Imaging-Guided Percutaneous Puncture and Embolization of Visceral Pseudoaneurysms: Feasibility and Outcomes
Abstract
:1. Introduction
2. Materials and Methods
2.1. Patients
2.2. Inclusion and Exclusion Criteria
2.3. Transarterial and Percutaneous Procedure Technique and Follow-Up
2.4. Outcomes
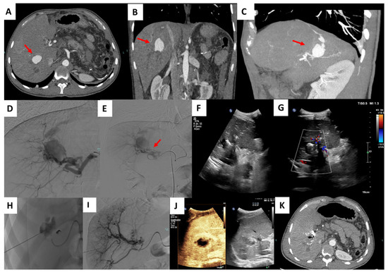
3. Results
4. Discussion
5. Conclusions
Author Contributions
Funding
Institutional Review Board Statement
Informed Consent Statement
Data Availability Statement
Conflicts of Interest
References
- Xu, H.; Jing, C.; Zhou, J.; Min, X.; Zhao, J.; Yang, L.; Ren, Y. Application of interventional embolization in the treatment of iatrogenic pseudoaneurysms. Exp. Ther. Med. 2020, 20, 248. [Google Scholar] [CrossRef] [PubMed] [Green Version]
- Saad, N.E.A.; Saad, W.E.A.; Davies, M.G.; Waldman, D.L.; Fultz, P.J.; Rubens, D.J. Pseudoaneurysms and the role of minimally invasive techniques in their management. Radiographics 2005, 25, 173–190. [Google Scholar] [CrossRef] [PubMed]
- Martins, A.; Gonçalves, A.; Passos, P.; Cardoso, M.; Torres, R.; Almeida, T.; Midões, A. Splenic Artery Pseudoaneurysm. J. Gastrointest. Surg. Off. J. Soc. Surg. Aliment. Tract 2018, 22, 1297–1298. [Google Scholar] [CrossRef]
- Morgan, R.; Belli, A.-M. Current treatment methods for postcatheterization pseudoaneurysms. J. Vasc. Interv. Radiol. 2003, 14, 697–710. [Google Scholar] [CrossRef]
- Peters, S.; Braun-Dullaeus, R.; Herold, J. Pseudoaneurysm Incidence, Therapy and Complications. Hamostaseologie 2018, 38, 166–172. [Google Scholar]
- Jesinger, R.A.; Thoreson, A.A.; Lamba, R. Abdominal and Pelvic Aneurysms and Pseudoaneurysms: Imaging Review with Clinical, Radiologic, and Treatment Correlation. RadioGraphics 2013, 33, E71–E96. [Google Scholar] [CrossRef]
- Okuno, A.; Miyazaki, M.; Ito, H.; Ambiru, S.; Yoshidome, H.; Shimizu, H.; Nakagawa, K.; Shimizu, Y.; Nukui, Y.; Nakajima, N. Nonsurgical management of ruptured pseudoaneurysm in patients with hepatobiliary pancreatic diseases. Am. J. Gastroenterol. 2001, 96, 1067–1071. [Google Scholar] [CrossRef]
- Yamakado, K.; Nakatsuka, A.; Tanaka, N.; Takano, K.; Matsumura, K.; Takeda, K. Transcatheter arterial embolization of ruptured pseudoaneurysms with coils and n-butyl cyanoacrylate. J. Vasc. Interv. Radiol. 2000, 11, 66–72. [Google Scholar] [CrossRef]
- Katzenschlager, R.; Ugurluoglu, A.; Ahmadi, A.; Hülsmann, M.; Koppensteiner, R.; Larch, E.; Maca, T.; Minar, E.; Stümpflen, A.; Ehringer, H. Incidence of pseudoaneurysm after diagnostic and therapeutic angiography. Radiology 1995, 195, 463–466. [Google Scholar] [CrossRef]
- Lupattelli, T. The yin-yang sign. Radiology 2006, 238, 1070–1071. [Google Scholar] [CrossRef]
- Messina, L.M.; Shanley, C.J. Visceral artery aneurysms. Surg. Clin. N. Am. 1997, 77, 425–442. [Google Scholar] [CrossRef]
- Fava, M.P. Surgical endoscopy. Surg. Clin. N. Am. 1989, 69, 1123–1335. [Google Scholar]
- Venturini, M.; Marra, P.; Colombo, M.; Panzeri, M.; Gusmini, S.; Sallemi, C.; Salvioni, M.; Lanza, C.; Agostini, G.; del Maschio, A.; et al. Endovascular Repair of 40 Visceral Artery Aneurysms and Pseudoaneurysms with the Viabahn Stent-Graft: Technical Aspects, Clinical Outcome and Mid-Term Patency. Cardiovasc. Intervent. Radiol. 2017, 41, 1–13. [Google Scholar]
- Michimoto, K.; Higuchi, T.; Enoki, K.; Matsui, Y.; Takenaga, S.; Saeki, C. Percutaneous puncture and embolisation for pancreatitis-related pseudoaneurysm: The feasibility of thrombin injection even in collection of fluid surrounding the pseudoaneurysm. Pol. J. Radiol. 2018, 83, e510–e513. [Google Scholar] [CrossRef] [PubMed]
- McErlean, A.; Looby, S.; Lee, M.J. Percutaneous ultrasound-guided thrombin injection as first-line treatment of pancreatic pseudoaneurysm. Cardiovasc. Intervent. Radiol. 2007, 30, 526–528. [Google Scholar] [CrossRef]
- Zabicki, B.; Limphaibool, N.; Holstad, M.J.V.; Juszkat, R. Endovascular management of pancreatitis-related pseudoaneurysms: A review of techniques. PLoS ONE 2018, 13, e0191998. [Google Scholar] [CrossRef]
- Shrivastava, A.; Rampal, J.S.; Reddy, D.N.; Rao, G.V. Direct Needle Puncture and Embolization of Splenic Artery Pseudoaneurysm in Case of Chronic Atrophic Calcific Pancreatitis. Pol. J. Radiol. 2016, 81, 462–464. [Google Scholar] [CrossRef]
- Khalilzadeh, O.; Baerlocher, M.O.; Shyn, P.B.; Connolly, B.L.; Devane, A.M.; Morris, C.S.; Cohen, A.M.; Midia, M.; Thornton, R.H.; Gross, K. Proposal of a New Adverse Event Classification by the Society of Interventional Radiology Standards of Practice Committee. J. Vasc. Interv. Radiol. 2017, 28, 1432–1437. [Google Scholar] [CrossRef] [Green Version]
- Tulsyan, N.; Kashyap, V.S.; Greenberg, R.K.; Sarac, T.P.; Clair, D.G.; Pierce, G.; Ouriel, K. The endovascular management of visceral artery aneurysms and pseudoaneurysms. J. Vasc. Surg. 2018, 45, 276–283. [Google Scholar] [CrossRef] [Green Version]
- Murata, S.; Tajima, H.; Fukunaga, T.; Abe, Y.; Niggemann, P.; Onozawa, S.; Kumazaki, T.; Kuramochi, M.; Kuramoto, K. Management of pancreaticoduodenal artery aneurysms: Results of superselective transcatheter embolization. Am. J. Roentgenol. 2006, 187, W290–W298. [Google Scholar] [CrossRef]
- Kim, D.; Orron, D.E.; Skillman, J.J.; Kent, K.C.; Porter, D.H.; Schlam, B.W.; Carrozza, J.; Reis, G.J.; Baim, D.S. Role of superficial femoral artery puncture in the development of pseudoaneurysm and arteriovenous fistula complicating percutaneous transfemoral cardiac catheterization. Cathet. Cardiovasc. Diagn. 1992, 25, 91–97. [Google Scholar] [CrossRef] [PubMed]
- Laganà, D.; Carrafiello, G.; Mangini, M.; Dionigi, G.; Caronno, R.; Castelli, P.; Fugazzola, C. Multimodal approach to endovascular treatment of visceral artery aneurysms and pseudoaneurysms. Eur. J. Radiol. 2006, 59, 104–111. [Google Scholar] [CrossRef] [PubMed]
- Yamashita, T.; Yamanaka, K.; Izum, A.; Matsui, J.; Kurimoto, M.; Aoki, H.; Tamura, J. Endovascular repair using a covered stent for a ruptured infected aneurysm of the superior mesenteric artery after pancreaticoduodenectomy: A case report. Surg. Case Rep. 2020, 6, 1. [Google Scholar] [CrossRef]
- Krüger, K.; Zähringer, M.; Söhngen, F.; Gossmann, A.; Schulte, O.; Feldmann, C.; Strohe, D.; Lackner, K. Femoral pseudoaneurysms: Management with percutaneous thrombin injections--success rates and effects on systemic coagulation. Radiology 2003, 226, 452–458. [Google Scholar] [CrossRef] [PubMed]
- Cowan, S.; Kahn, M.B.; Bonn, J.; Becker, G.J.; Paul, D.; Rhoda, L.; Carabasi, R.A. Superior mesenteric artery pseudoaneurysm successfully treated with polytetrafluoroethylene covered stent. J. Vasc. Surg. 2002, 35, 805–807. [Google Scholar] [CrossRef] [Green Version]
- McDermott, V.G.; Shlansky-Goldberg, R.; Cope, C. Endovascular management of splenic artery aneurysms and pseudoaneurysms. Cardiovasc. Intervent. Radiol. 1994, 17, 179–184. [Google Scholar] [CrossRef]
- Puri, S.; Nicholson, A.A.; Breen, D.J. Percutaneous thrombin injection for the treatment of a post-pancreatitis pseudoaneurysm. Eur. Radiol. 2003, 13, L79–L82. [Google Scholar] [CrossRef]
- Arata, M.A.; Cope, C. Principles used in the management of visceral aneurysms. Tech. Vasc. Interv. Radiol. 2000, 3, 124–129. [Google Scholar] [CrossRef]
- Foo, E.T.; Kumar, V.; Nanavati, S.M.; Huo, E.; Wilson, M.W.; Conrad, M.B. Percutaneous embolization of post traumatic splenic pseudoaneurysm. Emerg. Radiol. 2018, 25, 719–722. [Google Scholar] [CrossRef]
- Yadav, R.R.; Boruah, D.K.; Bhattacharyya, V.; Prasad, R.; Kumar, S.; Saraswat, V.A.; Kapoor, V.K.; Saxena, R. Percutaneous Direct Needle Puncture and Transcatheter N-butyl Cyanoacrylate Injection Techniques for the Embolization of Pseudoaneurysms and Aneurysms of Arteries Supplying the Hepato-pancreato-biliary System and Gastrointestinal Tract. J. Clin. Imaging Sci. 2016, 6, 4. [Google Scholar]
- Del Corso, A.; Vergaro, G. Percutaneous treatment of iatrogenic pseudoaneurysms by cyanoacrylate-based wall-gluing. Cardiovasc. Intervent. Radiol. 2013, 36, 669–675. [Google Scholar] [CrossRef] [PubMed]
- Bhat, R.; Chakraverty, S. Femoral artery thrombosis following percutaneous treatment with thrombin injection of a femoral artery pseudoaneurysm: A case report. Cardiovasc. Intervent. Radiol. 2007, 30, 789–792. [Google Scholar] [CrossRef] [PubMed]


| Patient Sex/Age | Cause | Arterial Territory Involved | PSA mm | Needle, Embolic Agent | Complications |
|---|---|---|---|---|---|
| M 49 | pancreatitis | left gastric a | 20 mm | 22G, glue | asymptomatic splenic migration |
| M 54 | biliary operation | right hepatic a | 21 mm | 22G, glue | no |
| M 25 | TIPS | right hepatic a | 30 mm | 22G, thrombin | no |
| M 22 | biliary operation | right gastric a | 25 mm | 22G, glue | asymptomatic duodenal migration |
| M 58 | surgery | digiunal a | 22 mm | 22G, glue | no |
| F 45 | abdominal abscess | branch of left colic a | 24 mm | 22G, thrombin | no |
| M 38 | abdominal abscess | branch of right colic a | 20 mm | 22G, glue | no |
| F 60 | pancreatitis | left gastric a | 18 mm | 22G, glue | no |
| F 52 | abdominal abscess | right hepatic a | 24 mm | 22G, glue | no |
| M 48 | pancreatitis | gastroepiploic aa | 20 mm | 22G, glue | no |
| M 54 | surgery | dorsal pancreatic a | 23 mm | 22G, glue | no |
| F 28 | trauma | first jejunal a | 22 mm | 22G, glue | asymptomatic migration |
| M 55 | abdominal abscess | branch of the ileocolic a | 20 mm | 22G, glue | no |
| F 49 | abdominal abscess | ileal branches | 18 mm | 22G, thrombin | no |
| F 58 | abdominal abscess | sigmoid branch of IMA | 20 mm | 22G, glue | asymptomatic migration |
Publisher’s Note: MDPI stays neutral with regard to jurisdictional claims in published maps and institutional affiliations. |
© 2022 by the authors. Licensee MDPI, Basel, Switzerland. This article is an open access article distributed under the terms and conditions of the Creative Commons Attribution (CC BY) license (https://creativecommons.org/licenses/by/4.0/).
Share and Cite
Carriero, S.; Lanza, C.; Biondetti, P.; Renzulli, M.; Bonelli, C.; Piacentino, F.; Fontana, F.; Venturini, M.; Carrafiello, G.; Ierardi, A.M. Imaging-Guided Percutaneous Puncture and Embolization of Visceral Pseudoaneurysms: Feasibility and Outcomes. J. Clin. Med. 2022, 11, 2952. https://doi.org/10.3390/jcm11112952
Carriero S, Lanza C, Biondetti P, Renzulli M, Bonelli C, Piacentino F, Fontana F, Venturini M, Carrafiello G, Ierardi AM. Imaging-Guided Percutaneous Puncture and Embolization of Visceral Pseudoaneurysms: Feasibility and Outcomes. Journal of Clinical Medicine. 2022; 11(11):2952. https://doi.org/10.3390/jcm11112952
Chicago/Turabian StyleCarriero, Serena, Carolina Lanza, Pierpaolo Biondetti, Matteo Renzulli, Cristian Bonelli, Filippo Piacentino, Federico Fontana, Massimo Venturini, Gianpaolo Carrafiello, and Anna Maria Ierardi. 2022. "Imaging-Guided Percutaneous Puncture and Embolization of Visceral Pseudoaneurysms: Feasibility and Outcomes" Journal of Clinical Medicine 11, no. 11: 2952. https://doi.org/10.3390/jcm11112952
APA StyleCarriero, S., Lanza, C., Biondetti, P., Renzulli, M., Bonelli, C., Piacentino, F., Fontana, F., Venturini, M., Carrafiello, G., & Ierardi, A. M. (2022). Imaging-Guided Percutaneous Puncture and Embolization of Visceral Pseudoaneurysms: Feasibility and Outcomes. Journal of Clinical Medicine, 11(11), 2952. https://doi.org/10.3390/jcm11112952

