Next Article in Journal
Intersecting Pathways: The Impact of Philadelphia-Negative Chronic Myeloproliferative Neoplasms on the Pathogenesis and Progression of Heart Failure with Preserved Ejection Fraction
Previous Article in Journal
Cardiometabolic Comorbidities of Lichen Planus—A Cross-Sectional Comparative Study
Previous Article in Special Issue
Role of Feature Diversity in the Performance of Hybrid Models—An Investigation of Brain Tumor Classification from Brain MRI Scans
 
 
Font Type:
Arial Georgia Verdana
Font Size:
Aa Aa Aa
Line Spacing:
Column Width:
Background:
Article

Enhanced ResNet-50 with Multi-Feature Fusion for Robust Detection of Pneumonia in Chest X-Ray Images

Department of Computer Science and Engineering, School of Computing, Sathyabama Institute of Science and Technology (Deemed to be University), Chennai 600119, India
*
Author to whom correspondence should be addressed.
Diagnostics 2025, 15(16), 2041; https://doi.org/10.3390/diagnostics15162041
Submission received: 26 June 2025 / Revised: 5 August 2025 / Accepted: 13 August 2025 / Published: 14 August 2025
(This article belongs to the Special Issue Machine Learning in Precise and Personalized Diagnosis)

Abstract

Background/Objectives: Pneumonia is a critical lung infection that demands timely and precise diagnosis, particularly during the evaluation of chest X-ray images. Deep learning is widely used for pneumonia detection but faces challenges such as poor denoising, limited feature diversity, low interpretability, and class imbalance issues. This study aims to develop an optimized ResNet-50 based framework for accurate pneumonia detection. Methods: The proposed approach integrates Multiscale Curvelet Filtering with Directional Denoising (MCF-DD) as a preprocessing step to suppress noise while preserving diagnostic details. Multi-feature fusion is performed by combining deep features extracted from ResNet-50 with handcrafted texture descriptors such as Local Binary Patterns (LBPs), leveraging both semantic and structural information. Precision attention mechanisms are incorporated to enhance interpretability by highlighting diagnostically relevant regions. Results: Validation on the Kaggle chest radiograph dataset demonstrates that the proposed model achieves higher accuracy, sensitivity, specificity, and other performance metrics compared to existing methods. The inclusion of MCF-DD preprocessing, multi-feature fusion, and precision attention contributes to improved robustness and diagnostic reliability. Conclusions: The optimized ResNet-50 framework, enhanced by noise suppression, multi-feature fusion, and attention mechanisms, offers a more accurate and interpretable solution for pneumonia detection from chest X-ray images, addressing key challenges in existing deep learning approaches.

1. Introduction

Pneumonia is a critical respiratory illness that predominantly affects the tiny air sacs within the lungs that are essential for gas exchange. During infection, these sacs become filled with fluid, leading to breathing difficulties. Morbidity and mortality from pneumonia remain high, especially in populations with preexisting health conditions [1].
Chest X-rays are widely utilized for pneumonia diagnosis due to their rapid imaging capabilities and cost efficiency [2]. However, the visual patterns associated with pneumonia infection can overlap with other lung pathologies, making accurate diagnosis challenging for radiologists. The use of AI in developing automated solutions for pneumonia diagnosis has grown substantially. Manual feature extraction was a prerequisite in traditional machine learning frameworks like supervised learning [3], where these features served as inputs to the classification algorithms. On the other hand, deep learning models [4,5] are capable of learning by extracting the features by themselves without any need of manual interference.
Though CNN has been preferred as the current standard practice for medical image analysis, it has several challenges in the same field. Existing CNN models inadequately handle image noise, often applying generic denoising techniques that either fail to suppress artifacts or compromise clinically relevant structures. CNN has greater reliance on deep features, which results in the neglection of fine-grained texture patterns. These texture patterns like pixel intensity, edge variations, etc., are vital pneumonia infection signs. The interpretability of such models also remains limited, with few offering visual explanations or attention maps that can support clinical decision making. Standard pneumonia detection datasets have imbalanced class distributions, which results in biased model learning and reduced generalization. In response to these issues, efforts have been directed toward building a resilient automated model for detecting pneumonia.
A hybrid deep learning model that effectively merges deep semantic features with fine-grained handcrafted descriptors is described in this work to solve the above said challenges. The proposed framework employs the Multiscale Curvelet Filtering with Directional Denoising (MCF-DD) method to effectively suppress noise in the input images. By integrating attention modules, the system directs its focus toward pneumonia infected areas, thereby boosting diagnostic accuracy and enhancing the model’s interpretability.
The primary contributions of this study are summarized as follows:
  • Enhanced ResNet-50-Based Architecture: A customized ResNet-50 model was adapted and fine tuned for grayscale chest X-ray images to facilitate faster training convergence and enhance feature extraction specific to medical imaging.
  • Noise-Robust Preprocessing with MCF-DD: For better diagnostic accuracy in chest radiographs, the proposed framework integrates Multiscale Curvelet Filtering with Directional Denoising (MCF-DD) as a preprocessing step. This technique dynamically identifies and suppresses both Poisson and Gaussian noise while preserving fine structural and anatomical details critical for accurate diagnosis.
  • Hybrid Feature Fusion (HFF): A hybrid fusion strategy of deep multiscale features from ResNet-50 with handcrafted descriptors such as local binary patterns (LBPs) is introduced, improving feature diversity and enhancing pneumonia classification.
  • Incorporation of Attention Mechanism: Incorporating CBAM allowed the model to selectively attend to spatial and channel-wise informative features, particularly those associated with pneumonia lesions, leading to improved diagnostic accuracy and model transparency.

2. Related Works

Pneumonia infection is one of the factors contributing to the higher mortality of young children less than 5 years and adults with low immunity. The high mortality rate due to COVID-19 infection which caused pneumonia is one incident which gives a clear picture of the extent to which it can affect human life.
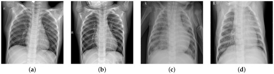
In chest radiographs radiographic features of a normal person include clear dark lung fields, well-defined lung borders, clear vascular markings, and a midline trachea. The chest radiograph of a person infected with pneumonia will exhibit localized or diffuse opacities, caused by fluid or pus-filled alveolar spaces. In Figure 1, we can observe the differences in the two types of images.
The recent studies on pneumonia detection systems are based on CNN-based deep learning algorithms due to their remarkable results. Current models for pneumonia detection can be broadly classified into machine learning techniques, deep learning frameworks, transfer learning models, and ensemble approaches.
In machine learning (ML) approaches, the features are extracted manually and these features are given as input to machine learning classification models [6,7,8]. Transparency, low computational needs, and lesser resources were some of the advantages of machine learning approaches. But to identify the complex visual patterns present in chest X-rays, it is necessary to have strong feature representation. Recently, hybrid methods have been developed by combining deep features from CNNs with classical ML classifiers, resulting in improved performance [9,10,11]. The major challenges of this approach are scalability and feature robustness. Numerous research studies [12,13] have proved the effectiveness of deep learning approaches. Their ability to model a large number of spatial and textural features helped to perform the classification accurately. Unlike machine learning models, CNN has the ability to capture complex and significant features using backpropagation [14,15,16]. In a recent study [17], the robustness of CNN models to different imaging conditions is highlighted, which is critical for the accurate diagnosis of the disease in remote areas where medical group support is less available. Performing the training on smaller datasets can lead to problems, like overfitting, poor generalization, etc. Also, incorrect diagnosis can occur as a result of poorly labeled datasets. Several customized CNN architecture designs [18,19,20] are specifically tailored for pneumonia detection. These architectures contain custom layers, specialized filters, or specific configurations to optimize performance for tasks for pneumonia detection in medical images. Some popular CNN architectures which can be used for pneumonia classification are ResNet, DenseNet, VGG, and Inception.
Even though CNN has the ability to extract meaningful features from images, it requires large labeled data for training. To solve this drawback of CNN, transfer learning approaches were used, where the pretrained CNN models solve unseen new problems. In [21], five ResNet variants were used for pneumonia detection in chest rays and the customized ResNet model achieved higher accuracy. In [22], VGG 19, Xception, ResNet-50, and DenseNet121 CNN architectures were used to classify pediatric chest rays for pneumonia detection and Xception gave better results. Several other works [23,24,25,26,27,28] also applied transfer learning for pneumonia classification. The strengths of transfer learning approaches are the need for less labeled data and less training time. The application of transfer learning models leads to overfitting as the training is performed on homogeneous data, which can lead to strong performance on training data and poor generalization on unseen cases.
Later, ensemble learning methods were developed where multiple model predictions are combined to generate a better generalized prediction. The different ensemble learning approaches can be categorized by bagging, boosting, and stacking methods. Bagging involves training several instances of the same model independently, each on a different bootstrap sample drawn from the original training data. In [29], MobileNetV2 and NASNetMobile were used together with a weighted average bagging scheme, which achieved 98.63% accuracy while maintaining computational efficiency suitable for a low-resource setting. Classifiers are used together using the simple bagging method like voting in [30], which demonstrated strong recall of 95.6% for classifications. In boosting, training of the models is performed sequentially, where each successive model is trained specifically to address and reduce cumulative prediction error by learning from the mistakes of prior models. The weighted sum of the predictions from all the models is calculated as the final prediction and more weight is given to models with better performance. In stacking, base learners are trained and then meta learner is used to combine their predictions. Some recent works using stack approaches are [31,32,33,34,35,36]. The challenges of ensemble learning are high computational cost and increased model complexity. Recent studies on pneumonia detection from chest X-ray images are summarized in Table 1.
Even though there are significant advantages to applying AI to pneumonia detection in chest X-rays, existing approaches exhibit notable limitations. The dependency on handcrafted features, which lack the capability of capturing radiographic patterns and poor generalization, is a challenge faced by machine learning approaches. On the other hand, deep learning approaches are powerful, but the working of deep learning approaches is like black boxes. Also, the demand for large labeled datasets raises challenges in medical image environments. The need of training time is reduced in transfer learning, but if the source and targets are of different domains, it can lead to poor domain adaptation. Ensemble models improve accuracy, but it causes complexity, redundancy, and reduced interpretability.
To address these gaps, our study proposes an enhanced ResNet-50 based architecture, in which the input images are preprocessed using a Multiscale Curvelet Filtering with Directional Denoising framework to improve image quality by suppressing noise and enhancing edge details. The handcrafted texture descriptors with deep features are fused together to enhance the representation capacity. The class imbalance problem is addressed by using the weighted random sampler function. Overall, our approach presents a balanced, interpretable, and computationally efficient solution without the complexity of traditional ensemble techniques.

3. Methodology

The proposed framework uses standard ResNet-50 as the backbone structure. Initially, the input image undergoes the preprocessing stage, in which the Curvelet transform along with directional denoising is used to enhance the image quality. The Curvelet transform captures the smooth edges and the elongated structures, which are very common features in lung structures. The preprocessing of the image is continued with the image resizing and intensity normalization operations. In the next stage a dual-path strategy is used for feature extraction. To capture both semantic and texture-level information, deep features are obtained from a modified ResNet-50 architecture, and texture features are extracted using the local binary pattern method. The standard ResNet-50 architecture is modified to accept single channel inputs and also an attention module is integrated to focus on the most relevant spatial and channel wise regions. The fused representation of deep and LBP features is given as input to a customized classification head to generate the final output. The class imbalance nature of the dataset is handled by the weighted random sampling technique, which is performed in the training phase. A stratified and well balanced version of the Kaggle Chest Ray dataset is used for fine-tuning the model. The steps of the proposed methodology are illustrated in the enhanced ResNet-50 framework, Figure 2.

3.1. Dataset

For this study, the Kaggle Chest X-ray Pneumonia Dataset [51] developed by Paul Mooney is employed, consisting of 5856 grayscale chest X-ray images. In the original dataset, the training set had 1341 normal and 3875 pneumonia images, while the validation set was critically under represented with only 8 images per class. A stratified splitting strategy is applied to maintain the original class proportions across all data partitions, thereby improving model generalizability and reducing sampling bias. In this approach, all the images are aggregated according to their labels such as normal and pneumonia from all the sets in the original dataset. The stratified sampling process is performed on the basis of this aggregated set of labeled image paths. A first level stratified split is performed by dividing seventy percent of dataset into the training set and the remaining thirty percent into the temporary set, ensuring both sets contained the same proportion of normal and pneumonia images as the original dataset. A second level stratified split is performed on the temporary set to obtain the final validation set and test set, each containing fifteen percent of the data by preserving the class distribution. As a result of this two level stratification, each subset of the dataset contains a balanced train, test, and validation set, which is represented in Table 2.
Analyzing the stratified dataset details, it is clear that the pneumonia class constitutes about 72% of the samples in each subset of the dataset. To address this issue, a weighted random sampler function is performed during model training. In this method, sampling weights are applied inversely according to their class frequency. So, the class with a lower number of samples will be getting more weights than the classes with a larger number of samples. Unlike oversampling or downsampling techniques, this strategy retains the full dataset and preserves real-world class proportions.

3.2. Data Preprocessing

Preprocessing is a vital step in improving the informative content of chest radiographs, facilitating more accurate and effective interpretation. The preprocessing pipeline consists of three major components, such as Curvelet transform with directional denoising, image resizing, and normalization.

3.2.1. Curvelet Transform with Directional Denoising

Medical images contain Gaussian and Poisson noises, which obscure the fine features present in the chest radiograph images. Curvelet transform outperforms the other wavelet transforms in capturing the smooth edges and the elongated structures. Let f(x, y) be the grayscale input image. The Curvelet transform C j , l , k [52] of the image can be expressed as
C j , l , k = f ( x , y ) , ψ j , l , k ( x , y )
where j, is the scale index, l represents the orientation, k represents the spatial position, and ψ j , l , k is the Curvelet basis function.
After decomposition, the noise is removed by using directional filters, such as the Gabor and anisotropic Gaussian filters. Gabor filters [53] are sensitive to orientation and frequency. It gives importance to ridge like pneumonia patterns. On the other hand, anisotropic filters [54] preserve directional structure and random noise.
After applying the directional filters, the inverse Curvelet transform is used for the reconstruction of the denoised image from the coefficients using the equation
f ^ ( x , y ) = j , l , k C ^ j , l , k · ψ j , l , k ( x , y )
where C ^ j , l , k are the modified coefficients obtained after directional denoising using filter banks.
The weighted averaging of the directionally filtered outputs is used for the final denoised image as follows:
I MCF-DD = α · I Gaussian + β · I Gabor + γ · I Anisotropic
with α + β + γ = 1 , typically chosen as α = 0.4 , β = 0.3 , and γ = 0.3 .

3.2.2. Image Resizing

For CNN architectures, all input images should be resized to the fixed dimension 224 × 224, which ensures a consistent tensor shape for batch processing and also makes the framework compatible with the pretrained backbone ResNet-50.

3.2.3. Image Normalization

Normalization is used for mapping the input image pixels within a common range. Min-Max normalization is used, which prevents saturation of activation functions and improves the convergence of gradient-based optimization.

3.3. Feature Extraction

3.3.1. Extraction of Deep Features

In order to capture the deep features from chest radiograph images, different deep learning architectures were considered. Among these architectures ResNet-50 was selected as the backbone for the extraction of deep features due to its specific advantages over the other models. The vanishing gradient problem observed in deeper networks was resolved in ResNet-50 by its deep architecture, built upon residual learning with identity shortcut connections. Also, ResNet-50 provides a balanced tradeoff between depth and computational efficiency. To capture the deep features from chest radiograph images for pneumonia detection, a modified ResNet-50 architecture is used. The model uses both residual learning and attention mechanisms to focus more on infection-affected lung regions while suppressing irrelevant background structures.
Input Adaptation
The standard ResNet-50 architecture [55,56] is designed to accept three channel RGB images, on the other hand, chest radiographs are grayscale images. To adapt the ResNet-50 model to accommodate this change, the first convolutional layers are modified to receive and process one channel instead of three channels. The first convolutional layer extracts fundamental structural elements like edges and corners from the input image. Sixty four filters with a kernel size of 7 × 7 are used in this layer. This large kernel size captures the board spatial features.
Max Pooling Layer
To reduce spatial resolution and control overfitting, a Max Pooling layer with a stride of 2 and kernel size of 2 × 2 is employed, downsampling the feature maps from 112 × 112 to 56 × 56, in which a kernel size of 3 × 3 is used. This stage introduces local translation invariance, which helps the model to remain robust to small shifts in the feature location. Max Pooling ensures that the important visual signals are dominant, preventing irrelevant background textures.
ResNet-50 Architecture
The core part of the ResNet-50 architecture is the four stages of the bottleneck residual block, which solves the vanishing gradient problem by using shortcut connections. There are three convolutional layers for each bottleneck layer, 1 × 1 for compression, 3 × 3 for spatial processing, and 1 × 1 for expansion, which is followed by a shortcut connection that implements residual learning. The feature channel is increased from 64 to 2048 as a result of this residual architecture, which is given in Table 3.
At the end of the ResNet-50 architecture, the deep network provides outputs of a 2048-dimensional feature vector for each input image. Each of these 2048 values produces a different learned pattern, such as edges, lung opacity patterns, etc. These are known as deep features, and they are rich, high-level representations of the image content.
Convolutional Block Attention Module
After completing the final convolutional operations, CBAM [57] is embedded into the architecture to introduce spatial and channel-wise attention. This module analyzes the interchannel relationships in the input F R C × H × W 2048 and generates a channel attention map M c R C × 1 × 1 that weights each channel according to their significance. For the computation of M c , the two descriptors used are Global Average Pooling and Global Max Pooling, which can be mathematically represented as
f avg c = 1 H × W i = 1 H j = 1 W F ( c , i , j )
f max c = max i , j F ( c , i , j )
These descriptors are passed through Perceptron with multiple layers, which contains layers such as a hidden layer and ReLU activation layer. The outputs are summed and passed through a sigmoid activation function:
M c ( F ) = σ MLP ( f avg c ) + MLP ( f max c )
The final channel attention map is applied to the input feature map using element-wise multiplication:
F = M c ( F ) F
Global Averaging Layer
The attention-refined feature map F R C × H × W from the CBAM layer is passed to a Global Average Pooling (GAP) operation. The GAP layer then compresses the spatial dimensions, generating a compact and discriminative feature vector. The GAP operation is defined as
f c = 1 H × W i = 1 H j = 1 W F ( c , i , j ) , for c = 1 , 2 , , C
The resulting output is a C-dimensional vector:
f = [ f 1 , f 2 , , f C ] R C
This feature vector refined through both attention and spatial aggregation fuses together the texture descriptor features in the next stage.

3.4. Texture Feature Extraction from Original and LBP Images

A set of texture features were extracted from both the original chest X-ray image and its local binary pattern (LBP) transformed image. The original images have rich gray level intensity variations and structural anatomy and texture patterns that represent the global and local lung tissue characteristics. But the small and granular patterns will be missed when processing the raw input image. So, to capture the micropatterns, LBP transformation is applied where the local texture variations are encoded as relationship between a pixel and its neighbors. By extracting features from both, we will be able to extract the global structure features and local texture pattern features.

3.4.1. Local Binary Pattern (LBP) Transformation

Local binary pattern [58] is a powerful feature descriptor for a texture classification. For a given pixel I c , the local binary pattern (LBP) is computed by thresholding its P neighbors using a circular radius R:
LBP P , R = p = 0 P 1 s ( I p I c ) · 2 p
where the function s ( x ) is defined as
s ( x ) = 1 if x 0 0 otherwise
A uniform LBP operator with P = 8 and R = 1 is used in the framework, which produces a 26-bin histogram representing uniform patterns. The resulting LBP image highlights local edge, spot, and flat region structures.

3.4.2. Texture Descriptors from Original and LBP Images

The following texture features are extracted from both the original chest radiograph and its corresponding LBP images.
Gray-Level Co-Occurrence Matrix (GLCM)
The Gray-Level Co-occurrence Matrix (GLCM) [59,60] is used to analyze texture by measuring the spatial relationships between pairs of pixels at defined orientations and distances within the image. From the GLCM matrix, the following statistical features such as contrast, Correlation, Energy, and Homogeneity are calculated. Each of these four features are calculated for four values of
θ { 0 , 45 , 90 , 135 }
and so a total of 16 GLCM features are extracted for a single image.
Shannon Entropy
Shannon Entropy [61] is a statistical measurement which gives the randomness in the intensity distribution. It quantifies the disorder in the texture pattern. A higher entropy value represents a higher degree of disorder in the image intensities, which can occur as a result of some abnormalities in the image. It can be defined as
H = i = 1 N p i log 2 ( p i )
where p i is the probability of occurrence of the ith gray level in the image histogram, and N is the number of gray levels. A higher entropy value indicates a higher degree of texture complexity or disorder.
Hu’s Invariant Moments
The invariant in the image patterns are represented by Hu’s Invariant moments [62]. These are a set of seven features derived from central image moments that are invariant to translation, scale, and rotation. The normalized central moments η p q are given by
η p q = μ p q μ 00 1 + p + q 2
Zernike Moments
To calculate the Zernike moments, image pixels are projected onto orthogonal polynomials defined over the unit disk. Zernike polynomials form a set of orthogonal basis functions on the unit disk, allowing for compact representation of the shape information. A total of 10 Zernike moments are extracted per image, comprising 5 magnitudes and 5 phase components to capture rotation-invariant global shape features from both the original and LBP-transformed chest X-ray images [63].
Fractal Dimension (FD)
The complexity and self-similarity of texture patterns within an image are quantified by this feature. One of the most commonly used approaches to estimate the FD is the box-counting method, which evaluates how detail in a pattern changes with scale.
LBP Histogram Statistics
From the 26-bin uniform LBP histogram, we compute 5 statistical descriptors, such as the mean, standard deviations, skewness, kurtosis, and histogram entropy. These features provide a summarized representation of local binary patterns. These features are extracted from the LBP image only.

3.4.3. Feature Fusion Layer

In the feature fusion layer, the deep features from the modified ResNet-50 architecture and the texture descriptor features from the original and its LBP image are fused together. Early fusion, known as feature-level fusion, is used in this framework where the deep features are concatenated with the texture feature by the direct concatenation method. In this method the features are combined into a single vector by joining them end to end, without applying any transformation or weighting beforehand. As shown in Table 4, the expanded summary of the fused feature vector illustrates the distribution and characteristics of the combined LBP and deep features used for classification.
With direct concatenation, you form a new vector:
f = [ d h ]
where
  • d R 2048 is the deep feature vector;
  • h R 75 is the handcrafted feature vector;
  • f R 2123 is the resulting fused feature vector.
Table 4. Expanded summary of the fused feature vector.
Table 4. Expanded summary of the fused feature vector.
Feature TypeSourceFeature Count
Deep Features (ResNet-50)Chest X-ray Image2048
GLCM Features (0°, 45°, 90°, 135°)Original + LBP Image 16 × 2 = 32
Shannon EntropyOriginal + LBP Image 1 × 2 = 2
Hu’s Invariant MomentsOriginal + LBP Image 7 × 2 = 14
Zernike Moments (Mag. + Phase)Original + LBP Image 10 × 2 = 20
Fractal DimensionOriginal + LBP Image 1 × 2 = 2
LBP Histogram Statistics (mean, std, skew, kurtosis, entropy)LBP Image Only5
Total Handcrafted Features75
Total Fused Feature Vector2048 + 75 = 2123
Feature Normalization
It is essential to normalize the combined feature vector because the features originate from different domains and will have their values in different numerical ranges. Deep features may span large continuous ranges, while handcrafted texture descriptors like GLCM contrast or Hu’s moments often lie within much smaller intervals. Without normalization, high magnitude features can dominate the learning process, causing the classifier to ignore informative but smaller-scaled features. To ensure the equal contribution of all features and to improve training stability and convergence, feature normalization becomes a critical step. Min Max normalization is used, which rescales each feature dimension to lie within the range of [0, 1].
Feature Selection
After feature fusion and normalization, the resultant feature vector contains 2123 features for a single image. This feature vector may contain redundant, irrelevant features. Processing these types of features causes problems, like increased computational cost and reduced model generalization capability. Recursive Feature Elimination (RFE) [64] with a linear Support Vector Machine (SVM) as the base estimator is used as the feature selection strategy. RFE works by recursively training the model, ranking features based on their importance. This ranking continues until the optimal number of features is retained, determined through cross-validation performance on the validation set.
The number of features to be selected was not fixed in the initial stage. After applying Recursive Feature Elimination (RFE) with a linear Support Vector Machine, each feature in the fused vector was ranked according to its importance score. The importance of each feature in an SVM model can be inferred from the absolute magnitude of its corresponding weight in the learned decision function, with higher magnitudes suggesting stronger influence on the classification outcome. The value of the weights ranges from 0 to 1, where 1 represents strong features and values closer to 0 represent weaker features. We evaluated subsets of features based on these scores, specifically the top 500, 1000, and 1500. Among them, the top 1000 features, identified based on Recursive Feature Elimination (RFE) scoring, yielded the highest classification performance in terms of accuracy, AUC, and F1-score. Consequently, these top 1000 features were selected for the final model. Out of 1000 features, 860 features are deep features and 140 are texture descriptor features. The top 15 features, selected using Recursive Feature Elimination (RFE) with a linear Support Vector Machine (SVM) classifier, are presented in Table 5.

3.4.4. Softmax Classification

The selected features are given as input to the Softmax classifier [65], which performs the final classification. The classifier was trained using cross-entropy loss to optimize class separation. Since this is a binary classification task of classifying the image to pneumonia or normal, the output corresponds to the probability of each class, and the final prediction is made by choosing the class with the maximum probability. This approach ensures interpretability, probabilistic confidence, and compatibility with modern neural and statistical modeling frameworks. After training, the Softmax classifier outputs class probabilities for each sample.

4. Results

4.1. Evaluation Metrics

The evaluation metrics used for analyzing the performance of the proposed pneumonia detection framework are accuracy, specificity, sensitivity, precision, and area under the curve.
  • Accuracy (%): It is calculated by taking the ration of correctly classified instances over the total number of cases.
  • Sensitivity (%): This metric indicates the model’s ability to correctly identify pneumonia positive cases.
  • Specificity (%): This model is used to represent the model’s ability to correctly identify pneumonia negative cases.
  • Precision (%): The proportion of correctly identified pneumonia cases among all predicted pneumonia cases is given by this metric.
  • Area Under the Curve (AUC): This represents the model’s ability to discriminate between the pneumonia and normal classes across all thresholds. An AUC of 1.0 indicates perfect classification, while 0.5 represents random chance.

Quantitative Evaluation

For the experimental evaluation, the publicly available chest ray dataset is used. The stratified dataset is used where 70% is used for training and 15% is used for testing and validation each. But as we can see in Table 2, in the stratified dataset, the number of pneumonia cases is 72% of the samples in each subset. To handle this class imbalance problem, the weighted random sampler function is used and a comparative study between two training settings is performed. In the first variant, standard uniform sampling and unweighted loss is implemented, and in the second one, an integrated approach combining weighted random sampling, class-weighted loss, and targeted augmentation is used. The baseline ResNet model without imbalance handling exhibited high overall accuracy of 83.6% but significantly lower sensitivity of 93.2% for the minority normal class, which indicates a strong bias toward the majority pneumonia class. After applying class imbalance techniques, the updated model achieved an improved accuracy of 85.9%, with sensitivity increasing to 98.2%.
For the quantitative evaluation of the improved ResNet-50 architecture, four different models were evaluated.
  • Variant 1: Standard ResNet-50.
  • Variant 2: ResNet-50 with CBAM.
  • Variant 3: ResNet-50 with CBAM and LBP Fusion.
  • Variant 4: ResNet-50 with MCF-DD and CBAM and LBP Fusion.
To systematically evaluate the effects of preprocessing, feature fusion, and attention mechanisms on classification performance, four ResNet-50-based model variants were implemented. The baseline model utilized the standard ResNet-50 architecture with class imbalance handling mechanisms.
A second variant was considered in which a Convolutional Block Attention Module (CBAM) was integrated after the final convolutional block of ResNet-50 to enhance the model’s ability to focus on pathology relevant regions by applying both spatial and channel attention. In the third variant, ResNet-50 with the CBAM module was considered. In this model, the deep features from ResNet-50 were fused with local binary pattern (LBP) descriptors extracted from the original X-ray images and the LBP images. These combined features were concatenated before the final dense layers. Recursive Feature Elimination (RFE) was used to select the top 1000 most informative features, which were then normalized and forwarded to the classification head. The fourth variant incorporated a preprocessing step using Multi Curvelet Filtering with Directional Denoising (MCF-DD), applied to the input X-rays prior to feature extraction. This preprocessing pipeline included Curvelet based decomposition followed by directional filtering and adaptive coefficient fusion, aiming to suppress noise and enhance pathological structures. The fused features from ResNet-50 and LBP were then passed through CBAM-enhanced blocks to emphasize diagnostic regions before classification.
All the models were trained using a categorical cross-entropy loss function with the Adam optimizer with an initial learning rate = 1 × 10−4 and a batch size = 32 for 50 epochs. Table 6 presents the performance comparison of the four model variants, highlighting the differences in accuracy, sensitivity, specificity, precision and AUC, in which the best performing results in each column are highlighted in bold.
A balanced and clinically meaningful performance is achieved by variant 1 with a classification accuracy of 85.9%. Sensitivity with 98.2% indicates a strong capability to identify the pneumonia cases correctly. But the specificity is relatively lower at 65.4%, suggesting a higher rate of false positives for normal cases. The precision of 82.5% reflects good confidence in positive and negative predictions, respectively. With an AUC of 0.949 as shown in Figure 3, the model demonstrates robust discriminative ability between the classes, confirming its effectiveness, especially in identifying diseased cases with high recall.
Variant 2 demonstrates a strong pneumonia detection capability with a very high sensitivity of 97.2%, meaning it effectively identified nearly all pneumonia cases. However, its specificity is relatively low at 57.7%, indicating more false positives among normal cases, which reduces its overall accuracy to 82.4%. The precision of 79.3% suggests that while positive predictions include some false alarms, the negative predictions are still highly reliable. The AUC of 0.960 as shown in Figure 4 confirms that the model maintains good class separability, but the lower specificity may impact clinical usability where reducing unnecessary alerts is critical.
Variant 3 achieves a strong balance between sensitivity and overall classification performance. It reports an accuracy of 84.6%, with a notably high sensitivity of 98.5%, indicating its consistent ability to correctly detect pneumonia cases. The specificity is 61.5%, showing a moderate improvement in correctly identifying normal cases compared to variant 2. The precision of 81% indicates reliable positive predictions. With an AUC of 0.963 as shown in Figure 5, this variant shows excellent discriminative power between normal and pneumonia cases, making it a well-rounded model for clinical applications.
Variant 4 delivers the best overall performance among all the evaluated models, achieving an accuracy of 96.08%, which indicates a highly reliable classification system. It maintains a sensitivity of 95.95%, confirming its strong ability to detect pneumonia cases, while also significantly improving its specificity to 94.6%, minimizing false positives in normal cases. The model demonstrates excellent precision at 98.09%. Notably, the model achieves an AUC of 0.985 as shown in Figure 6, demonstrating excellent discrimination between pneumonia and normal cases. This positions variant 4 as the most reliable and clinically effective configuration.
The confusion matrix in Figure 7 demonstrates the classification performance of the proposed model on the test dataset. Out of the total 238 normal cases, 226 were correctly classified as normal, while 12 were misclassified as pneumonia, indicating a relatively low false-positive rate. Similarly, among 641 pneumonia cases, 615 were accurately identified, with only 26 instances misclassified as normal, reflecting a low false-negative rate. These results correspond to a high overall classification accuracy and balanced sensitivity and specificity.

4.2. Qualitative Assessment of True and False Predictions Using Grad-CAM

The Grad CAM visualizations shown in Figure 8 provide a qualitative interpretation of the model’s decision-making process across different prediction outcomes.
In true-positive (TP) instances (615 samples), the Grad-CAM maps predominantly highlight pneumonia-affected regions, with dense activations over lung fields, especially the lower lobes, suggesting that the model has successfully learned to localize pathological features. This strong spatial correspondence justifies the high sensitivity observed in the evaluation.
In true-negative (TN) cases (226 samples), the activation maps display scattered or minimal intensity across noncritical lung regions, affirming that the model avoids overattending to normal anatomical structures. The background-focused attention confirms that no abnormal features influenced the model’s decision, supporting the 95% specificity.
Conversely, in false-positive (FP) samples (12 instances), the visualizations often show misdirected attention toward ribs, cardiac shadows, or peripheral noise, indicating that subtle structural textures have been misinterpreted as pneumonia markers. This highlights the model’s vulnerability to non-pathological variations and borderline cases.
False-negative (FN) visualizations (26 samples) typically reveal weak or misplaced activations, often missing the true infection zones, suggesting that the model failed to recognize subtle or atypical pneumonia presentations. These errors underline the challenge of detecting early-stage or mild infections where visual cues may be ambiguous.
Across the evaluated configurations, variant 4 proved to be the most effective model, attaining the highest classification accuracy of 96.08%, specificity of 94.96%, and AUC of 0.98 while maintaining an excellent sensitivity of 95.95%. This indicates that variant 4 not only detects pneumonia cases effectively but also significantly reduces false positives, making it highly reliable in clinical settings.

5. Discussion

The proposed system uses a hybrid approach by combining the deep features extracted from a modified ResNet-50 with handcrafted texture features derived from both original and LBP transformed chest X-ray images. This integration captures both high level semantic representations and low level structural patterns, improving classification performance, especially in distinguishing subtle textural differences between pneumonia and normal lungs.
A high sensitivity of 95.95% ensures that most of the pneumonia cases are identified accurately. This is crucial in clinical screening applications, where minimizing false negatives is essential to avoid missed diagnoses. The fusion of features enhances representational richness, and the inclusion of handcrafted descriptors like GLCM, entropy, Hu moments, and Zernike moments allow for improved interpretability and robustness. Furthermore, variant 4 achieved a balanced improvement in both sensitivity and specificity, indicating the strength of feature normalization and selection in reducing overfitting.

Computational Efficiency and Practicality

To assess the computational efficiency of the proposed RFE-based feature selection strategy, we benchmarked its training and inference times against the baseline ResNet-50 model. Feature extraction using the pretrained ResNet-50 took approximately 1.8 min. The subsequent Recursive Feature Elimination (RFE) step, applied to reduce the original 2048 features to the top 1000 most informative features using a linear SVM estimator, required about 2.0 min. The total training time for the proposed pipeline was around 3.8 min. During inference, the reduced feature set enabled faster classification, with an average prediction time of 60 ms per image, compared to 90 ms in the baseline ResNet-50 model without feature reduction. These experiments were performed on Google Colab Pro utilizing an NVIDIA A100 GPU (NVIDIA Corporation, Santa Clara, CA, USA). The results indicate that the proposed feature selection method significantly improves classification performance while also reducing inference latency, rendering it highly suitable for time-sensitive clinical applications. Computational cost and performance comparison between baseline ResNet-50 and proposed framework in given in the Table 7.
Despite its strong performance, the system exhibits certain limitations. Variants 1 to 3 showed lower specificity, indicating a higher false-positive rate, which could result in over-diagnosis when used as a standalone tool. The high dimensionality of features prior to selection increases training time and memory usage. Moreover, the reliance on LBP transformed images assumes that texture information is consistently diagnostically relevant, which may not hold across all imaging conditions or datasets. Furthermore, the current framework is limited to 2D chest radiographs, does not scale to volumetric data such as 3D CT scans, and lacks clinical validation through expert radiologist. Comparison of recent studies for pneumonia detection using chest X-rays Kaggle dataset with the proposed framework is depicted in Table 8.
Future research can address these challenges through several directions. Extending the method to multiclass classification, such as differentiating between bacterial and viral pneumonia or other chest pathologies, will improve its clinical applicability. Finally, validating the system on larger, diverse, and real world datasets will ensure robustness and generalization. In future work, we plan to conduct a radiologist in the loop evaluation to further assess the clinical relevance and diagnostic reliability of the proposed framework. This will involve comparing the model’s predictions with annotations and diagnoses provided by multiple expert radiologists.

6. Conclusions

A hybrid structured framework for detecting pneumonia from chest X-ray images by combining deep features extracted from ResNet-50 with handcrafted texture descriptors from both original and LBP-transformed images is discussed in this work. Feature fusion was performed through direct concatenation, followed by normalization and Recursive Feature Elimination to reduce dimensionality and enhance discriminative capability. Among the evaluated variants, the proposed variant 4 achieved the highest performance, demonstrating the benefit of integrating handcrafted features with deep representations. This hybrid approach not only enhances classification accuracy but also plays a significant role in improving the interpretability and robustness, making it a promising tool for supporting computer-aided diagnosis in practical, real-world clinical environments.

Author Contributions

Conceptualization, N.S.; Methodology, N.S.; Validation, B.A.; Writing—original draft, N.S.; Writing—review and editing, N.S. and B.A.; Supervision, B.A. All authors have read and agreed to the published version of the manuscript.

Funding

This research received no external funding.

Institutional Review Board Statement

Ethical review and approval were waived for this study due to the use of publicly available datasets.

Informed Consent Statement

Patient consent was waived due to the use of publicly available and fully anonymized datasets.

Data Availability Statement

The chest X-ray images used in this study are part of the publicly available Chest X-Ray Images (Pneumonia) dataset, provided by Guangzhou Women and Children’s Medical Center, China, and hosted on Kaggle [51]. The dataset is fully anonymized, containing no personally identifiable information, and is available under the terms specified on the Kaggle platform.

Conflicts of Interest

The authors declare no conflict of interest.

Abbreviations

The following abbreviations are used in this manuscript:
CNNConvolutional Neural Network
CBAMConvolutional Block Attention Module
LBPLocal Binary Pattern Image
GAPGlobal Average Pooling
GLCMGray-Level Co-occurrence Matrix
ResNetResidual Network

References

  1. Ossaiugbo, M.I.; Okposo, N.I. Mathematical modeling and analysis of pneumonia infection dynamics. Sci. World J. 2021, 16, 73–80. [Google Scholar]
  2. World Health Organization. Standardization of interpretation of chest radiographs for the diagnosis of pneumonia in children. In Standardization of Interpretation of Chest Radiographs for the Diagnosis of Pneumonia in Children/World Health Organization Pneumonia Vaccine Trial Investigators’ Group; World Health Organization: Geneva, Switzerland, 2001. [Google Scholar]
  3. Daza, A.; Bobadilla, J.; Herrera, J.C.; Medina, A.; Saboya, N.; Zavaleta, K.; Siguenas, S. Stacking Ensemble Based Hyperparameters to Diagnosing of Heart Disease: Future Works. Results Eng. 2024, 21, 101894. [Google Scholar] [CrossRef]
  4. Rasa, S.M.; Islam, M.M.; Talukder, M.A.; Uddin, M.A.; Khalid, M.; Kazi, M.; Kazi, M.Z. Brain Tumor Classification Using Fine-Tuned Transfer Learning Models on Magnetic Resonance Imaging (MRI) Images. Digit. Health 2024, 10, 1–31. [Google Scholar] [CrossRef]
  5. Talukder, M.A.; Khalid, M.; Kazi, M.; Muna, N.J.; Nur-e-Alam, M.; Halder, S.; Sultana, N. A Hybrid Cardiovascular Arrhythmia Disease Detection Using ConvNeXt-X Models on Electrocardiogram Signals. Sci. Rep. 2024, 14, 30366. [Google Scholar] [CrossRef] [PubMed]
  6. Li, J.; Luo, X.; Ma, H.; Zhao, W. A hybrid deep transfer learning model with kernel metric for COVID-19 pneumonia classification using chest CT images. IEEE/ACM Trans. Comput. Biol. Bioinform. 2022, 20, 2506–2517. [Google Scholar] [CrossRef] [PubMed]
  7. Kareem, A.; Liu, H.; Sant, P. Review on pneumonia image detection: A machine learning approach. Hum.-Centric Intell. Syst. 2022, 2, 31–43. [Google Scholar] [CrossRef]
  8. Pan, J.; Guo, T.; Kong, H.; Bu, W.; Shao, M.; Geng, Z. Prediction of mortality risk in patients with severe community-acquired pneumonia in the intensive care unit using machine learning. Sci. Rep. 2025, 15, 1566. [Google Scholar] [CrossRef]
  9. Harshitha, R.; Sree, M.N.; Kumar, G.K.; Anila, M.; Ramu, S.C. Enhanced Pneumonia Detection in Chest X-Rays Through a Hybrid DL-ML Ensemble Model. In Proceedings of the 2025 3rd International Conference on Intelligent Data Communication Technologies and Internet of Things (IDCIoT), Bengaluru, India, 5–7 February 2025; pp. 1893–1901. [Google Scholar]
  10. Pal, M.; Mohapatra, R.K.; Sarangi, A.K.; Sahu, A.R.; Mishra, S.; Patel, A.; Bhoi, S.K.; Elnaggar, A.Y.; El Azab, I.H.; Alissa, M.; et al. A comparative analysis of the binary and multiclass classified chest X-ray images of pneumonia and COVID-19 with ML and DL models. Open Med. 2025, 20, 20241110. [Google Scholar] [CrossRef]
  11. Malik, F.; ul Haq, M.I.; Khalid, A.; Khan, D.; Javed, M.; Ullah, A.; Khan, M.Q. A Hybrid Approach for COVID-19 Pneumonia Detection and Classification using Machine and Deep Learning Techniques. Dialogue Soc. Sci. Rev. (DSSR) 2025, 3, 493–519. [Google Scholar]
  12. Wang, X.; Peng, Y.; Lu, L.; Lu, Z.; Bagheri, M.; Summers, R.M. Chestx-ray8: Hospital-scale chest x-ray database and benchmarks on weakly-supervised classification and localization of common thorax diseases. In Proceedings of the IEEE Conference on Computer Vision and Pattern Recognition, Honolulu, HI, USA, 21–26 July 2017; pp. 2097–2106. [Google Scholar]
  13. Madaan, V.; Sharma, N. PneumoNet: Illuminating Pneumonia Detection through CNN. In Proceedings of the 2024 3rd International Conference for Advancement in Technology (ICONAT), Goa, India, 13–15 September 2024; pp. 1–7. [Google Scholar]
  14. LeCun, Y.; Bengio, Y.; Hinton, G. Deep learning. Nature 2015, 521, 436–444. [Google Scholar] [CrossRef]
  15. Arora, C.; Arora, S.; Sharma, K.; Arora, S. Pneumonia detection model utilising deep learning algorithms. In Intelligent Computing and Communication Techniques; CRC Press: Boca Raton, FL, USA, 2025; pp. 552–558. [Google Scholar]
  16. Yanar, E.; Hardalaç, F.; Ayturan, K. PELM: A Deep Learning Model for Early Detection of Pneumonia in Chest Radiography. Appl. Sci. 2025, 15, 6487. [Google Scholar] [CrossRef]
  17. Wang, Y.; Liu, L.; Wang, C. Trends in using deep learning algorithms in biomedical prediction systems. Front. Neurosci. 2023, 17, 1256351. [Google Scholar] [CrossRef] [PubMed]
  18. Menaka, K.; Karthik, J.; Shankar, V.; Murugan, R.; Satheesh, S.; Subramaniam, N. Learning Distinctive Filters for COVID-19 Detection from Chest X-Ray Using Shuffled Residual CNN. Appl. Soft Comput. 2021, 99, 106744. [Google Scholar] [CrossRef] [PubMed]
  19. Babukarthik, R.G.; Adiga, V.A.K.; Sambasivam, G.; Chandramohan, D.; Amudhavel, J. Prediction of COVID-19 Using Genetic Deep Learning Convolutional Neural Network (GDCNN). IEEE Access 2020, 8, 177647–177666. [Google Scholar] [CrossRef] [PubMed]
  20. Singh, G.; Yow, K. An Interpretable Deep Learning Model for COVID-19 Detection with Chest X-Ray Images. IEEE Access 2021, 9, 85198–85208. [Google Scholar] [CrossRef]
  21. Wang, H.; Zhang, R.; Lee, D. Efficacy of Transfer Learning-Based ResNet Models in Chest X-Ray Image Classification for Detecting COVID-19 Pneumonia. Biomed. Signal Process. Control 2022, 76, 104534. [Google Scholar]
  22. Rahman, T.; Chowdhury, M.E.H.; Khandakar, A.; Islam, K.R.; Islam, K.F.; Mahbub, Z.B.; Kadir, M.A.; Kashem, S. Transfer Learning with Deep Convolutional Neural Network (CNN) for Pneumonia Detection Using Chest X-Ray. Appl. Sci. 2020, 10, 3233. [Google Scholar] [CrossRef]
  23. Thabit, Q.Q.; Issa, B.A.; Dawood, A.I. Detection of Pneumonia by Combining Transfer Learning Models with Data. In Proceedings of the Data Analytics and Management, ICDAM 2024, London, UK, 14–15 June 2024; Springer: Singapore, 2015; Volume 1299, p. 129. [Google Scholar]
  24. Mamalakis, M.; Swift, A.; Vorselaars, B.; Ray, S.; Weeks, S.; Ding, W.; Clayton, R.; Mackenzie, L.; Banerjee, A. DenResCov-19: A Deep Transfer Learning Network for Robust Automatic Classification of COVID-19, Pneumonia, and Tuberculosis from X-Rays. Comput. Med. Imaging Graph. 2021, 94, 102008. [Google Scholar] [CrossRef]
  25. Mohan, G.; Subashini, M.; Balan, S.; Singh, S. A Multiclass Deep Learning Algorithm for Healthy Lung, COVID-19 and Pneumonia Disease Detection from Chest X-Ray Images. Discov. Artif. Intell. 2024, 4, 20. [Google Scholar] [CrossRef]
  26. Saharia, D.; Nighojkar, M.; Rai, U.N.; Amali D, G.B. A Multimodal Deep Learning Approach Using Late Fusion for Pneumonia Detection Using Transfer Learning. In Proceedings of the 2025 11th International Conference on Communication and Signal Processing (ICCSP), Melmaruvathur, India, 5–7 June 2025; pp. 1472–1477. [Google Scholar]
  27. Wu, C. Pneumonia Detection and Classification Using Lightweight ShuffleNetV2 Based on Transfer Learning. In Proceedings of the 2025 2nd International Conference on Generative Artificial Intelligence and Information Security, Hangzhou, China, 21–23 February 2025; pp. 621–625. [Google Scholar]
  28. Appavu, N.; Kadry, S.; Kennedy Babu, N. A Transfer Learning Strategy to Identify COVID-19 from X-ray. IETE J. Res. 2025, 1–13. [Google Scholar] [CrossRef]
  29. Nettur, S.B.; Karpurapu, S.; Nettur, U.; Gajja, L.S.; Myneni, S.; Dusi, A.; Posham, L. Lightweight Weighted Average Ensemble Model for Pneumonia Detection in Chest X-Ray Images. arXiv 2025, arXiv:2501.16249. [Google Scholar] [CrossRef]
  30. Domínguez-Rodríguez, S.; Sánchez-Montañés, M.; Tagarro, A.; Liz, H.; Dagan, R.; Camacho, D. Pneumonia Identification from Chest X-rays Using Ensemble Deep Learning Approach. In Proceedings of the 6th International Conference on Electrical, Control and Computer Engineering, Kuantan, Malaysia, 23 August 2021; Springer: Singapore, 2022; pp. 1139–1151. [Google Scholar]
  31. Ayan, E.; Karabulut, B.; Ünver, H.M. Diagnosis of Pediatric Pneumonia with Ensemble of Deep Convolutional Neural Networks in Chest X-Ray Images. Arab. J. Sci. Eng. 2022, 47, 2123–2139. [Google Scholar] [CrossRef] [PubMed]
  32. Habib, N.; Hasan, M.M.; Reza, M.M.; Rahman, M.M. Ensemble of CheXNet and VGG-19 Feature Extractor with Random Forest Classifier for Pediatric Pneumonia Detection. SN Comput. Sci. 2020, 1, 359. [Google Scholar] [CrossRef] [PubMed]
  33. Wang, W.; Liu, S.; Xu, H.; Deng, L. COVIDX-LwNet: A Lightweight Network Ensemble Model for the Detection of COVID-19 Based on Chest X-Ray Images. Sensors 2022, 22, 8578. [Google Scholar] [CrossRef]
  34. Chaurasia, S.; Gupta, A.K.; Tiwari, P.P.; Smirti, A.; Jangid, M. DSENetk: An Efficient Deep Stacking Ensemble Approach for COVID-19 Induced Pneumonia Prediction Using Radiograph Images. SN Comput. Sci. 2025, 6, 68. [Google Scholar] [CrossRef]
  35. Choudhary, S.; Singh, A.P.; Tiwari, A. Development of Ensemble Learning Algorithms for Pulmonary Disease Detection System. In Proceedings of the 2025 International Conference on Data Science, Agents & Artificial Intelligence (ICDSAAI), Chennai, India, 28–29 March 2025; pp. 1–6. [Google Scholar]
  36. Nisha, V.; Menaka, D. Detection of COVID-19 on GGO segmented CT image using stacking-based ensemble deep learning. Multimed. Tools Appl. 2025, 1–27. [Google Scholar] [CrossRef]
  37. Colin, J.; Surantha, N. Interpretable Deep Learning for Pneumonia Detection Using Chest X-Ray Images. Information 2025, 16, 53. [Google Scholar] [CrossRef]
  38. Reshan, M.S.A.; Gill, K.S.; Anand, V.; Gupta, S.; Alshahrani, H.; Sulaiman, A.; Shaikh, A. Detection of pneumonia from chest X-ray images utilizing mobilenet model. Healthcare 2023, 11, 1561. [Google Scholar] [CrossRef]
  39. Mabrouk, A.; Diaz Redondo, R.P.; Dahou, A.; Abd Elaziz, M.; Kayed, M. Pneumonia detection on chest X-ray images using ensemble of deep convolutional neural networks. Appl. Sci. 2022, 12, 6448. [Google Scholar] [CrossRef]
  40. Guo, K.; Cheng, J.; Li, K.; Wang, L.; Lv, Y.; Cao, D. Diagnosis and detection of pneumonia using weak-label based on X-ray images: A multi-center study. BMC Med. Imaging 2023, 23, 209. [Google Scholar] [CrossRef]
  41. Neshat, M.; Ahmed, M.; Askari, H.; Thilakaratne, M.; Mirjalili, S. Hybrid inception architecture with residual connection: Fine-tuned inception-ResNet deep learning model for lung inflammation diagnosis from chest radiographs. Procedia Comput. Sci. 2024, 235, 1841–1850. [Google Scholar] [CrossRef]
  42. Mustapha, B.; Zhou, Y.; Shan, C.; Xiao, Z. Enhanced Pneumonia Detection in Chest X-Rays Using Hybrid Convolutional and Vision Transformer Networks. Curr. Med. Imaging 2025, 21, e15734056326685. [Google Scholar] [CrossRef] [PubMed]
  43. Nakrani, H.; Shahra, E.Q.; Basurra, S.; Mohammad, R.; Vakaj, E.; Jabbar, W.A. Advanced Diagnosis of Cardiac and Respiratory Diseases from Chest X-Ray Imagery Using Deep Learning Ensembles. J. Sens. Actuator Netw. 2025, 14, 44. [Google Scholar] [CrossRef]
  44. Rajpurkar, P.; Irvin, J.; Zhu, K.; Yang, B.; Mehta, H.; Duan, T.; Ding, D.; Bagul, A.; Langlotz, C.; Shpanskaya, K.; et al. Chexnet: Radiologist-level pneumonia detection on chest X-rays with deep learning. arXiv 2017, arXiv:1711.05225. [Google Scholar]
  45. Alqudah, A.M.; Qazan, S.; Masad, I.S. Artificial intelligence framework for efficient detection and classification of pneumonia using chest radiography images. J. Med. Biol. Eng. 2021, 41, 599–609. [Google Scholar] [CrossRef]
  46. Lascu, M.R. Deep learning in classification of COVID-19 coronavirus, pneumonia and healthy lungs on CXR and CT images. J. Med. Biol. Eng. 2021, 41, 514–522. [Google Scholar] [CrossRef]
  47. Singh, S.; Kumar, M.; Kumar, A.; Verma, B.K.; Abhishek, K.; Selvarajan, S. Efficient pneumonia detection using Vision Transformers on chest X-rays. Sci. Rep. 2024, 14, 2487. [Google Scholar] [CrossRef]
  48. Ha, P.N.; Doucet, A.; Tran, G.S. Vision transformer for pneumonia classification in X-ray images. In Proceedings of the 2023 8th International Conference on Intelligent Information Technology, Da Nang, Vietnam, 24–26 February 2023; pp. 185–192. [Google Scholar]
  49. Kotei, E.; Thirunavukarasu, R. Tuberculosis Detection from Chest X-Ray Image Modalities Based on Transformer and Convolutional Neural Network. IEEE Access 2024, 12, 97417–97430. [Google Scholar] [CrossRef]
  50. Rajeshwari, R.; Geetha, R. Twin-Layer Attention Graph Convolutional Network (TLA-GCN): Enhancing Abnormality Detection in Chest X-rays. Appl. Soft Comput. 2025, 181, 113514. [Google Scholar] [CrossRef]
  51. Mooney, P. Chest X-Ray Images (Pneumonia). 2018. Available online: https://www.kaggle.com/datasets/paultimothymooney/chest-xray-pneumonia (accessed on 10 June 2025).
  52. Candès, E.J.; Donoho, D.L. Curvelets—A Surprisingly Effective Nonadaptive Representation for Objects with Edges. In Curves and Surfaces; Vanderbilt University Press: Nashville, TN, USA, 1999; pp. 105–120. [Google Scholar]
  53. Daugman, J.G. Uncertainty relation for resolution in space, spatial frequency, and orientation optimized by two-dimensional visual cortical filters. J. Opt. Soc. Am. A 1985, 2, 1160–1169. [Google Scholar] [CrossRef]
  54. Weickert, J. Anisotropic Diffusion in Image Processing; Teubner: Stuttgart, Germany, 1998. [Google Scholar]
  55. He, K.; Zhang, X.; Ren, S.; Sun, J. Deep residual learning for image recognition. In Proceedings of the IEEE Conference on Computer Vision and Pattern Recognition (CVPR), Las Vegas, NV, USA, 26 June–1 July 2016; pp. 770–778. [Google Scholar]
  56. He, K.; Zhang, X.; Ren, S.; Sun, J. Identity mappings in deep residual networks. In Proceedings of the European Conference on Computer Vision (ECCV), Amsterdam, The Netherlands, 11–14 October 2016; Springer: Cham, Switzerland, 2016; pp. 630–645. [Google Scholar]
  57. Woo, S.; Park, J.; Lee, J.Y.; Kweon, I.S. CBAM: Convolutional Block Attention Module. In Proceedings of the European Conference on Computer Vision (ECCV), Munich, Germany, 8–14 September 2018; pp. 3–19. [Google Scholar]
  58. Ojala, T.; Pietikainen, M.; Maenpaa, T. Multiresolution gray-scale and rotation invariant texture classification with local binary patterns. IEEE Trans. Pattern Anal. Mach. Intell. 2002, 24, 971–987. [Google Scholar] [CrossRef]
  59. Haralick, R.M.; Shanmugam, K.; Dinstein, I.H. Textural features for image classification. IEEE Trans. Syst. Man Cybern. 1973, SMC-3, 610–621. [Google Scholar] [CrossRef]
  60. Acharya, U.R.; Saba, L.; Molinari, F.; Guerriero, S.; Suri, J.S. Ovarian tumor characterization and classification using ultrasound: A new online paradigm. Ovarian Neoplasm Imaging 2013, 26, 413–423. [Google Scholar]
  61. Shannon, C.E. A mathematical theory of communication. Bell Syst. Tech. J. 1948, 27, 379–423. [Google Scholar] [CrossRef]
  62. Hu, M.K. Visual pattern recognition by moment invariants. IRE Trans. Inf. Theory 1962, 8, 179–187. [Google Scholar]
  63. Khotanzad, A.; Hong, Y.H. Invariant image recognition by Zernike moments. IEEE Trans. Pattern Anal. Mach. Intell. 1990, 12, 489–497. [Google Scholar] [CrossRef]
  64. Guyon, I.; Weston, J.; Barnhill, S.; Vapnik, V. Gene selection for cancer classification using support vector machines. Mach. Learn. 2002, 46, 389–422. [Google Scholar] [CrossRef]
  65. Bishop, C.M. Pattern Recognition and Machine Learning; Springer: New York, NY, USA, 2006. [Google Scholar]
  66. An, Q.; Chen, W.; Shao, W. A deep convolutional neural network for pneumonia detection in X-ray images with attention ensemble. Diagnostics 2024, 14, 390. [Google Scholar] [CrossRef]
  67. Rabbah, J.; Ridouani, M.; Hassouni, L. Improving pneumonia diagnosis with high-accuracy CNN-Based chest X-ray image classification and integrated gradient. Biomed. Signal Process. Control 2025, 101, 107239. [Google Scholar] [CrossRef]
  68. Angara, S.; Mannuru, N.R.; Mannuru, A.; Thirunagaru, S. A novel method to enhance pneumonia detection via a model-level ensembling of CNN and vision transformer. arXiv 2024, arXiv:2401.02358. [Google Scholar] [CrossRef]
Figure 1. Normal images (a,b); pneumonia images (c,d).
Figure 1. Normal images (a,b); pneumonia images (c,d).
Diagnostics 15 02041 g001
Figure 2. Enhanced ResNet-50 framework.
Figure 2. Enhanced ResNet-50 framework.
Diagnostics 15 02041 g002
Figure 3. ROC curve for variant 1 showing AUC performance.
Figure 3. ROC curve for variant 1 showing AUC performance.
Diagnostics 15 02041 g003
Figure 4. ROC curve for variant 2 showing AUC performance.
Figure 4. ROC curve for variant 2 showing AUC performance.
Diagnostics 15 02041 g004
Figure 5. ROC curve for variant 3 showing AUC performance.
Figure 5. ROC curve for variant 3 showing AUC performance.
Diagnostics 15 02041 g005
Figure 6. ROC curve for variant 4 showing AUC performance.
Figure 6. ROC curve for variant 4 showing AUC performance.
Diagnostics 15 02041 g006
Figure 7. Confusion matrix for Variant 4.
Figure 7. Confusion matrix for Variant 4.
Diagnostics 15 02041 g007
Figure 8. Grad-CAM visualization.
Figure 8. Grad-CAM visualization.
Diagnostics 15 02041 g008
Table 1. Recent studies on pneumonia detection from chest X-ray images.
Table 1. Recent studies on pneumonia detection from chest X-ray images.
S.NoTitleMethodologyDatasetContributionChallenges
1Interpretable DL for Pneumonia [37]ResNet-50 and CAM and LRPKaggle Chest X-ray ImagesRobust classification with explainabilityLack of interpretability
2MobileNet-based Pneumonia Detection [38]MobileNetV2Kaggle Chest X-ray Images and ChestX-ray14Lightweight model suitable for mobile deploymentLack of explainability tools and dataset bias
3Ensemble DCNNs for Pneumonia Detection [39]DenseNet169, MobileNetV2, and Vision TransformerKaggle Chest X-ray ImageFusion of architectures for robustnessHyper parameter tuning and lack of interpretability
4Pneumonia Detection with Weak Labels [40]Weak supervision with ResNet34Kaggle Chest X-ray Images and RAIG datasetAccurate detection and localization with weak supervisionLack of quantitative analysis for localization accuracy
5Hybrid Inception-Residual Model [41]Fine-tuned Inception ResNetV2 and transfer learningLabeled Optical Coherence Tomography (OCT) and Chest X-Ray ImagesSuperior feature extraction and computational efficiencyModel generalization and overfitting
6Pneumonia Detection via CNN-ViT Fusion [42]ResNet34 and Vision Transformer fusionKaggle Chest X-ray ImagesCombined local/global attention for classificationImage quality requirements
7Cardio-Respiratory Disease Detection via DL Ensembles [43]Deep Learning Ensemble approachNIH Chest X-ray datasetArchitecture fusion for reliabilityLack of model interpretability and computational complexity
8Radiologist-Level DL (CheXNet) [44]DenseNet-121 pretrainedChestX-ray14Exceeded radiologist-level performanceComputational complexity
9AI Model for Pneumonia Classification [45]Ensemble classifiersNIH ChestX-ray14 DatasetHybrid AI framework combining deep features and PSO-based feature optimizationAbsence of explainability
10DL-Based Lung Condition Classifier (CXR + CT) [46]Transfer learning modelKaggle datasetSorting system for COVID-19 implementedHigher computational resources and time
11ViT-Based Pneumonia Detection [47]Vision Transformer (ViT) architectureKaggle Chest X-ray (CXR)Proposal of a ViT-based ArchitectureData scarcity and real world validation
12Transformer Model for X-ray Pneumonia Detection [48]Ensembling Vision Transformer and Convolutional Neural NetworkKaggle Pediatric Pneumonia DatasetImproved accuracy using ViTHigh computational resource requirement
13TB Classification via CNN and Transformer [49]Ensembling data-efficient image transformer and the Residual Network-16 modelTBX11K datasetHybrid CNN-Transformer detection modelLimited generalization due to dataset bias
14Twin-layer attention graph convolutional network (TLA-GCN): Enhancing abnormality detection in chest X-rays [50]Twin-Layer Attention Graph Convolutional Network (TLA-GCN)NIH Chest X-ray and COVID-19 datasetBetter representation of inter-region dependencies in chest X-raysHigh computational cost
Table 2. Stratified dataset details.
Table 2. Stratified dataset details.
SubsetNormal ImagesPneumonia ImagesTotal Images
Train110829914099
Test237641878
Validation238641879
Table 3. ResNet-50 architecture-residual block.
Table 3. ResNet-50 architecture-residual block.
StageLayer NameOutput Size
1Convolution layer 1 112 × 112 × 64
2MaxPool 56 × 56 × 64
3Convolution layer 2 56 × 56 × 256
4Convolution layer 3 28 × 28 × 512
5Convolution layer 4 14 × 14 × 1024
6Convolution layer 5 7 × 7 × 2048
Table 5. Top 15 features selected using Recursive Feature Elimination (RFE) with linear SVM.
Table 5. Top 15 features selected using Recursive Feature Elimination (RFE) with linear SVM.
RankFeature NameTypeScore
1Deep_Feature_1493Deep (ResNet-50)1.000
2GLCM_Contrast_90deg_LBPHandcrafted0.986
3Deep_Feature_876Deep (ResNet-50)0.974
4Zernike_Magnitude_3_orgHandcrafted0.966
5Deep_Feature_112Deep (ResNet-50)0.954
6Hu_Moment_2_LBPHandcrafted0.942
7Deep_Feature_1985Deep (ResNet-50)0.939
8FD_LBPHandcrafted0.932
9Deep_Feature_320Deep (ResNet-50)0.921
10LBP_Histogram_EntropyHandcrafted0.915
11Deep_Feature_2021Deep (ResNet-50)0.901
12Zernike_Phase_2_LBPHandcrafted0.899
13Deep_Feature_1055Deep (ResNet-50)0.885
14Shannon_Entropy_OrigHandcrafted0.874
15GLCM_Homogeneity_135deg_orgHandcrafted0.861
Table 6. Performance comparison of four model variants.
Table 6. Performance comparison of four model variants.
MetricVariant 1Variant 2Variant 3Variant 4
Accuracy (%)85.9082.4084.6096.08
Sensitivity0.9820.9720.9850.9595
Specificity0.6540.5770.6150.9496
Precision (PPV)0.8250.7930.8100.9809
AUC0.9490.9600.9630.985
Table 7. Computational cost and performance comparison between baseline ResNet-50 and proposed framework.
Table 7. Computational cost and performance comparison between baseline ResNet-50 and proposed framework.
Metric/StepBaseline ResNet-50Proposed RFE-
Optimized Pipeline
Feature Extraction Time1.8 min1.8 min
Feature Selection Time (RFE-1000 feats)2.0 min
Total Training Time1.8 min3.8 min
Inference Time per Image90 ms60 ms
Classification Accuracy85.90%96.02%
Table 8. Comparison of recent studies for pneumonia detection using chest X-rays.
Table 8. Comparison of recent studies for pneumonia detection using chest X-rays.
StudyDatasetAccuracy (%)Sensitivity (%)Specificity (%)AUC/F1 Score
Pneumonia Classification via MobileNet [38]Kaggle Chest X-Ray Images [51]94.23-
DCNN with Attention Ensemble for Pneumonia [66]Kaggle Chest X-Ray Images [51]95.1993.8497.43AUC: 0.9564
CNN-Based Pneumonia Detection with Integrated Gradients [67]Kaggle Chest X-Ray Images [51]97.23
Model-Level Ensemble of CNN and ViT for Pneumonia Detection [68]Kaggle Chest X-Ray Images [51]94.87
Proposed-Enhanced ResNet-50 (Variant 4 )Kaggle Chest X-Ray Images [51]96.0895.9594.96AUC: 0.98
Disclaimer/Publisher’s Note: The statements, opinions and data contained in all publications are solely those of the individual author(s) and contributor(s) and not of MDPI and/or the editor(s). MDPI and/or the editor(s) disclaim responsibility for any injury to people or property resulting from any ideas, methods, instructions or products referred to in the content.

Share and Cite

MDPI and ACS Style

Sebastian, N.; Ankayarkanni, B. Enhanced ResNet-50 with Multi-Feature Fusion for Robust Detection of Pneumonia in Chest X-Ray Images. Diagnostics 2025, 15, 2041. https://doi.org/10.3390/diagnostics15162041

AMA Style

Sebastian N, Ankayarkanni B. Enhanced ResNet-50 with Multi-Feature Fusion for Robust Detection of Pneumonia in Chest X-Ray Images. Diagnostics. 2025; 15(16):2041. https://doi.org/10.3390/diagnostics15162041

Chicago/Turabian Style

Sebastian, Neenu, and B. Ankayarkanni. 2025. "Enhanced ResNet-50 with Multi-Feature Fusion for Robust Detection of Pneumonia in Chest X-Ray Images" Diagnostics 15, no. 16: 2041. https://doi.org/10.3390/diagnostics15162041

APA Style

Sebastian, N., & Ankayarkanni, B. (2025). Enhanced ResNet-50 with Multi-Feature Fusion for Robust Detection of Pneumonia in Chest X-Ray Images. Diagnostics, 15(16), 2041. https://doi.org/10.3390/diagnostics15162041

Note that from the first issue of 2016, this journal uses article numbers instead of page numbers. See further details here.

Article Metrics

Back to TopTop