Prenatal Echo-Sonographic Parameters in Fetuses Wrapped with the Umbilical Cord in the Third Trimester of Pregnancy
Abstract
1. Introduction
2. Materials and Methods
3. Results
4. Discussion
5. Conclusions
Author Contributions
Funding
Institutional Review Board Statement
Informed Consent Statement
Data Availability Statement
Conflicts of Interest
Abbreviations
| PSV UMB | peak systolic velocity of umbilical artery |
| OR | odds ratio |
| NICU | neonatal intensive care unit |
| IVCT | isovolumetric contraction time |
| IVRT | isovolumetric relaxation time |
| ET | ejection time |
| UMB PI | umbilical artery pulsatility index |
| AFI | amniotic fluid index |
| EFW | estimated fetal weight |
| LGA | larger for gestational age |
| SGA | smaller for gestational age |
| AGA | appropriate for gestational age |
| RDS | neonatal respiratory distress syndrome |
| ROC | receiver operating characteristic curve |
| LV Tei | Tei index for the left ventricle |
| RV Tei | Tei index for the right ventricle |
| AUC | area under curve |
| EDV | end-diastolic velocity |
| PI | pulsatility index |
| RI | resistance index |
| CTAR | cardiothoracic area ratio |
| FHR | fetal heart rate |
References
- Hernandez-Andrade, E.; López-Tenorio, J.; Figueroa-Diesel, H.; Sanin-Blair, J.; Carreras, E.; Cabero, L.; Gratacos, E. A modified myocardial performance (Tei) index based on the use of valve clicks improves reproducibility of fetal left cardiac function assessment. Ultrasound Obstet. Gynecol. 2005, 26, 227–232. [Google Scholar] [CrossRef] [PubMed]
- Murlewska, J.; Słodki, M.; Axt-Fliender, R.; Rizzo, G.; Sklansky, M.; Weiner, S.; Blickstein, I.; Respondek-Liberska, M. Recommendations for Prenatal Echocardiography: A Report from International Prenatal Cardiology Collaboration Group. Prenat. Cardiol. 2017, 7, 58–64. [Google Scholar] [CrossRef][Green Version]
- Peesay, M. Nuchal cord and its implications. Matern. Health Neonatol. Perinatol. 2017, 3, 28. [Google Scholar] [CrossRef] [PubMed]
- Peesay, M. Cord around neck syndrome. BMC Pregnancy Childbirth 2012, 12 (Suppl. S1), A6. [Google Scholar] [CrossRef]
- Ghawi, H.; Gendi, S.; Mallula, K.; Zghouzi, M.; Faza, N.; Awad, S. Fetal Left and Right Ventricle Myocardial Performance Index: Defining Normal Values for the Second and Third Trimesters—Single Tertiary Center Experience. Pediatr. Cardiol. 2013, 34, 1808–1815. [Google Scholar] [CrossRef]
- Hadlock, F.P.; Harrist, R.B.; Sharman, R.S.; Deter, R.L.; Park, S.K. Estimation of fetal weight with the use of head, body, and femur measurements—A prospective study. Am. J. Obstet. Gynecol. 1985, 151, 333–337. [Google Scholar] [CrossRef]
- Friedman, D.; Buyon, J.; Kim, M.; Glickstein, J.S. Fetal cardiac function assessed by Doppler myocardial performance index (Tei Index). Ultrasound Obstet. Gynecol. 2003, 21, 33–36. [Google Scholar] [CrossRef] [PubMed]
- Nawaytou, H.M.; Peyvandi, S.; Brook, M.M.; Silverman, N.; Moon-Grady, A.J. Right Ventricular Systolic-to-Diastolic Time Index: Hypoplastic Left Heart Fetuses Differ Significantly from Normal Fetuses. J. Am. Soc. Echocardiogr. 2016, 29, 143–149. [Google Scholar] [CrossRef] [PubMed][Green Version]
- Hernandez-Andrade, E.; Crispi, F.; Benavides-Serralde, J.A.; Plasencia, W.; Diesel, H.F.; Eixarch, E.; Acosta-Rojas, R.; Figueras, F.; Nicolaides, K.; Gratacós, E. Contribution of the myocardial performance index and aortic isthmus blood flow index to predicting mortality in preterm growth-restricted fetuses. Ultrasound Obstet. Gynecol. 2009, 34, 430–436. [Google Scholar] [CrossRef] [PubMed]
- Shi, W.; Liu, H.-X.; Xuan, Z.-D.; Zhao, L.; Li, J.-Z.; Wang, Y.-H. Assessments of M-mode color echocardiography on fetal right ventricular diastolic function with umbilical cord around neck. Eur. Rev. Med. Pharmacol. Sci. 2017, 21, 2927–2933. [Google Scholar] [PubMed]
- Chen, Q.; Sun, X.-F.; Liu, H.-J. Assessment of myocardial performance in fetuses by using Tei index. Zhonghua Fu Chan Ke Za Zhi 2006, 41, 387–390. [Google Scholar] [PubMed]
- Ho, D.; Wang, J.; Homann, Y.; Alphonse, J.; Beirne, G.; Welsh, A.W.; Henry, A. Use of the Myocardial Performance Index in Decreased Fetal Movement Assessment: A Case-Control Study. Fetal Diagn. Ther. 2018, 43, 208–217. [Google Scholar] [CrossRef] [PubMed]
- Wilke, D.; Denier, J.; Khong, T.; Mattner, T. Pressure and flow in the umbilical cord. J. Biomech. 2018, 79, 78–87. [Google Scholar] [CrossRef]
- Kasiteropoulou, D.; Topalidou, A.; Downe, S. A computational fluid dynamics modelling of maternal-fetal heat exchange and blood flow in the umbilical cord. PLoS ONE 2020, 15, e0231997. [Google Scholar] [CrossRef]
- Troisi, A.; Cardinali, L.; Orlandi, R.; Menchetti, L.; Robiteau, G.; Polisca, A. Doppler evaluation of umbilical artery during normal gestation in sheep. Reprod. Domest. Anim. 2018, 53, 1517–1522. [Google Scholar] [CrossRef]
- Quaresima, P.; Saccone, G.; Morelli, M.; Interlandi, F.; Votino, C.; Zuccalà, V.; Di Carlo, C.; Zullo, F.; Venturella, R. Stillbirth, potentially preventable cases: An Italian retrospective study. Ital. J. Gynaecol. Obstet. 2022, 34, 89–102. [Google Scholar] [CrossRef]






| Umbilical Cord Around the Fetal Neck (n = 46) Study Group | No Umbilical Cord Around the Fetal Neck (n = 70) Control Group | 95% CI | |||||||
|---|---|---|---|---|---|---|---|---|---|
| GA [Weeks] 28.1 ± 0.79 (M ± SD) | M | SD | M | SD | t | p | LL | UL | d Cohena |
| FHR [bpm] | 147.67 | 11.00 | 149.04 | 10.01 | 0.69 | 0.491 | –2.56 | 5.30 | 0.13 |
| Tei RV | 0.51 | 0.19 | 0.48 | 0.18 | –0.97 | 0.335 | –0.11 | 0.04 | 0.18 |
| Tei LV | 0.54 | 0.15 | 0.50 | 0.12 | –1.66 | 0.099 | –0.09 | 0.01 | 0.32 |
| CTAR | 0.30 | 0.04 | 0.28 | 0.04 | –1.57 | 0.118 | –0.03 | 0.00 | 0.31 |
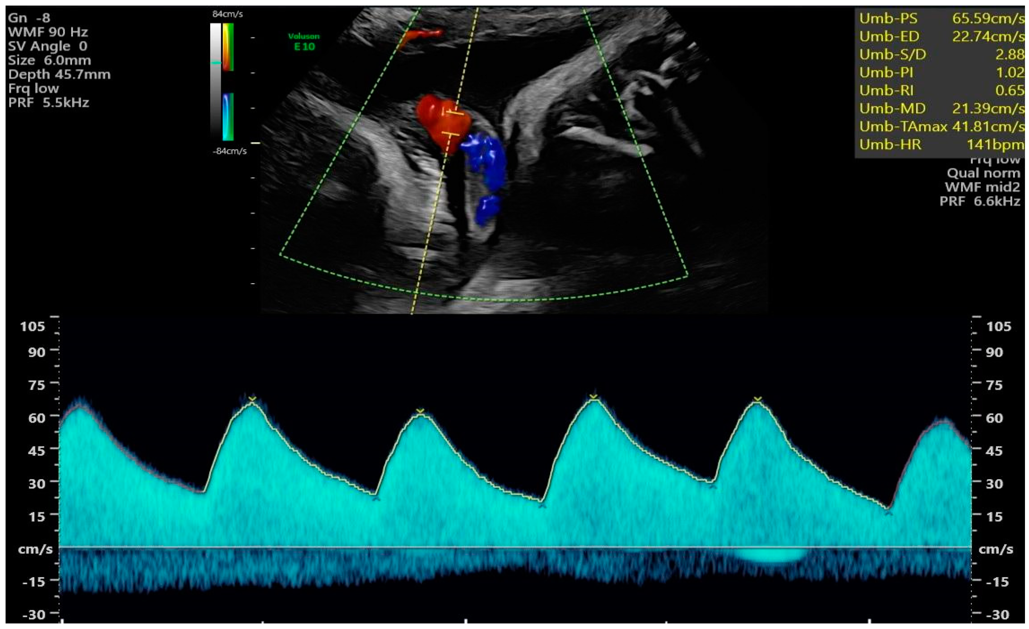
| UMBA PSV [cm/s] | 44.17 | 10.09 | 38.90 | 8.10 | –2.99 | 0.004 | –8.77 | –1.77 | 0.59 |
| UMBA PI | 1.15 | 0.31 | 1.09 | 0.25 | –1.03 | 0.305 | –0.16 | 0.05 | 0.20 |
| AFI [cm] | 16.88 | 3.65 | 16.68 | 4.01 | –0.27 | 0.791 | –1.66 | 1.27 | 0.05 |
| EFW [g] | 1579.02 | 881.68 | 1304.91 | 720.66 | –1.83 | 0.070 | –570.45 | 22.24 | 0.35 |
| Week of delivery | 39.24 | 1.32 | 39.06 | 1.52 | –0.66 | 0.508 | –0.73 | 0.36 | 0.13 |
| Newborn weight [g] | 3333.59 | 466.19 | 3422.29 | 589.95 | 0.86 | 0.393 | –116.02 | 293.42 | 0.16 |
| Apgar 1 | 9.83 | 0.68 | 9.84 | 0.44 | 0.16 | 0.872 | –0.19 | 0.22 | 0.03 |
| Apgar 5 | 9.93 | 0.33 | 9.99 | 0.12 | 1.01 | 0.315 | –0.05 | 0.15 | 0.23 |
| Hospital stay [days] | 4.07 | 3.33 | 3.59 | 2.67 | –0.86 | 0.393 | –1.59 | 0.63 | 0.16 |
| Umbilical Cord around the Fetal Neck During Prenatal Examination GA [Weeks] 28.1 ± 0.79 (M ± SD) and Follow-Up (Study Group) | No Umbilical Cord around the Fetal Neck During Prenatal Examination GA [Weeks] 28.1 ± 0.79 (M ± SD) and Follow-Up (Control Group) | p-Value of the Fisher’s Exact Test | ||||||
|---|---|---|---|---|---|---|---|---|
| n | % | n | % | χ2 | p | φ | OR | |
| Maternal urogenital tract infections | 19 | 41.3 | 33 | 47.1 | 0.38 | 0.536 | 0.06 | 1.15 |
| AGA | 5 | 10.9 | 12 | 17.1 | 0.87 | 0.350 | 0.09 | 0.59 |
| LGA | 38 | 82.6 | 57 | 82.6 | <0.01 | 1.000 | <0.01 | 1.00 |
| SGA | 3 | 6.5 | 1 | 1.4 | 0.299 | 0.14 | 4.81 | |
| Spontaneous labour | 22 | 55.0 | 48 | 69.6 | 2.34 | 0.126 | 0.15 | 0.54 |
| Caesarean section | 24 | 54.5 | 22 | 31.4 | 5.99 | 0.014 | 0.23 | 2.62 |
| Umbilical cord around the newborn’s neck during delivery | 17 | 37.0 | 13 | 18.6 | 4.89 | 0.027 | 0.21 | 2.57 |
| Jaundice | 14 | 31.8 | 22 | 31.4 | <0.01 | 0.965 | <0.01 | 1.02 |
| Infections in newborns | 7 | 15.6 | 9 | 13.2 | 0.12 | 0.729 | 0.03 | 1.21 |
Disclaimer/Publisher’s Note: The statements, opinions and data contained in all publications are solely those of the individual author(s) and contributor(s) and not of MDPI and/or the editor(s). MDPI and/or the editor(s) disclaim responsibility for any injury to people or property resulting from any ideas, methods, instructions or products referred to in the content. |
© 2023 by the authors. Licensee MDPI, Basel, Switzerland. This article is an open access article distributed under the terms and conditions of the Creative Commons Attribution (CC BY) license (https://creativecommons.org/licenses/by/4.0/).
Share and Cite
Murlewska, J.; Sylwestrzak, O.; Witkowski, S.; Respondek-Liberska, M.; Słodki, M.; Strzelecka, I. Prenatal Echo-Sonographic Parameters in Fetuses Wrapped with the Umbilical Cord in the Third Trimester of Pregnancy. J. Clin. Med. 2023, 12, 6170. https://doi.org/10.3390/jcm12196170
Murlewska J, Sylwestrzak O, Witkowski S, Respondek-Liberska M, Słodki M, Strzelecka I. Prenatal Echo-Sonographic Parameters in Fetuses Wrapped with the Umbilical Cord in the Third Trimester of Pregnancy. Journal of Clinical Medicine. 2023; 12(19):6170. https://doi.org/10.3390/jcm12196170
Chicago/Turabian StyleMurlewska, Julia, Oskar Sylwestrzak, Sławomir Witkowski, Maria Respondek-Liberska, Maciej Słodki, and Iwona Strzelecka. 2023. "Prenatal Echo-Sonographic Parameters in Fetuses Wrapped with the Umbilical Cord in the Third Trimester of Pregnancy" Journal of Clinical Medicine 12, no. 19: 6170. https://doi.org/10.3390/jcm12196170
APA StyleMurlewska, J., Sylwestrzak, O., Witkowski, S., Respondek-Liberska, M., Słodki, M., & Strzelecka, I. (2023). Prenatal Echo-Sonographic Parameters in Fetuses Wrapped with the Umbilical Cord in the Third Trimester of Pregnancy. Journal of Clinical Medicine, 12(19), 6170. https://doi.org/10.3390/jcm12196170

