Application of Ultrasonic Nondestructive Testing for Breeding of Meat Pigeons
Abstract
Featured Application
Abstract
1. Introduction
2. Materials and Methods
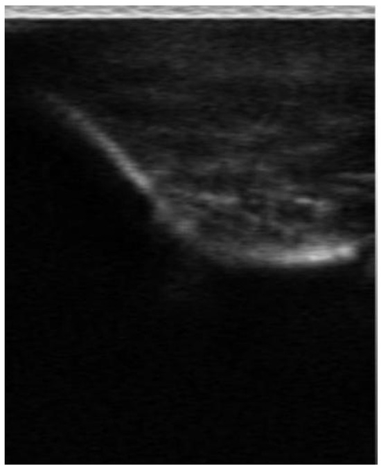
2.1. Animals and Sample Collection
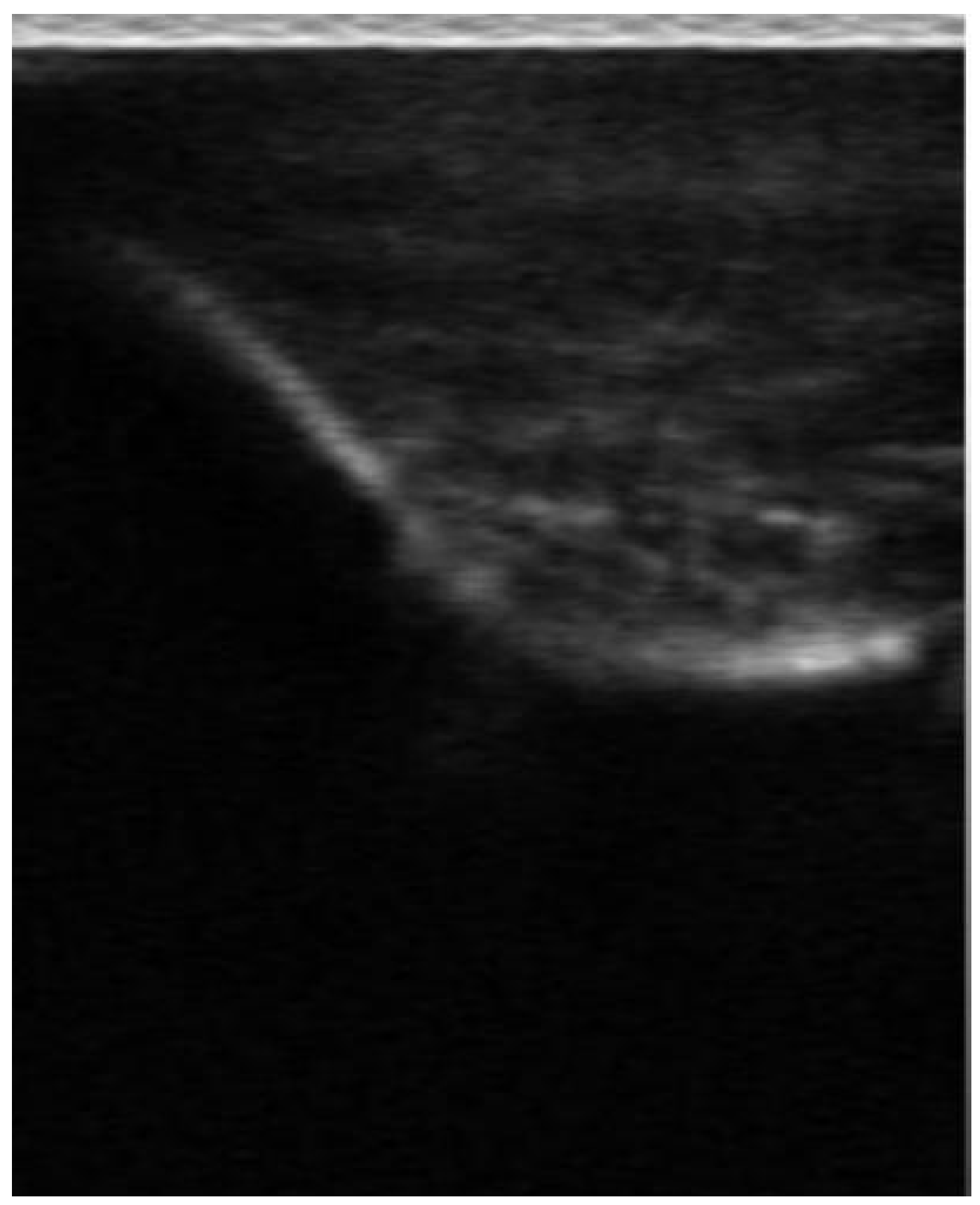
2.2. Live and Carcass Measurements
2.3. Statistical Analysis
3. Results
3.1. Live and Carcass Traits of 28-Day-Old Carneau and Silver King Pigeons
3.2. Correlation Analyses Between BMT, BMW, BW, Breast Width, and BD
3.3. Regression Analysis of BMT and BMW
4. Discussion
5. Conclusions
Author Contributions
Funding
Institutional Review Board Statement
Informed Consent Statement
Data Availability Statement
Acknowledgments
Conflicts of Interest
References
- Li, X.; Yang, C. Challenges and opportunities for the pigeon industry. Guide Chin. Poult. 2022, 39, 15–20. [Google Scholar]
- An, Y.; Ji, F.; Wang, X.; Wang, Z.; Zhang, S. Changes of Serum Metabolites and Pathways during Development of Squabs. Chin. J. Anim. Nutr. 2021, 33, 6203–6212. [Google Scholar]
- Bu, Z. The past, present, and future of the meat pigeon industry. Guide Chin. Poult. 2021, 38, 13–19. [Google Scholar]
- Long, J.; He, Y.; Ye, J. Analysis and evaluation of nutritional components of Columba domesticus. Sci. Technol. Food Ind. 2011, 32, 447–448. [Google Scholar] [CrossRef]
- Dong, L.; Jin, J.; Liu, S.; Wang, Q.; Tao, Z.; Lu, L. Study on the production performance of white feather ace pigeon and European meat pigeon. Chin. J. Anim. Sci. 2019, 55, 58–61. [Google Scholar] [CrossRef]
- Zhang, R.; Yang, Q.; Mu, C.; Chang, L.; Fu, S. Ultrasonic method was used to measure the correlation between the thickness of the pectoral muscle of the meat pigeon and the characteristics of pigeon slaughter, body weight and body size. Heilongjiang Anim. Sci. Vet. 2019, 151–153. [Google Scholar] [CrossRef]
- Zhu, F.; Wang, Y.; Hao, J.; Yang, Y.; Li, G.; Yang, F.; Chen, Y.; Hu, S.; Hou, Z. Using Ultrasonic Technology to Measure the Fatness Traits in Peking Duck and Their Correlation with Carcass Traits. China Poult. 2015, 37, 6–9. [Google Scholar] [CrossRef]
- Yang, Z.; Zhao, F.; Yang, H.; Xu, L.; Wan, X. Correlation and Regression Analysis of Breast Muscle Thickness with Body Weight, Keel Bone Length and Breast Muscle Weight of Yangzhou Goose. China Poult. 2019, 41, 10–14. [Google Scholar] [CrossRef]
- Silva, S.R.; Pinheiro, V.C.; Guedes, C.M.; Mourão, J.M. Prediction of carcass and breast weights and yields in broiler chickens using breast volume determined in vivo by real-time ultrasonic measurement. Br. Poult. Sci. 2007, 47, 694–699. [Google Scholar] [CrossRef]
- Huang, K.; Chunchun; Wang, J. Application of Imaging Technology in Poultry Breeding. In Proceedings of the 13th National Poultry Science Symposium: Opportunities and Challenges in the Chinese Poultry Industry; Chinese Association of Animal Science and Veterinary Medicine, Sichuan Agricultural University: Sichuan, China, 2007; p. 4. [Google Scholar]
- Zhang, S.; Kang, X.; Deng, L.; Wang, Y.; Li, X.; Wang, G.; He, C. Ultrasonographic study on the method to determine some character and organ of Gushi Cock. J. Henan Agric. Univ. 2003, 37, 174–177. [Google Scholar] [CrossRef]
- Chen, Z.; Zhang, C. Preliminary application of ultrasound tomography in veterinary clinic. Heilongjiang Anim. Sci. Vet. 1996, 12, 33–35. [Google Scholar]
- Hou, S.; Huang, W.; Fan, H.; Zhao, L.; Yu, J. Correlation of Breast Muscle Thickness Measured With Ultrasound Scanner and Carcass Trait. Acta Vet. Zootech. Sin. 2004, 35, 395–398. [Google Scholar]
- Silva, S.R.; Guedes, C.M.; Mourão, J.L.; Pio, A.; Pinheiro, V.M. The value of in vivo real time ultrasonography in assessing loin muscularity and carcass composition of rabbits. Meat Sci. 2009, 81, 357–363. [Google Scholar] [CrossRef]
- Emenheiser, J.C.; Greiner, S.P.; Lewis, R.M.; Notter, D.R. Validation of Live Animal Ultrasonic Measurements of Body Composition in Market Lambs. Anim. Sci. 2010, 88, 2932–2939. [Google Scholar] [CrossRef]
- Emenheiser, J.C.; Tait, R.G., Jr.; Shackelford, S.D.; Kuehn, L.A.; Wheeler, T.L.; Notter, D.R.; Lewis, R.M. Use of ultrasound scanning and BCS to evaluate composition traits in mature beef cows. Anim. Sci. 2014, 92, 3868–3877. [Google Scholar]
- Lee, Y.; Lee, O.; Cho, J.; Shin, H.; Choi, Y.; Shim, Y.; Choi, W.; Shin, H.; Lee, D.; Shin, S. Ultrasonic Measurement of Fetal Parameters for Estimation of Gestational Age in Korean Black Goats. Meat Sci. 2005, 67, 497–502. [Google Scholar]
- Ni, A.; Sun, H.; Li, Y.; Chen, C.; Sun, Y.; Li, F.; Ma, H.; Chen, J. Growth Performance and Correlation Analysis of Different Pigeon Breeds. Chin. J. Anim. Sci. 2019, 55, 91–95. [Google Scholar] [CrossRef]
- Wang, T.; Hou, H.; Dong, H.; Tu, Y.; Zhang, W.; Yao, J. Comparative Analysis on Production Performance of White Carneau and Silver King Pigeons in Different Seasons. China Poult. 2023, 45, 1–6. [Google Scholar]
- Tang, Q.; Bu, Z.; Song, C.; Mu, C.; Zhao, H. Determination of production performance for different strains of european pigeons. J. Domest. Anim. Ecol. 2018, 39, 73–76. [Google Scholar]
- Scheuermann, G.N.; Bilgili, S.F.; Hess, J.B.; Mulvaney, D.R. Breast Muscle Development In Commercial Broiler Chickens. Poult. Sci. 2003, 82, 1648–1658. [Google Scholar] [PubMed]
- Oviedo-Rondón, E.O.; Parker, J.; Clemente-Hernández, S. Application of real-time ultrasound technology to estimate in vivo breast muscle weight of broiler chickens. Br. Poult. Sci. 2007, 48, 154–161. [Google Scholar] [CrossRef] [PubMed]
- Bochno, R.; Rymkiewicz, J.; Szeremeta, J. Regression equations for in vivo estimation of the meat content of Pekin duck carcases. Br. Poult. Sci. 2010, 41, 313–317. [Google Scholar]
- Xu, T.; Hou, S.; Liu, X.; Huang, W. Study of Synthetic Selection Index of Breast Meat Weight and Breast Meat Rate with Main Body Size and Body Weight Traits in Pekin Duck. China Poult. 2004, 8–10. [Google Scholar] [CrossRef]
- Kleczek, K.; Wawro, K.; Wilkiewicz-Wawro, E.; Makowski, W. Multiple Regression Equations to Estimate the Content of Breast Muscles, Meat, and Fat in Muscovy Ducks. Poult. Sci. 2006, 85, 1318–1326. [Google Scholar]








| Variety | BMT at Point A (mm) | BMT at Point B (mm) | Breast Width (mm) | BD (mm) | Live BW (g) | Dressed Weight (g) | BMW (g) |
|---|---|---|---|---|---|---|---|
| Carneau pigeon | 15.30 ± 1.75 | 11.87 ± 1.69 | 66.73 ± 5.09 | 71.70 ± 2.95 | 524.51 ± 52.82 | 456.49 ± 48.18 | 95.19 ± 15.26 |
| Silver King pigeon | 14.71 ± 1.29 | 11.10 ± 1.40 | 62.64 ± 3.47 | 70.87 ± 3.11 | 478.26 ± 40.16 | 418.73 ± 35.63 | 85.23 ± 11.51 |
| p | 0.007 | 0.225 | 0.001 | 0.988 | 0.017 | 0.016 | 0.094 |
| Item | BMT at Point A | BMT at Point B | BMW | Breast Width | BD | Live BW | Dressed Weight |
|---|---|---|---|---|---|---|---|
| BMT at Point A | 1 | ||||||
| BMT at Point B | 0.904 ** | 1 | |||||
| BMW | 0.907 ** | 0.874 ** | 1 | ||||
| Breast width | 0.395 ** | 0.494 ** | 0.510 ** | 1 | |||
| BD | 0.187 | 0.213 * | 0.273 ** | 0.518 ** | 1 | ||
| Live BW | 0.548 ** | 0.527 ** | 0.672 ** | 0.416 ** | 0.322 ** | 1 | |
| Dressed weight | 0.665 ** | 0.638 ** | 0.711 ** | 0.476 ** | 0.359 ** | 0.967 ** | 1 |
| Item | BMT at Point A | BMT at Point B | BMW | Breast Width | BD | Live BW | Dressed Weight |
|---|---|---|---|---|---|---|---|
| BMT at Point A | 1 | ||||||
| BMT at Point B | 0.844 ** | 1 | |||||
| BMW | 0.897 ** | 0.760 ** | 1 | ||||
| Breast width | 0.512 ** | 0.486 ** | 0.590 ** | 1 | |||
| BD | 0.388 ** | 0.497 ** | 0.471 ** | 0.291 * | 1 | ||
| Live BW | 0.366 ** | 0.420 ** | 0.533 ** | 0.545 ** | 0.275 ** | 1 | |
| Dressed weight | 0.388 ** | 0.567 ** | 0.634 ** | 0.579 ** | 0.469 ** | 0.906 ** | 1 |
| Sample Group | Sample Size | Correlation Coefficient |
|---|---|---|
| Male Carneau pigeons | 66 | 0.912 |
| Female Carneau pigeons | 37 | 0.896 |
| Male Silver King pigeons | 49 | 0.882 |
| Female Silver King pigeons | 54 | 0.911 |
Disclaimer/Publisher’s Note: The statements, opinions and data contained in all publications are solely those of the individual author(s) and contributor(s) and not of MDPI and/or the editor(s). MDPI and/or the editor(s) disclaim responsibility for any injury to people or property resulting from any ideas, methods, instructions or products referred to in the content. |
© 2025 by the authors. Licensee MDPI, Basel, Switzerland. This article is an open access article distributed under the terms and conditions of the Creative Commons Attribution (CC BY) license (https://creativecommons.org/licenses/by/4.0/).
Share and Cite
Gao, R.; Hou, H.; Zheng, S.; Wang, X.; Ding, W.; Tu, Y.; Li, X.; Yang, C.; Shen, X.; Yao, J. Application of Ultrasonic Nondestructive Testing for Breeding of Meat Pigeons. Appl. Sci. 2025, 15, 1640. https://doi.org/10.3390/app15031640
Gao R, Hou H, Zheng S, Wang X, Ding W, Tu Y, Li X, Yang C, Shen X, Yao J. Application of Ultrasonic Nondestructive Testing for Breeding of Meat Pigeons. Applied Sciences. 2025; 15(3):1640. https://doi.org/10.3390/app15031640
Chicago/Turabian StyleGao, Ruiyuan, Haobin Hou, Suwei Zheng, Xiaoliang Wang, Weixing Ding, Yingying Tu, Xianyao Li, Changsuo Yang, Xiaohui Shen, and Junfeng Yao. 2025. "Application of Ultrasonic Nondestructive Testing for Breeding of Meat Pigeons" Applied Sciences 15, no. 3: 1640. https://doi.org/10.3390/app15031640
APA StyleGao, R., Hou, H., Zheng, S., Wang, X., Ding, W., Tu, Y., Li, X., Yang, C., Shen, X., & Yao, J. (2025). Application of Ultrasonic Nondestructive Testing for Breeding of Meat Pigeons. Applied Sciences, 15(3), 1640. https://doi.org/10.3390/app15031640
