Dialkyl Carbamoyl Chloride–Coated Dressing Prevents Macrophage and Fibroblast Stimulation via Control of Bacterial Growth: An In Vitro Assay
Abstract
1. Introduction
2. Materials and Methods
2.1. Microbiological Assays
2.2. Stimulation of Eukaryotic Cells with Supernatants of S. aureus Cultures
2.3. Cytotoxicity Assay
2.4. Cytokine Expression Analyses
2.5. Zymographic Evaluation of Gelatinase Activity in Eukaryotic Conditioned Media
2.6. Microscopic Analysis of DACC-Coated Dressings
2.7. Statistical Analyses
3. Results
3.1. S. aureus Colony Arrangement Varies according to the Physicochemical Properties of Every Dressing
3.2. A Lower Proportion of S. aureus in Cultures Treated with DACC-Coated Dressing Was Associated with Bacterial Retention
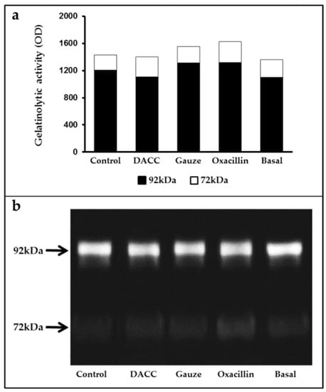
3.3. Supernatants of S. aureus Cultures Incubated with the DACC-Coated Dressing Down-Modulated Inflammation Related Cytokine Overexpression and Diminished Gelatinase Activity
4. Discussion
5. Conclusions
Supplementary Materials
Author Contributions
Funding
Institutional Review Board Statement
Informed Consent Statement
Data Availability Statement
Acknowledgments
Conflicts of Interest
References
- Inoue, Y.; Hasegawa, M.; Maekawa, T.; Le Pavoux, A.; Asano, Y.; Abe, M.; Ishii, T.; Ito, T.; Isei, T.; Imafuku, S.; et al. Wound/Burn Guidelines Committee. The wound/burn guidelines–1: Wounds in general. J. Dermatol. 2016, 43, 357–375. [Google Scholar] [CrossRef] [PubMed]
- Watters, C.; Fleming, D.; Bishop, D.; Rumbaugh, K.P. Host Responses to Biofilm. Prog. Mol. Biol. Transl. Sci. 2016, 142, 193–239. [Google Scholar] [CrossRef] [PubMed]
- Man, S.M.; Karki, R.; Kanneganti, T.D. Molecular mechanisms and functions of pyroptosis, inflammatory caspases and inflammasomes in infectious diseases. Immunol. Rev. 2017, 277, 61–75. [Google Scholar] [CrossRef] [PubMed]
- Ortega-Peña, S.; Hidalgo-González, C.; Robson, M.C.; Krötzsch, E. In vitro microbicidal, anti-biofilm and cytotoxic effects of different commercial antiseptics. Int. Wound J. 2017, 14, 470–479. [Google Scholar] [CrossRef]
- Malmsjö, M.; Ingemansson, R. Green foam, black foam or gauze for NWPT: Effects on granulation tissue formation. J. Wound Care 2011, 20, 294–299. [Google Scholar] [CrossRef]
- Muri, L.; Grandgirard, D.; Buri, M.; Perny, M.; Leib, S.L. Combined effect of non-bacteriolytic antibiotic and inhibition of matrix metalloproteinases prevents brain injury and preserves learning, memory and hearing function in experimental paediatric pneumococcal meningitis. J. Neuroinflammation 2018, 15, 233. [Google Scholar] [CrossRef]
- Chadwick, P.; Ousey, K. Bacterial-binding dressings in the management of wound healing and infection prevention: A narrative review. J. Wound Care 2019, 28, 370–382. [Google Scholar] [CrossRef]
- Schultz, G.S.; Barillo, D.J.; Mozingo, D.W.; Chin, G.A. Wound Bed Advisory Board Members. Wound bed preparation and a brief history of TIME. Int. Wound J. 2004, 1, 19–32. [Google Scholar] [CrossRef]
- Stanirowski, P.J.; Kociszewska, A.; Cendrowski, K.; Sawicki, W. Dialkylcarbamoyl chloride-impregnated dressing for the prevention of surgical site infection in women undergoing cesarean section: A pilot study. Arch. Med. Sci. 2016, 12, 1036–1042. [Google Scholar] [CrossRef]
- Lee, J.W.; Park, S.H.; Suh, I.S.; Jeong, H.S. A comparison between DACC with chlorhexidine acetate-soaked paraffin gauze and foam dressing for skin graft donor sites. J. Wound Care 2018, 27, 28–35. [Google Scholar] [CrossRef]
- Cooper, R.; Jenkins, L. Binding of two bacterial biofilms to dialkyl carbamoyl chloride (DACC)-coated dressings in vitro. J. Wound Care 2016, 25, 78–82. [Google Scholar] [CrossRef] [PubMed]
- Totty, J.P.; Hitchman, L.H.; Cai, P.L.; Harwood, A.E.; Wallace, T.; Carradice, D.; Smith, G.E.; Chetter, I.C. A pilot feasibility randomised clinical trial comparing dialkylcarbamoylchloride-coated dressings versus standard care for the primary prevention of surgical site infection. Int. Wound J. 2019, 16, 883–890. [Google Scholar] [CrossRef] [PubMed]
- Totty, J.P.; Bua, N.; Smith, G.E.; Harwood, A.E.; Carradice, D.; Wallace, T.; Chetter, I.C. Dialkylcarbamoyl chloride (DACC)-coated dressings in the management and prevention of wound infection: A systematic review. J. Wound Care 2017, 26, 107–114. [Google Scholar] [CrossRef] [PubMed]
- Falk, P.; Ivarsson, M.L. Effect of a DACC dressing on the growth properties and proliferation rate of cultured fibroblasts. J. Wound Care 2012, 21, 327–331. [Google Scholar] [CrossRef] [PubMed]
- Reifsteck, F.; Wee, S.; Wilkinson, B.J. Hydrophobicity-hydrophilicity of staphylococci. J. Med. Microbiol. 1987, 24, 65–73. [Google Scholar] [CrossRef]
- Mamo, W.; Rozgonyi, F.; Brown, A.; Hjertén, S.; Wadström, T. Cell surface hydrophobicity and charge of Staphylococcus aureus and coagulase-negative staphylococci from bovine mastitis. J. Appl. Bacteriol. 1987, 62, 241–249. [Google Scholar] [CrossRef]
- Romain, B.; Mielcarek, M.; Delhorme, J.B.; Meyer, N.; Brigand, C.; Rohr, S.; SORKYSA group. Dialkylcarbamoyl chloride-coated versus alginate dressings after pilonidal sinus excision: A randomized clinical trial (SORKYSA study). BJS Open 2020, 4, 225–231. [Google Scholar] [CrossRef]
- CLSI. Performance for Antimicrobial Susceptibility Testing; Twenty-Second Informational Supplement; CLSI Document M100-S22; Clinical and Laboratory Standards Institute: Wayne, PA, USA, 2012. [Google Scholar]
- Cutting, K.F. Wound exudate: Composition and functions. Br. J. Community Nurs. 2003, 8, 4–9. [Google Scholar] [CrossRef]
- Stockert, J.C.; Blázquez-Castro, A.; Cañete, M.; Horobin, R.W.; Villanueva, A. MTT assay for cell viability: Intracellular localization of the formazan product is in lipid droplets. Acta Histochem. 2012, 114, 785–796. [Google Scholar] [CrossRef]
- Salgado, R.M.; Cruz-Castañeda, O.; Elizondo-Vázquez, F.; Pat, L.; De la Garza, A.; Cano-Colín, S.; Baena-Ocampo, L.; Krötzsch, E. Maltodextrin/ascorbic acid stimulates wound closure by increasing collagen turnover and TGF-β1 expression in vitro and changing the stage of inflammation from chronic to acute in vivo. J. Tissue Viability 2017, 26, 131–137. [Google Scholar] [CrossRef]
- Ramírez-Marín, Y.; Abad-Contreras, D.E.; Ustarroz-Cano, M.; Pérez-Gallardo, N.S.; Villafuerte-García, L.; Puente-Guzmán, D.M.; Villar-Velasco, J.L.D.; Rodríguez-López, L.A.; Torres-Villalobos, G.; Mercado, M.Á.; et al. Perfusion Decellularization of Extrahepatic Bile Duct Allows Tissue-Engineered Scaffold Generation by Preserving Matrix Architecture and Cytocompatibility. Materials 2021, 14, 3099. [Google Scholar] [CrossRef] [PubMed]
- Thewes, N.; Thewes, A.; Loskill, P.; Peisker, H.; Bischoff, M.; Herrmann, M.; Santen, L.; Jacobs, K. Stochastic binding of Staphylococcus aureus to hydrophobic surfaces. Soft Matter 2015, 11, 8913–8919. [Google Scholar] [CrossRef] [PubMed]
- Maikranz, E.; Spengler, C.; Thewes, N.; Thewes, A.; Nolle, F.; Jung, P.; Bischoff, M.; Santen, L.; Jacobs, K. Different binding mechanisms of Staphylococcus aureus to hydrophobic and hydrophilic surfaces. Nanoscale 2020, 12, 19267–19275. [Google Scholar] [CrossRef] [PubMed]
- Forson, A.M.; van der Mei, H.C.; Sjollema, J. Impact of solid surface hydrophobicity and micrococcal nuclease production on Staphylococcus aureus Newman biofilms. Sci. Rep. 2020, 10, 12093. [Google Scholar] [CrossRef]
- Lather, P.; Mohanty, A.K.; Jha, P.; Garsa, A.K. Contribution of Cell Surface Hydrophobicity in the Resistance of Staphylococcus aureus against Antimicrobial Agents. Biochem. Res. Int. 2016, 2016, 1091290. [Google Scholar] [CrossRef]
- Abdelhady, S.; Honsy, K.M.; Kurakula, M. Electro spun-nanofibrous mats: A modern wound dressing matrix with a potential of drug delivery and therapeutics. J. Eng. Fibers Fabr. 2015, 10, 155892501501000411. [Google Scholar] [CrossRef]
- Kurakula, M.; Rao, G.K. Moving polyvinyl pyrrolidone electrospun nanofibers and bioprinted scaffolds toward multidisciplinary biomedical applications. Eur. Polym. J. 2020, 136, 109919. [Google Scholar] [CrossRef]
- Ronner, A.C.; Curtin, J.; Karami, N.; Ronner, U. Adhesion of meticillin-resistant Staphylococcus aureus to DACC-coated dressings. J. Wound Care 2014, 23, 484–488. [Google Scholar] [CrossRef]
- English, B.K.; Maryniw, E.M.; Talati, A.J.; Meals, E.A. Diminished macrophage inflammatory response to Staphylococcus aureus isolates exposed to daptomycin versus vancomycin or oxacillin. Antimicrob. Agents Chemother. 2006, 50, 2225–2227. [Google Scholar] [CrossRef]
- Spentzas, T.; Shapley, R.K.; Aguirre, C.A.; Meals, E.; Lazar, L.; Rayburn, M.S.; Walker, B.S.; English, B.K. Ketamine inhibits tumor necrosis factor secretion by RAW264.7 murine macrophages stimulated with antibiotic-exposed strains of community-associated, methicillin-resistant Staphylococcus aureus. BMC Immunol. 2011, 12, 11. [Google Scholar] [CrossRef][Green Version]
- van Langevelde, P.; van Dissel, J.T.; Ravensbergen, E.; Appelmelk, B.J.; Schrijver, I.A.; Groeneveld, P.H. Antibiotic-induced release of lipoteichoic acid and peptidoglycan from Staphylococcus aureus: Quantitative measurements and biological reactivities. Antimicrob. Agents Chemother. 1998, 42, 3073–3078. [Google Scholar] [CrossRef] [PubMed]
- Lotz, S.; Starke, A.; Ziemann, C.; Morath, S.; Hartung, T.; Solbach, W.; Laskay, T. Beta-lactam antibiotic-induced release of lipoteichoic acid from Staphylococcus aureus leads to activation of neutrophil granulocytes. Ann. Clin. Microbiol. Antimicrob. 2006, 5, 15. [Google Scholar] [CrossRef] [PubMed]
- Wu, J.; Ding, Y.; Wang, J.; Wang, F. Staphylococcus aureus induces TGF-β1 and bFGF expression through the activation of AP-1 and NF-κB transcription factors in bovine mammary epithelial cells. Microb. Pathog. 2018, 117, 276–284. [Google Scholar] [CrossRef]
- Miao, Z.; Ding, Y.; Bi, Y.; Chen, M.; Cao, X.; Wang, F. Staphylococcus aureus on the effect of expression of MMPs/TIMPs and uPA system in bovine mammary fibroblasts. J. Microbiol. Immunol. Infect. 2021, 54, 411–419. [Google Scholar] [CrossRef] [PubMed]
- Fronzo, C. Surgical site infections: Prevention, surveillance and use of dialkylcarbomoylchloride (DACC) coated dressings. J. Wound Care 2020, 29, 27–31. [Google Scholar] [CrossRef] [PubMed]




Publisher’s Note: MDPI stays neutral with regard to jurisdictional claims in published maps and institutional affiliations. |
© 2022 by the authors. Licensee MDPI, Basel, Switzerland. This article is an open access article distributed under the terms and conditions of the Creative Commons Attribution (CC BY) license (https://creativecommons.org/licenses/by/4.0/).
Share and Cite
Ortega-Peña, S.; Chopin-Doroteo, M.; Tejeda-Fernández de Lara, A.; Giraldo-Gómez, D.M.; Salgado, R.M.; Krötzsch, E. Dialkyl Carbamoyl Chloride–Coated Dressing Prevents Macrophage and Fibroblast Stimulation via Control of Bacterial Growth: An In Vitro Assay. Microorganisms 2022, 10, 1825. https://doi.org/10.3390/microorganisms10091825
Ortega-Peña S, Chopin-Doroteo M, Tejeda-Fernández de Lara A, Giraldo-Gómez DM, Salgado RM, Krötzsch E. Dialkyl Carbamoyl Chloride–Coated Dressing Prevents Macrophage and Fibroblast Stimulation via Control of Bacterial Growth: An In Vitro Assay. Microorganisms. 2022; 10(9):1825. https://doi.org/10.3390/microorganisms10091825
Chicago/Turabian StyleOrtega-Peña, Silvestre, Mario Chopin-Doroteo, Alberto Tejeda-Fernández de Lara, David M. Giraldo-Gómez, Rosa M. Salgado, and Edgar Krötzsch. 2022. "Dialkyl Carbamoyl Chloride–Coated Dressing Prevents Macrophage and Fibroblast Stimulation via Control of Bacterial Growth: An In Vitro Assay" Microorganisms 10, no. 9: 1825. https://doi.org/10.3390/microorganisms10091825
APA StyleOrtega-Peña, S., Chopin-Doroteo, M., Tejeda-Fernández de Lara, A., Giraldo-Gómez, D. M., Salgado, R. M., & Krötzsch, E. (2022). Dialkyl Carbamoyl Chloride–Coated Dressing Prevents Macrophage and Fibroblast Stimulation via Control of Bacterial Growth: An In Vitro Assay. Microorganisms, 10(9), 1825. https://doi.org/10.3390/microorganisms10091825

