A Review on Mammary Tumors in Rabbits: Translation of Pathology into Medical Care
Simple Summary
Abstract
1. Introduction
2. Reproduction in Rabbits—A Brief Summary
3. Mammary Gland–Histology and Specific Features in Rabbits
4. Mammary Tumors in Rabbits
4.1. A Brief History
4.2. Reported Data and Open Questions
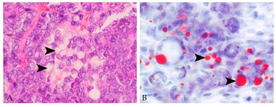
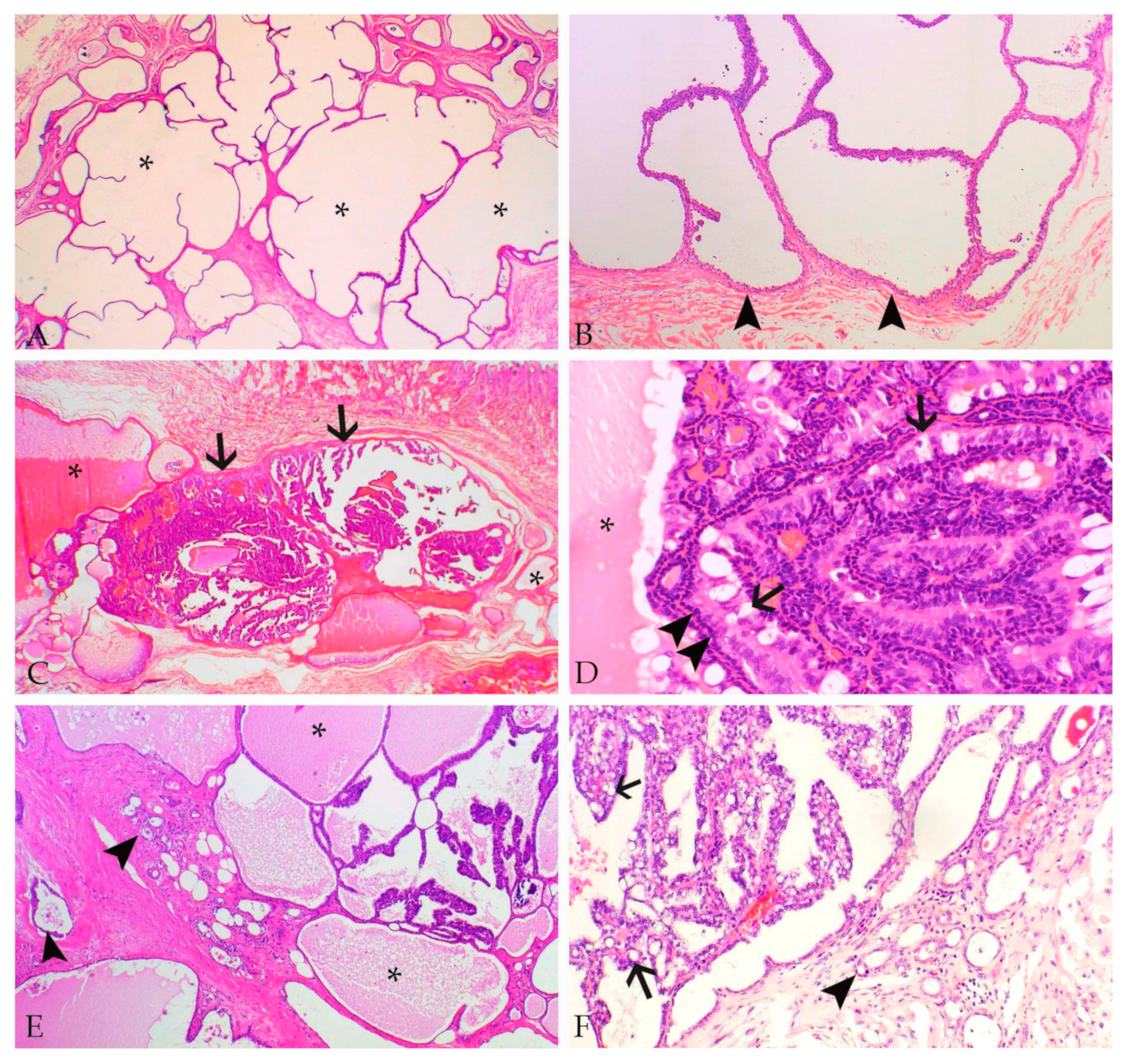
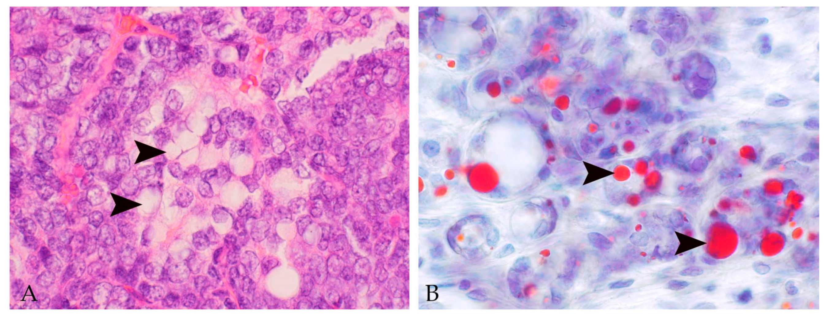
4.2.1. Anamnestic Data and Histopathological Features
| Mammary Lesion | Reference | Reported Frequency |
|---|---|---|
| Non-neoplastic proliferative lesions | ||
| Lobular hyperplasia | [11] | 2 of 124 rabbits |
| [24] | 1 rabbit (case report) | |
| [26] | 2 of 24 rabbits | |
| [36] | 17 rabbits (case series) | |
| Multiple cysts | [11] | 25 of 124 rabbits |
| [26] | 10 of 24 rabbits | |
| Dysplasia | [24] | 1 rabbit (case report) |
| [37] | 9 rabbits (case series) | |
| Fibroadenomatous hyperplasia | [38] | 20 rabbits (case series) |
| Benign tumors | ||
| Tubular adenoma | [10] | 3 of 109 rabbits |
| [11] | 2 of 124 rabbits | |
| Cystadenoma | [11] | 1 of 124 rabbits |
| [26] | 3 of 24 rabbits with 2-3 adenomas | |
| Complex adenoma | [10] | 1 of 109 rabbits |
| Intraductal papilloma * | [10] | 8 of 109 rabbits |
| [26] | 1 of 24 rabbits with 2 papillomas | |
| Malignant tumors | ||
| In situ carcinoma | [11] | 2 of 124 rabbits |
| [26] | 1 of 24 rabbits | |
| Adenocarcinoma (different histotypes) | [10] | 83 of 109 rabbits |
| [11] | 119 of 124 rabbits | |
| [24] | 1 rabbit (case report) | |
| [26] | 13 of 24 rabbits, 1 with 2 tumors | |
| Complex adenocarcinoma | [10] | 5 of 109 rabbits |
| Adenosquamous carcinoma | [10] | 9 of 109 rabbits |
| [26] | 2 of 24 rabbits | |
| Matrix-producing carcinoma | [26] | 1 of 24 rabbits |
| Anaplastic carcinoma | [10] | 3 of 109 rabbits |
| Spindle-cell carcinoma | [10] | 1 of 109 rabbits |
| Ductal carcinoma | [10] | 4 of 109 rabbits |
| Malignant myoepithelioma | [23] | 1 rabbit (case report) |
| Carcinosarcoma | [25] | 1 rabbit (case report) |
4.2.2. Molecular Features
4.2.3. Evidence for a Hormonal Influence?
5. Discussion
5.1. Prognostic Biomarker
5.2. The Rabbit as Animal Model for Breast Cancer in Women?
5.3. Treatment
6. Conclusions
Author Contributions
Funding
Conflicts of Interest
References
- Brewer, N.R. Biology of the Rabbit. J. Am. Assoc. Lab. Anim. Sci. 2006, 45, 8–24. [Google Scholar] [PubMed]
- Barthold, S.W.; Griffey, S.M.; Percy, D.H. Pathology of Laboratory Rodents and Rabbits, 4th ed.; John Wiley & Sons: Chinchester, UK, 2016; pp. 253–323. [Google Scholar]
- Carneiro, M.; Afonso, S.; Geraldes, A.; Garreau, H.; Bolet, G.; Boucher, S.; Tircazes, A.; Queney, G.; Nachman, M.W.; Ferrand, N. The genetic structure of domestic rabbits. Mol. Biol. Evol. 2011, 28, 1801–1816. [Google Scholar] [CrossRef] [PubMed]
- Alves, J.M.; Carneiro, M.; Afonso, S.; Lopes, S.; Garreau, H.; Boucher, S.; Allain, D.; Queney, G.; Esteves, P.J.; Bolet, G.; et al. Levels and patterns of genetic diversity and population structure in domestic rabbits. PLoS ONE 2015, 10, e0144687. [Google Scholar] [CrossRef] [PubMed]
- Esteves, P.J.; Abrantes, J.; Baldauf, H.-M.; BenMohamed, L.; Chen, Y.; Christensen, N.; González-Gallego, J.; Giacani, L.; Hu, J.; Kaplan, G.; et al. The wide utility of rabbits as models of human diseases. Exp. Mol. Med. 2019, 51, 71. [Google Scholar] [CrossRef] [PubMed]
- Fan, J.; Chen, Y.; Yan, H.; Niimi, M.; Wang, Y.; Liang, J. Principles and applications of rabbit models of atherosclerosis research. J. Atheroscler. Thromb. 2018, 25, 213–220. [Google Scholar] [CrossRef] [PubMed]
- Elsinghorst, T.A.M.; Timmermans, H.J.F.; Hendriks, H.G.C.J.M. Comparative pathology of endometrial carcinoma. Vet. Q. 1984, 6, 200–208. [Google Scholar] [CrossRef] [PubMed]
- Richardson, V.C.G. Rabbits: Heath, Husbandry and Diseases; Blackwell Science Ltd.: Oxford, UK, 2000. [Google Scholar]
- Greene, H.S.N. Familial mammary tumors in the rabbit: I. Clinical history. J. Exp. Med. 1939, 70, 147–158. [Google Scholar] [CrossRef] [PubMed]
- Baum, B.; Hewicker-Trautwein, M. Classification and epidemiology of mammary tumours in pet rabbits (Oryctolagus cuniculus). J. Comp. Pathol. 2015, 152, 291–298. [Google Scholar] [CrossRef]
- Degner, S.; Schoon, H.-A.; Laik-Schandelmaier, C.; Aupperle-Lellbach, H.; Schöniger, S. Estrogen receptor-α and progesterone receptor expression in mammary proliferative lesions of female pet rabbits. Vet. Pathol. 2018, 55, 838–848. [Google Scholar] [CrossRef]
- Arrington, L.R.; Kelly, K.C. Domestic Rabbit Biology and Production; The University Press of Florida: Gainsville, FL, USA, 1976. [Google Scholar]
- Adams, V.J.; Evans, K.M.; Sampson, J.; Wood, J.L.N. Methods and mortality results of a health survey of purebred dogs in the UK. J. Small Anim. Pract. 2010, 51, 512–524. [Google Scholar] [CrossRef]
- Wallis, L.J.; Szabó, D.; Erdélyi-Belle, B.; Kubinyi, E. Demographic change across the lifespan of pet dogs and their impact on health status. Front. Vet. Sci. 2018, 5, 200. [Google Scholar] [CrossRef] [PubMed]
- Easson, W. A review of rabbit and rodent production medicine. Semin. Avian. Exot. Pet. Med. 2001, 10, 131–139. [Google Scholar] [CrossRef]
- Szendrö, Z.; Matics, Z.; Brecchia, G.; Theau-Clément, M.; Nagy, Z.; Princz, Z.; Biró-Németh, E.; Radnai, I.; Nagy, I. Milk production of pseudopregnant multiparous does. World Rabbit Sci. 2010, 18, 77–82. [Google Scholar] [CrossRef]
- Adriance, M.C.; Inman, J.L.; Petersen, O.W.; Bissell, M.J. Myoepithelial cells: Good fences make good neighbors. Breast Cancer Res. 2005, 7, 190–197. [Google Scholar] [CrossRef] [PubMed]
- Rakha, E.A.; Reis-Filho, J.S.; Ellis, I.O. Basal-like breast cancer: A critical review. J. Clin. Oncol. 2008, 26, 2568–2581. [Google Scholar] [CrossRef] [PubMed]
- Peña, L.; Gama, A.; Goldschmidt, M.H.; Abadie, J.; Benazzi, C.; Castagnaro, M.; Díez, L.; Gärtner, F.; Hellmén, E.; Kiupel, M.; et al. Canine mammary tumors: A review and consensus of standard guidelines on epithelial and myoepithelial phenotype markers, HER2, and hormone receptor assessment using immunohistochemistry. Vet. Pathol. 2014, 51, 127–145. [Google Scholar] [CrossRef] [PubMed]
- Maertens, L.; Lebas, F.; Szendrö, Z.S. Rabbit milk: A review of quantity, quality and non-dietary affecting factors. World Rabbit Sci. 2006, 14, 205–230. [Google Scholar] [CrossRef]
- Greene, H.S.N. Familial mammary tumors in the rabbit. II. Gross and microscopic pathology. J. Exp. Med. 1939, 70, 159–166. [Google Scholar] [CrossRef]
- Greene, H.S.N. Familial mammary tumors in the rabbit: III. Factors concerned in their genesis and development. J. Exp. Med. 1939, 70, 167–184. [Google Scholar] [CrossRef]
- Do Carmo Silva, H.; de Oliveira, A.R.; dos Santos Horta, R.; Monteiro, B.S.; Silveira, T.L.; Cassali, G.D.; Flecher, M.C. Mammary gland malignant myoepithelioma in a domestic rabbit (Oryctolagus cuniculus). Acta Sci. Vet. 2019, 47, 388. [Google Scholar] [CrossRef]
- Sikoski, P.; Trybus, J.; Cline, J.M.; Muhammad, F.S.; Eckhoff, A.; Tan, J.; Lockard, M.; Jolley, T.; Britt, S.; Kock, N.D. Cystic mammary adenocarcinoma associated with a prolactin-secreting pituitary adenoma in a New Zealand white rabbit (Oryctolagus cuniculus). Comp. Med. 2008, 58, 297–300. [Google Scholar] [PubMed]
- Shahbazfar, A.A.; Mohammadpour, H.; Isfahani, H.R.E. Mammary gland carcinosarcoma in a New Zealand White Rabbit (Oryctolagus cuniculus). Acta Sci. Vet. 2012, 40, 1025. [Google Scholar]
- Schöniger, S.; Horn, L.-C.; Schoon, H.-A. Tumors and tumor-like lesions in the mammary gland of 24 pet rabbits: A histomorphological and immunohistochemical characterization. Vet. Pathol. 2014, 51, 569–580. [Google Scholar] [CrossRef] [PubMed]
- Andrews, E.J. Mammary neoplasia in the guinea pig (Cavia porcellus). Cornell Vet. 1976, 66, 82–96. [Google Scholar] [PubMed]
- Benavente, M.A.; Bianchi, C.P.; Aba, M.A. Canine mammary tumors: Risk factors, prognosis and treatments. J. Vet. Adv. 2016, 6, 1291–1300. [Google Scholar] [CrossRef]
- Misdorp, M.; Else, R.W.; Hellmén, E.; Lipscomb, T.P. Histological Classification of Mammary Tumors of the Dog and the Cat, 2nd Series; American Forces Institute of Pathology in Coorperation with the American Registry of Pathology and The Word Heath Organization Collaborating Center for Worldwide Reference on Cooperative Oncology: Washington, DC, USA, 1999; Volume VII. [Google Scholar]
- Goldschmidt, M.; Peña, L.; Rasotto, R.; Zappulli, V. Classification and grading of canine mammary tumors. Vet. Pathol. 2011, 48, 117–131. [Google Scholar] [CrossRef] [PubMed]
- Rasotto, R.; Berlato, D.; Goldschmidt, M.H.; Zappulli, V. Prognostic significance of canine mammary tumor histologic subtypes: An observational cohort study of 229 cases. Vet. Pathol. 2017, 54, 571–578. [Google Scholar] [CrossRef]
- Ellis, I.O.; Lee, A.H.S.; Pinder, S.E.; Rakha, E.A. Tumors of the breast. In Diagnostic Histopathology of Tumors, 4th ed.; Fletcher, C.D.M., Ed.; Churchill Livingstone: London, UK, 2013; Volume 2, pp. 1057–1145. [Google Scholar]
- Elston, C.W.; Ellis, I.O. Pathological prognostic factors in breast cancer. I: The value of histological grade in breast cancer: Experience from a large study with long-term follow-up. Histopathology 1991, 19, 403–410. [Google Scholar] [CrossRef]
- Lakhani, S.R.; Ellis, I.O.; Schnitt, S.J.; Tan, P.-H.; van de Vijver, M.J. WHO Classification of Tumours of the Breast, 4th ed.; World Health Organization Classification of Tumours; International Agency for Research on Cancer (IARC): Lyon, France, 2012. [Google Scholar]
- Rakha, E.A.; Reis-Filho, J.S.; Baehner, F.; Dabbs, D.J.; Decker, T.; Eusebi, V.; Fox, S.B.; Ichihara, S.; Jacquemier, J.; Lakhani, S.R.; et al. Breast cancer prognostic classification in the molecular era: The role of histological grade. Breast Cancer Res. 2010, 12, 207. [Google Scholar] [CrossRef]
- Petraitiene, R.; Petraitis, V.; Bacher, J.; Das, S.R.; Parlow, A.F.; Walsh, T.J. Cyclosporine A-induced mammary hyperplasia and hyperprolactinemia in New Zealand white rabbits. Comp. Med. 2001, 51, 430–435. [Google Scholar]
- Lipman, N.S.; Zhao, Z.B.; Andrutis, K.A.; Hurley, R.J.; Fox, J.G.; White, H.J. Prolactin-secreting pituitary adenomas with mammary dysplasia in New Zealand white rabbits. Lab. Anim. Sci. 1994, 44, 114–120. [Google Scholar] [PubMed]
- Krimer, P.M.; Harvey, S.B.; Blas-Machado, U.; Lauderdale, J.D.; Moore, P.A. Reversible fibroadenomatous mammary hyperplasia in male and female New Zealand white rabbits associated with cyclosporine A administration. Vet. Pathol. 2009, 46, 1144–1148. [Google Scholar] [CrossRef] [PubMed]
- Dewar, R.; Fadare, O.; Gilmore, H.; Gown, A.M. Best practices in diagnostic immunohistochemistry: Myoepithelial markers in breast pathology. Arch. Pathol. Lab. Med. 2011, 135, 422–429. [Google Scholar] [CrossRef] [PubMed]
- Gama, A.; Alves, A.; Gartner, F.; Schmitt, F. p63: A novel myoepithelial cell marker in canine mammary tissues. Vet. Pathol. 2003, 40, 412–420. [Google Scholar] [CrossRef] [PubMed]
- Martin de las Mulas, J.; Reymundo, C.; Espinosa de los Monteros, A.; Millán, Y.; Ordás, J. Calponin expression and myoepithelial cell differentiation in canine, feline and human mammary simple carcinomas. Vet. Comp. Oncol. 2004, 2, 24–35. [Google Scholar] [CrossRef] [PubMed]
- Zappulli, V.; Caliari, D.; Rasotto, R.; Ferro, S.; Castagnaro, M.; Goldschmidt, M. Proposed classification of the feline “complex” mammary tumors as ductal and intraductal papillary mammary tumors. Vet. Pathol. 2013, 50, 1070–1077. [Google Scholar] [CrossRef] [PubMed]
- Maratea, K.A.; Ramos-Vara, J.A.; Corriveau, L.A.; Miller, M.A. Testicular interstitial cell tumor and gynecomastia in a rabbit. Vet. Pathol. 2007, 44, 513–517. [Google Scholar] [CrossRef] [PubMed]
- Stefanou, D.; Batistatou, A.; Nonni, A.; Arkoumani, E.; Agnantis, N.J. P63 expression in benign and malignant breast lesions. Histol. Histopathol. 2004, 19, 465–471. [Google Scholar] [CrossRef] [PubMed]
- Kelly, P.A.; Djiane, J.; Malancon, R. Characterization of estrogen, progesterone and glucocorticoid receptors in rabbit mammary glands and their measurement during pregnancy and lactation. J. Steroid Biochem. 1983, 18, 215–221. [Google Scholar] [CrossRef]
- Bacci, B.; Ressel, L.; Abbondati, E.; Brunetti, B.; Benazzi, C.; Poli, A.; Sarli, G. Phenotypic Characterisation of Spontaneous Mammary Tumors in Pet Rabbits. In Proceedings of the 28th Meeting of the European Society of Veterinary Pathology and European College of Veterinary Pathologists, Belgrade, Serbia, 8–11 September 2010; Jovanović, M., Ed.; Serbian Society of Veterinary Pathology: Belgrade, Serbia, 2010; Abstract 114; p. 187. [Google Scholar]
- Carter, C.L.; Adams, J.K.; Czarra, J.A.; Coan, P.N. An incidence of pseudopregnancy associated with the social enrichment of rabbits (Oryctolagus cuniculi). J. Am. Assoc. Lab. Anim. Sci. 2016, 55, 98–99. [Google Scholar] [PubMed]
- Djiane, J.; Durand, P.; Kelly, P.A. Evolution of prolactin receptors in rabbit mammary gland during pregnancy and lactation. Endocrinology 1977, 100, 1348–1356. [Google Scholar] [CrossRef] [PubMed]
- Murakami, H.; Ike, F.; Kohmoto, K.; Sakai, S. Monoclonal antibody detection of prolactin-binding subunits in the rabbit mammary gland. Biochem. J. 1988, 256, 917–922. [Google Scholar] [CrossRef] [PubMed]
- Kumar, S.; Mansel, R.E.; Jasani, B. Presence and possible significance of immunohistochemically demonstrable prolactin in breast apocrine metaplasia. Br. J. Cancer 1987, 55, 307–309. [Google Scholar] [CrossRef] [PubMed]
- Bernichtein, S.; Touraine, P.; Goffin, V. New concepts in prolactin biology. J. Endocrinol. 2010, 206, 1–11. [Google Scholar] [CrossRef]
- Sethi, B.K.; Chanukya, G.V.; Nagesh, V.S. Prolactin and cancer: Has the orphan finally found a home? Indian J. Endocrinol. Metab. 2012, 16, S195–S198. [Google Scholar] [CrossRef] [PubMed]
- McRae, M.A.; Newman, G.R.; Walker, S.M.; Jasani, B. Immunohistochemical identification of prolactin and 24K protein in secretory endometrium. Fertil. Steril. 1986, 45, 643–648. [Google Scholar] [CrossRef]
- O’Sullivan, C.C.; Bates, S.E. Targeting prolactin receptor (PRLR) signaling in PRLR-positive breast and prostate cancer. Oncologist 2016, 21, 523–526. [Google Scholar] [CrossRef]
- López-Ozuna, V.M.; Hachim, I.Y.; Hachim, M.Y.; Lebrun, J.-J.; Ali, S. Prolactin pro-differentiation pathway in triple negative breast cancer: Impact on prognosis and potential therapy. Sci. Rep. 2016, 6, 30934. [Google Scholar] [CrossRef]
- Hammond, M.E.H.; Hayes, D.F.; Dowsett, M.; Allred, D.C.; Hagerty, K.L.; Badve, S.; Fitzgibbons, P.L.; Francis, G.; Goldstein, N.S.; Hayes, M.; et al. American Society of Clinical Oncology/College of American Pathologists guideline recommendations for immunohistochemical testing of estrogen and progesterone receptors in breast cancer. J. Clin. Oncol. 2010, 28, 2784. [Google Scholar] [CrossRef]
- Clark, A.; Bird, N.K.; Brock, A. Intraductal delivery to the rabbit mammary gland. J. Vis. Exp. 2017, 121, e55209. [Google Scholar] [CrossRef]
- Zhou, L.; Xiao, Q.; Bi, J.; Wang, Z.; Li, Y. Rabgtd: A Comprehensive Database of Rabbit Genome and Transcriptome. Database 2018, 1–8. [Google Scholar] [CrossRef] [PubMed]
- Sarnali, T.; PK, M. Obesity and Disease Association: A Review. Anwer Khan Mod. Med. Coll. J. 2010, 1, 21–24. [Google Scholar] [CrossRef]
- Dai, X.; Li, T.; Bai, Z.; Yang, Y.; Liu, X.; Zhan, J.; Shi, B. Breast cancer intrinsic subtype classification, clinical use and future trends. Am. J. Cancer Res. 2015, 5, 2929–2943. [Google Scholar] [PubMed]
- Tavares, W.L.F.; Lavalle, G.E.; Figueiredo, M.S.; Souza, A.G.; Bertagnolli, A.C.; Viana, F.A.B.; Paes, P.R.O.; Carneiro, R.A.; Cavalcanti, G.A.O.; Melo, M.M.; et al. Evaluation of adverse effects in tamoxifen exposed healthy female dogs. Acta Vet. Scand. 2010, 52, 67. [Google Scholar] [CrossRef]
- Bhargava, S.; Murugesan, K.; Vij, U.; Farooq, A. Effect of tamoxifen, estradiol 17 beta on coenzymes NAD, NADPH and the metabolism of estradiol and estrone in rabbit uterus in vivo. Indian J. Exp. Biol. 1993, 31, 940–943. [Google Scholar]
- Bhargava, S.; Murugesan, K.; Vij, U.; Bharti, A.; Farooq, A. Short term treatment of tamoxifen and estradiol on estradiol and progesterone receptors in rabbit uterus. Indian J. Exp. Biol. 1993, 31, 673–676. [Google Scholar] [PubMed]


© 2019 by the authors. Licensee MDPI, Basel, Switzerland. This article is an open access article distributed under the terms and conditions of the Creative Commons Attribution (CC BY) license (http://creativecommons.org/licenses/by/4.0/).
Share and Cite
Schöniger, S.; Degner, S.; Jasani, B.; Schoon, H.-A. A Review on Mammary Tumors in Rabbits: Translation of Pathology into Medical Care. Animals 2019, 9, 762. https://doi.org/10.3390/ani9100762
Schöniger S, Degner S, Jasani B, Schoon H-A. A Review on Mammary Tumors in Rabbits: Translation of Pathology into Medical Care. Animals. 2019; 9(10):762. https://doi.org/10.3390/ani9100762
Chicago/Turabian StyleSchöniger, Sandra, Sophie Degner, Bharat Jasani, and Heinz-Adolf Schoon. 2019. "A Review on Mammary Tumors in Rabbits: Translation of Pathology into Medical Care" Animals 9, no. 10: 762. https://doi.org/10.3390/ani9100762
APA StyleSchöniger, S., Degner, S., Jasani, B., & Schoon, H.-A. (2019). A Review on Mammary Tumors in Rabbits: Translation of Pathology into Medical Care. Animals, 9(10), 762. https://doi.org/10.3390/ani9100762

