Treatment of Canine Disc-Associated Cervical Spondylomyelopathy with a Cervical Distraction–Stabilization Technique (C-LOX Combined with LCP Plate) and Clinical Outcomes
Abstract
Simple Summary
Abstract
1. Introduction
2. Materials and Methods
2.1. Inclusion Criteria
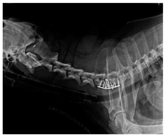
2.2. Surgical Technique
2.3. Statistical Analysis
3. Results
3.1. Demographics
3.2. Preoperative Assessment
3.3. Postoperative Assessment
4. Discussion
5. Conclusions
Author Contributions
Funding
Institutional Review Board Statement
Informed Consent Statement
Data Availability Statement
Conflicts of Interest
References
- da Costa, R.C. Cervical spondylomyelopathy (wobbler syndrome) in dogs. Vet. Clin. N. Am. Small Anim. Pract. 2010, 40, 881–913. [Google Scholar] [CrossRef] [PubMed]
- De Decker, S.; da Costa, R.C.; Volk, H.A.; Van Ham, L.M. Current insights and controversies in the pathogenesis and diagnosis of disc-associated cervical spondylomyelopathy in dogs. Vet. Rec. 2012, 171, 531–537. [Google Scholar] [CrossRef]
- Breit, S.; Künzel, W. Osteological features in pure-bred dogs predisposing to cervical spinal cord compression. J. Anat. 2001, 199 Pt 5, 527–537. [Google Scholar] [CrossRef] [PubMed]
- De Decker, S.; Gielen, I.M.; Duchateau, L.; Van Soens, I.; Bavegems, V.; Bosmans, T.; van Bree, H.J.; Van Ham, L.M. Low-field magnetic resonance imaging findings of the caudal portion of the cervical region in clinically normal Doberman Pinschers and foxhounds. Am. J. Vet. Res. 2010, 71, 428–434. [Google Scholar] [CrossRef] [PubMed]
- De Risio, L.; Muñana, K.; Murray, M.; Olby, N.; Sharp, N.J.; Cuddon, P. Dorsal laminectomy for caudal cervical spondylomyelopathy: Postoperative recovery and long-term follow-up in 20 dogs. Vet. Surg. 2002, 31, 418–427. [Google Scholar] [CrossRef]
- da Costa, R.C.; Parent, J.M.; Holmberg, D.L.; Sinclair, D.; Monteith, G. Outcome of medical and surgical treatment in dogs with cervical spondylomyelopathy: 104 cases (1988–2004). J. Am. Vet. Med. Assoc. 2008, 233, 1284–1290. [Google Scholar] [CrossRef]
- da Costa, R.C.; Echandi, R.L.; Beauchamp, D. Computed tomography myelographic findings in dogs with cervical spondylomyelopathy. Vet. Radiol. Ultrasound. 2012, 53, 64–70. [Google Scholar] [CrossRef]
- Murthy, V.D.; Gaitero, L.; Monteith, G. Clinical and magnetic resonance imaging (MRI) findings in 26 dogs with canine osseous-associated cervical spondylomyelopathy. Can. Vet. J. 2014, 55, 169–174. [Google Scholar]
- Gasper, J.A.; Rylander, H.; Stenglein, J.L.; Waller, K.R., 3rd. Osseous-associated cervical spondylomyelopathy in dogs: 27 cases (2000–2012). J. Am. Vet. Med. Assoc. 2014, 244, 1309–1318. [Google Scholar] [CrossRef]
- Lewis, M.; Olby, N.J.; Sharp, N.J.; Early, P. Long-term effect of cervical distraction and stabilization on neurological status and imaging findings in giant breed dogs with cervical stenotic myelopathy. Vet. Surg. 2013, 42, 701–709. [Google Scholar] [CrossRef]
- McKee, W.M.; Pink, J.J.; Gemmill, T.J. Cement plug technique for the management of disc-associated cervical spondylopathy in 52 Dobermann Pinscher dogs. Vet. Comp. Orthop. Traumatol. 2016, 29, 195–201. [Google Scholar] [PubMed]
- Lewis, D. Cervical spondylomyelopathy (“wobbler” syndrome) in the dog: A study based on 224 cases. J. Small Anim. Pract. 1989, 30, 657–665. [Google Scholar] [CrossRef]
- da Costa, R.C.; Parent, J.M.; Partlow, G.; Dobson, H.; Holmberg, D.L.; Lamarre, J. Morphologic and morphometric magnetic resonance imaging features of Doberman Pinschers with and without clinical signs of cervical spondylomyelopathy. Am. J. Vet. Res. 2006, 67, 1601–1612. [Google Scholar] [CrossRef] [PubMed]
- De Decker, S.; Bhatti, S.F.; Duchateau, L.; Martlé, V.A.; Van Soens, V.; Van Meervenne, S.A.E.; Saunders, J.H.; Van Hamet, L.M. Clinical evaluation of 51 dogs treated conservatively for disc-associated wobbler syndrome. J. Small Anim. Pract. 2009, 50, 136–142. [Google Scholar] [CrossRef]
- De Decker, S.; Gielen, I.M.; Duchateau, L.; Saunders, J.H.H.; van Bree, H.J.J.; Polis, I.; Van Ham, L.M.L. Magnetic resonance imaging vertebral canal and body ratios in Doberman Pinschers with and without diskassociated cervical spondylomyelopathy and clinically normal English foxhounds. Am. J. Vet. Res. 2011, 2, 1496–1504. [Google Scholar] [CrossRef]
- Rusbridge, C.; Wheeler, S.; Torrington, A.; Pead, M.J.; Carmichael, S. Comparison of two surgical techniques for the management of cervical spondylomyelopathy in dobermanns. J. Small Anim. Pract. 1998, 39, 425–431. [Google Scholar] [CrossRef]
- Lipsitz, D.; Levitski, R.; Chauvet, A.E.; Berry, W.L. Magnetic resonance imaging features of cervical stenotic myelopathy in 21 dogs. Vet. Radiol. Ultrasound. 2001, 42, 20–27. [Google Scholar] [CrossRef]
- Palmer, A.; Wallace, C.; Margaret, E. Deformation of cervical vertebrae in Basset hounds. Vet. Rec. 1967, 80, 430–433. [Google Scholar] [CrossRef]
- Driver, C.J.; Lopez, V.; Walton, B.; Jones, D.; Fentem, R.; Tomlinson, A.; Rose, J. Instrumented cervical fusion using patient specific end-plate conforming interbody devices with a micro-porous structure in nine dogs with disk-associated cervical spondylomyelopathy. Front. Vet. Sci. 2023, 10, 1208593. [Google Scholar] [CrossRef]
- Jeffery, N.D.; McKee, W.M. Surgery for disc-associated wobbler syndrome in the dog—An examination of the controversy. J. Small Anim. Pract. 2001, 42, 574–581. [Google Scholar] [CrossRef]
- Ramos, R.M.; da Costa, R.C.; Oliveira, A.L.; Kodigudla, M.K.; Goel, V.K. Effects of flexion and extension on the diameter of the caudal cervical vertebral canal in dogs. Vet. Surg. 2015, 44, 459–466. [Google Scholar] [CrossRef] [PubMed]
- Rohner, D.; Kowaleski, M.P.; Schwarz, G.; Forterre, F. Short-term clinical and radiographical outcome after application of anchored intervertebral spacers in dogs with disc-associated cervical spondylomyelopathy. Vet. Comp. Orthop. Traumatol. 2019, 2, 158–164. [Google Scholar] [CrossRef] [PubMed]
- King, J.C.; Corfield, G.S.; Mouatt, J.G.; Kan, C.Y.; Moses, P.A. Surgical management and long-term outcome of dogs with cervical spondylomyelopathy with an anchored intervertebral titanium device. Aust. Vet. J. 2020, 98, 156–163. [Google Scholar] [CrossRef]
- De Decker, S.; Caemaert, J.; Tshamala, M.C.; Gielen, I.M.V.L.; Van Bree, H.J.J.; Bosmans, T.; Wegge, B.; Van Ham, L.M.L. Surgical treatment of disk-associated wobbler syndrome by a distractable vertebral titanium cage in seven dogs. Vet. Surg. 2011, 40, 544–554. [Google Scholar] [CrossRef]
- McKee, W.M.; Sharp, N.J. Cervical spondylopathy. In Textbook of Small Animal Surgery, 3rd ed.; Slatter, D.H., Ed.; Saunders: Philadelphia, PA, USA, 2003; pp. 1180–1193. [Google Scholar]
- Sharp, N.J.; Wheeler, S.J. Cervical spondylomyelopathy. In Small Animal Spinal Disorders Diagnosis and Surgery, 2nd ed.; Sharp, N.J.H., Wheeler, S.J., Eds.; Elsevier Mosby: Philadelphia, PA, USA, 2005; pp. 211–246. [Google Scholar]
- Voss, K.; Steffen, F.; Montavon, P.M. Use of the ComPact UniLock System for ventral stabilization procedures of the cervical spine: A retrospective study. Vet. Comp. Orthop. Traumatol. 2006, 19, 21–28. [Google Scholar]
- Hettlich, B.F.; Allen, M.J.; Glucksman, G.S.; Fosgate, G.T.; Litsky, A.S. Effect of an intervertebral disk spacer on stiffness after monocortical screw/polymethylmethacrylate fixation in simulated and cadaveric canine cervical vertebral columns. Vet. Surg. 2014, 43, 988–994. [Google Scholar] [CrossRef]
- Shamir, M.H.; Chai, O.; Loeb, E. A method for intervertebral space distraction before stabilization combined with complete ventral slot for treatment of disc-associated wobbler syndrome in dogs. Vet. Surg. 2008, 37, 186–192. [Google Scholar] [CrossRef] [PubMed]
- Trotter, E.J. Cervical spine locking plate fixation for treatment of cervical spondylotic myelopathy in large breed dogs. Vet. Surg. 2009, 38, 705–718. [Google Scholar] [CrossRef]
- Adrega Da Silva, C.; Bernard, F.; Bardet, J.F. Caudal cervical arthrodesis using a distractable fusion cage in a dog. Vet. Comp. Orthop. Traumatol. 2010, 23, 209–213. [Google Scholar]
- Solano, M.A.; Fitzpatrick, N.; Bertran, J. Cervical distraction-stabilization using an intervertebral spacer screw and string-of pearl (SOPTM) plates in 16 dogs with disc-associated Wobbler Syndrome. Vet. Surg. 2015, 44, 627–641. [Google Scholar] [CrossRef]
- Steffen, F.; Voss, K.; Morgan, J.P. Distraction-fusion for caudal cervical spondylomyelopathy using an intervertebral cage and locking plates in 14 dogs. Vet. Surg. 2011, 40, 743–752. [Google Scholar] [CrossRef]
- Reints Bok, T.E.; Willemsen, K.; van Rijen, M.H.; Grinwis, G.C.; Tryfonidou, M.A.; Meij, B.P. Instrumented cervical fusion in nine dogs with caudal cervical spondylomyelopathy. Vet. Surg. 2019, 48, 1287–1298. [Google Scholar] [CrossRef]
- Schöllhorn, B.; Bürki, A.; Stahl, C.; Howard, J.; Forterre, F. Comparison of the biomechanical properties of a ventral cervical intervertebral anchored fusion device with locking plate fixation applied to cadaveric canine cervical spines. Vet. Surg. 2013, 42, 825–831. [Google Scholar] [CrossRef] [PubMed]
- Bergman, R.L.; Levine, J.M.; Coates, J.R.; Bahr, A.; Hettlich, B.F.; Kerwin, S.C. Cervical spinal locking plate in combination with cortical ring allograft for a one level fusion in dogs with cervical spondylotic myelopathy. Vet. Surg. 2008, 37, 530–536. [Google Scholar] [CrossRef] [PubMed]
- Kaiser, M.G.; Haid, R.W., Jr.; Subach, B.R.; Barnes, B.; Rodts, G.E., Jr. Anterior cervical plating enhances arthrodesis after discectomy and fusion with cortical allograft. Neurosurgery 2002, 50, 229–238. [Google Scholar] [PubMed]
- Olby, N.; Griffith, E.; Levine, J.; CANSORT SCI Investigators. Comparison of Gait Assessment Scales in Dogs with Spinal Cord Injury from Intervertebral Disc Herniation. J. Neurotrauma 2020, 37, 1991–1998. [Google Scholar] [CrossRef] [PubMed]
- Platt, S.R.; da Costa, R.C. Cervical vertebral column and spinal cord. In Veterinary Surgery, 2nd ed.; Johnston, S.A., Tobias, K.M., Eds.; Elsevier Health Sciences: St Louis, MO, USA, 2017; pp. 465–467. [Google Scholar]
- Bonelli, M.d.; da Costa, L.B.d.S.B.C.; da Costa, R.C. Magnetic resonance imaging and neurological findings in dogs with disc-associated cervical spondylomyelopathy: A case series. BMC Vet. Res. 2021, 17, 145. [Google Scholar] [CrossRef]
- Falzone, C.; Tranquillo, V.; Gasparinetti, N. Comparison of Two Surgical Techniques for the Treatment of Canine Disc Associated-Cervical Spondylomyelopathy. Front. Vet. Sci. 2022, 9, 880018. [Google Scholar] [CrossRef]
- Bruecker, K.A.; Seim, H.B., 3rd; Withrow, S.J. Clinical evaluation of three surgical methods for treatment of caudal cervical spondylomyelopathy of dogs. Vet. Surg. 1989, 18, 197–203. [Google Scholar] [CrossRef]
- Pitzen, T.; Barbier, D.; Tintinger, F.; Steudel, W.I.; Strowitzki, M. Screw fixation to the posterior cortical shell does not influence peak torque and pullout in anterior cervical plating. Eur. Spine J. 2002, 11, 494–499. [Google Scholar]
- Alvarez, J.A.; Hardy, R.W. Anterior cervical discectomy for one-and two-level cervical disc disease: The controversy surrounding the question of whether to fuse, plate, or both. Crit. Rev. Neurosurg. 1999, 9, 234–251. [Google Scholar] [CrossRef] [PubMed]






| Dog | Breed | BW (kg) | Sex | Age (y) | Neurological Score (MFS) | |||
|---|---|---|---|---|---|---|---|---|
| Presurg. | Immediate Postsurg. | Short-Term Follow-up | Medium-Term Follow-up | |||||
| 1 | Dobermann | 35 | F | 6 | 3 | 2 | 0 | 0 |
| 2 | Dalmatian | 27 | F | 9 | 4 | 3 | 2 | 0 |
| 3 | Weimaraner | 40 | M | 9 | 3 | 2 | 0 | 0 |
| 4 | Dobermann | 45 | M | 8 | 3 | 2 | 0 | 0 |
| 5 | Dalmatian | 32 | M | 8 | 4 | 4 | 3 | 1 |
| 6 | Dobermann | 42 | M | 7 | 4 | 3 | 0 | 0 |
| 7 | Bernese Mountain Dog | 63 | M | 6 | 5 | 5 | 6 | 6 |
| 8 | Dalmatian | 30 | M | 10 | 4 | 3 | 3 | 0 |
| 9 | Dobermann | 34 | F | 7 | 3 | 2 | 2 | 0 |
| 10 | Swiss Shepherd | 62 | M | 6 | 4 | 3 | 1 | 0 |
| 11 | Dobermann | 32 | F | 7 | 4 | 3 | 1 | 0 |
| 12 | Labrador Retriever | 35 | M | 8 | 3 | 2 | 2 | 0 |
| 13 | Dobermann | 44 | M | 7 | 3 | 3 | 2 | 1 |
Disclaimer/Publisher’s Note: The statements, opinions and data contained in all publications are solely those of the individual author(s) and contributor(s) and not of MDPI and/or the editor(s). MDPI and/or the editor(s) disclaim responsibility for any injury to people or property resulting from any ideas, methods, instructions or products referred to in the content. |
© 2023 by the authors. Licensee MDPI, Basel, Switzerland. This article is an open access article distributed under the terms and conditions of the Creative Commons Attribution (CC BY) license (https://creativecommons.org/licenses/by/4.0/).
Share and Cite
Tabbì, M.; Barillaro, G.; Interlandi, C.D.; Di Pietro, S.; Fugazzotto, D.; Costa, G.L.; Iannelli, N.M.; Macrì, D.; Ferrantelli, V.; Macrì, F. Treatment of Canine Disc-Associated Cervical Spondylomyelopathy with a Cervical Distraction–Stabilization Technique (C-LOX Combined with LCP Plate) and Clinical Outcomes. Animals 2023, 13, 2549. https://doi.org/10.3390/ani13162549
Tabbì M, Barillaro G, Interlandi CD, Di Pietro S, Fugazzotto D, Costa GL, Iannelli NM, Macrì D, Ferrantelli V, Macrì F. Treatment of Canine Disc-Associated Cervical Spondylomyelopathy with a Cervical Distraction–Stabilization Technique (C-LOX Combined with LCP Plate) and Clinical Outcomes. Animals. 2023; 13(16):2549. https://doi.org/10.3390/ani13162549
Chicago/Turabian StyleTabbì, Marco, Giuseppe Barillaro, Claudia Dina Interlandi, Simona Di Pietro, Domenico Fugazzotto, Giovanna Lucrezia Costa, Nicola Maria Iannelli, Daniele Macrì, Vincenzo Ferrantelli, and Francesco Macrì. 2023. "Treatment of Canine Disc-Associated Cervical Spondylomyelopathy with a Cervical Distraction–Stabilization Technique (C-LOX Combined with LCP Plate) and Clinical Outcomes" Animals 13, no. 16: 2549. https://doi.org/10.3390/ani13162549
APA StyleTabbì, M., Barillaro, G., Interlandi, C. D., Di Pietro, S., Fugazzotto, D., Costa, G. L., Iannelli, N. M., Macrì, D., Ferrantelli, V., & Macrì, F. (2023). Treatment of Canine Disc-Associated Cervical Spondylomyelopathy with a Cervical Distraction–Stabilization Technique (C-LOX Combined with LCP Plate) and Clinical Outcomes. Animals, 13(16), 2549. https://doi.org/10.3390/ani13162549

