Idiopathic External Cervical Resorption of the Impacted Second Premolar: A Case Report
Abstract
1. Introduction
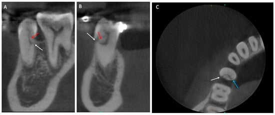
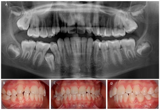
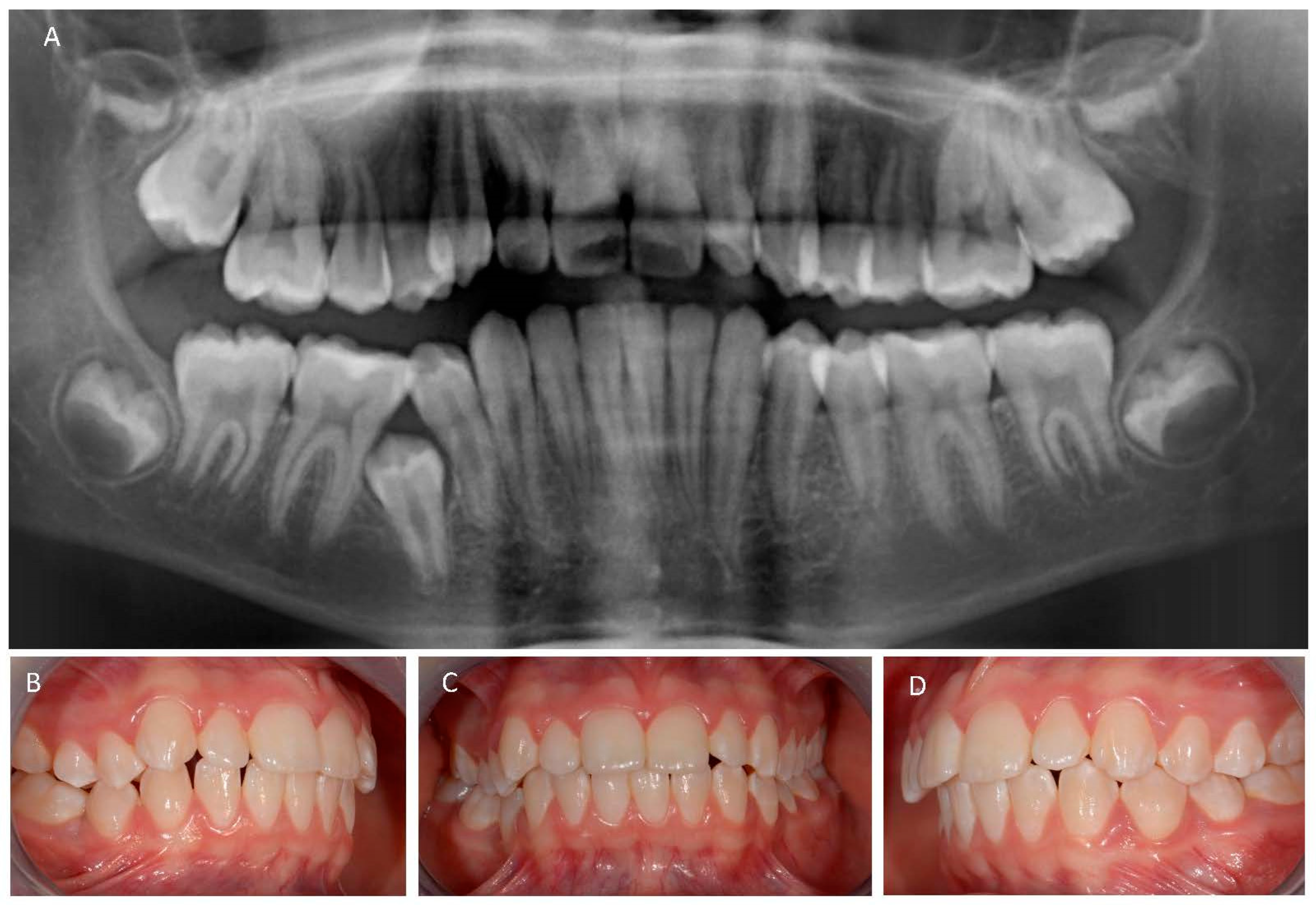
2. Case Presentation
3. Discussion
4. Conclusions
Author Contributions
Funding
Institutional Review Board Statement
Informed Consent Statement
Data Availability Statement
Conflicts of Interest
Correction Statement
References
- Chaushu, S.; Vryonidou, M.; Becker, A.; Leibovich, A.; Dekel, E.; Dykstein, N.; Nucci, L.; Perillo, L. The labiopalatal impacted canine: Accurate diagnosis based on the position and size of adjacent teeth: A cone-beam computed tomography study. Am. J. Orthod. Dentofac. Orthop. 2022, 163, 690–699. [Google Scholar] [CrossRef]
- Simşek-Kaya, G.; Özbek, E.; Kalkan, Y.; Yapici, G.; Dayi, E.; Demirci, T. Soft tissue pathosis associated with asymptomatic impacted lower third molars. Med. Oral. Patol. Oral. Cir. Bucal. 2011, 16, e929–e936. [Google Scholar] [CrossRef][Green Version]
- Siotou, K.; Kouskouki, M.P.; Christopoulou, I.; Tsolakis, A.I.; Tsolakis, I.A. Frequency and Local Etiological Factors of Impaction of Permanent Teeth among 1400 Patients in a Greek Population. Dent. J. 2022, 10, 150. [Google Scholar] [CrossRef]
- Alberto, P.L. Surgical Exposure of Impacted Teeth. Oral. Maxillofac. Surg. Clin. N. Am. 2020, 32, 561–570. [Google Scholar] [CrossRef] [PubMed]
- Al-Abdallah, M.; AlHadidi, A.; Hammad, M.; Dar-Odeh, N. What factors affect the severity of permanent tooth impaction? BMC Oral Health 2018, 18, 184. [Google Scholar] [CrossRef]
- Carr, L.M. The Effect of Extraction of Deciduous Molars on the Eruption of Bicuspid Teeth. ADJ 1963, 8, 130–136. [Google Scholar] [CrossRef]
- Koutzoglou, S.I.; Kostaki, A. Effect of surgical exposure technique, age, and grade of impaction on ankylosis of an impacted canine, and the effect of rapid palatal expansion on eruption: A prospective clinical study. Am. J. Orthod. Dentofac. Orthop. 2013, 143, 342–352. [Google Scholar] [CrossRef] [PubMed]
- Al-Kyssi, H.A.; Al-Mogahed, N.M.; Altawili, Z.M.; Dahan, F.N.; Almashraqi, A.A.; Aldhorae, K.; Alhammadi, M.S. Predictive factors associated with adjacent teeth root resorption of palatally impacted canines in Arabian population: A cone-beam computed tomography analysis. BMC Oral Health 2022, 22, 220. [Google Scholar] [CrossRef]
- Rafflenbeul, F.; Gros, C.I.; Lefebvre, F.; Bahi-Gross, S.; Maizeray, R.; Bolender, Y. Prevalence and risk factors of root resorption of adjacent teeth in maxillary canine impaction, among untreated children and adolescents. Eur. J. Orthod. 2019, 41, 447–453. [Google Scholar] [CrossRef]
- Kaczor-Urbanowicz, K.; Zadurska, M.; Czochrowska, E. Impacted Teeth: An Interdisciplinary Perspective. Adv. Clin. Exp. Med. 2016, 25, 575–585. [Google Scholar] [CrossRef]
- Stabryła, J.; Plakwicz, P.; Kukuła, K.; Zadurska, M.; Czochrowska, E.M. Comparisons of different treatment methods and their outcomes for impacted maxillary and mandibular canines: A retrospective study. J. Am. Dent. Assoc. 2021, 152, 919–926. [Google Scholar] [CrossRef]
- Ericson, S.; Kurol, J. Early treatment of palatally erupting maxillary canines by extraction of the primary canines. Eur. J. Orthod. 1988, 10, 283–295. [Google Scholar] [CrossRef] [PubMed]
- Leonardi, M.; Armi, P.; Franchi, L.; Baccetti, T. Two interceptive approaches to palatally displaced canines: A prospective longitudinal study. Angle Orthod. 2004, 74, 581–586. [Google Scholar]
- Baccetti, T.; Leonardi, M.; Armi, P. A randomized clinical study of two interceptive approaches to palatally displaced canines. Eur. J. Orthod. 2008, 30, 381–385. [Google Scholar] [CrossRef] [PubMed]
- Einy, S.; Michaeli-Geller, G.; Aizenbud, D. Eruption Treatment of Impacted Teeth Following Surgical Obstruction Removal. Appl. Sci. 2022, 12, 449. [Google Scholar] [CrossRef]
- Nagendrababu, V.; Duncan, H.F.; Bjørndal, L.; Kvist, T.; Priya, E.; Jayaraman, J.; Pulikkotil, S.J.; Pigg, M.; Rechenberg, D.K.; Vaeth, M.; et al. PRICE 2020 guidelines for reporting randomized trials in Endodontics: A consensus-based development. Int. Endod. J. 2020, 53, 764–773. [Google Scholar] [CrossRef] [PubMed]
- Frank, C.A. Treatment options for impacted teeth. J. Am. Dent. Assoc. 2000, 131, 623–632. [Google Scholar] [CrossRef]
- Li, H.; Qi, W.; Chen, G. Interdisclipinary treatment of an adult patient with an ankylosed incisor. AJO-DO Clin. Companion 2022, 2, 472–483. [Google Scholar] [CrossRef]
- Takahashi, T.; Takagi, T.; Moriyama, K. Orthodontic treatment of a traumatically intruded tooth with ankylosis by traction after surgical luxation. Am. J. Orthod. Dentofac. Orthop. 2005, 127, 233–241. [Google Scholar] [CrossRef]
- Biederman, W. Etiology and Treatment of Tooth Ankylosis. AJO 1962, 48, 670–684. [Google Scholar] [CrossRef]
- Patel, S.; Foschi, F.; Mannocci, F.; Patel, K. External cervical resorption: A three-dimensional classification. Int. Endod. J. 2018, 51, 206–214. [Google Scholar] [CrossRef] [PubMed]
- Patel, S.; Foschi, F.; Condon, R.; Pimentel, T.; Bhuva, B. External cervical resorption: Part 2–Management. Int. Endod. J. 2018, 51, 1224–1238. [Google Scholar] [CrossRef] [PubMed]
- Patel, S.; Ford, T.P. Is the resorption external or internal? Dent. Update 2007, 34, 218–229. [Google Scholar] [CrossRef] [PubMed]
- Andreasen, J.O.; Andreasen, F.M.; Andersson, L. Textbook and Color Atlas of Traumatic Injuries to the Teeth; Wiley: Hoboken, NJ, USA, 2019. [Google Scholar]
- Patel, S.; Saberi, N.; Pimental, T.; Teng, P.H. Present status and future directions: Root resorption. Int. Endod. J. 2022, 55 (Suppl. S4), 892–921. [Google Scholar] [CrossRef]
- Brezniak, N.; Wasserstein, A. Orthodontically induced inflammatory root resorption. Part I: The basic science aspects. Angle Orthod. 2002, 72, 175–179. [Google Scholar]
- Heithersay, G.S. Invasive Cervical Resorption. Endod. Top. 2004, 7, 73–92. [Google Scholar] [CrossRef]
- Becker, A.; Abramovitz, I.; Chaushu, S. Failure of treatment of impacted canines associated with invasive cervical root resorption. Angle Orthod. 2013, 83, 870–876. [Google Scholar] [CrossRef]
- Patel, S.; Mavridou, A.M.; Lambrechts, P.; Saberi, N. External cervical resorption-part 1: Histopathology, distribution and presentation. Int. Endod. J. 2018, 51, 1205–1223. [Google Scholar] [CrossRef]
- Mavridou, A.M.; Hauben, E.; Wevers, M.; Schepers, E.; Bergmans, L.; Lambrechts, P. Understanding External Cervical Resorption in Vital Teeth. J. Endod. 2016, 42, 1737–1751. [Google Scholar] [CrossRef]
- Becker, A.; Chaushu, G.; Chaushu, S. Analysis of failure in the treatment of impacted maxillary canines. Am. J. Orthod. Dentofac. Orthop. 2010, 137, 743–754. [Google Scholar] [CrossRef]



Disclaimer/Publisher’s Note: The statements, opinions and data contained in all publications are solely those of the individual author(s) and contributor(s) and not of MDPI and/or the editor(s). MDPI and/or the editor(s) disclaim responsibility for any injury to people or property resulting from any ideas, methods, instructions or products referred to in the content. |
© 2023 by the authors. Licensee MDPI, Basel, Switzerland. This article is an open access article distributed under the terms and conditions of the Creative Commons Attribution (CC BY) license (https://creativecommons.org/licenses/by/4.0/).
Share and Cite
Zasčiurinskienė, E.; Rastokaitė, L.; Hosseinzadehfard, P.; Lodienė, G. Idiopathic External Cervical Resorption of the Impacted Second Premolar: A Case Report. Appl. Sci. 2023, 13, 11383. https://doi.org/10.3390/app132011383
Zasčiurinskienė E, Rastokaitė L, Hosseinzadehfard P, Lodienė G. Idiopathic External Cervical Resorption of the Impacted Second Premolar: A Case Report. Applied Sciences. 2023; 13(20):11383. https://doi.org/10.3390/app132011383
Chicago/Turabian StyleZasčiurinskienė, Eglė, Liveta Rastokaitė, Pedram Hosseinzadehfard, and Greta Lodienė. 2023. "Idiopathic External Cervical Resorption of the Impacted Second Premolar: A Case Report" Applied Sciences 13, no. 20: 11383. https://doi.org/10.3390/app132011383
APA StyleZasčiurinskienė, E., Rastokaitė, L., Hosseinzadehfard, P., & Lodienė, G. (2023). Idiopathic External Cervical Resorption of the Impacted Second Premolar: A Case Report. Applied Sciences, 13(20), 11383. https://doi.org/10.3390/app132011383

