The Efficacy of Radiotherapy without Surgery for External Auditory Canal Squamous Cell Carcinoma
Abstract
1. Introduction
2. Materials and Methods
2.1. Patients
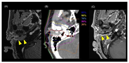
2.2. Treatment
2.3. Follow-Up
2.4. Statistical Analysis
3. Results
3.1. Treatment Outcomes
3.2. Toxicity
4. Discussion
| Author | Total Number | Tumor Site | n | Pathology | n | # T-Category or Stage | n | Treatment | Outcomes | ||||
|---|---|---|---|---|---|---|---|---|---|---|---|---|---|
| Group | Time Point | LC (%) | DFS (%) | OS (%) | |||||||||
| Hashi et al. [3] | 20 | EAC | - | SCC | - | T1 T2 T3 | 8 8 4 | RT ± surgery | All T1 T2 | 5 year | - | - | 59 100 38 |
| Yin et al. [4] | 95 | EAC ME | 67 28 | SCC | - | stageⅠ stageⅡ stage Ⅲ stage Ⅳ | 22 17 18 38 | Surgery ± RT ± chemo | All stageⅠ stageⅡ stage Ⅲ stage Ⅳ | 5 year | - | - | 66.8 100 100 67.2 29.5 |
| Ogawa et al. [5] | 87 | EAC ME | 59 28 | SCC | - | RT ± surgery | All | 5 year | - | 54 | 55 | ||
| T1 | 13 | T1 | 83 | 83 | |||||||||
| T2 | 37 | T2 | 69 | 69 | |||||||||
| T3 | 37 | T3 | 28 | 28 | |||||||||
| Choi et al. [6] | 32 | EAC ME | 31 1 | SCC ACC Other | 21 9 2 | stageⅠ/Ⅱ stage Ⅲ/Ⅳ | 12 20 | RT ± chemo ± surgery | All stageⅠ/Ⅱ stage Ⅲ/Ⅳ | 5 year | - | 52 65.6 41.4 | 57 70.7 48 |
| Pemberton et al. [8] | 123 | EAC ME | 53 70 | SCC | - | T1 T2–3 | 27 96 | RT | All | 5 year | 56 | 45 | 40 |
| # Takenaka et al. [14] | 274 | EAC | - | SCC | - | T1 T2 T3 T4 | 59 41 46 128 | RT ± chemo ± surgery | All | 5 year | - | - | 57 |
| T1 | - | ||||||||||||
| T2 | - | ||||||||||||
| T3 | 72.5 | ||||||||||||
| T4 | 35.8 | ||||||||||||
| Kato et al. [16] | 13 | EAC ME | 11 2 | SCC | - | T3 T4 | 3 10 | Carbon-ion RT | All | 3 year | 54 | - | 40 |
| Katano et al. [17] | 34 | EAC | - | SCC ACC Other | 31 1 2 | stageⅠ/Ⅱ stage Ⅲ/Ⅳ | 7 27 | RT ± chemo ± surgery | All stageⅠ/Ⅱ stage Ⅲ/Ⅳ | 5 year | - | - | 55.2 85.7 45.6 |
| Nagano et al. [18] | 21 | EAC | - | SCC | - | RT ± chemo ± surgery | All | 2 year | 71 | - | 62 | ||
| T2 | 1 | T2 | 100 | 100 | |||||||||
| T3 | 10 | T3 | 90 | 75 | |||||||||
| T4 | 10 | T4 | 50 | 10 | |||||||||
| Present study | 15 | EAC | - | SCC | - | T1 T2 T3 T4 | 2 4 3 6 | RT ± chemo | All T1–3 T4 | 3 year | 51 74 17 | 44 62 17 | 73 89 50 |
5. Conclusions
Supplementary Materials
Author Contributions
Funding
Institutional Review Board Statement
Informed Consent Statement
Data Availability Statement
Acknowledgments
Conflicts of Interest
References
- Kuhel, W.I.; Hume, C.R.; Selesnick, S.H. Cancer of the external auditory canal and temporal bone. Otolaryngol. Clin. N. Am. 1996, 29, 827–852. [Google Scholar]
- Shinomiya, H.; Uehara, N.; Teshima, M.; Kakigi, A.; Otsuki, N.; Nibu, K.I. Clinical management for T1 and T2 external auditory canal cancer. Auris Nasus Larynx 2019, 46, 785–789. [Google Scholar] [CrossRef] [PubMed]
- Hashi, N.; Shirato, H.; Omatsu, T.; Kagei, K.; Nishioka, T.; Hashimoto, S.; Aoyama, H.; Fukuda, S.; Inuyama, Y.; Miyasaka, K. The role of radiotherapy in treating squamous cell carcinoma of the external auditory canal, especially in early stages of disease. Radiother. Oncol. 2000, 56, 221–225. [Google Scholar] [CrossRef]
- Yin, M.; Ishikawa, K.; Honda, K.; Arakawa, T.; Harabuchi, Y.; Nagabashi, T.; Fukuda, S.; Taira, A.; Himi, T.; Nakamura, N.; et al. Analysis of 95 cases of squamous cell carcinoma of the external and middle ear. Auris Nasus Larynx 2006, 33, 251–257. [Google Scholar] [CrossRef]
- Ogawa, K.; Nakamura, K.; Hatano, K.; Uno, T.; Fuwa, N.; Itami, J.; Kojya, S.; Nakashima, T.; Shinhama, A.; Nakagawa, T.; et al. Treatment and prognosis of squamous cell carcinoma of the external auditory canal and middle ear: A multi-institutional retrospective review of 87 patients. Int. J. Radiat. Oncol. Biol. Phys. 2007, 68, 1326–1334. [Google Scholar] [CrossRef]
- Choi, J.; Kim, S.H.; Koh, Y.W.; Choi, E.C.; Lee, C.G.; Keum, K.C. Tumor Stage-Related Role of Radiotherapy in Patients with an External Auditory Canal and Middle Ear Carcinoma. Cancer Res. Treat. 2017, 49, 178–184. [Google Scholar] [CrossRef]
- Lewis, J.S. Temporal bone resection. Review of 100 cases. Arch. Otolaryngol. 1975, 101, 23–25. [Google Scholar] [CrossRef] [PubMed]
- Pemberton, L.S.; Swindell, R.; Sykes, A.J. Primary radical radiotherapy for squamous cell carcinoma of the middle ear and external auditory cana—An historical series. Clin. Oncol. 2006, 18, 390–394. [Google Scholar] [CrossRef]
- Chen, W.Y.; Kuo, S.H.; Chen, Y.H.; Lu, S.H.; Tsai, C.L.; Cheng, J.C.; Hong, R.L.; Chen, Y.F.; Hsu, C.J.; Lin, K.N.; et al. Postoperative intensity-modulated radiotherapy for squamous cell carcinoma of the external auditory canal and middle ear: Treatment outcomes, marginal misses, and perspective on target delineation. Int. J. Radiat. Oncol. Biol. Phys. 2012, 82, 1485–1493. [Google Scholar] [CrossRef]
- Xie, B.; Zhang, T.; Dai, C. Survival outcomes of patients with temporal bone squamous cell carcinoma with different invasion patterns. Head Neck 2015, 37, 188–196. [Google Scholar] [CrossRef] [PubMed]
- Moody, S.A.; Hirsch, B.E.; Myers, E.N. Squamous cell carcinoma of the external auditory canal: An evaluation of a staging system. Am. J. Otol. 2000, 21, 582–588. [Google Scholar] [PubMed]
- Available online: https://ctep.cancer.gov/protocoldevelopment/electronic_applications/ctc.htm (accessed on 10 April 2022).
- Franz, L.; Zanoletti, E.; Mazzoni, A.; Marioni, G. Histological type homogeneity: A cornerstone in analyzing temporal bone malignancies data. Eur. Arch. Otorhinolaryngol. 2020, 277, 3233–3234. [Google Scholar] [CrossRef]
- Takenaka, Y.; Cho, H.; Nakahara, S.; Yamamoto, Y.; Yasui, T.; Inohara, H. Chemoradiation therapy for squamous cell carcinoma of the external auditory canal: A meta-analysis. Head Neck 2015, 37, 1073–1080. [Google Scholar] [CrossRef] [PubMed]
- Schlaff, C.D.; Krauze, A.; Belard, A.; O’Connell, J.J.; Camphausen, K.A. Bringing the heavy: Carbon ion therapy in the radiobiological and clinical context. Radiat. Oncol. 2014, 9, 88. [Google Scholar] [CrossRef] [PubMed]
- Koto, M.; Hasegawa, A.; Takagi, R.; Sasahara, G.; Ikawa, H.; Mizoe, J.E.; Jingu, K.; Tsujii, H.; Kamada, T.; Okamoto, Y. Carbon ion radiotherapy for locally advanced squamous cell carcinoma of the external auditory canal and middle ear. Head Neck 2016, 38, 512–516. [Google Scholar] [CrossRef]
- Katano, A.; Takenaka, R.; Yamashita, H.; Ando, M.; Yoshida, M.; Saito, Y.; Asakage, T.; Abe, O.; Nakagawa, K. A retrospective analysis of radiotherapy in the treatment of external auditory canal carcinoma. Mol. Clin. Oncol. 2021, 14, 45. [Google Scholar] [CrossRef]
- Nagano, T.; Yoshimura, R.I.; Kojima, M.; Nakagawa, K.; Toda, K. Outcomes of radiotherapy in advanced external auditory canal cancer. J. Radiat. Res. 2019, 60, 380–386. [Google Scholar] [CrossRef]
- Paaske, P.B.; Witten, J.; Schwer, S.; Hansen, H.S. Results in treatment of carcinoma of the external auditory canal and middle ear. Cancer 1987, 59, 156–160. [Google Scholar] [CrossRef]
- Prasad, S.; Janecka, I.P. Efficacy of surgical treatments for squamous cell carcinoma of the temporal bone: A literature review. Otolaryngol. Head Neck Surg. 1994, 110, 270–280. [Google Scholar] [CrossRef]
- Loong, H.H.; Ma, B.B.; Leung, S.F.; Mo, F.; Hui, E.P.; Kam, M.K.; Chan, S.L.; Yu, B.K.; Chan, A.T. Prognostic significance of the total dose of cisplatin administered during concurrent chemoradiotherapy in patients with locoregionally advanced nasopharyngeal carcinoma. Radiother. Oncol. 2012, 104, 300–304. [Google Scholar] [CrossRef]
- Marks, L.B.; Yorke, E.D.; Jackson, A.; Ten Haken, R.K.; Constine, L.S.; Eisbruch, A.; Bentzen, S.M.; Nam, J.; Deasy, J.O. Use of normal tissue complication probability models in the clinic. Int. J. Radiat. Oncol. Biol. Phys. 2010, 76, S10–S19. [Google Scholar] [CrossRef] [PubMed]



| Total | 15 |
|---|---|
| Age | |
| Range | 45–90 years |
| Median | 70 years |
| Sex | |
| Male | 9 |
| Female | 6 |
| PS | |
| 0 | 9 |
| 1 | 6 |
| T-category | |
| 1 | 2 |
| 2 | 4 |
| 3 | 3 |
| 4 | 6 |
| N-category | |
| 0 | 12 |
| 1 | 1 |
| 2b | 2 |
| Total dose | |
| 66 Gy | 8 |
| 68 Gy | 1 |
| 70 Gy | 6 |
| RT technique | |
| 3D-CRT | 7 |
| IMRT | 8 |
| Concurent therapy | |
| CDDP | 7 |
| Cetuximab | 4 |
| CDDP and DTX | 2 |
| None | 2 |
| Patient Number | Age | PS | TNM Classification | RT Technique | Concurent Treatment | Gy/fr. | Reccurence | LC (M) | DFS (M) | OS (M) | Salvage Treatment | Status |
|---|---|---|---|---|---|---|---|---|---|---|---|---|
| 1 | 90 | 0 | T1N0M0 | 3D-CRT | - | 44Gy/22fr. + 21Gy/7fr. | Local | 14.5 | 14.5 | 17.0 | - | DWD |
| 2 | 67 | 0 | T1N0M0 | 3D-CRT | - | 70Gy/35fr. | None | 42.5 | 42.5 | 42.5 | - | AAW |
| 3 | 50 | 0 | T2N0M0 | 3D-CRT | CDDP+DTX | 66Gy/33fr. | None | 120.8 | 120.8 | 120.8 | - | AAW |
| 4 | 62 | 0 | T2N0M0 | 3D-CRT | CDDP | 66Gy/33fr. | None | 49.8 | 49.8 | 49.8 | - | AAW |
| 5 | 64 | 0 | T2N0M0 | IMRT | CDDP | 70Gy/35fr. | Local | 27.5 | 27.5 | 27.5 | - | AWD |
| 6 | 66 | 1 | T2N0M0 | IMRT | CDDP | 70Gy/35fr. | None | 24.0 | 24.0 | 24.0 | - | AAW |
| 7 | 81 | 1 | T3N0M0 | IMRT | Cetuximab | 66Gy/33fr. | None | 68.1 | 68.1 | 68.1 | - | AAW |
| 8 | 74 | 0 | T3N0M0 | 3D-CRT | CDDP | 66Gy/33fr. | Lymph node | 52.6 | 6.6 | 52.6 | Salvage Surgery + Radiotherapy | AAW |
| 9 | 70 | 1 | T3N0M0 | IMRT | CDDP | 70Gy/35fr. | None | 26.2 | 26.2 | 26.2 | - | AAW |
| 10 | 71 | 0 | T4N0M0 | 3D-CRT | CDDP+DTX | 66Gy/33fr. | None | 65.7 | 65.7 | 65.7 | - | AAW |
| 11 | 72 | 1 | T4N1M0 | IMRT | Cetuximab | 66Gy/33fr. | Local | 7.7 | 7.7 | 10.1 | None | DWD |
| 12 | 74 | 1 | T4N0M0 | IMRT | CDDP | 70Gy/35fr. | Local+Lymph node | 17.1 | 6.8 | 30.4 | Nivolumab | AWD |
| 13 | 45 | 0 | T4N0M0 | 3D-CRT | Cetuximab | 70Gy/35fr. | Local | 4.7 | 4.7 | 49.8 | Salvage Surgery + Cyberknife | AAW |
| 14 | 57 | 1 | T4N2bM0 | IMRT | CDDP (intra-arterial cysplatin) | 66Gy/33fr. | Local | 3.0 | 3.0 | 7.6 | None | DWD |
| 15 | 74 | 0 | T4N2bM0 | IMRT | Cetuximab | 66Gy/33fr. | Local | 10.9 | 10.9 | 15.3 | None | DWD |
| LC | DFS | OS | |||||
|---|---|---|---|---|---|---|---|
| Factors | n | 3y Rate | p | 3y Rate | p | 3y Rate | p |
| age | |||||||
| ≦70 | 8 | 56.3 | 0.59 | 60.0 | 0.27 | 87.5 | 0.25 |
| ≧71 | 7 | 42.9 | 28.6 | 57.1 | |||
| Sex | |||||||
| female | 9 | 50.0 | 0.86 | 50 | 0.86 | 83.3 | 0.43 |
| male | 6 | 53.3 | 55.3 | 66.7 | |||
| T-category | |||||||
| T1–3 | 9 | 74.1 | 0.006 | 62.2 | 0.020 | 88.9 | 0.071 |
| T4 | 6 | 16.7 | 16.7 | 50.0 | |||
| PS | |||||||
| 0 | 9 | 55.6 | 0.62 | 44.4 | 0.83 | 77.8 | 0.53 |
| 1 | 6 | 50 | 50 | 66.7 | |||
| RT technique | |||||||
| 3D-CRT | 7 | 71.4 | 0.20 | 57.1 | 0.47 | 85.7 | 0.27 |
| IMRT | 8 | 25 | 25 | 62.5 | |||
| Dose | |||||||
| <70 | 9 | 55.6 | 0.92 | 44.4 | 0.90 | 55.6 | 0.071 |
| 70 | 6 | 33.3 | 33.3 | 100 | |||
| Grade 1 | Grade 2 | Grade 3 | Grade 4–5 | |
|---|---|---|---|---|
| Acute Adverse Event | ||||
| Dermatitis radiation | 6 | 4 | 4 | 0 |
| Alopecia | 4 | 0 | - | - |
| Mucositis oral | 1 | 0 | 0 | 0 |
| Cheilitis | 1 | 0 | 0 | 0 |
| Nausea | 0 | 1 | 0 | 0 |
| Dry mouth | 6 | 1 | 0 | 0 |
| Dysgeusia | 6 | 1 | 0 | 0 |
| White blood cell decreased | 0 | 4 | 0 | 0 |
| Neutrophil count decreased | 0 | 0 | 1 | 0 |
| Late Adverse Event | ||||
| Hearing impaired | 0 | 1 | 0 | 0 |
Publisher’s Note: MDPI stays neutral with regard to jurisdictional claims in published maps and institutional affiliations. |
© 2022 by the authors. Licensee MDPI, Basel, Switzerland. This article is an open access article distributed under the terms and conditions of the Creative Commons Attribution (CC BY) license (https://creativecommons.org/licenses/by/4.0/).
Share and Cite
Osu, N.; Musha, A.; Yumisaki, H.; Okada, K.; Kubo, N.; Okano, N.; Takayasu, Y.; Shino, M.; Nikkuni, O.; Ida, S.; et al. The Efficacy of Radiotherapy without Surgery for External Auditory Canal Squamous Cell Carcinoma. J. Clin. Med. 2022, 11, 5905. https://doi.org/10.3390/jcm11195905
Osu N, Musha A, Yumisaki H, Okada K, Kubo N, Okano N, Takayasu Y, Shino M, Nikkuni O, Ida S, et al. The Efficacy of Radiotherapy without Surgery for External Auditory Canal Squamous Cell Carcinoma. Journal of Clinical Medicine. 2022; 11(19):5905. https://doi.org/10.3390/jcm11195905
Chicago/Turabian StyleOsu, Naoto, Atsushi Musha, Hikaru Yumisaki, Kohei Okada, Nobuteru Kubo, Naoko Okano, Yukihiko Takayasu, Masato Shino, Osamu Nikkuni, Shota Ida, and et al. 2022. "The Efficacy of Radiotherapy without Surgery for External Auditory Canal Squamous Cell Carcinoma" Journal of Clinical Medicine 11, no. 19: 5905. https://doi.org/10.3390/jcm11195905
APA StyleOsu, N., Musha, A., Yumisaki, H., Okada, K., Kubo, N., Okano, N., Takayasu, Y., Shino, M., Nikkuni, O., Ida, S., Kawamura, H., Chikamatsu, K., & Ohno, T. (2022). The Efficacy of Radiotherapy without Surgery for External Auditory Canal Squamous Cell Carcinoma. Journal of Clinical Medicine, 11(19), 5905. https://doi.org/10.3390/jcm11195905

