Bioinformatics-Driven Systematic Molecular Typing and Rapid qPCR Detection of Escherichia coli Phages: Preliminary Validation with Isolates from Cattle Farms in Xinjiang
Abstract
1. Introduction
2. Materials and Methods
2.1. Genomic Data Collection and Comprehensive Bioinformatic Analysis
2.2. Bioinformatic Strategies for Pan-Genome Reconstruction and Core Gene Identification
2.3. Primer Design Based on Conserved Core Gene Sequences
2.4. PCR Verification of Primer Specificity
2.5. Validation of Primer Sensitivity and Specificity via qPCR
3. Results
3.1. Phylogenetic Analysis of Escherichia coli Phages
3.2. Pan-Genome Analysis and Core Gene Prediction
3.3. Batch Primer Design Based on Conserved Core Gene Sequences
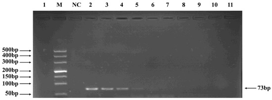
3.4. PCR Verification of Primer Specificity and Sensitivity
3.5. qPCR Verification of Primer Sensitivity
4. Discussion
5. Conclusions
Supplementary Materials
Author Contributions
Funding
Institutional Review Board Statement
Informed Consent Statement
Data Availability Statement
Conflicts of Interest
References
- Murray, C.J.; Ikuta, K.S.; Sharara, F.; Swetschinski, L.; Aguilar, G.R.; Gray, A.; Han, C.; Bisignano, C.; Rao, P.; Wool, E. Global Burden of Bacterial Antimicrobial Resistance in 2019: A Systematic Analysis. Lancet 2022, 399, 629–655. [Google Scholar] [CrossRef]
- del Rio, B.; Binetti, A.G.; Martín, M.C.; Fernández, M.; Magadán, A.H.; Alvarez, M.A. Multiplex PCR for the Detection and Identification of Dairy Bacteriophages in Milk. Food Microbiol. 2007, 24, 75–81. [Google Scholar] [CrossRef]
- Del Rio, B.; Martín, M.C.; Martínez, N.; Magadán, A.H.; Alvarez, M.A. Multiplex Fast Real-Time PCR for Quantitative Detection and Identification of Cos- and Pac-Type Streptococcus thermophilus Bacteriophages. Appl. Environ. Microbiol. 2008, 74, 4779–4781. [Google Scholar] [CrossRef]
- Bin Jang, H.; Bolduc, B.; Zablocki, O.; Kuhn, J.H.; Roux, S.; Adriaenssens, E.M.; Brister, J.R.; Kropinski, A.M.; Krupovic, M.; Lavigne, R. Taxonomic Assignment of Uncultivated Prokaryotic Virus Genomes Is Enabled by Gene-Sharing Networks. Nat. Biotechnol. 2019, 37, 632–639. [Google Scholar] [CrossRef]
- Dutilh, B.E.; Varsani, A.; Tong, Y.; Simmonds, P.; Sabanadzovic, S.; Rubino, L.; Roux, S.; Munoz, A.R.; Lood, C.; Lefkowitz, E.J. Perspective on Taxonomic Classification of Uncultivated Viruses. Curr. Opin. Virol. 2021, 51, 207–215. [Google Scholar] [CrossRef] [PubMed]
- Turner, D.; Kropinski, A.M.; Adriaenssens, E.M. A Roadmap for Genome-Based Phage Taxonomy. Viruses 2021, 13, 506. [Google Scholar] [CrossRef]
- Seemann, T. Prokka: Rapid Prokaryotic Genome Annotation. Bioinformatics 2014, 30, 2068–2069. [Google Scholar] [CrossRef] [PubMed]
- Grazziotin, A.L.; Koonin, E.V.; Kristensen, D.M. Prokaryotic Virus Orthologous Groups (pVOGs): A Resource for Comparative Genomics and Protein Family Annotation. Nucleic Acids Res. 2016, 45, D491–D498. [Google Scholar] [CrossRef]
- Terzian, P.; Olo Ndela, E.; Galiez, C.; Lossouarn, J.; Pérez Bucio, R.E.; Mom, R.; Toussaint, A.; Petit, M.-A.; Enault, F. PHROG: Families of Prokaryotic Virus Proteins Clustered Using Remote Homology. NAR Genom. Bioinform. 2021, 3, lqab067. [Google Scholar] [CrossRef] [PubMed]
- Nishimura, Y.; Yoshida, T.; Kuronishi, M.; Uehara, H.; Ogata, H.; Goto, S. ViPTree: The Viral Proteomic Tree Server. Bioinformatics 2017, 33, 2379–2380. [Google Scholar] [CrossRef]
- Bolduc, B.; Jang, H.B.; Doulcier, G.; You, Z.-Q.; Roux, S.; Sullivan, M.B. vConTACT: An iVirus Tool to Classify Double-Stranded DNA Viruses That Infect Archaea and Bacteria. PeerJ 2017, 5, e3243. [Google Scholar] [CrossRef]
- Hockenberry, A.J.; Wilke, C.O. BACPHLIP: Predicting Bacteriophage Lifestyle from Conserved Protein Domains. PeerJ 2021, 9, e11396. [Google Scholar] [CrossRef]
- Page, A.J.; Cummins, C.A.; Hunt, M.; Wong, V.K.; Reuter, S.; Holden, M.T.; Fookes, M.; Falush, D.; Keane, J.A.; Parkhill, J. Roary: Rapid Large-Scale Prokaryote Pan Genome Analysis. Bioinformatics 2015, 31, 3691–3693. [Google Scholar] [CrossRef] [PubMed]
- Bayliss, S.C.; Thorpe, H.A.; Coyle, N.M.; Sheppard, S.K.; Feil, E.J. PIRATE: A Fast and Scalable Pangenomics Toolbox for Clustering Diverged Orthologues in Bacteria. Gigascience 2019, 8, giz119. [Google Scholar] [PubMed]
- Shen, W.; Le, S.; Li, Y.; Hu, F. SeqKit: A Cross-Platform and Ultrafast Toolkit for FASTA/Q File Manipulation. PLoS ONE 2016, 11, e0163962. [Google Scholar] [CrossRef] [PubMed]
- Katoh, K.; Standley, D.M. MAFFT Multiple Sequence Alignment Software Version 7: Improvements in Performance and Usability. Mol. Biol. Evol. 2013, 30, 772–780. [Google Scholar] [CrossRef]
- Ye, J.; Coulouris, G.; Zaretskaya, I.; Cutcutache, I.; Rozen, S.; Madden, T.L. Primer-BLAST: A Tool to Design Target-Specific Primers for Polymerase Chain Reaction. BMC Bioinform. 2012, 13, 134. [Google Scholar] [CrossRef]
- Suh, G.A.; Lodise, T.P.; Tamma, P.D.; Knisely, J.M.; Alexander, J.; Aslam, S.; Barton, K.D.; Bizzell, E.; Totten, K.M.C.; Campbell, J.L.; et al. Considerations for the Use of Phage Therapy in Clinical Practice. Antimicrob. Agents Chemother. 2022, 66, e02071-21. [Google Scholar] [CrossRef]
- Hendrix, R.W.; Hatfull, G.F.; Ford, M.E.; Smith, M.C.; Burns, R.N. Evolutionary Relationships among Diverse Bacteriophages and Prophages: All the World’s a Phage. In Horizontal Gene Transfer; Elsevier: Amsterdam, The Netherlands, 2002; pp. 133–140, V–VI. [Google Scholar]
- Guo, Y.; Lin, J.; Wang, X. Rapid Detection of Temperate Bacteriophage Using a Simple Motility Assay. Environ. Microbiol. Rep. 2021, 13, 728–734. [Google Scholar] [CrossRef]
- d’Hérelle, F. On an Invisible Microbe Antagonistic toward Dysenteric Bacilli: Brief Note by Mr. F. D’Herelle, Presented by Mr. Roux. 1917. Res. Microbiol. 2007, 158, 553–554. [Google Scholar]
- Acar-Soykut, E.; Tayyarcan, E.K.; Boyaci, I.H. A Simple and Fast Method for Discrimination of Phage and Antibiotic Contaminants in Raw Milk by Using Raman Spectroscopy. J. Food Sci. Technol. 2018, 55, 82–89. [Google Scholar] [CrossRef] [PubMed]
- Khan, M.S.; Pande, T.; van de Ven, T.G. Qualitative and Quantitative Detection of T7 Bacteriophages Using Paper Based Sandwich ELISA. Colloids Surf. B Biointerfaces 2015, 132, 264–270. [Google Scholar] [CrossRef] [PubMed]
- Rajnovic, D.; Mas, J. Fluorometric Detection of Phages in Liquid Media: Application to Turbid Samples. Anal. Chim. Acta 2020, 1111, 23–30. [Google Scholar] [CrossRef] [PubMed]
- Štveráková, D.; Šedo, O.; Benešík, M.; Zdráhal, Z.; Doškař, J.; Pant\uuček, R. Rapid Identification of Intact Staphylococcal Bacteriophages Using Matrix-Assisted Laser Desorption Ionization-Time-of-Flight Mass Spectrometry. Viruses 2018, 10, 176. [Google Scholar] [CrossRef]
- Russell, D.A. Sequencing, Assembling, and Finishing Complete Bacteriophage Genomes. In Bacteriophages; Clokie, M.R.J., Kropinski, A.M., Lavigne, R., Eds.; Methods in Molecular Biology; Springer: New York, NY, USA, 2018; Volume 1681, pp. 109–125. ISBN 978-1-4939-7341-5. [Google Scholar]
- Kornienko, M.; Bespiatykh, D.; Malakhova, M.; Gorodnichev, R.; Kuptsov, N.; Shitikov, E. PCR Assay for Rapid Taxonomic Differentiation of Virulent Staphylococcus aureus and Klebsiella pneumoniae Bacteriophages. Int. J. Mol. Sci. 2023, 24, 4483. [Google Scholar] [CrossRef]
- Harper, D.R. Criteria for Selecting Suitable Infectious Diseases for Phage Therapy. Viruses 2018, 10, 177. [Google Scholar] [CrossRef]











| Family | Subfamily | Genus | NCBI (incl.ictv) | Average Genome Length, Kbp | Virulent (ncbi.all) |
|---|---|---|---|---|---|
| Escherichia coli Phages | |||||
| Ackermannviridae | Cvivirinae | Kuttervirus | 2 (2) | 533 | 2 (2) |
| Taipeivirus | 1 (1) | 1 (1) | |||
| Autographiviridae * | Molineuxvirinae | Vectrevirus | 17 (7) | 947 | 17 (17) |
| Studiervirinae | Berlinvirus | 3 (3) | 421 | 3 (3) | |
| Kayfunavirus | 22 (5) | 22 (22) | |||
| Przondovirus | 1 (1) | 1 (1) | |||
| Teetrevirus | 3 (1) | 3 (3) | |||
| Teseptimavirus | 4 (2) | 4 (4) | |||
| Ermolevavirus | 1 (1) | 1 (1) | |||
| Chaseviridae | Cleopatravirinae | Carltongylesvirus | 2 (1) | 599 | 2 (2) |
| Demerecviridae * | Markadamsvirinae | Epseptimavirus | 3 (1) | 875 | 3 (3) |
| Tequintavirus | 18 (12) | 18 (18) | |||
| Drexlerviridae * | Braunvirinae | Loudonvirus | 1 (1) | 1 (1) | |
| Rtpvirus | 2 (2) | 2 (2) | |||
| Rogunavirinae | Rogunavirus | 12 (5) | 12 (12) | ||
| Tempevirinae | Hanrivervirus | 2 (1) | 2 (2) | ||
| Tlsvirus | 1 (1) | 1 (1) | |||
| Warwickvirus | 2 (0) | 2 (2) | |||
| Tunavirinae | Tunavirus | 6 (6) | 2015 | 6 (6) | |
| Nouzillyvirus | 1 (1) | 1 (1) | |||
| Inoviridae | Infulavirus | 2 (1) | 1054 | 2 (2) | |
| Microviridae | Bullavirinae | Alphatrevirus | 3 (3) | 456 | 3 (3) |
| Sinsheimervirus | 1 (1) | 1 (1) | |||
| Punavirus | 3 (1) | 0 (3) | |||
| Peduoviridae | Eganvirus | 1 (1) | 0 (1) | ||
| Peduovirus | 1 (1) | 0 (1) | |||
| Piscesmortuivirus | 1 (1) | 1 (1) | |||
| Schitoviridae * | Enquatrovirinae | Enquatrovirus | 1 (1) | 1 (1) | |
| Gamaleyavirus | 5 (4) | 5 (5) | |||
| Straboviridae * | Tevenvirinae | Dhakavirus | 8 (5) | 8 (8) | |
| Gaprivervirus | 5 (4) | 924 | 5 (5) | ||
| Mosigvirus | 29 (7) | 29 (29) | |||
| Tequatrovirus | 29 (25) | 29 (29) | |||
| Winklervirus | 1 (0) | 1 (1) | |||
| Krischvirus | 10 (4) | 10 (10) | |||
| Gordonclarkvirinae * | Kuravirus | 8 (4) | 2244 | 8 (8) | |
| Suseptimavirus | 3 (2) | 3 (3) | |||
| Guarnerosvirinae * | Mechnikovvirus | 1 (1) | 413 | 1 (1) | |
| Jerseyvirus | 1 (0) | 1 (1) | |||
| Kagunavirus | 23 (8) | 23 (23) | |||
| Hendrixvirinae | Byrnievirus | 1 (1) | 476 | 0 (1) | |
| Cuauhtlivirus | 1 (1) | 0 (1) | |||
| Kwaitsingvirus | 2 (2) | 0 (2) | |||
| Saikungvirus | 1 (1) | 0 (1) | |||
| Shamshuipovirus | 2 (2) | 0 (2) | |||
| Wanchaivirus | 1 (1) | 0 (1) | |||
| Wongtaivirus | 1 (1) | 0 (1) | |||
| Ounavirinae * | Felixounavirus | 13 (7) | 464 | 13 (13) | |
| Sepvirinae | Oslovirus | 5 (2) | 2101 | 0 (5) | |
| Traversvirus | 24 (5) | 0 (24) | |||
| Stephanstirmvirinae * | Justusliebigvirus | 1 (1) | 519 | 0 (1) | |
| Phapecoctavirus | 6 (1) | 6 (6) | |||
| Vequintavirinae * | Avunavirus | 1 (1) | 1 (1) | ||
| Seunavirus | 9 (0) | 8 (9) | |||
| Vequintavirus | 6 (3) | 6 (6) | |||
| Dhillonvirus * | 15 (8) | 1045 | 15 (15) | ||
| Glaedevirus | 1 (0) | 0 (1) | |||
| Lambdavirus | 2 (2) | 0 (2) | |||
| Lederbergvirus | 6 (0) | 0 (6) | |||
| Marienburgvirus | 1 (1) | 0 (1) | |||
| Muvirus | 2 (1) | 0 (2) | |||
| Asteriusvirus * | 7 (2) | 7 (7) | |||
| Ravinvirus | 1 (1) | 0 (1) | |||
| Rosemountvirus | 4 (0) | 4 (4) | |||
| Skarprettervirus | 1 (1) | 1 (1) | |||
| Uetakevirus | 1 (1) | 0 (1) | |||
| Wifcevirus | 2 (2) | 2 (2) | |||
| Unassigned | Unassigned | Unassigned | 62 | ||
| Family/Subfamily/Genus | Core Gene | Pan-Genome | Similarity |
|---|---|---|---|
| Ackermannviridae | Putative tail tube protein | Roary | 0.95 |
| Chaseviridae | dUTPase | Roary | 0.95 |
| Demerecviridae * | polA | Roary | 0.95 |
| Inoviridae | Hypothetical protein | Pirate | 0.60 |
| Straboviridae * | grcA | Pirate | 0.60 |
| Molineuxvirinae * | DNA ligase | Roary | 0.95 |
| Studiervirinae * | Hypothetical protein | Pirate | 0.60 |
| Tunavirinae * | Putative DNA repair helicase RadD | Roary | 0.95 |
| Bullavirinae | Hypothetical protein | Pirate | 0.70 |
| Gordonclarkvirinae * | Portal protein | Pirate | 0.90 |
| Guarnerosvirinae * | Hypothetical protein | Roary | 0.95 |
| Hendrixvirinae | Hypothetical protein | Roary | 0.95 |
| Ounavirinae * | Lysozyme RrrD | Roary | 0.95 |
| Sepvirinae | Hypothetical protein | Roary | 0.95 |
| Stephanstirmvirina * | Metallophosphatase | Roary | 0.95 |
| Dhillonvirus * | Hypothetical protein | Roary | 0.95 |
| Family/Subfamily | Primer-F/Primer-R | Product Size (bp) |
|---|---|---|
| Studiervirinaeg * | F: TTTGACGGAGTGGAGTCCATTGA | 73 |
| R: CTTTGTTTAGGTCCTTCTC | ||
| Straboviridae * | F: GAAGATGGTATTCAAGCACGAA | 312 |
| R: TTACAAACTCTCGGTGAAGG | ||
| Gordonclarkvirinae * | F: TTGGACGAGTTACGTGTTGACC | 435 |
| R: CGGTGGTACACCTTCAGCTTCT | ||
| Tunavirinae * | F: GCTATGGTTGCAAAGCAG | 165 |
| R: CACGATCGGGAAGTAGCA | ||
| Molineuxvirinae * | F: ATGCGACCAAACTTCGACTTCGG | 854 |
| R: CCGAACTTAGCCTTGTAAGCACC | ||
| Chaseviridae | F: ATGTCTTGCATGACCCAAGTTG | 448 |
| R: CACGACCAGTTGAGCCAAAG | ||
| Demerecviridae * | F: ATGAGTAAATCCTGGGGAAAATT | 845 |
| R: GTAAACTTATCTAACACATCTTG | ||
| Inoviridae | F: AAAGACGCTCGTTAGCGTTGGT | 315 |
| R: CCCAATTTACGAGCATGAAGAAA | ||
| Bullavirinae | F: TGGATGTTACTGAGGAAGAT | 259 |
| R: CGCTCGACGCCATTGATAATGT | ||
| Guarnerosvirinae * | F: ATGGGCTACTTTGAGGACTTAAC | 354 |
| R: TTCTACAATCAGCGGCCCCAGG | ||
| Hendrixvirinae | F: ATGGTGGAAATCAATAATCAACGT | 409 |
| R: GCTCGAACTGACCATAACCAG | ||
| Ounavirinae * | F: ATGCAACTCTCAAGAAAAGG | 254 |
| R: AGTGCATCAAACTCGTTCTGAG | ||
| Sepvirinae | F: TGATTGAACTCAGTAATGGACG | 665 |
| R: CAGTCTTCCCACCTGCTGGCAGG | ||
| Stephanstirmvirinae * | F: GTTTATTACAAGTGATTTGC | 181 |
| R: TTCTTCAGTCCCGAAACAGAAGT | ||
| Dhillonvirus * | F: CATGATTGTTGAACAGCACCGGAC | 104 |
| R: TGGCGCTATAGGTGATGACGTT |
Disclaimer/Publisher’s Note: The statements, opinions and data contained in all publications are solely those of the individual author(s) and contributor(s) and not of MDPI and/or the editor(s). MDPI and/or the editor(s) disclaim responsibility for any injury to people or property resulting from any ideas, methods, instructions or products referred to in the content. |
© 2026 by the authors. Licensee MDPI, Basel, Switzerland. This article is an open access article distributed under the terms and conditions of the Creative Commons Attribution (CC BY) license.
Share and Cite
Dang, X.; Cao, X.; Li, L.; Yang, L.; Zhao, L.; Sheng, J.; Zheng, X.; Zhai, C.; Song, J.; Wu, W.; et al. Bioinformatics-Driven Systematic Molecular Typing and Rapid qPCR Detection of Escherichia coli Phages: Preliminary Validation with Isolates from Cattle Farms in Xinjiang. Pathogens 2026, 15, 121. https://doi.org/10.3390/pathogens15010121
Dang X, Cao X, Li L, Yang L, Zhao L, Sheng J, Zheng X, Zhai C, Song J, Wu W, et al. Bioinformatics-Driven Systematic Molecular Typing and Rapid qPCR Detection of Escherichia coli Phages: Preliminary Validation with Isolates from Cattle Farms in Xinjiang. Pathogens. 2026; 15(1):121. https://doi.org/10.3390/pathogens15010121
Chicago/Turabian StyleDang, Xinyu, Xiaoguang Cao, Li Li, Lin Yang, Lei Zhao, Jinliang Sheng, Xin Zheng, Chunyan Zhai, Jia Song, Wenhui Wu, and et al. 2026. "Bioinformatics-Driven Systematic Molecular Typing and Rapid qPCR Detection of Escherichia coli Phages: Preliminary Validation with Isolates from Cattle Farms in Xinjiang" Pathogens 15, no. 1: 121. https://doi.org/10.3390/pathogens15010121
APA StyleDang, X., Cao, X., Li, L., Yang, L., Zhao, L., Sheng, J., Zheng, X., Zhai, C., Song, J., Wu, W., Wang, Y., & Zhang, S. (2026). Bioinformatics-Driven Systematic Molecular Typing and Rapid qPCR Detection of Escherichia coli Phages: Preliminary Validation with Isolates from Cattle Farms in Xinjiang. Pathogens, 15(1), 121. https://doi.org/10.3390/pathogens15010121

