Amyloid A Amyloidosis Secondary to Thymoma
Abstract
1. Introduction
2. Case Report
2.1. Clinical Findings
2.2. Laboratory Findings
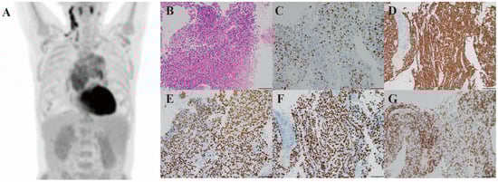
2.3. Histopathological Findings
3. Discussion
4. Conclusions
Author Contributions
Funding
Institutional Review Board Statement
Informed Consent Statement
Data Availability Statement
Conflicts of Interest
References
- Pinney, J.H.; Lachmann, H.J. Systemic AA Amyloidosis. In Subcell Biochem; Springer: Dordrecht, The Netherlands, 2012; Volume 65, pp. 541–564. [Google Scholar] [CrossRef]
- Magy-Bertrand, N.; Dupond, J.L.; Mauny, F.; Dupond, A.S.; Duchene, F.; Gil, H.; Kantelip, B. Incidence of amyloidosis over 3 years: The AMYPRO study. Clin. Exp. Rheumatol. 2008, 26, 1074–1078. [Google Scholar]
- Gueutin, V.; Langlois, A.L.; Shehwaro, N.; Elharraqui, R.; Rouvier, P.; Izzedine, H. Nephrotic Syndrome Associated with Lung Cancer: A Rare Case of Malignancy Associated with AA Amyloidosis. Case Rep. Nephrol. 2013, 2013, 831903. [Google Scholar] [CrossRef]
- Beck, H.I.; Andersen, J.A.; Birkler, N.E.; Ottosen, P.D. Giant basal cell carcinoma with metastasis and secondary amyloidosis: Report of case. Acta Derm. Venereol. 1983, 63, 564–567. [Google Scholar] [CrossRef]
- Soni, A.; Batta, N.; Mehmi, S.; Narang, V.; Garg, B.; Kaur, H. Secondary amyloidosis with concomitant gastric GIST and gastric adenocarcinoma—A case report. Indian J. Pathol. Microbiol. 2023, 66, 594–596. [Google Scholar] [CrossRef]
- Babu, A.; Lachmann, H.; Pickett, T.; Boddana, P.; Ludeman, L. Renal cell carcinoma presenting as AA amyloidosis: A case report and review of the literature. CEN Case Rep. 2014, 3, 68–74. [Google Scholar] [CrossRef]
- Lachmann, H.J.; Goodman, H.J.; Gilbertson, J.A.; Gallimore, J.R.; Sabin, C.A.; Gillmore, J.D.; Hawkins, P.N. Natural history and outcome in systemic AA amyloidosis. N. Engl. J. Med. 2007, 356, 2361–2371. [Google Scholar] [CrossRef] [PubMed]
- Wechalekar, A.D.; Gillmore, J.D.; Hawkins, P.N. Systemic amyloidosis. Lancet 2016, 387, 2641–2654. [Google Scholar] [CrossRef] [PubMed]
- Gertz, M.A.; Kyle, R.A. Secondary systemic amyloidosis: Response and survival in 64 patients. Medicine 1991, 70, 246–256. [Google Scholar] [CrossRef]
- Papa, R.; Lachmann, H.J. Secondary, AA, Amyloidosis. Rheum. Dis. Clin. North Am. 2018, 44, 585–603. [Google Scholar] [CrossRef]
- Jamilloux, Y.; Frih, H.; Bernard, C.; Broussolle, C.; Petiot, P.; Girard, N.; Sève, P. Thymoma and autoimmune diseases. Rev. Med. Interne 2018, 39, 17–26. [Google Scholar] [CrossRef] [PubMed]
- Dictor, M.; Hasserius, R. Systemic amyloidosis and non-hematologic malignancy in a large autopsy series. Acta Pathol. Microbiol. Scand. Sect. A Pathol. 1981, 89, 411–416. [Google Scholar] [CrossRef]
- Azzopardi, J.G.; Lehner, T. Systemic amyloidosis and malignant disease. J. Clin. Pathol. 1966, 19, 539–548. [Google Scholar] [CrossRef]
- Bharati, J.; Lahoud, O.B.; Jhaveri, K.D.; Izzedine, H. AA amyloidosis associated with cancers. Nephrol. Dial. Transpl. 2023, 38, 1366–1374. [Google Scholar] [CrossRef] [PubMed]
- Hazard, J.B.; Hawk, W.A.; Crile, G., Jr. Medullary (solid) carcinoma of the thyroid; a clinicopathologic entity. J. Clin. Endocrinol. Metab. 1959, 19, 152–161. [Google Scholar] [CrossRef]
- Fujisawa, H.; Ohashi, A.; Ohta, J.; Muraki, N.; Nakano, Y.; Sugita, K.; Ishihara, S.; Kumagai, J.; Fukutomi, T.; Nagahama, K. Cervical cancer of the uterus complicated by renal AA amyloidosis. CEN Case Rep. 2021, 10, 115–120. [Google Scholar] [CrossRef]
- Thysell, H.; Ingvar, C.; Gustafson, T.; Holmin, T. Systemic reactive amyloidosis caused by hepatocellular adenoma. A Case report. J. Hepatol. 1986, 2, 450–457. [Google Scholar] [CrossRef]
- Richmond, I.; Hasleton, P.S.; Samadian, S. Systemic amyloid associated with carcinoma of the bronchus. Thorax 1990, 45, 156–157. [Google Scholar] [CrossRef]
- Fernandez-Miranda, C.; Mateo, S.; Gonzalez-Gomez, C.; Ballestin, C. Systemic amyloidosis and ovarian carcinoma. Postgrad. Med. J. 1994, 70, 505–506. [Google Scholar] [CrossRef] [PubMed]
- Chiaramonte, M.F.; Lee, D.; Abruzzo, L.V.; Heyman, M.; Bass, B.L. Retroperitoneal follicular dendritic cell sarcoma presenting as secondary amyloidosis. Surgery 2001, 130, 109–111. [Google Scholar] [CrossRef] [PubMed]
- Agha, I.; Mahoney, R.; Beardslee, M.; Liapis, H.; Cowart, R.G.; Juknevicius, I. Systemic amyloidosis associated with pleomorphic sarcoma of the spleen and remission of nephrotic syndrome after removal of the tumor. Am. J. Kidney Dis. 2002, 40, 411–415. [Google Scholar] [CrossRef]
- Kanat, O.; Evrensel, T.; Filiz, G.; Usta, M.; Baskan, E.; Dilek, K.; Manavoglu, O. Systemic AA amyloidosis and nephrotic syndrome associated with small cell carcinoma of the bladder. Nephrol. Dial. Transpl. 2003, 18, 2453–2454. [Google Scholar] [CrossRef]
- Garthwaite, E.A.; Sellars, L.; Bhandari, S. Carcinoma of the bronchus presenting as renal failure secondary to amyloidosis. Nephrol. Dial. Transpl. 2003, 18, 1031. [Google Scholar] [CrossRef]
- Nobata, H.; Suga, N.; Itoh, A.; Miura, N.; Kitagawa, W.; Morita, H.; Yokoi, T.; Banno, S.; Imai, H. Systemic AA amyloidosis in a patient with lung metastasis from renal cell carcinoma. Amyloid 2012, 19, 197–200. [Google Scholar] [CrossRef]
- Dervisoglu, E.; Ozturk, M.; Tuncay, M.; Dervisoglu, G.K.; Gurbuz, Y.; Derin, S. The Hidden Cost of Untreated Paragangliomas of the Head and Neck: Systemic Reactive (AA) Amyloidosis. Case Rep. Nephrol. 2015, 2015, 250604. [Google Scholar] [CrossRef]
- Wang, J.; Zhao, B.; Song, T.; Sun, J. Lung cancer combined with diffuse peritoneal and mesenteric amyloidosis detected on 18F-FDG PET/CT: A case report. Medicine 2021, 100, e25961. [Google Scholar] [CrossRef]
- Obara, K.; Amoh, Y. A case of AA amyloidosis complicated by proliferating pilomatricoma and a review of the literature. J. Dermatol. 2024, 51, 1360–1363. [Google Scholar] [CrossRef] [PubMed]
- Takamori, S.; Yano, H.; Hayashi, A.; Fukunaga, M.; Miwa, K.; Maeshiro, K.; Shirouzu, K. Amyloid tumor in the anterior mediastinum: Report of a case. Surg. Today 2004, 34, 518–520. [Google Scholar] [CrossRef]
- Kato, Y.; Okuda, M.; Fukuda, K.; Tanaka, N.; Yoshizawa, A.; Saika, Y.; Haruna, Y.; Kitaguchi, S.; Nohara, R. Sclerosing thymoma-like thymic amyloidoma with nephrotic syndrome: A case report. J. Med. Case Rep. 2017, 11, 216. [Google Scholar] [CrossRef] [PubMed]
- Tomida, A.; Yano, M.; Setogawa, T.; Katsuya, R.; Furuta, C.; Ozeki, N.; Fukui, T. Thymic Amyloidosis Mimicking Thymoma: A Case Report. Surg. Case Rep. 2025, 11, cr-25. [Google Scholar] [CrossRef] [PubMed]
- Chiu, A.; Dasari, S.; Nasr, S.H.; Dispenzieri, A.; Dao, L.N.; Dalland, J.C.; Howard, M.T.; Larson, D.P.; Rech, K.L.; Theis, J.D.; et al. Salivary gland amyloidosis: Proteomic identification and clinicopathologic characterization of 57 cases. Hum. Pathol. 2024, 151, 105628. [Google Scholar] [CrossRef]
- Gilbertson, J.A.; Theis, J.D.; Vrana, J.A.; Lachmann, H.; Wechalekar, A.; Whelan, C.; Hawkins, P.N.; Dogan, A.; Gillmore, J.D. A comparison of immunohistochemistry and mass spectrometry for determining the amyloid fibril protein from formalin-fixed biopsy tissue. J. Clin. Pathol. 2015, 68, 314–317. [Google Scholar] [CrossRef] [PubMed]
- Rezk, T.; Gilbertson, J.A.; Mangione, P.P.; Rowczenio, D.; Rendell, N.B.; Canetti, D.; Lachmann, H.J.; Wechalekar, A.D.; Bass, P.; Hawkins, P.N.; et al. The complementary role of histology and proteomics for diagnosis and typing of systemic amyloidosis. J. Pathol. Clin. Res. 2019, 5, 145–153. [Google Scholar] [CrossRef] [PubMed]
- Fernández de Larrea, C.; Verga, L.; Morbini, P.; Klersy, C.; Lavatelli, F.; Foli, A.; Obici, L.; Milani, P.; Capello, G.L.; Paulli, M.; et al. A practical approach to the diagnosis of systemic amyloidoses. Blood 2015, 125, 2239–2244. [Google Scholar] [CrossRef] [PubMed]
- Brambilla, F.; Lavatelli, F.; Di Silvestre, D.; Valentini, V.; Rossi, R.; Palladini, G.; Obici, L.; Verga, L.; Mauri, P.; Merlini, G. Reliable typing of systemic amyloidoses through proteomic analysis of subcutaneous adipose tissue. Blood 2012, 119, 1844–1847. [Google Scholar] [CrossRef]
- Fattorossi, A.; Battaglia, A.; Buzzonetti, A.; Minicuci, G.; Riso, R.; Peri, L.; Scambia, G.; Evoli, A. Thymopoiesis, regulatory T cells, and TCRVbeta expression in thymoma with and without myasthenia gravis, and modulatory effects of steroid therapy. J. Clin. Immunol. 2008, 28, 194–206. [Google Scholar] [CrossRef]
- Ao, Y.Q.; Jiang, J.H.; Gao, J.; Wang, H.K.; Ding, J.Y. Recent thymic emigrants as the bridge between thymoma and autoimmune diseases. Biochim. Biophys. Acta Rev. Cancer 2022, 1877, 188730. [Google Scholar] [CrossRef]
- Hoffacker, V.; Schultz, A.; Tiesinga, J.J.; Gold, R.; Schalke, B.; Nix, W.; Kiefer, R.; Müller-Hermelink, H.K.; Marx, A. Thymomas alter the T-cell subset composition in the blood: A potential mechanism for thymoma-associated autoimmune disease. Blood 2000, 96, 3872–3879. [Google Scholar] [CrossRef]
- Souadjian, J.V.; Enriquez, P.; Silverstein, M.N.; Pépin, J.M. The spectrum of diseases associated with thymoma. Coincidence or syndrome? Arch. Intern. Med. 1974, 134, 374–379. [Google Scholar] [CrossRef]
- Bernard, C.; Frih, H.; Pasquet, F.; Kerever, S.; Jamilloux, Y.; Tronc, F.; Guibert, B.; Isaac, S.; Devouassoux, M.; Chalabreysse, L.; et al. Thymoma associated with autoimmune diseases: 85 cases and literature review. Autoimmun. Rev. 2016, 15, 82–92. [Google Scholar] [CrossRef]
- Mollaeian, A.; Haas, C. A tale of autoimmunity: Thymoma, thymectomy, and systemic lupus erythematosus. Clin. Rheumatol. 2020, 39, 2227–2234. [Google Scholar] [CrossRef]
- Westermark, G.T.; Fändrich, M.; Westermark, P. AA amyloidosis: Pathogenesis and targeted therapy. Annu. Rev. Pathol. 2015, 10, 321–344. [Google Scholar] [CrossRef]
- Calderaro, J.; Letouzé, E.; Bayard, Q.; Boulai, A.; Renault, V.; Deleuze, J.F.; Bestard, O.; Franco, D.; Zafrani, E.S.; Nault, J.C.; et al. Systemic AA Amyloidosis Caused by Inflammatory Hepatocellular Adenoma. N. Engl. J. Med. 2018, 379, 1178–1180. [Google Scholar] [CrossRef]
- Suzuki, M.; Shinagawa, N.; Oizumi, S.; Fugo, K.; Nishimura, M. Interleukin-6-producing undifferentiated thymic carcinoma with neuroendocrine features. Lung Cancer 2009, 63, 425–429. [Google Scholar] [CrossRef]
- Urieli-Shoval, S.; Finci-Yeheskel, Z.; Dishon, S.; Galinsky, D.; Linke, R.P.; Ariel, I.; Levin, M.; Ben-Shachar, I.; Prus, D. Expression of serum amyloid a in human ovarian epithelial tumors: Implication for a role in ovarian tumorigenesis. J. Histochem. Cytochem. 2010, 58, 1015–1023. [Google Scholar] [CrossRef]
- Matsumura, N.; Shiiki, H.; Saito, N.; Uramoto, H.; Hanatani, M.; Nonaka, H.; Nakamura, S. Interleukin-6-producing thymic squamous cell carcinoma associated with Castleman’s disease and nephrotic syndrome. Intern. Med. 2002, 41, 871–874. [Google Scholar] [CrossRef]
- Courties, A.; Grateau, G.; Philippe, P.; Flipo, R.M.; Astudillo, L.; Aubry-Rozier, B.; Fabreguet, I.; Fahd, W.; Fain, O.; Guggenbuhl, P.; et al. AA amyloidosis treated with tocilizumab: Case series and updated literature review. Amyloid 2015, 22, 84–92. [Google Scholar] [CrossRef]
- Liu, D.; Zhang, P.; Zhao, J.; Yang, L.; Wang, W. Identification of Molecular Characteristics and New Prognostic Targets for Thymoma by Multiomics Analysis. Biomed. Res. Int. 2021, 2021, 5587441. [Google Scholar] [CrossRef]
- Fernández-Nebro, A.; Olivé, A.; Castro, M.C.; Varela, A.H.; Riera, E.; Irigoyen, M.V.; García de Yébenes, M.J.; García-Vicuña, R. Long-term TNF-alpha blockade in patients with amyloid A amyloidosis complicating rheumatic diseases. Am. J. Med. 2010, 123, 454–461. [Google Scholar] [CrossRef]
- Dember, L.M.; Hawkins, P.N.; Hazenberg, B.P.; Gorevic, P.D.; Merlini, G.; Butrimiene, I.; Livneh, A.; Lesnyak, O.; Puéchal, X.; Lachmann, H.J.; et al. Eprodisate for the treatment of renal disease in AA amyloidosis. N. Engl. J. Med. 2007, 356, 2349–2360. [Google Scholar] [CrossRef]
- Richards, D.B.; Cookson, L.M.; Berges, A.C.; Barton, S.V.; Lane, T.; Ritter, J.M.; Fontana, M.; Moon, J.C.; Pinzani, M.; Gillmore, J.D.; et al. Therapeutic Clearance of Amyloid by Antibodies to Serum Amyloid P Component. N. Engl. J. Med. 2015, 373, 1106–1114. [Google Scholar] [CrossRef]


| Parameter | Value | Normal Range |
|---|---|---|
| White blood cell (×109/L) | 9.72 | 3.5–9.5 |
| Hemoglobin (g/L) | 63 | 130–175 |
| Platelet (×109/L) | 422 | 125–350 |
| C-reactive protein (mg/L) | 71 | 0–10 |
| Carcinoembryonic antigen (ng/mL) | 0.97 | 0–5 |
| Interleukin-6 (pg/mL) | 25.4 | 0–7 |
| Alanine aminotransferase (U/L) | 22 | 9–50 |
| Aspartate aminotransferase (U/L) | 28 | 15–40 |
| Serum total protein (g/L) | 108.2 | 65–85 |
| Serum albumin (g/L) | 25.70 | 40–55 |
| Serum creatinine (umol/L) | 173.49 | 57–97 |
| Blood urea nitrogen (mmol/L) | 12.54 | 3.1–8.0 |
| 24 h urine protein (mg/24 h) | 2360.45 | 0–150 |
| N-terminal probrain natriuretic peptide (pg/mL) | 19247 | 0–125 |
| High-sensitivity cardiac Troponin T (pg/mL) | 100.9 | 0–14 |
| Serum immunoglobulin | ||
| IgG (g/L) | 81.34 | 7–16 |
| IgA (g/L) | 10.43 | 0.7–4 |
| IgM (g/L) | 3.72 | 0.4–2.3 |
| κ-chain (g/L) | 20.86 | 0.93–2.42 |
| λ-chain (g/L) | 12.13 | 1.17–2.93 |
| Serum free light chains | ||
| κ-chain (mg/L) | 231.41 | 3.3–19.40 |
| λ-chain (mg/L) | 242.44 | 5.71–26.30 |
| κ/λ ratio | 0.9545 | 0.26–1.65 |
| Author, Year | Cancer Type | Involved Organs | Outcome |
|---|---|---|---|
| Beck et al., 1983 [4] | Basal cell carcinoma | Kidneys, the lymph nodes, the spleen | Improvement |
| Thysell et al., 1986 [17] | Hepatocellular adenoma | Kidney, liver vessels | Nephrotic syndrome resolved, normal renal function |
| Richmond et al., 1990 [18] | Bronchial carcinoma | Kidney | Died |
| Miranda et al., 1994 [19] | Ovarian carcinoma | Rectal and renal | Died of postoperative renal insufficiency |
| Chiaramonte et al., 2002 [20] | Retroperitoneal follicular dendritic cell sarcoma | Liver | Died of metastatic tumor. |
| Agha et al., 2002 [21] | Pleomorphic sarcoma of the spleen | Kidney, cardiac | Proteinuria declined, clinical improvement |
| Kanat., 2003 [22] | Small cell carcinoma of the bladder | Rectal and renal | Died of progressive disease |
| Garthwaite et al., 2003 [23] | Bronchial squamous cell carcinoma | Kidney | Hemodialysis |
| Nobata et al., 2012 [24] | Metastatic lung tumor from RCC | Kidney | Hemodialysis |
| Gueutin et al., 2013 [3] | NSCLC | Kidney | Renal function worsening |
| Babu et al., 2014 [6] | RCC | Kidney, gastrointestinal tract, liver, spleen | Dialysis-dependent, systemic improvement |
| Dervisoglu et al., 2015 [25] | Paragangliomas | Kidney and rectal | Died of progressive disease |
| Fujisawa et al., 2021 [16] | Cervical cancer of the uterus | Kidney, gastrointestinal tract | Remission after resection, later relapse |
| Wang et al., 2021 [26] | Lung squamous cell carcinoma | Peritoneum, mesentery | Died of respiratory infection |
| Soni et al., 2023 [5] | Gastric adenocarcinoma occurred with concomitant gastric GIST | Spleen | Not applicable |
| Obara et al., 2024 [27] | Proliferating pilomatricoma | Gastrointestinal tract (colon, ileum, rectum) | Remission of amyloidosis |
Disclaimer/Publisher’s Note: The statements, opinions and data contained in all publications are solely those of the individual author(s) and contributor(s) and not of MDPI and/or the editor(s). MDPI and/or the editor(s) disclaim responsibility for any injury to people or property resulting from any ideas, methods, instructions or products referred to in the content. |
© 2025 by the authors. Licensee MDPI, Basel, Switzerland. This article is an open access article distributed under the terms and conditions of the Creative Commons Attribution (CC BY) license (https://creativecommons.org/licenses/by/4.0/).
Share and Cite
Li, M.; Yao, S.; Zeng, L.; Wang, J. Amyloid A Amyloidosis Secondary to Thymoma. Diagnostics 2025, 15, 3040. https://doi.org/10.3390/diagnostics15233040
Li M, Yao S, Zeng L, Wang J. Amyloid A Amyloidosis Secondary to Thymoma. Diagnostics. 2025; 15(23):3040. https://doi.org/10.3390/diagnostics15233040
Chicago/Turabian StyleLi, Mengyuan, Su Yao, Lingji Zeng, and Jinghua Wang. 2025. "Amyloid A Amyloidosis Secondary to Thymoma" Diagnostics 15, no. 23: 3040. https://doi.org/10.3390/diagnostics15233040
APA StyleLi, M., Yao, S., Zeng, L., & Wang, J. (2025). Amyloid A Amyloidosis Secondary to Thymoma. Diagnostics, 15(23), 3040. https://doi.org/10.3390/diagnostics15233040

