Studies Using Antibodies against Filaggrin and Filaggrin 2 in Canine Normal and Atopic Skin Biopsies
Abstract
Simple Summary
Abstract
1. Introduction
2. Materials and Methods
2.1. Animals
2.2. Protocol for Allergen Exposure
2.3. Skin Biopsies
2.4. Immunohistochemistry (IHC)
2.4.1. Processing and Staining
2.4.2. Image Analysis of IHC Staining
2.5. Real-Time Polymerase Chain Reaction (RT-PCR)
- FLG1-GY:
- Forward 5′ GGGACACAAAGGGGATCCAG 3′
- Reverse 5′ CCAGACTTTCTGTGATGTTTTGTGA 3′
- FLG2-GR:
- Forward 5′ AGATCGAGATCATGACCGAAGACT 3′
- Reverse 5′ CAGGCCATAGCCAGCTTGAA 3′
- RPLO:
- Forward 5′ TTGTGGCTGCTGCTCCTGTG
- Reverse 5′ ATCCTCGTCCGATTCCTCCG
2.6. Protein Extraction from Skin for Western Blot
2.7. Western Blot
2.8. Statistics
3. Results
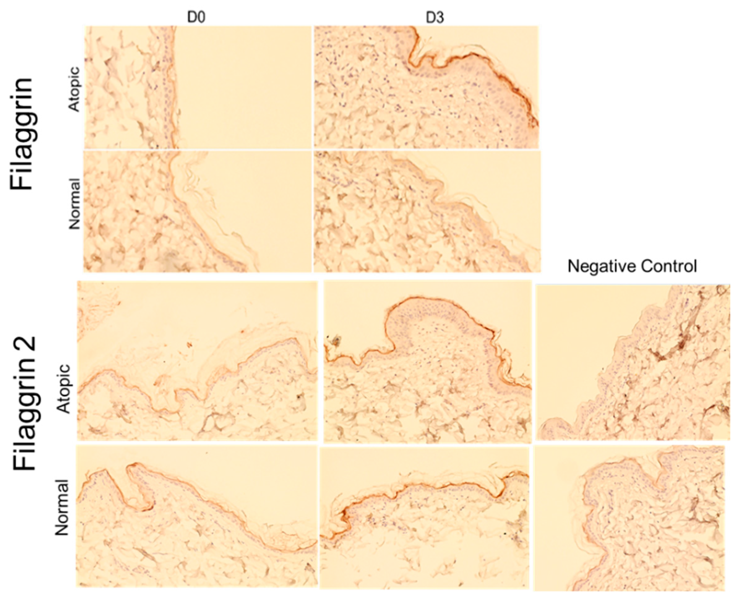
3.1. Immunohistochemistry (IHC)
- General observations: comparison of normal vs. atopic samples
- Effect of allergen exposure in atopic samples
3.1.1. Subjective Scoring of Staining on IHC
- Intensity of filaggrins staining
- b.
- Epidermal thickness
- c.
- Homogeneity vs. patchiness of staining
3.1.2. Semiquantitative Scoring of Staining Intensity (Image J)
3.2. PCR
3.3. Western Blot
4. Discussion
Author Contributions
Funding
Institutional Review Board Statement
Informed Consent Statement
Data Availability Statement
Acknowledgments
Conflicts of Interest
References
- Yang, G.; Seok, J.K.; Kang, H.C.; Cho, Y.-Y.; Lee, H.S.; Lee, J.Y. Skin Barrier Abnormalities and Immune Dysfunction in Atopic Dermatitis. Int. J. Mol. Sci. 2020, 21, 2867. [Google Scholar] [CrossRef]
- Santoro, D.; Marsella, R.; Pucheu-Haston, C.M.; Eisenschenk, M.N.C.; Nuttall, T.; Bizikova, P. Review: Pathogenesis of canine atopic dermatitis: Skin barrier and host–micro-organism interaction. Vet. Dermatol. 2015, 26, 84-e25. [Google Scholar] [CrossRef]
- Heimall, J.; Spergel, J.M. Filaggrin mutations and atopy: Consequences for future therapeutics. Expert Rev. Clin. Immunol. 2012, 8, 189–197. [Google Scholar] [CrossRef]
- Drislane, C.; Irvine, A.D. The role of filaggrin in atopic dermatitis and allergic disease. Ann. Allergy Asthma Immunol. 2020, 124, 36–43. [Google Scholar] [CrossRef]
- Rodríguez, E.; Illig, T.; Weidinger, S. Filaggrin loss-of-function mutations and association with allergic diseases. Pharmacogenomics 2008, 9, 399–413. [Google Scholar] [CrossRef]
- Cascella, R.; Cuzzola, V.F.; Lepre, T.; Galli, E.; Moschese, V.; Chini, L.; Mazzanti, C.; Fortugno, P.; Novelli, G.; Giardina, E. Full sequencing of the FLG gene in Italian patients with atopic eczema: Evidence of new mutations, but lack of an association. J. Investig. Dermatol. 2011, 131, 982–984. [Google Scholar] [CrossRef]
- Rupnik, H.; Rijavec, M.; Korošec, P. Filaggrin loss-of-function mutations are not associated with atopic dermatitis that develops in late childhood or adulthood. Br. J. Dermatol. 2015, 172, 455–461. [Google Scholar] [CrossRef] [PubMed]
- Hoober, J.K.; Eggink, L.L. The Discovery and Function of Filaggrin. Int. J. Mol. Sci. 2022, 23, 1455. [Google Scholar] [CrossRef] [PubMed]
- Wu, Z.; Hansmann, B.; Meyer-Hoffert, U.; Gläser, R.; Schröder, J.-M. Molecular identification and expression analysis of filaggrin-2, a member of the S100 fused-type protein family. PLoS ONE 2009, 4, e5227. [Google Scholar] [CrossRef] [PubMed]
- Hansmann, B.; Ahrens, K.; Wu, Z.; Proksch, E.; Meyer-Hoffert, U.; Schröder, J.M. Murine filaggrin-2 is involved in epithelial barrier function and down-regulated in meta-bolically induced skin barrier dysfunction. Exp. Dermatol. 2012, 21, 271–276. [Google Scholar] [CrossRef] [PubMed]
- Pellerin, L.; Henry, J.; Hsu, C.-Y.; Balica, S.; Jean-Decoster, C.; Méchin, M.-C.; Hansmann, B.; Rodriguez, E.; Weindinger, S.; Schmitt, A.-M.; et al. Defects of filaggrin-like proteins in both lesional and nonlesional atopic skin. J. Allergy Clin. Immunol. 2013, 131, 1094–1102. [Google Scholar] [CrossRef]
- Chervet, L.; Galichet, A.; McLean, W.H.I.; Chen, H.; Suter, M.M.; Roosje, P.J.; Müller, E.J. Missing C-terminal filaggrin expression, NFkappaB activation and hyperproliferation identify the dog as a putative model to study epidermal dysfunction in atopic dermatitis. Exp. Dermatol. 2010, 19, e343–e346. [Google Scholar] [CrossRef]
- Theerawatanasirikul, S.; Sailasuta, A.; Thanawongnuwech, R.; Suriyaphol, G. Alterations of keratins, involucrin and filaggrin gene expression in canine atopic dermatitis. Res. Vet. Sci. 2012, 93, 1287–1292. [Google Scholar] [CrossRef] [PubMed]
- Santoro, D.; Marsella, R.; Ahrens, K.; Graves, T.K.; Bunick, D. Altered mRNA and protein expression of filaggrin in the skin of a canine animal model for atopic dermatitis. Vet. Dermatol. 2013, 24, 329-e73. [Google Scholar] [CrossRef] [PubMed]
- Fanton, N.; Santoro, D.; Cornegliani, L.; Marsella, R. Increased filaggrin-metabolizing enzyme activity in atopic skin: A pilot study using a canine model of atopic dermatitis. Vet. Dermatol. 2017, 28, 479-e111. [Google Scholar] [CrossRef]
- Wood, S.H.; Ollier, W.E.; Nuttall, T.; McEwan, N.A.; Carter, S.D. Despite identifying some shared gene associations with human atopic dermatitis the use of multiple dog breeds from various locations limits detection of gene associations in canine atopic dermatitis. Vet. Immunol. Immunopathol. 2010, 138, 193–197. [Google Scholar] [CrossRef]
- Pin, D.; Pendaries, V.; Alassane, S.K.; Froment, C.; Amalric, N.; Cadiergues, M.-C.; Serre, G.; Haftek, M.; Vidémont, E.; Simon, M. Refined Immunochemical Characterization in Healthy Dog Skin of the Epidermal Cornification Proteins, Filaggrin, and Corneodesmosin. J. Histochem. Cytochem. 2019, 67, 85–97. [Google Scholar] [CrossRef]
- Kanda, S.; Sasaki, T.; Shiohama, A.; Nishifuji, K.; Amagai, M.; Iwasaki, T.; Kudoh, J. Characterization of canine filaggrin: Gene structure and protein expression in dog skin. Vet. Dermatol. 2013, 24, 25-e7. [Google Scholar] [CrossRef] [PubMed]
- Marsella, R.; Ahrens, K.; Wilkes, R. Differences in Behavior between Normal and Atopic Keratinocytes in Culture: Pilot Studies. Vet. Sci. 2022, 9, 329. [Google Scholar] [CrossRef]
- White, A.G.; Santoro, D.; Ahrens, K.; Marsella, R. Single blinded, randomized, placebo-controlled study on the effects of ciclosporin on cutaneous barrier function and immunological response in atopic beagles. Vet. Immunol. Immunopathol. 2018, 197, 93–101. [Google Scholar] [CrossRef]
- Marsella, R.; Ahrens, K. A pilot study on the effect of oclacitinib on epicutaneous sensitization and transepidermal water loss in a colony of atopic beagle dogs. Vet. Dermatol. 2018, 29, 439-e146. [Google Scholar] [CrossRef] [PubMed]
- Marsella, R. Experimental model for peanut allergy by epicutaneous sensitization in atopic beagle dogs. Exp. Dermatol. 2015, 24, 711–712. [Google Scholar] [CrossRef] [PubMed]
- Hughes, J.L.; Lackie, P.M.; Wilson, S.J.; Church, M.K.; McGill, J.I. Reduced structural proteins in the conjunctival epithelium in allergic eye disease. Allergy 2006, 61, 1268–1274. [Google Scholar] [CrossRef]
- Marsella, R.; Samuelson, D.; Harrington, L. Immunohistochemical evaluation of filaggrin polyclonal antibody in atopic and normal beagles. Vet. Dermatol. 2009, 20, 547–554. [Google Scholar] [CrossRef] [PubMed]
- Combarros, D.; Cadiergues, M.-C.; Simon, M. Update on canine filaggrin: A review. Vet. Q. 2020, 40, 162–168. [Google Scholar] [CrossRef]
- Albanesi, C.; Scarponi, C.; Giustizieri, M.L.; Girolomoni, G. Keratinocytes in Inflammatory Skin Diseases. Curr. Drug Targets-Inflamm. Allergy 2005, 4, 329–334. [Google Scholar] [CrossRef]
- Freedberg, I.M.; Tomic-Canic, M.; Komine, M.; Blumenberg, M. Keratins and the Keratinocyte Activation Cycle. J. Investig. Dermatol. 2001, 116, 633–640. [Google Scholar] [CrossRef]
- Niehues, H.; Rikken, G.; van Vlijmen-Willems, I.M.J.J.; Rodijk-Olthuis, D.; van Erp, P.E.J.; Zeeuwen, P.L.J.M.; Schalkwijk, J.; van den Bogaard, E.H. Identification of Keratinocyte Mitogens: Implications for Hyperproliferation in Psoriasis and Atopic Dermatitis. JID Innov. 2021, 2, 100066. [Google Scholar] [CrossRef]
- Matsumura, S.; Terao, M.; Murota, H.; Katayama, I. Th2 cytokines enhance TrkA expression, upregulate proliferation, and downregulate differentiation of keratinocytes. J. Dermatol. Sci. 2015, 78, 215–223. [Google Scholar] [CrossRef]
- Danso, M.O.; van Drongelen, V.; Mulder, A.; van Esch, J.; Scott, H.; van Smeden, J.; El Ghalbzouri, A.; Bouwstra, J.A. TNF-α and Th2 cytokines induce atopic dermatitis-like features on epidermal differentiation proteins and stratum corneum lipids in human skin equivalents. J. Investig. Dermatol. 2014, 134, 1941–1950. [Google Scholar] [CrossRef] [PubMed]
- Kobayashi, T.; Hayakawa, K.; Tanaka, A.; Matsuda, H. Increased expression of gelatinase and caspase activities in the skin of NC/Tnd mice: A model for atopic dermatitis. Dermatitis 2013, 24, 254–255. [Google Scholar] [CrossRef]
- Yamamoto, M.; Kamata, Y.; Iida, T.; Fukushima, H.; Nomura, J.; Saito, M.; Tajima, M.; Okubo, Y.; Momoi, T.; Tsuboi, R.; et al. Quantification of activated and total caspase-14 with newly developed ELISA systems in normal and atopic skin. J. Dermatol. Sci. 2011, 61, 110–117. [Google Scholar] [CrossRef]
- Jung, M.; Choi, J.; Lee, S.-A.; Kim, H.; Hwang, J.; Choi, E.H. Pyrrolidone carboxylic acid levels or caspase-14 expression in the corneocytes of lesional skin correlates with clinical severity, skin barrier function and lesional inflammation in atopic dermatitis. J. Dermatol. Sci. 2014, 76, 231–239. [Google Scholar] [CrossRef]
- Guttman-Yassky, E.; Diaz, A.; Pavel, A.B.; Fernandes, M.; Lefferdink, R.; Erickson, T.; Canter, T.; Rangel, S.; Peng, X.; Li, R.; et al. Use of Tape Strips to Detect Immune and Barrier Abnormalities in the Skin of Children With Early-Onset Atopic Dermatitis. JAMA Dermatol. 2019, 155, 1358–1370. [Google Scholar] [CrossRef]
- He, H.; Bissonnette, R.; Wu, J.; Diaz, A.; Saint-Cyr Proulx, E.; Maari, C.; Jack, C.; Louis, M.; Estrada, Y.; Krueger, J.G.; et al. Tape strips detect distinct immune and barrier profiles in atopic dermatitis and psoriasis. J. Allergy Clin. Immunol. 2021, 147, 199–212. [Google Scholar] [CrossRef] [PubMed]
- Makino, T.; Mizawa, M.; Yamakoshi, T.; Takaishi, M.; Shimizu, T. Expression of filaggrin-2 protein in the epidermis of human skin diseases: A comparative analysis with filaggrin. Biochem. Biophys. Res. Commun. 2014, 449, 100–106. [Google Scholar] [CrossRef] [PubMed]
- Donovan, M.; Salamito, M.; Thomas-Collignon, A.; Simonetti, L.; Desbouis, S.; Rain, J.C.; Formstecher, E.; Bernard, D. Filaggrin and filaggrin 2 processing are linked together through skin aspartic acid protease activation. PLoS ONE 2020, 15, e0232679. [Google Scholar] [CrossRef] [PubMed]
- Hertz, A.; Azulay-Abulafia, L.; Nascimento, A.P.D.; Ohara, C.Y.; Kuschnir, F.C.; Porto, L.C. Analysis of filaggrin 2 gene polymorphisms in patients with atopic dermatitis. An. Bras. Dermatol. 2020, 95, 173–179. [Google Scholar] [CrossRef] [PubMed]
- Seykora, J.; Dentchev, T.; Margolis, D.J. Filaggrin-2 barrier protein inversely varies with skin inflammation. Exp. Dermatol. 2015, 24, 720–722. [Google Scholar] [CrossRef] [PubMed]
- Margolis, D.J.; Gupta, J.; Apter, A.J.; Ganguly, T.; Hoffstad, O.; Papadopoulos, M.; Rebbeck, T.R.; Mitra, N. Filaggrin-2 variation is associated with more persistent atopic dermatitis in African American subjects. J. Allergy Clin. Immunol. 2014, 133, 784–789. [Google Scholar] [CrossRef]
- Schamber, P.; Schwab-Richards, R.; Bauersachs, S.; Mueller, R.S.; Zhu, Q.-H.; Spriggs, A.; Taylor, J.M.; Llewellyn, D.; Wilson, I. Gene Expression in the Skin of Dogs Sensitized to the House Dust Mite Dermatophagoides farinae. G3 Genes Genomes Genet. 2014, 4, 1787–1795. [Google Scholar] [CrossRef]
- Kim, S.W.; Kim, J.H. Establishing an experimental model for canine atopic dermatitis through epicutaneous application of Dermatophagoides farinae. Front. Vet. Sci. 2022, 9, 1015915. [Google Scholar] [CrossRef]
- Kim, S.W.; Lim, K.M.; Cho, S.G.; Ryu, B.; Kim, C.Y.; Park, S.Y.; Jang, K.; Jung, J.H.; Park, C.; Choi, C.; et al. Efficacy of Allogeneic and Xenogeneic Exosomes for the Treatment of Canine Atopic Dermatitis: A Pilot Study. Animals 2024, 14, 282. [Google Scholar] [CrossRef]
- Olivry, T.; Mayhew, D.; Paps, J.S.; Linder, K.E.; Peredo, C.; Rajpal, D.; Hofland, H.; Cote-Sierra, J. Early Activation of Th2/Th22 Inflammatory and Pruritogenic Pathways in Acute Canine Atopic Dermatitis Skin Lesions. J. Investig. Dermatol. 2016, 136, 1961–1969. [Google Scholar] [CrossRef] [PubMed]
- Bäumer, W.; Stahl, J.; Sander, K.; Petersen, L.J.; Paps, J.; Stark, H.; Kietzmann, M.; Olivry, T. Lack of preventing effect of systemically and topically administered histamine H(1) or H(4) receptor antagonists in a dog model of acute atopic dermatitis. Exp. Dermatol. 2011, 20, 577–581. [Google Scholar] [CrossRef] [PubMed]
- Martel, B.C.; Lovato, P.; Bäumer, W.; Olivry, T. Translational Animal Models of Atopic Dermatitis for Preclinical Studies. Yale J. Biol. Med. 2017, 90, 389–402. [Google Scholar]
- Pearson, J.; Leon, R.; Starr, H.; Kim, S.J.; Fogle, J.E.; Banovic, F. Establishment of an Intradermal Canine IL-31-Induced Pruritus Model to Evaluate Therapeutic Candidates in Atopic Dermatitis. Vet. Sci. 2023, 10, 329. [Google Scholar] [CrossRef] [PubMed]
- Gonzales, A.J.; Fleck, T.J.; Humphrey, W.R.; Galvan, B.A.; Aleo, M.M.; Mahabir, S.P.; Tena, J.K.; Greenwood, K.G.; McCall, R.B. IL-31-induced pruritus in dogs: A novel experimental model to evaluate anti-pruritic effects of canine therapeutics. Vet. Dermatol. 2016, 27, 34-e10. [Google Scholar] [CrossRef]
- Hightower, K.; Marsella, R.; Flynn-Lurie, A. Effects of age and allergen exposure on transepidermal water loss in a house dust mite-sensitized beagle model of atopic dermatitis. Vet. Dermatol. 2010, 21, 88–95. [Google Scholar] [CrossRef]
- Marsella, R.; Olivry, T.; Nicklin, C.; Lopez, J. Pilot investigation of a model for canine atopic dermatitis: Environmental house dust mite challenge of high-IgE-producing beagles, mite hypersensitive dogs with atopic dermatitis and normal dogs. Vet. Dermatol. 2006, 17, 24–35. [Google Scholar] [CrossRef]














Disclaimer/Publisher’s Note: The statements, opinions and data contained in all publications are solely those of the individual author(s) and contributor(s) and not of MDPI and/or the editor(s). MDPI and/or the editor(s) disclaim responsibility for any injury to people or property resulting from any ideas, methods, instructions or products referred to in the content. |
© 2024 by the authors. Licensee MDPI, Basel, Switzerland. This article is an open access article distributed under the terms and conditions of the Creative Commons Attribution (CC BY) license (https://creativecommons.org/licenses/by/4.0/).
Share and Cite
Marsella, R.; Ahrens, K.; Wilkes, R. Studies Using Antibodies against Filaggrin and Filaggrin 2 in Canine Normal and Atopic Skin Biopsies. Animals 2024, 14, 478. https://doi.org/10.3390/ani14030478
Marsella R, Ahrens K, Wilkes R. Studies Using Antibodies against Filaggrin and Filaggrin 2 in Canine Normal and Atopic Skin Biopsies. Animals. 2024; 14(3):478. https://doi.org/10.3390/ani14030478
Chicago/Turabian StyleMarsella, Rosanna, Kim Ahrens, and Rachel Wilkes. 2024. "Studies Using Antibodies against Filaggrin and Filaggrin 2 in Canine Normal and Atopic Skin Biopsies" Animals 14, no. 3: 478. https://doi.org/10.3390/ani14030478
APA StyleMarsella, R., Ahrens, K., & Wilkes, R. (2024). Studies Using Antibodies against Filaggrin and Filaggrin 2 in Canine Normal and Atopic Skin Biopsies. Animals, 14(3), 478. https://doi.org/10.3390/ani14030478

