Comparison of Digital Radiography, Computed Tomography, and Magnetic Resonance Imaging Features in Canine Spontaneous Degenerative Stifle Joint Osteoarthritis
Abstract
Simple Summary
Abstract
1. Introduction
2. Materials and Methods
2.1. Cases Selection
2.2. Clinical Lameness Scoring System
2.3. Imaging Exam and Analysis
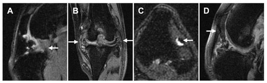
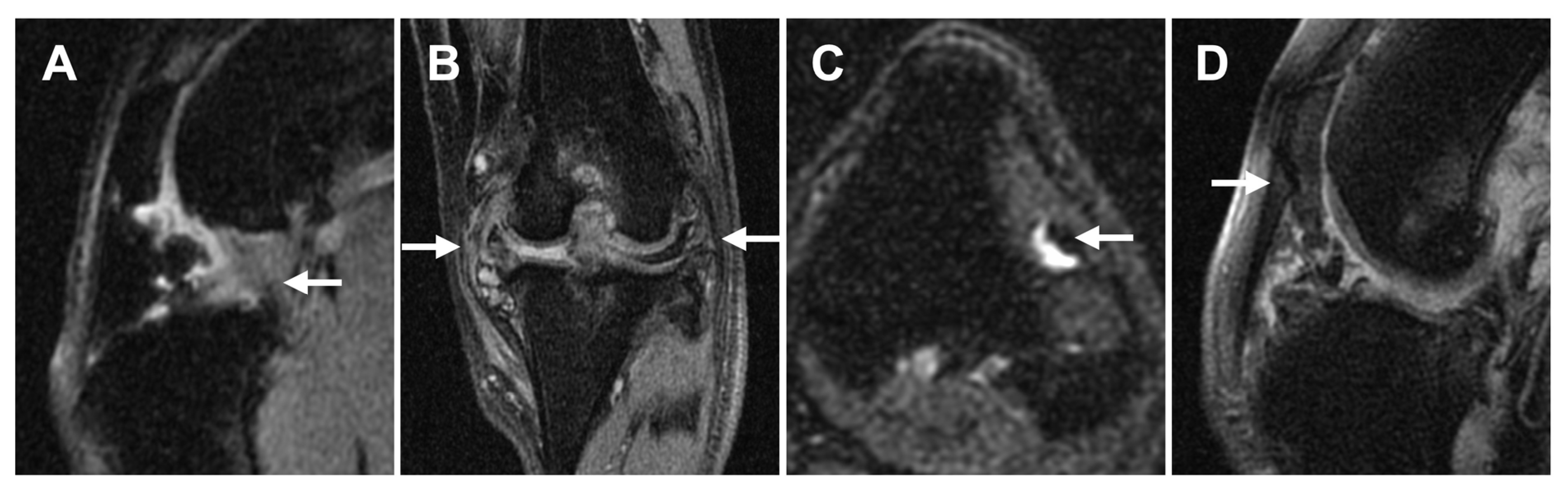
2.4. Articular Lesions Evaluation
2.4.1. Osteophytes/Enthesophytes
2.4.2. Ligament/Tendon Lesions
2.4.3. Synovial Effusion and Membrane Thickening
2.4.4. Subchondral Bone Lesions
2.4.5. Meniscal and Cartilage Lesions
2.5. Statistical Analysis
3. Results
3.1. Animals
3.2. Articular Lesions
3.2.1. Osteophytes/Enthesophytes
3.2.2. Ligament/Tendon Lesions
3.2.3. Synovial Effusion and Membrane Thickening
3.2.4. Subchondral Bone Lesions
3.2.5. Meniscal and Cartilage Lesions
4. Discussion
5. Conclusions
Author Contributions
Funding
Institutional Review Board Statement
Informed Consent Statement
Data Availability Statement
Acknowledgments
Conflicts of Interest
References
- Bland, S.D. Canine osteoarthritis and treatments: A review. Vet. Sci. Dev. 2015, 5, 84–89. [Google Scholar] [CrossRef]
- Marino, D.J.; Loughin, C.A. Diagnostic imaging of the canine stifle: A review. Vet. Surg. 2010, 39, 284–295. [Google Scholar] [CrossRef] [PubMed]
- Pettitt, R.A.; German, A.J. Investigation and management of canine osteoarthritis. Practice 2015, 37, 1–8. [Google Scholar] [CrossRef]
- Gielen, I.; Saunders, J.; Van Ryssen, B.; van Bree, H. Computed Tomography of the Stifle. Adv. Canine Cranial Cruciate Ligament 2010, 2, 123. [Google Scholar]
- Kon, E.; Ronga, M.; Filardo, G.; Farr, J.; Madry, H.; Milano, G.; Andriolo, L.; Shabshin, N. Bone marrow lesions and subchondral bone pathology of the knee. Knee Surg. Sport. Traumatol. Arthrosc. 2016, 24, 1797–1814. [Google Scholar] [CrossRef]
- Sharkey, P.F.; Cohen, S.B.; Leinberry, C.F.; Parvizi, J. Subchondral bone marrow lesions associated with knee osteoarthritis. Am. J. Orthop. 2012, 41, 413–417. [Google Scholar]
- Bierma-Zeinstra, S.M.; Verhagen, A.P. Osteoarthritis subpopulations and implications for clinical trial design. Arthritis Res. Ther. 2011, 13, 213. [Google Scholar] [CrossRef] [PubMed]
- Conaghan, P.G. Parallel evolution of OA phenotypes and therapies. Nat. Rev. Rheumatol. 2013, 9, 68–70. [Google Scholar] [CrossRef] [PubMed]
- Martig, S.; Boisclair, J.; Konar, M.; Spreng, D.; Lang, J. MRI characteristics and histology of bone marrow lesions in dogs with experimentally induced osteoarthritis. Vet. Radiol. Ultrasound 2007, 48, 105–112. [Google Scholar] [CrossRef] [PubMed]
- Nganvongpanit, K.; Boonsri, B.; Sripratak, T.; Markmee, P. Effects of one-time and two-time intra-articular injection of hyaluronic acid sodium salt after joint surgery in dogs. J. Vet. Sci. 2013, 14, 215–222. [Google Scholar] [CrossRef] [PubMed]
- D’Anjou, M.A.; Moreau, M.; Troncy, E.; Martel-Pelletier, J.; Abram, F.; Raynauld, J.P.; Pelletier, J.P. Osteophytosis, subchondral bone sclerosis, joint effusion and soft tissue thickening in canine experimental stifle osteoarthritis: Comparison between 1.5 T magnetic resonance imaging and computed radiography. Veteterinary Surg. 2008, 37, 166–177. [Google Scholar] [CrossRef] [PubMed]
- Guermazi, A.; Roemer, F.W.; Haugen, I.K.; Crema, M.D.; Hayashi, D. MRI-based semiquantitative scoring of joint pathology in osteoarthritis. Nat. Rev. Rheumatol. 2013, 9, 236. [Google Scholar] [CrossRef] [PubMed]
- Peterfy, C.; Guermazi, A.; Zaim, S.; Tirman, P.; Miaux, Y.; White, D.; Kothari, M.; Lu, Y.; Fye, K.; Zhao, S. Whole-organ magnetic resonance imaging score (WORMS) of the knee in osteoarthritis. Osteoarthr. Cartil. 2004, 12, 177–190. [Google Scholar] [CrossRef] [PubMed]
- Roemer, F.W.; Hunter, D.J.; Crema, M.D.; Kwoh, C.K.; Ochoa-Albiztegui, E.; Guermazi, A. An illustrative overview of semi-quantitative MRI scoring of knee osteoarthritis: Lessons learned from longitudinal observational studies. Osteoarthr. Cartil. 2016, 24, 274–289. [Google Scholar] [CrossRef]
- Matsui, A.; Shimizu, M.; Beale, B.; Takahashi, F.; Yamaguchi, S. Assessment of T2 Relaxation Times for Normal Canine Knee Articular Cartilage by T2 Mapping Using 1.5-T Magnetic Resonance Imaging. Vet. Comp. Orthop. Traumatol. 2017, 30, 391–397. [Google Scholar] [CrossRef]
- Felson, D.; Gale, D.; Elon Gale, M.; Niu, J.; Hunter, D.; Goggins, J.; Lavalley, M. Osteophytes and progression of knee osteoarthritis. Rheumatology 2005, 44, 100–104. [Google Scholar] [CrossRef]
- Guermazi, A.; Niu, J.; Hayashi, D.; Roemer, F.W.; Englund, M.; Neogi, T.; Aliabadi, P.; McLennan, C.E.; Felson, D.T. Prevalence of abnormalities in knees detected by MRI in adults without knee osteoarthritis: Population based observational study (Framingham Osteoarthritis Study). Br. Med. J. 2012, 345, e5339. [Google Scholar] [CrossRef]
- Hayashi, K.; Manley, P.A.; Muir, P. Cranial cruciate ligament pathophysiology in dogs with cruciate disease: A review. J. Am. Anim. Hosp. Assoc. 2004, 40, 385–390. [Google Scholar] [CrossRef]
- Moore, K.W.; Read, R.A. Rupture of the cranial cruciate ligament in dogs-part I. Compend. Contin. Educ. Pract. Vet. 1996, 18, 223–233. [Google Scholar]
- Barrett, J.G.; Hao, Z.; Graf, B.K.; Kaplan, L.D.; Heiner, J.P.; Muir, P. Inflammatory changes in ruptured canine cranial and human anterior cruciate ligaments. Am. J. Vet. Res. 2005, 66, 2073–2080. [Google Scholar] [CrossRef]
- Comerford, E.; Smith, K.; Hayashi, K. Update on the aetiopathogenesis of canine cranial cruciate ligament disease. Vet. Comp. Orthop. Traumatol. 2011, 24, 91–98. [Google Scholar]
- Krayer, M.; Rytz, U.; Oevermann, A.; Doherr, M.G.; Forterre, F.; Zurbriggen, A.; Spreng, D.E. Apoptosis of ligamentous cells of the cranial cruciate ligament from stable stifle joints of dogs with partial cranial cruciate ligament rupture. Am. J. Vet. Res. 2008, 69, 625–630. [Google Scholar] [CrossRef]
- Zalxman, A.R.; Cook, C.; Mai, W. General Feature and Optimized Technique for the Musculoskeletal System. In Diagnostic MRI in Dogs and Cats, 1st ed.; Mai, W., Ed.; CRC Press: Boca Raton, FL, USA, 2018; pp. 130–152. [Google Scholar]
- Bruce, W. Multiple ligamentous injuries of the canine stifle joint: A study of 12 cases. J. Small Anim. Pract. 1998, 39, 333–340. [Google Scholar] [CrossRef] [PubMed]
- Banfield, C.M.; Morrison, W.B. Magnetic resonance arthrography of the canine stifle joint: Technique and applications in eleven military dogs. Vet. Radiol. Ultrasound 2000, 41, 200–213. [Google Scholar] [CrossRef]
- Madry, H.; van Dijk, C.N.; Mueller-Gerbl, M. The basic science of the subchondral bone. Knee Surg. Sport. Traumatol. Arthrosc. 2010, 18, 419–433. [Google Scholar] [CrossRef]
- Orth, P.; Cucchiarini, M.; Wagenpfeil, S.; Menger, M.; Madry, H. PTH [1-34]-induced alterations of the subchondral bone provoke early osteoarthritis. Osteoarthr. Cartil. 2014, 22, 813–821. [Google Scholar] [CrossRef]
- Rangger, C.; Kathrein, A.; Freund, M.C.; Klestil, T.; Kreczy, A. Bone bruise of the knee Histology and cryosections in 5 cases. Acta Orthop. Scand. 1998, 69, 291–294. [Google Scholar] [CrossRef] [PubMed]
- Castañeda, S.; Roman-Blas, J.A.; Largo, R.; Herrero-Beaumont, G. Subchondral bone as a key target for osteoarthritis treatment. Biochem. Pharmacol. 2012, 83, 315–323. [Google Scholar] [CrossRef] [PubMed]
- Menendez, I.M.; Hettlich, B.; Wei, L.; Knopp, M.V. Feasibility of Na18F PET/CT and MRI for Noninvasive In Vivo Quantification of Knee Pathophysiological Bone Metabolism in a Canine Model of Post-traumatic Osteoarthritis. Mol. Imaging 2017, 16, 1–8. [Google Scholar]
- Krupkova, O.; Smolders, L.; Wuertz-Kozak, K.; Cook, J.; Pozzi, A. The pathobiology of the meniscus: A comparison between the human and dog. Front. Vet. Sci. 2018, 5, 73. [Google Scholar] [CrossRef] [PubMed]
- Briggs, K.K. The canine meniscus: Injury and treatment. Compend. Cintinuing Educ. Pract. Vet. N. Am. Ed. 2004, 26, 687–697. [Google Scholar]
- Boileau, C.; Martel-Pelletier, J.; Abram, F.; Raynauld, J.-P.; Troncy, É.; D’Anjou, M.-A.; Moreau, M.; Pelletier, J.-P. Magnetic resonance imaging can accurately assess the long-term progression of knee structural changes in experimental dog osteoarthritis. Ann. Rheum. Dis. 2008, 67, 926–932. [Google Scholar] [CrossRef] [PubMed]
- David-Vaudey, E.; Ghosh, S.; Ries, M.; Majumdar, S. T2 relaxation time measurements in osteoarthritis. Magn. Reson. Imaging 2004, 22, 673–682. [Google Scholar] [CrossRef] [PubMed]
- Fuerst, M.; Niggemeyer, O.; Lammers, L.; Schäfer, F.; Lohmann, C.; Rüther, W. Articular cartilage mineralization in osteoarthritis of the hip. BMC Musculoskelet. Disord. 2009, 10, 166. [Google Scholar] [CrossRef]










| Criterion | Grade | Clinical Evaluation |
|---|---|---|
| Lameness | 1 | Walks normally |
| 2 | Slightly lame when walking | |
| 3 | Moderately lame when walking | |
| 4 | Severely lame when walking | |
| 5 | Reluctant to rise and will not walk more than five paces | |
| Pain on palpation | 1 | None |
| 2 | Mild signs; dog turns head in recognition | |
| 3 | Moderate signs; dog pulls limb away | |
| 4 | Severe signs; dog vocalizes or becomes aggressive | |
| 5 | Dog will not allow palpation | |
| Weight-bearing | 1 | Equal on all limbs standing and walking |
| 2 | Normal standing; favors affect limb when walking | |
| 3 | Partial weight-bearing standing and walking | |
| 4 | Partial weight-bearing standing; non-weight-bearing walking | |
| 5 | Non-weight-bearing standing and walking |
| Sequence | Plane | TR (msec) | TE (msec) | NEX | ET | Slice (mm) | Gap (mm) | FOV (cm) | Matrix |
|---|---|---|---|---|---|---|---|---|---|
| T1 FSE | Sagittal | 605 | Min Full | 5 | 3 | 2.2 | 0 | 10 | 256 × 200 |
| PD FSE | Sagittal | 2500 | 34 | 4 | 7 | 2.2 | 0 | 10 | 224 × 200 |
| T2 FSE | Sagittal | 3000 | 60 | 5 | 16 | 2.2 | 0 | 10 | 248 × 188 |
| PD FSE FS | Sagittal | 2500 | 34 | 4 | 7 | 2.2 | 0 | 10 | 256 × 200 |
| 3D FSPGR FS | Sagittal | 21.5 | Min Full | 3 | n/a | 2 | 0 | 10 | 256 × 200 |
| T2 FSE FS | Transverse | 3865 | 60 | 5 | 16 | 2.5 | 0 | 10 | 240 × 200 |
| T2 FSE | Transverse | 3825 | 60 | 5 | 16 | 2.5 | 0 | 10 | 240 × 200 |
| PD FSE | Dorsal | 2500 | 34 | 4 | 7 | 2.2 | 0 | 10 | 252 × 200 |
| T2 FSE | Dorsal | 3045 | 60 | 5 | 16 | 2.2 | 0 | 10 | 252 × 200 |
| PD FSE FS | Dorsal | 2500 | 34 | 4 | 7 | 2.2 | 0 | 10 | 200 × 200 |
| Compartments | Modality | Incidence | Scales | p-Value | Compartments | Modality | Incidence | Scales | p-Value |
|---|---|---|---|---|---|---|---|---|---|
| ME | DR | 5/5 (100%) | 2 (1–3) | >0.999 | FT | DR | 4/5 (80%) | 2 (0–3) | >0.999 |
| CT | 5/5 (100%) | 3 (1–3) | CT | 5/5 (100%) | 3 (1–3) | ||||
| MRI | 5/5 (100%) | 3 (1–3) | MRI | 5/5 (100%) | 3 (1–3) | ||||
| LE | DR | 5/5 (100%) | 2 (1–3) | >0.999 | TT | DR | 1/5 (20%) | 0 (0–2) | >0.999 |
| CT | 5/5 (100%) | 3 (1–3) | CT | 1/5 (20%) | 0 (0–3) | ||||
| MRI | 5/5 (100%) | 3 (1–3) | MRI | 1/5 (20%) | 0 (0–3) | ||||
| MC | DR | 5/5 (100%) | 2 (1–3) | >0.999 | MF | DR | 3/5 (60%) | 2 (0–3) | >0.999 |
| CT | 5/5 (100%) | 2 (1–3) | CT | 5/5 (100%) | 2 (1–2) | ||||
| MRI | 5/5 (100%) | 3 (1–3) | MRI | 3/5 (60%) | 2 (0–3) | ||||
| LC | DR | 5/5 (100%) | 2 (1–3) | >0.999 | LF | DR | 3/5 (60%) | 2 (0–3) | >0.999 |
| CT | 5/5 (100%) | 2 (1–3) | CT | 5/5 (100%) | 2 (1–2) | ||||
| MRI | 5/5 (100%) | 3 (1–3) | MRI | 3/5 (60%) | 2 (0–3) | ||||
| MT | DR | 5/5 (100%) | 2 (1–3) | >0.999 | DP | DR | 4/5 (80%) | 2 (0–3) | >0.999 |
| CT | 5/5 (100%) | 2 (1–3) | CT | 4/5 (80%) | 3 (0–3) | ||||
| MRI | 5/5 (100%) | 2 (1–3) | MRI | 5/5 (100%) | 3 (1–3) | ||||
| LT | DR | 5/5 (100%) | 2 (1–3) | >0.999 | PP | DR | 3/5 (60%) | 1 (0–3) | 0.2222 |
| CT | 5/5 (100%) | 2 (1–3) | CT | 2/5 (40%) | 0 (0–3) | ||||
| MRI | 5/5 (100%) | 2 (1–3) | MRI | 5/5 (100%) | 1 (1–3) |
| Compartments | Modality | Incidence | Scores | p-Value | ||
|---|---|---|---|---|---|---|
| FT | DR | 2/5 | (40%) | 0 | (0–1) | 0.3333 |
| CT | 0/5 | (0%) | 0 | (0–0) | ||
| MRI | 0/5 | (0%) | 0 | (0–0) | ||
| ICF | DR | 4/5 | (80%) | 1 | (0–1) | 0.3333 |
| CT | 5/5 | (100%) | 1 | (1–1) | ||
| MRI | 5/5 | (100%) | 1 | (1–3) | ||
| LC | DR | 1/5 | (20%) | 0 | (0–1) | 0.6667 |
| CT | 1/5 | (20%) | 0 | (0–1) | ||
| MRI | 2/5 | (40%) | 0 | (0–2) | ||
| MC | DR | 1/5 | (20%) | 0 | (0–1) | 0.5185 |
| CT | 3/5 | (60%) | 0 | (0–1) | ||
| MRI | 3/5 | (60%) | 1 | (0–2) | ||
| TP | DR | 1/5 | (20%) | 0 | (0–1) | 0.5556 |
| CT | 3/5 | (60%) | 1 | (0–1) | ||
| MRI | 1/5 | (20%) | 0 | (0–2) | ||
| Cartilage Lesions | Relaxation Time (ms) | Reference [15] |
|---|---|---|
| MF | 44.5 (range 40.0–52.3) | 70.2 (range: 57.9–87.9) |
| LF | 43.8 (range 39.2–54.1) | 57.5 (range: 46.8–66.9) |
| MT | 43.7 (range 37.4–55.2) | 65.0 (range: 52.0–92.0) |
| LT | 42.4 (range 39.7–45.9) | 57.0 (range: 49.0–66.2) |
Disclaimer/Publisher’s Note: The statements, opinions and data contained in all publications are solely those of the individual author(s) and contributor(s) and not of MDPI and/or the editor(s). MDPI and/or the editor(s) disclaim responsibility for any injury to people or property resulting from any ideas, methods, instructions or products referred to in the content. |
© 2023 by the authors. Licensee MDPI, Basel, Switzerland. This article is an open access article distributed under the terms and conditions of the Creative Commons Attribution (CC BY) license (https://creativecommons.org/licenses/by/4.0/).
Share and Cite
Chung, C.-S.; Tu, Y.-J.; Lin, L.-S. Comparison of Digital Radiography, Computed Tomography, and Magnetic Resonance Imaging Features in Canine Spontaneous Degenerative Stifle Joint Osteoarthritis. Animals 2023, 13, 849. https://doi.org/10.3390/ani13050849
Chung C-S, Tu Y-J, Lin L-S. Comparison of Digital Radiography, Computed Tomography, and Magnetic Resonance Imaging Features in Canine Spontaneous Degenerative Stifle Joint Osteoarthritis. Animals. 2023; 13(5):849. https://doi.org/10.3390/ani13050849
Chicago/Turabian StyleChung, Cheng-Shu, Yi-Ju Tu, and Lee-Shuan Lin. 2023. "Comparison of Digital Radiography, Computed Tomography, and Magnetic Resonance Imaging Features in Canine Spontaneous Degenerative Stifle Joint Osteoarthritis" Animals 13, no. 5: 849. https://doi.org/10.3390/ani13050849
APA StyleChung, C.-S., Tu, Y.-J., & Lin, L.-S. (2023). Comparison of Digital Radiography, Computed Tomography, and Magnetic Resonance Imaging Features in Canine Spontaneous Degenerative Stifle Joint Osteoarthritis. Animals, 13(5), 849. https://doi.org/10.3390/ani13050849

