Update on Sentinel Lymph Node Methods and Pathology in Breast Cancer
Abstract
1. Introduction
2. The SLN Concept in BC
2.1. Physiopathological Features
2.2. Methodologies in Nuclear Medicine
2.2.1. Generalities
2.2.2. Radiopharmaceuticals
2.2.3. Injection Procedures
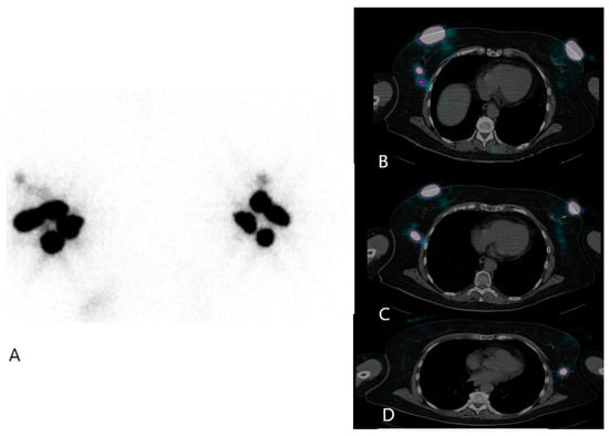
2.2.4. Imaging Procedures
2.2.5. Preoperative Detection of SLNs
3. Pathological Examination of SLNs in BC
3.1. Generalities
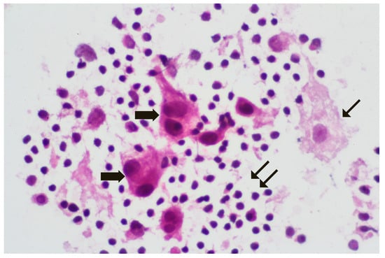
3.2. Intraoperative SLN Examination (Extemporaneous Examination)
3.3. Definitive Anatomopathological Examination
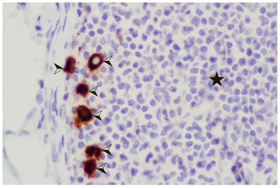
3.4. Particular Features of SLNs in BC
3.4.1. Invasive Lobular Carcinoma Setting
3.4.2. Extranodal Extension
4. Conclusions
Funding
Institutional Review Board Statement
Informed Consent Statement
Data Availability Statement
Conflicts of Interest
References
- Cabanas, R.M. An approach for the treatment of penile carcinoma. Cancer 1977, 39, 456–466. [Google Scholar] [CrossRef] [PubMed]
- Morton, D.L.; Wen, D.R.; Wong, J.H.; Economou, J.S.; Cagle, L.A.; Storm, F.K.; Foshag, L.J.; Cochran, A.J. Technical details of intraoperative lymphatic mapping for early-stage melanoma. Arch. Surg. 1992, 127, 392–399. [Google Scholar] [CrossRef] [PubMed]
- Giuliano, A.E.; Kirgan, D.M.; Guenther, J.M.; Morton, D.L. Lymphatic mapping and sentinel lymphadenectomy for breast cancer. Ann. Surg. 1994, 220, 391–398. [Google Scholar] [CrossRef] [PubMed]
- Krag, D.N.; Weaver, D.L.; Alex, J.C.; Fairbank, J.T. Surgical resection and radiolocalization of the sentinel lymph node in breast cancer using a gamma probe. Surg. Oncol. 1993, 2, 335–339. [Google Scholar] [CrossRef] [PubMed]
- Siegel, R.L.; Miller, K.D.; Fuchs, H.E.; Jemal, A. Cancer Statistics, 2021. CA Cancer J. Clin. 2021, 71, 7–33. [Google Scholar] [CrossRef] [PubMed]
- Zurrida, S.; Veronesi, U. Milestones in breast cancer treatment. Breast J. 2015, 21, 3–12. [Google Scholar] [CrossRef] [PubMed]
- Liu, Y. Role of FDG PET-CT in evaluation of locoregional nodal disease for initial staging of breast cancer. World J. Clin. Oncol. 2014, 5, 982–989. [Google Scholar] [CrossRef] [PubMed]
- Beek, M.A.; Verheuvel, N.C.; Luiten, E.J.; Klompenhouwer, E.G.; Rutten, H.J.; Roumen, R.M.; Gobardhan, P.D.; Voogd, A.C. Two decades of axillary management in breast cancer. Br. J. Surg. 2015, 102, 1658–1664. [Google Scholar] [CrossRef]
- Hersh, E.H.; King, T.A. De-escalating axillary surgery in early-stage breast cancer. Breast 2022, 62 (Suppl. S1), S43–S49. [Google Scholar] [CrossRef]
- Singletary, S.E.; Allred, C.; Ashley, P.; Bassett, L.W.; Berry, D.; Bland, K.I.; Borgen, P.I.; Clark, G.; Edge, S.B.; Hayes, D.F.; et al. Revision of the American Joint Committee on Cancer staging system for breast cancer. J. Clin. Oncol. 2002, 20, 3628–3636. [Google Scholar] [CrossRef]
- O’Sullivan, B.; Brierley, J.; Byrd, D.; Bosman, F.; Kehoe, S.; Kossary, C.; Piñeros, M.; Van Eycken, E.; Weir, H.K.; Gospodarowicz, M. The TNM classification of malignant tumours-towards common understanding and reasonable expectations. Lancet Oncol. 2017, 18, 849–851. [Google Scholar] [CrossRef] [PubMed]
- Suami, H.; Pan, W.R.; Mann, G.B.; Taylor, G.I. The lymphatic anatomy of the breast and its implications for sentinel lymph node biopsy: A human cadaver study. Ann. Surg. Oncol. 2008, 15, 863–871. [Google Scholar] [CrossRef] [PubMed]
- Turner-Warwick, R.T. The lymphatics of the breast. Br. J. Surg. 1959, 46, 574–582. [Google Scholar] [CrossRef] [PubMed]
- Estourgie, S.H.; Nieweg, O.E.; Olmos, R.A.; Rutgers, E.J.; Kroon, B.B. Lymphatic drainage patterns from the breast. Ann. Surg. 2004, 239, 232–237. [Google Scholar] [CrossRef] [PubMed]
- Lyman, G.H.; Giuliano, A.E.; Somerfield, M.R.; Benson, A.B., 3rd; Bodurka, D.C.; Burstein, H.J.; Cochran, A.J.; Cody, H.S., 3rd; Edge, S.B.; Galper, S.; et al. American Society of Clinical Oncology guideline recommendations for sentinel lymph node biopsy in early-stage breast cancer. J. Clin. Oncol. 2005, 23, 7703–7720. [Google Scholar] [CrossRef]
- Vera, D.R.; Wallace, A.M.; Hoh, C.K.; Mattrey, R.F. A synthetic macromolecule for sentinel node detection: (99m)Tc-DTPA-mannosyl-dextran. J. Nucl. Med. 2001, 42, 951–959. [Google Scholar]
- Vidal-Sicart, S.; Rioja, M.E.; Prieto, A.; Goñi, E.; Gómez, I.; Albala, M.D.; Lumbreras, L.; León, L.F.; Gómez, J.R.; Campos, F. Sentinel Lymph Node Biopsy in Breast Cancer with 99mTc-Tilmanocept: A Multicenter Study on Real-Life Use of a Novel Tracer. J. Nucl. Med. 2021, 62, 620–627. [Google Scholar] [CrossRef]
- Unkart, J.T.; Hosseini, A.; Wallace, A.M. Tc-99m tilmanocept versus Tc-99m sulfur colloid in breast cancer sentinel lymph node identification: Results from a randomized, blinded clinical trial. J. Surg. Oncol. 2017, 116, 819–823. [Google Scholar] [CrossRef]
- Giammarile, F.; Alazraki, N.; Aarsvold, J.N.; Audisio, R.A.; Glass, E.; Grant, S.F.; Kunikowska, J.; Leidenius, M.; Moncayo, V.M.; Uren, R.F.; et al. The EANM and SNMMI practice guideline for lymphoscintigraphy and sentinel node localization in breast cancer. Eur. J. Nucl. Med. Mol. Imaging 2013, 40, 1932–1947. [Google Scholar] [CrossRef]
- Uren, R.F.; Howman-Giles, R.B.; Thompson, J.F.; Malouf, D.; Ramsey-Stewart, G.; Niesche, F.W.; Renwick, S.B. Mammary lymphoscintigraphy in breast cancer. J. Nucl. Med. 1995, 36, 1775–1780. [Google Scholar]
- Ahmed, M.; Purushotham, A.D.; Horgan, K.; Klaase, J.M.; Douek, M. Meta-analysis of superficial versus deep injection of radioactive tracer and blue dye for lymphatic mapping and detection of sentinel lymph nodes in breast cancer. Br. J. Surg. 2015, 102, 169–181. [Google Scholar] [CrossRef] [PubMed]
- Valdés Olmos, R.A.; Rietbergen, D.D.; Vidal-Sicart, S.; Manca, G.; Giammarile, F.; Mariani, G. Contribution of SPECT/CT imaging to radioguided sentinel lymph node biopsy in breast cancer, melanoma, and other solid cancers: From “open and see” to “see and open”. Q. J. Nucl. Med. Mol. Imaging 2014, 58, 127–139. [Google Scholar]
- Freebody, J.; Fernando, S.; Rossleigh, M.A. Triple-site radiotracer application in breast lymphoscintigraphy and sentinel node discordance. World J. Nucl. Med. 2019, 18, 127–131. [Google Scholar] [CrossRef] [PubMed]
- Jimenez-Heffernan, A.; Ellmann, A.; Sado, H.; Huić, D.; Bal, C.; Parameswaran, R.; Giammarile, F.; Pruzzo, R.; Kostadinova, I.; Vorster, M.; et al. Results of a Prospective Multicenter International Atomic Energy Agency Sentinel Node Trial on the Value of SPECT/CT Over Planar Imaging in Various Malignancies. J. Nucl. Med. 2015, 56, 1338–1344. [Google Scholar] [CrossRef] [PubMed]
- Mucientes Rasilla, J.; Farge Balbín, L.; Cardona Arboniés, J.; Moreno Elola-Olaso, A.; Delgado-Bolton, R.; Izarduy Pereyra, L.; Rodríguez Rey, C.; Lapeña Gutiérrez, L.; González Maté, A.; Román Santamaría, J.M.; et al. SPECT-TAC: Una nueva herramienta para la localización del ganglio centinela en pacientes con cáncer de mama [SPECT-CT: A new tool for localisation of sentinel lymph nodes in breast cancer patients]. Rev. Esp. Med. Nucl. 2008, 27, 183–190. [Google Scholar] [CrossRef] [PubMed]
- Borrelli, P.; Donswijk, M.L.; Stokkel, M.P.; Teixeira, S.C.; van Tinteren, H.; Rutgers, E.J.; Valdés Olmos, R.A. Contribution of SPECT/CT for sentinel node localization in patients with ipsilateral breast cancer relapse. Eur. J. Nucl. Med. Mol. Imaging 2017, 44, 630–637. [Google Scholar] [CrossRef] [PubMed][Green Version]
- Magnoni, F.; Corso, G.; Gilardi, L.; Pagan, E.; Massari, G.; Girardi, A.; Ghidinelli, F.; Bagnardi, V.; Galimberti, V.; Grana, C.M.; et al. Does failed mapping predict sentinel lymph node metastasis in cN0 breast cancer? Future Oncol. 2022, 18, 193–204. [Google Scholar] [CrossRef] [PubMed]
- Asirvatham, J.R.; Jorns, J.M. How Do Pathologists in Academic Institutions across the United States and Canada Evaluate Sentinel Lymph Nodes in Breast Cancer? A Practice Survey. Am. J. Clin. Pathol. 2021, 156, 980–988. [Google Scholar] [CrossRef]
- Compton, M.L.; Sweeting, R.S.; Reisenbichler, E.S. Intraoperative sentinel lymph node evaluation: Optimizing surgical pathology practices in an era of changing clinical management. Ann. Diagn. Pathol. 2018, 33, 45–50. [Google Scholar] [CrossRef]
- Krishnamurthy, S.; Meric-Bernstam, F.; Lucci, A.; Hwang, R.F.; Kuerer, H.M.; Babiera, G.; Ames, F.C.; Feig, B.W.; Ross, M.I.; Singletary, E.; et al. A prospective study comparing touch imprint cytology, frozen section analysis, and rapid cytokeratin immunostain for intraoperative evaluation of axillary sentinel lymph nodes in breast cancer. Cancer 2009, 115, 1555–1562. [Google Scholar] [CrossRef]
- Tiernan, J.P.; Verghese, E.T.; Nair, A.; Pathak, S.; Kim, B.; White, J.; Thygesen, H.; Horgan, K.; Hanby, A.M. Systematic review and meta-analysis of cytokeratin 19-based one-step nucleic acid amplification versus histopathology for sentinel lymph node assessment in breast cancer. Br. J. Surg. 2014, 101, 298–306. [Google Scholar] [CrossRef] [PubMed]
- Van Trappen, P.O.; Gyselman, V.G.; Lowe, D.G.; Ryan, A.; Oram, D.H.; Bosze, P.; Weekes, A.R.; Shepherd, J.H.; Dorudi, S.; Bustin, S.A.; et al. Molecular quantification and mapping of lymph-node micrometastases in cervical cancer. Lancet 2001, 357, 15–20. [Google Scholar] [CrossRef] [PubMed]
- Cook, M.G.; Massi, D.; Szumera-Ciećkiewicz, A.; Van den Oord, J.; Blokx, W.; van Kempen, L.C.; Balamurugan, T.; Bosisio, F.; Koljenović, S.; Portelli, F.; et al. An updated European Organisation for Research and Treatment of Cancer (EORTC) protocol for pathological evaluation of sentinel lymph nodes for melanoma. Eur. J. Cancer 2019, 114, 1–7. [Google Scholar] [CrossRef] [PubMed]
- Weaver, D.L. Pathology evaluation of sentinel lymph nodes in breast cancer: Protocol recommendations and rationale. Mod. Pathol. 2010, 23 (Suppl. S2), S26–S32. [Google Scholar] [CrossRef] [PubMed]
- Cote, R.J.; Peterson, H.F.; Chaiwun, B.; Gelber, R.D.; Goldhirsch, A.; Castiglione-Gertsch, M.; Gusterson, B.; Neville, A.M. Role of immunohistochemical detection of lymph-node metastases in management of breast cancer. International Breast Cancer Study Group. Lancet 1999, 354, 896–900. [Google Scholar] [CrossRef] [PubMed]
- Vanderveen, K.A.; Ramsamooj, R.; Bold, R.J. A prospective, blinded trial of touch prep analysis versus frozen section for intraoperative evaluation of sentinel lymph nodes in breast cancer. Ann. Surg. Oncol. 2008, 15, 2006–2011. [Google Scholar] [CrossRef] [PubMed]
- Fortunato, L.; Amini, M.; Farina, M.; Rapacchietta, S.; Costarelli, L.; Piro, F.R.; Alessi, G.; Pompili, P.; Bianca, S.; Vitelli, C.E. Intraoperative examination of sentinel nodes in breast cancer: Is the glass half full or half empty? Ann. Surg. Oncol. 2004, 11, 1005–1010. [Google Scholar] [CrossRef]
- Mori, M.; Tada, K.; Ikenaga, M.; Miyagi, Y.; Nishimura, S.; Takahashi, K.; Makita, M.; Iwase, T.; Kasumi, F.; Koizumi, M. Frozen section is superior to imprint cytology for the intra-operative assessment of sentinel lymph node metastasis in stage I breast cancer patients. World J. Surg. Oncol. 2006, 4, 26. [Google Scholar] [CrossRef]
- Jaffer, S.; Bleiweiss, I.J. Evolution of sentinel lymph node biopsy in breast cancer, in and out of vogue? Adv. Anat. Pathol. 2014, 21, 433–442. [Google Scholar] [CrossRef]
- Cox, C.; Centeno, B.; Dickson, D.; Clark, J.; Nicosia, S.; Dupont, E.; Greenberg, H.; Stowell, N.; White, L.; Patel, J.; et al. Accuracy of intraoperative imprint cytology for sentinel lymph node evaluation in the treatment of breast carcinoma. Cancer 2005, 105, 13–20. [Google Scholar] [CrossRef]
- Motomura, K.; Nagumo, S.; Komoike, Y.; Koyama, H.; Inaji, H. Accuracy of imprint cytology for intraoperative diagnosis of sentinel node metastases in breast cancer. Ann. Surg. 2008, 247, 839–842. [Google Scholar] [CrossRef] [PubMed]
- Giuliano, A.E.; Ballman, K.V.; McCall, L.; Beitsch, P.D.; Brennan, M.B.; Kelemen, P.R.; Ollila, D.W.; Hansen, N.M.; Whitworth, P.W.; Blumencranz, P.W.; et al. Effect of Axillary Dissection vs No Axillary Dissection on 10-Year Overall Survival among Women with Invasive Breast Cancer and Sentinel Node Metastasis: The ACOSOG Z0011 (Alliance) Randomized Clinical Trial. JAMA 2017, 318, 918–926. [Google Scholar] [CrossRef] [PubMed]
- Jorns, J.M.; Kidwell, K.M. Sentinel Lymph Node Frozen-Section Utilization Declines After Publication of American College of Surgeons Oncology Group Z0011 Trial Results with No Change in Subsequent Surgery for Axillary Lymph Node Dissection. Am. J. Clin. Pathol. 2016, 146, 57–66. [Google Scholar] [CrossRef] [PubMed]
- Caudle, A.S.; Hunt, K.K.; Tucker, S.L.; Hoffman, K.; Gainer, S.M.; Lucci, A.; Kuerer, H.M.; Meric-Bernstam, F.; Shah, R.; Babiera, G.V.; et al. American College of Surgeons Oncology Group (ACOSOG) Z0011: Impact on surgeon practice patterns. Ann. Surg. Oncol. 2012, 19, 3144–3151. [Google Scholar] [CrossRef] [PubMed]
- Wright, G.P.; Mater, M.E.; Sobel, H.L.; Knoll, G.M.; Oostendorp, L.D.; Melnik, M.K.; Chung, M.H. Measuring the impact of the American College of Surgeons Oncology Group Z0011 trial on breast cancer surgery in a community health system. Am. J. Surg. 2015, 209, 240–245. [Google Scholar] [CrossRef] [PubMed]
- Bishop, J.A.; Sun, J.; Ajkay, N.; Sanders, M.A. Decline in Frozen Section Diagnosis for Axillary Sentinel Lymph Nodes as a Result of the American College of Surgeons Oncology Group Z0011 Trial. Arch. Pathol. Lab. Med. 2016, 140, 830–835. [Google Scholar] [CrossRef] [PubMed]
- Weiss, A.; Mittendorf, E.A.; DeSnyder, S.M.; Hwang, R.F.; Bea, V.; Bedrosian, I.; Hoffman, K.; Adrade, B.; Sahin, A.A.; Kuerer, H.M.; et al. Expanding Implementation of ACOSOG Z0011 in Surgeon Practice. Clin. Breast Cancer 2018, 18, 276–281. [Google Scholar] [CrossRef] [PubMed]
- Giuliano, A.E.; Hunt, K.K.; Ballman, K.V.; Beitsch, P.D.; Whitworth, P.W.; Blumencranz, P.W.; Leitch, A.M.; Saha, S.; McCall, L.M.; Morrow, M. Axillary dissection vs no axillary dissection in women with invasive breast cancer and sentinel node metastasis: A randomized clinical trial. JAMA 2011, 305, 569–575. [Google Scholar] [CrossRef]
- Galimberti, V.; Cole, B.F.; Zurrida, S.; Viale, G.; Luini, A.; Veronesi, P.; Baratella, P.; Chifu, C.; Sargenti, M.; Intra, M.; et al. International Breast Cancer Study Group Trial 23-01 investigators. Axillary dissection versus no axillary dissection in patients with sentinel-node micrometastases (IBCSG 23-01): A phase 3 randomised controlled trial. Lancet Oncol. 2013, 14, 297–305. [Google Scholar] [CrossRef]
- Donker, M.; van Tienhoven, G.; Straver, M.E.; Meijnen, P.; van de Velde, C.J.; Mansel, R.E.; Cataliotti, L.; Westenberg, A.H.; Klinkenbijl, J.H.; Orzalesi, L.; et al. Radiotherapy or surgery of the axilla after a positive sentinel node in breast cancer (EORTC 10981-22023 AMAROS): A randomised, multicentre, open-label, phase 3 non-inferiority trial. Lancet Oncol. 2014, 15, 1303–1310. [Google Scholar] [CrossRef]
- Mittendorf, E.A.; Bellon, J.R.; King, T.A. Regional Nodal Management in Patients with Clinically Node-Negative Breast Cancer Undergoing Upfront Surgery. J. Clin. Oncol. 2020, 38, 2273–2280. [Google Scholar] [CrossRef] [PubMed]
- Kantor, O.; Means, J.; Grossmith, S.; Dey, T.; Bellon, J.R.; Mittendorf, E.A.; King, T.A. Optimizing Axillary Management in Clinical T1-2N0 Mastectomy Patients with Positive Sentinel Lymph Nodes. Ann. Surg. Oncol. 2022, 29, 972–980. [Google Scholar] [CrossRef] [PubMed]
- Weiss, A.; Lin, H.; Babiera, G.V.; Bedrosian, I.; Shaitelman, S.F.; Shen, Y.; Kuerer, H.M.; Mittendorf, E.A.; Caudle, A.S.; Hunt, K.K.; et al. Evolution in practice patterns of axillary management following mastectomy in patients with 1–2 positive sentinel nodes. Breast Cancer Res. Treat. 2019, 176, 435–444. [Google Scholar] [CrossRef] [PubMed]
- The American Society of Breast Surgeons. Consensus Guideline on Axillary Management for Patients with In-Situ and Invasive Breast Cancer: A Concise Overview. Available online: https://www.breastsurgeons.org/docs/statements/Consensus-Guidelineon-the-Management-of-the-Axilla-Concise-Overview.pdf (accessed on 17 November 2023).
- Boughey, J.C.; Suman, V.J.; Mittendorf, E.A.; Ahrendt, G.M.; Wilke, L.G.; Taback, B.; Leitch, A.M.; Kuerer, H.M.; Bowling, M.; Flippo-Morton, T.S.; et al. Sentinel lymph node surgery after neoadjuvant chemotherapy in patients with node-positive breast cancer: The ACOSOG Z1071 (Alliance) clinical trial. JAMA 2013, 310, 1455–1461. [Google Scholar] [CrossRef] [PubMed]
- Kuehn, T.; Bauerfeind, I.; Fehm, T.; Fleige, B.; Hausschild, M.; Helms, G.; Lebeau, A.; Liedtke, C.; von Minckwitz, G.; Nekljudova, V.; et al. Sentinel-lymph-node biopsy in patients with breast cancer before and after neoadjuvant chemotherapy (SENTINA): A prospective, multicentre cohort study. Lancet Oncol. 2013, 14, 609–618. [Google Scholar] [CrossRef] [PubMed]
- Boileau, J.F.; Poirier, B.; Basik, M.; Holloway, C.M.; Gaboury, L.; Sideris, L.; Meterissian, S.; Arnaout, A.; Brackstone, M.; McCready, D.R.; et al. Sentinel node biopsy after neoadjuvant chemotherapy in biopsy-proven node-positive breast cancer: The SN FNAC study. J. Clin. Oncol. 2015, 33, 258–264. [Google Scholar] [CrossRef]
- Liu, L.C.; Lang, J.E.; Lu, Y.; Roe, D.; Hwang, S.E.; Ewing, C.A.; Esserman, L.J.; Morita, E.; Treseler, P.; Leong, S.P. Intraoperative frozen section analysis of sentinel lymph nodes in breast cancer patients: A meta-analysis and single-institution experience. Cancer 2011, 117, 250–258. [Google Scholar] [CrossRef] [PubMed]
- Barakat, F.H.; Sulaiman, I.; Sughayer, M.A. Reliability of frozen section in breast sentinel lymph node examination. Breast Cancer 2014, 21, 576–582. [Google Scholar] [CrossRef]
- Jensen, A.J.; Naik, A.M.; Pommier, R.F.; Vetto, J.T.; Troxell, M.L. Factors influencing accuracy of axillary sentinel lymph node frozen section for breast cancer. Am. J. Surg. 2010, 199, 629–635. [Google Scholar] [CrossRef]
- Grabenstetter, A.; Moo, T.A.; Hajiyeva, S.; Schüffler, P.J.; Khattar, P.; Friedlander, M.A.; McCormack, M.A.; Raiss, M.; Zabor, E.C.; Barrio, A.; et al. Accuracy of Intraoperative Frozen Section of Sentinel Lymph Nodes after Neoadjuvant Chemotherapy for Breast Carcinoma. Am. J. Surg. Pathol. 2019, 43, 1377–1383. [Google Scholar] [CrossRef]
- Czaja, R.; Wu, R.; Jorns, J.M. Breast Sentinel Lymph Node Frozen Section Practice: An Enterprise Audit as a Guide for Moving Forward. Arch. Pathol. Lab. Med. 2021, 145, 1018–1024. [Google Scholar] [CrossRef] [PubMed]
- Akay, C.L.; Albarracin, C.; Torstenson, T.; Bassett, R.; Mittendorf, E.A.; Yi, M.; Kuerer, H.M.; Babiera, G.V.; Bedrosian, I.; Hunt, K.K.; et al. Factors impacting the accuracy of intra-operative evaluation of sentinel lymph nodes in breast cancer. Breast J. 2018, 24, 28–34. [Google Scholar] [CrossRef] [PubMed]
- Holck, S.; Galatius, H.; Engel, U.; Wagner, F.; Hoffmann, J. False-negative frozen section of sentinel lymph node biopsy for breast cancer. Breast 2004, 13, 42–48. [Google Scholar] [CrossRef] [PubMed]
- Turner, R.R.; Hansen, N.M.; Stern, S.L.; Giuliano, A.E. Intraoperative examination of the sentinel lymph node for breast carcinoma staging. Am. J. Clin. Pathol. 1999, 112, 627–634. [Google Scholar] [CrossRef] [PubMed]
- Wong, J.; Yong, W.S.; Thike, A.A.; Iqbal, J.; Salahuddin, A.S.; Ho, G.H.; Madhukumar, P.; Tan, B.K.; Ong, K.W.; Tan, P.H. False negative rate for intraoperative sentinel lymph node frozen section in patients with breast cancer: A retrospective analysis of patients in a single Asian institution. J. Clin. Pathol. 2015, 68, 536–540. [Google Scholar] [CrossRef]
- Lombardi, A.; Nigri, G.; Maggi, S.; Stanzani, G.; Vitale, V.; Vecchione, A.; Nania, A.; Amanti, C. Role of frozen section in sentinel lymph node biopsy for breast cancer in the era of the ACOSOG Z0011 and IBCSG 23-10 trials. Surgeon 2018, 16, 232–236. [Google Scholar] [CrossRef] [PubMed]
- Poling, J.S.; Tsangaris, T.N.; Argani, P.; Cimino-Mathews, A. Frozen section evaluation of breast carcinoma sentinel lymph nodes: A retrospective review of 1940 cases. Breast Cancer Res. Treat. 2014, 148, 355–361. [Google Scholar] [CrossRef] [PubMed]
- Hashmi, A.A.; Riaz, R.; Zia, S.; Shahid, H.; Malik, U.A.; Khan, R.; Irfan, M.; Shamail, F.; Zia, F.; Asif, M.G. Impact of Histological Type and Grade on the Diagnostic Accuracy of Intraoperative Frozen Section for Detecting Breast Cancer Metastasis to Axillary Sentinel Lymph Nodes. Cureus 2021, 13, e16146. [Google Scholar] [CrossRef]
- Leidenius, M.H.; Krogerus, L.A.; Toivonen, T.S.; Von Smitten, K.J. The feasibility of intraoperative diagnosis of sentinel lymph node metastases in breast cancer. J. Surg. Oncol. 2003, 84, 68–73. [Google Scholar] [CrossRef]
- Tew, K.; Irwig, L.; Matthews, A.; Crowe, P.; Macaskill, P. Meta-analysis of sentinel node imprint cytology in breast cancer. Br. J. Surg. 2005, 92, 1068–1080. [Google Scholar] [CrossRef]
- Beach, R.A.; Lawson, D.; Waldrop, S.M.; Cohen, C. Rapid immunohistochemistry for cytokeratin in the intraoperative evaluation of sentinel lymph nodes for metastatic breast carcinoma. Appl. Immunohistochem. Mol. Morphol. 2003, 11, 45–50. [Google Scholar] [CrossRef] [PubMed]
- Tsujimoto, M.; Nakabayashi, K.; Yoshidome, K.; Kaneko, T.; Iwase, T.; Akiyama, F.; Kato, Y.; Tsuda, H.; Ueda, S.; Sato, K.; et al. One-step nucleic acid amplification for intraoperative detection of lymph node metastasis in breast cancer patients. Clin. Cancer Res. 2007, 13, 4807–4816. [Google Scholar] [CrossRef] [PubMed]
- Caudle, A.S.; Hunt, K.K.; Kuerer, H.M.; Meric-Bernstam, F.; Lucci, A.; Bedrosian, I.; Babiera, G.V.; Hwang, R.F.; Ross, M.I.; Feig, B.W.; et al. Multidisciplinary considerations in the implementation of the findings from the American College of Surgeons Oncology Group (ACOSOG) Z0011 study: A practice-changing trial. Ann. Surg. Oncol. 2011, 18, 2407–2412. [Google Scholar] [CrossRef][Green Version]
- Mamtani, A.; Zabor, E.C.; Stempel, M.; Morrow, M. Lobular Histology Does Not Predict the Need for Axillary Dissection among ACOSOG Z0011-Eligible Breast Cancers. Ann. Surg. Oncol. 2019, 26, 3269–3274. [Google Scholar] [CrossRef] [PubMed]
- Majid, S.; Rydén, L.; Manjer, J. Determinants for non-sentinel node metastases in primary invasive breast cancer: A population-based cohort study of 602 consecutive patients with sentinel node metastases. BMC Cancer 2019, 19, 626. [Google Scholar] [CrossRef]
- Zhang, J.; Ling, Y.; Wang, T.; Yan, C.; Huang, M.; Fan, Z.; Ling, R.; Chinese Society of Breast Surgery. Analysis of sentinel lymph node biopsy and non-sentinel lymph node metastasis in invasive ductal and invasive lobular breast cancer: A nationwide cross-sectional study (CSBrS-001). Ann. Transl. Med. 2021, 9, 1588. [Google Scholar] [CrossRef] [PubMed]
- Gao, W.; Zeng, Y.; Fei, X.; Chen, X.; Shen, K. Axillary lymph node and non-sentinel lymph node metastasis among the ACOSOG Z0011 eligible breast cancer patients with invasive ductal, invasive lobular, or other histological special types: A multi-institutional retrospective analysis. Breast Cancer Res. Treat. 2020, 184, 193–202. [Google Scholar] [CrossRef] [PubMed]
- Corona, S.P.; Bortul, M.; Scomersi, S.; Bigal, C.; Bottin, C.; Zanconati, F.; Fox, S.B.; Giudici, F.; Generali, D. Management of the axilla in breast cancer: Outcome analysis in a series of ductal versus lobular invasive cancers. Breast Cancer Res. Treat. 2020, 180, 735–745. [Google Scholar] [CrossRef]
- Mersin, H.; Yildirim, E.; Gülben, K.; Berberoğlu, U. Is invasive lobular carcinoma different from invasive ductal carcinoma? Eur. J. Surg. Oncol. 2003, 29, 390–395. [Google Scholar] [CrossRef]
- Korhonen, T.; Huhtala, H.; Holli, K. A comparison of the biological and clinical features of invasive lobular and ductal carcinomas of the breast. Breast Cancer Res. Treat. 2004, 85, 23–29. [Google Scholar] [CrossRef]
- Molland, J.G.; Donnellan, M.; Janu, N.C.; Carmalt, H.L.; Kennedy, C.W.; Gillett, D.J. Infiltrating lobular carcinoma—A comparison of diagnosis, management and outcome with infiltrating duct carcinoma. Breast 2004, 13, 389–396. [Google Scholar] [CrossRef] [PubMed]
- Vo, T.N.; Meric-Bernstam, F.; Yi, M.; Buchholz, T.A.; Ames, F.C.; Kuerer, H.M.; Bedrosian, I.; Hunt, K.K. Outcomes of breast-conservation therapy for invasive lobular carcinoma are equivalent to those for invasive ductal carcinoma. Am. J. Surg. 2006, 192, 552–555. [Google Scholar] [CrossRef] [PubMed]
- Jayasinghe, U.W.; Bilous, A.M.; Boyages, J. Is survival from infiltrating lobular carcinoma of the breast different from that of infiltrating ductal carcinoma? Breast J. 2007, 13, 479–485. [Google Scholar] [CrossRef]
- Luo, S.; Fu, W.; Lin, J.; Zhang, J.; Song, C. Prognosis and local treatment strategies of breast cancer patients with different numbers of micrometastatic lymph nodes. World J. Surg. Oncol. 2023, 21, 202. [Google Scholar] [CrossRef] [PubMed]
- Liikanen, J.S.; Leidenius, M.H.; Joensuu, H.; Vironen, J.H.; Meretoja, T.J. Prognostic value of isolated tumour cells in sentinel lymph nodes in early-stage breast cancer: A prospective study. Br. J. Cancer 2018, 118, 1529–1535. [Google Scholar] [CrossRef] [PubMed]
- Merfeld, E.C.; Burr, A.R.; Brickson, C.; Neuman, H.B.; Anderson, B.M. De-escalating Locoregional Therapy for Axillary Micrometastases in Breast Cancer: How Much is Too Much? Clin. Breast Cancer 2022, 22, 336–342. [Google Scholar] [CrossRef]
- Creager, A.J.; Geisinger, K.R.; Perrier, N.D.; Shen, P.; Shaw, J.A.; Young, P.R.; Case, D.; Levine, E.A. Intraoperative imprint cytologic evaluation of sentinel lymph nodes for lobular carcinoma of the breast. Ann. Surg. 2004, 239, 61–66. [Google Scholar] [CrossRef]
- Cserni, G.; Bianchi, S.; Vezzosi, V.; Peterse, H.; Sapino, A.; Arisio, R.; Reiner-Concin, A.; Regitnig, P.; Bellocq, J.P.; Marin, C.; et al. The value of cytokeratin immunohistochemistry in the evaluation of axillary sentinel lymph nodes in patients with lobular breast carcinoma. J. Clin. Pathol. 2006, 59, 518–522. [Google Scholar] [CrossRef]
- Patel, A.; D’Alfonso, T.; Cheng, E.; Hoda, S.A. Sentinel Lymph Nodes in Classic Invasive Lobular Carcinoma of the Breast: Cytokeratin Immunostain Ensures Detection, and Precise Determination of Extent, of Involvement. Am. J. Surg. Pathol. 2017, 41, 1499–1505. [Google Scholar] [CrossRef]
- Fitzgibbons, P.L.; Connolly, J. Protocol for the Examination of Biopsy Specimens from Patients with Invasive Carcinoma of the Breast (Version 1.1.1.1); College of American Pathologists: Northfield, IL, USA, 2021. [Google Scholar]
- Choi, A.H.; Blount, S.; Perez, M.N.; Chavez de Paz, C.E.; Rodriguez, S.A.; Surrusco, M.; Garberoglio, C.A.; Lum, S.S.; Senthil, M. Size of Extranodal Extension on Sentinel Lymph Node Dissection in the American College of Surgeons Oncology Group Z0011 Trial Era. JAMA Surg. 2015, 150, 1141–1148. [Google Scholar] [CrossRef]
- Shigematsu, H.; Taguchi, K.; Koui, H.; Ohno, S. Clinical Significance of Extracapsular Invasion at Sentinel Lymph Nodes in Breast Cancer Patients with Sentinel Lymph Node Involvement. Ann. Surg. Oncol. 2015, 22, 2365–2371. [Google Scholar] [CrossRef]
- Gooch, J.; King, T.A.; Eaton, A.; Dengel, L.; Stempel, M.; Corben, A.D.; Morrow, M. The extent of extracapsular extension may influence the need for axillary lymph node dissection in patients with T1-T2 breast cancer. Ann. Surg. Oncol. 2014, 21, 2897–2903. [Google Scholar] [CrossRef] [PubMed]
- Yang, X.; Ma, X.; Yang, W.; Shui, R. Clinical significance of extranodal extension in sentinel lymph node positive breast cancer. Sci. Rep. 2020, 10, 14684. [Google Scholar] [CrossRef] [PubMed]
- Barrio, A.V.; Downs-Canner, S.; Edelweiss, M.; Van Zee, K.J.; Cody, H.S., 3rd; Gemignani, M.L.; Pilewskie, M.L.; Plitas, G.; El-Tamer, M.; Kirstein, L.; et al. Microscopic Extracapsular Extension in Sentinel Lymph Nodes Does Not Mandate Axillary Dissection in Z0011-Eligible Patients. Ann. Surg. Oncol. 2020, 27, 1617–1624. [Google Scholar] [CrossRef] [PubMed]
- Nottegar, A.; Veronese, N.; Senthil, M.; Roumen, R.M.; Stubbs, B.; Choi, A.H.; Verheuvel, N.C.; Solmi, M.; Pea, A.; Capelli, P.; et al. Extra-nodal extension of sentinel lymph node metastasis is a marker of poor prognosis in breast cancer patients: A systematic review and an exploratory meta-analysis. Eur. J. Surg. Oncol. 2016, 42, 919–925. [Google Scholar] [CrossRef]
- Maguire, A.; Brogi, E. Sentinel lymph nodes for breast carcinoma: An update on current practice. Histopathology 2016, 68, 152–167. [Google Scholar] [CrossRef]




Disclaimer/Publisher’s Note: The statements, opinions and data contained in all publications are solely those of the individual author(s) and contributor(s) and not of MDPI and/or the editor(s). MDPI and/or the editor(s) disclaim responsibility for any injury to people or property resulting from any ideas, methods, instructions or products referred to in the content. |
© 2024 by the authors. Licensee MDPI, Basel, Switzerland. This article is an open access article distributed under the terms and conditions of the Creative Commons Attribution (CC BY) license (https://creativecommons.org/licenses/by/4.0/).
Share and Cite
Zhang-Yin, J.; Mauel, E.; Talpe, S. Update on Sentinel Lymph Node Methods and Pathology in Breast Cancer. Diagnostics 2024, 14, 252. https://doi.org/10.3390/diagnostics14030252
Zhang-Yin J, Mauel E, Talpe S. Update on Sentinel Lymph Node Methods and Pathology in Breast Cancer. Diagnostics. 2024; 14(3):252. https://doi.org/10.3390/diagnostics14030252
Chicago/Turabian StyleZhang-Yin, Jules, Etienne Mauel, and Stéphanie Talpe. 2024. "Update on Sentinel Lymph Node Methods and Pathology in Breast Cancer" Diagnostics 14, no. 3: 252. https://doi.org/10.3390/diagnostics14030252
APA StyleZhang-Yin, J., Mauel, E., & Talpe, S. (2024). Update on Sentinel Lymph Node Methods and Pathology in Breast Cancer. Diagnostics, 14(3), 252. https://doi.org/10.3390/diagnostics14030252
