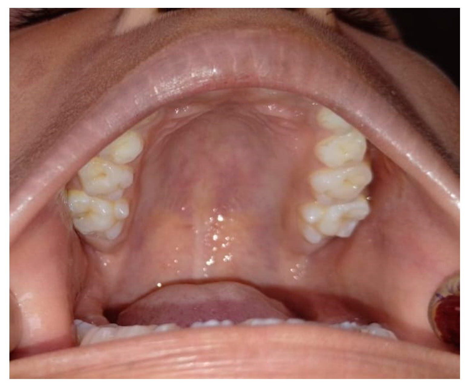
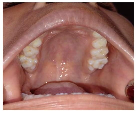
Bilateral Tuberculum Sextum of Maxillary Permanent First Molar
Abstract

Author Contributions
Funding
Institutional Review Board Statement
Informed Consent Statement
Data Availability Statement
Conflicts of Interest
References
- Carolina, R.; Freddy, M. Paramolar tubercle in the left maxillary second premolar: A case report. Dental. Anthropol. 2006, 19, 65–69. [Google Scholar]
- Mallineni, S.K.; Panampally, G.K.; Chen, Y.; Tian, T. Mandibular talon cusps: A Systematic review and data analysis. J. Clin. Exp. Dent. 2014, 6, e408. [Google Scholar] [CrossRef] [PubMed]
- Nayak, G.; Shetty, S.; Singh, I.; Pitalia, D. Paramolar–A supernumerary molar: A case report and an overview. Dent. Res. J. 2012, 9, 797. [Google Scholar]
- Sharma, S.; Tyagi, S.; Kumar, V. Paramolar tubercle-Bolk cusp: A case report. J. Oral Res. Rev. 2018, 10, 76–79. [Google Scholar] [CrossRef]
- Nirrmala, S.V.; Challa, R.; Velpula, L.; Nuvvula, S. Unusual occurrence of accessory central cusp in the maxillary second primary molar. Contemp. Clin. Dent. 2011, 2, 127–130. [Google Scholar]
- Shay, J.C. Dens evaginatus: Case report of a successful treatment. J. Endod. 1984, 10, 324–326. [Google Scholar] [CrossRef] [PubMed]
Disclaimer/Publisher’s Note: The statements, opinions and data contained in all publications are solely those of the individual author(s) and contributor(s) and not of MDPI and/or the editor(s). MDPI and/or the editor(s) disclaim responsibility for any injury to people or property resulting from any ideas, methods, instructions or products referred to in the content. |
© 2025 by the authors. Licensee MDPI, Basel, Switzerland. This article is an open access article distributed under the terms and conditions of the Creative Commons Attribution (CC BY) license (https://creativecommons.org/licenses/by/4.0/).
Share and Cite
Deshkar, M.P.; Naik, Y.; Yeluri, R.; Thosar, N.; Khubchandani, M.; Pande, M. Bilateral Tuberculum Sextum of Maxillary Permanent First Molar. Diagnostics 2025, 15, 134. https://doi.org/10.3390/diagnostics15020134
Deshkar MP, Naik Y, Yeluri R, Thosar N, Khubchandani M, Pande M. Bilateral Tuberculum Sextum of Maxillary Permanent First Molar. Diagnostics. 2025; 15(2):134. https://doi.org/10.3390/diagnostics15020134
Chicago/Turabian StyleDeshkar, Mrunali Prashant, Yash Naik, Ramakrishna Yeluri, Nilima Thosar, Monika Khubchandani, and Meenal Pande. 2025. "Bilateral Tuberculum Sextum of Maxillary Permanent First Molar" Diagnostics 15, no. 2: 134. https://doi.org/10.3390/diagnostics15020134
APA StyleDeshkar, M. P., Naik, Y., Yeluri, R., Thosar, N., Khubchandani, M., & Pande, M. (2025). Bilateral Tuberculum Sextum of Maxillary Permanent First Molar. Diagnostics, 15(2), 134. https://doi.org/10.3390/diagnostics15020134

