed]
- Faverio, P.; Piluso, M.; De Giacomi, F.; Della Zoppa, M.; Cassandro, R.; Harari, S.; Luppi, F.; Pesci, A. Progressive Fibrosing Interstitial Lung Diseases: Prevalence and Characterization in Two Italian Referral Centers. Respiration 2020, 99, 838–845. [Google Scholar]
- Hambly, N.; Farooqi, M.M.; Dvorkin-Gheva, A.; Donohoe, K.; Garlick, K.; Scallan, C.; Chong, S.G.; MacIsaac, S.; Assayag, D.; Johannson, K.A.; et al. Prevalence and characteristics of progressive fibrosing interstitial lung disease in a prospective registry. Eur. Respir. J. 2022, 60, 2102571. [Google Scholar] [CrossRef]
- Bączek, K.; Piotrowski, W.J. Lung fibrosis in sarcoidosis. Is there a place for antifibrotics? Front. Pharmacol. 2024, 15, 1445923. [Google Scholar]
- Kiani, A.; Eslaminejad, A.; Shafeipour, M.; Razavi, F.; Seyyedi, S.R.; Sharif-Kashani, B.; Emami, H.; Bakhshayesh-Karam, M.; Abedini, A. Spirometry, cardiopulmonary exercise testing and the six-minute walk test results in sarcoidosis patients. Sarcoidosis Vasc. Diffus. Lung Dis. 2019, 36, 185–194. [Google Scholar]
- Bourbonnais, J.M.; Samavati, L. Clinical predictors of pulmonary hypertension in sarcoidosis. Eur. Respir. J. 2008, 32, 296–302. [Google Scholar]
- Gupta, R.; Baughman, R.P.; Nathan, S.D.; Wells, A.U.; Kouranos, V.; Alhamad, E.H.; Culver, D.A.; Barney, J.; Carmona, E.M.; Cordova, F.C.; et al. The six-minute walk test in sarcoidosis associated pulmonary hypertension: Results from an international registry. Respir. Med. 2022, 196, 106801. [Google Scholar] [PubMed]
- Lettieri, C.J.; Nathan, S.D.; Browning, R.F.; Barnett, S.D.; Ahmad, S.; Shorr, A.F. The distance-saturation product predicts mortality in idiopathic pulmonary fibrosis. Respir. Med. 2006, 100, 1734–1741. [Google Scholar]
- Alhamad, E.H.; Shaik, S.A.; Idrees, M.M.; Alanezi, M.O.; Isnani, A.C. Outcome measures of the 6 minute walk test: Relationships with physiologic and computed tomography findings in patients with sarcoidosis. BMC Pulm. Med. 2010, 10, 42. [Google Scholar]
- Welker, L. Predictive value of BAL cell differentials in the diagnosis of interstitial lung diseases. Eur. Respir. J. 2004, 24, 1000–1006. [Google Scholar]
- Aleksonienė, R.; Zeleckienė, I.; Matačiūnas, M.; Puronaitė, R.; Jurgauskienė, L.; Malickaitė, R.; Strumilienė, E.; Gruslys, V.; Zablockis, R.; Danila, E. Relationship between radiologic patterns, pulmonary function values and bronchoalveolar lavage fluid cells in newly diagnosed sarcoidosis. J. Thorac. Dis. 2017, 9, 88–95. [Google Scholar] [CrossRef] [PubMed]
- Drent, M.; Jacobs, J.; De Vries, J.; Lamers, R.; Liem, I.; Wouters, E. Does the cellular bronchoalveolar lavage fluid profile reflect the severity of sarcoidosis? Eur. Respir. J. 1999, 13, 1338–1344. [Google Scholar] [CrossRef]
- Feng, H.; Yan, L.; Zhao, Y.; Li, Z.; Kang, J. Neutrophils in Bronchoalveolar Lavage Fluid Indicating the Severity and Relapse of Pulmonary Sarcoidosis. Front. Med. 2022, 8, 787681. [Google Scholar] [CrossRef] [PubMed]
- Kollert, F.; Geck, B.; Suchy, R.; Jörres, R.A.; Arzt, M.; Heidinger, D.; Hamer, O.W.; Prasse, A.; Müller-Quernheim, J.; Pfeifer, M.; et al. The impact of gas exchange measurement during exercise in pulmonary sarcoidosis. Respir. Med. 2011, 105, 122–129. [Google Scholar] [CrossRef] [PubMed]
- Ziegenhagen, M.W.; Rothe, M.E.; Schlaak, M.; Müller-Quernheim, J. Bronchoalveolar and serological parameters reflecting the severity of sarcoidosis. Eur. Respir. J. 2003, 21, 407–413. [Google Scholar] [CrossRef]
- Lepzien, R.; Liu, S.; Czarnewski, P.; Nie, M.; Österberg, B.; Baharom, F.; Pourazar, J.; Rankin, G.; Eklund, A.; Bottai, M.; et al. Monocytes in sarcoidosis are potent tumour necrosis factor producers and predict disease outcome. Eur. Respir. J. 2021, 58, 2003468. [Google Scholar] [CrossRef]
- Crouser, E.D.; Maier, L.A.; Wilson, K.C.; Bonham, C.A.; Morgenthau, A.S.; Patterson, K.C.; Abston, E.; Bernstein, R.C.; Blankstein, R.; Chen, E.S.; et al. Diagnosis and Detection of Sarcoidosis. An Official American Thoracic Society Clinical Practice Guideline. Am. J. Respir. Crit. Care Med. 2020, 201, e26–e51. [Google Scholar] [CrossRef]
- Cancellieri, A.; Leslie, K.O.; Tinelli, C.; Patelli, M.; Trisolini, R. Sarcoidal Granulomas in Cytological Specimens from Intrathoracic Adenopathy: Morphologic Characteristics and Radiographic Correlations. Respiration 2013, 85, 244–251. [Google Scholar] [CrossRef]
- Tana, C.; Donatiello, I.; Caputo, A.; Tana, M.; Naccarelli, T.; Mantini, C.; Giamberardino, M.A. Clinical Features, Histopathology and Differential Diagnosis of Sarcoidosis. Cells 2021, 11, 59. [Google Scholar] [CrossRef]
- Mitchell, D.N.; Scadding, J.G.; Heard, B.E.; Hinson, K.F. Sarcoidosis: Histopathological definition and clinical diagnosis. J. Clin. Pathol. 1977, 30, 395–408. [Google Scholar]
- Aisner, S.C.; Albin, R.J. Diffuse Interstitial Pneumonitis and Fibrosis in Sarcoidosis. Chest 1988, 94, 193–195. [Google Scholar] [CrossRef] [PubMed][Green Version]
- Shigemitsu, H.; Oblad, J.M.; Sharma, O.P.; Koss, M.N. Chronic interstitial pneumonitis in end-stage sarcoidosis. Eur. Respir. J. 2010, 35, 695–697. [Google Scholar] [CrossRef] [PubMed]
- Cuccinelli, E.; Bernardinello, N.; Castelli, G.; Petrarulo, S.; Bellani, S.; Saetta, M.; Spagnolo, P.; Balestro, E. Molecular Mechanism in the Development of Pulmonary Fibrosis in Patients with Sarcoidosis. Int. J. Mol. Sci. 2023, 24, 10767. [Google Scholar] [CrossRef] [PubMed]
- Tachibana, K.; Arai, T.; Kagawa, T.; Minomo, S.; Akira, M.; Kitaichi, M.; Inoue, Y. A Case of Combined Sarcoidosis and Usual Interstitial Pneumonia. Intern. Med. 2012, 51, 1893–1897. [Google Scholar] [CrossRef]
- Xu, L.; Kligerman, S.; Burke, A. End-stage Sarcoid Lung Disease Is Distinct from Usual Interstitial Pneumonia. Am. J. Surg. Pathol. 2013, 37, 593–600. [Google Scholar] [CrossRef]
- Raghu, G.; Remy-Jardin, M.; Richeldi, L.; Thomson, C.C.; Inoue, Y.; Johkoh, T.; Kreuter, M.; Lynch, D.A.; Maher, T.M.; Martinez, F.J.; et al. Idiopathic Pulmonary Fibrosis (an Update) and Progressive Pulmonary Fibrosis in Adults: An Official ATS/ERS/JRS/ALAT Clinical Practice Guideline. Am. J. Respir. Crit. Care Med. 2022, 205, e18–e47. [Google Scholar] [CrossRef]
- Kamp, J.C.; Neubert, L.; Stark, H.; Hinrichs, J.B.; Boekhoff, C.; Seidel, A.D.; Ius, F.; Haverich, A.; Gottlieb, J.; Welte, T.; et al. Comparative Analysis of Gene Expression in Fibroblastic Foci in Patients with Idiopathic Pulmonary Fibrosis and Pulmonary Sarcoidosis. Cells 2022, 11, 664. [Google Scholar] [CrossRef] [PubMed]
- Zhang, C.; Chan, K.M.; Schmidt, L.A.; Myers, J.L. Histopathology of Explanted Lungs From Patients With a Diagnosis of Pulmonary Sarcoidosis. Chest 2016, 149, 499–507. [Google Scholar] [CrossRef]
- Nobata, K.; Kasai, T.; Fujimura, M.; Mizuguchi, M.; Nishi, K.; Ishiura, Y.; Yasui, M.; Nakao, S. Pulmonary Sarcoidosis with Usual Interstitial Pneumonia Distributed Predominantly in the Lower Lung Fields. Intern. Med. 2006, 45, 359–362. [Google Scholar] [CrossRef][Green Version]
- Collins, B.F.; McClelland, R.L.; Ho, L.A.; Mikacenic, C.R.; Hayes, J.; Spada, C.; Raghu, G. Sarcoidosis and IPF in the same patient-a coincidence, an association or a phenotype? Respir. Med. 2018, 144, S20–S27. [Google Scholar] [CrossRef]
- Denning, D.W.; Pleuvry, A.; Cole, D.C. Global burden of chronic pulmonary aspergillosis complicating sarcoidosis. Eur. Respir. J. 2013, 41, 621–626. [Google Scholar] [CrossRef] [PubMed]
- Sakr, L.; Dutau, H. Massive Hemoptysis: An Update on the Role of Bronchoscopy in Diagnosis and Management. Respiration 2010, 80, 38–58. [Google Scholar] [CrossRef]
- Nunes, H. Pulmonary hypertension associated with sarcoidosis: Mechanisms, haemodynamics and prognosis. Thorax 2005, 61, 68–74. [Google Scholar] [CrossRef] [PubMed]
- Humbert, M.; Kovacs, G.; Hoeper, M.M.; Badagliacca, R.; Berger, R.M.; Brida, M.; Rosenkranz, S. 2022 ESC/ERS Guidelines for the diagnosis and treatment of pulmonary hypertension: Developed by the task force for the diagnosis and treatment of pulmonary hypertension of the European Society of Cardiology (ESC) and the European Respiratory Society (ERS). Endorsed by the International Society for Heart and Lung Transplantation (ISHLT) and the European Reference Network on rare respiratory diseases (ERN-LUNG). Eur. Heart J. 2022, 43, 3618–3731. [Google Scholar]
- Shlobin, O.A.; Kouranos, V.; Barnett, S.D.; Alhamad, E.H.; Culver, D.A.; Barney, J.; Cordova, F.C.; Carmona, E.M.; Scholand, M.B.; Wijsenbeek, M.; et al. Physiological predictors of survival in patients with sarcoidosis-associated pulmonary hypertension: Results from an international registry. Eur. Respir. J. 2020, 55, 1901747. [Google Scholar] [CrossRef]
- Parikh, K.S.; Dahhan, T.; Nicholl, L.; Ruopp, N.; Pomann, G.M.; Fortin, T.; Rajagopal, S. Clinical Features and Outcomes of Patients with Sarcoidosis-associated Pulmonary Hypertension. Sci. Rep. 2019, 9, 4061. [Google Scholar] [CrossRef]
- Sobiecka, M.; Szturmowicz, M.; Lewandowska, K.; Kowalik, A.; Łyżwa, E.; Zimna, K.; Barańska, I.; Jakubowska, L.; Kuś, J.; Langfort, R.; et al. Chronic hypersensitivity pneumonitis is associated with an increased risk of venous thromboembolism: A retrospective cohort study. BMC Pulm. Med. 2021, 21, 416. [Google Scholar] [CrossRef] [PubMed]
- Kacprzak, A.; Tomkowski, W.; Szturmowicz, M. Phenotypes of Sarcoidosis-Associated Pulmonary Hypertension—A Challenging Mystery. Diagnostics 2023, 13, 3132. [Google Scholar] [CrossRef]
- Kim, D.S. Acute Exacerbation of Idiopathic Pulmonary Fibrosis. In Encyclopedia of Respiratory Medicine; Elsevier: Amsterdam, The Netherlands, 2022; pp. 199–217. Available online: https://linkinghub.elsevier.com/retrieve/pii/B9780128012383114540 (accessed on 11 October 2024).
- Panselinas, E.; Judson, M.A. Acute Pulmonary Exacerbations of Sarcoidosis. Chest 2012, 142, 827–836. [Google Scholar] [CrossRef]
- Baughman, R.P.; Lower, E.E. Frequency of acute worsening events in fibrotic pulmonary sarcoidosis patients. Respir. Med. 2013, 107, 2009–2013. [Google Scholar] [CrossRef]
- Gazengel, P.; Hindre, R.; Jeny, F.; Mendes, S.; Caliez, J.; Freynet, O.; Nunes, H. Sarcoidosis and Emergency Hospitalization. CHEST 2024, 167, 164–171. [Google Scholar] [CrossRef] [PubMed]
- Baughman, R.P.; Valeyre, D.; Korsten, P.; Mathioudakis, A.G.; Wuyts, W.A.; Wells, A.; Rottoli, P.; Nunes, H.; Lower, E.E.; Judson, M.A.; et al. ERS clinical practice guidelines on treatment of sarcoidosis. Eur. Respir. J. 2021, 58, 2004079. [Google Scholar] [PubMed]
- Rahaghi, F.F.; Baughman, R.P.; Saketkoo, L.A.; Sweiss, N.J.; Barney, J.B.; Birring, S.S.; Costabel, U.; Crouser, E.D.; Drent, M.; Gerke, A.K.; et al. Delphi consensus recommendations for a treatment algorithm in pulmonary sarcoidosis. Eur. Respir. Rev. 2020, 29, 190146. [Google Scholar] [PubMed]
- Bonham, C.A.; Strek, M.E.; Patterson, K.C. From granuloma to fibrosis: Sarcoidosis associated pulmonary fibrosis. Curr. Opin. Pulm. Med. 2016, 22, 484–491. [Google Scholar]
- Kim, J.S.; Gupta, R. Clinical Manifestations and Management of Fibrotic Pulmonary Sarcoidosis. J. Clin. Med. 2023, 13, 241. [Google Scholar]
- Paramothayan, N.S.; Lasserson, T.J.; Jones, P.W. Corticosteroids for pulmonary sarcoidosis. Cochrane Database Syst. Rev. 2005, 2005, CD001114. [Google Scholar] [CrossRef]
- Cremers, J.P.; Drent, M.; Bast, A.; Shigemitsu, H.; Baughman, R.P.; Valeyre, D.; Jansen, T.L. Multinational evidence-based World Association of Sarcoidosis and Other Granulomatous Disorders recommendations for the use of methotrexate in sarcoidosis: Integrating systematic literature research and expert opinion of sarcoidologists worldwide. Curr. Opin. Pulm. Med. 2013, 19, 545–561. [Google Scholar]
- Baughman, R.P.; Winget, D.B.; Lower, E.E. Methotrexate is steroid sparing in acute sarcoidosis: Results of a double blind, randomized trial. Sarcoidosis Vasc. Diffus. Lung Dis. 2000, 17, 60–66. [Google Scholar]
- Fang, C.; Zhang, Q.; Wang, N.; Jing, X.; Xu, Z. Effectiveness and tolerability of methotrexate in pulmonary sarcoidosis: A single center real-world study. Sarcoidosis Vasc. Diffus. Lung Dis. 2019, 36, 217–227. [Google Scholar]
- Lower, E.E.; Baughman, R.P. Prolonged use of methotrexate for sarcoidosis. Arch. Intern. Med. 1995, 155, 846–851. [Google Scholar] [CrossRef]
- Goljan-Geremek, A.; Bednarek, M.; Franczuk, M.; Puścińska, E.; Nowiński, A.; Czystowska, M.; Kamiński, D.; Korzybski, D.; Stokłosa, A.; Kowalska, A.; et al. Methotrexate as a Single Agent for Treating Pulmonary Sarcoidosis: A Single Centre Real-Life Prospective Study. Adv. Respir. Med. 2014, 82, 518–533. [Google Scholar] [CrossRef] [PubMed][Green Version]
- Vorselaars, A.D.M.; Wuyts, W.A.; Vorselaars, V.M.M.; Zanen, P.; Deneer, V.H.M.; Veltkamp, M.; Thomeer, M.; van Moorsel, C.H.M.; Grutters, J.C. Methotrexate vs Azathioprine in Second-line Therapy of Sarcoidosis. Chest 2013, 144, 805–812. [Google Scholar] [CrossRef] [PubMed]
- Sahoo, D.; Bandyopadhyay, D.; Xu, M.; Pearson, K.; Parambil, J.; Lazar, C.; Chapman, J.; Culver, D. Effectiveness and safety of leflunomide for pulmonary and extrapulmonary sarcoidosis. Eur. Respir. J. 2011, 38, 1145–1150. [Google Scholar] [CrossRef] [PubMed]
- Baughman, R.P.; Lower, E.E. Leflunomide for chronic sarcoidosis. Sarcoidosis Vasc. Diffus. Lung Dis. 2004, 21, 43–48. [Google Scholar]
- Hamzeh, N.; Voelker, A.; Forssén, A.; Gottschall, E.B.; Rose, C.; Mroz, P.; Maier, L.A. Efficacy of mycophenolate mofetil in sarcoidosis. Respir. Med. 2014, 108, 1663–1669. [Google Scholar] [CrossRef]
- Brill, A.K.; Ott, S.R.; Geiser, T. Effect and Safety of Mycophenolate Mofetil in Chronic Pulmonary Sarcoidosis: A Retrospective Study. Respiration 2013, 86, 376–383. [Google Scholar] [CrossRef]
- Ridker, P.M.; Everett, B.M.; Pradhan, A.; MacFadyen, J.G.; Solomon, D.H.; Zaharris, E.; Mam, V.; Hasan, A.; Rosenberg, Y.; Iturriaga, E.; et al. Low-Dose Methotrexate for the Prevention of Atherosclerotic Events. N. Engl. J. Med. 2019, 380, 752–762. [Google Scholar] [CrossRef]
- Vorselaars, A.D.M.; Crommelin, H.A.; Deneer, V.H.M.; Meek, B.; Claessen, A.M.E.; Keijsers, R.G.M.; Van Moorsel, C.H.M.; Grutters, J.C. Effectiveness of infliximab in refractory FDG PET-positive sarcoidosis. Eur. Respir. J. 2015, 46, 175–185. [Google Scholar] [CrossRef]
- Baughman, R.P.; Drent, M.; Kavuru, M.; Judson, M.A.; Costabel, U.; Du Bois, R.; Albera, C.; Brutsche, M.; Davis, G.; Donohue, J.F.; et al. Infliximab Therapy in Patients with Chronic Sarcoidosis and Pulmonary Involvement. Am. J. Respir. Crit. Care Med. 2006, 174, 795–802. [Google Scholar] [CrossRef]
- Sweiss, N.J.; Noth, I.; Mirsaeidi, M.; Zhang, W.; Naureckas, E.T.; Hogarth, D.K.; Strek, M.; Caligiuri, P.; Machado, R.F.; Niewold, T.B.; et al. Efficacy Results of a 52-week Trial of Adalimumab in the Treatment of Refractory Sarcoidosis. Sarcoidosis Vasc. Diffus. Lung Dis. 2014, 31, 46–54. [Google Scholar]
- Baughman, R.P.; Judson, M.A.; Culver, D.A.; Birring, S.S.; Parambil, J.; Zeigler, J.; Lower, E.E. Roflumilast (Daliresp®) to reduce acute pulmonary events in fibrotic sarcoidosis: A multi-center, double blind, placebo controlled, randomized clinical trial. Sarcoidosis Vasc. Diffus. Lung Dis. 2021, 38, e2021035. [Google Scholar]
- Richeldi, L.; Du Bois, R.M.; Raghu, G.; Azuma, A.; Brown, K.K.; Costabel, U.; Cottin, V.; Flaherty, K.R.; Hansell, D.M.; Inoue, Y.; et al. Efficacy and Safety of Nintedanib in Idiopathic Pulmonary Fibrosis. N. Engl. J. Med. 2014, 370, 2071–2082. [Google Scholar] [CrossRef] [PubMed]
- Noble, P.W.; Albera, C.; Bradford, W.Z.; Costabel, U.; Glassberg, M.K.; Kardatzke, D.; King, T.E., Jr.; Lancaster, L.; Sahn, S.A.; Szwarcberg, J.; et al. Pirfenidone in patients with idiopathic pulmonary fibrosis (CAPACITY): Two randomised trials. Lancet 2011, 377, 1760–1769. [Google Scholar] [CrossRef] [PubMed]
- Nathan, S.D.; Albera, C.; Bradford, W.Z.; Costabel, U.; Glaspole, I.; Glassberg, M.K.; Kardatzke, D.R.; Daigl, M.; Kirchgaessler, K.-U.; Lancaster, L.H.; et al. Effect of pirfenidone on mortality: Pooled analyses and meta-analyses of clinical trials in idiopathic pulmonary fibrosis. Lancet Respir. Med. 2017, 5, 33–41. [Google Scholar] [CrossRef]
- Oku, H.; Shimizu, T.; Kawabata, T.; Nagira, M.; Hikita, I.; Ueyama, A.; Matsushima, S.; Torii, M.; Arimura, A. Antifibrotic action of pirfenidone and prednisolone: Different effects on pulmonary cytokines and growth factors in bleomycin-induced murine pulmonary fibrosis. Eur. J. Pharmacol. 2008, 590, 400–408. [Google Scholar] [CrossRef] [PubMed]
- Schaefer, C.J.; Ruhrmund, D.W.; Pan, L.; Seiwert, S.D.; Kossen, K. Antifibrotic activities of pirfenidone in animal models. Eur. Respir. Rev. 2011, 20, 85–97. [Google Scholar] [CrossRef]
- Phillips, R.J.; Burdick, M.D.; Hong, K.; Lutz, M.A.; Murray, L.A.; Xue, Y.Y.; Belperio, J.A.; Keane, M.P.; Strieter, R.M. Circulating fibrocytes traffic to the lungs in response to CXCL12 and mediate fibrosis. J. Clin. Investig. 2004, 114, 438–446. [Google Scholar] [CrossRef]
- Aimo, A.; Spitaleri, G.; Nieri, D.; Tavanti, L.M.; Meschi, C.; Panichella, G.; Lupón, J.; Pistelli, F.; Carrozzi, L.; Bayes-Genis, A.; et al. Pirfenidone for Idiopathic Pulmonary Fibrosis and Beyond. Card. Fail. Rev. 2022, 8, e12. [Google Scholar] [CrossRef]
- Raghu, G.; Rochwerg, B.; Zhang, Y.; Cuello-Garcia, C.; Azuma, A.; Behr, J.; Brozek, J.L.; Collard, H.R.; Cunningham, W.; Homma, S.; et al. An Official ATS/ERS/JRS/ALAT Clinical Practice Guideline: Treatment of Idiopathic Pulmonary FibrosisAn Update of the 2011 Clinical Practice Guideline. Am. J. Respir. Crit. Care Med. 2015, 192, e3–e19. [Google Scholar] [CrossRef]
- Behr, J.; Prasse, A.; Kreuter, M.; Johow, J.; Rabe, K.F.; Bonella, F.; Bonnet, R.; Grohe, C.; Held, M.; Wilkens, H.; et al. Pirfenidone in patients with progressive fibrotic interstitial lung diseases other than idiopathic pulmonary fibrosis (RELIEF): A double-blind, randomised, placebo-controlled, phase 2b trial. Lancet Respir. Med. 2021, 9, 476–486. [Google Scholar] [CrossRef]
- Maher, T.M.; Corte, T.J.; Fischer, A.; Kreuter, M.; Lederer, D.J.; Molina-Molina, M.; Axmann, J.; Kirchgaessler, K.-U.; Samara, K.; Gilberg, F.; et al. Pirfenidone in patients with unclassifiable progressive fibrosing interstitial lung disease: A double-blind, randomised, placebo-controlled, phase 2 trial. Lancet Respir. Med. 2020, 8, 147–157. [Google Scholar] [PubMed]
- Wollin, L.; Distler, J.H.; Redente, E.F.; Riches, D.W.H.; Stowasser, S.; Schlenker-Herceg, R.; Maher, T.M.; Kolb, M. Potential of nintedanib in treatment of progressive fibrosing interstitial lung diseases. Eur. Respir. J. 2019, 54, 1900161. [Google Scholar]
- Bellamri, N.; Morzadec, C.; Joannes, A.; Lecureur, V.; Wollin, L.; Jouneau, S.; Vernhet, L. Alteration of human macrophage phenotypes by the anti-fibrotic drug nintedanib. Int. Immunopharmacol. 2019, 72, 112–123. [Google Scholar] [CrossRef] [PubMed]
- Sterniste, G.; Hackner, K.; Moazedi-Fürst, F.; Grasl, M.; Idzko, M.; Shao, G.; Guttmann-Ducke, C.; Talakić, E.; Prosch, H.; Lohfink-Schumm, S.; et al. Positionspapier der ÖGR und ÖGP zur Diagnose und Therapie der Sarkoidose 2024. Wien. Klin. Wochenschr. 2024, 136, 669–687. [Google Scholar] [CrossRef] [PubMed]
- Lingner, H.; Buhr-Schinner, H.; Hummel, S.; van der Meyden, J.; Grosshennig, A.; Nowik, D.; Schultz, K. Short-Term Effects of a Multimodal 3-Week Inpatient Pulmonary Rehabilitation Programme for Patients with Sarcoidosis: The ProKaSaRe Study. Respiration 2018, 95, 343–353. [Google Scholar] [CrossRef]
- Naz, I.; Ozalevli, S.; Ozkan, S.; Sahin, H. Efficacy of a Structured Exercise Program for Improving Functional Capacity and Quality of Life in Patients With Stage 3 and 4 Sarcoidosis: A Randomized Controlled Trial. J. Cardiopulm. Rehabil. Prev. 2018, 38, 124–130. [Google Scholar] [PubMed]
- Wallaert, B.; Kyheng, M.; Labreuche, J.; Stelianides, S.; Wemeau, L.; Grosbois, J.M. Long-term effects of pulmonary rehabilitation on daily life physical activity of patients with stage IV sarcoidosis: A randomized controlled trial. Respir. Med. Res. 2020, 77, 1–7. [Google Scholar]
- Syed, H.; Ascoli, C.; Linssen, C.F.M.; Vagts, C.; Iden, T.; Syed, A.; Kron, J.; Polly, K.; Perkins, D.; Finn, P.W.; et al. Infection prevention in sarcoidosis: Proposal for vaccination and prophylactic therapy. Sarcoidosis Vasc. Diffus. Lung Dis. 2020, 37, 87–98. [Google Scholar]
- Gangemi, A.J.; Myers, C.N.; Zheng, M.; Brown, J.; Butler-LeBair, M.; Cordova, F.; Marchetti, N.; Criner, G.J.; Gupta, R.; Mamary, A.J. Mortality for sarcoidosis patients on the transplant wait list in the Lung Allocation Score era: Experience from a high volume center. Respir. Med. 2019, 157, 69–76. [Google Scholar]
- Taimeh, Z.; Hertz, M.I.; Shumway, S.; Pritzker, M. Lung transplantation for pulmonary sarcoidosis. Twenty-Five Years Exp. USA Thorax 2016, 71, 378–379. [Google Scholar]
- Arcasoy, S.M.; Christie, J.D.; Pochettino, A.; Rosengard, B.R.; Blumenthal, N.P.; Bavaria, J.E.; Kotloff, R.M. Characteristics and Outcomes of Patients With Sarcoidosis Listed for Lung Transplantation. Chest 2001, 120, 873–880. [Google Scholar] [CrossRef] [PubMed]
- Egan, T.M.; Murray, S.; Bustami, R.T.; Shearon, T.H.; McCullough, K.P.; Edwards, L.B.; Coke, M.A.; Garrity, E.R.; Sweet, S.C.; Heiney, D.A.; et al. Development of the New Lung Allocation System in the United States. Am. J. Transplant. 2006, 6, 1212–1227. [Google Scholar] [CrossRef]
- Harada, K.; Hagiya, H.; Koyama, T.; Otsuka, F. Trends in sarcoidosis mortality rate in Japan from 2001 to 2020: A population-based study. Respir. Med. 2022, 196, 106828. [Google Scholar] [CrossRef]
- Kearney, G.D.; Obi, O.N.; Maddipati, V.; Mohan, A.; Malur, A.; Carter, J.C.; Thomassen, M.J. Sarcoidosis deaths in the United States: 1999–2016. Respir. Med. 2019, 149, 30–35. [Google Scholar] [CrossRef]
- Swigris, J.J.; Olson, A.L.; Huie, T.J.; Fernandez-Perez, E.R.; Solomon, J.; Sprunger, D.; Brown, K.K. Sarcoidosis-related Mortality in the United States from 1988 to 2007. Am. J. Respir. Crit. Care Med. 2011, 183, 1524–1530. [Google Scholar] [CrossRef] [PubMed]
- Gerke, A.K. Morbidity and mortality in sarcoidosis. Curr. Opin. Pulm. Med. 2014, 20, 472–478. [Google Scholar] [CrossRef] [PubMed]
- Perry, A.; Vuitch, F. Causes of death in patients with sarcoidosis. A morphologic study of 38 autopsies with clinicopathologic correlations. Arch. Pathol. Lab. Med. 1995, 119, 167–172. [Google Scholar] [PubMed]
- Sonaglioni, A.; Fagiani, V.; Rigoni, M.; Nicolosi, G.L.; Lucidi, A.; Caminati, A.; Lombardo, M.; Harari, S. Echocardiographic evaluation of left ventricular mechanics in sarcoidosis patients without overt heart disease: A systematic review and meta-analysis. Sarcoidosis Vasc. Diffus. Lung Dis. 2024, 41, e2024042. [Google Scholar]
- Wells, A.U.; Desai, S.R.; Rubens, M.B.; Goh, N.S.; Cramer, D.; Nicholson, A.G.; Hansell, D.M. Idiopathic Pulmonary Fibrosis: A Composite Physiologic Index Derived from Disease Extent Observed by Computed Tomography. Am. J. Respir. Crit. Care Med. 2003, 167, 962–969. [Google Scholar] [CrossRef]
- Jeny, F.; Uzunhan, Y.; Lacroix, M.; Gille, T.; Brillet, P.-Y.; Nardi, A.; Bouvry, D.; Planès, C.; Nunes, H.; Valeyre, D. Predictors of mortality in fibrosing pulmonary sarcoidosis. Respir. Med. 2020, 169, 105997. [Google Scholar] [CrossRef]










| Test | Expectation in Fibrotic Sarcoidosis | Comments |
|---|---|---|
| TLCO | Decreased | -the most common abnormality in patients with fPS; -if lower, increased risk of clinical worsening and death; -higher impairment requires PH searching. |
| Plethysmography | restriction/ | -the most common plethysmography defect in patients with fPS; -associated with a honeycomb pattern on HRCT; -increased mortality. |
| obturation/ | -caused by granuloma formation and inflammation in airways or airway distortions, bullous changes, and peribronchial or peribronchiolar fibrosis; -no association with mortality confirmed. | |
| mixed ventilatory defect | -the most common defect according to some authors; -associated with longer disease duration; -often in smokers. | |
| 6-MWT | shorter walk distance, greater desaturation, and higher heart rate | -desaturation found as a more valuable prognostic feature than distance; -greater degrees of desaturation correlate with PH; -DSP for consideration. |
| Clinical Trial | Drug | Mechanism of Action | |
|---|---|---|---|
| Xentria, phase 1b/2 study | XTMAB-16 | monoclonal antibody against TNF-α | |
| KITE, phase II clinical trial | OATD-01 | inhibitor of CHIT1 | |
| RESOLVE-Lung, phase II clinical trial | Namilumab | human monoclonal antibody against GM-CSF | |
| EFZO-FIT, phase III clinical trial | Efzofitimod | immunomodulator binding the neuropilin 2 receptor protein | |
| FIBRONEER-ILD, phase III clinical trial | Nerandomilast | preferential inhibitor of PDE4B | |
| Future directions: | |||
| Multidisciplinary team approach. Multicenter, international clinical trials of genetic background, biomarkers, and environmental factors influencing sarcoidosis. Applying novel technologies like NGS, WES, AI in integrating sarcoidosis phenotyping. Randomized clinical trial of anti-inflammatory and antifibrotic drugs in fPS patients. | |||
Disclaimer/Publisher’s Note: The statements, opinions and data contained in all publications are solely those of the individual author(s) and contributor(s) and not of MDPI and/or the editor(s). MDPI and/or the editor(s) disclaim responsibility for any injury to people or property resulting from any ideas, methods, instructions or products referred to in the content. |
© 2025 by the authors. Licensee MDPI, Basel, Switzerland. This article is an open access article distributed under the terms and conditions of the Creative Commons Attribution (CC BY) license (https://creativecommons.org/licenses/by/4.0/).
Share and Cite
Łyżwa, E.; Wakuliński, J.; Szturmowicz, M.; Tomkowski, W.; Sobiecka, M. Fibrotic Pulmonary Sarcoidosis—From Pathogenesis to Management. J. Clin. Med. 2025, 14, 2381. https://doi.org/10.3390/jcm14072381
Łyżwa E, Wakuliński J, Szturmowicz M, Tomkowski W, Sobiecka M. Fibrotic Pulmonary Sarcoidosis—From Pathogenesis to Management. Journal of Clinical Medicine. 2025; 14(7):2381. https://doi.org/10.3390/jcm14072381
Chicago/Turabian StyleŁyżwa, Ewa, Jacek Wakuliński, Monika Szturmowicz, Witold Tomkowski, and Małgorzata Sobiecka. 2025. "Fibrotic Pulmonary Sarcoidosis—From Pathogenesis to Management" Journal of Clinical Medicine 14, no. 7: 2381. https://doi.org/10.3390/jcm14072381
APA StyleŁyżwa, E., Wakuliński, J., Szturmowicz, M., Tomkowski, W., & Sobiecka, M. (2025). Fibrotic Pulmonary Sarcoidosis—From Pathogenesis to Management. Journal of Clinical Medicine, 14(7), 2381. https://doi.org/10.3390/jcm14072381

