Effect of Genetic and Environmental Factors on the Impaction of Lower Third Molars
Abstract
1. Introduction
2. Materials and Methods
2.1. Subjects
2.2. Assessment of Skeletal Maturity
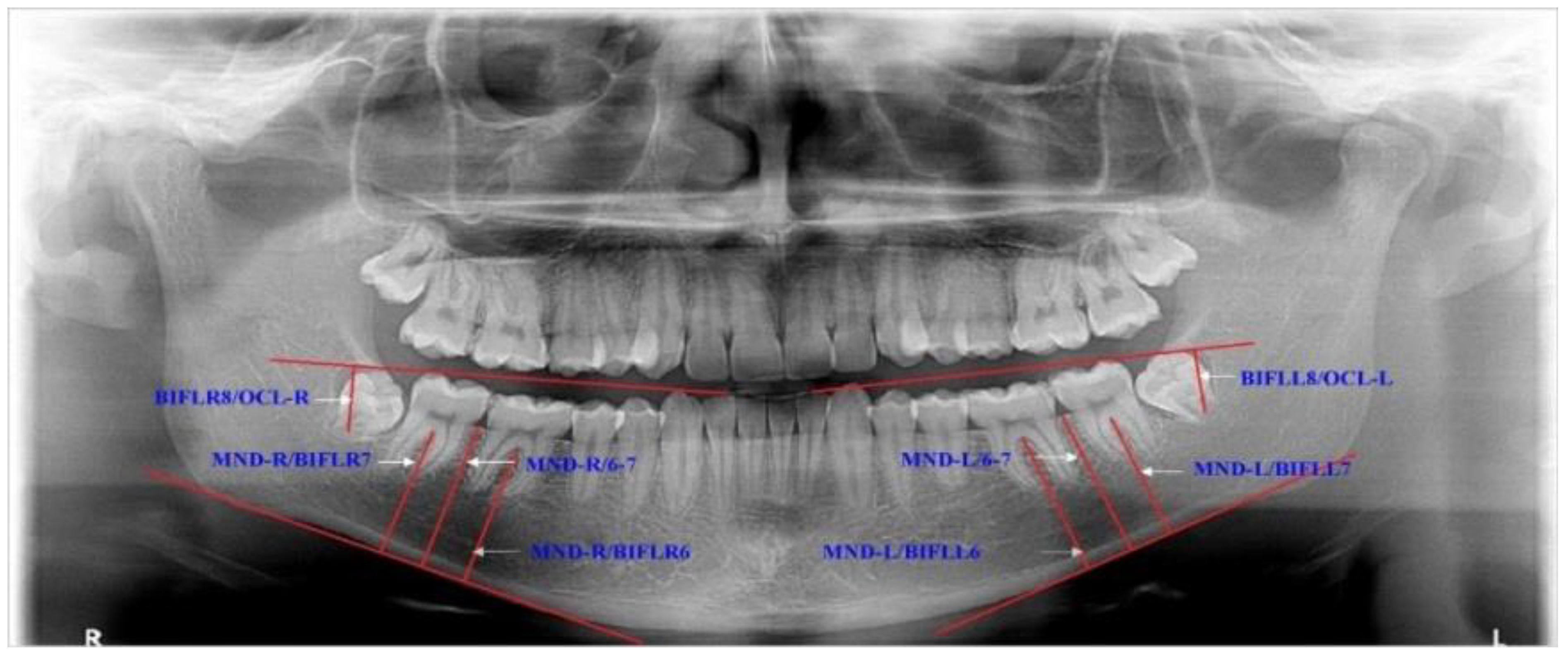
2.3. Selection and Evaluation of Digital Panoramic Radiographs
2.4. Genetic Assessment and Determination
2.5. Statistical Methods and Method Error
3. Results
4. Discussion
Limitations
5. Conclusions
Author Contributions
Funding
Institutional Review Board Statement
Informed Consent Statement
Data Availability Statement
Acknowledgments
Conflicts of Interest
References
- Janakiraman, E.N.; Alexander, M.; Sanjay, P. Prospective analysis of frequency and contributing factors of nerve injuries following third-molar surgery. J. Craniofac. Surg. 2010, 21, 784–786. [Google Scholar] [CrossRef]
- Elsey, M.J.; Rock, W.P. Influence of orthodontic treatment on development of third molars. Br. J. Oral Maxillofac. Surg. 2000, 38, 350–353. [Google Scholar] [CrossRef] [PubMed]
- Juodzbalys, G.; Daugela, P. Mandibular third molar impaction: Review of literature and a proposal of a classification. J. Oral Maxillofac. Res. 2013, 4. [Google Scholar] [CrossRef]
- Stanaitytė, R.; Trakinienė, G.; Gervickas, A. Do wisdom teeth induce anterior teeth crowding? A systematic literature reviews. Stomatol. Balt. Dent Maxillofac. J. 2014, 16, 15–18. [Google Scholar]
- Pahkala, R.; Pahkala, A.; Laine, T. Eruption pattern of permanent teeth in a rural community in northeastern Finland. Acta Odontol. Scand. 1991, 49, 341–396. [Google Scholar] [CrossRef] [PubMed]
- Stanaitytė, R.; Trakinienė, G.; Gervickas, A. Lower dental arch changes after bilateral third molar removal. Stomatol. Balt. Dent Maxillofac. J. 2014, 16, 31–36. [Google Scholar]
- Ganss, C.; Hochban, W.; Kielbassa, A.M.; Umstadt, H.E. Prognosis of third molar eruption. Oral Surg. Oral Med. Oral Pathol. Oral Radiol. 1993, 76, 688–693. [Google Scholar] [CrossRef]
- Šidlauskas, A.; Trakinienė, G.; Damušienė, R. Effect of the lower third molars on the lower dental arch crowding. Stomatologija 2006, 8, 80–88. [Google Scholar] [PubMed]
- Smailiene, D.; Trakiniene, G.; Beinoriene, A. Relationship between the position of impacted third molars and external root resoption of adjacenet second molars: A retrospective CBCT study. Medicina 2019, 55, 305. [Google Scholar] [CrossRef] [PubMed]
- Bishara, S.E.; Treder, J.E.; Damon, P. Changes in the dental arches and dentition between 25 and 45 years of age. Angle Orthod. 1999, 66, 417–422. [Google Scholar]
- Eguchi, S.; Townsend, G.; Richards, L. Genetic contribution todental arch size variation in Australian twins. Arch. Oral Biol. 2004, 49, 1015–1102. [Google Scholar] [CrossRef]
- Hughes, T.G.; Demsey, P.; Richards, L. Genetic analysis of deciduous tooth size in Australian twins. Arch. Oral Biol. 2000, 45, 997–1004. [Google Scholar] [CrossRef]
- Hughes, T.; Bockmann, M.; Mihailidis, S. Genetic, epigenetic, and environmental influences on dentofacial structures and oral health: Ongoing studies of Australian twins and their families. Twin Res. Hum. Gen. 2013, 16, 43–51. [Google Scholar] [CrossRef]
- Vuollo, V.; Sidlauskas, M.; Sidlauskas, A. Comparing facial 3D analysis with DNA testing to determine zygosities of twins. Twin Res. Hum. Gen. 2015, 18, 306–313. [Google Scholar] [CrossRef] [PubMed][Green Version]
- Townsend, G.; Hughes, T.; Luciano, M. Genetic and environmental influences on human dental variation: A critical evaluation of studies involving twins. Arch. Oral Biol. 2009, 54, 45–51. [Google Scholar] [CrossRef]
- Nyholt, D. On the probability of dizygotic twins being concordant for two alleles at multiple polymorphic loci. Twin Res. Hum. Gen. 2006, 9, 194–197. [Google Scholar] [CrossRef][Green Version]
- Šidlauskas, M.; Šalomskienė, L.; Andriuškevičiūtė, I. Heritability of mandibular cephalometric variables in twins with completed craniofacial growth. Eur. J. Orthod. 2016, 38, 493–502. [Google Scholar] [CrossRef]
- Dempsey, P.; Townsend, G. Genetic and environmental contributions to variation in human tooth size. Hered 2001, 86, 685–693. [Google Scholar] [CrossRef]
- Baccetti, T.; Franchi, L.; McNamara, J.A. Method for the assessment of optimal treatment timing in dentofacial orthopedics. Semin. Orthod. 2005, 11, 119–129. [Google Scholar] [CrossRef]
- Trakinienė, G.; Šidlauskas, A.; Švalkauskienė, V. The magnification in the lower third and second molar region in the digital panoramic radiographs. J. Forensic Dent. Sci. 2017, 9, 91–95. [Google Scholar] [CrossRef]
- Neale, M.; Cardon, L. Methodology for Genetic Studies of Twins and Families; Springer Science Business Media: Dordrecht, The Netherlands, 1992. [Google Scholar]
- Akaike, H. Factor analysis and AIC. Psychometrika 1987, 52, 317–332. [Google Scholar] [CrossRef]
- Trakinienė, G.; Smailienė, D.; Kučiauskienė, A. Evaluation of skeletal maturity using maxillary canine, mandibular second and third molar calcification stages. Eur. J. Orthod. 2016, 38, 398–403. [Google Scholar] [CrossRef]
- Trakiniene, G.; Sidlauskas, A.; Trakinis, T. The impact of genetics and environmental factors on the position of the upper third molars. J. Oral Maxillofac. Surg. 2018, 76, 2271–2279. [Google Scholar] [CrossRef]
- Trakinienė, G.; Ryliškytė, M.; Kiaušaitė, A. Prevalence of teeth number anomalies in orthodontic patients. Stomatol. Balt. Dent Maxillofac. J. 2013, 15, 47–53. [Google Scholar]
- Trakiniene, G.; Sidlauskas, A.; Andriuskeviciute, I. Impact of genetics on third molar agenesis. Sci. Rep. 2018, 8, 307. [Google Scholar] [CrossRef] [PubMed]
- Richardson, M.E. The role of the third molar in the cause of late lower arch crowding: A review. Am. J. Orthod. Dentofac. Orthop. 1989, 95, 79–83. [Google Scholar] [CrossRef]
- Trakiniene, G.; Andriuskeviciute, I.; Salomskiene, L. Genetic and environmental influences on third molar root mineralization. Arch. Oral Biol. 2019, 98, 220–225. [Google Scholar] [CrossRef] [PubMed]


| Description of the Angle | Dizygotic Twins | Monozygotic Twins | |||||
|---|---|---|---|---|---|---|---|
| First Dizygotic Twin | Second Dizygotic Twin | Significance of Differences (p Value) | Pearson Correlation Coefficient between Siblings (p Value) | First Monozygotic Twin | Second Monozygotic Twin | Significance of Differences (p Value) | |
| LR8/MND (mean ± SD) | 109.62 ± 24.65 | 111.84 ± 18.71 | 0.11 | 0.41 * | 107.15 ± 23.65 | 108.31 ± 20.83 | 0.69 |
| LR8/OKL (mean ± SD) | 55.01 ± 18.01 | 57.23 ± 19.75 | 0.45 | 0.28 * | 54.95 ± 17.56 | 56.48 ± 17.01 | 0.95 |
| LR8/HP (mean ± SD) | 48.72 ± 16.88 | 47.32 ± 17.7 | 0.25 | 0.36 * | 45.38 ± 16.34 | 47.15 ± 17.98 | 0.61 |
| LL8/MND (mean ± SD) | 105.93 ± 29.47 | 108.36 ± 24.74 | 0.12 | 0.38 * | 106.08 ± 21.51 | 107.51 ± 22.54 | 0.67 |
| LL8/OKL (mean ± SD) | 55.46 ± 18.78 | 60.95 ± 21 | 0.42 | 0.29 * | 57.73 ± 16.14 | 56.28 ± 17.65 | 0.43 |
| LL8/HP (mean ± SD) | 49.68 ± 20.28 | 48.41 ± 17.05 | 0.44 | 0.41 * | 48.69 ± 17.93 | 48.07 ± 18.8 | 0.56 |
| LR7/MND (mean ± SD) | 90.71 ± 8.26 | 94.18 ± 8.58 | 0.25 | 0.39 * | 93.71 ± 9.27 | 94.29 ± 9.79 | 0.98 |
| LR7/HP (mean ± SD) | 80.51 ± 12.42 | 63.61 ± 6.97 | 0.1 | 0.38 * | 67.25 ± 10.81 | 67.97 ± 9.86 | 0.46 |
| LL7/HP (mean ± SD) | 67.68 ± 11.03 | 66.36 ± 6.39 | 0.78 | 0.39 * | 68.77 ± 9.45 | 68.93 ± 9.05 | 0.58 |
| LL7/MND (mean ± SD) | 92.79 ± 10.29 | 93.87 ± 7.3 | 0.87 | 0.38 * | 83.08 ± 9.67 | 83.11 ± 9.75 | 0.98 |
| LR6/MND (mean ± SD) | 84.77 ± 6.36 | 84.99 ± 5.38 | 0.56 | 0.41 * | 80.84 ± 12.1 | 80.84 ± 12.14 | 0.99 |
| LL6/MND (mean ± SD) | 83.24 ± 6.61 | 84.2 ± 6 | 0.79 | 0.40 * | 81.98 ± 9.41 | 81.72 ± 9.39 | 0.99 |
| Description of the Variable | Dizygotic Twins | Monozygotic Twins | |
|---|---|---|---|
| LES-R (Mean ± SD) | LES-L (Mean ± SD) | LES-R (Mean ± SD) | |
| First twin in the pair | 11.21 ± 3.26 | 12.04 ± 3.26 | 11.15 ± 2.96 |
| Second twin in the pair | 10.98 ± 3.14 | 11.15 ± 3.45 | 11.06 ± 2.77 |
| Significance of differences (p value) | 0.14 | 0.17 | 0.23 |
| Pearson correlation coefficient between siblings | 0.53 * | 0.60 * | 0.91 * |
| Variable | Model | Genetic | Environment | |||||
|---|---|---|---|---|---|---|---|---|
| A | SE | D | SE | C | SE | E | ||
| Eruption space for the lower third molars | ||||||||
| LES-R | AE | 0.68 | 0.06 | 0.32 | ||||
| LES-L | AE | 0.66 | 0.06 | 0.34 | ||||
| Teeth angulation | ||||||||
| LR8/MND | AE | 0.76 | 0.04 | 0.24 | ||||
| LR8/OKL | AE | 0.74 | 0.04 | 0.26 | ||||
| LR8/HP | AE | 0.81 | 0.04 | 0.19 | ||||
| LR7/MND | AE | 0.83 | 0.05 | 0.17 | ||||
| LR7/HP | AE | 0.84 | 0.04 | 0.16 | ||||
| LR6/MND | AE | 0.86 | 0.04 | 0.14 | ||||
| LL6/MND | AE | 0.88 | 0.04 | 0.12 | ||||
| Teeth eruption level | ||||||||
| MND-R/BIFLR6 | ACE | 0.65 | 0.04 | 0.26 | 0.08 | 0.09 | ||
| MND-R/BIFLR7 | ACE | 0.60 | 0.04 | 0.25 | 0.07 | 0.15 | ||
| MND-R/6-7 | ACE | 0.71 | 0.04 | 0.26 | 0.08 | 0.03 | ||
| BIFLR8/OCL-R | ACE | 0.56 | 0.08 | 0.30 | 0.09 | 0.14 | ||
| DLR8/LR7 | ACE | 0.54 | 0.06 | 0.32 | 0.09 | 0.14 | ||
Publisher’s Note: MDPI stays neutral with regard to jurisdictional claims in published maps and institutional affiliations. |
© 2021 by the authors. Licensee MDPI, Basel, Switzerland. This article is an open access article distributed under the terms and conditions of the Creative Commons Attribution (CC BY) license (http://creativecommons.org/licenses/by/4.0/).
Share and Cite
Trakinienė, G.; Smailienė, D.; Lopatienė, K.; Trakinis, T.; Šidlauskas, A. Effect of Genetic and Environmental Factors on the Impaction of Lower Third Molars. Appl. Sci. 2021, 11, 1824. https://doi.org/10.3390/app11041824
Trakinienė G, Smailienė D, Lopatienė K, Trakinis T, Šidlauskas A. Effect of Genetic and Environmental Factors on the Impaction of Lower Third Molars. Applied Sciences. 2021; 11(4):1824. https://doi.org/10.3390/app11041824
Chicago/Turabian StyleTrakinienė, Giedrė, Dalia Smailienė, Kristina Lopatienė, Tomas Trakinis, and Antanas Šidlauskas. 2021. "Effect of Genetic and Environmental Factors on the Impaction of Lower Third Molars" Applied Sciences 11, no. 4: 1824. https://doi.org/10.3390/app11041824
APA StyleTrakinienė, G., Smailienė, D., Lopatienė, K., Trakinis, T., & Šidlauskas, A. (2021). Effect of Genetic and Environmental Factors on the Impaction of Lower Third Molars. Applied Sciences, 11(4), 1824. https://doi.org/10.3390/app11041824

