Minimally Invasive Treatment of Lateral Incisors with Guided One-Piece or Two-Piece Titanium-Made Narrow Diameter Implants: A Retrospective Comparative Study with Up to Two Years Follow-Up
Abstract
1. Introduction
2. Materials and Methods
2.1. Patient Selection
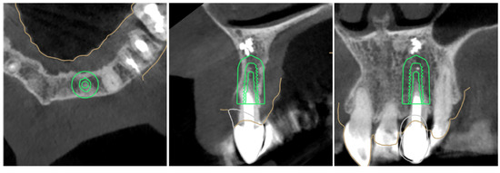
2.2. Surgical Protocol
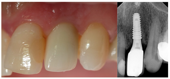
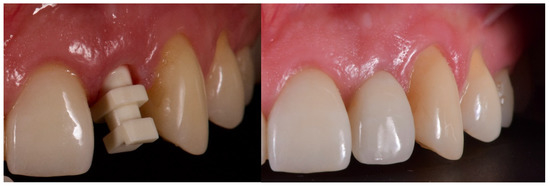
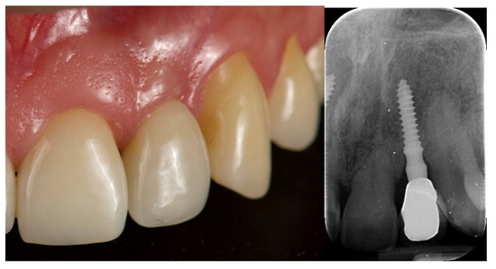
2.3. Prosthetic Protocol
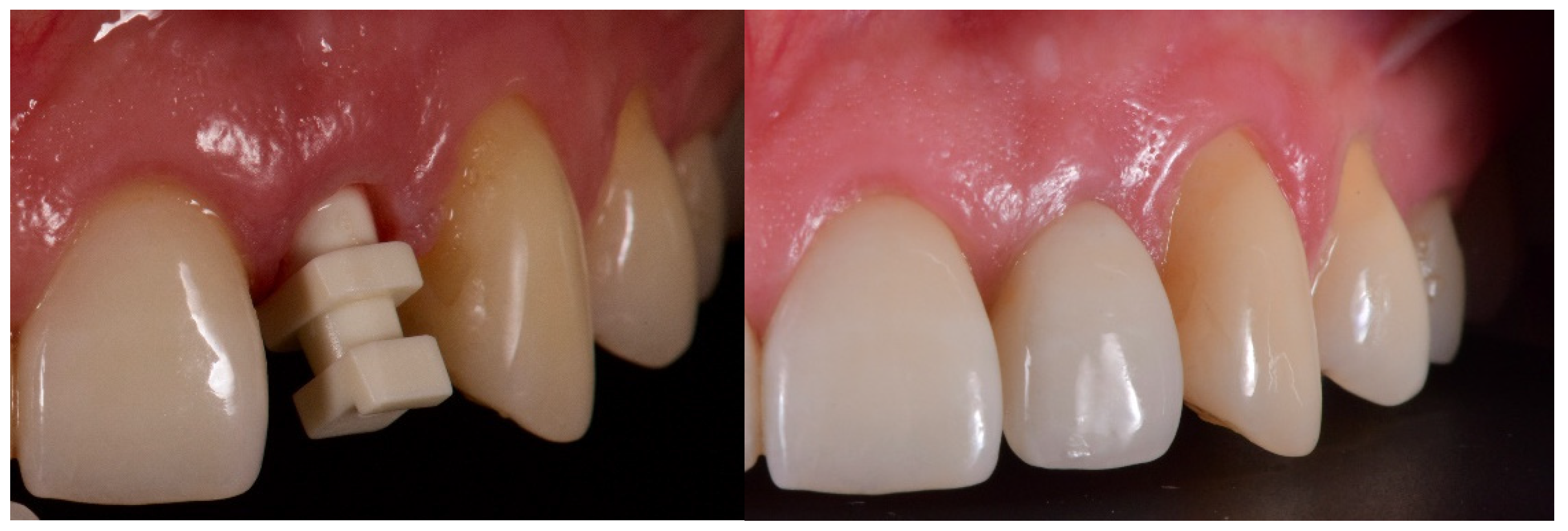
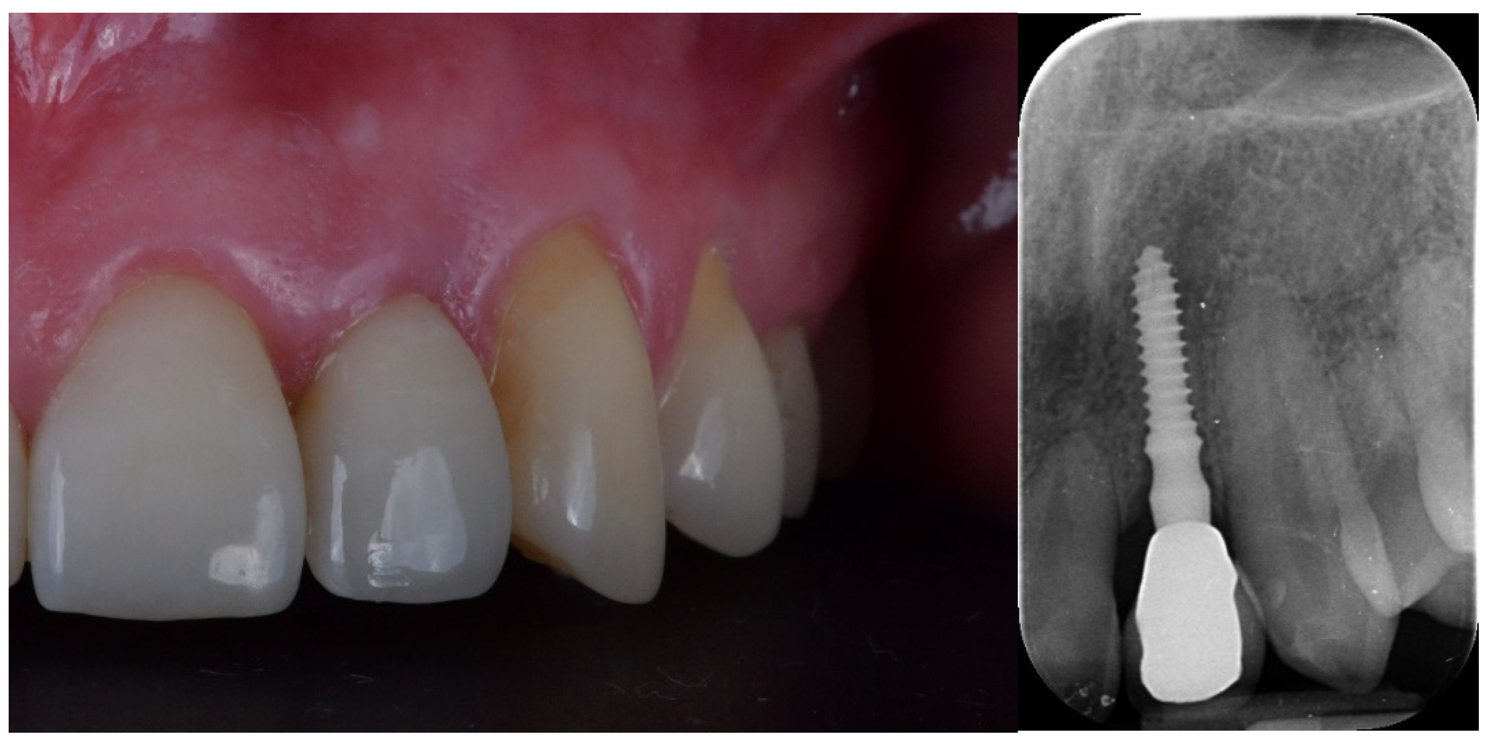
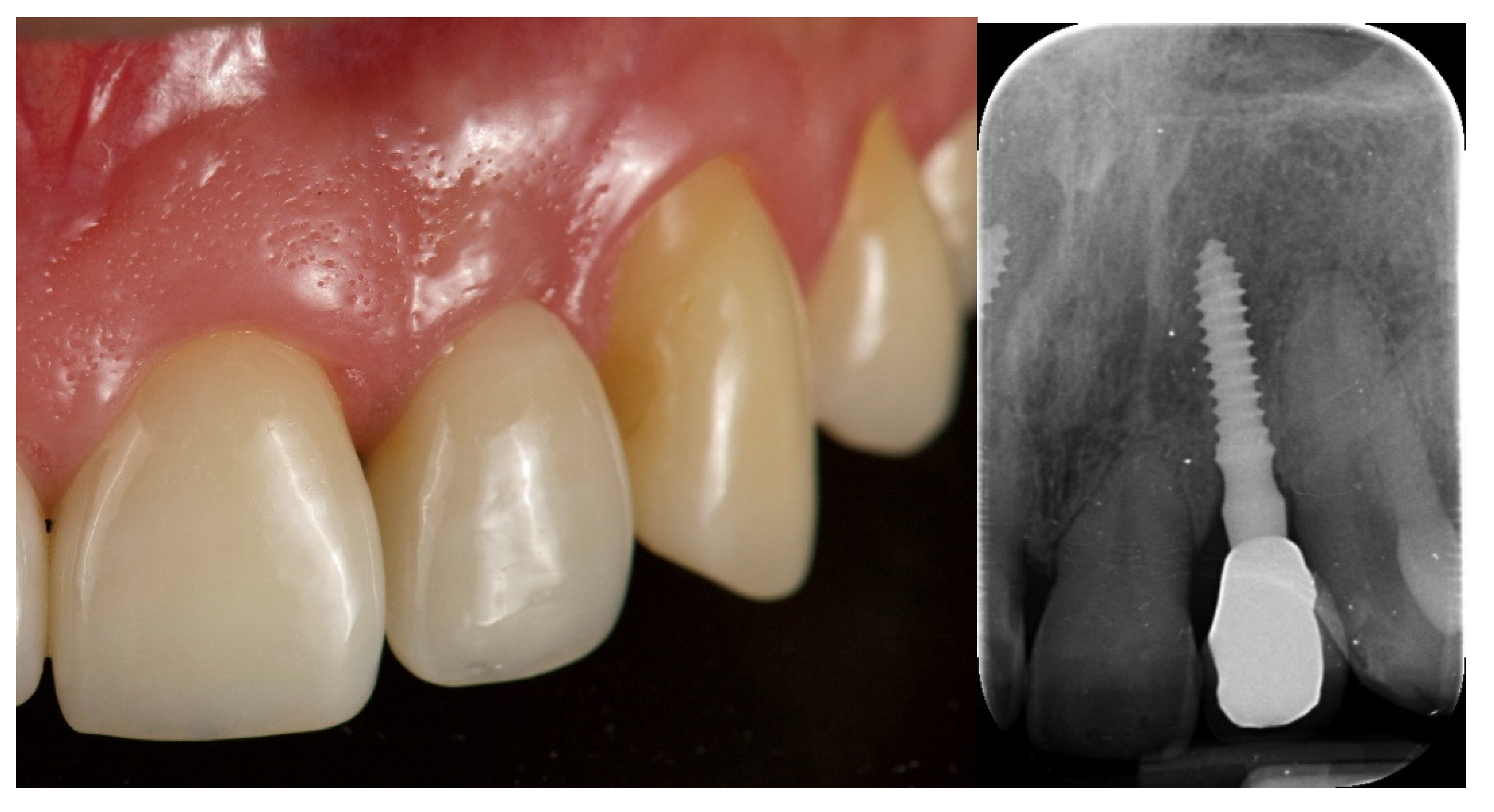
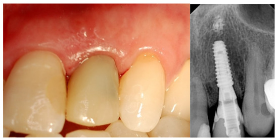
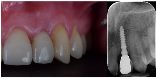
2.4. Outcome Measures
- Implant failure was defined as mobility, infection, fracture, and/or any other mechanical or biological problem that determined implant removal.
 - A prosthesis was considered a failure always if it had to be replaced;
 - Any biological complications (e.g., pain, swelling, mobility, suppuration) and/or technical issues (e.g., material fractures, screw loosening) were reported during follow-up;
 - Esthetic evaluation of clinical pictures, including at least two adjacent teeth, taken at two years after loading was done following the pink esthetic score (PES) proposed by Fürhauser et al., in 2005 [31]. In brief, the PES score evaluates seven variables: mesial papilla, distal papilla, soft tissue level, soft tissue contour, alveolar process deficiencies, soft tissue color and texture. A 0-1-2 scoring system was used, with a maximum achievable score of 14 per site.
 
2.5. Statistical Analysis
3. Results
4. Discussion
5. Conclusions
Author Contributions
Funding
Institutional Review Board Statement
Informed Consent Statement
Data Availability Statement
Conflicts of Interest
References
- Rose, L.F.; Steinberg, B.J.; Minsk, L. The relationship between periodontal disease and systemic conditions. Compend. Contin. Educ. Dent. 2000, 21, 870–877. [Google Scholar] [PubMed]
 - Bascones-Martínez, A.; González-Febles, J.; Sanz-Esporrín, J. Diabetes and periodontal disease. Review of the literature. Am. J. Dent. 2014, 27, 63–67. [Google Scholar] [CrossRef] [PubMed]
 - Ivanovski, S. Periodontal treatment and systemic conditions. Ann. R. Australas. Coll. Dent. Surg. 2012, 21, 81–84. [Google Scholar]
 - Boardman, N.; Darby, I.; Chen, S. A retrospective evaluation of aesthetic outcomes for single-tooth implants in the anterior maxilla. Clin. Oral Implant. Res. 2016, 27, 443–451. [Google Scholar] [CrossRef] [PubMed]
 - Chen, S.T.; Buser, D. Esthetic outcomes following immediate and early implant placement in the anterior maxilla—A systematic review. Int. J. Oral Maxillofac. Implant. 2014, 29, 186–215. [Google Scholar] [CrossRef]
 - Marcenes, W.; Kassebaum, N.J.; Bernabé, E.; Flaxman, A.; Naghavi, M.; Lopez, A.; Murray, C.J. Global burden of oral conditions in 1990–2010: A systematic analysis. J. Dent. Res. 2013, 92, 592–597. [Google Scholar] [CrossRef]
 - Righolt, A.J.; Jevdjevic, M.; Marcenes, W.; Listl, S. Global-, Regional-, and Country-Level Economic Impacts of Dental Diseases in 2015. J. Dent. Res. 2018, 97, 501–507. [Google Scholar] [CrossRef]
 - Draenert, F.G.; Huetzen, D.; Neff, A.; Mueller, W.E. Vertical bone augmentation procedures: Basics and techniques in dental implantology. J. Biomed. Mater. Res. A 2014, 102, 1605–1613. [Google Scholar] [CrossRef] [PubMed]
 - Kiliaridis, S.; Sidira, M.; Kirmanidou, Y.; Michalakis, K. Treatment options for congenitally missing lateral incisors. Eur. J. Oral Implantol. 2016, 1, S5–S24. [Google Scholar]
 - Rakhshan, V. Meta-Analysis of Observational Studies on the Most Commonly Missing Permanent Dentition (Excluding the Third Molars) in Non-Syndromic Dental Patients or Randomly-Selected Subjects, and the Factors Affecting the Observed Rates. J. Clin. Pediatr. Dent. 2015, 39, 199–207. [Google Scholar] [CrossRef]
 - Moraschini, V.; Poubel, L.d.C.; Ferreira, V.; dos Sp Barboza, E. Evaluation of survival and success rates of dental implants reported in longitudinal studies with a follow-up period of at least 10 years: A systematic review. Int. J. Oral Maxillofac. Surg. 2015, 44, 377–388. [Google Scholar] [CrossRef] [PubMed]
 - Mijiritsky, E.; Barone, A.; Cinar, I.C.; Nagy, K.; Shacham, M. 3D Considerations and Outcomes of Immediate Single Implant Insertion and Provisionalization at the Maxillary Esthetic Zone: A Long-Term Retrospective Follow-Up Study of Up to 18 Years. J. Clin. Med. 2021, 10, 4138. [Google Scholar] [CrossRef] [PubMed]
 - Elnayef, B.; Monje, A.; Gargallo-Albiol, J.; Galindo-Moreno, P.; Wang, H.-L.; Hernandez-Alfaro, F. Vertical Ridge Augmentation in the Atrophic Mandible: A Systematic Review and Meta-Analysis. Int. J. Oral Maxillofac. Implant. 2017, 32, 291–312. [Google Scholar] [CrossRef]
 - Meloni, S.M.; Jovanovic, S.A.; Pisano, M.; De Riu, G.; Baldoni, E.; Tallarico, M. One-stage horizontal guided bone regeneration with autologous bone, anorganic bovine bone and collagen membranes: Follow-up of a prospective study 30 months after loading. Eur. J. Oral Implantol. 2018, 11, 89–95. [Google Scholar]
 - Tallarico, M.; Ceruso, F.M.; Muzzi, L.; Meloni, S.M.; Kim, Y.-J.; Gargari, M.; Martinolli, M. Effect of simultaneous immediate implant placement and guided bone reconstruction with ultra-fine titanium mesh membranes on radiographic and clinical parameters after 18 months of loading. Materials 2019, 12, 1710. [Google Scholar] [CrossRef] [PubMed]
 - Tallarico, M.; Park, C.J.; Lumbau, A.I.; Annucci, M.; Baldoni, E.; Koshovari, A.; Meloni, S.M. Customized 3D-Printed Titanium Mesh Developed to Regenerate a Complex Bone Defect in the Aesthetic Zone: A Case Report Approached with a Fully Digital Workflow. Materials 2020, 13, 3874. [Google Scholar] [CrossRef]
 - González-Valls, G.; Roca-Millan, E.; Céspedes-Sánchez, J.M.; González-Navarro, B.; Torrejon-Moya, A.; López-López, J. Narrow Diameter Dental Implants as an Alternative Treatment for Atrophic Alveolar Ridges. Systematic Review and Meta-Analysis. Materials 2021, 14, 3234. [Google Scholar] [CrossRef]
 - Apostolopoulos, P.; Darby, I. Retrospective success and survival rates of dental implants placed after a ridge preservation procedure. Clin. Oral Implant. Res. 2017, 28, 461–468. [Google Scholar] [CrossRef]
 - Chen, S.T.; Darby, I.B.; Reynolds, E.C. A prospective clinical study of non-submerged immediate implants: Clinical outcomes and esthetic results. Clin. Oral Implant. Res. 2007, 18, 552–562. [Google Scholar] [CrossRef]
 - Rafałowicz, B.; Wagner, L. Assessment of Hypodontia Treatment of Maxillary Lateral Incisors in Adult Patients After 9 Years of Follow-up: A Retrospective Study. Int. J. Prosthodont. 2019, 32, 9–13. [Google Scholar] [CrossRef]
 - Schiegnitz, E.; Al-Nawas, B. Narrow-diameter implants: A systematic review and meta-analysis. Clin. Oral Implant. Res. 2018, 29, 21–40. [Google Scholar] [CrossRef] [PubMed]
 - Tallarico, M.; Czajkowska, M.; Cicciù, M.; Giardina, F.; Minciarelli, A.; Zadrożny, Ł.; Park, C.-J.; Meloni, S.M. Accuracy of surgical templates with and without metallic sleeves in case of partial arch restorations: A systematic review. J. Dent. 2021, 115, 103852. [Google Scholar] [CrossRef] [PubMed]
 - Yi, Y.; Koo, K.T.; Schwarz, F.; Ben Amara, H.; Heo, S.J. Association of prosthetic features and peri-implantitis: A cross-sectional study. J. Clin. Periodontol. 2020, 47, 392–403. [Google Scholar] [CrossRef] [PubMed]
 - Judgar, R.; Giro, G.; Zenobio, E.; Coelho, P.G.; Feres, M.; Rodrigues, J.A.; Mangano, C.; Iezzi, G.; Piattelli, A.; Shibli, J.A. Biological width around one- and two-piece implants retrieved from human jaws. BioMed Res. Int. 2014, 2014, 850120. [Google Scholar] [CrossRef] [PubMed]
 - Spinato, S.; Galindo-Moreno, P.; Bernardello, F.; Zaffe, D. Minimum Abutment Height to Eliminate Bone Loss: Influence of Implant Neck Design and Platform Switching. Int. J. Oral Maxillofac. Implant. 2018, 33, 405–411. [Google Scholar] [CrossRef] [PubMed]
 - Blanco, J.; Pico, A.; Caneiro, L.; Nóvoa, L.; Batalla, P.; Martín-Lancharro, P. Effect of abutment height on interproximal implant bone level in the early healing: A randomized clinical trial. Clin. Oral Implant. Res. 2018, 29, 108–117. [Google Scholar] [CrossRef] [PubMed]
 - Guo, T.; Gulati, K.; Arora, H.; Han, P.; Fournier, B.; Ivanovski, S. Race to invade: Understanding soft tissue integration at the transmucosal region of titanium dental implants. Dent. Mater. 2021, 37, 816–831. [Google Scholar] [CrossRef]
 - Ivanovski, S.; Lee, R. Comparison of peri-implant and periodontal marginal soft tissues in health and disease. Periodontol 2000 2018, 76, 116–130. [Google Scholar] [CrossRef]
 - Khzam, N.; Arora, H.; Kim, P.; Fisher, A.; Mattheos, N.; Ivanovski, S. Systematic Review of Soft Tissue Alterations and Esthetic Outcomes Following Immediate Implant Placement and Restoration of Single Implants in the Anterior Maxilla. J. Periodontol. 2015, 86, 1321–1330. [Google Scholar] [CrossRef]
 - Salvi, G.E.; Bosshardt, D.D.; Lang, N.P.; Abrahamsson, I.; Berglundh, T.; Lindhe, J.; Ivanovski, S.; Donos, N. Temporal sequence of hard and soft tissue healing around titanium dental implants. Periodontol 2000 2015, 68, 135–152. [Google Scholar] [CrossRef]
 - Pommer, B.; Mailath-Pokorny, G.; Haas, R.; Busenlechner, D.; Fürhauser, R.; Watzek, G. Patients’ preferences towards minimally invasive treatment alternatives for implant rehabilitation of edentulous jaws. Eur. J. Oral Implantol. 2014, 7, S91–S109. [Google Scholar] [PubMed]
 - Zadrożny, Ł.; Czajkowska, M.; Tallarico, M. Multi goal, guided approach as a minimally invasive treatment: A case report. J. Dent. 2022, 121, 104012. [Google Scholar] [CrossRef]
 - Assaf, A.; Saad, M.; Daas, M.; Abdallah, J.; Abdallah, R. Use of narrow-diameter implants in the posterior jaw: A systematic review. Implant. Dent. 2015, 24, 294–306. [Google Scholar] [CrossRef]
 - de Souza, A.B.; Sukekava, F.; Tolentino, L.; César-Neto, J.B.; Garcez-Filho, J.; Araújo, M.G. Narrow-and regular-diameter implants in the posterior region of the jaws to support single crowns: A 3-year split-mouth randomized clinical trial. Clin. Oral Implant. Res. 2018, 29, 100–107. [Google Scholar] [CrossRef] [PubMed]
 - Mouhyi, J.; Salama, M.A.; Mangano, F.G.; Mangano, C.; Margiani, B.; Admakin, O. A novel guided surgery system with a sleeveless open frame structure: A retrospective clinical study on 38 partially edentulous patients with 1 year of follow-up. BMC Oral Health 2019, 19, 253. [Google Scholar] [CrossRef]
 - Zhou, W.; Liu, Z.; Song, L.; Kuo, C.-l.; Shafer, D.M. Clinical Factors Affecting the Accuracy of Guided Implant Surgery—A Systematic Review and Meta-analysis. J. Evid. Based Dent. Pract. 2018, 18, 28–40. [Google Scholar] [CrossRef]
 - Pozzi, A.; Tallarico, M.; Marchetti, M.; Scarfò, B.; Esposito, M. Computer-guided versus free-hand placement of immediately loaded dental implants: 1-year post-loading results of a multicentre randomised controlled trial. Eur. J. Oral Implantol. 2014, 7, 229–242. [Google Scholar] [PubMed]
 - Park, J.-Y.; Song, Y.W.; Park, S.-H.; Kim, J.-H.; Park, J.-M.; Lee, J.-S. Clinical factors influencing implant positioning by guided surgery using a nonmetal sleeve template in the partially edentulous ridge: Multiple regression analysis of a prospective cohort. Clin. Oral Implant. Res. 2020, 31, 1187–1198. [Google Scholar] [CrossRef]
 - Zadrożny, Ł.; Czajkowska, M.; Mijiritsky, E.; Wagner, L. Repeatability of Freehand Implantations Supported with Universal Plastic Sleeves-In Vitro Study. Int. J. Environ. Res. Public Health 2020, 17, 4453. [Google Scholar] [CrossRef] [PubMed]
 - Tallarico, M.; Kim, Y.J.; Cocchi, F.; Martinolli, M.; Meloni, S.M. Accuracy of newly developed sleeve-designed templates for insertion of dental implants: A prospective multicenters clinical trial. Clin. Implant. Dent. Relat. Res. 2019, 21, 108–113. [Google Scholar] [CrossRef]
 - Mattheos, N.; Vergoullis, I.; Janda, M.; Miseli, A. The Implant Supracrestal Complex and Its Significance for Long-Term Successful Clinical Outcomes. Int. J. Prosthodont. 2021, 34, 88–100. [Google Scholar] [CrossRef]
 - Kraus, R.D.; Espuelas, C.; Hämmerle, C.H.F.; Jung, R.E.; Sailer, I.; Thoma, D.S. Five-year randomized controlled clinical study comparing cemented and screw-retained zirconia-based implant-supported single crowns. Clin. Oral Implant. Res. 2022, 33, 537–547. [Google Scholar] [CrossRef] [PubMed]
 - Ma, S.; Fenton, A. Screw- versus cement-retained implant prostheses: A systematic review of prosthodontic maintenance and complications. Int. J. Prosthodont. 2015, 28, 127–145. [Google Scholar] [CrossRef] [PubMed]
 - Lemos, C.A.; de Souza Batista, V.E.; Almeida, D.A.; Santiago Júnior, J.F.; Verri, F.R.; Pellizzer, E.P. Evaluation of cement-retained versus screw-retained implant-supported restorations for marginal bone loss: A systematic review and meta-analysis. J. Prosthet. Dent. 2016, 115, 419–427. [Google Scholar] [CrossRef]
 - Youssef, A.; Hobeiche, J.; El Zoghbi, A.; Mortada, R.; Salameh, Z. Bruxism and implant: Where are we? A systematic review. Bull. Natl. Res. Cent. 2022, 46, 172. [Google Scholar] [CrossRef]
 - Tecco, S.; Grusovin, M.G.; Sciara, S.; Bova, F.; Pantaleo, G.; Capparé, P. The association between three attitude-related indexes of oral hygiene and secondary implant failures: A retrospective longitudinal study. Int. J. Dent. Hyg. 2018, 16, 372–379. [Google Scholar] [CrossRef] [PubMed]
 - Montemezzi, P.; Ferrini, F.; Pantaleo, G.; Gherlone, E.; Capparè, P. Dental Implants with Different Neck Design: A Prospective Clinical Comparative Study with 2-Year Follow-Up. Materials 2020, 13, 1029. [Google Scholar] [CrossRef]
 - Tallarico, M.; Caneva, M.; Meloni, S.M.; Xhanari, E.; Omori, Y.; Canullo, L. Survival and Success Rates of Different Shoulder Designs: A Systematic Review of the Literature. Int. J. Dent. 2018, 2018, 6812875. [Google Scholar] [CrossRef]
 - Gherlone, E.F.; Capparé, P.; Pasciuta, R.; Grusovin, M.G.; Mancini, N.; Burioni, R. Evaluation of resistance against bacterial microleakage of a new conical implant-abutment connection versus conventional connections: An in vitro study. New Microbiol. 2016, 39, 49–56. [Google Scholar]
 










| Data | One-Piece | Two-Piece | p-Value | 
|---|---|---|---|
| Number of patients/implants | 10/11 | 11/12 | 1.0 | 
| Mean age ± SD 1 (range) | 36.5 ± 19.4 (19–81) | 29.7 ± 12.8 (19–85) | 0.3437 | 
| Male/Female | 4/6 | 7/4 | 0.3949 | 
| Total follow-up in months | 28.5 ± 3.4 (24–34) | 38.7 ± 10.5 (24–60) | 0.0095 | 
| Implant diameter | 2 or 2.5 mm | 3 or 3.5 mm | NA 2 | 
| Implant length | 10 to 13 | 10 to 13 | NA 2 | 
| Crowns | Cemented-retained | Screw-retained | NA 2 | 
| Maxillary/mandible implants | 10/1 | 11/1 | 1.0 | 
| Immediately/delayed loaded | 11/0 | 9/2 | 0.4762 | 
| Implant failure | 0 | 0 | 1.0 | 
| Prosthetic failure | 0 | 0 | 1.0 | 
| Complications | 0 | 0 | 1.0 | 
| PES 3 at the 2-year follow-up | 12.6 ± 0.97 | 12.2 ± 0.92 | 0.3554 | 
| MBL4 at the 2-year follow-up | 0.23 ± 0.11 | 0.18 ± 0.12 | 0.3339 | 
Disclaimer/Publisher’s Note: The statements, opinions and data contained in all publications are solely those of the individual author(s) and contributor(s) and not of MDPI and/or the editor(s). MDPI and/or the editor(s) disclaim responsibility for any injury to people or property resulting from any ideas, methods, instructions or products referred to in the content.  | 
© 2023 by the authors. Licensee MDPI, Basel, Switzerland. This article is an open access article distributed under the terms and conditions of the Creative Commons Attribution (CC BY) license (https://creativecommons.org/licenses/by/4.0/).
Share and Cite
Zadrożny, Ł.; Górski, B.; Baldoni, E.; Lumbau, A.I.; Meloni, S.M.; Pisano, M.; Tallarico, M. Minimally Invasive Treatment of Lateral Incisors with Guided One-Piece or Two-Piece Titanium-Made Narrow Diameter Implants: A Retrospective Comparative Study with Up to Two Years Follow-Up. J. Clin. Med. 2023, 12, 3711. https://doi.org/10.3390/jcm12113711
Zadrożny Ł, Górski B, Baldoni E, Lumbau AI, Meloni SM, Pisano M, Tallarico M. Minimally Invasive Treatment of Lateral Incisors with Guided One-Piece or Two-Piece Titanium-Made Narrow Diameter Implants: A Retrospective Comparative Study with Up to Two Years Follow-Up. Journal of Clinical Medicine. 2023; 12(11):3711. https://doi.org/10.3390/jcm12113711
Chicago/Turabian StyleZadrożny, Łukasz, Bartłomiej Górski, Edoardo Baldoni, Aurea Immacolata Lumbau, Silvio Mario Meloni, Milena Pisano, and Marco Tallarico. 2023. "Minimally Invasive Treatment of Lateral Incisors with Guided One-Piece or Two-Piece Titanium-Made Narrow Diameter Implants: A Retrospective Comparative Study with Up to Two Years Follow-Up" Journal of Clinical Medicine 12, no. 11: 3711. https://doi.org/10.3390/jcm12113711
APA StyleZadrożny, Ł., Górski, B., Baldoni, E., Lumbau, A. I., Meloni, S. M., Pisano, M., & Tallarico, M. (2023). Minimally Invasive Treatment of Lateral Incisors with Guided One-Piece or Two-Piece Titanium-Made Narrow Diameter Implants: A Retrospective Comparative Study with Up to Two Years Follow-Up. Journal of Clinical Medicine, 12(11), 3711. https://doi.org/10.3390/jcm12113711
        
