Effect of Customized and Prefabricated Healing Abutments on Peri-Implant Soft Tissue and Bone in Immediate Implant Sites: A Randomized Controlled Trial
Abstract
1. Introduction
2. Materials and Methods
2.1. Study Design
2.2. Participants
- Patients ≥18 years of age.
- Patients with a failing tooth requiring single implant placement therapy in the maxillary or mandibular arch in the anterior and posterior regions except the third molar area.
- The failing tooth had adjacent and opposing natural teeth.
- Sufficient mesial, distal, and interocclusal space for the placement of the implant and definitive restoration.
- Had an intact socket wall before the extraction.
- Had a type 1 extraction socket according to Juodzbalys et al. [25].
- Had sufficient apical bone to place an immediate implant with a minimum primary stability of 30 Ncm.
- Individuals were diagnosed with periodontal disease.
- Medical and general contraindications for the surgical procedure.
- Heavy smokers (>10 cigarettes/day).
- An active infection at the implant site.
2.3. Interventions
- The prefabricated group (PG) received a prefabricated titanium healing abutment corresponding with the implant system and stabilized with single interrupted 6/0 polyamide sutures (SeralonTM, Serag-Wiessner, Nalia, Germany).
- The customized group (CG) received a PEEK customized healing abutment allowing socket closure without sutures. PEEK was chosen for its biocompatibility and ease in the CAD/CAM fabrication technique [26].
2.4. Clinical Observation and Data Acquisition
2.5. Outcome Variables
2.5.1. Demographic Data
2.5.2. Soft Tissue Analysis
- Horizontal tissue linear alterations (mm): mean buccal change (MBC) and mean total change (MTC).
- 2.
- Vertical linear tissue alterations (mm): mesial papillae height variation (mPHv), distal papillae height variation (dPHv), papillae height variation (PHv), and midfacial height variation (MFHv).
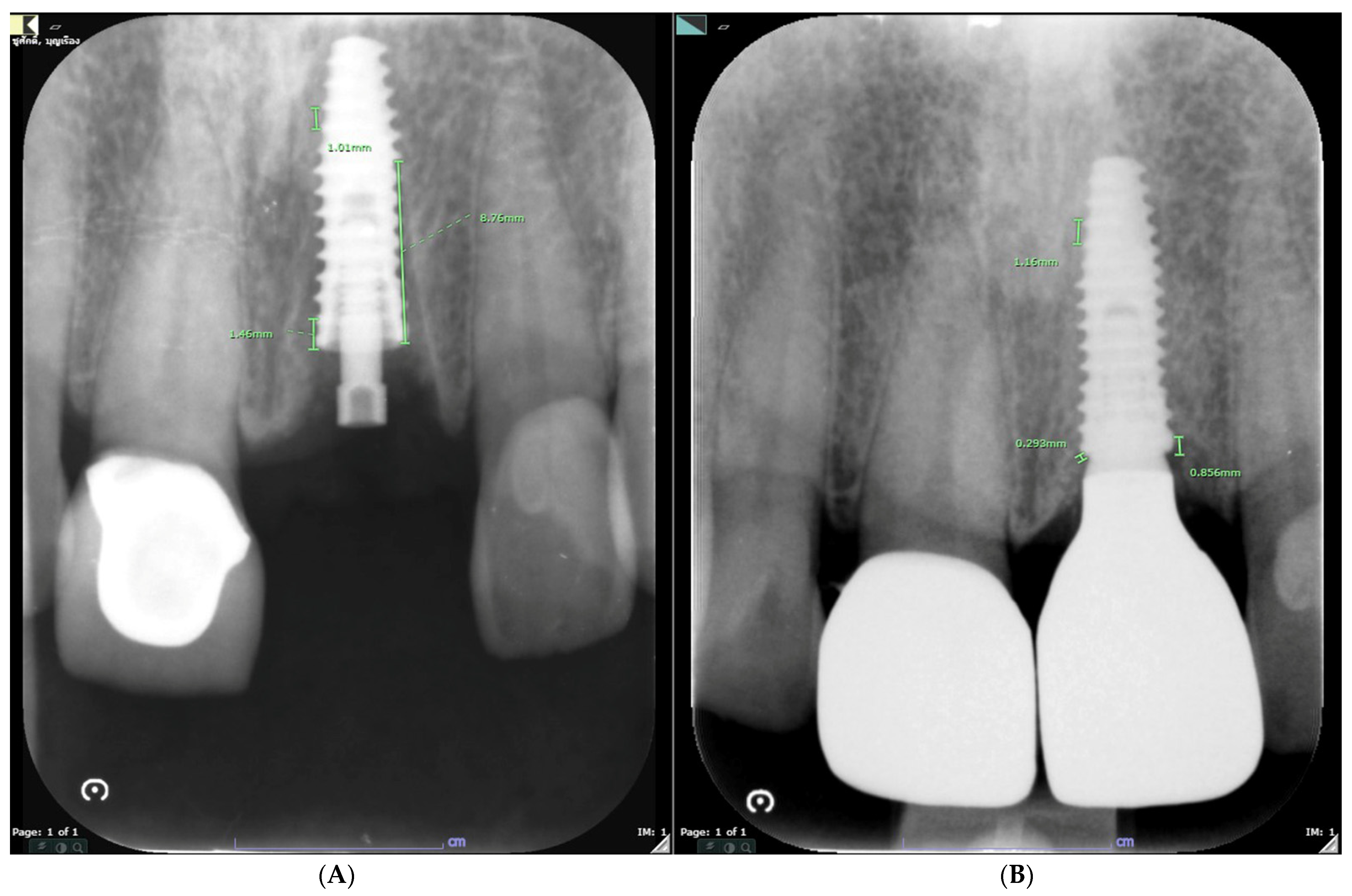
2.5.3. Hard Tissue Analysis
2.5.4. Volumetric Analysis
- Pink esthetic score (PES from 0 to 14) comprises seven factors: mesial papilla, distal papilla, curvature of the facial mucosa, level of the facial mucosa, root convexity, soft tissue color, and texture at the facial aspect of the implant site [29]. PES was measured at baseline (T0) and at the final restoration insertion appointment (T6). The PES change was determined using the following formula:
- 2.
- Pain numerical rating scale: After crown insertion, a questionnaire for the assessment of perceived pain was given to each patient. Each form contained the numerical rating scale (NRS), which consists of the personal evaluation of pain on a scale from 0 to 10 (0 is the minimum pain, and 10 is the maximum pain) [30]. The questionnaire was administered at three different study periods: at crown insertion (baseline) and after 2 and 24 h [22].
2.6. Statistical Analysis
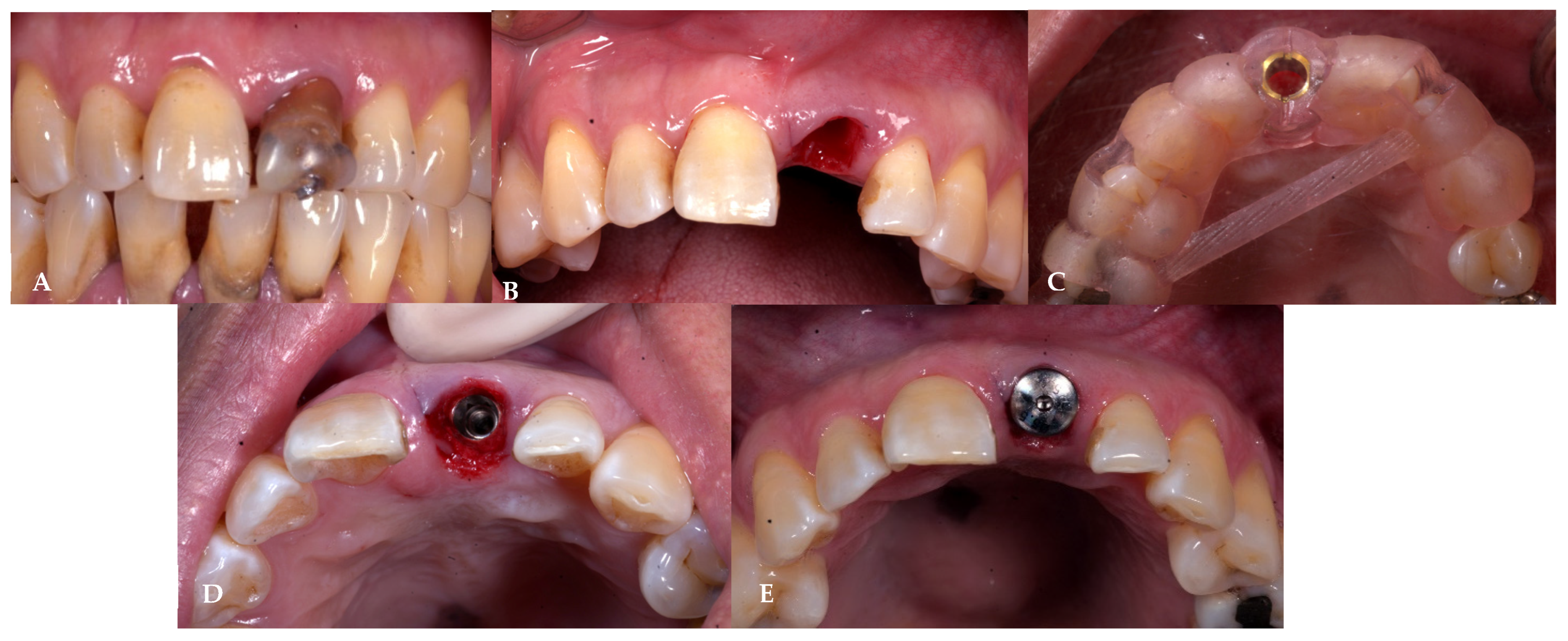
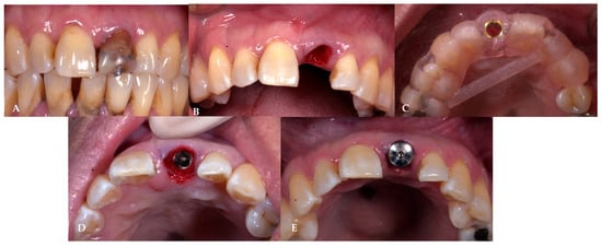
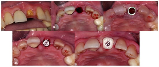
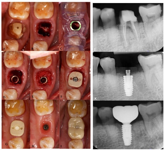
2.7. Case Presentation
3. Results
3.1. Soft Tissue Parameters
3.1.1. Horizontal Linear Tissue Alteration (mm): MBC and MTC
3.1.2. Vertical Linear Tissue Alterations (mm); mPHv, dPHv, PHv, and MFHv
3.2. Hard Tissue Parameters
Marginal Bone Change (mm); mBC and dBC
3.3. Volumetric Alterations
3.4. Esthetic and Patient Satisfaction
3.4.1. Pink Esthetic Score (PES)
3.4.2. Pain Numerical Rating Scaling (Pain NRS)
4. Discussion
- Dimensions: The customized healing abutment has the patient’s socket size dimensions and is designed based on the cross-section of the patient’s tooth at the CEJ level from the digital intraoral impression and CBCT data. Prefabricated healing abutments, however, are circular in shape and vary in size from 5.0 to 5.5 mm in the anterior and premolar regions. Healing abutments of 6.0–6.5 mm were placed in the molar areas.
- Macrogeometry: The customized healing abutment features a concave transmucosal design, whereas the prefabricated healing abutment has a straight transmucosal design.
- Emergence angle: The emergence angle is defined as the angle between the average tangent of the transitional contour relative to the long axis of a tooth. Katafuchi et al. [27] recommended not exceeding a 30° emergence angle value to maintain soft tissue health in the transition zone. The dimensions of the customized healing abutments were larger than those of the prefabricated healing abutments. Therefore, the emergence angles of the customized healing abutments were wider, ranging from 20 to 30 degrees, while the prefabricated healing abutments have an angle of 11–15 degrees according to the manufacturers.
5. Conclusions
Author Contributions
Funding
Institutional Review Board Statement
Informed Consent Statement
Data Availability Statement
Acknowledgments
Conflicts of Interest
References
- Janakievski, J. Case report: Maintenance of gingival form following immediate implant placement—The custom-healing abutment. Adv. Esthet. Interdiscip. Dent. 2007, 3, 24–28. [Google Scholar]
- Chu, S.J.; Salama, M.A.; Salama, H.; Garber, D.A.; Saito, H.; Sarnachiaro, G.O.; Tarnow, D.P. The dual-zone therapeutic concept of managing immediate implant placement and provisional restoration in anterior extraction sockets. Compend. Contin. Educ. Dent. 2012, 33, 524–532, 534. [Google Scholar]
- Chu, S.J.; Salama, M.A.; Garber, D.A.; Salama, H.; Sarnachiaro, G.O.; Sarnachiaro, E.; Gotta, S.L.; Reynolds, M.A.; Saito, H.; Tarnow, D.P. Flapless Postextraction Socket Implant Placement, Part 2: The Effects of Bone Grafting and Provisional Restoration on Peri-implant Soft Tissue Height and Thickness—A Retrospective Study. Int. J. Periodontics Restor. Dent. 2015, 35, 803–809. [Google Scholar] [CrossRef]
- López-López, P.J.; Mareque-Bueno, J.; Boquete-Castro, A.; Aguilar-Salvatierra Raya, A.; Martínez-González, J.M.; Calvo-Guirado, J.L. The effects of healing abutments of different size and anatomic shape placed immediately in extraction sockets on peri-implant hard and soft tissues. A pilot study in foxhound dogs. Clin. Oral Implants Res. 2016, 27, 90–96. [Google Scholar] [CrossRef]
- Becker, W.; Doerr, J.; Becker, B.E. A novel method for creating an optimal emergence profile adjacent to dental implants. J. Esthet. Restor. Dent. 2012, 24, 395–400. [Google Scholar] [CrossRef] [PubMed]
- Bhatnagar, A.; Raj, A. Preservation of optimal gingival architecture through customised healing abutment in immediate implant placement: A clinical report. Int. J. Adv. Res. 2015, 3, 156–160. [Google Scholar]
- Hu, C.; Gong, T.; Lin, W.; Yuan, Q.; Man, Y. Immediate implant placement into posterior sockets with or without buccal bone dehiscence defects: A retrospective cohort study. J. Dent. 2017, 65, 95–100. [Google Scholar] [CrossRef] [PubMed]
- Pow, E.H.; McMillan, A.S. A modified implant healing abutment to optimize soft tissue contours: A case report. Implant Dent. 2004, 13, 297–300. [Google Scholar] [CrossRef] [PubMed]
- Stumpel, L.J.; Wadhwani, C. Development and capture of soft tissue contours at time of implant placement. J. Prosthet. Dent. 2017, 117, 709–713. [Google Scholar] [CrossRef] [PubMed]
- Akin, R. A New Concept in Maintaining the Emergence Profile in Immediate Posterior Implant Placement: The Anatomic Harmony Abutment. J. Oral Maxillofac. Surg. 2016, 74, 2385–2392. [Google Scholar] [CrossRef] [PubMed]
- Chu, S.J.; Hochman, M.N.; Tan-Chu, J.H.; Mieleszko, A.J.; Tarnow, D.P. A novel prosthetic device and method for guided tissue preservation of immediate postextraction socket implants. Int. J. Periodontics Restor. Dent. 2014, 34 (Suppl. S3), s9–s17. [Google Scholar] [CrossRef]
- Wittneben, J.G.; Buser, D.; Belser, U.C.; Brägger, U. Peri-implant soft tissue conditioning with provisional restorations in the esthetic zone: The dynamic compression technique. Int. J. Periodontics Restor. Dent. 2013, 33, 447–455. [Google Scholar] [CrossRef] [PubMed]
- Oh, K.C.; Kim, J.H.; Woo, C.W.; Moon, H.S. Accuracy of Customized Prefabricated Screw-Type Immediate Provisional Restorations after Single-Implant Placement. J. Clin. Med. 2019, 8, 490. [Google Scholar] [CrossRef] [PubMed]
- Finelle, G.; Sanz-Martín, I.; Knafo, B.; Figué, M.; Popelut, A. Digitalized CAD/CAM protocol for the fabrication of customized sealing socket healing abutments in immediate implants in molar sites. Int. J. Comput. Dent. 2019, 22, 187–204. [Google Scholar] [PubMed]
- Menchini-Fabris, G.-B.; Crespi, R.; Toti, P.; Crespi, G.; Rubino, L.; Covani, U. A 3-year retrospective study of fresh socket implants: CAD/CAM customized healing abutment vs cover screws. Int. J. Comput. Dent. 2020, 23, 109–117. [Google Scholar]
- Teślak, M.; Ziemlewski, A.; Foltyn, I.; Ordyniec-Kwaśnica, I.; Drogoszewska, B. Development of Custom Anatomic Healing Abutment Based on Cone-Beam Computer Tomography Measurement on Human Teeth Cross-Section. Materials 2021, 14, 4570. [Google Scholar] [CrossRef]
- Joda, T.; Ferrari, M.; Braegger, U. A digital approach for one-step formation of the supra-implant emergence profile with an individualized CAD/CAM healing abutment. J. Prosthodont. Res. 2016, 60, 220–223. [Google Scholar] [CrossRef]
- Bezerra, F.; Araujo, F.; Oliveira, G.; Ghiraldini, B. Clinical application of the customizable PEEK healing abutment. A case report. J. Multidiscip. Dent. 2020, 10, 93–96. [Google Scholar] [CrossRef]
- Finelle, G.; Popelut, A.; Knafo, B.; Martín, I.S. Sealing Socket Abutments (SSAs) in Molar Immediate Implants with a Digitalized CAD/CAM Protocol: Soft Tissue Contour Changes and Radiographic Outcomes after 2 Years. Int. J. Periodontics Restor. Dent. 2021, 41, 235–244. [Google Scholar] [CrossRef]
- Proussaefs, P. Custom CAD-CAM healing abutment and impression coping milled from a poly(methyl methacrylate) block and bonded to a titanium insert. J. Prosthet. Dent. 2016, 116, 657–662. [Google Scholar] [CrossRef]
- Perez, A.; Caiazzo, A.; Valente, N.A.; Toti, P.; Alfonsi, F.; Barone, A. Standard vs customized healing abutments with simultaneous bone grafting for tissue changes around immediate implants. 1-year outcomes from a randomized clinical trial. Clin. Implant. Dent. Relat. Res. 2020, 22, 42–53. [Google Scholar] [CrossRef]
- Beretta, M.; Poli, P.P.; Pieriboni, S.; Tansella, S.; Manfredini, M.; Cicciù, M.; Maiorana, C. Peri-Implant Soft Tissue Conditioning by Means of Customized Healing Abutment: A Randomized Controlled Clinical Trial. Materials 2019, 12, 3041. [Google Scholar] [CrossRef]
- World Medical Association. Revising the Declaration of Helsinki. Bull. Med. Ethics 2000, 158, 9–11. [Google Scholar]
- Fernandes, D.; Nunes, S.; López-Castro, G.; Marques, T.; Montero, J.; Borges, T. Effect of customized healing abutments on the peri-implant linear and volumetric tissue changes at maxillary immediate implant sites: A 1-year prospective randomized clinical trial. Clin. Implant Dent. Relat. Res. 2021, 23, 745–757. [Google Scholar] [CrossRef]
- Juodzbalys, G.; Sakavicius, D.; Wang, H.L. Classification of extraction sockets based upon soft and hard tissue components. J. Periodontol. 2008, 79, 413–424. [Google Scholar] [CrossRef]
- Menchini-Fabris, G.-B.; Cosola, S.; Toti, P.; Hwan Hwang, M.; Crespi, R.; Covani, U. Immediate Implant and Customized Healing Abutment for a Periodontally Compromised Socket: 1-Year Follow-Up Retrospective Evaluation. J. Clin. Med. 2023, 12, 2783. [Google Scholar] [CrossRef]
- Katafuchi, M.; Weinstein, B.F.; Leroux, B.G.; Chen, Y.W.; Daubert, D.M. Restoration contour is a risk indicator for peri-implantitis: A cross-sectional radiographic analysis. J. Clin. Periodontol. 2018, 45, 225–232. [Google Scholar] [CrossRef] [PubMed]
- Li, J.; Chen, Z.; Wang, M.; Wang, H.L.; Yu, H. Dynamic changes of peri-implant soft tissue after interim restoration removal during a digital intraoral scan. J. Prosthet. Dent. 2019, 122, 288–294. [Google Scholar] [CrossRef] [PubMed]
- Fürhauser, R.; Florescu, D.; Benesch, T.; Haas, R.; Mailath, G.; Watzek, G. Evaluation of soft tissue around single-tooth implant crowns: The pink esthetic score. Clin. Oral Implant Res. 2005, 16, 639–644. [Google Scholar] [CrossRef] [PubMed]
- Williamson, A.; Hoggart, B. Pain: A review of three commonly used pain rating scales. J. Clin. Nurs. 2005, 14, 798–804. [Google Scholar] [CrossRef] [PubMed]
- Berglundh, T.; Abrahamsson, I.; Welander, M.; Lang, N.P.; Lindhe, J. Morphogenesis of the peri-implant mucosa: An experimental study in dogs. Clin. Oral Implant Res. 2007, 18, 1–8. [Google Scholar] [CrossRef]
- Esposito, M.; Hirsch, J.M.; Lekholm, U.; Thomsen, P. Biological factors contributing to failures of osseointegrated oral implants. (II). Etiopathogenesis. Eur. J. Oral Sci. 1998, 106, 721–764. [Google Scholar] [CrossRef]
- Pumnil, S.; Rungsiyakull, P.; Rungsiyakull, C.; Elsaka, S. Effect of Different Customized Abutment Types on Stress Distribution in Implant-Supported Single Crown: A 3D Finite Element Analysis. J. Prosthodont. 2022, 31, e2–e11. [Google Scholar] [CrossRef] [PubMed]
- González-Martín, O.; Lee, E.; Weisgold, A.; Veltri, M.; Su, H. Contour Management of Implant Restorations for Optimal Emergence Profiles: Guidelines for Immediate and Delayed Provisional Restorations. Int. J. Periodontics Restor. Dent. 2020, 40, 61–70. [Google Scholar] [CrossRef] [PubMed]
- Schoenbaum, T.R. Abutment Emergence Profile and Its Effect on Peri-Implant Tissues. Compend. Contin. Educ. Dent. 2015, 36, 474–479. [Google Scholar]
- Huh, J.B.; Rheu, G.B.; Kim, Y.S.; Jeong, C.M.; Lee, J.Y.; Shin, S.W. Influence of Implant transmucosal design on early peri-implant tissue responses in beagle dogs. Clin. Oral Implants Res. 2014, 25, 962–968. [Google Scholar] [CrossRef] [PubMed]
- Yi, Y.; Koo, K.T.; Schwarz, F.; Ben Amara, H.; Heo, S.J. Association of prosthetic features and peri-implantitis: A cross-sectional study. J. Clin. Periodontol. 2020, 47, 392–403. [Google Scholar] [CrossRef] [PubMed]
- Poovarodom, P.; Rungsiyakull, C.; Suriyawanakul, J.; Li, Q.; Sasaki, K.; Yoda, N.; Rungsiyakull, P. Effect of gingival height of a titanium base on the biomechanical behavior of 2-piece custom implant abutments: A 3-dimensional nonlinear finite element study. J. Prosthet. Dent. 2023, 130, 380.e1–380.e9. [Google Scholar] [CrossRef] [PubMed]
- Dib-Zaitum, I.; Guadilla-González, Y.; Flores-Fraile, J.; Dib-Zakkour, J.; Benito-Garzón, L.; Montero, J. Effect Morphology and Surface Treatment of the Abutments of Dental Implants on the Dimension and Health of Peri-Implant Biological Space. Materials 2022, 15, 4422. [Google Scholar] [CrossRef]
- Souza, A.B.; Alshihri, A.; Kämmerer, P.W.; Araújo, M.G.; Gallucci, G.O. Histological and micro-CT analysis of peri-implant soft and hard tissue healing on implants with different healing abutments configurations. Clin. Oral Implants Res. 2018, 29, 1007–1015. [Google Scholar] [CrossRef]
- Valente, N.A.; Wu, M.; Toti, P.; Derchi, G.; Barone, A. Impact of Concave/Convergent vs Parallel/ Divergent Implant Transmucosal Profiles on Hard and Soft Peri-implant Tissues: A Systematic Review with Meta-Analyses. Int. J. Prosthodont. 2020, 33, 553–564. [Google Scholar] [CrossRef]
- Gamal, N.; Shemais, N.; Al-Nawawy, M.; Ghallab, N.A. Post-extraction volumetric analysis of alveolar ridge contour using subepithelial connective tissue graft in esthetic zone: A randomized controlled clinical trial. Clin. Oral Investig. 2023, 27, 6503–6512. [Google Scholar] [CrossRef]
- Schropp, L.; Wenzel, A.; Kostopoulos, L.; Karring, T. Bone healing and soft tissue contour changes following single-tooth extraction: A clinical and radiographic 12-month prospective study. Int. J. Periodontics Restor. Dent. 2003, 23, 313–323. [Google Scholar]
- Tan, W.L.; Wong, T.L.; Wong, M.C.; Lang, N.P. A systematic review of post-extractional alveolar hard and soft tissue dimensional changes in humans. Clin. Oral Implants Res. 2012, 23 (Suppl. S5), 1–21. [Google Scholar] [CrossRef]
- Slagter, K.W.; den Hartog, L.; Bakker, N.A.; Vissink, A.; Meijer, H.J.; Raghoebar, G.M. Immediate placement of dental implants in the esthetic zone: A systematic review and pooled analysis. J. Periodontol. 2014, 85, e241–e250. [Google Scholar] [CrossRef]
- Khzam, N.; Arora, H.; Kim, P.; Fisher, A.; Mattheos, N.; Ivanovski, S. Systematic Review of Soft Tissue Alterations and Esthetic Outcomes Following Immediate Implant Placement and Restoration of Single Implants in the Anterior Maxilla. J. Periodontol. 2015, 86, 1321–1330. [Google Scholar] [CrossRef]
- Linkevicius, T.; Apse, P.; Grybauskas, S.; Puisys, A. The influence of soft tissue thickness on crestal bone changes around implants: A 1-year prospective controlled clinical trial. Int. J. Oral Maxillofac. Implants 2009, 24, 712–719. [Google Scholar] [PubMed]
- Linkevicius, T.; Puisys, A.; Steigmann, M.; Vindasiute, E.; Linkeviciene, L. Influence of Vertical Soft Tissue Thickness on Crestal Bone Changes Around Implants with Platform Switching: A Comparative Clinical Study. Clin. Implant Dent. Relat. Res. 2015, 17, 1228–1236. [Google Scholar] [CrossRef] [PubMed]
- de Siqueira, R.A.C.; Savaget Gonçalves Junior, R.; Dos Santos, P.G.F.; de Mattias Sartori, I.A.; Wang, H.L.; Fontão, F. Effect of different implant placement depths on crestal bone levels and soft tissue behavior: A 5-year randomized clinical trial. Clin. Oral Implants Res. 2020, 31, 282–293. [Google Scholar] [CrossRef] [PubMed]
- Javaid, M.A.; Khurshid, Z.; Zafar, M.S.; Najeeb, S. Immediate Implants: Clinical Guidelines for Esthetic Outcomes. Dent. J. 2016, 4, 21. [Google Scholar] [CrossRef] [PubMed]
- Sanz, M.; Lindhe, J.; Alcaraz, J.; Sanz-Sanchez, I.; Cecchinato, D. The effect of placing a bone replacement graft in the gap at immediately placed implants: A randomized clinical trial. Clin. Oral Implants Res. 2017, 28, 902–910. [Google Scholar] [CrossRef]
- Cardaropoli, D.; Gaveglio, L.; Gherlone, E.; Cardaropoli, G. Soft tissue contour changes at immediate implants: A randomized controlled clinical study. Int. J. Periodontics Restor. Dent. 2014, 34, 631–637. [Google Scholar] [CrossRef]
- Wu, X.Y.; Shi, J.Y.; Yan, Q. Midfacial Soft Tissue Recession Following Immediate Implant Placement with Bone Grafting in the Esthetic Area: A Systematic Review and Meta-analysis. Int. J. Oral Maxillofac. Implants 2023, 38, 239–250. [Google Scholar] [CrossRef] [PubMed]
- Linkevicius, T.; Apse, P.; Grybauskas, S.; Puisys, A. Reaction of crestal bone around implants depending on mucosal tissue thickness. A 1-year prospective clinical study. Stomatologija 2009, 11, 83–91. [Google Scholar] [PubMed]
- Poovarodom, P.; Rungsiyakull, C.; Suriyawanakul, J.; Li, Q.; Sasaki, K.; Yoda, N.; Rungsiyakull, P. Effect of implant placement depth on bone remodeling on implant-supported single zirconia abutment crown: A 3D finite element study. J. Prosthodont. Res. 2022, 67, 278. [Google Scholar] [CrossRef] [PubMed]
- Belser, U.; Martin, W.; Jung, R. ITI Treatment Guide: Vol. 1, Implant Therapy in the Esthetic Zone; Quintessence Publishing: New Malden, UK, 2006. [Google Scholar]
- Su, C.-Y.; Fu, J.-H.; Wang, H.-L. The Role of Implant Position on Long-Term Success. Clin. Adv. Periodontics 2014, 4, 187–193. [Google Scholar] [CrossRef]
- Zhang, Z.; Meng, H.X.; Han, J.; Zhang, L.; Shi, D. Effect of vertical soft tissue thickness on clinical manifestation of peri-implant tissue in patients with periodontitis. Beijing Da Xue Xue Bao Yi Xue Ban 2020, 52, 332–338. [Google Scholar] [CrossRef] [PubMed]
- Yeung, S.C. Biological basis for soft tissue management in implant dentistry. Aust. Dent. J. 2008, 53 (Suppl. S1), S39–S42. [Google Scholar] [CrossRef]
- Poovarodom, P.; Rungsiyakull, C.; Suriyawanakul, J.; Li, Q.; Sasaki, K.; Yoda, N.; Rungsiyakull, P. Effect of customized abutment taper configuration on bone remodeling and peri-implant tissue around implant-supported single crown: A 3D nonlinear finite element study. J. Prosthodont. 2023. [Google Scholar] [CrossRef]
- Chokaree, P.; Poovarodom, P.; Chaijareenont, P.; Yavirach, A.; Rungsiyakull, P. Biomaterials and Clinical Applications of Customized Healing Abutment—A Narrative Review. J. Funct. Biomater. 2022, 13, 291. [Google Scholar] [CrossRef]









| Demographic Data | Anterior and Premolar | Molar | ||
|---|---|---|---|---|
| Customized Group | Prefabricated Group | p-Value | ||
| Patient (n) | 6 | 6 | 10 | |
| Implant location (maxilla/mandible) | (4/2) | (4/2) | (3/7) | |
| Implant site (incisive/premolar) | 4/2 | 4/2 | ||
| Age (years) | 58 ± 6.85 | 60 ± 2.83 | 0.539 | 57 ± 3.46 |
| Sex (%male/%female) | 3/3 60%/40% | (4/2) 80%/20% | 0.444 | 6/4 |
| Variables | Prefabricated Group | Customized Group | ||||||||||
|---|---|---|---|---|---|---|---|---|---|---|---|---|
| Anterior and Premolar | p-Value (Pre-Post) | Anterior and Premolar | p-Value (between Group) | p-Value (Pre-Post) | Molar | p-Value (Pre-Post) | ||||||
| SD | SD | SD | ||||||||||
| Soft tissue | Horizontal | MBCT0–T1 | −0.442 | 0.537 | 0.139 | −0.0754 | 0.509 | 0.332 | 0.786 | −0.668 | 0.816 | 0.101 |
| MBCT0–T4 | −0.490 | 0.587 | 0.135 | −0.5388 | 0.340 | 0.867 | 0.012 * | −0.791 | 0.686 | 0.005 * | ||
| MBCT0–T6 | −0.453 | 0.578 | 0.154 | −0.3507 | 0.439 | 0.745 | 0.108 | −0.883 | 0.701 | 0.005 * | ||
| MTCT0–T1 | −0.491 | 0.280 | 0.017 * | −0.0889 | 0.405 | 0.121 | 0.690 | −0.715 | 0.653 | 0.044 * | ||
| MTCT0–T4 | −0.613 | 0.406 | 0.028 * | −0.6817 | 0.576 | 0.828 | 0.034 * | −0.769 | 0.526 | 0.001 * | ||
| MTCT0–T6 | −0.607 | 0.421 | 0.032 * | −0.3557 | 0.227 | 0.237 | 0.012 * | −0.755 | 0.572 | 0.004 * | ||
| Vertical | mPHv | −1.126 | 0.5129 | 0.008 * | −0.8517 | 0.647 | 0.463 | 0.023 * | −0.343 | 0.516 | 0.081 | |
| dPHv | −1.232 | 0.8285 | 0.029 * | −0.6000 | 0.750 | 0.217 | 0.107 | −0.032 | 0.869 | 0.914 | ||
| PHv | −1.179 | 0.5238 | 0.007 * | −0.7258 | 0.540 | 0.194 | 0.022 * | −0.188 | 0.547 | 0.333 | ||
| MFHv | 0.048 | 0.6411 | 0.875 | −0.6083 | 0.857 | 0.192 | 0.143 | −0.561 | 0.960 | 0.118 | ||
| Volume | BVvT0–T1 | −28.465 | 3.8417 | 0.000 * | −10.8490 | 13.710 | 0.027 * | 0.212 | −34.109 | 11.510 | 0.010 * | |
| BVvT0–T4 | −44.609 | 13.244 | 0.020 * | −19.787 | 16.175 | 0.023 * | 0.030 * | −33.947 | 20.082 | 0.001 * | ||
| BVvT0–T6 | −26.631 | 20.788 | 0.046 * | −13.618 | 16.256 | 0.273 | 0.095 | −29.644 | 13.875 | 0.000 * | ||
| TVvT0–T1 | −20.757 | 6.625 | 0.002 * | −12.005 | 7.179 | 0.099 | 0.044 * | −26.351 | 13.134 | 0.011 * | ||
| TVvT0–T4 | −41.206 | 18.468 | 0.008 * | −15.339 | 12.317 | 0.021 * | 0.028 * | −33.339 | 17.142 | 0.000 * | ||
| TVvT0–T6 | −22.984 | 18.059 | 0.047 * | −11.217 | 7.498 | 0.177 | 0.015 * | −29.982 | 13.207 | 0.000 * | ||
| Hard tissue | Marginal bone change | mBC | 0.428 | 0.867 | 0.332 | 0.283 | 0.465 | 0.751 | 0.244 | 0.118 | 0.240 | 0.135 |
| dBC | 0.158 | 0.353 | 0.374 | 0.359 | 1.274 | 0.544 | 0.471 | 0.098 | 0.482 | 0.514 | ||
| PES | change | −2.750 | 0.957 | - | −0.333 | 1.506 | 0.022 * | - | 0.833 | 1.169 | - | |
| Pain | 0 | 3.400 | 1.140 | - | 0.600 | 0.894 | 0.003 * | - | 0.200 | 0.422 | - | |
| 2 h | 1.000 | 0.707 | - | 0.000 | 0.000 | 0.013 * | - | 0.000 | 0.000 | - | ||
| 24 h | 0.000 | 0.000 | - | 0.000 | 0.000 | 0.500 | - | 0.000 | 0.000 | - | ||
| Significant Difference Parameters | Prefabricated Group | Customized Group | p-Value | Similar Studies |
|---|---|---|---|---|
| BVvT0–T1 | −28.47% | −10.85% | 0.027 | Collagen matrix group = −9.75% Customized group = −4.76% (p = 0.043) [24] |
| BVvT0–T4 | −44.61% | −19.79% | 0.023 | Collagen matrix group = −8.98% Customized group = −6.39% (p = 0.336) [24] |
| TVvT0–T4 | −41.21% | −15.34% | 0.021 | Collagen matrix group = −7.65% Customized group = −6.63% (p = 0.597) [24] |
| PES change | −2.75 | −0.333 | 0.022 | Prefabricated group = −0.6 Customized group = 0 (p value not indicated) [21] |
| Pain at 0 h | 3.40 | 0.60 | 0.003 | Prefabricated group = 5.5 Customized group = 0.5 (p = 0.0001) [22] |
| at 2 h | 1.00 | 0 | 0.013 | Prefabricated group = 2.7 Customized group = 0 (p = 0.0002) [22] |
Disclaimer/Publisher’s Note: The statements, opinions and data contained in all publications are solely those of the individual author(s) and contributor(s) and not of MDPI and/or the editor(s). MDPI and/or the editor(s) disclaim responsibility for any injury to people or property resulting from any ideas, methods, instructions or products referred to in the content. |
© 2024 by the authors. Licensee MDPI, Basel, Switzerland. This article is an open access article distributed under the terms and conditions of the Creative Commons Attribution (CC BY) license (https://creativecommons.org/licenses/by/4.0/).
Share and Cite
Chokaree, P.; Poovarodom, P.; Chaijareenont, P.; Rungsiyakull, P. Effect of Customized and Prefabricated Healing Abutments on Peri-Implant Soft Tissue and Bone in Immediate Implant Sites: A Randomized Controlled Trial. J. Clin. Med. 2024, 13, 886. https://doi.org/10.3390/jcm13030886
Chokaree P, Poovarodom P, Chaijareenont P, Rungsiyakull P. Effect of Customized and Prefabricated Healing Abutments on Peri-Implant Soft Tissue and Bone in Immediate Implant Sites: A Randomized Controlled Trial. Journal of Clinical Medicine. 2024; 13(3):886. https://doi.org/10.3390/jcm13030886
Chicago/Turabian StyleChokaree, Parima, Pongsakorn Poovarodom, Pisaisit Chaijareenont, and Pimduen Rungsiyakull. 2024. "Effect of Customized and Prefabricated Healing Abutments on Peri-Implant Soft Tissue and Bone in Immediate Implant Sites: A Randomized Controlled Trial" Journal of Clinical Medicine 13, no. 3: 886. https://doi.org/10.3390/jcm13030886
APA StyleChokaree, P., Poovarodom, P., Chaijareenont, P., & Rungsiyakull, P. (2024). Effect of Customized and Prefabricated Healing Abutments on Peri-Implant Soft Tissue and Bone in Immediate Implant Sites: A Randomized Controlled Trial. Journal of Clinical Medicine, 13(3), 886. https://doi.org/10.3390/jcm13030886

