Supraglottic Localization of IgG4-Related Disease—Rare and Challenging Equity
Abstract
1. Introduction
2. Materials and Methods
3. Results
3.1. Overview of Previously Published Case Reports
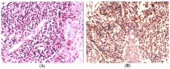
3.2. Case Report of L.G.
4. Discussion
4.1. Diagnosis of IgG4-Related Disease: Comprehensive vs. ACR/EULAR Criteria
4.2. Differential Diagnosis between IgG4-RD and ANCA-Associated Diseases
4.3. Management of Supraglottic Stenosis in ENT Practice
5. Conclusions
Author Contributions
Funding
Institutional Review Board Statement
Informed Consent Statement
Data Availability Statement
Conflicts of Interest
Appendix A
| Study | Endoscopic Examination | Treatment/Intervention | Outcome | IgG4 Serum Level and Histopathology | Comprehensive Criteria | EULAR Criteria |
|---|---|---|---|---|---|---|
| Patient L.G.—current case | narrowing of laryngeal inlet; aryepiglottic folds thickening, hypertrophy of posterior commissure; limited mobility of vocal folds | (1) methotrexate (20 mg/week), changed to 150 mg azathioprine daily; prednisone (5 mg/day—starting from glucocorticoids pulses 3 × 1000 mg methylprednisolone, then 30 mg prednisone in descending doses). (2) cyclophosphamide (1 g for every 4 weeks); methylprednisolone (500 mg in pulses for 3 days and then 1 pulse for a month) | (1) poor toleration of methotrexate; after initial improvement stenosis increased; (2) significant improvement | IgG4 serum level >135 mg/dL; IgG4 in 50% of mononuclear cells of massive inflammatory infiltration from the biopsy specimens | definite diagnosis | 15 |
| Matsushima (2019) [8] | diffuse swelling—left arytenoid region, obscuring visualization of the glottis | (1) wide resection with CO2 laser; (2) tracheostomy (3) prednisolone (0.6 mg/kg/day); now 5 mg/day | reduction of tumor size after 2 weeks of treatment | serum IgG4 31 mg/dL; storiform fibrosis; >100 IgG4-positive plasma cells and 50% IgG4/IgG | probable diagnosis | ≥20 |
| Maughan (2020) patient 1: [7] | supraglottic and interarytenoid fibrosis | (1) balloon dilatation and microlaryngoscopy + laser excision + steroid injections; (2) oral prednisolone + azathioprine then switched for methotrexate; (3) laryngotracheal reconstruction | transient relief after 1 and 2 treatment; significant long-term improvement after treatment 3, back to oral intake and work | IgG4 serum level—normal; lymphoplasmocytic infiltrate, fibrosis, IgG4:IgG ratio 80% in biopsy specimens; | probable diagnosis | ≥20 |
| Maughan (2020) patient 2: [7] | supraglottic swelling | (1) balloon dilatation and microlaryngoscopy + laser excision + steroid injections; (2) immunomodulatory treatment then for 30 months patient declined treatment | (1) had to be repeated every 4–6 months (2) patient for 30 months remains in “watch and wait” approach | IgG4 serum level normal; subepithelial lymphoid infiltrate, plasma cells, 20% positive cells for IgG4 (50 IgG+ in high power field); | probable diagnosis | 4 |
| Maughan (2020) patient 3: [7] | supraglottic scarring; restricted arytenoid movement bilaterally | balloon dilatation and microlaryngoscopy + laser excision + steroid injections | dilatation repeated every 4 to 6 months; after the diagnosis patient got the prednisolone; however, no further follow up is described | chronic inflammation, fibrosis, IgG serology 0.9 range; ANCA- negative; confirmed on biopsy specimens | probable diagnosis | 13 |
| Hamadani (2016) [9] | mucus in the supraglottis, postcricoid region ulcer, laryngospasm | treatment not described | outcome not described | IgG lymphocytoid plasma-cell infiltrates, with >90% of IgG-positive plasma cells that were IgG4-positive | probable diagnosis | 8 |
| Ferrante (2017) [10] | anterior septal perforation, lateral nasal wall scarring, supraglottis cicatricial narrowing down to 4 mm in diameter | tracheostomy; prednisolone 40 mg/d lowered to 10 mg/d | slow improvement; decannulation after 16 months | 40 IgG4 plasma cells in high-powered field, storiform fibrosis, lymphoplasmatic mucositis | probable diagnosis | ≥20 |
| Reder (2015) patient 1: [11] | lesions on the base of tongue extending to aryepiglottic fold, right vocal process; | (1) laser excision of the lesion; (2) prednisolone 40 mg/day for 2 weeks; (3) rituximab 1 g—2 doses, 2 weeks apart, methylprednisolone 100 mg/day with every rituximab infusion | (1) second excision without long-term improvement; (2) poor toleration of prednisolone; (3) for 2 years patient remains in remission | IgG4 serum level: 196 mg/dL; polypoid squamous mucosa; diffuse storiform fibrosis, dense lymphoplasmacytic infiltrate; 50 IgG4-positive cells per high-power field; IgG4:IgG ratio > 0.50; | definite diagnosis | ≥20 |
| Reder (2015) patient 2: [11] | granular mucosa—base of the tongue and the epiglottis; keratosis, hyperplasia of the aryepiglottic folds, the false and true vocal cords | (1) 2 courses of prednisone 60 mg for 7 days, then 7-day taper; (2) rituximab 1 g—2 doses, 2 weeks apart, methylprednisolone 100 mg/day with every rituximab infusion | (1) “modest” clinical improvement; (2) significant improvement | serum level: 28.6 mg/dL; intense lymphoplasmacytic infiltrate and fibrosis; >100 IgG4-positive plasma cells; | probable diagnosis | ≥20 |
| Reder (2015) patient 3: [11] | ulcerative lesion of the left pharyngeal wall | rituximab 1 g—2 doses, 2 weeks apart, methylprednisolone 100 mg/day with every rituximab infusion | significant improvement; normalization of IgG4 serum concentration; | proliferative squamous mucosa with a lymphoplasmacytic infiltrate and storiform fibrosis; >50 IgG4-positive plasma cells; | probable diagnosis | ≥20 |
| Khoo (2014) [12] | supraglottic papilli- tumor involving the aryepiglottic folds bilaterally | 37.5 mg prednisolone daily for 6 weeks, then 25 mg for 6 weeks with dose reductions to 5 mg | significant improvement visualized in flexible laryngoscopy in 6 and 12 weeks | serum IgG4 level: 154 mg/dL; dense plasmacytoid infiltrate in the subepithelial tissue with lymphocytes; significant staining with IgG4, in some areas with >50 stained cells per high-power field; IgG4:IgG > 40%, | definite diagnosis | ≥20 |
| Jordan (2018) [15] | surgically absent palatine tonsils, enlarged lingual tonsils, thickened epiglottis and arytenoids, fullness in the piriform sinuses, supraglottis thickening | high-dose steroids and rituximab | stabilization of disease for 18 months; reduction of laryngeal findings | increased number of IgG4- positive cells with IgG/IgG4 ratio of 40% to 50% | probable diagnosis | 7 |
| Syed (2020) [21] | gross inflammation of the epiglottis and vocal cord dysfunction, | (1) azithromycin albuterol inhaler, histamine-2 receptor antagonist, proton pump inhibitor (PPI) (2) rituximab | (1) no effects; (2) resolution of symptoms | IgG4 serum level 29 mg/dL; patient previously diagnosed with IgG4-RD; PET scan showed increased uptake in the larynx and thoracic aorta; | definite diagnosis | ≥20 |
| Hill (2020) [13] | right arytenoid extending into the aryepiglottic fold, limiting the mobility of the right vocal fold | (1) doxycycline; (2) prednisone orally | (1) no effects; (2) resolution of symptoms | IgG4 serum level 133.6 mg/dL, inflammatory infiltrate and an increased plasma cell component | definite diagnosis | ≥20 |
References
- Umehara, H.; Okazaki, K.; Nakamura, T.; Satoh-Nakamura, T.; Nakajima, A.; Kawano, M.; Mimori, T.; Chiba, T. Current approach to the diagnosis of IgG4-related disease—Combination of comprehensive diagnostic and organ-specific criteria. Mod. Rheumatol. 2017, 27, 381–391. [Google Scholar] [CrossRef]
- Stone, J.H.; Zen, Y.; Deshpande, V. IgG4-related disease. N. Engl. J. Med. 2012, 366, 539–551. [Google Scholar] [CrossRef]
- Moura, M.C.; Gripaldo, R.; Baqir, M.; Ryu, J.H. Thoracic Involvement in IgG4-Related Disease. Semin. Respir. Crit. Care Med. 2020, 41, 202–213. [Google Scholar] [CrossRef]
- Stone, J.H.; Khosroshahi, A.; Deshpande, V.; Chan, J.K.C.; Heathcote, J.G.; Aalberse, R.; Azumi, A.; Bloch, D.; Brugge, W.R.; Carruthers, M.N.; et al. Recommendations for the nomenclature of IgG4-related disease and its individual organ system manifestations. Arthritis Care Res. 2012, 64, 3061–3067. [Google Scholar] [CrossRef]
- Ebbo, M.; Daniel, L.; Pavic, M.; Sève, P.; Hamidou, M.; Andres, E.; Burtey, S.; Chiche, L.; Serratrice, J.; Longy-Boursier, M.; et al. IgG4-Related Systemic Disease: Features and treatment response in a French cohort: Results of a multicenter registry. Medicine 2012, 91, 49–56. [Google Scholar] [CrossRef]
- Nair, S.; Nilakantan, A.; Sood, A.; Gupta, A.; Gupta, A. Challenges in the Management of Laryngeal Stenosis. Indian J. Otolaryngol. Head Neck Surg. 2015, 68, 294–299. [Google Scholar] [CrossRef]
- Maughan, E.F.; Michaels, J.; Miller, B.; Weir, J.; Salama, A.; Warner, E.; Ghufoor, K.; Sandhu, G.; Al Yaghchi, C. Primary Immunoglobulin G4-Related Laryngeal Disease: A Case Series and Review of Literature. Clin. Med. Insights Case Rep. 2020, 13, 1179547620960197. [Google Scholar] [CrossRef]
- Matsushima, K.; Ohira, S.; Matsui, H.; Fukuo, A.; Honma, N.; Wada, K.; Matsuura, K. IgG4-related disease with pseudotumor formation in the larynx. Auris Nasus Larynx 2019, 47, 305–308. [Google Scholar] [CrossRef]
- Hamadani, S.; Wang, B.; Gupta, S. P222 IGG4 related disease presenting as post cricoid ulcer of the larynx. Ann. Allergy Asthma Immunol. 2016, 117, S88. [Google Scholar] [CrossRef]
- Ferrante, S.S.; Wang, L.; Kurant, D.; Daniero, J. Laryngeal Immunoglobulin G4-Related Disease Resulting in Severe Airway Obstruction. JAMA Otolaryngol. Neck Surg. 2017, 143, 426–427. [Google Scholar] [CrossRef]
- Reder, L.; Della-Torre, E.; Stone, J.H.; Mori, M.; Song, P. Clinical Manifestations of IgG4-Related Disease in the Pharynx. Ann. Otol. Rhinol. Laryngol. 2014, 124, 173–178. [Google Scholar] [CrossRef] [PubMed]
- Khoo, J.F.; Batt, M.; Stimpson, P.; Safdar, A. Supraglottic immunoglobulin-G4 related plasma cell granuloma: Case report and literature review. Head Neck 2014, 36, E57–E59. [Google Scholar] [CrossRef]
- Hill, R.; Baiyee, D.; Rivero, A. Indolent Laryngeal Mass Causing Progressive Dysphagia. JAMA Otolaryngol. Neck Surg. 2020, 146, 298. [Google Scholar] [CrossRef]
- Syed, A.S.; E Colombo, R.; Syed, B.S.; Henning, P.M. Treatment-resistant cough: A rare manifestation of IgG4-related disease involving the larynx. BMJ Case Rep. 2020, 13, e237614. [Google Scholar] [CrossRef]
- Jordan, V.A.; Hernandez, L.P.H.; Cofer, S.A.; Roby, B.B. Pediatric Laryngeal Expression and Surgical Treatment of IgG4-Related Disease. JAMA Otolaryngol. Neck Surg. 2018, 144, 1183. [Google Scholar] [CrossRef]
- Umehara, H.; Okazaki, K.; Masaki, Y.; Kawano, M.; Yamamoto, M.; Saeki, T.; Matsui, S.; Yoshino, T.; Nakamura, S.; Kawa, S.; et al. Comprehensive diagnostic criteria for IgG4-related disease (IgG4-RD), 2011. Mod. Rheumatol. 2012, 22, 21–30. [Google Scholar] [CrossRef] [PubMed]
- Wallace, Z.S.; Naden, F.R.P.; Chari, S.; Choi, H.; Della-Torre, E.; Dicaire, J.; Hart, P.A.; Inoue, M.D.; Khosroshahi, A.; Kubota, K.; et al. The 2019 American College of Rheumatology/European League Against Rheumatism Classification Criteria for IgG4-Related Disease. Arthritis Rheumatol. 2019, 72, 7–19. [Google Scholar] [CrossRef] [PubMed]
- Moher, D.; Liberati, A.; Tetzlaff, J.; Altman, D.G.; Altman, D.; Antes, G.; Atkins, D.; Barbour, V.; Barrowman, N.; Berlin, J.A.; et al. Preferred reporting items for systematic reviews and meta-analyses: The PRISMA statement. PLoS Med. 2009, 6, e1000097. [Google Scholar]
- Wallace, Z.S.; Zhang, Y.; A Perugino, C.; Naden, R.; Choi, H.K.; Stone, J.H. Clinical phenotypes of IgG4-related disease: An analysis of two international cross-sectional cohorts. Ann. Rheum. Dis. 2019, 78, 406–412. [Google Scholar] [CrossRef] [PubMed]
- Völker, H.-U.; Scheich, M.; Zettl, A.; Hagen, R.; Müller-Hermelink, H.K.; Gattenlöhner, S. Laryngeal inflammatory myofibroblastic tumors: Different clinical appearance and histomorphologic presentation of one entity. Head Neck 2009, 32, 1573–1578. [Google Scholar] [CrossRef]
- Kamisawa, T.; Okazaki, K. Diagnosis and Treatment of IgG4-Related Disease. Poxviruses 2016, 401, 19–33. [Google Scholar] [CrossRef]
- Carruthers, M.N.; Khosroshahi, A.; Augustin, T.; Deshpande, V.; Stone, J.H. The diagnostic utility of serum IgG4 concentrations in IgG4-related disease. Ann. Rheum. Dis. 2014, 74, 14–18. [Google Scholar] [CrossRef]
- Peters, R.J.R.; Martin, H.; Virdee, A.; Fryer, E.; Bungay, H.; Rodriguez-Justo, M.; Chouhan, M.; Barnes, E.; Webster, G.; Culver, E.L. Correspondence on ‘The 2019 American College of Rheumatology/European League Against Rheumatism Classification Criteria for IgG4-Related Disease’. Ann. Rheum. Dis. 2020. [Google Scholar] [CrossRef] [PubMed]
- Cheuk, W.; Chan, J.K. Lymphadenopathy of IgG4-related disease: An underdiagnosed and overdiagnosed entity. Semin. Diagn. Pathol. 2012, 29, 226–234. [Google Scholar] [CrossRef] [PubMed]
- Danlos, F.-X.; Rossi, G.M.; Blockmans, D.; Emmi, G.; Kronbichler, A.; Durupt, S.; Maynard, C.; Luca, L.; Garrouste, C.; Lioger, B.; et al. Antineutrophil cytoplasmic antibody-associated vasculitides and IgG4-related disease: A new overlap syndrome. Autoimmun. Rev. 2017, 16, 1036–1043. [Google Scholar] [CrossRef] [PubMed]
- Erden, A.; Bolek, E.C.; Yardimci, K.G.; Kilic, L.; Bilgen, S.A.; Karadag, O. Do ANCA-associated vasculitides and IgG4-related disease really overlap or not? Int. J. Rheum. Dis. 2019, 22, 1926–1932. [Google Scholar] [CrossRef] [PubMed]
- Jennette, J.C.; Falk, R.J.; Bacon, P.A.; Basu, N.; Cid, M.C.; Ferrario, F.; Flores-Suarez, L.F.; Gross, W.L.; Guillevin, L.; Hagen, E.C.; et al. 2012 Revised International Chapel Hill Consensus Conference Nomenclature of Vasculitides. Arthritis Care Res. 2012, 65, 1–11. [Google Scholar] [CrossRef] [PubMed]
- Bloch, D.A.; Michel, B.A.; Hunder, G.G.; McShane, D.J.; Arend, W.P.; Do, L.H.C.; Edworthy, S.M.; Fauci, A.S.; Fries, J.F.; Leavitt, R.Y.; et al. The American College of Rheumatology 1990 criteria for the classification of vasculitis: Patients and methods. Arthritis Care Res. 1990, 33, 1068–1073. [Google Scholar] [CrossRef] [PubMed]
- Wojciechowska, J.; Krajewski, W.; Krajewski, P.; Kręcicki, T. Granulomatosis with Polyangiitis in Otolaryngologist Practice: A Review of Current Knowledge. Clin. Exp. Otorhinolaryngol. 2016, 9, 8–13. [Google Scholar] [CrossRef] [PubMed]
- Holle, J.U.; Gross, W.L.; Holl-Ulrich, K.; Ambrosch, P.; Noelle, B.; Both, M.; Csernok, E.; Moosig, F.; Schinke, S.; Reinhold-Keller, E. Prospective long-term follow-up of patients with localised Wegener’s granulomatosis: Does it occur as persistent disease stage? Ann. Rheum. Dis. 2010, 69, 1934–1939. [Google Scholar] [CrossRef]
- Knopf, A.; Chaker, A.; Stark, T.; Hofauer, B.; Lahmer, T.; Thürmel, K.; Bas, M. Clinical aspects of granulomatosis with polyangiitis affecting the head and neck. Eur. Arch. Oto-Rhino-Laryngol. 2015, 272, 185–193. [Google Scholar] [CrossRef] [PubMed]
- Al-Ammar, A.Y.; Yasin, S.S.; Al-Muhsen, S.Z.; Al-Saadi, M.M.; Al-Sohaibani, M.O. A laryngeal presentation of Churg--Strauss syndrome in childhood. Ann. Saudi Med. 2009, 29, 142–145. [Google Scholar] [CrossRef]
- Masi, A.T.; Hunder, G.G.; Lie, J.T.; Michel, B.A.; Bloch, D.A.; Arend, W.P.; Do, L.H.C.; Edworthy, S.M.; Fauci, A.S.; Leavitt, R.Y.; et al. The American College of Rheumatology 1990 criteria for the classification of churg-strauss syndrome (allergic granulomatosis and angiitis). Arthritis Care Res. 1990, 33, 1094–1100. [Google Scholar] [CrossRef] [PubMed]
- Suárez, L.F.F.; Alba, M.A.; Tona, G. Severe microscopic polyangiitis with unilateral vocal cord paralysis as initial manifestation. Colomb. Medica 2017, 48, 32–34. [Google Scholar] [CrossRef]
- Greco, A.; De Virgilio, A.; Rizzo, M.I.; Gallo, A.; Magliulo, G.; Fusconi, M.; Ruoppolo, G.; Tombolini, M.; Turchetta, R.; de Vincentiis, M. Microscopic polyangiitis: Advances in diagnostic and therapeutic approaches. Autoimmun. Rev. 2015, 14, 837–844. [Google Scholar] [CrossRef] [PubMed]
- Chang, S.Y.; Keogh, K.A.; Lewis, J.E.; Ryu, J.H.; Cornell, L.D.; Garrity, J.A.; Yi, E.S. IgG4-positive plasma cells in granulomatosis with polyangiitis (Wegener’s): A clinicopathologic and immunohistochemical study on 43 granulomatosis with polyangiitis and 20 control cases. Hum. Pathol. 2013, 44, 2432–2437. [Google Scholar] [CrossRef] [PubMed]
- Drobysheva, A.; Fuller, J.; Pfeifer, C.M.; Rakheja, D. Orbital Granulomatosis with Polyangiitis Mimicking IgG4-Related Disease in a 12-Year-Old Male. Int. J. Surg. Pathol. 2018, 26, 453–458. [Google Scholar] [CrossRef]
- Hamano, H.; Kawa, S.; Horiuchi, A.; Unno, H.; Furuya, N.; Akamatsu, T.; Fukushima, M.; Nikaido, T.; Nakayama, K.; Usuda, N.; et al. High Serum IgG4 Concentrations in Patients with Sclerosing Pancreatitis. N. Engl. J. Med. 2001, 344, 732–738. [Google Scholar] [CrossRef]
- Ebbo, M.; Grados, A.; Bernit, E.; Vély, F.; Boucraut, J.; Harlé, J.-R.; Daniel, L.; Schleinitz, N. Pathologies Associated with Serum IgG4 Elevation. Int. J. Rheumatol. 2012, 2012, 1–6. [Google Scholar] [CrossRef]
- Deshpande, V.; Zen, Y.; Chan, J.K.; E Yi, E.; Sato, Y.; Yoshino, T.; Klöppel, G.; Heathcote, J.G.; Khosroshahi, A.; A Ferry, J.; et al. Consensus statement on the pathology of IgG4-related disease. Mod. Pathol. 2012, 25, 1181–1192. [Google Scholar] [CrossRef]
- Yates, M.; A Watts, R.; Bajema, I.M.; Cid, M.C.; Crestani, B.; Hauser, T.; Hellmich, B.; Holle, J.U.; Laudien, M.; Little, M.; et al. EULAR/ERA-EDTA recommendations for the management of ANCA-associated vasculitis. Ann. Rheum. Dis. 2016, 75, 1583–1594. [Google Scholar] [CrossRef]
- Faz-Muñoz, D.; Hinojosa-Azaola, A.; Mejía-Vilet, J.M.; Uribe-Uribe, N.O.; Rull-Gabayet, M.; Muñoz-Castañeda, W.R.; Vargas-Parra, N.J.; Martín-Nares, E. ANCA-associated vasculitis and IgG4-related disease overlap syndrome: A case report and literature review. Immunol. Res. 2022, 70, 550–559. [Google Scholar] [CrossRef] [PubMed]
- Yunyun, F.; Yu, C.; Panpan, Z.; Hua, C.; Di, W.; Lidan, Z.; Linyi, P.; Li, W.; Qingjun, W.; Xuan, Z.; et al. Efficacy of Cyclophosphamide treatment for immunoglobulin G4-related disease with addition of glucocorticoids. Sci. Rep. 2017, 7, 1–8. [Google Scholar] [CrossRef] [PubMed]
- Colliard, A.; Ishii, A.; De Sandre, C.; Gorostidi, F.; Sandu, K. Decoding supraglottic stenosis. Eur. Arch. Oto-Rhino-Laryngol. 2020, 277, 293–300. [Google Scholar] [CrossRef] [PubMed]
- Krishna, P.D.; Malone, J.P. Isolated adult supraglottic stenosis: Surgical treatment and possible etiologies. Am. J. Otolaryngol. 2006, 27, 355–357. [Google Scholar] [CrossRef]
- Gallo, A.; Pagliuca, G.; Greco, A.; Martellucci, S.; Mascelli, A.; Fusconi, M.; De Vincentiis, M. Laryngotracheal stenosis treated with multiple surgeries: Experience, results and prognostic factors in 70 patients. Acta Otorhinolaryngol. Ital. Organo Uff. Soc. Ital. Otorinolaringol. Chir. Cerv.-Facc. 2012. [Google Scholar]
- Herrington, H.C.; Weber, S.M.; Andersen, P.E. Modern Management of Laryngotracheal Stenosis. Laryngoscope 2006, 116, 1553–1557. [Google Scholar] [CrossRef] [PubMed]
- Stevens, M.S.; Chang, A.; Simpson, C.B. Supraglottic Stenosis: Etiology and Treatment of a Rare Condition. Ann. Otol. Rhinol. Laryngol. 2013, 122, 205–209. [Google Scholar] [CrossRef]
- Daniero, J.J. Expanding perspectives in airway stenosis. JAMA Otolaryngol. Head Neck Surg. 2017, 143, 505–506. [Google Scholar] [CrossRef] [PubMed]






| Study | Sex, Age | Symptoms | Co-Morbidities | Disease Location | Endoscopic Examination | Treatment/Intervention | Outcome | IgG4 Serum Level and Histopathology | Comprehensive Criteria | EULAR Criteria |
|---|---|---|---|---|---|---|---|---|---|---|
| Patient L.G.—current case | F, 72 | dyspnea at rest, cough, globus symptoms | hypothyroidism, glaucoma | supraglottic region | laryngeal inlet narrowing; hypertrophy; limited mobility of vocal folds | (1) methotrexate changed to azathioprine; prednisone; (2) cyclophosphamide; methylprednisolone | (1) poor toleration of methotrexate; stenosis progressed; (2) significant improvement | SL > 135 mg/dL; IgG4 in 50% of mononuclear cells | D | 15 |
| Matsushima (2019) [8] | M, 50 | dyspnea; snoring | cerebral infarction, retroperitoneal fibrosis | left arytenoid region | diffuse swelling | (1) CO2 laser resection and tracheostomy; (2) prednisolone | 1 and 2: improvement | SL 31 mg/dL; storiform fibrosis; >100 IgG4+ plasma cells; 50% IgG4:IgG | P | ≥20 |
| Maughan (2020) patient 1: [7] | F, 52 | dyspnea; biphasic stridor | not reported | supraglottic, region | visible fibrosis | (1) balloon dilatation, excision, steroids; (2) prednisolone, azathioprine changed to methotrexate; (3) laryngotracheal reconstruction | transient relief after 1 and 2; (3) improvement | SL—normal; lymphoplasmocytic infiltrate, fibrosis, IgG4:IgG 80% | P | ≥20 |
| Maughan (2020) patient 2: [7] | M, 76 | dysphagia, dysphonia | asbestos exposure, hypothyroidism, gastritis, H. pylori infection | supraglottic region | swelling | (1) balloon dilatation, laser excision, steroids; (2) immunomodulatory treatment | (1) repeated every 4–6 months (2) improvement | SL—normal; lymphoid infiltrate, plasma cells, 20% IgG4+ cells (50 IgG+ in HPF); | P | 4 |
| Maughan (2020) patient 3: [7] | M, 49 | dysphonia; inspratory stridor | GI reflux, allergic rhinitis | supraglottic region | scarring, restricted arytenoid movement bilaterally | (1) balloon dilatation, laser excision, steroid injections; (2) prednisolone | (1) repeated dilatations; (2) follow up not described | SL—0.9 range; inflammation, fibrosis, ANCA- negative; | P | 13 |
| Hamadani (2016) [9] | F, 54 | dysphagia, odynophagia, weight loss; dysphonia; | rheumatoid arthritis, liver cirrhosis, portal hypertension, | supraglottic, postcricoid region | visible mucus, postcricoid ulcer, laryngospasm | not described | not described | IgG lymphocytoid plasma-cell infiltrates, >90% IgG+ plasma cells | P | 8 |
| Ferrante (2017) [10] | F, 70 | stridor, dyspnea at rest, dysphonia, dysphagia | Sjögren’s syndrome, rheumatoid arthritis, Felty syndrome, COPD | supraglottic region; nasopharynx; | anterior septal perforation, nasal wall scarring, supraglottic stenosis | tracheostomy; prednisolone | slow improvement; decannulation after 16 months | 40 IgG4 plasma cells HPF, storiform fibrosis, lymphoplasmatic mucositis | P | ≥20 |
| Reder (2015) patient 1: [11] | M, 58 | throat discomfort, dysphonia | semicircular canal dehiscence | supraglottis, right vocal process, aryepiglottic fold | visible lesions | (1) laser excision; (2) prednisolone; (3) rituximab, methylprednisolone | (1) no long-term improvement; (2) poor toleration; (3) remission | Sl—196 mg/dL; storiform fibrosis, lymphoplasmacytic infiltrate; 50 IgG4+ cells per HPF; IgG4:IgG > 0.50; | D | ≥20 |
| Reder (2015) patient 2: [11] | M, 62 | cough, dysphagia, dysphonia | primary scleros- ing cholangitis, ulcerative colitis, and colorectal cancer | supraglottic region | granular mucosa, keratosis, hyperplasia | (1) prednisone; (2) rituximab, methylprednisolone | (1) “modest” clinical improvement; (2) significant improvement | SL—28.6 mg/dL; lymphoplasmacytic infiltrate and fibrosis; >100 IgG4+ cells; | P | ≥20 |
| Reder (2015) patient 3: [11] | F, 50 | throat discomfort | hypertension and GI reflux disease | supraglottic region | ulcerative lesion of the left pharyngeal wall | Rituximab, methylprednisolone | significant improvement; normalization of IgG4 serum concentration; | lymphoplasmacytic infiltrate, storiform fibrosis; >50 IgG4+ plasma cells; | P | ≥20 |
| Khoo (2014) [12] | M, 62 | cough, dysphagia, odynophagia, dysphonia, otalgia, | not reported | supraglottic region, aryepiglottic folds | supraglottic papilli- tumor involving the aryepiglottic folds bilaterally | prednisolone | significant improvement visualized in flexible laryngoscopy at 6 and 12 weeks | SL—154 mg/dL; plasmacytoid infiltrate; >50 IgG4+ cells per HPF; IgG4:IgG > 40%, | D | ≥20 |
| Jordan (2018) [15] | F, pediatric patient | dysphonia, globus symptoms, dysphagia | patient without comorbidities | epiglottis, arytenoids | thickening of tissues | rituximab, high-dose steroids | stabilization of disease for 18 months; reduction of laryngeal findings | increased number of IgG4+ cells with IgG:IgG4 40% to 50% | P | 7 |
| Syed (2020) [14] | M, 69 | cough, dysphonia and dyspnea | multivessel coronary artery disease, lacunar cerebrovascular accident, hypertension, hyperlipidemia, benign prostatic hyperplasia | lacrimal gland, pancreas, epiglottis, vocal cord | epiglottic inflammation, vocal cord dysfunction, | (1) azithromycin, albuterol, histamine-2 receptor antagonist, PPI; (2) rituximab | (1) no effects; (2) improvement | SL—29 mg/dL; previous IgG4-RD diagnosis | D | ≥20 |
| Hill (2020) [13] | M, 29 | odynophagia, dysphonia, dysphagia | reactive airway disease | arytenoid, aryepiglottic fold | limited mobility of the vocal fold | (1) doxycycline; (2) prednisone | (1) no effects; (2) improvement | Sl—133.6 mg/dL, inflammatory infiltrate, increased plasma cell component | D | ≥20 |
Publisher’s Note: MDPI stays neutral with regard to jurisdictional claims in published maps and institutional affiliations. |
© 2022 by the authors. Licensee MDPI, Basel, Switzerland. This article is an open access article distributed under the terms and conditions of the Creative Commons Attribution (CC BY) license (https://creativecommons.org/licenses/by/4.0/).
Share and Cite
Barańska, M.; Makowska, J.; Wągrowska-Danilewicz, M.; Pietruszewska, W. Supraglottic Localization of IgG4-Related Disease—Rare and Challenging Equity. J. Pers. Med. 2022, 12, 1223. https://doi.org/10.3390/jpm12081223
Barańska M, Makowska J, Wągrowska-Danilewicz M, Pietruszewska W. Supraglottic Localization of IgG4-Related Disease—Rare and Challenging Equity. Journal of Personalized Medicine. 2022; 12(8):1223. https://doi.org/10.3390/jpm12081223
Chicago/Turabian StyleBarańska, Magda, Joanna Makowska, Małgorzata Wągrowska-Danilewicz, and Wioletta Pietruszewska. 2022. "Supraglottic Localization of IgG4-Related Disease—Rare and Challenging Equity" Journal of Personalized Medicine 12, no. 8: 1223. https://doi.org/10.3390/jpm12081223
APA StyleBarańska, M., Makowska, J., Wągrowska-Danilewicz, M., & Pietruszewska, W. (2022). Supraglottic Localization of IgG4-Related Disease—Rare and Challenging Equity. Journal of Personalized Medicine, 12(8), 1223. https://doi.org/10.3390/jpm12081223

