Segmentation of Infant Brain Using Nonnegative Matrix Factorization
Abstract
1. Introduction
2. Materials and Methods
- —a three-dimensional raster supporting the MRI data and their associated region maps. For each voxel , not located on one of the raster’s edges, we denote its 26-neighborhood by .
- —a grayscale image with voxel values in .
- —a region map (i.e., segmentation) with segment labels in .
- —a positive matrix comprising I raw image features for each voxel.
- —the matrix of basis features in the reduced feature space.
- —the matrix of features for each voxel in the reduced feature space.
2.1. Cohort and Imaging Parameters
2.2. Preprocessing
2.3. Extracting the Brain
2.3.1. LCDG Visual Appearance Model
2.3.2. GGMRF Inhomogeneity Reduction Model
2.4. The Joint MGRF Segmentation Model
2.4.1. The NMF-Based Visual Appearance Model
2.4.2. Adaptive Shape Model
2.4.3. 3D Spatial Interaction MGRF Model
3. Performance Evaluation Metrics
3.1. Modified Hausdorff Distance
3.2. Dice Similarity Coefficient
3.3. Absolute Volume Difference
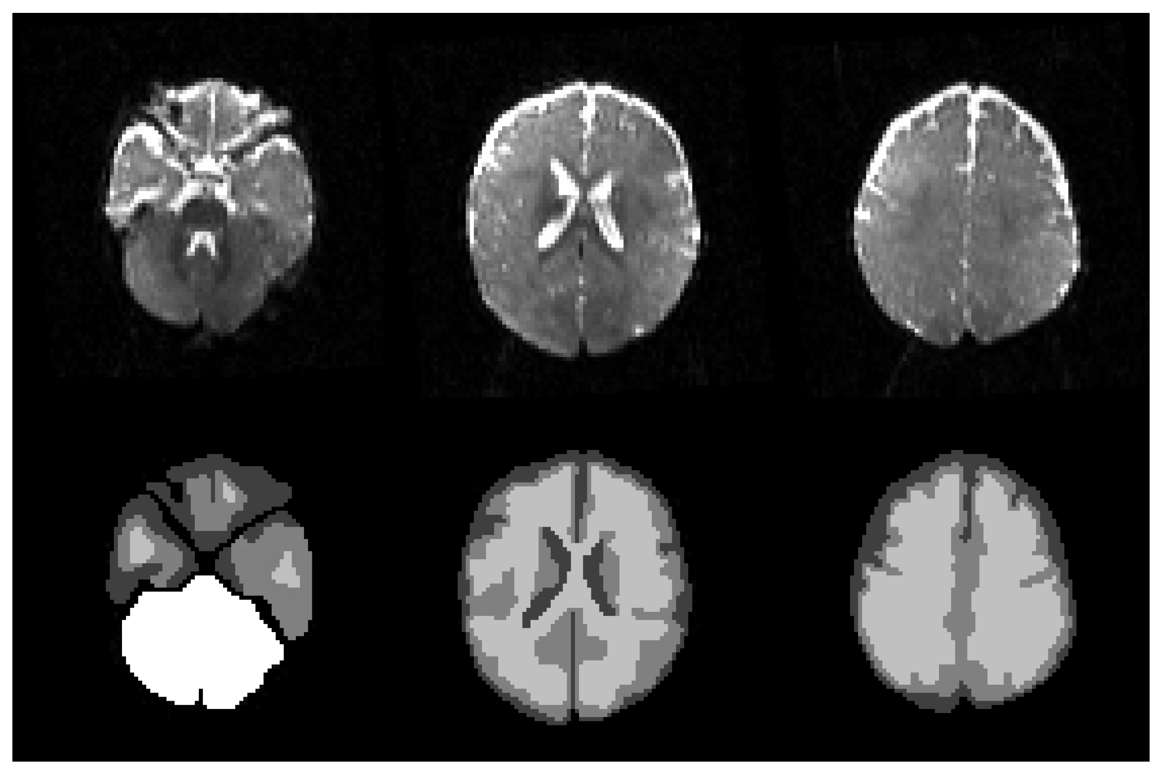
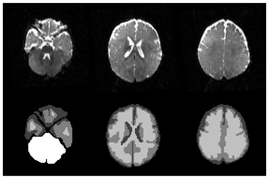
4. Results
Segmentation Results
5. Discussion
6. Conclusions
Author Contributions
Funding
Institutional Review Board Statement
Informed Consent Statement
Data Availability Statement
Conflicts of Interest
Appendix A. Brain Extraction
Appendix A.1. LCDG
Appendix A.2. GGMRF
| Algorithm A1 Steps of Brain Extraction Algorithm |
|
Appendix B. Joint MGRF Segmentation
Appendix B.1. Adaptive Shape Model
| Algorithm A2 Adaptive Shape Model Creation Algorithm |
|
Appendix B.2. 3D Spatial Interaction MGRF
| Algorithm A3 Segmentation Approach Algorithm |
|
References
- Arimura, H.; Magome, T.; Yamashita, Y.; Yamamoto, D. Computer-aided diagnosis systems for brain diseases in magnetic resonance images. Algorithms 2009, 2, 925–952. [Google Scholar] [CrossRef]
- Weisenfeld, N.I.; Warfield, S.K. Automatic segmentation of newborn brain MRI. Neuroimage 2009, 47, 564–572. [Google Scholar] [CrossRef] [PubMed]
- Trouard, T.P.; Sabharwal, Y.; Altbach, M.I.; Gmitro, A.F. Analysis and comparison of motion-correction techniques in diffusion-weighted imaging. J. Magn. Reson. Imaging 1996, 6, 925–935. [Google Scholar] [CrossRef]
- Xue, H.; Srinivasan, L.; Jiang, S.; Rutherford, M.; Edwards, A.D.; Rueckert, D.; Hajnal, J.V. Automatic segmentation and reconstruction of the cortex from neonatal MRI. Neuroimage 2007, 38, 461–477. [Google Scholar] [CrossRef] [PubMed]
- Mewes, A.U.; Hueppi, P.S.; Als, H.; Rybicki, F.J.; Inder, T.E.; McAnulty, G.B.; Mulkern, R.V.; Robertson, R.L.; Rivkin, M.J.; Warfield, S.K. Regional brain development in serial magnetic resonance imaging of low-risk preterm infants. Pediatrics 2006, 118, 23–33. [Google Scholar] [CrossRef] [PubMed]
- Makropoulos, A.; Ledig, C.; Aljabar, P.; Serag, A.; Hajnal, J.V.; Edwards, A.D.; Counsell, S.J.; Rueckert, D. Automatic tissue and structural segmentation of neonatal brain MRI using expectation-maximization. MICCAI Grand Chall. Neonatal Brain Segm. 2012, 2012, 9–15. [Google Scholar]
- Anbeek, P.; Vincken, K.L.; Groenendaal, F.; Koeman, A.; Van Osch, M.J.; Van der Grond, J. Probabilistic brain tissue segmentation in neonatal magnetic resonance imaging. Pediatric Res. 2008, 63, 158–163. [Google Scholar] [CrossRef]
- Cardoso, M.J.; Melbourne, A.; Kendall, G.S.; Modat, M.; Robertson, N.J.; Marlow, N.; Ourselin, S. AdaPT: An adaptive preterm segmentation algorithm for neonatal brain MRI. NeuroImage 2013, 65, 97–108. [Google Scholar] [CrossRef]
- Gui, L.; Lisowski, R.; Faundez, T.; Hüppi, P.S.; Lazeyras, F.; Kocher, M. Morphology-driven automatic segmentation of MR images of the neonatal brain. Med. Image Anal. 2012, 16, 1565–1579. [Google Scholar] [CrossRef]
- Wang, L.; Shi, F.; Li, G.; Lin, W.; Gilmore, J.H.; Shen, D. Integration of Sparse Multi-modality Representation and Geometrical Constraint for Isointense Infant Brain Segmentation. In Medical Image Computing and Computer-Assisted Intervention, (MICCAI’13); Springer: Berlin/Heidelberg, Germany, 2013; pp. 703–710. [Google Scholar]
- Aranguren, I.; Valdivia, A.; Morales-Castañeda, B.; Oliva, D.; Abd Elaziz, M.; Perez-Cisneros, M. Improving the segmentation of magnetic resonance brain images using the LSHADE optimization algorithm. Biomed. Signal Process. Control 2021, 64, 102259. [Google Scholar] [CrossRef]
- Tanabe, R.; Fukunaga, A.S. Improving the search performance of SHADE using linear population size reduction. In Proceedings of the 2014 IEEE Congress on Evolutionary Computation (CEC), Beijing, China, 6–11 July 2014; IEEE: Piscataway, NJ, USA, 2014; pp. 1658–1665. [Google Scholar]
- Serag, A.; Wilkinson, A.G.; Telford, E.J.; Pataky, R.; Sparrow, S.A.; Anblagan, D.; Macnaught, G.; Semple, S.I.; Boardman, J.P. SEGMA: An automatic segmentation approach for human brain MRI using sliding window and random forests. Front. NeuroInform. 2017, 11, 2. [Google Scholar] [CrossRef] [PubMed]
- Prastawa, M.; Gilmore, J.H.; Lin, W.; Gerig, G. Automatic segmentation of MR images of the developing newborn brain. Med. Image Anal. 2005, 9, 457–466. [Google Scholar] [CrossRef] [PubMed]
- Shi, F.; Fan, Y.; Tang, S.; Gilmore, J.H.; Lin, W.; Shen, D. Neonatal brain image segmentation in longitudinal MRI studies. Neuroimage 2010, 49, 391–400. [Google Scholar] [CrossRef] [PubMed]
- Kim, S.H.; Fonov, V.S.; Dietrich, C.; Vachet, C.; Hazlett, H.C.; Smith, R.G.; Graves, M.M.; Piven, J.; Gilmore, J.H.; Dager, S.R.; et al. Adaptive prior probability and spatial temporal intensity change estimation for segmentation of the one-year-old human brain. J. Neurosci. Methods 2013, 212, 43–55. [Google Scholar] [CrossRef][Green Version]
- Wolff, J.J.; Gu, H.; Gerig, G.; Elison, J.T.; Styner, M.; Gouttard, S.; Botteron, K.N.; Dager, S.R.; Dawson, G.; Estes, A.M.; et al. Differences in white matter fiber tract development present from 6 to 24 months in infants with autism. Am. J. Psychiatry 2012, 169, 589–600. [Google Scholar] [CrossRef]
- Elison, J.T.; Paterson, S.J.; Wolff, J.J.; Reznick, J.S.; Sasson, N.J.; Gu, H.; Botteron, K.N.; Dager, S.R.; Estes, A.M.; Evans, A.C.; et al. White Matter Microstructure and Atypical Visual Orienting in 7-Month-Olds at Risk for Autism. Am. J. Psychiatry 2013, 170, 899–908. [Google Scholar] [CrossRef]
- Sadeghi, N.; Prastawa, M.; Fletcher, P.T.; Wolff, J.; Gilmore, J.H.; Gerig, G. Regional characterization of longitudinal DT-MRI to study white matter maturation of the early developing brain. Neuroimage 2012, 68, 236–247. [Google Scholar] [CrossRef]
- Bastiaansen, W.A.; Rousian, M.; Steegers-Theunissen, R.P.; Niessen, W.J.; Koning, A.; Klein, S. Towards segmentation and spatial alignment of the human embryonic brain using deep learning for atlas-based registration. In Proceedings of the International Workshop on Biomedical Image Registration, Portoroz, Slovenia, 1–2 December 2020; Springer: Berlin/Heidelberg, Germany, 2020; pp. 34–43. [Google Scholar]
- Ruan, W.; Sun, X.; Hu, X.; Liu, F.; Hu, F.; Guo, J.; Zhang, Y.; Lan, X. Regional SUV quantification in hybrid PET/MR, a comparison of two atlas-based automatic brain segmentation methods. EJNMMI Res. 2020, 10, 1–9. [Google Scholar] [CrossRef]
- Elnakieb, Y.A.; Ali, M.T.; Soliman, A.; Mahmoud, A.H.; Shalaby, A.M.; Alghamdi, N.S.; Ghazal, M.; Khalil, A.; Switala, A.; Keynton, R.S.; et al. Computer Aided Autism Diagnosis Using Diffusion Tensor Imaging. IEEE Access 2020, 8, 191298–191308. [Google Scholar] [CrossRef]
- Leroy, F.; Mangin, J.F.; Rousseau, F.; Glasel, H.; Hertz-Pannier, L.; Dubois, J.; Dehaene-Lambertz, G. Atlas-free surface reconstruction of the cortical grey-white interface in infants. PLoS ONE 2011, 6, e27128. [Google Scholar] [CrossRef]
- Wang, L.; Shi, F.; Lin, W.; Gilmore, J.H.; Shen, D. Automatic segmentation of neonatal images using convex optimization and coupled level sets. NeuroImage 2011, 58, 805–817. [Google Scholar] [CrossRef]
- Wang, L.; He, L.; Mishra, A.; Li, C. Active contours driven by local Gaussian distribution fitting energy. Signal Process. 2009, 89, 2435–2447. [Google Scholar] [CrossRef]
- Wang, L.; Shi, F.; Yap, P.T.; Lin, W.; Gilmore, J.H.; Shen, D. Longitudinally guided level sets for consistent tissue segmentation of neonates. Hum. Brain Mapp. 2011, 34, 956–972. [Google Scholar] [CrossRef] [PubMed]
- Pham, D.L.; Prince, J.L. Adaptive fuzzy segmentation of magnetic resonance images. IEEE Trans. Med. Imaging 1999, 18, 737–752. [Google Scholar] [CrossRef]
- Wang, L.; Shi, F.; Yap, P.T.; Gilmore, J.H.; Lin, W.; Shen, D. 4D multi-modality tissue segmentation of serial infant images. PLoS ONE 2012, 7, e44596. [Google Scholar] [CrossRef] [PubMed]
- Wang, L.; Shi, F.; Li, G.; Gao, Y.; Lin, W.; Gilmore, J.H.; Shen, D. Segmentation of neonatal brain MR images using patch-driven level sets. NeuroImage 2014, 84, 141–158. [Google Scholar] [CrossRef] [PubMed]
- Mesejo, P.; Valsecchi, A.; Marrakchi-Kacem, L.; Cagnoni, S.; Damas, S. Biomedical image segmentation using geometric deformable models and metaheuristics. Comput. Med. Imaging Graph. 2015, 43, 167–178. [Google Scholar] [CrossRef]
- Baghdadi, M.; Benamrane, N.; Sais, L. F uzzy generalized fast marching method for 3D segmentation of brain structures. Int. J. Imaging Syst. Technol. 2017, 27, 281–306. [Google Scholar] [CrossRef]
- Wu, Z.; Guo, Y.; Park, S.H.; Gao, Y.; Dong, P.; Lee, S.W.; Shen, D. Robust brain ROI segmentation by deformation regression and deformable shape model. Med. Image Anal. 2018, 43, 198–213. [Google Scholar] [CrossRef]
- Infant Brain Imaging Study (IBIS). Available online: https://ibis-network.com/infant/ (accessed on 15 May 2022).
- Liu, Z.; Wang, Y.; Gerig, G.; Gouttard, S.; Tao, R.; Fletcher, T.; Styner, M. Quality control of diffusion weighted images. In Proceedings of the SPIE Medical Imaging 2000: Image Processing (SPIE’10), San Diego, CA, USA, 6 June 2000; p. 76280J. [Google Scholar]
- Fedorov, A.; Beichel, R.; Kalpathy-Cramer, J.; Finet, J.; Fillion-Robin, J.C.; Pujol, S.; Bauer, C.; Jennings, D.; Fennessy, F.; Sonka, M.; et al. 3D Slicer as an image computing platform for the Quantitative Imaging Network. Multidiscip. Respir. Med. 2012, 30, 1323–1341. [Google Scholar] [CrossRef]
- Farag, A.; El-Baz, A.; Gimel’farb, G. Precise segmentation of Multimodal Images. IEEE Trans. Image Process. 2006, 15, 952–968. [Google Scholar] [CrossRef] [PubMed]
- Bouman, C.; Sauer, K. A generalized Gaussian image model for edge-preserving MAP estimation. IEEE Trans. Image Process. 1993, 2, 296–310. [Google Scholar] [CrossRef] [PubMed]
- Boyd, S.; Vandenberghe, L. Convex Optimization; Cambridge University Press: Cambridge, UK, 2009. [Google Scholar]
- Lee, D.D.; Seung, H.S. Learning the parts of objects by non-negative matrix factorization. Nature 1999, 401, 788–791. [Google Scholar] [CrossRef]
- Xie, Y.; Ho, J.; Vemuri, B.C. Nonnegative factorization of diffusion tensor images and its applications. In Proceedings of the Information Processing in Medical Imaging, Kloster Irsee, Germany, 3–8 July 2011; Springer: Berlin/Heidelberg, Germany, 2011; pp. 550–561. [Google Scholar]
- Tan, P.-N.; Steinbach, M.; Karpatne, A.; Kumar, V. Introduction to Data Mining; WP Co.: Washington, DC, USA, 2006. [Google Scholar]
- Berry, M.W.; Browne, M.; Langville, A.N.; Pauca, V.P.; Plemmons, R.J. Algorithms and applications for approximate nonnegative matrix factorization. Comput. Stat. Data Anal. 2007, 52, 155–173. [Google Scholar] [CrossRef]
- Albert, A. Regression and the Moore-Penrose Pseudoinverse; Elsevier: Amsterdam, The Netherlands, 1972. [Google Scholar]
- Duda, R.O.; Hart, P.E.; Stork, D.G. Pattern Classification; John Wiley & Sons: Hoboken, NJ, USA, 2012. [Google Scholar]
- Viola, P.A.; Wells, W.M., III. Alignment by Maximization of Mutual Information. Int. J. Comput. Vis. 1997, 24, 137–154. [Google Scholar] [CrossRef]
- Shi, F.; Yap, P.T.; Wu, G.; Jia, H.; Gilmore, J.H.; Lin, W.; Shen, D. Infant brain atlases from neonates to 1-and 2-year-olds. PLoS ONE 2011, 6, e18746. [Google Scholar] [CrossRef]
- Ashburner, J.; Friston, K.J. Unified segmentation. Neuroimage 2005, 26, 839–851. [Google Scholar] [CrossRef]
- Statistical Parametric Mapping (SPM). Available online: http://www.fil.ion.ucl.ac.uk/spm/ (accessed on 15 May 2022).
- El-Baz, A. Novel Stochastic Models for Medical Image Analysis. Ph.D. Thesis, University of Louisville, Louisville, KY, USA, 2006. [Google Scholar]
- El-Baz, A.S.; Gimel’farb, G.L.; Suri, J.S. Stochastic Modeling for Medical Image Analysis; OCLC: Dublin, OH, USA, 2016. [Google Scholar]
- Sharafeldeen, A.; Elsharkawy, M.; Alghamdi, N.S.; Soliman, A.; El-Baz, A. Precise Segmentation of COVID-19 Infected Lung from CT Images Based on Adaptive First-Order Appearance Model with Morphological/Anatomical Constraints. Sensors 2021, 21, 5482. [Google Scholar] [CrossRef]
- Sharafeldeen, A.; Elsharkawy, M.; Khalifa, F.; Soliman, A.; Ghazal, M.; AlHalabi, M.; Yaghi, M.; Alrahmawy, M.; Elmougy, S.; Sandhu, H.S.; et al. Precise higher-order reflectivity and morphology models for early diagnosis of diabetic retinopathy using OCT images. Sci. Rep. 2021, 11, 4730. [Google Scholar] [CrossRef]
- Elsharkawy, M.; Sharafeldeen, A.; Taher, F.; Shalaby, A.; Soliman, A.; Mahmoud, A.; Ghazal, M.; Khalil, A.; Alghamdi, N.S.; Razek, A.A.K.A.; et al. Early assessment of lung function in coronavirus patients using invariant markers from chest X-rays images. Sci. Rep. 2021, 11, 12095. [Google Scholar] [CrossRef]
- Elsharkawy, M.; Sharafeldeen, A.; Soliman, A.; Khalifa, F.; Ghazal, M.; El-Daydamony, E.; Atwan, A.; Sandhu, H.S.; El-Baz, A. A Novel Computer-Aided Diagnostic System for Early Detection of Diabetic Retinopathy Using 3D-OCT Higher-Order Spatial Appearance Model. Diagnostics 2022, 12, 461. [Google Scholar] [CrossRef] [PubMed]
- Farahat, I.S.; Sharafeldeen, A.; Elsharkawy, M.; Soliman, A.; Mahmoud, A.; Ghazal, M.; Taher, F.; Bilal, M.; Razek, A.A.K.A.; Aladrousy, W.; et al. The Role of 3D CT Imaging in the Accurate Diagnosis of Lung Function in Coronavirus Patients. Diagnostics 2022, 12, 696. [Google Scholar] [CrossRef] [PubMed]
- Besag, J. Spatial interaction and the statistical analysis of lattice systems. J. R. Stat. Soc. Ser. B Methodol. 1974, 36, 192–236. [Google Scholar] [CrossRef]
- Babalola, K.O.; Patenaude, B.; Aljabar, P.; Schnabel, J.; Kennedy, D.; Crum, W.; Smith, S.; Cootes, T.; Jenkinson, M.; Rueckert, D. An evaluation of four automatic methods of segmenting the subcortical structures in the brain. Neuroimage 2009, 47, 1435–1447. [Google Scholar] [CrossRef]
- Wang, Z. Determining the Clustering Centers by Slope Difference Distribution. IEEE Access 2017, 5, 10995–11002. [Google Scholar] [CrossRef]
- Wang, Z. Image segmentation by combining the global and local properties. Expert Syst. Appl. 2017, 87, 30–40. [Google Scholar] [CrossRef]
- Wang, Z.; Yang, Y. A non-iterative clustering based soft segmentation approach for a class of fuzzy images. Appl. Soft Comput. 2018, 70, 988–999. [Google Scholar] [CrossRef]
- Savadjiev, P.; Rathi, Y.; Bouix, S.; Smith, A.R.; Schultz, R.T.; Verma, R.; Westin, C.F. Combining Surface and Fiber Geometry: An Integrated Approach to Brain Morphology. In Proceedings of the Medical Image Computing and Computer-Assisted Intervention (MICCAI’13), Nagoya, Japan, 22–26 September 2013; Springer: Berlin/Heidelberg, Germany, 2013; pp. 50–57. [Google Scholar]
- van der Kouwe, A.J.; Benner, T.; Salat, D.H.; Fischl, B. Brain morphometry with multiecho MPRAGE. Neuroimage 2008, 40, 559–569. [Google Scholar] [CrossRef]
- Smith, S.M. Fast robust automated brain extraction. Hum. Brain Mapp. 2002, 17, 143–155. [Google Scholar] [CrossRef]
- Liu, J.X.; Chen, Y.S.; Chen, L.F. Accurate and robust extraction of brain regions using a deformable model based on radial basis functions. J. Neurosci. Methods 2009, 183, 255–266. [Google Scholar] [CrossRef]
- Zhuang, A.H.; Valentino, D.J.; Toga, A.W. Skull-stripping magnetic resonance brain images using a model-based level set. NeuroImage 2006, 32, 79–92. [Google Scholar] [CrossRef]
- Ashburner, J.; Friston, K.J. Voxel-based morphometry—The methods. Neuroimage 2000, 11, 805–821. [Google Scholar] [CrossRef] [PubMed]
- Leung, K.K.; Barnes, J.; Ridgway, G.R.; Bartlett, J.W.; Clarkson, M.J.; Macdonald, K.; Schuff, N.; Fox, N.C.; Ourselin, S. Automated cross-sectional and longitudinal hippocampal volume measurement in mild cognitive impairment and Alzheimer’s disease. Neuroimage 2010, 51, 1345–1359. [Google Scholar] [CrossRef] [PubMed]
- Iglesias, J.E.; Liu, C.Y.; Thompson, P.M.; Tu, Z. Robust brain extraction across datasets and comparison with publicly available methods. IEEE Trans. Med. Imaging 2011, 30, 1617–1634. [Google Scholar] [CrossRef]
- Segonne, F.; Dale, A.; Busa, E.; Glessner, M.; Salat, D.; Hahn, H.; Fischl, B. A hybrid approach to the skull stripping problem in MRI. Neuroimage 2004, 22, 1060–1075. [Google Scholar] [CrossRef] [PubMed]
- Rex, D.E.; Shattuck, D.W.; Woods, R.P.; Narr, K.L.; Luders, E.; Rehm, K.; Stolzner, S.E.; Rottenberg, D.A.; Toga, A.W. A meta-algorithm for brain extraction in MRI. NeuroImage 2004, 23, 625–637. [Google Scholar] [CrossRef]
- Ghosh, S.; Chaudhury, K.N. Color Bilateral Filtering Using Stratified Fourier Sampling. In Proceedings of the 2018 IEEE Global Conference on Signal and Information Processing (GlobalSIP), Anaheim, CA, USA, 26–28 November 2018; IEEE: Piscataway, NJ, USA, 2018. [Google Scholar] [CrossRef]
- NIMH Data Archive (NDA). Available online: https://nda.nih.gov/ (accessed on 15 May 2022).
- El-Baz, A.; Elnakib, A.; Khalifa, F.; El-Ghar, M.A.; McClure, P.; Soliman, A.; Gimel’farb, G. Precise segmentation of 3-D magnetic resonance angiography. IEEE Trans. Biomed. Eng. 2012, 59, 2019–2029. [Google Scholar] [CrossRef]










| Metric | CSF | GM | WM | Others | Brain |
|---|---|---|---|---|---|
| DSC (%) | 87.96 ± 3.31 | 89.92 ± 2.86 | 95.23 ± 1.18 | 92.81 ± 5.26 | 96.64 ± 1.15 |
| H95 (mm) | 2.42 ± 0.56 | 1.98 ± 1.07 | 1.98 ± 0.01 | 6.60 ± 2.75 | 7.17 ± 3.96 |
| AVD (%) | 6.10 ± 4.70 | 9.85 ± 2.34 | 5.15 ± 2.03 | 9.74 ± 9.65 | 2.66 ± 2.80 |
| Metric | SDD | Otsu | K-Means | EM | Our System |
|---|---|---|---|---|---|
| DSC (%) | |||||
| H95 (mm) | |||||
| AVD (%) |
Publisher’s Note: MDPI stays neutral with regard to jurisdictional claims in published maps and institutional affiliations. |
© 2022 by the authors. Licensee MDPI, Basel, Switzerland. This article is an open access article distributed under the terms and conditions of the Creative Commons Attribution (CC BY) license (https://creativecommons.org/licenses/by/4.0/).
Share and Cite
Alghamdi, N.S.; Taher, F.; Kandil, H.; Sharafeldeen, A.; Elnakib, A.; Soliman, A.; ElNakieb, Y.; Mahmoud, A.; Ghazal, M.; El-Baz, A. Segmentation of Infant Brain Using Nonnegative Matrix Factorization. Appl. Sci. 2022, 12, 5377. https://doi.org/10.3390/app12115377
Alghamdi NS, Taher F, Kandil H, Sharafeldeen A, Elnakib A, Soliman A, ElNakieb Y, Mahmoud A, Ghazal M, El-Baz A. Segmentation of Infant Brain Using Nonnegative Matrix Factorization. Applied Sciences. 2022; 12(11):5377. https://doi.org/10.3390/app12115377
Chicago/Turabian StyleAlghamdi, Norah Saleh, Fatma Taher, Heba Kandil, Ahmed Sharafeldeen, Ahmed Elnakib, Ahmed Soliman, Yaser ElNakieb, Ali Mahmoud, Mohammed Ghazal, and Ayman El-Baz. 2022. "Segmentation of Infant Brain Using Nonnegative Matrix Factorization" Applied Sciences 12, no. 11: 5377. https://doi.org/10.3390/app12115377
APA StyleAlghamdi, N. S., Taher, F., Kandil, H., Sharafeldeen, A., Elnakib, A., Soliman, A., ElNakieb, Y., Mahmoud, A., Ghazal, M., & El-Baz, A. (2022). Segmentation of Infant Brain Using Nonnegative Matrix Factorization. Applied Sciences, 12(11), 5377. https://doi.org/10.3390/app12115377

