Defect Coverage after Forequarter Amputation—A Systematic Review Assessing Different Surgical Approaches
Abstract
:1. Introduction
2. Methods
3. Results
3.1. Literature Search
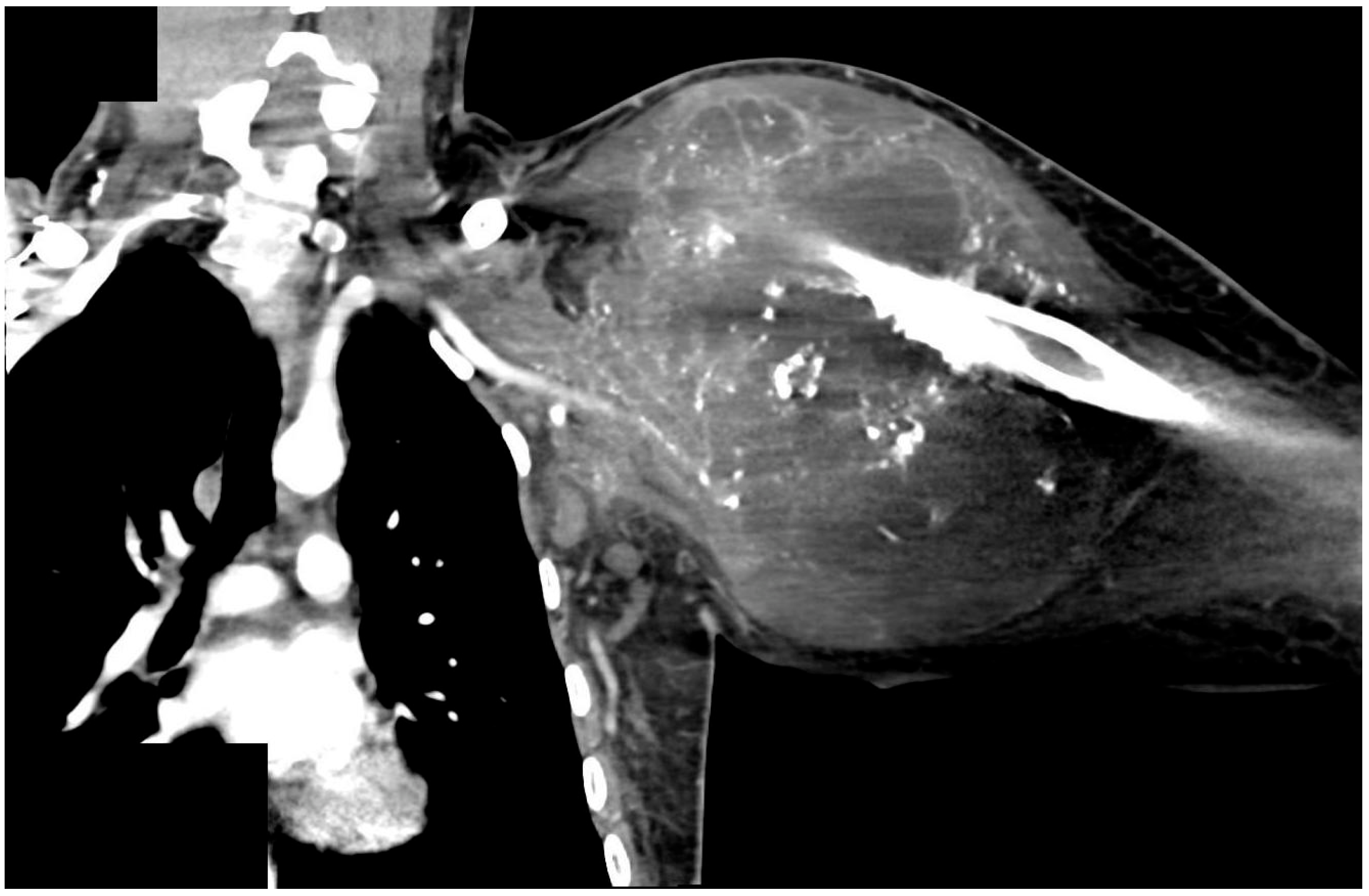
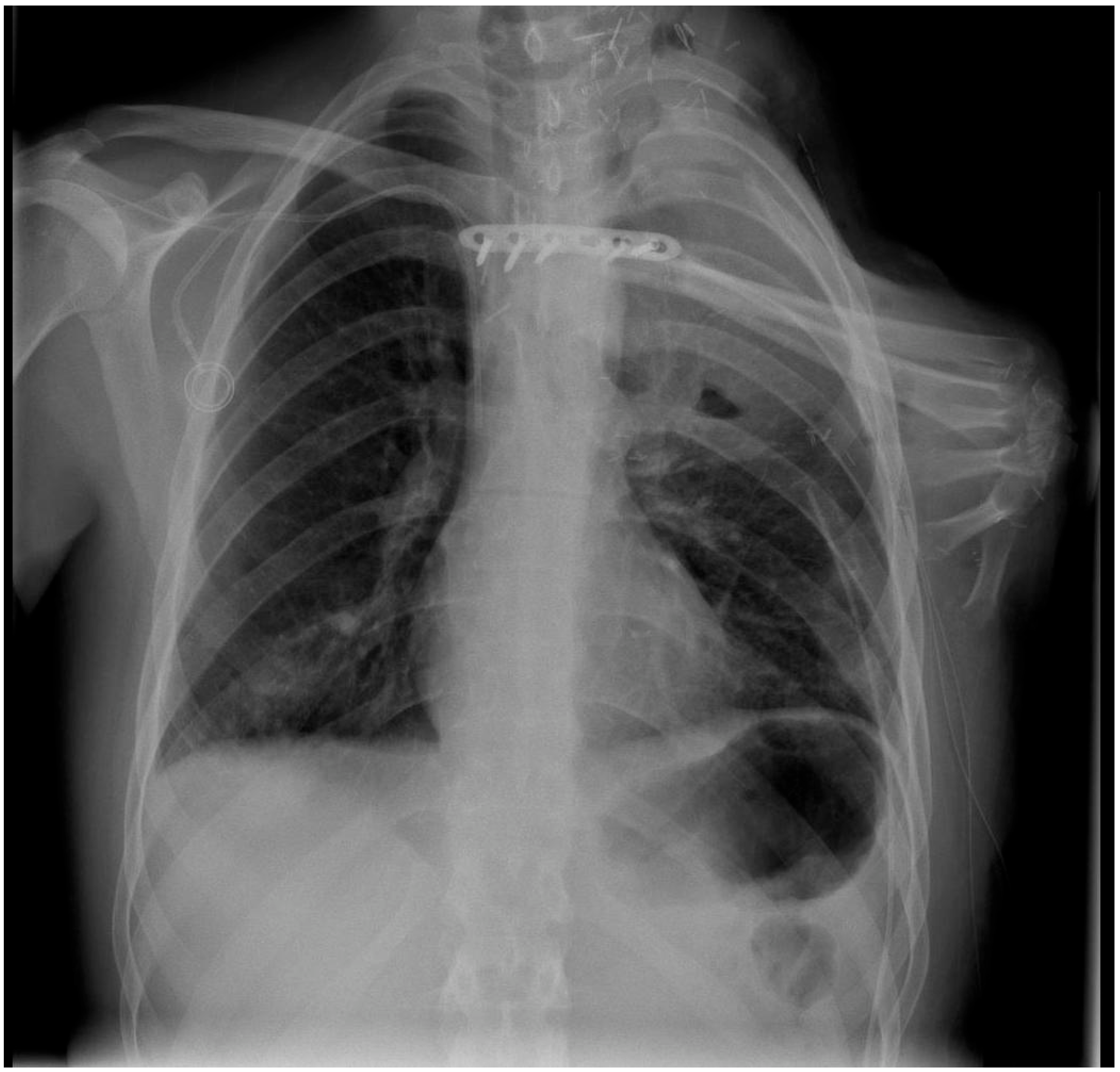
3.2. Case Report
4. Discussion
5. Conclusions
Author Contributions
Funding
Institutional Review Board Statement
Informed Consent Statement
Data Availability Statement
Conflicts of Interest
References
- Isakoff, M.S.; Bielack, S.S.; Meltzer, P.; Gorlick, R. Osteosarcoma: Current Treatment and a Collaborative Pathway to Success. J. Clin. Oncol. 2015, 33, 3029–3035. [Google Scholar] [CrossRef] [PubMed] [Green Version]
- Steinau, H.U.; Germann, G.; Klein, W.; Roehrl, S.P.; Josten, C. The “Epaulette” Flap: Replantation of Osteomyocutaneous Forearm Segments in Interscapulothoracic Amputations. Eur. J. Plast. Surg. 1992, 15, 283–288. [Google Scholar] [CrossRef]
- Anbarasan, A.; Mohamad, N.H.; Mariapan, S. Open Traumatic Scapulothoracic Dissociation: Case Report of a Rare Injury. Trauma Case Rep. 2018, 18, 42–45. [Google Scholar] [CrossRef] [PubMed]
- Wittig, J.C.; Bickels, J.; Kollender, Y.; Kellar-Graney, K.L.; Meller, I.; Malawer, M.M. Palliative Forequarter Amputation for Metastatic Carcinoma to the Shoulder Girdle Region: Indications, Preoperative Evaluation, Surgical Technique, and Results. J. Surg. Oncol. 2001, 77, 105–113. [Google Scholar] [CrossRef]
- Ayyala, H.S.; Mohamed, O.M.; Therattil, P.J.; Lee, E.S.; Keith, J.D. The Forearm Fillet Flap: ‘Spare Parts’ Reconstruction for Forequarter Amputations. Case Rep. Plast. Surg. Hand Surg. 2019, 6, 95–98. [Google Scholar] [CrossRef]
- Cordeiro, P.G.; Cohen, S.; Burt, M.; Brennan, M.F. The Total Volar Forearm Musculocutaneous Free Flap for Reconstruction of Extended Forequarter Amputations. Ann. Plast. Surg. 1998, 40, 388–396. [Google Scholar] [CrossRef]
- Tukiainen, E.; Barner-Rasmussen, I.; Popov, P.; Kaarela, O. Forequarter Amputation and Reconstructive Options. Ann. Plast. Surg. 2020, 84, 651–656. [Google Scholar] [CrossRef]
- Pierrie, S.N.; Gaston, R.G.; Loeffler, B.J. Current Concepts in Upper-Extremity Amputation. J. Hand Surg. Am. 2018, 43, 657–667. [Google Scholar] [CrossRef]
- Mioton, L.M.; Dumanian, G.A. Targeted Muscle Reinnervation and Prosthetic Rehabilitation after Limb Loss. J. Surg. Oncol. 2018, 118, 807–814. [Google Scholar] [CrossRef]
- Bowen, J.B.; Ruter, D.; Wee, C.; West, J.; Valerio, I.L. Targeted Muscle Reinnervation Technique in Below-Knee Amputation. Plast. Reconstr. Surg. 2019, 143, 309–312. [Google Scholar] [CrossRef]
- Bowen, J.B.; Wee, C.E.; Kalik, J.; Valerio, I.L. Targeted Muscle Reinnervation to Improve Pain, Prosthetic Tolerance, and Bioprosthetic Outcomes in the Amputee. Adv. Wound Care 2017, 6, 261–267. [Google Scholar] [CrossRef] [PubMed] [Green Version]
- Cheesborough, J.E.; Smith, L.H.; Kuiken, T.A.; Dumanian, G.A. Targeted Muscle Reinnervation and Advanced Prosthetic Arms. Semin. Plast. Surg. 2015, 29, 62–72. [Google Scholar] [CrossRef] [PubMed] [Green Version]
- Elmaraghi, S.; Albano, N.J.; Israel, J.S.; Michelotti, B.F. Targeted Muscle Reinnervation in the Hand: Treatment and Prevention of Pain After Ray Amputation. J. Hand Surg. Am. 2019, 45, 884.e1–884.e6. [Google Scholar] [CrossRef] [PubMed]
- Moher, D.; Liberati, A.; Tetzlaff, J.; Altman, D.G.; Altman, D.; Antes, G.; Atkins, D.; Barbour, V.; Barrowman, N.; Berlin, J.A.; et al. Preferred Reporting Items for Systematic Reviews and Meta-Analyses: The PRISMA Statement. Ann. Intern. Med. 2009, 151, 264–269. [Google Scholar] [CrossRef] [Green Version]
- Küntscher, M.V.; Erdmann, D.; Homann, H.H.; Steinau, H.U.; Levin, S.L.; Germann, G. The Concept of Fillet Flaps: Classification, Indications, and Analysis of Their Clinical Value. Plast. Reconstr. Surg. 2001, 108, 885–896. [Google Scholar] [CrossRef]
- Kuhn, J.A.; Wagman, L.D.; Lorant, J.A.; Grannis, F.W.; Dunst, M.; Dougherty, W.R.; Jacobs, D.I. Radical Forequarter Amputation with Hemithoracectomy and Free Extended Forearm Flap: Technical and Physiologic Considerations. Ann. Surg. Oncol. 1994, 1, 353–359. [Google Scholar] [CrossRef]
- Osanai, T.; Kashiwa, H.; Ishikawa, A.; Takahara, M.; Ogino, T. Improved Shoulder Contour Following Forequarter Amputation with an Osteomyocutaneous Free Flap from the Amputated Extremity: Two Cases. Br. J. Plast. Surg. 2005, 58, 165–169. [Google Scholar] [CrossRef]
- Koulaxouzidis, G.; Simunovic, F.; Stark, G.B. Shoulder Silhouette and Axilla Reconstruction with Free Composite Elbow Tissue Transfer Following Interscapulothoracic Amputation. J. Plast. Reconstr. Aesthet. Surg. 2014, 67, 81–86. [Google Scholar] [CrossRef]
- Bielack, S.S.; Werner, M.; Tunn, P.U.; Helmke, K.; Jürgens, H.; Calaminus, G.; Gerss, J.; Butterfass-Bahloul, T.; Reichardt, P.; Smeland, S.; et al. Methotrexate, Doxorubicin, and Cisplatin (MAP) plus Maintenance Pegylated Interferon Alfa-2b versus MAP Alone in Patients with Resectable High-Grade Osteosarcoma and Good Histologic Response to Preoperative MAP: First Results of the EURAMOS-1 Good Respons. J. Clin. Oncol. 2015, 33, 2279–2287. [Google Scholar] [CrossRef]
- Marina, N.; Bielack, S.; Whelan, J.; Smeland, S.; Krailo, M.; Sydes, M.R.; Butterfass-Bahloul, T.; Calaminus, G.; Bernstein, M. International Collaboration Is Feasible in Trials for Rare Conditions: The EURAMOS Experience. Cancer Treat. Res. 2009, 152, 573–575. [Google Scholar] [CrossRef]
- Lehnhardt, M.; Hirche, C.; Daigeler, A.; Goertz, O.; Ring, A.; Hirsch, T.; Drücke, D.; Hauser, J.; Steinau, H.U. Weichgewebssarkome Der Oberen Extremität: Analyse Prognoserelevanter Faktoren Bei 160 Patienten. Chirurg 2012, 83, 143–152. [Google Scholar] [CrossRef] [PubMed]
- Zeller, J.; Kiefer, J.; Braig, D.; Winninger, O.; Dovi-Akue, D.; Herget, G.W.; Stark, G.B.; Eisenhardt, S.U. Efficacy and Safety of Microsurgery in Interdisciplinary Treatment of Sarcoma Affecting the Bone. Front. Oncol. 2019, 9, 1–9. [Google Scholar] [CrossRef] [PubMed] [Green Version]
- Gomez-brouchet, A.; Mascard, E.; Siegfried, A.; De Pinieux, G.; Gaspar, N.; Bouvier, C.; Aubert, S.; Marec-bérard, P.; Piperno-neumann, S.; Marie, B.; et al. Assessment of Resection Margins in Bone Sarcoma Treated by Neoadjuvant Chemotherapy: Literature Review and Guidelines of the Bone Group ( GROUPOS ) of the French Sarcoma Group and Bone Tumor Study Group (GSF-GETO/RESOS). Orthop. Traumatol. Surg. Res. 2019, 105, 773–780. [Google Scholar] [CrossRef] [PubMed]
- Elsner, U.; Henrichs, M.; Gosheger, G.; Dieckmann, R.; Nottrott, M.; Hardes, J.; Streitbürger, A. Forequarter Amputation: A Safe Rescue Procedure in a Curative and Palliative Setting in High-Grade Malignoma of the Shoulder Girdle. World J. Surg. Oncol. 2016, 14, 4–11. [Google Scholar] [CrossRef] [Green Version]
- Dragu, A.; Hohenberger, W.; Lang, W.; Schmidt, J.; Horch, R.E. Forequarter amputation of the right upper chest: Limitations of ultra radical interdisciplinary oncological surgery. Chirurg 2011, 82, 834–838. [Google Scholar] [CrossRef]
- O’Connor, B.; Collins, F.J. The Management of Chest Wall Resection in a Patient with Polyostotic Fibrous Dysplasia and Respiratory Failure. J. Cardiothorac. Vasc. Anesth. 2009, 23, 518–521. [Google Scholar] [CrossRef]
- Jakubietz, R.G.; Jakubietz, M.G.; Kloss, D.F.; Gruenert, J.G. Combination of a Total Free Forearm Flap and a Sensate Local Flap for Preservation of the Shoulder Girdle in Massive, Nonreplantable Upper Extremity Injuries. J. Trauma Acute Care Surg. 2009, 66, 561–563. [Google Scholar] [CrossRef]
- Scaglioni, M.F.; Lindenblatt, N.; Barth, A.A.; Fuchs, B.; Weder, W.; Giovanoli, P. Free Fillet Flap Application to Cover Forequarter or Traumatic Amputation of an Upper Extremity: A Case Report. Microsurgery 2016, 36, 700–704. [Google Scholar] [CrossRef]
- Ver Halen, J.P.; Yu, P.; Skoracki, R.J.; Chang, D.W. Reconstruction of Massive Oncologic Defects Using Free Fillet Flaps. Plast. Reconstr. Surg. 2010, 125, 913–922. [Google Scholar] [CrossRef]
- Steinau, H.U.; Germann, G.; Klein, W.; Josten, C. The Epaulette Flap: Replantation of Osteomyocutaneous Forearm Segments in Interscapulo-Thoracic Amputation. Chirurg 1992, 63, 368–372. [Google Scholar]
- Netscher, D.T.; Baumholtz, M.A. Chest Reconstruction: I. Anterior and Anterolateral Chest Wall and Wounds Affecting Respiratory Function. Plast. Reconstr. Surg. 2009, 124, 240–252. [Google Scholar] [CrossRef] [PubMed]
- Gonfiotti, A.; Santini, P.F.; Campanacci, D.; Innocenti, M.; Ferrarello, S.; Caldarella, A.; Janni, A. Malignant Primary Chest-Wall Tumours: Techniques of Reconstruction and Survival. Eur. J. Cardio-Thorac. Surg. 2010, 38, 39–45. [Google Scholar] [CrossRef] [PubMed] [Green Version]
- Lardinois, D.; Müller, M.; Furrer, M.; Banic, A.; Gugger, M.; Krueger, T.; Ris, H.B. Functional Assessment of Chest Wall Integrity after Methylmethacrylate Reconstruction. Ann. Thorac. Surg. 2000, 69, 919–923. [Google Scholar] [CrossRef]
- Arnold, P.G.; Pairolero, P.C. Chest-Wall Reconstruction: An Account of 500 Consecutive Patients. Plast. Reconstr. Surg. 1996, 98, 804–810. [Google Scholar] [CrossRef]
- Hazel, K.; Weyant, M.J. Chest Wall Resection and Reconstruction: Management of Complications. Thorac. Surg. Clin. 2015, 25, 517–521. [Google Scholar] [CrossRef]
- Huang, H.; Kitano, K.; Nagayama, K.; Nitadori, J.I.; Anraku, M.; Murakawa, T.; Nakajima, J. Results of Bony Chest Wall Reconstruction with Expanded Polytetrafluoroethylene Soft Tissue Patch. Ann. Thorac. Cardiovasc. Surg. 2015, 21, 119–124. [Google Scholar] [CrossRef] [Green Version]
- Thomas, M.; Shen, K.R. Primary Tumors of the Osseous Chest Wall and Their Management. Thorac. Surg. Clin. 2017, 27, 181–193. [Google Scholar] [CrossRef]
- Dietz, U.A.; Spor, L.; Germer, C.-T. Management of mesh-related infections. Chirurg. 2011, 82, 208–217. [Google Scholar] [CrossRef]
- Volpe, C.M.; Peterson, S.; Doerr, R.J.; Karakousis, C.P. Forequarter Amputation with Fasciocutaneous Deltoid Flap Reconstruction for Malignant Tumors of the Upper Extremity. Ann. Surg. Oncol. 1997, 4, 298–302. [Google Scholar] [CrossRef]
- Ferrario, T.; Palmer, P.; Karakousis, C.P. Technique of Forequarter (Interscapulothoracic) Amputation. Clin. Orthop. Relat. Res. 2004, 423, 191–195. [Google Scholar] [CrossRef]
- Skoracki, R.J.; Chang, D.W. Reconstruction of the Chestwall and Thorax. J. Surg. Oncol. 2006, 94, 455–465. [Google Scholar] [CrossRef] [PubMed]
- Lasso, J.M.; Uceda, M.; Peñalver, R.; Moreno, N.; Casteleiro, R.; Cano, R.P. Large Posterior Chest Wall Defect Reconstructed with a De-Epithelised Trans-Thoracic TRAM Flap. J. Plast. Reconstr. Aesthet. Surg. 2010, 63, e458-62. [Google Scholar] [CrossRef] [PubMed]
- Kishi, K.; Imanishi, N.; Ninomiya, R.; Okabe, K.; Ohara, H.; Hattori, N.; Nakajima, H.; Nakajima, T. A Novel Approach to Thoracic Wall Reconstruction Based on a Muscle Perforator. J. Plast. Reconstr. Aesthet. Surg. 2010, 63, 1289–1293. [Google Scholar] [CrossRef] [PubMed]
- Hubmer, M.; Leithner, A.; Kamolz, L.P. Re: Shoulder Silhouette and Axilla Reconstruction with Free Composite Elbow Tissue Transfer Following Interscapulothoracic Amputation. J. Plast. Reconstr. Aesthet. Surg. 2014, 67, e232–e233. [Google Scholar] [CrossRef]
- Wilks, D.J.; Hassan, Z.; Bhasker, D.; Kay, S.P.J. Re: Shoulder Silhouette and Axilla Reconstruction with Free Composite Elbow Tissue Transfer Following Interscapulothoracic Amputation. J. Plast. Reconstr. Aesthet. Surg. 2014, 67, 1162–1164. [Google Scholar] [CrossRef]
- Kuffler, D.P. Coping with Phantom Limb Pain. Mol. Neurobiol. 2018, 55, 70–84. [Google Scholar] [CrossRef]
- Luo, Y.; Anderson, T.A. Phantom Limb Pain A Review of the Literature. Int. Anesthesiol. Clin. 2016, 54, 121–139. [Google Scholar] [CrossRef]
- Dumanian, G.A.; Potter, B.K.; Mioton, L.M.; Ko, J.H.; Cheesborough, J.E.; Souza, J.M.; Ertl, W.J.; Tintle, S.M.; Nanos, G.P.; Valerio, I.L.; et al. Targeted Muscle Reinnervation Treats Neuroma and Phantom Pain in Major Limb Amputees: A Randomized Clinical Trial. Ann. Surg. 2019, 270, 238–246. [Google Scholar] [CrossRef]
- Mioton, L.M.; Dumanian, G.A.; Shah, N.; Qiu, C.S.; Ertl, W.J.; Potter, B.K.; Souza, J.M.; Valerio, I.L.; Ko, J.H.; Jordan, S.W. Targeted Muscle Reinnervation Improves Residual Limb Pain, Phantom Limb Pain, and Limb Function: A Prospective Study of 33 Major Limb Amputees. Clin. Orthop. Relat. Res. 2020, 478, 2161–2167. [Google Scholar] [CrossRef]
- Valerio, I.L.; Dumanian, G.A.; Jordan, S.W.; Mioton, L.M.; Bowen, J.B.; West, J.M.; Porter, K.; Ko, J.H.; Souza, J.M.; Potter, B.K. Preemptive Treatment of Phantom and Residual Limb Pain with Targeted Muscle Reinnervation at the Time of Major Limb Amputation. J. Am. Coll. Surg. 2019, 228, 217–226. [Google Scholar] [CrossRef] [Green Version]
- Souza, J.M.; Cheesborough, J.E.; Ko, J.H.; Cho, M.S.; Kuiken, T.A.; Dumanian, G.A. Targeted Muscle Reinnervation: A Novel Approach to Postamputation Neuroma Pain. Clin. Orthop. Relat. Res. 2014, 472, 2984–2990. [Google Scholar] [CrossRef] [PubMed] [Green Version]
- Windhager, R.; Millesi, H.; Kotz, R. Resection-Replantation for Primary Malignant Tumours of the Arm. An Alternative to Fore-Quarter Amputation. J. Bone Joint Surg. Br. 1995, 77, 176–184. [Google Scholar] [CrossRef] [PubMed]
- Rickelt, J.; Hoekstra, H.; Van Coevorden, F.; De Vreeze, R.; Verhoef, C.; Van Geel, A.N. Forequarter Amputation for Malignancy. Br. J. Surg. 2009, 96, 792–798. [Google Scholar] [CrossRef] [PubMed]
- Heuker, D.; Lengele, B.; Delecluse, V.; Weynand, B.; Liistro, G.; Balduyck, B.; Noirhomme, P.; Poncelet, A.J. Subjective and Objective Assessment of Quality of Life after Chest Wall Resection. Eur. J. Cardio-Thorac. Surg. 2011, 39, 102–108. [Google Scholar] [CrossRef]
- Hickman, R.L.J.; Daly, B.J.; Douglas, S.L.; Clochesy, J.M. Informational Coping Style and Depressive Symptoms in Family Decision Makers. Am. J. Crit. Care 2010, 19, 410–420. [Google Scholar] [CrossRef]





| Ref. | Indication | Anastomosis | Reconstruction | Outcome |
|---|---|---|---|---|
| Steinau et al. (1992) [2] | 46 year old male with 8th local recurrence of a chondrosarcoma (T3 N0 M0 G2) with infiltration of the brachial plexus and the thoracic wall. Palliative FQA with resection of ¾ of ribs 1–5 and partial removal of the sternum | Brachial artery to subclavian artery; brachial and superficial vein to the bifurcation of the external jugular vein | Fixation of radius and ulna with interosseous wires to remaining parts of the sternum and the sixth rib for thoracic wall stabilization | Exitus letalis 13 months after surgery due to bilateral pulmonary metastases |
| 22 year old male, recurrence of osteosarcoma (T3 N1 M0 G3), palliative FQA | Brachial artery to subclavian artery; brachial and superficial vein to the bifurcation of the external jugular vein | Radius and ulna were attached to the sternum and the thoracic wall with K-wires and strong circumferential wires | Revision due to an infected hematoma. Development of bilateral pulmonary metastases two months after surgery | |
| 30 year old male, traumatic interscapulothoracic avulsion accident | Brachial artery to subclavian artery; brachial vein to subclavian vein and a superficial vein to the external jugular vein | Fixation of the Olecranon to the stump of the clavicle and the radius and ulna to the thoracic wall. Both with K-wires | No complications; wears a passive prosthetic replacement | |
| Kuhn et al. (1994) [16] | 21 year old male with an extensive recurrent desmoid tumor involving the chest wall from the clavicle to the 8th rib. Extensive FQA including ipsilateral hemithoracectomy and pneumectomy | Brachial artery to subclavian artery; cephalic vein to. internal jugular vein and basilic vein to innominate vein | Free forearm fillet flap with attachment of the ulna to the 2nd and 9th rib with screws and miniplates. The radius was removed completely | No complications; returned to work three months after surgery |
| Osanai et al. (2005) [17] | 16 year old male with osteosarcoma, palliative FQA | Brachial artery to subclavian artery; brachial vein to subclavian vein | Plate osteosynthesis between the humerus and clavicle, 90° flexed elbow for shoulder contour reconstruction | Exitus letalis six months after surgery due to multiple pulmonary metastases |
| 56 year old female, primary malignant cystosarcoma phyllodes of the breast with local progression, extensive FQA including chest wall and rib resection (ribs 2 to 4) | Brachial artery to suprascapular artery; brachial vein to suprascapular vein | Insertion of the end of the clavicle into the enlarged marrow cavity of the humerus and fixation with nonabsorbable sutures, 90° flexed elbow for shoulder contour reconstruction | No evidence of local recurrence 10 months after surgery | |
| Koulaxouzidis et al. (2014) [18] | 46 year old male, traumatic FQA | Brachial artery to subclavian artery; Cubital vein to subclavian vein | Plate osteosynthesis between humerus and clavicle, 90° flexed elbow for shoulder contour reconstruction | Partial necrosis, three revision surgeries and split-thickness skin grafts |
| 59 year old female, radiation induced soft tissue sarcoma (pT2a, N0, M0, G3) with infiltration of the brachial plexus and ulceration, extended FQA including the lateral third of the clavicle | Brachial artery to subclavian artery; cubital vein to subclavian vein | Cerclage wire osteosynthesis of the humerus to the middle third of the clavicle, 90° flexed elbow for shoulder contour reconstruction | Three revision surgeries due to arterial thrombosis, wound dehiscence, and partial necrosis of the flap. No local recurrence or metastasis in two-year follow up | |
| 73 year old female, radiogenic sarcoma with invasion of the brachial and cervical plexus, the scapula, lateral clavicle, first three ribs and the apex of the lung, extended FQA including resection of the first three ribs and lung apex | Brachial artery to internal thoracic artery; brachial vein to internal thoracic vein | Cerclage wire osteosynthesis of the humerus to the middle third of the clavicle, 90° flexed elbow for shoulder contour reconstruction | No complications; the patient died 14 years after surgery from a sarcoma-unrelated causes | |
| 57 year old female, loco-regional persistence of an infiltrating lobular carcinoma of the breast 16 years after initial diagnosis and therapy. FQA was necessary due to infiltration of the brachial plexus and stenosis of the brachial vessels, infiltration of the biceps, triceps, and infraspinatus muscle as well as the scapula | Brachial artery to subclavian artery; cephalic vein to subclavian vein and brachial vein to external jugular vein | Plate osteosynthesis between humerus and clavicle, 90° flexed elbow for shoulder contour reconstruction | R1 resection, leading to re-excision with intraoperative radiation. Loco-regional recurrence after six years requiring another re-excision and adjuvant chemotherapy. Again, four years later the patient presented with cervical lymph node metastases leading to neck dissection. Subsequently, one year later, tumor recurrence at the thoracic wall |
| Indication | Anastomosis | Reconstruction | TMR | Outcome |
|---|---|---|---|---|
| 25 year old male with central chondroblastic osteosarcoma (cT2 cN0, cM1), extended FQA, including resection of the clavicle and the first three ribs | Brachial artery to thoracoacromial artery and cephalic vein to subclavian vein | Plate osteosynthesis between radius and sternum, 90° flexed wrist and fixation sutures between metacarpals and the lateral thoracic wall | Nerve coaptation between superior trunk and median nerve, middle trunk and radial nerve, and inferior trunk and ulnar nerve | Discharged after 11 days, stable osseous framework, Exitus letalis three months after surgery due to disseminated, primarily pulmonal, metastases |
Publisher’s Note: MDPI stays neutral with regard to jurisdictional claims in published maps and institutional affiliations. |
© 2022 by the authors. Licensee MDPI, Basel, Switzerland. This article is an open access article distributed under the terms and conditions of the Creative Commons Attribution (CC BY) license (https://creativecommons.org/licenses/by/4.0/).
Share and Cite
Ehrl, D.; Wachtel, N.; Braig, D.; Kuhlmann, C.; Dürr, H.R.; Schneider, C.P.; Giunta, R.E. Defect Coverage after Forequarter Amputation—A Systematic Review Assessing Different Surgical Approaches. J. Pers. Med. 2022, 12, 560. https://doi.org/10.3390/jpm12040560
Ehrl D, Wachtel N, Braig D, Kuhlmann C, Dürr HR, Schneider CP, Giunta RE. Defect Coverage after Forequarter Amputation—A Systematic Review Assessing Different Surgical Approaches. Journal of Personalized Medicine. 2022; 12(4):560. https://doi.org/10.3390/jpm12040560
Chicago/Turabian StyleEhrl, Denis, Nikolaus Wachtel, David Braig, Constanze Kuhlmann, Hans Roland Dürr, Christian P. Schneider, and Riccardo E. Giunta. 2022. "Defect Coverage after Forequarter Amputation—A Systematic Review Assessing Different Surgical Approaches" Journal of Personalized Medicine 12, no. 4: 560. https://doi.org/10.3390/jpm12040560
APA StyleEhrl, D., Wachtel, N., Braig, D., Kuhlmann, C., Dürr, H. R., Schneider, C. P., & Giunta, R. E. (2022). Defect Coverage after Forequarter Amputation—A Systematic Review Assessing Different Surgical Approaches. Journal of Personalized Medicine, 12(4), 560. https://doi.org/10.3390/jpm12040560

