Ibrutinib Monotherapy as Bridge-to-Transplant for Relapsed/Refractory Primary Oculo-Cerebral Lymphoma
Abstract
:1. Introduction
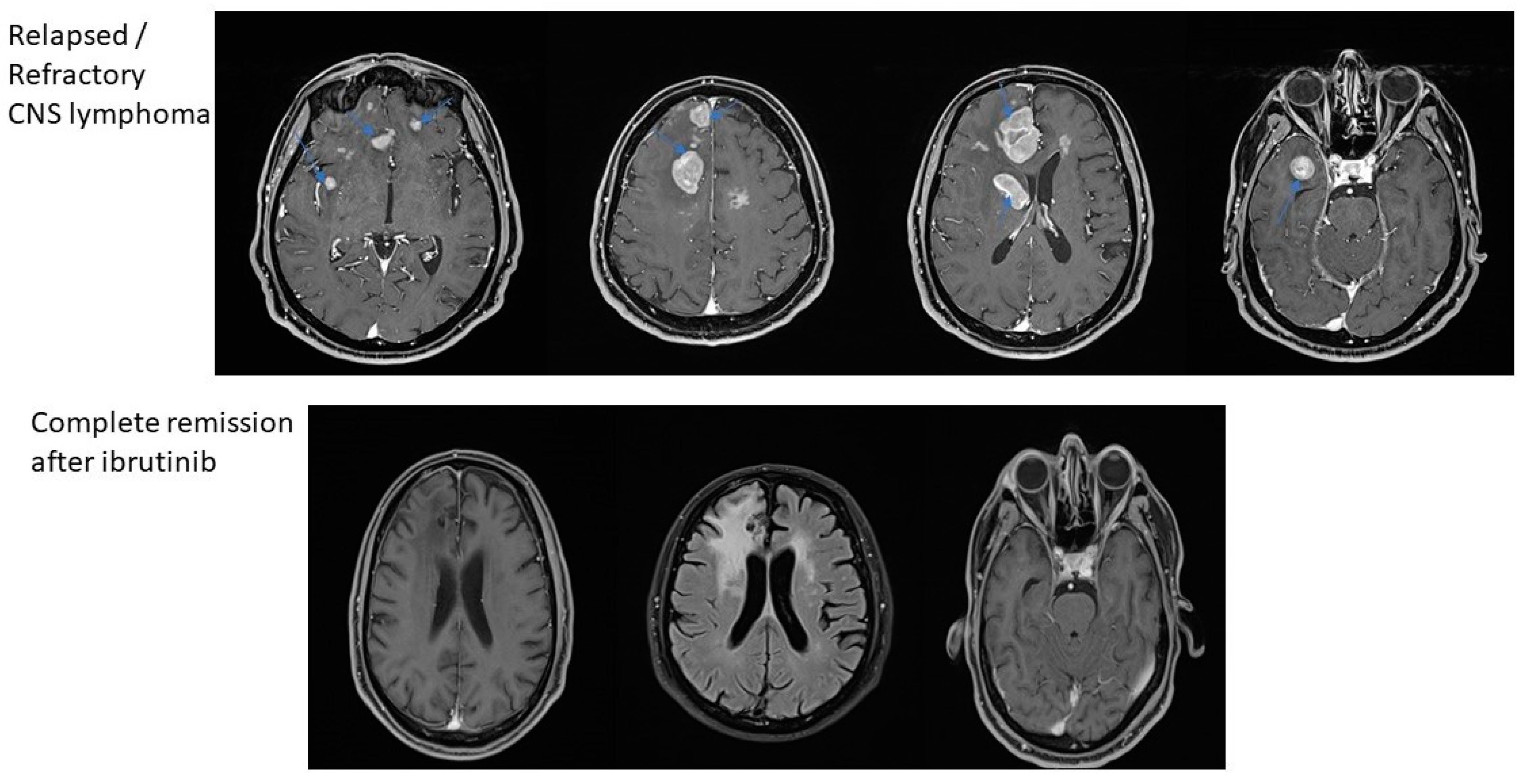
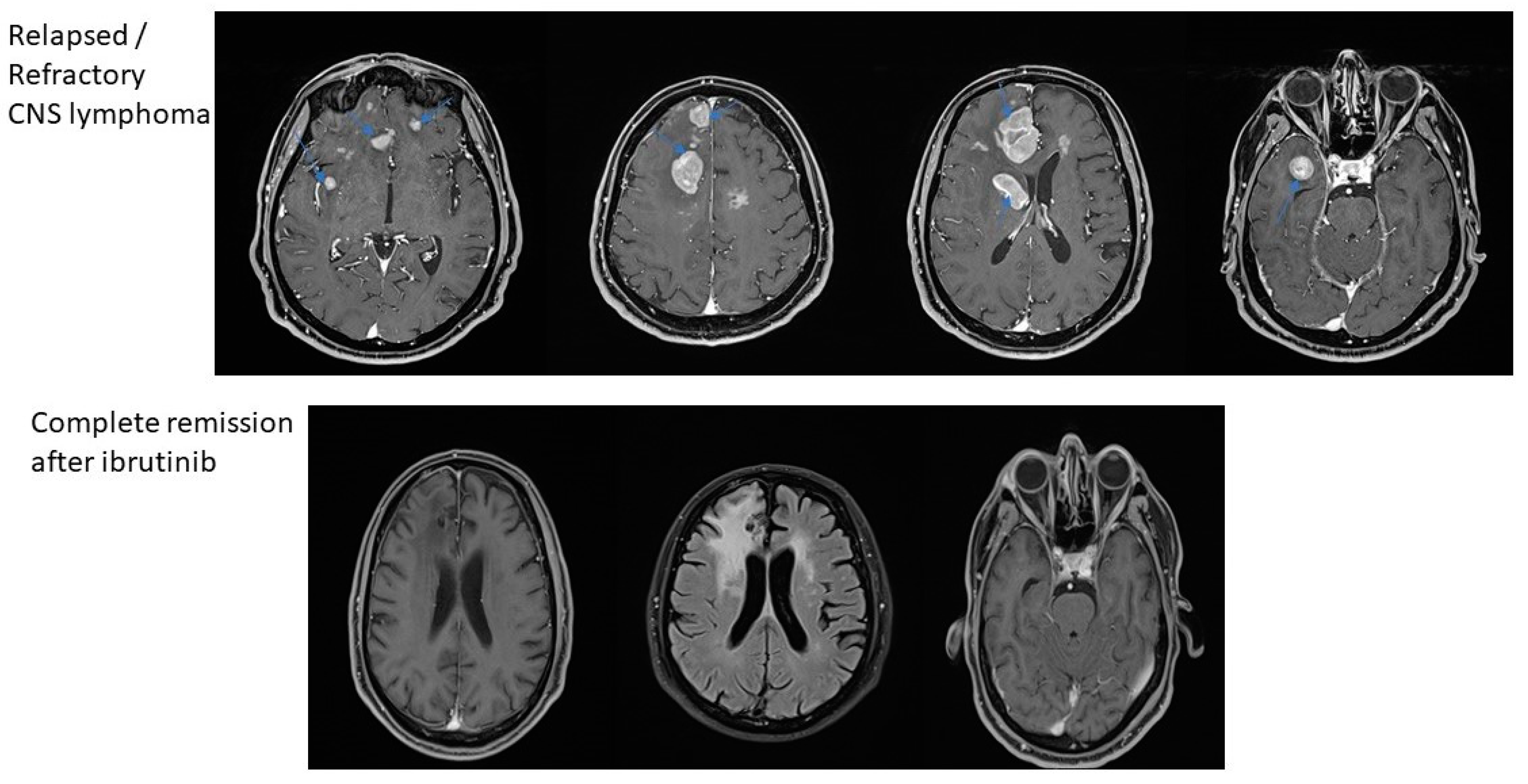
2. Patient Information
3. Discussions
4. Conclusions
Author Contributions
Funding
Institutional Review Board Statement
Informed Consent Statement
Data Availability Statement
Conflicts of Interest
References
- Qian, L.; Tomuleasa, C.; Florian, I.-A.; Shen, J.; Zdrenghea, M.; Dima, D. Advances in the treatment of newly diagnosed primary central nervous system lymphomas. Blood Res. 2017, 52, 159–166. [Google Scholar] [CrossRef] [Green Version]
 - Deangelis, L.M.; Hormigo, A. Treatment of Primary Central Nervous System Lymphoma. Semin Oncol. 2004, 31, 684–692. [Google Scholar] [CrossRef] [PubMed]
 - Bergner, N.; Kluge, S.; Monsef, I.; Illerhaus, G.; Engert, A.; Skoetz, N. Role of chemotherapy additional to high-dose methotrexate for primary central nervous system lymphoma (PCNSL). Cochrane Database Syst. Rev. 2011, 11, CD009355. [Google Scholar] [CrossRef]
 - Sarid, N.; Bokstein, F.; Blumenthal, D.T.; Weiss-Meilik, A.; Gibstein, L.; Avivi, I.; Perry, C.; Ram, R. Impact of Contemporary Regimens on the Outcomes and Toxicity of Primary CNS Lymphoma: A Single-Center Retrospective Analysis of 73 Patients. J Neurooncol. 2021, 151, 211–220. [Google Scholar] [CrossRef] [PubMed]
 - Grommes, C.; Pastore, A.; Palaskas, N.; Tang, S.S.; Campos, C.; Schartz, D.; Codega, P.; Nichol, D.; Clark, O.; Hsieh, W.-Y.; et al. Ibrutinib Unmasks Critical Role of Bruton Tyrosine Kinase in Primary CNS Lymphoma. Cancer Discov. 2017, 7, 1018–1029. [Google Scholar] [CrossRef] [PubMed] [Green Version]
 - Grommes, C.; Nayak, L.; Tun, H.W.; Batchelor, T.T. Introduction of novel agents in the treatment of primary CNS lymphoma. Neuro-Oncol. 2019, 21, 306–313. [Google Scholar] [CrossRef] [PubMed]
 - Soussain, C.; Choquet, S.; Blonski, M.; Leclercq, D.; Houillier, C.; Rezai, K.; Bijou, F.; Houot, R.; Boyle, E.; Gressin, R. Ibrutinib Monotherapy for Relapse or Refractory Primary CNS Lymphoma and Primary Vitreoretinal Lymphoma: Final Analysis of the Phase II ‘Proof-of-Concept’ ILOC Study by the Lymphoma Study Association (LYSA) and the French Oculo-Cerebral Lymphoma (LOC) Network. Eur. J. Cancer 2019, 117, 121–130. [Google Scholar]
 - Lewis, K.L.; Chin, C.K.; Manos, K.; Casey, J.; Hamad, N.; Crawford, J.; Ho, S.; Issa, S.; Grigg, A.; Wood, P.; et al. Ibrutinib for central nervous system lymphoma: The Australasian Lymphoma Alliance/MD Anderson Cancer Center experience. Br. J. Haematol. 2021, 192, 1049–1053. [Google Scholar] [CrossRef]
 - Mappa, S.; Marturano, E.; Licata, G.; Frezzato, M.; Frungillo, N.; Ilariucci, F.; Stelitano, C.; Ferrari, A.; Sorarù, M.; Vianello, F. Salvage Chemoimmunotherapy with Rituximab, Ifosfamide and Etoposide (R-IE Regi-men) in Patients with Primary CNS Lymphoma Relapsed or Refractory to High-Dose Methotrexate-Based Chemotherapy: Salvage Chemoimmunotherapy for PCNSL. Hematol. Oncol. 2013, 31, 143–150. [Google Scholar] [CrossRef]
 - Brammer, J.E.; Khouri, I.; Marin, D.; Ledesma, C.; Rondon, G.; Ciurea, S.O.; Nieto, Y.; Champlin, R.E.; Hosing, C.; Kebriaei, P. Stem cell transplantation outcomes in lymphoblastic lymphoma. Leuk. Lymphoma 2017, 58, 366–371. [Google Scholar] [CrossRef]
 - Colita, A.; Colita, A.; Bumbea, H.; Croitoru, A.; Orban, C.; Lipan, L.E.; Craciun, O.-G.; Soare, D.; Ghimici, C.; Manolache, R.; et al. LEAM vs. BEAM vs. CLV Conditioning Regimen for Autologous Stem Cell Transplantation in Malignant Lymphomas. Retrospective Comparison of Toxicity and Efficacy on 222 Patients in the First 100 Days After Transplant, On Behalf of the Romanian Society for Bone Marrow Transplantation. Front. Oncol. 2019, 9, 892. [Google Scholar] [CrossRef]
 - Tanase, A.D.; Colita, A.; Craciun, O.G.; Lipan, L.; Varady, Z.; Stefan, L.; Ranete, A.; Pasca, S.; Bumbea, H.; Andreescu, M. Allogeneic Stem Cell Transplantation for Adult T-Cell Leukemia/Lymphoma—Romanian Ex-perience. J. Clin. Med. 2020, 9, 2417. [Google Scholar] [CrossRef] [PubMed]
 - Lauw, M.I.S.; Lucas, C.-H.G.; Ohgami, R.S.; Wen, K.W. Primary Central Nervous System Lymphomas: A Diagnostic Overview of Key Histomorphologic, Immunophenotypic, and Genetic Features. Diagnostics 2020, 10, 1076. [Google Scholar] [CrossRef]
 - Chihara, D.; Dunleavy, K. Primary Central Nervous System Lymphoma: Evolving Biologic Insights and Recent Therapeutic Advances. Clin. Lymphoma Myeloma Leuk. 2021, 21, 73–79. [Google Scholar] [CrossRef]
 - Mendez, J.S.; Grommes, C. Treatment of Primary Central Nervous System Lymphoma: From Chemotherapy to Small Molecules. Am. Soc. Clin. Oncol. Educ. Book 2018, 38, 604–615. [Google Scholar] [CrossRef] [PubMed]
 - Choi, Y.S. Recent advances in the management of primary central nervous system lymphoma. Blood Res. 2020, 55, S58–S62. [Google Scholar] [CrossRef]
 - Yang, H.; Xun, Y.; Yang, A.; Liu, F.; You, H. Advances and challenges in the treatment of primary central nervous system lymphoma. J. Cell. Physiol. 2020, 235, 9143–9165. [Google Scholar] [CrossRef] [PubMed]
 - Patel, P.N.; Bhattacharya, J.; Vyas, R.K.; Suryanarayana, U. An Audit of Brain Tumor Patients Treat-ed in 5 Years at a Single Institute: Our Regional Cancer Center Experience. J. Cancer Res. Ther. 2020, 16, 1466–1469. [Google Scholar] [PubMed]
 - Tatarczuch, M.; Paul, E.; Gilberston, M.; Gregory, G.P.; Tam, C.; Quach, H.; Bazargan, A.; Filshie, R.; Ku, M.; Tey, A.; et al. Excellent outcomes in older patients with primary CNS lymphoma treated with R-MPV/cytarabine without whole brain radiotherapy or autologous stem cell transplantation therapy. Leuk. Lymphoma 2021, 62, 112–117. [Google Scholar] [CrossRef] [PubMed]
 - Lin, S.Y.; Chuang, C.C.; Tsan, D.L.; Hung, Y.S.; Fu, C.J.; Shen, Y.L.; Chiang, Y.Y.; Huang, Y.C.; Lu, Y.J.; Yang, C.C. Maintenance of Multi-Domain Neurocognitive Functions in Patients with Newly-Diagnosed Primary CNS Lymphoma after Primary Cranial Radiotherapy Combined with Methotrexate-Based Chemotherapy: A Preliminary Case-Series Study. Appl. Neuropsychol. Adult 2020, 17, 1–10. [Google Scholar] [CrossRef] [PubMed]
 - Seidel, S.; Kowalski, T.; Margold, M.; Baraniskin, A.; Schroers, R.; Martus, P.; Schlegel, U. HDMTX-Based Polychemotherapy Including Intraventricular Therapy in Elderly Patients with Primary CNS Lymphoma: A Single Center Series. Ther. Adv. Neurol. Disord. 2020, 13, 1756286420951087. [Google Scholar] [CrossRef]
 - Seidel, S.; Pels, H.; Schlömer, S.; Kowoll, A.; Fliessbach, K.; Engert, A.; Vogt-Schaden, M.; Egerer, G.; Reichmann, H.; Schackert, G.; et al. Twenty-year follow-up of a pilot/phase II trial on the Bonn protocol for primary CNS lymphoma. Neurology 2020, 95, e3138–e3144. [Google Scholar] [CrossRef] [PubMed]
 - Grommes, C. Central Nervous System Lymphomas. Continuum 2020, 26, 1476–1494. [Google Scholar] [PubMed]
 - Colombat, P.; LeMevel, A.; Bertrand, P.; Delwail, V.; Rachieru, P.; Brion, A.; Berthou, C.; Bay, J.O.; Delepine, R.; Desablens, B.; et al. High-dose chemotherapy with autologous stem cell transplantation as first-line therapy for primary CNS lymphoma in patients younger than 60 years: A multicenter phase II study of the GOELAMS group. Bone Marrow Transplant. 2006, 38, 417–420. [Google Scholar] [CrossRef]
 - Alimohamed, N.; Daly, A.; Owen, C.; Duggan, P.; Stewart, D.A. Upfront Thiotepa, Busulfan, Cyclo-phosphamide, and Autologous Stem Cell Transplantation for Primary CNS Lymphoma: A Single Centre Experience. Leuk. Lymphoma 2012, 53, 862–867. [Google Scholar] [CrossRef] [PubMed]
 - Soussain, C.; Suzan, F.; Hoang-Xuan, K.; Cassoux, N.; Levy, V.; Azar, N.; Belanger, C.; Achour, E.; Ribrag, V.; Gerber, S. Results of Intensive Chemotherapy Followed by Hematopoietic Stem-Cell Rescue in 22 Patients with Refractory or Recurrent Primary CNS Lymphoma or Intraocular Lymphoma. J. Clin. Oncol. 2001, 19, 742–749. [Google Scholar] [CrossRef]
 - Tănase, A.; Tomuleasa, C.; Mărculescu, A.; Bardaş, A.; Coliţă, A.; Ciurea, Ş.O. First Successful Haploidentical Stem Cell Transplantation in Romania. Rom. J. Intern. Med. 2016, 54, 194–200. [Google Scholar] [CrossRef] [PubMed] [Green Version]
 - Brammer, J.E.; Khouri, I.; Gaballa, S.; Anderlini, P.; Tomuleasa, C.; Ahmed, S.; Ledesma, C.; Hosing, C.; Champlin, R.E.; Ciurea, S.O. Outcomes of Haploidentical Stem Cell Transplantation for Lymphoma with Melphalan-Based Conditioning. Biol. Blood Marrow Transplant. 2016, 22, 493–498. [Google Scholar] [CrossRef] [Green Version]
 - Brevet, M.; Garidi, R.; Gruson, B.; Royer, B.; Vaida, I.; Damaj, G. First-line autologous stem cell transplantation in primary CNS lymphoma. Eur. J. Haematol. 2005, 75, 288–292. [Google Scholar] [CrossRef]
 - Montemurro, M.; Kiefer, T.; Schüler, F.; Al-Ali, H.K.; Wolf, H.H.; Herbst, R.; Haas, A.; Helke, K.; Theilig, A.; Lotze, C. Primary Central Nervous System Lymphoma Treated with High-Dose Methotrexate, High-Dose Busulfan/Thiotepa, Autologous Stem-Cell Transplantation and Response-Adapted Whole-Brain Radio-therapy: Results of the Multicenter Ostdeutsche Studiengruppe Hamato-Onkologie OSHO-53 Phase II Study. Ann. Oncol. 2007, 18, 665–671. [Google Scholar]
 - Kiefer, T.; Hirt, C.; Späth, C.; Schüler, F.; Al-Ali, H.K.; Wolf, H.-H.; Herbst, R.; Maschmeyer, G.; Helke, K.; Kessler, C.; et al. Long-term follow-up of high-dose chemotherapy with autologous stem-cell transplantation and response-adapted whole-brain radiotherapy for newly diagnosed primary CNS lymphoma: Results of the multicenter Ostdeutsche Studiengruppe Hämatologie und Onkologie OSHO-53 phase II study. Ann. Oncol. 2012, 23, 1809–1812. [Google Scholar] [CrossRef]
 - Omuro, A.; Correa, D.D.; DeAngelis, L.M.; Moskowitz, C.H.; Matasar, M.J.; Kaley, T.J.; Gavrilovic, I.T.; Nolan, C.; Pentsova, E.; Grommes, C.C.; et al. R-MPV followed by high-dose chemotherapy with TBC and autologous stem-cell transplant for newly diagnosed primary CNS lymphoma. Blood 2015, 125, 1403–1410. [Google Scholar] [CrossRef] [Green Version]
 - Young, P.A.; Gaut, D.; Kimaiyo, D.K.; Grotts, J.; Romero, T.; Chute, J.; Schiller, G.; de Vos, S.; Eradat, H.A.; Timmerman, J. Durable Survival Outcomes in Primary and Secondary Central Nervous System Lym-phoma After High-Dose Chemotherapy and Autologous Stem Cell Transplantation Using a Thiotepa, Busulfan, and Cyclophosphamide Conditioning Regimen. Clin. Lymphoma Myeloma Leuk. 2020, 20, 468–479. [Google Scholar] [CrossRef] [Green Version]
 - Scordo, M.; Bhatt, V.; Hsu, M.; Omuro, A.M.; Matasar, M.J.; DeAngelis, L.M.; Dahi, P.B.; Moskowitz, C.H.; Giralt, S.A.; Sauter, C.S. A Comprehensive Assessment of Toxicities in Patients with Central Nervous System Lymphoma Undergoing Autologous Stem Cell Transplantation Using Thiotepa, Busulfan, and Cyclo-phosphamide Conditioning. Biol. Blood Marrow Transplant. 2017, 23, 38–43. [Google Scholar] [CrossRef] [PubMed] [Green Version]
 - Illerhaus, G.; Marks, R.; Ihorst, G.; Guttenberger, R.; Ostertag, C.; Derigs, G.; Frickhofen, N.; Feuerhake, F.; Volk, B.; Finke, J. High-Dose Chemotherapy with Autologous Stem-Cell Transplantation and Hyperfractionated Radiotherapy as First-Line Treatment of Primary CNS Lymphoma. J. Clin. Oncol. 2006, 24, 3865–3870. [Google Scholar] [CrossRef] [Green Version]
 - Illerhaus, G.; Kasenda, B.; Ihorst, G.; Egerer, G.; Lamprecht, M.; Keller, U.; Wolf, H.-H.; Hirt, C.; Stilgenbauer, S.; Binder, M.; et al. High-dose chemotherapy with autologous haemopoietic stem cell transplantation for newly diagnosed primary CNS lymphoma: A prospective, single-arm, phase 2 trial. Lancet Haematol. 2016, 3, e388–e397. [Google Scholar] [CrossRef]
 - Kasenda, B.; Schorb, E.; Fritsch, K.; Finke, J.; Illerhaus, G. Prognosis after high-dose chemotherapy followed by autologous stem-cell transplantation as first-line treatment in primary CNS lymphoma—A long-term follow-up study. Ann. Oncol. 2015, 26, 608–611. [Google Scholar] [CrossRef] [PubMed]
 - Ferreri, A.J.M.; Illerhaus, G. The Role of Autologous Stem Cell Transplantation in Primary Central Nervous System Lymphoma. Blood 2016, 127, 1642–1649. [Google Scholar] [CrossRef] [PubMed]
 - Houillier, C.; Soussain, C.; Ghesquières, H.; Soubeyran, P.; Chinot, O.; Taillandier, L.; Lamy, T.; Choquet, S.; Ahle, G.; Damaj, G. Management and Outcome of Primary CNS Lymphoma in the Modern Era: An LOC Network Study. Neurology 2020, 94, e1027–e1039. [Google Scholar] [CrossRef]
 - Low, J.; Peters, K. Ibrutinib in Primary Central Nervous System Diffuse Large B-Cell Lymphoma. CNS Oncol. 2020, 9, CNS51. [Google Scholar]
 - Woyach, J.A.; Johnson, A.J.; Byrd, J.C. The B-Cell Receptor Signaling Pathway as a Therapeutic Target in CLL. Blood 2012, 120, 1175–1184. [Google Scholar] [CrossRef] [PubMed] [Green Version]
 - Taneja, A.; Muco, E.; Chhabra, A. Bruton Agammaglobulinemia. In StatPearls; StatPearls Publishing: Treasure Island, FL, USA, 2020. [Google Scholar]
 - Advani, R.H.; Buggy, J.J.; Sharman, J.P.; Smith, S.M.; Boyd, T.E.; Grant, B.; Kolibaba, K.S.; Furman, R.R.; Rodriguez, S.; Chang, B.Y.; et al. Bruton Tyrosine Kinase Inhibitor Ibrutinib (PCI-32765) Has Significant Activity in Patients With Relapsed/Refractory B-Cell Malignancies. J. Clin. Oncol. 2013, 31, 88–94. [Google Scholar] [CrossRef] [PubMed]
 - Byrd, J.C.; Brown, J.R.; O’Brien, S.; Barrientos, J.C.; Kay, N.E.; Reddy, N.M.; Coutre, S.; Tam, C.S.; Mulligan, S.P.; Jaeger, U. Ibrutinib versus Ofatumumab in Previously Treated Chronic Lymphoid Leukemia. N. Engl. J. Med. 2014, 371, 213–223. [Google Scholar] [CrossRef] [Green Version]
 - Dreyling, M.; Jurczak, W.; Jerkeman, M.; Silva, R.S.; Rusconi, C.; Trneny, M.; Offner, F.; Caballero, D.; João, C.; Witzens-Harig, M.; et al. Ibrutinib versus temsirolimus in patients with relapsed or refractory mantle-cell lymphoma: An international, randomised, open-label, phase 3 study. Lancet 2016, 387, 770–778. [Google Scholar] [CrossRef] [Green Version]
 - Isaac, K.; Mato, A.R. Acalabrutinib and Its Therapeutic Potential in the Treatment of Chronic Lymphocytic Leukemia: A Short Review on Emerging Data. Cancer Manag. Res. 2020, 12, 2079–2085. [Google Scholar] [CrossRef] [PubMed] [Green Version]
 


| Disease Status | Sex | Age at  Diagnosis  | First Ct/MRI Scan | First line of Treatment and Number of  Cycles  | Evolution at 2 Months | Evolution at 4 Months | Second Line Treatment | Evolution after  Second Line— After 1 Month  | Evolution after Second Line— After 2 Months  | |
|---|---|---|---|---|---|---|---|---|---|---|
| Case 1 | Complete remission | F | 63 | Right temporal lobe 14/17 mm, right frontal lobe 8 mm, right region of occipital lobe 17/17/22 mm | High-dose methotrexate—5 cycles | Right frontal lobe 7 mm, 2 new lesions: right temporal lobe 10 mm and right parietal lobe 8 mm, without other gadofilic masses | Right frontal lobe 27 mm, right temporal lobe 10 mm, new lesion in right temporal lobe 14 mm. | Ibrutinib monotherapy | No visible lesion | No visible lesion | 
| Case 2 | Complete remission | F | 53 | Left frontal lobe 70/40/30 mm | High-dose methotrexate and systemic Rituximab—6 cycles | Stationary disease | Left frontal lobe 50/30/20 mm. | Ibrutinib monotherapy | Left frontal lobe 32.6 mm metabolically inactve | No visible lesion | 
| Case 3 | Refractory | M | 64 | Bilateral and insular frontal lobe, superior right frontal region, right basal nuclei and right temporal lobe | High-dose methotrexate—6 cycles | Stationary disease | No lesions at MRI scan. | R-ICE 6 cycles, then second remission was achieved, but after 1 month second relapse: right frontal lobe lesion 20/30 mm. Ibrutinib monotherapy as 3rd line treatment  | Stationary disease | Stationary disease | 
Publisher’s Note: MDPI stays neutral with regard to jurisdictional claims in published maps and institutional affiliations.  | 
© 2021 by the authors. Licensee MDPI, Basel, Switzerland. This article is an open access article distributed under the terms and conditions of the Creative Commons Attribution (CC BY) license (https://creativecommons.org/licenses/by/4.0/).
Share and Cite
Deak-Mihaly, D.; Iluta, S.; Pasca, S.; Jitaru, C.; Roman, A.; Andries, A.; Padurariu-Covit, M.; Petrushev, B.; Vasilache, A.; Bojan, A.; et al. Ibrutinib Monotherapy as Bridge-to-Transplant for Relapsed/Refractory Primary Oculo-Cerebral Lymphoma. J. Clin. Med. 2021, 10, 4483. https://doi.org/10.3390/jcm10194483
Deak-Mihaly D, Iluta S, Pasca S, Jitaru C, Roman A, Andries A, Padurariu-Covit M, Petrushev B, Vasilache A, Bojan A, et al. Ibrutinib Monotherapy as Bridge-to-Transplant for Relapsed/Refractory Primary Oculo-Cerebral Lymphoma. Journal of Clinical Medicine. 2021; 10(19):4483. https://doi.org/10.3390/jcm10194483
Chicago/Turabian StyleDeak-Mihaly, Dalma, Sabina Iluta, Sergiu Pasca, Ciprian Jitaru, Andrei Roman, Alexandra Andries, Monica Padurariu-Covit, Bobe Petrushev, Anca Vasilache, Anca Bojan, and et al. 2021. "Ibrutinib Monotherapy as Bridge-to-Transplant for Relapsed/Refractory Primary Oculo-Cerebral Lymphoma" Journal of Clinical Medicine 10, no. 19: 4483. https://doi.org/10.3390/jcm10194483
APA StyleDeak-Mihaly, D., Iluta, S., Pasca, S., Jitaru, C., Roman, A., Andries, A., Padurariu-Covit, M., Petrushev, B., Vasilache, A., Bojan, A., Zdrenghea, M., Dascalescu, A., Antohe, I., Colita, A., Colita, A., Dima, D., Tanase, A., & Tomuleasa, C. (2021). Ibrutinib Monotherapy as Bridge-to-Transplant for Relapsed/Refractory Primary Oculo-Cerebral Lymphoma. Journal of Clinical Medicine, 10(19), 4483. https://doi.org/10.3390/jcm10194483
        
                                                
