Relationship between Fat Status, Stage of Gonadal Maturity and Hormonal Variation of Turdus philomelos (C.L. Brehm, 1831) Wintering in Apulia during 2018–2020
Abstract
Simple Summary
Abstract
1. Introduction
2. Materials and Methods
2.1. Animals
2.2. Analysis
2.2.1. Chemical Composition and Fatty Acid Analyses of Pectoral Muscles
2.2.2. Histological and Pathological Examination
2.2.3. Hormonal Dosages
2.3. Statistic Analysis
3. Results
3.1. Animals
3.2. Chemical Composition and Fatty Acid Profile of Thrush Muscle
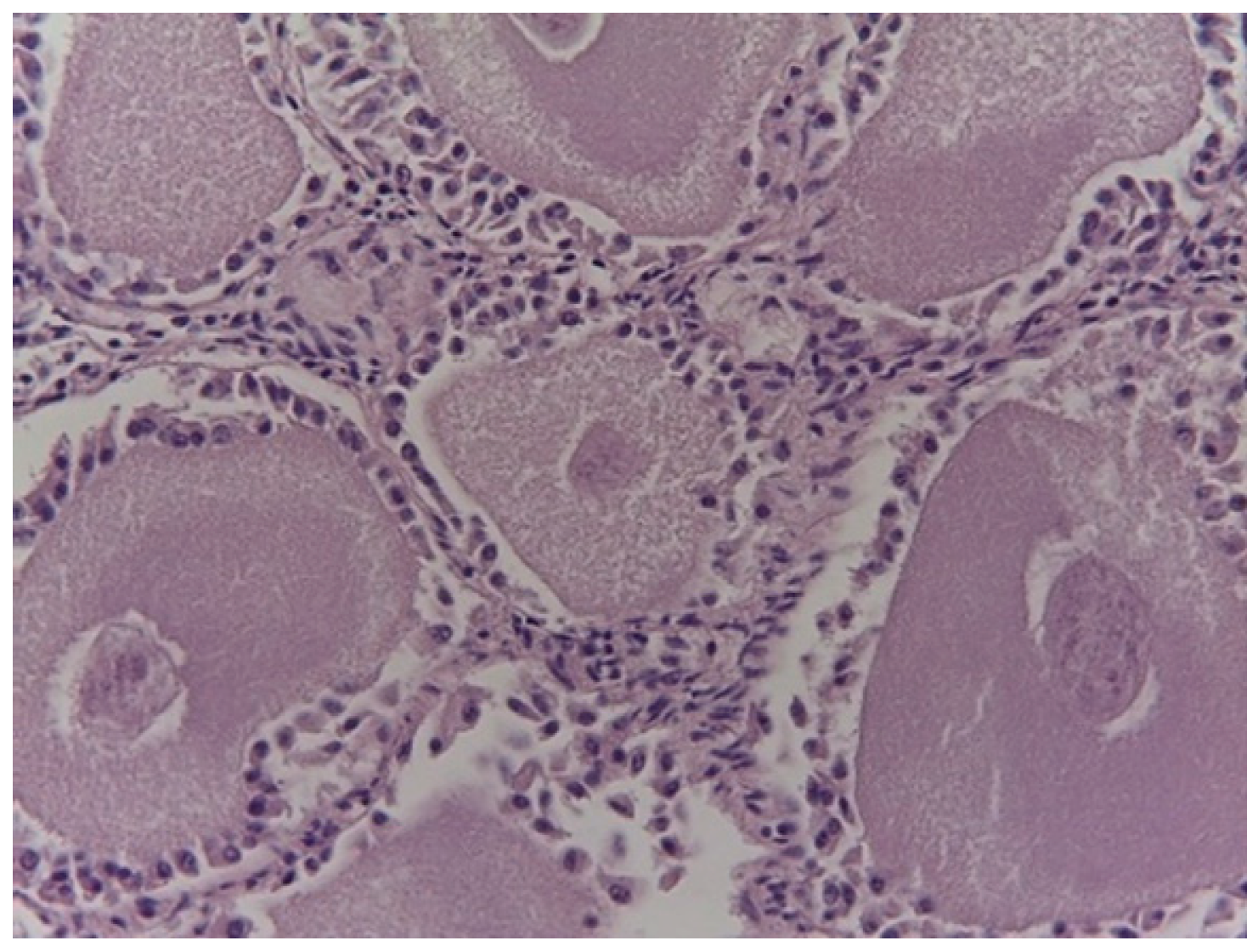
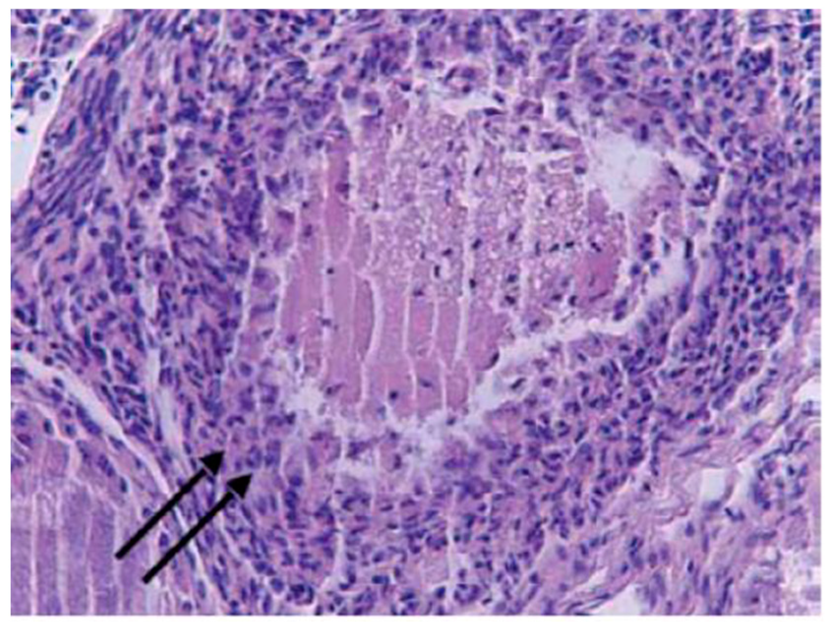
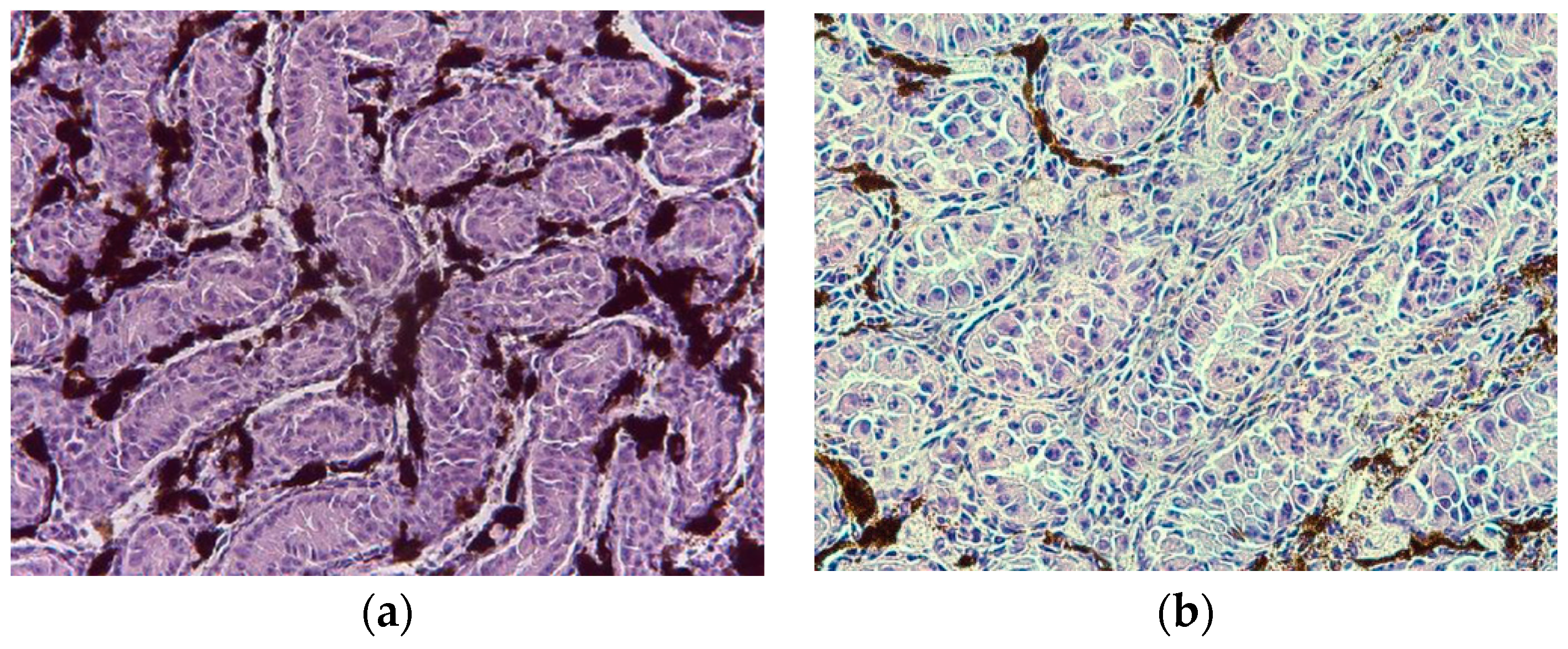
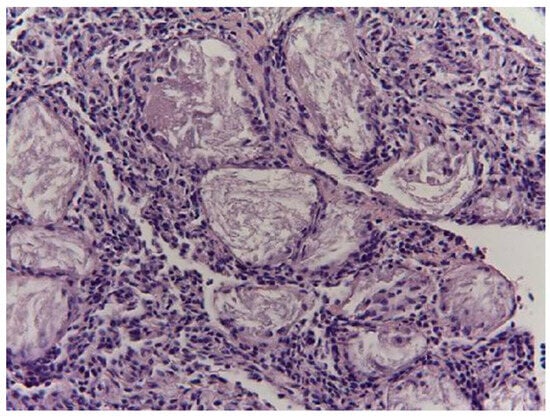
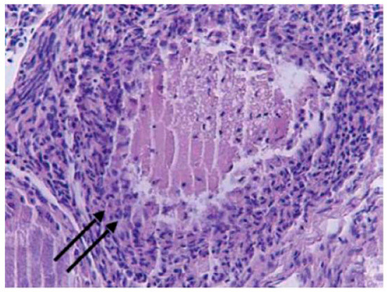
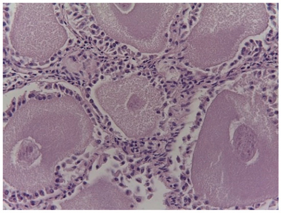
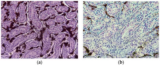
3.3. Histological Examination
3.4. Hormonal Profile
4. Discussion
5. Conclusions
Author Contributions
Funding
Institutional Review Board Statement
Informed Consent Statement
Data Availability Statement
Acknowledgments
Conflicts of Interest
References
- Karagicheva, J.; Rakhimberdiev, E.; Dekinga, A.; Brugge, M.; Koolhaas, A.; Ten Horn, J.; Piersma, T. Seasonal Time Keeping in a Long-Distance Migrating Shorebird. J. Biol. Rhythm. 2016, 31, 509–521. [Google Scholar] [CrossRef] [PubMed]
- Hsia, C.C.W.; Schmitz, A.; Lambertz, M.; Perry, S.F.; Maina, J.N. Evolution of Air Breathing: Oxygen Homeostasis and the Transitions from Water to Land and Sky. Compr. Physiol. 2013, 3, 849–915. [Google Scholar] [CrossRef] [PubMed]
- Deutschlander, M.E.; Muheim, R. Fuel reserves affect migratory orientation of thrushes and sparrows both before and after crossing an ecological barrier near their breeding grounds. J. Avian Biol. 2009, 40, 85–89. [Google Scholar] [CrossRef]
- Stanley, C.Q.; Dudash, M.R.; Ryder, T.B.; Shriver, W.G.; Serno, K.; Adalsteinsson, S.; Marra, P.P. Seasonal variation in habitat selection for a Neotropical migratory songbird using high-resolution GPS tracking. Ecosphere 2021, 12, e03421. [Google Scholar] [CrossRef]
- Sharma, A.; Tripathi, V.; Kumar, V. Control and adaptability of seasonal changes in behaviour and physiology of latitudinal avian migrants: Insights from laboratory studies in Palearctic-Indian migratory buntings. J. Exp. Zool. Part A Ecol. Integr. Physiol. 2022, 337, 902–918. [Google Scholar] [CrossRef] [PubMed]
- Ramenofsky, M.; Wingfield, J.C. Regulation of Migration. BioScience 2007, 57, 135–143. [Google Scholar] [CrossRef]
- Brambilla, M.; Martino, G.; Pedrini, P. Changes in Song Thrush Turdus philomelos Density and Habitat Association in Apple Orchards During the Breeding Season. Ardeola 2013, 60, 73–83. [Google Scholar] [CrossRef]
- Sandberg, R.; Moore, F.R. Fat Stores and Arrival on the Breeding Grounds: Reproductive Consequences for Passerine Migrants. Oikos 1996, 77, 577–581. [Google Scholar] [CrossRef]
- Morrison, R.I.G.; Davidson, N.C.; Wilson, J.R. Survival of the fattest: Body stores on migration and survival in red knots Calidris canutus islandica. J. Avian Biol. 2007, 38, 479–487. [Google Scholar]
- The Eurasian African Bird Migration Atlas. Available online: https://migrationatlas.org/node/1829 (accessed on 15 December 2023).
- La Gioia, G. La migrazione del Tordo bottaccio Turdus philomelos in provincia di Lecce. Prima analisi. Alula 2012, 19, 1–11. [Google Scholar]
- Scebba, S.; La Gioia, G.; Sorrenti, M. Indagine sulla data d’inizio della migrazione prenuziale del tordo bottaccio Turdus philomelos in Puglia. Uccelli D’italia 2015, XL, 5–15. [Google Scholar]
- Studds, C.E.; Marra, P.P. Rainfall-induced changes in food availability modify the spring departure programme of a migratory bird. Proc. R. Soc. B Biol. Sci. 2011, 278, 3437–3443. [Google Scholar] [CrossRef]
- Directive 2009/147/EC of The European Parliament and of the Council of 30 November 2009 on the Conservation of Wild Birds. Available online: https://eur-lex.europa.eu/LexUriServ/LexUriServ.do?uri=OJ:L:2010:020:0007:0025:en:PDF (accessed on 20 January 2023).
- Wingfield, J.C.; Kenagy, G.J. Natural regulation of reproductive cycles. Vertebr. Endocrinol. Fundam. Biomed. Implic. 1991, 4, 181–241. [Google Scholar]
- Dunn, P.O.; Winkler, D.W. Changes in timing of breeding and reproductive success in birds. Eff. Clim. Chang. Birds 2019, 9, 113–128. [Google Scholar]
- Harvey, S.; Scanes, C.G.; Phillips, J.G. Avian Reproduction. In Fundamentals of Comparative Vertebrate Endocrinology; Springer Science & Business Media: Heidelberg, Germany, 1985; pp. 125–185. [Google Scholar]
- Rangel, P.L.; Gutierrez, C.G. Reproduction in hens: Is testosterone necessary for the ovulatory process? Gen. Compar Endocrinol. 2014, 203, 250–261. [Google Scholar] [CrossRef]
- Busse, P.; Kania, W. Operation Baltic. Polish Section. Methods. Acta Orn 1970, 12, 231–267. [Google Scholar]
- AOAC. Official Methods of Analysis, 17th ed.; Association of Official Analytical Chemists: Gaithersburg, MD, USA, 2000. [Google Scholar]
- Folch, J.; Lees, M. Sloane-Stanley GHA. A simple method for the isolation and purification of total lipids from animal tissues. J. Biol. Chem. 1957, 226, 497–507. [Google Scholar]
- Christie, W.W. Lipid Analysis-Isolation, Separation, Identification and Structural Analysis of Lipids; Pergamon: Oxford, UK, 1982; p. 270. [Google Scholar]
- McWilliams, S.R.; Guglielmo, C.; Pierce, B.; Klaassen, M. Flying, fasting, and feeding in birds during migration: A nutritional and physiological ecology perspective. J. Avian Biol. 2004, 35, 377–393. [Google Scholar] [CrossRef]
- Pierce, B.J.; McWilliams, S.R. Seasonal Changes in Composition of Lipid Stores in Migratory Birds: Causes and Consequences. Condor 2005, 107, 269–279. [Google Scholar] [CrossRef]
- Price, E.R.; Krokfors, A.; Guglielmo, C.G. Selective mobilization of fatty acids from adipose tissue in migratory birds. J. Exp. Biol. 2008, 211, 29–34. [Google Scholar] [CrossRef]
- Crespo, N.; Esteve-Garcia, E. Dietary polyunsaturated fatty acids decrease fat deposition in separable fat depots but not in the remainder carcass. Poult. Sci. 2002, 81, 512–518. [Google Scholar] [CrossRef] [PubMed]
- Egeler, O.; Seaman, D.; Williams, T.D. Influence of Diet on Fatty-Acid Composition of Depot Fat in Western Sandpipers (Calidris Mauri). Auk 2003, 120, 337–345. [Google Scholar] [CrossRef]
- McWilliams, S.R.; Kearney, S.B.; Karasov, W.H. Diet preferences of warblers for specific fatty acids in relation to nutritional requirements and digestive capabilities. J. Avian Biol. 2002, 33, 167–174. [Google Scholar] [CrossRef]
- Tarricone, S.; Colonna, M.A.; Cosentino, C.; Giannico, F.; Ragni, M. Meat quality and lipid fatty acid profile from wild thrush (Turdus philomelos), woodcock (Scolopax rusticola) and starling (Sturnus vulgaris): A preliminary comparative study. Lipids Health Dis. 2020, 19, 119. [Google Scholar] [CrossRef] [PubMed]
- Rodríguez-Turienzo, L.; Díaz, O.; Sanmartín, B.; Cobos, A. Characterization of meat from two game bird: Thrush (Turdus philomelos) and turtle dove (Streptopelia turtur). J. Food 2010, 8, 209–215. [Google Scholar]
- Conway, C.J.; Eddleman, W.R.; Simpson, K.L. Seasonal Changes in Fatty Acid Composition of the Wood Thrush. Condor 1994, 96, 791–794. [Google Scholar] [CrossRef][Green Version]
- Price, E.R. Dietary lipid composition and avian migratory flight performance: Development of a theoretical framework for avian fat storage. Comp. Biochem. Physiol. Part A Mol. Integr. Physiol. 2010, 157, 297–309. [Google Scholar] [CrossRef] [PubMed]
- Guerrero, A.I.; Rogers, T.L. From low to high latitudes: Changes in fatty acid desaturation in mammalian fat tissue suggest a thermoregulatory role. BMC Evol. Biol. 2019, 19, 155. [Google Scholar] [CrossRef]
- Kris-Etherton, P.M.; Yu, S. Individual fatty acid effects on plasma lipids and lipoproteins: Human studies. Am. J. Clin. Nutr. 1997, 65, 1628–1644. [Google Scholar] [CrossRef]
- WHO (World Health Organization). Diet, Nutrition and the Prevention of Chronic Diseases. Report of the WHO/FAO Joint Expert Consultation; WHO: Geneva, Switzerland, 2003. [Google Scholar]




| 2018/2019 | 2019/2020 | |
|---|---|---|
| December | 40 | 40 |
| January | 40 | 40 |
| February | 20 | 15 |
| Total | 100 | 95 |
| December | January | February | SEM 1 | p-Value | |
|---|---|---|---|---|---|
| Body mass (g) | 67.07 | 67.25 | 67.28 | 0.044 | 0.074 |
| Body weight without feathers (g) | 60.85 | 60.51 | 60.66 | 0.054 | 0.985 |
| State of fattening in males | 2.40 b | 3.00 ab | 4.00 a | 0.042 | 0.048 |
| State of fattening in females | 2.51 b | 3.00 ab | 4.00 a | 0.202 | 0.049 |
| Title 1 | December | January | February | SEM 1 | p-Value |
|---|---|---|---|---|---|
| Moisture | 70.04 | 70.00 | 70.11 | 0.638 | 0.084 |
| Protein | 21.07 | 20.87 | 21.25 | 0.652 | 0.070 |
| Ether extract | 4.75 b | 4.99 ab | 5.20 a | 0.838 | 0.045 |
| Ash | 4.14 a | 4.14 a | 3.10 b | 0.067 | 0.039 |
| Fatty acid profile (% FAME) 2 | |||||
| C14:0 | 0.12 | 0.08 | 0.05 | 0.115 | 0.074 |
| C16:0 | 11.54 A | 11.43 A | 10.74 B | 0.758 | 0.005 |
| C17:0 | 0.11 | 0.11 | 0.12 | 0.115 | 0.074 |
| C18:0 | 8.84 b | 10.50 a | 10.81 a | 1.192 | 0.043 |
| C20:0 | 0.17 | 0.25 | 0.25 | 0.613 | 0.535 |
| C22:0 | 0.02 | 0.03 | 0.03 | 0.003 | 0.213 |
| ∑ SFA | 20.80 b | 22.40 a | 22.00 a | 2.050 | 0.035 |
| C14:1 | 0.08 | 0.04 | 0.09 | 0.005 | 0.422 |
| C16:1 trans | 0.26 | 0.24 | 0.31 | 0.220 | 0.256 |
| C16:1 cis | 0.99 | 0.69 | 0.87 | 0.229 | 0.218 |
| C18:1 n−9 cis (oleic acid) | 61.05 a | 55.98 b | 64.60 a | 2.461 | 0.047 |
| ∑ MUFA | 62.38 A | 56.95 B | 65.69 A | 2.801 | 0.002 |
| C18:2 n−6 (linoleic acid) | 8.14 B | 9.52 A | 9.06 A | 1.124 | 0.005 |
| C18:3 n−6 (γ−linolenic acid) | 0.33 | 0.27 | 0.29 | 0.238 | 0.165 |
| C18:3 n−4 | 0.15 | 0.16 | 0.13 | 0.073 | 0.316 |
| C18:3 n−3 (α-linolenic acid) | 0.23 | 0.24 | 0.23 | 0.186 | 0.240 |
| C18:4 n−3 | 0.07 | 0.04 | 0.07 | 0.047 | 0.060 |
| C20:2 n−6 | 0.04 | 0.04 | 0.03 | 0.086 | 0.071 |
| C20:3 n−6 | 0.08 | 0.09 | 0.11 | 0.116 | 0.229 |
| C20:4 n−6 (ARA) | 2.21 | 2.94 | 2.45 | 0.587 | 0.237 |
| C20:4 n−3 | 0.06 | 0.11 | 0.09 | 0.047 | 0.060 |
| C20:5 n−3 (EPA) | 0.11 | 0.13 | 0.13 | 0.080 | 0.332 |
| C22:5 n−6 | 0.13 | 0.14 | 0.13 | 0.073 | 0.242 |
| C22:5 n−3 (DPA) | 0.47 B | 0.57 A | 0.53 A | 0.086 | 0.001 |
| C22:6 n−3 (DHA) | 4.41 B | 5.89 A | 6.19 A | 0.714 | 0.007 |
| ∑ PUFA | 16.43 B | 20.14 A | 19.44 A | 1.431 | 0.007 |
| ∑ UFA | 78.81 B | 77.09 B | 85.13 A | 0.798 | 0.006 |
| Male | Female | ||||
|---|---|---|---|---|---|
| E2 * (pg/mL) | T * (pg/mL) | E2 (pg/mL) | P4 * (ng/mL) | T (pg/mL) | |
| December | 60.53 ± 15.47 | 1.15 ± 0.33 | 46.52 ± 19.88 | 0.49 ± 0.24 | 1.14 ± 0.40 |
| January | 55.89 ± 21.38 | 1.21 ± 0.38 | 63.99 ± 25.14 | 0.44 ± 0.21 | 1.12 ± 0.36 |
| February | 57.68 ± 21.74 | 1.17 ± 0.26 | 63.18 ± 22.94 | 0.36 ± 0.18 | 1.03 ± 0.23 |
| p-value | 0.8311 | 0.9248 | 0.1151 | 0.6662 | 0.9314 |
Disclaimer/Publisher’s Note: The statements, opinions and data contained in all publications are solely those of the individual author(s) and contributor(s) and not of MDPI and/or the editor(s). MDPI and/or the editor(s) disclaim responsibility for any injury to people or property resulting from any ideas, methods, instructions or products referred to in the content. |
© 2024 by the authors. Licensee MDPI, Basel, Switzerland. This article is an open access article distributed under the terms and conditions of the Creative Commons Attribution (CC BY) license (https://creativecommons.org/licenses/by/4.0/).
Share and Cite
Tarricone, S.; Tinelli, A.; Passantino, G.; Zizzo, N.; Rizzo, A.; Guaricci, A.C.; Perillo, A.; Buonfrate, V.; Carbonari, A.; Colonna, M.A.; et al. Relationship between Fat Status, Stage of Gonadal Maturity and Hormonal Variation of Turdus philomelos (C.L. Brehm, 1831) Wintering in Apulia during 2018–2020. Animals 2024, 14, 215. https://doi.org/10.3390/ani14020215
Tarricone S, Tinelli A, Passantino G, Zizzo N, Rizzo A, Guaricci AC, Perillo A, Buonfrate V, Carbonari A, Colonna MA, et al. Relationship between Fat Status, Stage of Gonadal Maturity and Hormonal Variation of Turdus philomelos (C.L. Brehm, 1831) Wintering in Apulia during 2018–2020. Animals. 2024; 14(2):215. https://doi.org/10.3390/ani14020215
Chicago/Turabian StyleTarricone, Simona, Antonella Tinelli, Giuseppe Passantino, Nicola Zizzo, Annalisa Rizzo, Antonio Ciro Guaricci, Antonella Perillo, Valeria Buonfrate, Alice Carbonari, Maria Antonietta Colonna, and et al. 2024. "Relationship between Fat Status, Stage of Gonadal Maturity and Hormonal Variation of Turdus philomelos (C.L. Brehm, 1831) Wintering in Apulia during 2018–2020" Animals 14, no. 2: 215. https://doi.org/10.3390/ani14020215
APA StyleTarricone, S., Tinelli, A., Passantino, G., Zizzo, N., Rizzo, A., Guaricci, A. C., Perillo, A., Buonfrate, V., Carbonari, A., Colonna, M. A., & Ragni, M. (2024). Relationship between Fat Status, Stage of Gonadal Maturity and Hormonal Variation of Turdus philomelos (C.L. Brehm, 1831) Wintering in Apulia during 2018–2020. Animals, 14(2), 215. https://doi.org/10.3390/ani14020215

