Immunolocalization of Two Neurotrophins, NGF and BDNF, in the Pancreas of the South American Sea Lion Otaria flavescens and Bottlenose Dolphin Tursiops truncatus
Abstract
Simple Summary
Abstract
1. Introduction
2. Materials and Methods
3. Results
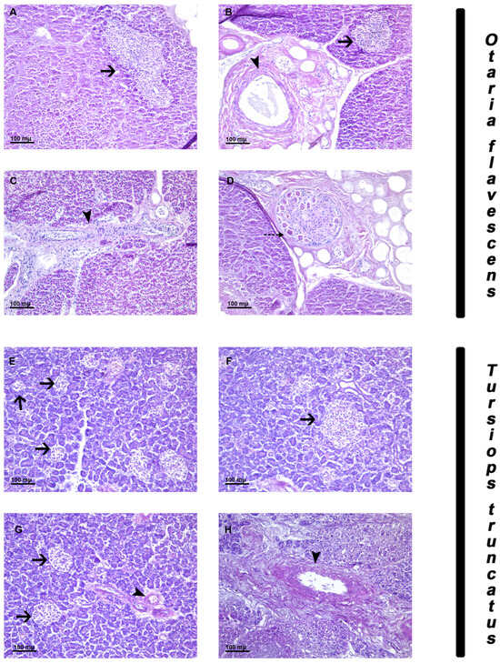
3.1. Morphological Remarks
3.2. Immunohistochemical Observations
4. Discussion
5. Conclusions
Supplementary Materials
Author Contributions
Funding
Institutional Review Board Statement
Informed Consent Statement
Data Availability Statement
Acknowledgments
Conflicts of Interest
References
- Liu, S. Neurotrophic factors in enteric physiology and pathophysiology. Neurogastroenterol. Motil. 2018, 30, e13446. [Google Scholar] [CrossRef]
- Gotz, R.; Koster, R.; Winkler, C.; Raulft, F.; Lottspeich, F.; Schartl, M.; Thoenen, H. Neurotrophin-6 is a new member of the nerve growth factor family. Nature 1994, 372, 266–269. [Google Scholar] [CrossRef]
- Lai, K.O.; Fu, W.Y.; Ip, F.C.; Ip, N.Y. Cloning and expression of a novel neurotrophin, NT-7, from Carp. Mol. Cell. Neurosci. 1998, 11, 64–76. [Google Scholar] [CrossRef] [PubMed]
- Nilsson, A.S.; Fainzilber, M.; Falck, P.; Ibañez, C.F. Neurotrophin-7: A novel member of the neurotrophin family from the zebrafish. FEBS Lett. 1998, 424, 285–290. [Google Scholar] [CrossRef]
- Kaplan, D.R.; Martin-Zanca, D.; Parada, L.F. Tyrosine phosphorylation and tyrosine kinase activity of the trk protooncogene product induced by NGF. Nature 1991, 350, 158–160. [Google Scholar] [CrossRef] [PubMed]
- Parada, L.F.; Tsoulfas, P.; Tessarollo, L.; Blair, J.; Reid, S.W.; Soppet, D. The Trk family of tyrosine kinases: Receptors for NGF-related neurotrophins. Cold Spring Harb. Symp. Quant. Biol. 1992, 57, 43–51. [Google Scholar] [CrossRef] [PubMed]
- Lucini, C.; Maruccio, L.; de Girolamo, P.; Vega, J.A.; Castaldo, L. TrkA and TrkB neurotrophin receptor immunoreactivity in the teleost (Scorpaena porcus) endocrine pancreas. Anat. Rec. 2001, 263, 113–117. [Google Scholar] [CrossRef]
- Levi-Montalcini, R. The nerve growth factor 35 years later. Science 1987, 237, 1154–1162. [Google Scholar] [CrossRef]
- Bradshaw, R.A.; Blundell, T.L.; Lapatto, R.; McDonald, N.Q.; Murray-Rust, J. Nerve growth factor revisited. Trends Biochem. Sci. 1993, 18, 48–52. [Google Scholar] [CrossRef]
- Otten, U.; Ehrhard, P.; Peck, R. Nerve growth factor induces growth and differentiation of human B lymphocytes. Proc. Natl. Acad. Sci. USA 1989, 86, 10059–10063. [Google Scholar] [CrossRef]
- Patterson, J.C.; Childs, G.V. Nerve growth factor in the anterior pituitary: Regulation of secretion. Endocrinology 1994, 135, 1697–1704. [Google Scholar] [CrossRef] [PubMed]
- Kanaka-Gantenbein, C.; Tazi, A.; Czernichow, P.; Scharfmann, R. In vivo presence of the high-affinity NGF receptor Trk-A in the rat pancreas: Differential localization during pancreatic development. Endocrinology 1995, 136, 761–769. [Google Scholar] [CrossRef] [PubMed]
- Miralles, F.; Philippe, P.; Czernichow, P.; Scharfamnn, R. Expression of nerve growth factor and its high-affinity receptor Trk-A in the rat pancreas during embryonic and fetal life. J. Endocrinol. 1998, 156, 431–439. [Google Scholar] [CrossRef] [PubMed]
- Pierucci, D.; Cicconi, S.; Bonini, P.; Ferrelli, F.; Pastore, D.; Matteucci, C.; Marselli, L.; Marchetti, P.; Ris, F.; Halban, P.; et al. NGF-withdrawal induces apoptosis in pancreatic beta cells in vitro. Diabetologia 2001, 44, 1281–1295. [Google Scholar] [CrossRef] [PubMed]
- Frödin, M.; Sekine, N.; Roche, E.; Filloux, C.; Prentki, M.; Wollheim, C.B.; Van Obberghen, E. Glucose, other secretagogues, and nerve growth factor stimulate mitogen-activated protein kinase in the insulin-secreting beta-cell line INS-1. J. Biol. Chem. 1995, 270, 7882–7889. [Google Scholar] [CrossRef]
- Rosenbaum, T.; Sánchez-Soto, M.C.; Hiriart, M. Nerve growth factor increases insulin secretion and barium current in pancreatic beta-cells. Diabetes 2001, 50, 1755–1762. [Google Scholar] [CrossRef]
- Navarro-Tableros, V.; Fiordelisio, T.; Hernandez-Cruz, A.; Hiriart, M. Nerve growth factor promotes development of glucose induced insulin secretion in rat neonate pancreatic beta cells by modulating calcium channels. Channels 2008, 1, 408–416. [Google Scholar] [CrossRef] [PubMed]
- Fulgenzi, G.; Hong, Z.; Tomassoni-Ardori, F.; Barella, L.F.; Becker, J.; Barrick, C.; Swing, D.; Yanpallewar, S.; Croix, B.S.; Wess, J.; et al. Novel metabolic role for BDNF in pancreatic β-cell insulin secretion. Nat. Commun. 2020, 11, 1950. [Google Scholar] [CrossRef]
- Hanyu, O.; Yamatani, K.; Ikarashi, T.; Soda, S.; Maruyama, S.; Kamimura, T.; Kaneko, S.; Hirayama, S.; Suzuki, K.; Nakagawa, O.; et al. Brain-derived neurotrophic factor modulates glucagon secretion from pancreatic alpha cells: Its contribution to glucose metabolism. Diabetes Obes. Metab. 2003, 5, 27–37. [Google Scholar] [CrossRef]
- Rios, M. BDNF and the central control of feeding: Accidental bystander or essential player? Trends Neurosci. 2013, 36, 83–90. [Google Scholar] [CrossRef]
- Moosaie, F.; Mohammadi, S.; Saghazade, A.; Firouzabadi, F.D.; Rezaei, N. Brain-derived neutrophic factor in diabetes mellitus: A systematic review and meta-analysis. PLoS ONE 2023, 18, e0268816. [Google Scholar] [CrossRef] [PubMed]
- Pedersen, B.K.; Pedersen, M.; Krabbe, K.S.; Bruunsgaard, H.; Matthews, V.B.; Febbraio, M.A. Role of exercise-induced brain-derived neurotrophic factor production in the regulation of energy homeostasis in mammals. Exp. Physiol. 2009, 94, 1153–1160. [Google Scholar] [CrossRef] [PubMed]
- Nakagawa, T.; Tsuchida, A.; Itakura, Y.; Nonomura, T.; Ono, M.; Hirota, F.; Inoue, T.; Nakayama, C.; Taji, M.; Noguchi, H. Brain-derived neurotrophic factor regulates glucose metabolism by modulating energy balance in diabetic mice. Diabetes 2000, 49, 436–444. [Google Scholar] [CrossRef] [PubMed]
- Unger, T.J.; Calderon, G.A.; Bradley, L.C.; Sena-Esteves, M.; Rios, M. Selective deletion of Bdnf in the ventromedial and dorsomedial hypothalamus of adult mice results in hyperphagic behavior and obesity. J. Neurosci. 2007, 27, 14265–14274. [Google Scholar] [CrossRef] [PubMed]
- Lommatzsch, M.; Braun, A.; Mannsfeldt, A.; Botchkarev, V.A.; Botchkareva, N.V.; Paus, R.; Fischer, A.; Lewin, G.R.; Renz, H. Abundant production of brain-derived neurotrophic factor by adult visceral epithelia. implications for paracrine and target-derived Neurotrophic functions. Am. J. Pathol. 1999, 155, 1183–1193. [Google Scholar] [CrossRef] [PubMed]
- Miknyoczki, S.J.; Lang, D.; Huang, L.; Klein-Szanto, A.J.; Dionne, C.A.; Ruggeri, B.A. Neurotrophins and Trk receptors in human pancreatic ductal adenocarcinoma: Expression patterns and effects on in vitro invasive behavior. Int. J. Cancer 1999, 81, 417–427. [Google Scholar] [CrossRef]
- Bonini, P.; Pierucci, D.; Cicconi, S.; Porzio, O.; Lauro, R.; Marlier, L.N.; Borboni, P. Neurotrophins and neurotrophin receptors mRNAs expression in pancreatic islets and insulinoma cell lines. JOP 2001, 2, 105–111. [Google Scholar] [PubMed]
- Sakamoto, Y.; Kitajima, Y.; Edakuni, G.; Sasatomi, E.; Mori, M.; Kitahara, K.; Miyazaki, K. Expression of Trk tyrosine kinase receptor is a biologic marker for cell proliferation and perineural invasion of human pancreatic ductal adenocarcinoma. Oncol. Rep. 2001, 8, 477–484. [Google Scholar] [CrossRef] [PubMed]
- Zhu, Z.W.; Friess, H.; Wang, L.; Zimmermann, A.; Buchler, M.W. Brain-derived neurotrophic factor (BDNF) is upregulated and associated with pain in chronic pancreatitis. Dig. Dis. Sci. 2001, 46, 1633–1639. [Google Scholar] [CrossRef]
- Lucini, C.; Maruccio, L.; de Girolamo, P.; Castaldo, L. Brain-derived neurotrophic factor in higher vertebrate pancreas: Immunolocalization in glucagon cell. Anat. Embryol. 2003, 206, 311–318. [Google Scholar] [CrossRef]
- Davis, R.W. Marine Mammals. Adaptations for an Aquatic Life, 1st ed.; Springer Nature: Cham, Switzerland, 2019; pp. 1–302. [Google Scholar]
- Reidenberg, J.S. Anatomical adaptations of aquatic mammals. Anat. Rec. 2007, 290, 507–513. [Google Scholar] [CrossRef] [PubMed]
- Jouvet, N.; Estall, J.L. The pancreas: Bandmaster of glucose homeostasis. Exp. Cell Res. 2017, 360, 19–23. [Google Scholar] [CrossRef] [PubMed]
- Khandekar, N.; Berning, B.A.; Sainsbury, A.; Lin, S. The role of pancreatic polypeptide in the regulation of energy homeostasis. Mol. Cell. Endocrinol. 2015, 418, 33–41. [Google Scholar] [CrossRef] [PubMed]
- Venn-Watson, S.K.; Ridgway, S.H. Big brains and blood glucose: Common ground for diabetes mellitus in humans and healthy dolphins. Comp. Med. 2007, 57, 390–395. [Google Scholar] [PubMed]
- Venn-Watson, S.; Smith, C.R.; Johnson, S.; Daniels, R.; Townsend, F. Clinical relevance of urate nephrolithiasis in bottlenose dolphins Tursiops truncatus. Dis. Aquat. Organ. 2010, 89, 167–177. [Google Scholar] [CrossRef] [PubMed]
- Venn-Watson, S.; Smith, C.R.; Stevenson, S.; Parry, C.; Daniels, R.; Jensen, E.; Cendejas, V.; Balmer, B.; Janech, M.; Neely, B.A.; et al. Blood-based indicators of insulin resistance and metabolic syndrome in bottlenose dolphins (Tursiops truncatus). Front. Endocrinol. 2013, 4, 136. [Google Scholar] [CrossRef] [PubMed]
- Champagne, C.D.; Crocker, D.E.; Fowler, M.A.; Houser, D.S. Fasting physiology of the pinnipeds: The challenges of fasting while maintaining high energy expenditure and nutrient delivery for lactation. In Comparative Physiology of Fasting, Starvation, and Food Limitation; Springer: Berlin/Heidelberg, Germany, 2012; Chapter 19; pp. 309–336. [Google Scholar]
- Russo, F.; Gatta, C.; De Girolamo, P.; Cozzi, B.; Giurisato, M.; Lucini, C.; Varricchio, E. Expression and immunohistochemical detection of leptin-like peptide in the gastrointestinal tract of the South American sea lion (Otaria flavescens) and the bottlenose dolphin (Tursiops truncatus). Anat. Rec. 2012, 295, 1482–1493. [Google Scholar] [CrossRef] [PubMed]
- Gatta, C.; Russo, F.; Russolillo, M.G.; Varricchio, E.; Paolucci, M.; Castaldo, L.; Lucini, C.; de Girolamo, P.; Cozzi, B.; Maruccio, L. The orexin system in the enteric nervous system of the bottlenose dolphin (Tursiops truncatus). PLoS ONE 2014, 9, e105009. [Google Scholar] [CrossRef] [PubMed]
- Gatta, C.; De Felice, E.; D’Angelo, L.; Maruccio, L.; Leggieri, A.; Lucini, C.; Palladino, A.; Paolucci, M.; Scocco, P.; Varricchio, E.; et al. The case study of nesfatin-1 in the pancreas of Tursiops truncatus. Front. Physiol. 2018, 9, 1845. [Google Scholar] [CrossRef]
- De Felice, E.; Gatta, C.; Giaquinto, D.; Fioretto, F.; Maruccio, L.; d’Angelo, D.; Scocco, P.; de Girolamo, P.; D’Angelo, L. Immunolocalization of Nesfatin-1 in the gastrointestinal tract of the common bottlenose dolphin Tursiops truncatus. Animals 2022, 12, 2148. [Google Scholar] [CrossRef]
- Gatta, C.; Altamura, G.; Avallone, L.; Castaldo, L.; Corteggio, A.; D’Angelo, L.; de Girolamo, P.; Lucini, C. Neurotrohpins and their Trk-receptors in the cerebellum of zebrafish. J. Morphol. 2016, 277, 725–736. [Google Scholar] [CrossRef] [PubMed]
- Gatta, C.; Schiano, V.; Attanasio, C.; Lucini, C.; Palladino, A. Neurotrophins in zebrafish taste buds. Animals 2022, 12, 1613. [Google Scholar] [CrossRef]
- de Girolamo, P.; Lucini, C. Neuropeptide localization in nonmammalian vertebrates. Methods Mol. Biol. 2011, 789, 37–56. [Google Scholar] [PubMed]
- Wayne, R.K. Molecular evolution of the dog family. Trends Genet. 1993, 9, 218–224. [Google Scholar] [CrossRef] [PubMed]
- Crowther, N.J.; Gotfredsen, C.F.; Moody, A.J.; Green, I.C. Porcine islet isolation, cellular composition and secretory response. Horm. Metab. Res. 1989, 21, 590–595. [Google Scholar] [CrossRef]
- Jay, T.R.; Heald, K.A.; Carless, N.J.; Topham, D.E.; Downing, R. The distribution of porcine pancreatic beta-cells at ages 5, 12, and 24 weeks. Xenotransplantation 1999, 6, 131–140. [Google Scholar] [PubMed]
- Mead, J.G. Stomach anatomy and use in defining systemic relationships of the Cetacean family Ziphiidae (beaked whales). Anat. Rec. 2007, 290, 581–595. [Google Scholar] [CrossRef] [PubMed]
- Mead, J.G. Gastrointestinal tract. In Encyclopedia of Marine Mammals, 2nd ed.; Perrin, W., Wursing, B., Thewissen, J., Eds.; Academic Press: New York, NY, USA, 2008; pp. 472–477. [Google Scholar]
- Bombardi, C.; Rambaldi, A.M.; Galiazzo, G.; Giancola, F.; Graïc, J.M.; Salamanca, G.; Cozzi, B.; Chiocchetti, R. Nitrergic and substance p immunoreactive neurons in the enteric nervous system of the bottlenose dolphin (Tursiops truncatus) intestine. Animals 2021, 11, 1057. [Google Scholar] [CrossRef] [PubMed]
- Colegrove, K.M.; Venn-Watson, S. Histomorphology of the bottlenose dolphin (Tursiops truncatus) pancreas and association of increasing islet β-cell size with chronic hypercholesterolemia. Gen. Comp. Endocrinol. 2015, 214, 17–23. [Google Scholar] [CrossRef]
- Gezginci-Oktayoglu, S.; Karatug, A.; Bolkent, S. The relation among NGF, EGF and insulin is important for triggering pancreatic β cell apoptosis. Diabetes Metab. Res. Rev. 2012, 28, 654–662. [Google Scholar] [CrossRef]
- Houtz, J.; Borden, P.; Ceasrine, A.; Minichiello, L.; Kuruvilla, R. Neurotrophin signaling is required for glucose-induced insulin. secretion. Dev. Cell 2016, 39, 329–345. [Google Scholar] [CrossRef]
- Burganova, G.; Bridges, C.; Thorn, P.; Landsman, L. The role of vascular cells in pancreatic beta-cell function. Front. Endocrinol. 2021, 12, 667170. [Google Scholar] [CrossRef] [PubMed]
- Vidaltamayo, R.; Carlos, M.M.; Ángeles-Ángeles, A.; Robles-Díaz, G.; Hiriart, M. Expression of nerve growth factor in human pancreatic beta cells. Growth Factors 2003, 21, 103–107. [Google Scholar] [CrossRef] [PubMed]
- Nakagawa, T.; Ono-Kishino, M.; Sugaru, E.; Yamanaka, M.; Taiji, M.; Noguchi, H. Brain-derived neurotrophic factor (BDNF) regulates glucose and energy metabolism in diabetic mice. Diabetes Metab. Res. Rev. 2002, 18, 185–191. [Google Scholar] [CrossRef]
- Wisse, B.E.; Schwartz, M.W. The skinny on neurotrophins. Nat. Neurosci. 2003, 6, 655–656. [Google Scholar] [CrossRef] [PubMed]
- Kermani, P.; Hempstead, B. BDNF actions in the cardiovascular system: Roles in development, adulthood and response to injury. Front. Physiol. 2019, 10, 455. [Google Scholar] [CrossRef]



Disclaimer/Publisher’s Note: The statements, opinions and data contained in all publications are solely those of the individual author(s) and contributor(s) and not of MDPI and/or the editor(s). MDPI and/or the editor(s) disclaim responsibility for any injury to people or property resulting from any ideas, methods, instructions or products referred to in the content. |
© 2024 by the authors. Licensee MDPI, Basel, Switzerland. This article is an open access article distributed under the terms and conditions of the Creative Commons Attribution (CC BY) license (https://creativecommons.org/licenses/by/4.0/).
Share and Cite
Gatta, C.; Avallone, L.; Costagliola, A.; Scocco, P.; D’Angelo, L.; de Girolamo, P.; De Felice, E. Immunolocalization of Two Neurotrophins, NGF and BDNF, in the Pancreas of the South American Sea Lion Otaria flavescens and Bottlenose Dolphin Tursiops truncatus. Animals 2024, 14, 2336. https://doi.org/10.3390/ani14162336
Gatta C, Avallone L, Costagliola A, Scocco P, D’Angelo L, de Girolamo P, De Felice E. Immunolocalization of Two Neurotrophins, NGF and BDNF, in the Pancreas of the South American Sea Lion Otaria flavescens and Bottlenose Dolphin Tursiops truncatus. Animals. 2024; 14(16):2336. https://doi.org/10.3390/ani14162336
Chicago/Turabian StyleGatta, Claudia, Luigi Avallone, Anna Costagliola, Paola Scocco, Livia D’Angelo, Paolo de Girolamo, and Elena De Felice. 2024. "Immunolocalization of Two Neurotrophins, NGF and BDNF, in the Pancreas of the South American Sea Lion Otaria flavescens and Bottlenose Dolphin Tursiops truncatus" Animals 14, no. 16: 2336. https://doi.org/10.3390/ani14162336
APA StyleGatta, C., Avallone, L., Costagliola, A., Scocco, P., D’Angelo, L., de Girolamo, P., & De Felice, E. (2024). Immunolocalization of Two Neurotrophins, NGF and BDNF, in the Pancreas of the South American Sea Lion Otaria flavescens and Bottlenose Dolphin Tursiops truncatus. Animals, 14(16), 2336. https://doi.org/10.3390/ani14162336

