Electrochemotherapy in Spine Metastases: A Case Series Focused on Technical Aspects, Surgical Strategies and Results
Abstract
1. Introduction
2. Material and Methods
3. Results
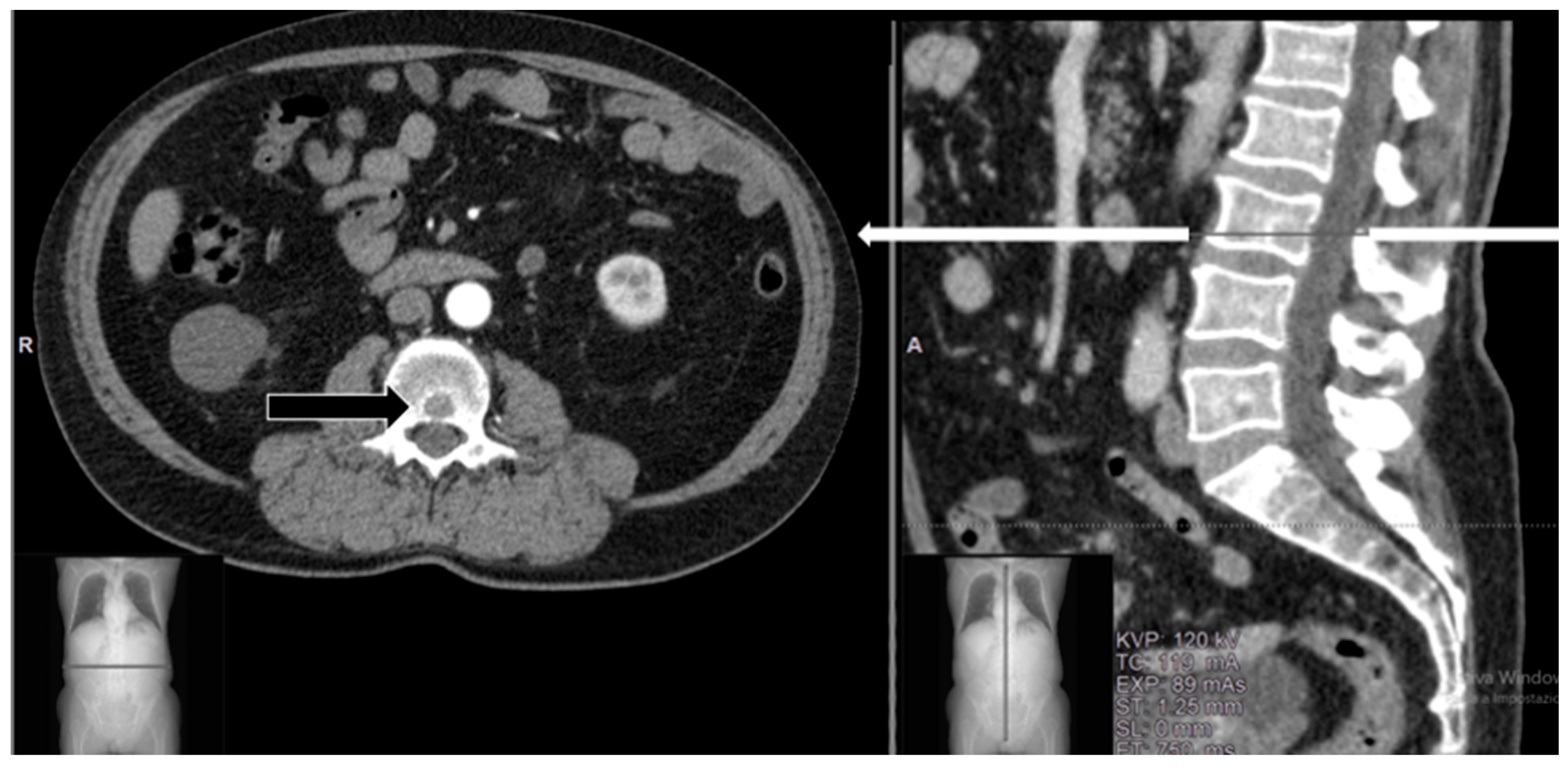
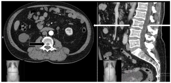
4. Case Series
5. Discussion
6. Conclusions
Author Contributions
Funding
Institutional Review Board Statement
Informed Consent Statement
Data Availability Statement
Conflicts of Interest
References
- Coleman, R.E. Metastatic bone disease: Clinical features, pathophysiology and treatment strategies. Cancer Treat. Rev. 2001, 27, 165–176. [Google Scholar] [CrossRef] [PubMed]
- Allemani, C.; Weir, H.K.; Carreira, H.; Harewood, R.; Spika, D.; Wang, X.S.; Bannon, F.; Ahn, J.V.; Johnson, C.J.; Bonaventure, A.; et al. Global surveillance of cancer survival 1995–2009: Analysis of individual data for 25,676,887 patients from 279 population-based registries in 67 countries (CONCORD-2). Lancet 2015, 385, 977–1010. [Google Scholar] [CrossRef]
- Janka, M.; Füssel, S. Spinal metastases—Diagnosis and treatment. MMW-Fortschritte Der Med. 2016, 158, 50–54. [Google Scholar] [CrossRef]
- Chiu, R.G.; Mehta, A.I. Spinal Metastases. JAMA 2020, 323, 2438. [Google Scholar] [CrossRef] [PubMed]
- Ecker, R.D.; Endo, T.; Wetjen, N.M.; Krauss, W.E. Diagnosis and treatment of vertebral column metastases. Mayo Clin. Proc. 2005, 80, 1177–1186. [Google Scholar] [CrossRef]
- Choi, D.; Crockard, A.; Bunger, C.; Harms, J.; Kawahara, N.; Mazel, C.; Melcher, R.; Tomita, K.; Global Spine Tumor Study Group. Review of metastatic spine tumour classification and indications for surgery: The consensus statement of the Global Spine Tumour Study Group. Eur. Spine J. 2010, 19, 215–222. [Google Scholar] [CrossRef] [PubMed]
- Kam, N.M.; Maingard, J.; Kok, H.K.; Ranatunga, D.; Brooks, D.; Torreggiani, W.C.; Munk, P.L.; Lee, M.J.; Chandra, R.V.; Asadi, H. Combined Vertebral Augmentation and Radiofrequency Ablation in the Management of Spinal Metastases: An Update. Curr. Treat. Options Oncol. 2017, 18, 74. [Google Scholar] [CrossRef] [PubMed]
- Tomasian, A.; Gangi, A.; Wallace, A.N.; Jennings, J.W. Percutaneous Thermal Ablation of Spinal Metastases: Recent Advances and Review. Am. J. Roentgenol. 2018, 210, 142–152. [Google Scholar] [CrossRef] [PubMed]
- Tomasian, A.; Jennings, J.W. Spine metastases: Thermal ablation and augmentation. Skeletal. Radiol. 2023, 52, 1921–1928. [Google Scholar] [CrossRef]
- Bocchi, M.B.; Meschini, C.; Pietramala, S.; Perna, A.; Oliva, M.S.; Matrangolo, M.R.; Ziranu, A.; Maccauro, G.; Vitiello, R. Electrochemotherapy in the Treatment of Bone Metastases: A Systematic Review. J. Clin. Med. 2023, 12, 6150. [Google Scholar] [CrossRef]
- Tedesco, G.; Noli, L.E.; Griffoni, C.; Ghermandi, R.; Facchini, G.; Peta, G.; Papalexis, N.; Asunis, E.; Pasini, S.; Gasbarrini, A. Electrochemotherapy in Aggressive Hemangioma of the Spine: A Case Series and Narrative Literature Review. J. Clin. Med. 2024, 13, 1239. [Google Scholar] [CrossRef] [PubMed]
- Gasbarrini, A.; Campos, W.K.; Campanacci, L.; Boriani, S. Electrochemotherapy to Metastatic Spinal Melanoma: A Novel Treatment of Spinal Metastasis? Spine 2015, 40, E1340–E1346. [Google Scholar] [CrossRef] [PubMed]
- American Spinal Injury Association. Reference Manual of the International Standards for Neurological Classification of Spinal Cord Injury; American Spinal Injury Association: Chicago, IL, USA, 2003. [Google Scholar]
- Mir, L.M.; Gehl, J.; Sersa, G.; Collins, C.G.; Garbay, J.R.; Billard, V.; Geertsen, P.F.; Rudolf, Z.; O’Sullivan, G.C.; Marty, M. Standard operating procedures of the electrochemotherapy: Instructions for the use of bleomycin or cisplatin administered either systemically or locally and electric pulses delivered by Cliniporator by means of invasive or non-invasive electrodes. Eur. J. Cancer Suppl. 2006, 4, 14–25. [Google Scholar] [CrossRef]
- Campana, L.G.; Mocellin, S.; Basso, M.; Puccetti, O.; De Salvo, G.L.; Chiarion-Sileni, V.; Vecchiato, A.; Corti, L.; Rossi, C.R.; Nitti, D. Bleomycin-based electrochemotherapy: Clinical outcome from a single institution’s experience with 52 patients. Ann. Surg. Oncol. 2009, 16, 191–199. [Google Scholar] [CrossRef] [PubMed]
- Cindrič, H.; Kos, B.; Tedesco, G.; Cadossi, M.; Gasbarrini, A.; Miklavčič, D. Electrochemotherapy of Spinal Metastases Using Transpedicular Approach-A Numerical Feasibility Study. Technol. Cancer Res. Treat. 2018, 17, 1533034618770253. [Google Scholar] [CrossRef]
- Cornelis, F.H.; Ben Ammar, M.; Nouri-Neuville, M.; Matton, L.; Benderra, M.A.; Gligorov, J.; Fallet, V.; Mir, L.M. Percutaneous Image-Guided Electrochemotherapy of Spine Metastases: Initial Experience. CardioVascular Interv. Radiol. 2019, 42, 1806–1809. [Google Scholar] [CrossRef] [PubMed]
- Deschamps, F.; Tselikas, L.; Yevich, S.; Bonnet, B.; Roux, C.; Kobe, A.; Besse, B.; Berthelot, K.; Gaudin, A.; Mir, L.M.; et al. Electrochemotherapy in radiotherapy-resistant epidural spinal cord compression in metastatic cancer patients. Eur. J. Cancer 2023, 186, 62–68. [Google Scholar] [CrossRef] [PubMed]
- Reinhold, U. Electrochemotherapy for primary skin cancer and skin metastasis related to other malignancies. Anti-Cancer Drugs 2011, 22, 711–718. [Google Scholar] [CrossRef]
- Okino, M.; Tomie, H.; Kanesada, H.; Marumoto, M.; Esato, K.; Suzuki, H. Optimal electric conditions in electrical impulse chemotherapy. Jpn. J. Cancer Res. 1992, 83, 1095–1101. [Google Scholar] [CrossRef]
- Okino, M.; Esato, K. The effects of a single high voltage electrical stimulation with an anticancer drug on in vivo growing malignant tumors. Jpn. J. Surg. 1990, 20, 197–204. [Google Scholar] [CrossRef]
- Mir, L.M.; Orlowski, S.; Belehradek, J., Jr.; Paoletti, C. Electrochemotherapy potentiation of antitumour effect of bleomycin by local electric pulses. Eur. J. Cancer 1991, 27, 68–72. [Google Scholar] [CrossRef] [PubMed]
- Mir, L.M.; Tounekti, O.; Orlowski, S. Bleomycin: Revival of an old drug. Gen. Pharmacol. 1996, 27, 745–748. [Google Scholar] [CrossRef]
- Giardino, R.; Fini, M.; Bonazzi, V.; Cadossi, R.; Nicolini, A.; Carpi, A. Electrochemotherapy a novel approach to the treatment of metastatic nodules on the skin and subcutaneous tissues. Biomed. Pharmacother. 2006, 60, 458–462. [Google Scholar] [CrossRef] [PubMed]
- Cappellari, A.; Trovarelli, G.; Crimì, A.; Pala, E.; Angelini, A.; Berizzi, A.; Ruggieri, P. New concepts in the surgical treatment of actual and impending pathological fractures in metastatic disease. Injury 2023, 54 (Suppl. S1), S31–S35. [Google Scholar] [CrossRef] [PubMed]
- Koo, K.; Lam, K.; Mittmann, N.; Konski, A.; Dennis, K.; Zeng, L.; Lam, H.; Chow, E. Comparing cost-effectiveness analyses of denosumab versus zoledronic acid for the treatment of bone metastases. Support. Care Cancer 2013, 21, 1785–1791. [Google Scholar] [CrossRef]
- Tokuhashi, Y.; Ajiro, Y.; Oshima, M. Algorithms and planning in metastatic spine tumors. Orthop. Clin. N. Am. 2009, 40, 37–46, v–vi. [Google Scholar] [CrossRef] [PubMed]
- Tokuhashi, Y.; Matsuzaki, H.; Oda, H.; Oshima, M.; Ryu, J. A Revised Scoring System for Preoperative Evaluation of Metastatic Spine Tumor Prognosis. Spine 2005, 30, 2186–2191. [Google Scholar] [CrossRef] [PubMed]
- Igoumenou, V.G.; Mavrogenis, A.F.; Angelini, A.; Baracco, R.; Benzakour, A.; Benzakour, T.; Bork, M.; Vazifehdan, F.; Nena, U.; Ruggieri, P. Complications of spine surgery for metastasis. Eur. J. Orthop. Surg. Traumatol. 2020, 30, 37–56. [Google Scholar] [CrossRef] [PubMed]
- Andrade, D.L.; Guedert, R.; Pintarelli, G.B.; Rangel, M.M.; Oliveira, K.D.; Quadros, P.G.; Suzuki, D.O. Electrochemotherapy treatment safety under parallel needle deflection. Sci. Rep. 2022, 12, 2766. [Google Scholar] [CrossRef]
- Campana, L.G.; Edhemovic, I.; Soden, D.; Perrone, A.M.; Scarpa, M.; Campanacci, L.; Cemazar, M.; Valpione, S.; Miklavčič, D.; Mocellin, S.; et al. Electrochemotherapy—Emerging applications technical advances, new indications, combined approaches, and multi-institutional collaboration. Eur. J. Surg. Oncol. 2019, 45, 92–102. [Google Scholar] [CrossRef]








| Ref. (Years) | Type Study | N. Pt | Type of Primary Tumor | Spine Level | ECT Electrode Placement | Outcome (*) |
|---|---|---|---|---|---|---|
| [12] (2015) | Case report | 1 | Melanoma | Lumbar | Surgical procedure: Hemilaminectomy | Pain relief Good MRI response |
| [16] (2018) | Case reports | 2 | N/A | Lumbar Thoracic | Minimally invasive: Transpedicular Approach | N/A |
| [17] (2019) | Case reports | 2 | Breast carcinoma; Lung carcinoma | Lumbar | Percutaneous CT guided (pedicles\vertebral body) | Pain relief Good MRI response |
| [18] (2023) | Case series | 40 | Thyroid carcinoma; Lung carcinoma; Sarcoma; Others (*) | Cervical Lumbar Thoracic | Percutaneous CT guided (pedicles\vertebral body) | Pain relief Neurological improvement Good MRI response |
| Present study | Case series | 3 | Myxofibrosarcoma; Squamous cell carcinoma of skin; leiomyosarcoma | Lumbar | Transpedicular approach during surgical procedure | Pain relief and neurological improvement ** |
Disclaimer/Publisher’s Note: The statements, opinions and data contained in all publications are solely those of the individual author(s) and contributor(s) and not of MDPI and/or the editor(s). MDPI and/or the editor(s) disclaim responsibility for any injury to people or property resulting from any ideas, methods, instructions or products referred to in the content. |
© 2024 by the authors. Licensee MDPI, Basel, Switzerland. This article is an open access article distributed under the terms and conditions of the Creative Commons Attribution (CC BY) license (https://creativecommons.org/licenses/by/4.0/).
Share and Cite
Angelini, A.; D’Amico, A.; Paolilli, S.; Signori, R.; Baldin, G.; Di Rubbo, G.; Denaro, L.; Ruggieri, P. Electrochemotherapy in Spine Metastases: A Case Series Focused on Technical Aspects, Surgical Strategies and Results. Diagnostics 2024, 14, 936. https://doi.org/10.3390/diagnostics14090936
Angelini A, D’Amico A, Paolilli S, Signori R, Baldin G, Di Rubbo G, Denaro L, Ruggieri P. Electrochemotherapy in Spine Metastases: A Case Series Focused on Technical Aspects, Surgical Strategies and Results. Diagnostics. 2024; 14(9):936. https://doi.org/10.3390/diagnostics14090936
Chicago/Turabian StyleAngelini, Andrea, Alberto D’Amico, Stefania Paolilli, Riccardo Signori, Giovanni Baldin, Giuseppe Di Rubbo, Luca Denaro, and Pietro Ruggieri. 2024. "Electrochemotherapy in Spine Metastases: A Case Series Focused on Technical Aspects, Surgical Strategies and Results" Diagnostics 14, no. 9: 936. https://doi.org/10.3390/diagnostics14090936
APA StyleAngelini, A., D’Amico, A., Paolilli, S., Signori, R., Baldin, G., Di Rubbo, G., Denaro, L., & Ruggieri, P. (2024). Electrochemotherapy in Spine Metastases: A Case Series Focused on Technical Aspects, Surgical Strategies and Results. Diagnostics, 14(9), 936. https://doi.org/10.3390/diagnostics14090936

