Choroidal Alterations in Diabetic Macular Edema Treated with Intravitreal Dexamethasone: What Can Choroidal Vascularity Index Tell Us?
Abstract
1. Introduction
2. Materials and Methods
2.1. Study Design
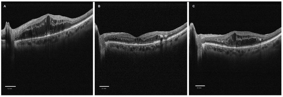
2.2. OCT and Choroidal Vascularity Index
2.3. Data Analysis
3. Results
4. Discussion
Author Contributions
Funding
Institutional Review Board Statement
Informed Consent Statement
Data Availability Statement
Conflicts of Interest
References
- Hossain, M.J.; Al-Mamun, M.; Islam, M.R. Diabetes Mellitus, the Fastest Growing Global Public Health Concern: Early Detection Should Be Focused. Health Sci. Rep. 2024, 7, e2004. [Google Scholar] [CrossRef] [PubMed]
- Zhang, J.; Zhang, J.; Zhang, C.; Zhang, J.; Gu, L.; Luo, D.; Qiu, Q. Diabetic Macular Edema: Current Understanding, Molecular Mechanisms and Therapeutic Implications. Cells 2022, 11, 3362. [Google Scholar] [CrossRef] [PubMed]
- Campos, A.; Campos, E.J.; Martins, J.; Ambrósio, A.F.; Silva, R. Viewing the Choroid: Where We Stand, Challenges and Contradictions in Diabetic Retinopathy and Diabetic Macular Oedema. Acta Ophthalmol. 2017, 95, 446–459. [Google Scholar] [CrossRef] [PubMed]
- Lutty, G.A. Diabetic Choroidopathy. Vis. Res. 2017, 139, 161–167. [Google Scholar] [CrossRef]
- Scuderi, L.; Fragiotta, S.; Di Pippo, M.; Abdolrahimzadeh, S. The Role of Diabetic Choroidopathy in the Pathogenesis and Progression of Diabetic Retinopathy. Int. J. Mol. Sci. 2023, 24, 10167. [Google Scholar] [CrossRef]
- Hidayat, A.A.; Fine, B.S. Diabetic Choroidopathy. Light and Electron Microscopic Observations of Seven Cases. Ophthalmology 1985, 92, 512–522. [Google Scholar] [CrossRef]
- Lutty, G.A.; Cao, J.; McLeod, D.S. Relationship of Polymorphonuclear Leukocytes to Capillary Dropout in the Human Diabetic Choroid. Am. J. Pathol. 1997, 151, 707–714. [Google Scholar]
- Yang, C.-J.; Nguyen, D.D.; Lai, J.-Y. Poly(l-Histidine)-Mediated On-Demand Therapeutic Delivery of Roughened Ceria Nanocages for Treatment of Chemical Eye Injury. Adv. Sci. 2023, 10, e2302174. [Google Scholar] [CrossRef]
- Schmidt-Erfurth, U.; Garcia-Arumi, J.; Bandello, F.; Berg, K.; Chakravarthy, U.; Gerendas, B.S.; Jonas, J.; Larsen, M.; Tadayoni, R.; Loewenstein, A. Guidelines for the Management of Diabetic Macular Edema by the European Society of Retina Specialists (EURETINA). Ophthalmologica 2017, 237, 185–222. [Google Scholar] [CrossRef]
- Boyer, D.S.; Faber, D.; Gupta, S.; Patel, S.S.; Tabandeh, H.; Li, X.-Y.; Liu, C.C.; Lou, J.; Whitcup, S.M.; Ozurdex CHAMPLAIN Study Group. Dexamethasone Intravitreal Implant for Treatment of Diabetic Macular Edema in Vitrectomized Patients. Retina 2011, 31, 915–923. [Google Scholar] [CrossRef]
- Lazic, R.; Lukic, M.; Boras, I.; Draca, N.; Vlasic, M.; Gabric, N.; Tomic, Z. Treatment of Anti-Vascular Endothelial Growth Factor-Resistant Diabetic Macular Edema with Dexamethasone Intravitreal Implant. Retina 2014, 34, 719–724. [Google Scholar] [CrossRef] [PubMed]
- Meduri, A.; Oliverio, G.W.; Trombetta, L.; Giordano, M.; Inferrera, L.; Trombetta, C.J. Optical Coherence Tomography Predictors of Favorable Functional Response in Naïve Diabetic Macular Edema Eyes Treated with Dexamethasone Implants as a First-Line Agent. J. Ophthalmol. 2021, 2021, 6639418. [Google Scholar] [CrossRef] [PubMed]
- Vujosevic, S.; Martini, F.; Cavarzeran, F.; Pilotto, E.; Midena, E. Macular and Peripapillary Choroidal Thickness in Diabetic Patients. Retina 2012, 32, 1781–1790. [Google Scholar] [CrossRef] [PubMed]
- Unsal, E.; Eltutar, K.; Zirtiloğlu, S.; Dinçer, N.; Ozdoğan Erkul, S.; Güngel, H. Choroidal Thickness in Patients with Diabetic Retinopathy. Clin. Ophthalmol. 2014, 8, 637–642. [Google Scholar] [CrossRef]
- Xu, J.; Xu, L.; Du, K.F.; Shao, L.; Chen, C.X.; Zhou, J.Q.; Wang, Y.X.; You, Q.S.; Jonas, J.B.; Wei, W.B. Subfoveal Choroidal Thickness in Diabetes and Diabetic Retinopathy. Ophthalmology 2013, 120, 2023–2028. [Google Scholar] [CrossRef]
- Querques, G.; Lattanzio, R.; Querques, L.; Del Turco, C.; Forte, R.; Pierro, L.; Souied, E.H.; Bandello, F. Enhanced Depth Imaging Optical Coherence Tomography in Type 2 Diabetes. Invest. Ophthalmol. Vis. Sci. 2012, 53, 6017–6024. [Google Scholar] [CrossRef]
- Kim, J.T.; Lee, D.H.; Joe, S.G.; Kim, J.-G.; Yoon, Y.H. Changes in Choroidal Thickness in Relation to the Severity of Retinopathy and Macular Edema in Type 2 Diabetic Patients. Investig. Ophthalmol. Vis. Sci. 2013, 54, 3378–3384. [Google Scholar] [CrossRef]
- Xie, J.; Ye, L.; Chen, Q.; Shi, Y.; Hu, G.; Yin, Y.; Zou, H.; Zhu, J.; Fan, Y.; He, J.; et al. Choroidal Thickness and Its Association with Age, Axial Length, and Refractive Error in Chinese Adults. Investig. Ophthalmol. Vis. Sci. 2022, 63, 34. [Google Scholar] [CrossRef]
- Di Pippo, M.; Santia, C.; Rullo, D.; Ciancimino, C.; Grassi, F.; Abdolrahimzadeh, S. The Choroidal Vascularity Index Versus Optical Coherence Tomography Angiography in the Evaluation of the Choroid with a Focus on Age-Related Macular Degeneration. Tomography 2023, 9, 1456–1470. [Google Scholar] [CrossRef]
- Sonoda, S.; Sakamoto, T.; Yamashita, T.; Uchino, E.; Kawano, H.; Yoshihara, N.; Terasaki, H.; Shirasawa, M.; Tomita, M.; Ishibashi, T. Luminal and Stromal Areas of Choroid Determined by Binarization Method of Optical Coherence Tomographic Images. Am. J. Ophthalmol. 2015, 159, 1123–1131.e1. [Google Scholar] [CrossRef]
- Agrawal, R.; Gupta, P.; Tan, K.-A.; Cheung, C.M.G.; Wong, T.-Y.; Cheng, C.-Y. Choroidal Vascularity Index as a Measure of Vascular Status of the Choroid: Measurements in Healthy Eyes from a Population-Based Study. Sci. Rep. 2016, 6, 21090. [Google Scholar] [CrossRef] [PubMed]
- Duran, M.; Cevher, S.; Kendirci, H.N.P. Choroidal Thickness and Choroidal Vascularity Index Changes in Children with Type 1 Diabetes Mellitus without Retinopathy. Photodiagnosis Photodyn. Ther. 2023, 43, 103706. [Google Scholar] [CrossRef] [PubMed]
- Aksoy, M.; Simsek, M.; Apaydın, M. Choroidal Vascularity Index in Patients with Type-1 Diabetes Mellitus without Diabetic Retinopathy. Curr. Eye Res. 2021, 46, 865–870. [Google Scholar] [CrossRef] [PubMed]
- Rodríguez-Valdés, P.J.; Rehak, M.; Zur, D.; Sala-Puigdollers, A.; Fraser-Bell, S.; Lupidi, M.; Chhablani, J.; Cebeci, Z.; Laíns, I.; Chaikitmongkol, V.; et al. GRAding of Functional and Anatomical Response to DExamethasone Implant in Patients with Diabetic Macular Edema: GRADE-DME Study. Sci. Rep. 2021, 11, 4738. [Google Scholar] [CrossRef]
- Kase, S.; Endo, H.; Takahashi, M.; Ito, Y.; Saito, M.; Yokoi, M.; Katsuta, S.; Sonoda, S.; Sakamoto, T.; Ishida, S.; et al. Alteration of Choroidal Vascular Structure in Diabetic Macular Edema. Graefe’s Arch. Clin. Exp. Ophthalmol. 2020, 258, 971–977. [Google Scholar] [CrossRef]
- Tan, K.-A.; Laude, A.; Yip, V.; Loo, E.; Wong, E.P.; Agrawal, R. Choroidal Vascularity Index—A Novel Optical Coherence Tomography Parameter for Disease Monitoring in Diabetes Mellitus? Acta Ophthalmol. 2016, 94, e612–e616. [Google Scholar] [CrossRef]
- Gupta, P.; Thakku, S.G.; Sabanayagam, C.; Tan, G.; Agrawal, R.; Cheung, C.M.G.; Lamoureux, E.L.; Wong, T.-Y.; Cheng, C.-Y. Characterisation of Choroidal Morphological and Vascular Features in Diabetes and Diabetic Retinopathy. Br. J. Ophthalmol. 2017, 101, 1038–1044. [Google Scholar] [CrossRef]
- Kase, S.; Ishida, S.; Rao, N.A. Immunolocalization of Advanced Glycation End Products in Human Diabetic Eyes: An Immunohistochemical Study. J. Diabetes Mellit. 2011, 1, 57–62. [Google Scholar] [CrossRef]
- Chi, S.-C.; Kang, Y.-N.; Huang, Y.-M. Efficacy and Safety Profile of Intravitreal Dexamethasone Implant versus Antivascular Endothelial Growth Factor Treatment in Diabetic Macular Edema: A Systematic Review and Meta-Analysis. Sci. Rep. 2023, 13, 7428. [Google Scholar] [CrossRef]
- Rishi, P.; Verma, A.; Akhtar, Z.; Agrawal, R.; Agrawal, A.; Kalluri Bharat, R.P.; Rishi, E. Intravitreal Ozurdex Has No Short Term Influence on Choroidal Thickness and Vascularity Index in Eyes with Diabetic Macular Edema: A Pilot Study. Oman J. Ophthalmol. 2021, 14, 179–183. [Google Scholar] [CrossRef]
- Bilici, S.; Serbest, E.; Ugurbas, S.H. Short-Term Effects of Intravitreal Dexamethasone Implant on Choroidal Structure in Eyes with Refractory Diabetic Macular Edema. Beyoglu Eye J. 2023, 8, 193–197. [Google Scholar] [CrossRef] [PubMed]
- Kocamiş, Ö.; Temel, E.; Özcan, G.; Aşikgarip, N.; Örnek, K. Choroidal Vascularity Index after a Single Dose of Intravitreal Dexamethasone Implant in Patients with Refractory Diabetic Macular Oedema. Photodiagnosis Photodyn. Ther. 2022, 39, 102996. [Google Scholar] [CrossRef] [PubMed]
- İlgüy, S.; Işık, M.U. Prognostic Value of Choroidal Vascular Index in Determining Response to Intravitreal Dexamethasone Implant Treatment Used in Refractory Diabetic Macular Edema. Lasers Med. Sci. 2023, 38, 47. [Google Scholar] [CrossRef] [PubMed]
- Chang-Lin, J.-E.; Attar, M.; Acheampong, A.A.; Robinson, M.R.; Whitcup, S.M.; Kuppermann, B.D.; Welty, D. Pharmacokinetics and Pharmacodynamics of a Sustained-Release Dexamethasone Intravitreal Implant. Investig. Ophthalmol. Vis. Sci. 2011, 52, 80–86. [Google Scholar] [CrossRef]
- Toprak, A.; Koc, H.; Alpay, A.; Ugurbas, S.H. The Effect of Intravitreal Anti-VEGF Injections on Choroidal Vascular Index in Patients with Diabetic Macular Edema. Cutan. Ocul. Toxicol. 2024, 43, 204–210. [Google Scholar] [CrossRef]
- Dou, N.; Yu, S.; Tsui, C.-K.; Yang, B.; Lin, J.; Lu, X.; Xu, Y.; Wu, B.; Zhao, J.; Liang, X. Choroidal Vascularity Index as a Biomarker for Visual Response to Antivascular Endothelial Growth Factor Treatment in Diabetic Macular Edema. J. Diabetes Res. 2021, 2021, 3033219. [Google Scholar] [CrossRef]
- Munk, M.R.; Somfai, G.M.; de Smet, M.D.; Donati, G.; Menke, M.N.; Garweg, J.G.; Ceklic, L. The Role of Intravitreal Corticosteroids in the Treatment of DME: Predictive OCT Biomarkers. Int. J. Mol. Sci. 2022, 23, 7585. [Google Scholar] [CrossRef]
- Naqvi, S.S.Z.H.; Imani, S.; Hosseinifard, H.; Wen, Q.-L.; Shahzad, M.N.; Ijaz, I.; Deng, Y.; Guo, M.; Xu, Y. Associations of Serum Low-Density Lipoprotein and Systolic Blood Pressure Levels with Type 2 Diabetic Patients with and without Peripheral Neuropathy: Systemic Review, Meta-Analysis and Meta-Regression Analysis of Observational Studies. BMC Endocr. Disord. 2019, 19, 125. [Google Scholar] [CrossRef]
- Xue, C.; Chen, K.; Gao, Z.; Bao, T.; Dong, L.; Zhao, L.; Tong, X.; Li, X. Common Mechanisms Underlying Diabetic Vascular Complications: Focus on the Interaction of Metabolic Disorders, Immuno-Inflammation, and Endothelial Dysfunction. Cell Commun. Signal. 2023, 21, 298. [Google Scholar] [CrossRef]
- Aşıkgarip, N.; Temel, E.; Kıvrak, A.; Örnek, K. Choroidal Structural Changes and Choroidal Vascularity Index in Patients with Systemic Hypertension. Eur. J. Ophthalmol. 2022, 32, 2427–2432. [Google Scholar] [CrossRef]
- Temel, E.; Özcan, G.; Yanık, Ö.; Demirel, S.; Batıoğlu, F.; Kar, İ.; Özmert, E. Choroidal Structural Alterations in Diabetic Patients in Association with Disease Duration, HbA1c Level, and Presence of Retinopathy. Int. Ophthalmol. 2022, 42, 3661–3672. [Google Scholar] [CrossRef]


| Baseline (n = 37) | 2 Months Post-IVD (n = 37) | 4 Months Post-IVD (n = 37) | p-Value a | |
|---|---|---|---|---|
| CVI | 0.775 ± 0.71 | 0.764 ± 0.73 | 0.757 ± 0.71 | 0.127 |
| LA | 2.033 ± 0.59 | 1.956 ± 0.62 | 1.925 ± 0.48 | 0.183 |
| SA | 0.554 ± 0.17 | 0.586 ± 0.20 | 0.597 ± 0.19 | 0.292 |
| TA | 2.588 ± 0.61 | 2.543 ± 0.62 | 2.523 ± 0.51 | 0.602 |
| Baseline (n = 29) | 2 Months Post-IVD (n = 29) | 4 Months Post-IVD (n = 29) | p-Value a | |
|---|---|---|---|---|
| CVI | 0.773 ± 0.71 | 0.760 ± 0.71 | 0.752 ± 0.68 | 0.048 * |
| LA | 2.032 ± 0.60 | 1.907 ± 0.61 | 1.906 ± 0.49 | 0.134 |
| SA | 0.560 ± 0.17 | 0.593 ± 0.21 | 0.610 ± 0.19 | 0.237 |
| TA | 2.593 ± 0.63 | 2.500 ± 0.62 | 2.521 ± 0.55 | 0.466 |
| Baseline (n = 37) | 2 Months Post-IVD (n = 37) | 4 Months Post-IVD (n = 37) | p-Value a | p-Value b | p-Value c | |
|---|---|---|---|---|---|---|
| CVI | 0.773 ± 0.71 | 0.760 ± 0.71 | 0.752 ± 0.68 | 0.653 | 0.045 * | 1.000 |
| Baseline (n = 29) | 2 Months Post-IVD (n = 29) | 4 Months Post-IVD (n = 29) | |
|---|---|---|---|
| SRF n (%) | 2 (3.3) | 0 (0) | 2 (3.3) |
| DRIL n (%) | 14 (23) | 14 (23) | 14 (23) |
| Disruption of EZ (μm) | 360.58 ± 241.45 | 359.13 ± 232.51 | 358.92 ± 231.57 |
| HRF | 2.07 ± 2.01 | 2.06 ± 1.86 | 2.05 ± 1.56 |
Disclaimer/Publisher’s Note: The statements, opinions and data contained in all publications are solely those of the individual author(s) and contributor(s) and not of MDPI and/or the editor(s). MDPI and/or the editor(s) disclaim responsibility for any injury to people or property resulting from any ideas, methods, instructions or products referred to in the content. |
© 2024 by the authors. Licensee MDPI, Basel, Switzerland. This article is an open access article distributed under the terms and conditions of the Creative Commons Attribution (CC BY) license (https://creativecommons.org/licenses/by/4.0/).
Share and Cite
Di Pippo, M.; Fumi, D.; Maugliani, E.; Ruggeri, F.; Abdolrahimzadeh, S. Choroidal Alterations in Diabetic Macular Edema Treated with Intravitreal Dexamethasone: What Can Choroidal Vascularity Index Tell Us? Appl. Sci. 2024, 14, 8439. https://doi.org/10.3390/app14188439
Di Pippo M, Fumi D, Maugliani E, Ruggeri F, Abdolrahimzadeh S. Choroidal Alterations in Diabetic Macular Edema Treated with Intravitreal Dexamethasone: What Can Choroidal Vascularity Index Tell Us? Applied Sciences. 2024; 14(18):8439. https://doi.org/10.3390/app14188439
Chicago/Turabian StyleDi Pippo, Mariachiara, Daniele Fumi, Elisa Maugliani, Francesco Ruggeri, and Solmaz Abdolrahimzadeh. 2024. "Choroidal Alterations in Diabetic Macular Edema Treated with Intravitreal Dexamethasone: What Can Choroidal Vascularity Index Tell Us?" Applied Sciences 14, no. 18: 8439. https://doi.org/10.3390/app14188439
APA StyleDi Pippo, M., Fumi, D., Maugliani, E., Ruggeri, F., & Abdolrahimzadeh, S. (2024). Choroidal Alterations in Diabetic Macular Edema Treated with Intravitreal Dexamethasone: What Can Choroidal Vascularity Index Tell Us? Applied Sciences, 14(18), 8439. https://doi.org/10.3390/app14188439

