Assessment of Two Commonly used Dermal Regeneration Templates in a Swine Model without Skin Grafting †
Abstract
:1. Introduction
- Biocompatibility and biodegradability;
- Ability to guide regenerative skin elements;
- Similarity to the physical strength and flexibility of normal skin;
- The 3D-matrix of naturally existing substances of the human body.
2. Materials and Methods
3. Results
3.1. Planimetric Evaluation
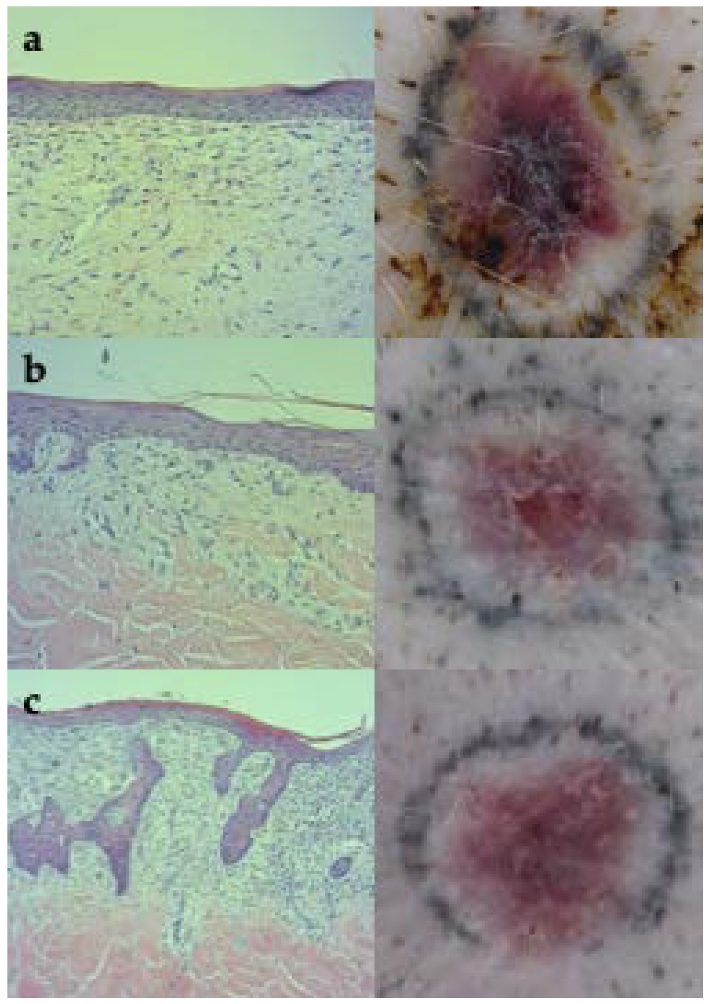
3.2. Histological Analysis
4. Discussion
5. Conclusions
Author Contributions
Funding
Institutional Review Board Statement
Acknowledgments
Conflicts of Interest
References
- Auger, F.A.; Berthod, F.; Moulin, V.; Pouliot, R.; Germain, L. Tissue-engineered skin substitutes: From in vitro constructs to in vivo applications. Biotechnol. Appl. Biochem. 2004, 39, 263–275. [Google Scholar] [CrossRef] [PubMed]
- Dieckmann, C.; Renner, R.; Milkova, L.; Simon, J.C. Regenerative medicine in dermatology: Biomaterials, tissue engineering, stem cells, gene transfer and beyond. Exp. Derm. 2010, 19, 697–706. [Google Scholar] [CrossRef] [PubMed]
- van der Veen, V.C.; van der Wal, M.B.; van Leeuwen, M.C.; Ulrich, M.M.; Middelkoop, E. Biological background of dermal substitutes. Burns 2010, 36, 305–321. [Google Scholar] [CrossRef] [PubMed]
- Bottcher-Haberzeth, S.; Biedermann, T.; Reichmann, E. Tissue engineering of skin. Burns 2010, 36, 450–460. [Google Scholar] [CrossRef]
- Bottcher-Haberzeth, S.; Biedermann, T.; Schiestl, C.; Hartmann-Fritsch, F.; Schneider, J.; Reichmann, E.; Meuli, M. Matriderm(R) 1 mm versus Integra(R) Single Layer 1.3 mm for one-step closure of full thickness skin defects: A comparative experimental study in rats. Pediatr. Surg. Int. 2012, 28, 171–177. [Google Scholar] [CrossRef]
- Hodgkinson, T.; Bayat, A. Dermal substitute-assisted healing: Enhancing stem cell therapy with novel biomaterial design. Arch. Derm. Res. 2011, 303, 301–315. [Google Scholar] [CrossRef]
- Garcia-Gareta, E.; Ravindran, N.; Sharma, V.; Samizadeh, S.; Dye, J.F. A novel multiparameter in vitro model of three-dimensional cell ingress into scaffolds for dermal reconstruction to predict in vivo outcome. Biores. Open Access 2013, 2, 412–420. [Google Scholar] [CrossRef]
- Qvist, M.H.; Hoeck, U.; Kreilgaard, B.; Madsen, F.; Frokjaer, S. Evaluation of Gottingen minipig skin for transdermal in vitro permeation studies. Eur. J. Pharm. Sci. 2000, 11, 59–68. [Google Scholar] [CrossRef]
- Sullivan, T.P.; Eaglstein, W.H.; Davis, S.C.; Mertz, P. The pig as a model for human wound healing. Wound Repair Regen. 2001, 9, 66–76. [Google Scholar] [CrossRef]
- Held, M.; Rahmanian-Schwarz, A.; Schiefer, J.; Rath, R.; Werner, J.O.; Rahmanian, S.; Schaller, H.E.; Petersen, W. A Novel Collagen-Gelatin Scaffold for the Treatment of Deep Dermal Wounds-An Evaluation in a Minipig Model. Derm. Surg. 2016, 42, 751–756. [Google Scholar] [CrossRef]
- Petersen, W.; Rahmanian-Schwarz, A.; Werner, J.O.; Schiefer, J.; Rothenberger, J.; Hubner, G.; Schaller, H.E.; Held, M. The use of collagen-based matrices in the treatment of full-thickness wounds. Burns 2016, 42, 1257–1264. [Google Scholar] [CrossRef] [PubMed]
- Schiefer, J.L.; Held, M.; Fuchs, P.C.; Demir, E.; Ploger, F.; Schaller, H.E.; Rahmanian-Schwarz, A. Growth Differentiation Factor 5 Accelerates Wound Closure and Improves Skin Quality During Repair of Full-Thickness Skin Defects. Adv. Ski. Wound Care 2017, 30, 223–229. [Google Scholar] [CrossRef]
- Schiefer, J.L.; Rath, R.; Held, M.; Petersen, W.; Werner, J.O.; Schaller, H.E.; Rahmanian-Schwarz, A. Frequent Application of the New Gelatin-Collagen Nonwoven Accelerates Wound Healing. Adv. Ski. Wound Care 2016, 29, 73–78. [Google Scholar] [CrossRef] [PubMed]
- Fu, X.; Fang, L.; Li, H.; Li, X.; Cheng, B.; Sheng, Z. Adipose tissue extract enhances skin wound healing. Wound Repair. Regen. 2007, 15, 540–548. [Google Scholar] [CrossRef] [PubMed]
- Andreassi, A.; Bilenchi, R.; Biagioli, M.; D’Aniello, C. Classification and pathophysiology of skin grafts. Clin. Derm. 2005, 23, 332–337. [Google Scholar] [CrossRef]
- Stanton, R.A.; Billmire, D.A. Skin resurfacing for the burned patient. Clin. Plast. Surg. 2002, 29, 29–51. [Google Scholar] [CrossRef]
- Supp, D.M.; Boyce, S.T. Engineered skin substitutes: Practices and potentials. Clin. Derm. 2005, 23, 403–412. [Google Scholar] [CrossRef]
- Papini, R. Management of burn injuries of various depths. BMJ 2004, 329, 158–160. [Google Scholar] [CrossRef] [Green Version]
- Murphy, P.S.; Evans, G.R. Advances in wound healing: A review of current wound healing products. Plast. Surg. Int. 2012, 2012, 190436. [Google Scholar] [CrossRef]
- Burke, J.F.; Yannas, I.V.; Quinby, W.C., Jr.; Bondoc, C.C.; Jung, W.K. Successful use of a physiologically acceptable artificial skin in the treatment of extensive burn injury. Ann. Surg. 1981, 194, 413–428. [Google Scholar] [CrossRef]
- Heimbach, D.; Luterman, A.; Burke, J.; Cram, A.; Herndon, D.; Hunt, J.; Jordan, M.; McManus, W.; Solem, L.; Warden, G.; et al. Artificial dermis for major burns. A multi-center randomized clinical trial. Ann. Surg. 1988, 208, 313–320. [Google Scholar] [CrossRef] [PubMed]
- Heimbach, D.M.; Warden, G.D.; Luterman, A.; Jordan, M.H.; Ozobia, N.; Ryan, C.M.; Voigt, D.W.; Hickerson, W.L.; Saffle, J.R.; DeClement, F.A.; et al. Multicenter postapproval clinical trial of Integra dermal regeneration template for burn treatment. J. Burn. Care Rehabil. 2003, 24, 42–48. [Google Scholar] [CrossRef] [PubMed]
- Heitland, A.; Piatkowski, A.; Noah, E.M.; Pallua, N. Update on the use of collagen/glycosaminoglycate skin substitute-six years of experiences with artificial skin in 15 German burn centers. Burns 2004, 30, 471–475. [Google Scholar] [CrossRef] [PubMed]
- Kolokythas, P.; Aust, M.C.; Vogt, P.M.; Paulsen, F. [Dermal subsitute with the collagen-elastin matrix Matriderm in burn injuries: A comprehensive review]. Handchir Mikrochir Plast Chir 2008, 40, 367–371. [Google Scholar] [CrossRef]
- Vogt, P.M.; Kolokythas, P.; Niederbichler, A.; Knobloch, K.; Reimers, K.; Choi, C.Y. Innovative wound therapy and skin substitutes for burns. Der Chir. Z. Fur Alle Geb. Der Oper. Medizen 2007, 78, 335–342. [Google Scholar] [CrossRef]
- Ryssel, H.; Gazyakan, E.; Germann, G.; Ohlbauer, M. The use of MatriDerm in early excision and simultaneous autologous skin grafting in burns—A pilot study. Burns 2008, 34, 93–97. [Google Scholar] [CrossRef]
- Haslik, W.; Kamolz, L.P.; Manna, F.; Hladik, M.; Rath, T.; Frey, M. Management of full-thickness skin defects in the hand and wrist region: First long-term experiences with the dermal matrix Matriderm. J. Plast. Reconstr. Aesthet. Surg. 2010, 63, 360–364. [Google Scholar] [CrossRef]
- Haslik, W.; Kamolz, L.P.; Nathschlager, G.; Andel, H.; Meissl, G.; Frey, M. First experiences with the collagen-elastin matrix Matriderm as a dermal substitute in severe burn injuries of the hand. Burns 2007, 33, 364–368. [Google Scholar] [CrossRef]
- Shores, J.T.; Gabriel, A.; Gupta, S. Skin substitutes and alternatives: A review. Adv. Ski. Wound Care 2007, 20, 493–508. [Google Scholar] [CrossRef]
- Atiyeh, B.S.; Hayek, S.N.; Gunn, S.W. New technologies for burn wound closure and healing--review of the literature. Burns 2005, 31, 944–956. [Google Scholar] [CrossRef]
- Bello, Y.M.; Falabella, A.F.; Eaglstein, W.H. Tissue-engineered skin. Current status in wound healing. Am. J. Clin. Derm. 2001, 2, 305–313. [Google Scholar] [CrossRef] [PubMed]
- Grzesiak, J.J.; Pierschbacher, M.D.; Amodeo, M.F.; Malaney, T.I.; Glass, J.R. Enhancement of cell interactions with collagen/glycosaminoglycan matrices by RGD derivatization. Biomaterials 1997, 18, 1625–1632. [Google Scholar] [CrossRef]
- Murray, R.C.; Gordin, E.A.; Saigal, K.; Leventhal, D.; Krein, H.; Heffelfinger, R.N. Reconstruction of the radial forearm free flap donor site using integra artificial dermis. Microsurgery 2011, 31, 104–108. [Google Scholar] [CrossRef] [PubMed]
- Klein, M.B.; Engrav, L.H.; Holmes, J.H.; Friedrich, J.B.; Costa, B.A.; Honari, S.; Gibran, N.S. Management of facial burns with a collagen/glycosaminoglycan skin substitute-prospective experience with 12 consecutive patients with large, deep facial burns. Burns 2005, 31, 257–261. [Google Scholar] [CrossRef]
- Helgeson, M.D.; Potter, B.K.; Evans, K.N.; Shawen, S.B. Bioartificial dermal substitute: A preliminary report on its use for the management of complex combat-related soft tissue wounds. J. Orthop Trauma 2007, 21, 394–399. [Google Scholar] [CrossRef]
- Chou, T.D.; Chen, S.L.; Lee, T.W.; Chen, S.G.; Cheng, T.Y.; Lee, C.H.; Chen, T.M.; Wang, H.J. Reconstruction of burn scar of the upper extremities with artificial skin. Plast. Reconstr. Surg. 2001, 108, 378–384. [Google Scholar] [CrossRef] [Green Version]
- Wisser, D.; Steffes, J. Skin replacement with a collagen based dermal substitute, autologous keratinocytes and fibroblasts in burn trauma. Burns 2003, 29, 375–380. [Google Scholar] [CrossRef]
- Fulchignoni, C.; Rocchi, L.; Cauteruccio, M.; Merendi, G. Matriderm dermal substitute in the treatment of post traumatic hand’s fingertip tissue loss. J. Cosmet. Dermatol. 2022, 21, 750–757. [Google Scholar] [CrossRef] [PubMed]
- Kwak, M.; Son, D.; Kim, J.; Han, K. Static Langer’s line and wound contraction rates according to anatomical regions in a porcine model. Wound Repair Regen. 2014, 22, 678–682. [Google Scholar] [CrossRef]
- Riccobono, D.; Forcheron, F.; Agay, D.; Scherthan, H.; Meineke, V.; Drouet, M. Transient gene therapy to treat cutaneous radiation syndrome: Development in a minipig model. Health Phys. 2014, 106, 713–719. [Google Scholar] [CrossRef]
- Rothenberger, J.; Held, M.; Jaminet, P.; Schiefer, J.; Petersen, W.; Schaller, H.E.; Rahmanian-Schwarz, A. Development of an animal frostbite injury model using the Goettingen-Minipig. Burns 2014, 40, 268–273. [Google Scholar] [CrossRef] [PubMed]




Publisher’s Note: MDPI stays neutral with regard to jurisdictional claims in published maps and institutional affiliations. |
© 2022 by the authors. Licensee MDPI, Basel, Switzerland. This article is an open access article distributed under the terms and conditions of the Creative Commons Attribution (CC BY) license (https://creativecommons.org/licenses/by/4.0/).
Share and Cite
Eisler, W.; Baur, J.-O.; Held, M.; Rahmanian-Schwarz, A.; Daigeler, A.; Denzinger, M. Assessment of Two Commonly used Dermal Regeneration Templates in a Swine Model without Skin Grafting. Appl. Sci. 2022, 12, 3205. https://doi.org/10.3390/app12063205
Eisler W, Baur J-O, Held M, Rahmanian-Schwarz A, Daigeler A, Denzinger M. Assessment of Two Commonly used Dermal Regeneration Templates in a Swine Model without Skin Grafting. Applied Sciences. 2022; 12(6):3205. https://doi.org/10.3390/app12063205
Chicago/Turabian StyleEisler, Wiebke, Jan-Ole Baur, Manuel Held, Afshin Rahmanian-Schwarz, Adrien Daigeler, and Markus Denzinger. 2022. "Assessment of Two Commonly used Dermal Regeneration Templates in a Swine Model without Skin Grafting" Applied Sciences 12, no. 6: 3205. https://doi.org/10.3390/app12063205
APA StyleEisler, W., Baur, J.-O., Held, M., Rahmanian-Schwarz, A., Daigeler, A., & Denzinger, M. (2022). Assessment of Two Commonly used Dermal Regeneration Templates in a Swine Model without Skin Grafting. Applied Sciences, 12(6), 3205. https://doi.org/10.3390/app12063205
