Diagnostic Challenges of Traumatic Ulcerative Granuloma with Stromal Eosinophilia in the Hard Palate
Abstract
1. Introduction
2. Materials and Methods
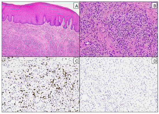
3. Case Presentation
4. Results
5. Discussion
6. Conclusions
Author Contributions
Funding
Informed Consent Statement
Conflicts of Interest
References
- Elzay, R.P. Traumatic ulcerative granuloma with stromal eosinophilia (Riga-Fede’s disease and traumatic eosinophilic granuloma). Oral Surg. Oral Med. Oral Pathol. 1983, 55, 497–506. [Google Scholar] [CrossRef] [PubMed]
- Marszalek, A.; Neska-Dlugosz, I. Traumatic ulcerative granuloma with stromal eosinophilia. A case report and short literature review. Pol. J. Pathol. 2011, 62, 172–175. [Google Scholar] [PubMed]
- Chandra, S.; Raju, S.; Sah, K.; Anand, P. Traumatic ulcerative granuloma with stromal eosinophilia. Arch. Iran. Med. 2014, 17, 91–94. [Google Scholar]
- Boffano, P.; Gallesio, C.; Campisi, P.; Roccia, F. Traumatic ulcerative granuloma with stromal eosinophilia of the retromolar region. J. Craniofac Surg. 2009, 20, 2150–2152. [Google Scholar] [CrossRef]
- Fonseca, F.P.; de Andrade, B.A.; Coletta, R.D.; Vargas, P.A.; Lopes, M.A.; de Almeida, O.P.; Santos-Silva, A.R. Clinicopathological and immunohistochemical analysis of 19 cases of oral eosinophilic ulcers. Oral Surg. Oral Med. Oral Pathol. Oral Radiol. 2013, 115, 532–540. [Google Scholar] [CrossRef]
- Shapiro, L.; Juhlin, E.A. Eosinophilic ulcer of the tongue report of two cases and review of the literature. Dermatologica 1970, 140, 242–250. [Google Scholar] [CrossRef]
- Elovic, A.E.; Gallagher, G.T.; Kabani, S.; Galli, S.J.; Weller, P.F.; Wong, D.T. Lack of TGF-alpha and TGF-beta 1 synthesis by human eosinophils in chronic oral ulcers. Oral Surg. Oral Med. Oral Pathol. Oral Radiol. Endod. 1996, 81, 672–681. [Google Scholar] [CrossRef]
- Xiao, H.; Zhang, J.; Xu, Z.; Feng, Y.; Zhang, M.; Liu, J.; Chen, R.; Shen, J.; Wu, J.; Lu, Z.; et al. Metformin is a novel suppressor for transforming growth factor (TGF)-β1. Sci. Rep. 2016, 6, 28597. [Google Scholar] [CrossRef] [PubMed] [PubMed Central]
- Gagari, E.; Stathopoulos, P.; Katsambas, A.; Avgerinou, G. Traumatic ulcerative granuloma with stromal eosinophilia: A lesion with alarming histopathologic presentation and benign clinical course. Am. J. Dermatopathol. 2011, 33, 192–194. [Google Scholar] [CrossRef]
- Setti, G.; Martella, E.; Mancini, C.; Vescovi, P.; Magnoni, C.; Bellini, P.; Giovannacci, I.; Meleti, M. Self-healing CD30-T-clonal proliferation of the tongue: Report of an extremely rare case. BMC Oral Health. 2019, 19, 186. [Google Scholar] [CrossRef]
- Alobeid, B.; Pan, L.X.; Milligan, L.; Budel, L.; Frizzera, G. Eosinophil-rich CD30+ lymphoproliferative disorder of the oral mucosa. A form of “traumatic eosinophilic granuloma”. Am. J. Clin. Pathol. 2004, 121, 43–50. [Google Scholar] [CrossRef] [PubMed]
- Segura, S.; Romero, D.; Mascaro, J.M., Jr.; Colomo, L.; Ferrando, J.; Estrach, T. Eosinophilic ulcer of the oral mucosa: Another histological simulator of CD30+ lymphoproliferative disorders. Br. J. Dermatol. 2006, 155, 460–463. [Google Scholar] [CrossRef] [PubMed]
- Knoth, W. Eosinophiles Granulom der Oberkieferscheimhaut nut desseminierten. Granuloma eosinophilicum cutis des Gesichtcs und der Brust. Z. Haut. Geschlechtskr. 1960, 28, 5–8. [Google Scholar]
- Sklavounou, A.; Laskaris, G. Eosinophilic ulcer of the oral mucosa. Oral Surg. Oral Med. Oral Pathol. 1984, 58, 431–436. [Google Scholar] [CrossRef]
- el-Mofty, S.K.; Swanson, P.E.; Wick, M.R.; Miller, A.S. Eosinophilic ulcer of the oral mucosa. Report of 38 new cases with immunohistochemical observations. Oral Surg. Oral Med. Oral Pathol. 1993, 75, 716–722. [Google Scholar] [CrossRef]
- Chung, H.S.; Kim, N.S.; Kim, Y.B.; Kang, W.H. Eosinophilic ulcer of oral mucosa. Int. J. Dermatol. 1998, 37, 432. [Google Scholar] [CrossRef]
- Shokravi, A.; Ozcan, K.; Ko, Y.C.K. Traumatic ulcerative granuloma with stromal eosinophilia of the soft palate: An unusual clinical presentation. JAAD Case Rep. 2022, 29, 169–172. [Google Scholar] [CrossRef]
- Hirshberg, A.; Amariglio, N.; Akrish, S.; Yahalom, R.; Rosenbaum, H.; Okon, E.; Kaplan, I. Traumatic ulcerative granuloma with stromal eosinophilia: A reactive lesion of the oral mucosa. Am. J. Clin. Pathol. 2006, 126, 522–529. [Google Scholar] [CrossRef]
- Smith, M.H.; Vargo, R.J.; Bilodeau, E.A.; Anderson, K.M.; Trzcinska, A.; Canterbury, C.R.; Fantasia, J.E.; Rawal, Y.B. Oral Manifestations of Syphilis: A Review of the Clinical and Histopathologic Characteristics of a Reemerging Entity with Report of 19 New Cases. Head. Neck Pathol. 2021, 15, 787–795. [Google Scholar] [CrossRef]
- Hale, R.G.; Tucker, D.I. Head and neck manifestations of tuberculosis. Oral Maxillofac. Surg. Clin. North. Am. 2008, 20, 635–642. [Google Scholar] [CrossRef] [PubMed]
- Dojcinov, S.D.; Venkataraman, G.; Raffeld, M.; Pittaluga, S.; Jaffe, E.S. EBV Positive Mucocutaneous Ulcer—A Study of 26 Cases Associated with Various Sources of Immunosuppression. Am. J. Surg. Pathol. 2010, 34, 405–417. [Google Scholar] [CrossRef] [PubMed]
- Taghi, A.; Motamedi, M.H. Riga-Fede disease: A histological study and case report. Indian J. Dent. Res. 2009, 20, 227–229. [Google Scholar] [CrossRef] [PubMed]
- Segura, S.; Pujol, R.M. Eosinophilic ulcer of the oral mucosa: A distinct entity or a non-specific reactive pattern? Oral Dis. 2008, 14, 287–295. [Google Scholar] [CrossRef] [PubMed]
- Velez, A.; Alamillos, F.J.; Dean, A.; Rodas, J.; Acosta, A. Eosinophilic ulcer of the oral mucosa: Report of a recurrent case on the tongue. Clin. Exp. Dermatol. 1997, 22, 154–156. [Google Scholar] [CrossRef]
- Shen, W.R.; Chang, J.Y.; Wu, Y.C.; Cheng, S.J.; Chen, H.M.; Wang, Y.P. Oral traumatic ulcerative granuloma with stromal eosinophilia: A clinicopathological study of 34 cases. J. Formos. Med. Assoc. 2015, 114, 881–885. [Google Scholar] [CrossRef]
- Benitez, B.; Mulli, J.; Tzankov, A.; Kunz, C. Traumatic ulcerative granuloma with stromal eosinophilia—Clinical case report, literature review, and differential diagnosis. World J. Surg. Oncol. 2019, 17, 184. [Google Scholar] [CrossRef]
- Ficarra, G.; Prignano, F.; Romagnoli, P. Traumatic eosinophilic granuloma of the oral mucosa: A CD30+(Ki-1) lymphoproliferative disorder? Oral Oncol. 1997, 33, 375–379. [Google Scholar] [CrossRef]
- Aizic, A.; Raiser, V.; Solar, I.; Aharon, Z.; Shlomi, B.; Kaplan, I. Traumatic Ulcerative Granuloma with Stromal Eosinophilia: CD30 analysis and clonality for T cell receptor gene re-arrangement. Acta Histochem. 2019, 121, 151450. [Google Scholar] [CrossRef]
- Rosenberg, A.; Biesma, D.H.; Sie-Go, D.M.; Slootweg, P.J. Primary extranodal CD3O-positive T-cell non-Hodgkins lymphoma of the oral mucosa. Report of two cases. Int. J. Oral Maxillofac. Surg. 1996, 25, 57–59. [Google Scholar] [CrossRef]
- Carbone, A.; Gloghini, A.; Gaidano, G.; Dalla-Favera, R.; Falini, B. BCL-6 protein expression in human peripheral T-cell neoplasms is restricted to CD30+ anaplastic large-cell lymphomas. Blood 1997, 90, 2445–2450. [Google Scholar] [CrossRef]
- Cepeda, L.T.; Pieretti, M.; Chapman, S.F.; Horenstein, M.G. CD30-positive atypical lymphoid cells in common non-neoplastic cutaneous infiltrates rich in neutrophils and eosinophils. Am. J. Surg. Pathol. 2003, 27, 912–918. [Google Scholar] [CrossRef] [PubMed]
- Regezi, J.A.; Zarbo, R.J.; Daniels, T.E.; Greenspan, J.S. Oral traumatic granuloma. Characterization of the cellular infiltrate. Oral Surg. Oral Med. Oral Pathol. 1993, 75, 723–727. [Google Scholar] [CrossRef] [PubMed]
- Brasileiro, B.F.; Alves, D.B.; Andrade, B.A.; Vargas, P.A.; Leon, J.E.; Almeida, O.P. Traumatic ulcerative granuloma with stromal eosinophilia of the palate showing an angiocentric/angiodestructive growth pattern. Contemp. Clin. Dent. 2012, 3 (Suppl. S1), S109–S111. [Google Scholar] [CrossRef] [PubMed]
- Didona, D.; Paolino, G.; Donati, M.; Didona, B.; Calvieri, S. Eosinophilic ulcer of the tongue—Case report. An. Bras. Dermatol. 2015, 90 (Suppl. S1), 88–90. [Google Scholar] [CrossRef]




| Authors | Year | Sex | Age | Location | Clinical Description/Diagnosis | Histological/ Immunohistochemical Description | Treatment Other than Biopsy | Follow-Up |
|---|---|---|---|---|---|---|---|---|
| Knoth W. [13] | 1960 | M | 53 | hard palate | present from 8 months | Granuloma with eosinophils, simultaneosly skin lesions | NR | NR |
| R.P. Elzay [1] | 1983 | F | 77 | hard palate, located over a torus | NR | NR | excision | NR |
| Sklavounou A, Laskaris G. [14] | 1984 | M | 42 | hard palate, posterior | ulceration present from 3 weeks | eosinophilic and histiocitic infiltration | corticosteroids | healed in 1 month, no recurrences, follow-up NR |
| S.K. El-Mofty, P.E. Swanson, et al. [15] | 1993 | M | 70 | hard palate, right | 6.5 × 3 × 1.8 cm swelling/NR | NR | NR | NR |
| H.S. Chung, N.S. Chung et al. [16] | 1998 | F | 41 | hard palate, left | Severe, painful 1 × 1 cm punched-out ulcer with erythematous base | widespread submucosal infiltration of inflammatory cells, primarily eosinophilic cells | liquid nitrogen | fast self-resolution, follow-up NR |
| F.P Fonseca, B.A. Benvenuto et al. [5] | 2013 | M | 64 | hard palate, right | painful single ulceration with no history of trauma/salivary gland tumor | CD30+, focal | no | no recurrences in 36 months |
| A. Shokravi, K. Ozcan et al. [17] | 2022 | F | 51 | soft palate, left | painful 2 × 3 cm ulceration/recurrent apthosus stomatitis | small lymphocytes, histiocytes, neutrophils, a large number of eosinophils, and sporadic plasma cells in a polymorphic inflammatory infiltrate | no | self-resolution in 3 months, follow-up NR |
Disclaimer/Publisher’s Note: The statements, opinions and data contained in all publications are solely those of the individual author(s) and contributor(s) and not of MDPI and/or the editor(s). MDPI and/or the editor(s) disclaim responsibility for any injury to people or property resulting from any ideas, methods, instructions or products referred to in the content. |
© 2025 by the authors. Licensee MDPI, Basel, Switzerland. This article is an open access article distributed under the terms and conditions of the Creative Commons Attribution (CC BY) license (https://creativecommons.org/licenses/by/4.0/).
Share and Cite
Setti, G.; Caramaschi, S.; Barile, G.; d’Amati, A.; Forte, M.; D’Albis, G.; Bellini, P.; Garuti, G.; Limongelli, L.; Capodiferro, S. Diagnostic Challenges of Traumatic Ulcerative Granuloma with Stromal Eosinophilia in the Hard Palate. Diagnostics 2025, 15, 199. https://doi.org/10.3390/diagnostics15020199
Setti G, Caramaschi S, Barile G, d’Amati A, Forte M, D’Albis G, Bellini P, Garuti G, Limongelli L, Capodiferro S. Diagnostic Challenges of Traumatic Ulcerative Granuloma with Stromal Eosinophilia in the Hard Palate. Diagnostics. 2025; 15(2):199. https://doi.org/10.3390/diagnostics15020199
Chicago/Turabian StyleSetti, Giacomo, Stefania Caramaschi, Giuseppe Barile, Antonio d’Amati, Marta Forte, Giuseppe D’Albis, Pierantonio Bellini, Giovanna Garuti, Luisa Limongelli, and Saverio Capodiferro. 2025. "Diagnostic Challenges of Traumatic Ulcerative Granuloma with Stromal Eosinophilia in the Hard Palate" Diagnostics 15, no. 2: 199. https://doi.org/10.3390/diagnostics15020199
APA StyleSetti, G., Caramaschi, S., Barile, G., d’Amati, A., Forte, M., D’Albis, G., Bellini, P., Garuti, G., Limongelli, L., & Capodiferro, S. (2025). Diagnostic Challenges of Traumatic Ulcerative Granuloma with Stromal Eosinophilia in the Hard Palate. Diagnostics, 15(2), 199. https://doi.org/10.3390/diagnostics15020199

