The Association of Macavirus and Ovine Gammaherpesvirus 2 with Pneumonia in Beef Cattle from Mato Grosso, Brazil
Abstract
1. Introduction
2. Materials and Methods
2.1. Study Location, Animals, and Sample Collection
2.2. Histopathological and Immunohistochemical Analyses
2.3. Molecular Investigation of Pulmonary Disease Pathogens of Cattle
2.4. Types of Infections Detected in Municipalities of Mato Gross, Brazil
2.5. Spatial Mapping of Municipalities Within Mato Grosso
2.6. Statistical Analyses
3. Results
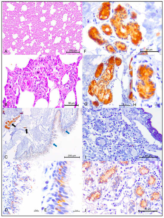
3.1. Histopathological and Immunohistochemical Findings
3.2. Molecular Detection of Respiratory Pathogens in Cattle with Interstitial Pneumonia
3.3. Occurrence of Singular and Concomitant Pulmonary Infections in Cattle from the Municipalities of Mato Grosso
3.4. Distribution of Interstitial Pneumonia and Pathogens Within the Production Rearing Systems
3.5. Risk Factors Associated with Infections by MCFV and OvGHV2 in Beef Cattle from Mato Grosso
3.6. The Epidemiology of Pneumonia in Beef Cattle from Some Municipalities of Mato Grosso
4. Discussion
4.1. OvGHV2 Was the Most Frequently Identified Pathogen Associated with Pulmonary Disease
4.2. OvGHV2-Induced Infections and Pulmonary Disease May Be Frequent in Cattle from These Municipalities of Mato Grosso
4.3. Study Limitations
5. Conclusions
Supplementary Materials
Author Contributions
Funding
Institutional Review Board Statement
Informed Consent Statement
Data Availability Statement
Acknowledgments
Conflicts of Interest
References
- ICTV. International Committee on Taxonomy of Viruses. Subfamily: Gammaherpesvirinae, Genus: Macavirus. Available online: https://ictv.global/report/chapter/herpesviridae/herpesviridae/macavirus (accessed on 3 March 2024).
- Crawford, T.B.; Li, H.; Rosenburg, S.R.; Norhausen, R.W.; Garner, M.M. Mural folliculitis and alopecia caused by infection with goat-associated malignant catarrhal fever virus in two sika deer. J. Am. Vet. Med. Assoc. 2002, 221, 843–847. [Google Scholar] [CrossRef] [PubMed]
- Li, H.; Keller, J.; Knowles, D.P.; Crawford, T.B. Recognition of another member of the malignant catarrhal fever virus group: An endemic gammaherpesvirus in domestic goats. J. Gen. Virol. 2001, 82, 227–232. [Google Scholar] [CrossRef] [PubMed]
- Li, H.; Shen, D.T.; Knowles, D.P.; Gorham, J.R.; Crawford, T.B. Competitive inhibition enzyme-linked immunosorbent assay for antibody in sheep and other ruminants to a conserved epitope of malignant catarrhal fever virus. J. Clin. Microbiol. 1994, 32, 1674–1679. [Google Scholar] [CrossRef] [PubMed]
- Russell, G.C.; Stewart, J.P.; Haig, D.M. Malignant catarrhal fever: A review. Vet. J. 2009, 179, 324–335. [Google Scholar] [CrossRef]
- Li, H.; Cunha, C.W.; Taus, N.S.; Knowles, D.P. Malignant catarrhal fever: Inching toward understanding. Annu. Rev. Anim. Biosci. 2014, 2, 209–233. [Google Scholar] [CrossRef]
- Headley, S.A.; Oliveira, T.E.S.; Cunha, C.W. A review of the epidemiological, clinical, and pathological aspects of sheep-associated malignant catarrhal fever with emphasis on Brazil. Braz. J. Microbiol. 2020, 51, 1405–1432. [Google Scholar] [CrossRef]
- Li, H.; Taus, N.S.; Oaks, J.L. Sheep-associated malignant catarrhal fever virus: Prospects for vaccine development. Expert Rev. Vaccines 2006, 5, 133–141. [Google Scholar] [CrossRef]
- O’Toole, D.; Li, H. The pathology of malignant catarrhal fever, with an emphasis on ovine herpesvirus 2. Vet. Pathol. 2014, 51, 437–452. [Google Scholar] [CrossRef]
- Silva, F.H.P.; Fritzen, J.T.T.; Figueiredo, J.R.X.; Jurkevicz, R.M.B.; Domingues, A.F.F.; Rose, M.P.; Silva, L.E.; Garcia, J.L.; Alfieri, A.A.; Headley, S.A. Transplacental infections associated with Macavirus in aborted bovine fetuses. Microorganisms 2024, 12, 1608. [Google Scholar] [CrossRef]
- Headley, S.A.; Torres Tomazi Fritzen, J.; Maturana, É.F.L.; Alves de Alvarenga, N.A.C.; Rodrigues, R.V.; Gomes, A.L.P.L.; Rodriguez, M.C.; Sogari, M.I.P.; Xavier, A.A.C.; Silva, F.H.P.; et al. Clinical, epidemiological, and pathological findings of ovine gammaherpesvirus 2 infections in cattle from Southern Brazil. J. Infect. Dev. Ctries. 2025, 19, 124–139. [Google Scholar] [CrossRef]
- Castro, M.M.; Oliveira, T.E.S.; Headley, S.A. Bovine respiratory disease in Brasil: A short review. Semin. Cienc. Agrar. 2021, 42, 2081–2110. [Google Scholar] [CrossRef]
- Caswell, J.L.; Hewson, J.; Slavić, Ð.; DeLay, J.; Bateman, K. Laboratory and postmortem diagnosis of bovine respiratory disease. Vet. Clin. North Am. Food Anim. Pract. 2012, 28, 419–441. [Google Scholar] [CrossRef] [PubMed]
- Buczinski, S.; Pardon, B. Bovine respiratory disease diagnosis: What progress has been made in clinical diagnosis? Vet. Clin. North Am. Food Anim. Pract. 2020, 36, 399–423. [Google Scholar] [CrossRef] [PubMed]
- Fulton, R.W. Bovine respiratory disease research (1983–2009). Anim. Health Res. Rev. 2009, 10, 131–139. [Google Scholar] [CrossRef] [PubMed]
- Headley, S.A.; Dall Agnol, A.M.; Alfieri, A.F.; Alfieri, A.A.; Buczinski, S. The effects of simultaneous respiratory infections on the nasal shedding of Mycoplasmopsis bovirhinis in dairy calves. Vet. Res. Commun. 2024, 48, 4133–4139. [Google Scholar] [CrossRef]
- Frucchi, A.P.S.; Dall Agnol, A.M.; Caldart, E.T.; Bronkhorst, D.E.; Alfieri, A.F.; Alfieri, A.A.; Headley, S.A. The role of Mycoplasma bovirhinis in the development of singular and concomitant respiratory infections in dairy calves from southern Brazil. Pathogens 2024, 13, 114. [Google Scholar] [CrossRef]
- Headley, S.A.; Dall Agnol, A.M.; Bessegato, J.A.; Frucchi, A.P.S.; Maturana, É.F.L.; Rodrigues, R.V.; Xavier, A.A.C.; Alfieri, A.F.; Alfieri, A.A. Association of ovine gammaherpesvirus 2 with an outbreak of acute respiratory disease in dairy cattle. Sci. Rep. 2023, 13, 5623. [Google Scholar] [CrossRef]
- Cummings, D.B.; Meyer, N.F.; Step, D.L. Bovine respiratory disease considerations in young dairy calves. Vet. Clin. North Am. Food Anim. Pract. 2022, 38, 93–105. [Google Scholar] [CrossRef]
- Woolums, A.R. Feedlot acute interstitial pneumonia. Vet. Clin. North Am. Food Anim. Pract. 2015, 31, 381–389. [Google Scholar] [CrossRef]
- Baptista, A.L.; Rezende, A.L.; Fonseca, P.A.; Nogueira, G.M.; Headley, S.A.; Menezes, G.L.; Alfieri, A.A.; Saut, J.P.E. Bovine respiratory disease complex associated mortality and morbidity rates in feedlot cattle from southeastern Brazil. J. Infect. Dev. Ctries. 2017, 11, 791–799. [Google Scholar] [CrossRef]
- Assumpcao, A.; Temponi, L. Bioma Predominante Por Município Para Fins Estatísticos [Predominant Biome in Each Brazilian Municipality, for Statistical Purposes]. IBGE. Available online: https://agenciadenoticias.ibge.gov.br/media/com_mediaibge/arquivos/01fe71dda66c2fea65eca745ec54a2f5.pdf (accessed on 9 July 2025).
- Dick, M.; Abreu Silva, M.; Franklin Silva, R.R.; Lauz Ferreira, O.G.; Souza Maia, M.; Ferreira Lima, S.; Borges Paiva Neto, V.; Dewes, H. Environmental impacts of Brazilian beef cattle production in the Amazon, Cerrado, Pampa, and Pantanal biomes. J. Clean. Prod. 2021, 311, 127750. [Google Scholar] [CrossRef]
- IBGE. Pesquisa da Pecuária Municipal [Municipal Livestock Research]. Available online: https://www.ibge.gov.br/estatisticas/economicas/agricultura-e-pecuaria/9107-producao-da-pecuaria-municipal.html?=&t=resultados (accessed on 19 March 2024).
- Headley, S.A.; Pimentel, L.A.; Oliveira, V.H.; Toma, H.S.; Alfieri, A.F.; Carvalho, A.M.; Santos, M.D.; Alfieri, A.A. Transplacental transmission of ovine herpesvirus 2 in cattle with sheep-associated malignant catarrhal fever. J. Comp. Path 2015, 153, 206–211. [Google Scholar] [CrossRef] [PubMed]
- Mendonça, F.S.; Dória, R.G.S.; Schein, F.B.; Freitas, S.H.; Nakazato, L.; Boabaid, F.M.; Paula, D.A.J.; Dutra, V.; Colodel, E.M. Febre catarral maligna em bovinos no Estado de Mato Grosso [Malignant catarrhal fever in cattle, Mato Grosso, Brazil]. Pesq. Vet. Bras. 2008, 28, 155–160. [Google Scholar] [CrossRef][Green Version]
- Furlan, F.H.; Amorim, T.M.; Justo, R.V.; Mendes, E.R.S.; Zilio, M.G.; Costa, F.L.; Nakazato, L.; Colode, E.M. Febre catarral maligna em bovinos no norte de Mato Grosso—Brasil [Malignant catarrhal fever in cattle in the northern region of Mato Grosso—Brazil]. Acta Sci. Vet. 2012, 40, 1043. [Google Scholar]
- Rondelli, L.A.S.; Silva, G.S.; Bezerra, K.S.; Rondelli, A.L.H.; Lima, S.R.; Furlan, F.H.; Pescador, C.A.; Colodel, E.M. Doenças de bovinos em Mato Grosso diagnosticadas no Laboratório de Patologia Veterinária da UFMT (2005–2014) [Cattle diseases in Mato Grosso diagnosed in the Veterinary Pathology Laboratory of UFMT (2005–2014)]. Pesq. Vet. Bras. 2017, 37, 432–440. [Google Scholar] [CrossRef]
- Chicoski, L.M.; Fritzen, J.T.T.; Lorenzetti, E.; Costa, A.R.; Moro, E.; Carvalho, E.R.; Alfieri, A.F.; Alfieri, A.A. Serological profile of respiratory viruses in unvaccinated steers upon their arrival at Brazilian feedlot facilities. Braz. J. Microbiol. 2023, 54, 3237–3244. [Google Scholar] [CrossRef]
- Headley, S.A.; Grant, D.M.; Tomazi Fritzen, J.T.; Martins, F.D.C.; Camilo, S.L.O.; Caldart, E.T.; Lisbôa, J.A.N.; Alfieri, A.A.; Russell, G.C. Serological detection of ovine gammaherpesvirus 2 antibodies in dairy farms from Southern Brazil. Microorganisms 2024, 12, 2629. [Google Scholar] [CrossRef]
- López, A.; Martinson, S.A. Respiratory System, Mediastinum, and Pleurae. In Pathologic Basis of Veterinary Disease, 6th ed.; Zachary, J.F., Ed.; Elsevier: St. Louis, MO, USA, 2017; pp. 471–560. [Google Scholar]
- Headley, S.A.; Oliveira, T.E.S.; Li, H.; Lisbôa, J.A.N.; Queiroz, G.R.; Fritzen, J.T.T.; Flores, E.F.; Alfieri, A.A.; Cunha, C.W. Immunohistochemical detection of intralesional antigens of ovine gammaherpesvirus-2 in cattle with Sheep-Associated Malignant Catarrhal Fever. J. Comp. Path 2020, 174, 86–98. [Google Scholar] [CrossRef]
- Headley, S.A.; Fritzen, J.T.T.; Silva, D.C.; Xavier, A.A.C.; Yasumitsu, C.Y.; Silva, F.H.P.; Alfieri, A.F.; Soethe, A.M.; Alfieri, A.A. Histophilus somni disease conditions with simultaneous infections by ovine gammaherpesvirus 2 in cattle herds from Southern Brazil. Braz. J. Microbiol. 2023, 54, 1159–1169. [Google Scholar] [CrossRef]
- Boom, R.; Sol, C.J.; Salimans, M.M.; Jansen, C.L.; Wertheim-van Dillen, P.M.; van der Noordaa, J. Rapid and simple method for purification of nucleic acids. J. Clin. Microbiol. 1990, 28, 495–503. [Google Scholar] [CrossRef]
- Alfieri, A.A.; Parazzi, M.E.; Takiuchi, E.; Médici, K.C.; Alfieri, A.F. Frequency of group A rotavirus in diarrhoeic calves in Brazilian cattle herds, 1998-2002. Trop. Anim. Health Prod. 2006, 38, 521–526. [Google Scholar] [CrossRef] [PubMed]
- IBGE. Malha Municipal [Municipal Mesh], Instituto Brasileiro de Geografia e Estatística. Available online: https://www.ibge.gov.br/geociencias/organizacao-do-territorio/malhas-territoriais/15774-malhas (accessed on 14 July 2025).
- Driemeier, D.; Brito, M.F.; Traverso, S.D.; Cattani, C.; Cruz, C.E. Outbreak of malignant catarrhal fever in brown brocket deer (Mazama gouazoubira) in Brazil. Vet. Rec. 2002, 151, 271–272. [Google Scholar] [CrossRef]
- Fulton, R.W.; Confer, A.W. Laboratory test descriptions for bovine respiratory disease diagnosis and their strengths and weaknesses: Gold standards for diagnosis, do they exist? Can. Vet. J. 2012, 53, 754–761. [Google Scholar] [PubMed]
- Headley, S.A.; Lemos, G.A.A.; Dall Agnol, A.M.; Xavier, A.A.C.; Depes, V.C.A.; Yasumitsu, C.Y.; Oliveira, T.E.S.; Silva, L.E.; Faccin, T.C.; Alfieri, A.A.; et al. Ovine gammaherpesvirus 2 infections in cattle without typical manifestations of sheep-associated malignant catarrhal fever and concomitantly infected with bovine coronavirus. Braz. J. Microbiol. 2022, 53, 433–446. [Google Scholar] [CrossRef] [PubMed]
- Oliveira, T.E.S.; Scuisato, G.S.; Pelaquim, I.F.; Cunha, C.W.; Cunha, L.S.; Flores, E.F.; Pretto-Giordano, L.G.; Lisbôa, J.A.N.; Alfieri, A.A.; Saut, J.P.E.; et al. The participation of a virus within the malignant catarrhal fever virus group and Mycoplasma bovis in the development of single and mixed infections in beef and dairy cattle with bovine respiratory disease. Front. Vet. Sci. 2021, 8, 691448. [Google Scholar] [CrossRef]
- Headley, S.A.; Müller, M.C.; de Oliveira, T.E.S.; Barros Gil Duarte, C.A.; Valente Pereira, P.F.; Vieira, M.V.; Cunha, C.W.; Flores, E.F.; Lisbôa, J.A.N.; Pretto-Giordano, L.G. Diphtheric aspergillosis tracheitis with gastrointestinal dissemination secondary to viral infections in a dairy calf. Microb. Pathog. 2020, 149, 104497. [Google Scholar] [CrossRef]
- Headley, S.A.; Fritzen, J.T.T.; Silva, F.H.P.; Minarelli, S.L.M.; Biondo, L.M.; Kmetiuk, L.B.; Biondo, A.W.; Alfieri, A.A. Subclinical ovine gammaherpesvirus 2-related infections in free-ranging wild boars (Sus scrofa) from Southern Brazil. Pathogens 2024, 13, 515. [Google Scholar] [CrossRef]
- Valles, J.A.; Apley, M.D.; Reinhardt, C.D.; Bartle, S.J.; Thomson, D.U. Pathologies of acute interstitial pneumonia in feedlot cattle. Am. J. Anim. Vet. Sci. 2016, 11, 1–7. [Google Scholar] [CrossRef]
- Headley, S.A.; Martins, F.D.C.; Rodrigues, D.L. Another case of sheep-associated malignant catarrhal fever in Rio Grande do Sul: The curious epidemiological niche of ovine gammaherpesvirus 2 in Southern Brazil. J. Infect. Dev. Ctries. 2025, 19, 1253–1261. [Google Scholar] [CrossRef]
- Headley, S.A.; Fritzen, J.T.T.; Rodriguez, M.C.; Alfieri, A.A. Quantification of ovine gammaherpesvirus 2 in clinical cases of cattle with sheep-associated malignant catarrhal fever. Braz. J. Microbiol. 2024, 55, 1949–1959. [Google Scholar] [CrossRef]




| Municipalities | Cattle with Interstitial Pneumonia | MCFV IHC | Pathogens Detected by Molecular Assays 1 | Type of Infections | |||
|---|---|---|---|---|---|---|---|
| OvGHV2 | BCoV | BVDV | MH | ||||
| Alta Floresta | 1 | 0 | 0 | 0 | 0 | 0 | None |
| Carlinda | 4 | 1 | 3 | 0 | 0 | 0 | Singular; OvGHV2 |
| Colíder | 3 | 0 | 1 | 0 | 0 | 1 | Mixed; OvGHV2 + MH |
| Feliz Natal | 2 | 0 | 0 | 0 | 0 | 0 | None |
| Guarantã do Norte | 3 | 2 | 0 | 0 | 0 | 0 | Singular; MCFV |
| Juara | 1 | 0 | 0 | 0 | 0 | 0 | None |
| Matupá | 3 | 1 | 2 | 0 | 0 | 0 | Mixed; OvGHV2 + MCFV |
| Nova Monte Verde | 2 | 1 | 0 | 1 | 0 | 0 | Mixed; MCFC + BCoV |
| Nova Mutum | 1 | 0 | 0 | 0 | 0 | 0 | None |
| Peixoto de Azevedo | 6 | 1 | 2 | 1 | 2 | 0 | Quadruple; OvGHV2 + BCoV + BVDV |
| Porto Esperidião | 15 | 8 | 2 | 1 | 3 | 0 | Quadruple; OvGHV2 + BCoV + BVDV |
| Sorriso | 1 | 1 | 0 | 0 | 0 | 0 | Singular; MCFV |
| Terra Nova do Norte | 1 | 1 | 0 | 0 | 0 | 0 | Singular; MCFV |
| Total | 43 | 16 | 10 | 3 | 5 | 1 | |
| Variables | Negative 1 | Positive 1 | p-Value 2 |
|---|---|---|---|
| N = 281 | N = 161 | ||
| Pneumonia | 27 (96%) | 16 (100%) | >0.9 |
| Sex | 0.048 | ||
| Female | 10 (36%) | 12 (75%) | |
| Male | 15 (54%) | 4 (25%) | |
| Not Provided | 3 (11%) | 0 (0%) | |
| Ovine gammaherpesvirus 2 | 6 (21%) | 4 (25%) | >0.9 |
| Mesoregion | 0.092 | ||
| North | 21 (75%) | 8 (50%) | |
| Southeast | 7 (25%) | 8 (50%) | |
| Production system | 0.8 | ||
| Extensive | 9 (32%) | 3 (19%) | |
| Intensive | 2 (7%) | 1 (6%) | |
| Semi-intensive | 17 (61%) | 12 (75%) | |
| Season | 0.073 | ||
| Autum | 1 (3.6%) | 1 (6.3%) | |
| Spring | 18 (64%) | 5 (31%) | |
| Winter | 9 (32%) | 10 (63%) | |
| Cattle | 386,284 (234,667, 663,778) | 530,494 (324,685, 663,778) | 0.6 |
| Sheep | 3611 (2205, 9358) | 9837 (2242, 9837) | 0.13 |
| SCR | 0.009 (0.006, 0.015) | 0.015 (0.007, 0.015) | 0.3 |
Disclaimer/Publisher’s Note: The statements, opinions and data contained in all publications are solely those of the individual author(s) and contributor(s) and not of MDPI and/or the editor(s). MDPI and/or the editor(s) disclaim responsibility for any injury to people or property resulting from any ideas, methods, instructions or products referred to in the content. |
© 2025 by the authors. Licensee MDPI, Basel, Switzerland. This article is an open access article distributed under the terms and conditions of the Creative Commons Attribution (CC BY) license (https://creativecommons.org/licenses/by/4.0/).
Share and Cite
Figueiredo, J.R.X.; Silva, F.H.P.; Fritzen, J.T.T.; Machado, B.M.; Ferreira, F.P.; Gomes Ferreira, K.R.; Buczinski, S.; Alfieri, A.A.; Headley, S.A. The Association of Macavirus and Ovine Gammaherpesvirus 2 with Pneumonia in Beef Cattle from Mato Grosso, Brazil. Pathogens 2025, 14, 945. https://doi.org/10.3390/pathogens14090945
Figueiredo JRX, Silva FHP, Fritzen JTT, Machado BM, Ferreira FP, Gomes Ferreira KR, Buczinski S, Alfieri AA, Headley SA. The Association of Macavirus and Ovine Gammaherpesvirus 2 with Pneumonia in Beef Cattle from Mato Grosso, Brazil. Pathogens. 2025; 14(9):945. https://doi.org/10.3390/pathogens14090945
Chicago/Turabian StyleFigueiredo, Julia Raisa Ximenes, Flavia Helena Pereira Silva, Juliana Torres Tomazi Fritzen, Beatriz Martins Machado, Fernanda Pinto Ferreira, Karina Rodrigues Gomes Ferreira, Sébastien Buczinski, Amauri Alcindo Alfieri, and Selwyn Arlington Headley. 2025. "The Association of Macavirus and Ovine Gammaherpesvirus 2 with Pneumonia in Beef Cattle from Mato Grosso, Brazil" Pathogens 14, no. 9: 945. https://doi.org/10.3390/pathogens14090945
APA StyleFigueiredo, J. R. X., Silva, F. H. P., Fritzen, J. T. T., Machado, B. M., Ferreira, F. P., Gomes Ferreira, K. R., Buczinski, S., Alfieri, A. A., & Headley, S. A. (2025). The Association of Macavirus and Ovine Gammaherpesvirus 2 with Pneumonia in Beef Cattle from Mato Grosso, Brazil. Pathogens, 14(9), 945. https://doi.org/10.3390/pathogens14090945

