Ectopic Pregnancy and T-Cell Lymphoma in a Eurasian Red Squirrel (Sciurus vulgaris): Possible Comorbidity and a Comparative Pathology Perspective
Abstract
Simple Summary
Abstract
1. Introduction
2. Materials and Methods
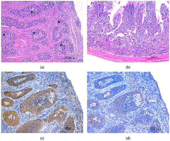
3. Results
4. Discussion
5. Conclusions
Supplementary Materials
Author Contributions
Funding
Institutional Review Board Statement
Informed Consent Statement
Data Availability Statement
Acknowledgments
Conflicts of Interest
References
- The IUCN Red List of Threatened Species. Available online: https://www.iucnredlist.org/species/221730864/221731049 (accessed on 24 December 2023).
- Mari, V.; Martini, S.; Romeo, C.; Molinari, A.; Martinoli, A.; Tosi, G.; Wauters, L. Record litter size in the Eurasian Red Squirrel (Sciurus vulgaris). Hystrix 2008, 19, 62–65. [Google Scholar] [CrossRef]
- Hayssen, V. Reproductive Effort in Squirrels: Ecological, Phylogenetic, Allometric, and Latitudinal Patterns. J. Mammal. 2008, 89, 582–606. [Google Scholar] [CrossRef]
- Carter, A.M.; Enders, A.C. Placentation in mammals: Definitive placenta, yolk sac, and paraplacenta. Theriogenology 2016, 86, 278–287. [Google Scholar] [CrossRef] [PubMed]
- Maranesi, M.; Bufalari, A.; Dall’Aglio, C.; Paoloni, D.; Moretti, G.; Crotti, S.; Manuali, E.; Stazi, M.; Bergamasco, F.; Cruciani, D.; et al. Reproductive Traits of an Invasive Alien Population of Grey Squirrel (Sciurus carolinensis) in Central Italy. Animals 2020, 10, 738. [Google Scholar] [CrossRef] [PubMed]
- Corpa, J.M. Ectopic pregnancy in animals and humans. Reproduction 2006, 131, 631–640. [Google Scholar] [CrossRef]
- Eddey, P.D. Ectopic pregnancy in an apparently healthy bitch. J. Am. Anim. Hosp. Assoc. 2012, 48, 194–197. [Google Scholar] [CrossRef] [PubMed]
- Segura Gil, P.; Peris Palau, B.; Martínez Martínez, J.; Ortega Porcel, J.; Corpa Arenas, J.M. Abdominal pregnancies in farm rabbits. Theriogenology 2004, 62, 642–651. [Google Scholar] [CrossRef] [PubMed]
- Rosset, E.; Galet, C.; Buff, S. A case report of an ectopic fetus in a cat. J. Feline Med. Surg. 2011, 13, 610–613. [Google Scholar] [CrossRef] [PubMed]
- Tena-Betancourt, E.; Tena-Betancourt, C.A.; Zúniga-Muñoz, A.M.; Hernández-Godínez, B.; Ibáñez-Contreras, A.; Graullera-Rivera, V. Multiple extrauterine pregnancy with early and near full-term mummified fetuses in a New Zealand white rabbit (Oryctolagus cuniculus). J. Am. Assoc. Lab. Anim. Sci. 2014, 53, 204–207. [Google Scholar]
- Brozos, C.; Karagiannis, I.; Kiossis, E.; Giadinis, N.D.; Boscos, C. Ectopic pregnancy through a caesarean scar in a ewe. N. Z. Vet. J. 2013, 61, 373–375. [Google Scholar] [CrossRef]
- Gosden, R.G.; Russell, J.A. Spontaneous abdominal implantation in the rat with development to full term. Lab. Anim. 1981, 15, 379–380. [Google Scholar] [CrossRef] [PubMed]
- Buckley, P.; Caine, A. A high incidence of abdominal pregnancy in the Djungarian hamster (Phodopus sungorus). Reproduction 1979, 56, 679–682. [Google Scholar] [CrossRef] [PubMed]
- Simpson, V.R.; Hargreaves, J.; Butler, H.M.; Davison, N.J.; Everest, D.J. Causes of mortality and pathological lesions observed post-mortem in red squirrels (Sciurus vulgaris) in Great Britain. BMC Vet. Res. 2013, 9, 229. [Google Scholar] [CrossRef]
- Fravel, V.A.; Lowenstine, L.J.; Koehne, A. Ectopic pregnancy with associated gestational choriocarcinoma in a California sea lion (Zalophus californianus). Dis. Aquat. Org. 2016, 120, 159–164. [Google Scholar] [CrossRef] [PubMed]
- Hughes, K. Abdominal ectopic pregnancy and impaired postnatal mammary gland development, consistent with physiologic agalactia, in a wild European rabbit, Oryctolagus cuniculus. Front. Vet. Sci. 2019, 6, 254. [Google Scholar] [CrossRef]
- Fylstra, D.L. Ectopic pregnancy after hysterectomy: A review and insight into etiology and prevention. Fertil Steril. 2010, 94, 431–435. [Google Scholar] [CrossRef]
- Johnson, N.; Gist, W.; Akinlaja, O.; Gist, B. Bilateral ovarian teratomas with concurrent ectopic pregnancy at diagnostic laparoscopy. Austin J. Womens Health 2014, 1, 2. [Google Scholar] [CrossRef]
- Liang, Y.F.; Zeng, J.C.; Ruan, J.B.; Kang, D.P.; Wang, L.M.; Chen, C.; Xu, J.F. Ovarian sclerosing stromal tumor in a young woman with ectopic pregnancy: Clinical, pathological, and immunohistochemical studies. Int. J. Clin. Exp. Pathol. 2014, 7, 456–459. [Google Scholar]
- Inoue, T.; Nabeshima, K.; Shimao, Y.; Akiyama, Y.; Ohtsuka, T.; Koono, M. Tubal ectopic pregnancy associated with an adenomatoid tumor. Pathol. Int. 2001, 51, 211–214. [Google Scholar] [CrossRef]
- Stewart, L.M.; Stewart, C.J.R.; Spilsbury, K.; Cohen, P.A.; Jordan, S. Association between pelvic inflammatory disease, infertility, ectopic pregnancy and the development of ovarian serous borderline tumor, mucinous borderline tumor and low-grade serous carcinoma. Gynecol. Oncol. 2020, 156, 611–615. [Google Scholar] [CrossRef]
- Vail, D.M.; Thamm, D.H.; Liptak, J.M. Hematopoietic Tumors. In Withrow and MacEwen’s Small Animal Clinical Oncology, 6th ed.; Published online; Elsevier Health Sciences: Amsterdam, The Netherlands, 2019; pp. 688–772. [Google Scholar]
- Valli, V.E.O.; Kiupel, M.; Bienzle, D.; Wood, R.D. Hematopoietic system. In Jubb, Kennedy, and Palmer’s Pathology of Domestic Animals, 6th ed.; W.B. Saunders: Philadelphia, PA, USA, 2016; Volume 3, pp. 102–268. [Google Scholar]
- Ward, J.M. Lymphomas and leukemias in mice. Exp. Toxicol. Pathol. 2006, 57, 377–381. [Google Scholar] [CrossRef]
- Seluanov, A.; Gladyshev, V.N.; Vijg, J.; Gorbunova, V. Mechanisms of cancer resistance in long-lived mammals. Nat. Rev. Cancer 2018, 18, 433–441. [Google Scholar] [CrossRef]
- Pesavento, P.A.; Agnew, D.; Keel, M.K.; Woolard, K.D. Cancer in wildlife: Patterns of emergence. Nat. Rev. Cancer 2018, 18, 646–661. [Google Scholar] [CrossRef]
- LaRose, J.P.; Meredith, A.L.; Everest, D.J.; Fiegna, C.; McInnes, C.J.; Shaw, D.J.; Milne, E.M. Epidemiological and postmortem findings in 262 red squirrels (Sciurus vulgaris) in Scotland, 2005 to 2009. Vet. Rec. 2010, 167, 297–302. [Google Scholar] [CrossRef] [PubMed]
- Honnold, S.P.; Arun, I.; Saturday, G.; McLeod, C. Epitheliotropic lymphoma in a squirrel (Sciurus sp.). J. Zoo Wildl. Med. 2007, 38, 479–482. [Google Scholar] [CrossRef] [PubMed]
- Ullman-Culleré, M.H.; Foltz, C.J. Body condition scoring: A rapid and accurate method for assessing health status in mice. Comp. Med. 1999, 49, 319–323. [Google Scholar]
- Dialani, V.; Levine, D. Ectopic pregnancy: A review. Ultrasound Q. 2004, 20, 105–117. [Google Scholar] [CrossRef] [PubMed]
- Schlafer, D.H.; Foster, R.A. Female Genital System. In Jubb, Kennedy, and Palmer’s Pathology of Domestic Animals, 6th ed.; W.B. Saunders: Philadelphia, PA, USA, 2016; Volume 3, pp. 358–464.e1. [Google Scholar]
- Willard-Mack, C.L.; Elmore, S.A.; Hall, W.C.; Harleman, J.; Kuper, C.F.; Losco, P.; Rehg, J.E.; Rühl-Fehlert, C.; Ward, J.M.; Weinstock, D.; et al. Nonproliferative and Proliferative Lesions of the Rat and Mouse Hematolymphoid System. Toxicol. Pathol. 2019, 47, 665–783. [Google Scholar] [CrossRef]
- Monterroso, V.; Jaffe, E.S.; Merino, M.J.; Medeiros, L.J. Malignant lymphomas involving the ovary. A clinicopathologic analysis of 39 cases. Am. J. Surg. Pathol. 1993, 17, 154–170. [Google Scholar] [CrossRef] [PubMed]
- Rajendran, T.; Kini, J.R.; Prasad, K. Primary Ovarian Non-Hodgkin’s Lymphoma: An 18-year Retrospective Institutional Study and Review of Literature from India. Cureus 2023, 15, e40685. [Google Scholar] [CrossRef]
- Masalunga, M.C.; Basa, R.L.; Damian, K.B.; Carnate, J.M. Metastatic Lymphomas of the Placenta: A Literature Review with an Illustrative Case. Pediatr. Dev. Pathol. 2023, 27, 67–76. [Google Scholar] [CrossRef] [PubMed]
- Lawson, B.; Neimanis, A.; Lavazza, A.; López-Olvera, J.R.; Tavernier, P.; Billinis, C.; Duff, J.P.; Mladenov, D.T.; Rijks, J.M.; Savić, S.; et al. How to Start Up a National Wildlife Health Surveillance Programme. Animals 2021, 11, 2543. [Google Scholar] [CrossRef] [PubMed]
- McAloose, D.; Newton, A. Wildlife cancer: A conservation perspective. Nat. Rev. Cancer 2009, 9, 517–526. [Google Scholar] [CrossRef] [PubMed]



Disclaimer/Publisher’s Note: The statements, opinions and data contained in all publications are solely those of the individual author(s) and contributor(s) and not of MDPI and/or the editor(s). MDPI and/or the editor(s) disclaim responsibility for any injury to people or property resulting from any ideas, methods, instructions or products referred to in the content. |
© 2024 by the authors. Licensee MDPI, Basel, Switzerland. This article is an open access article distributed under the terms and conditions of the Creative Commons Attribution (CC BY) license (https://creativecommons.org/licenses/by/4.0/).
Share and Cite
Raso, C.; Galietta, V.; Eleni, C.; Innocenti, M.; Fonti, N.; Palmerini, T.; Grillo, M.; Calderini, P.; Borgogni, E. Ectopic Pregnancy and T-Cell Lymphoma in a Eurasian Red Squirrel (Sciurus vulgaris): Possible Comorbidity and a Comparative Pathology Perspective. Animals 2024, 14, 731. https://doi.org/10.3390/ani14050731
Raso C, Galietta V, Eleni C, Innocenti M, Fonti N, Palmerini T, Grillo M, Calderini P, Borgogni E. Ectopic Pregnancy and T-Cell Lymphoma in a Eurasian Red Squirrel (Sciurus vulgaris): Possible Comorbidity and a Comparative Pathology Perspective. Animals. 2024; 14(5):731. https://doi.org/10.3390/ani14050731
Chicago/Turabian StyleRaso, Caterina, Valentina Galietta, Claudia Eleni, Marco Innocenti, Niccolò Fonti, Tiziana Palmerini, Mauro Grillo, Pietro Calderini, and Elena Borgogni. 2024. "Ectopic Pregnancy and T-Cell Lymphoma in a Eurasian Red Squirrel (Sciurus vulgaris): Possible Comorbidity and a Comparative Pathology Perspective" Animals 14, no. 5: 731. https://doi.org/10.3390/ani14050731
APA StyleRaso, C., Galietta, V., Eleni, C., Innocenti, M., Fonti, N., Palmerini, T., Grillo, M., Calderini, P., & Borgogni, E. (2024). Ectopic Pregnancy and T-Cell Lymphoma in a Eurasian Red Squirrel (Sciurus vulgaris): Possible Comorbidity and a Comparative Pathology Perspective. Animals, 14(5), 731. https://doi.org/10.3390/ani14050731

