Creating a Foundation for the Visualization of Intracranial Cerebrospinal Fluid Using Photon-Counting Technology in Spectral Imaging for Cranial CT
Abstract
1. Introduction
2. Materials and Methods
2.1. Patients
2.2. Image Acquisition
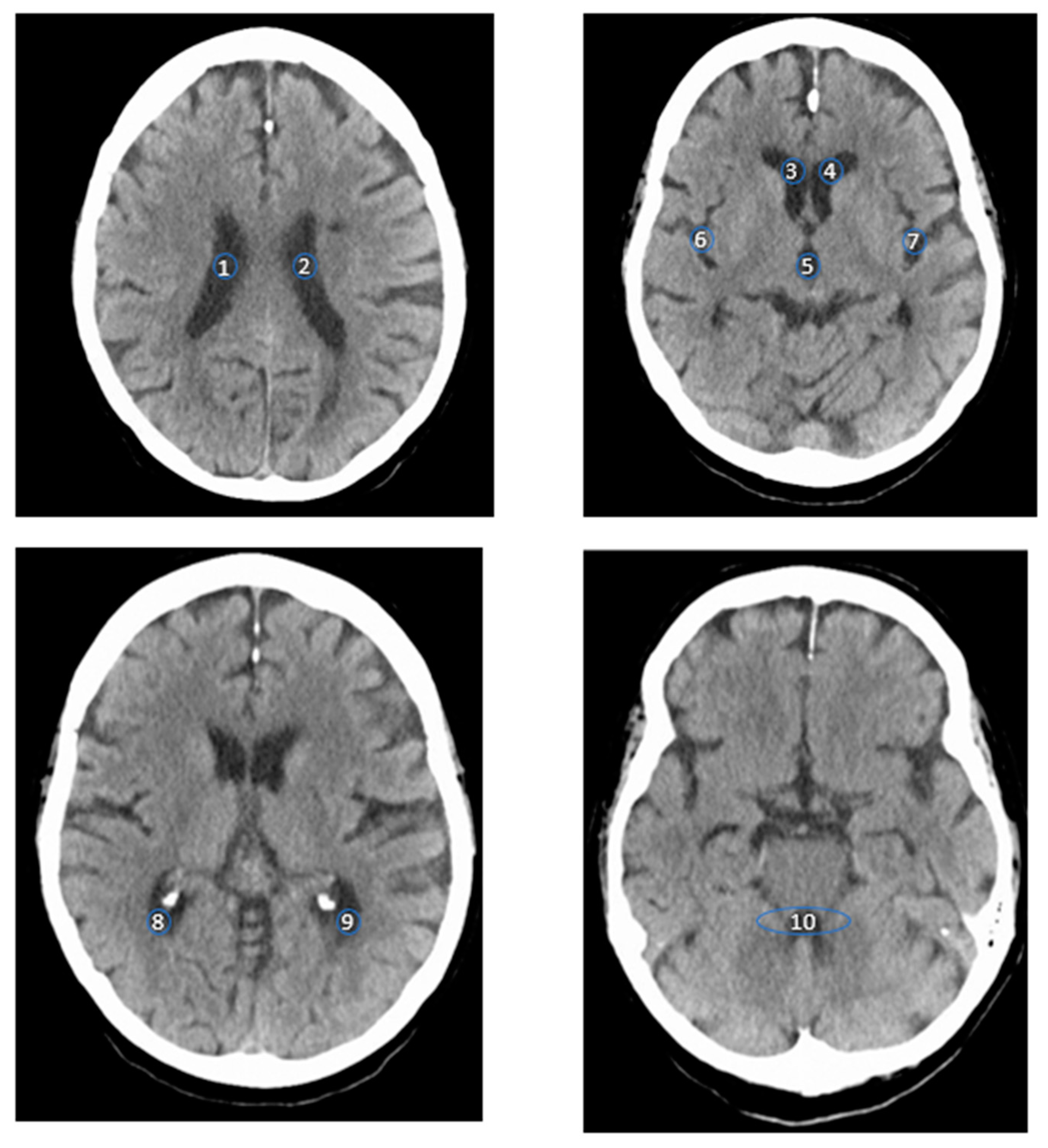
2.3. Evaluation
2.4. Sigal-to-Noise Ratio
2.5. Statistical Analysis
3. Results
4. Discussion
5. Conclusions
Author Contributions
Funding
Institutional Review Board Statement
Informed Consent Statement
Data Availability Statement
Acknowledgments
Conflicts of Interest
References
- Benson, J.C.; Campeau, N.G.; Diehn, F.E.; Lane, J.I.; Leng, S.; Moonis, G.; ASHNR Research Committee. Photon-Counting CT in the Head and Neck: Current Applications and Future Prospects. AJNR Am. J. Neuroradiol. 2024, 45, 1000–1005. [Google Scholar] [CrossRef] [PubMed]
- Abel, F.; Schubert, T.; Winklhofer, S. Advanced Neuroimaging with Photon-Counting Detector CT. Investig. Radiol. 2023, 58, 472–481. [Google Scholar] [CrossRef] [PubMed]
- McCollough, C.H.; Rajendran, K.; Leng, S.; Yu, L.; Fletcher, J.G.; Stierstorfer, K.; Flohr, T.G. The technical development of photon-counting detector CT. Eur. Radiol. 2023, 33, 5321–5330. [Google Scholar] [CrossRef] [PubMed] [PubMed Central]
- Klempka, A.; Ackermann, E.; Clausen, S.; Groden, C. Photon Counting Computed Tomography for Accurate Cribriform Plate (Lamina Cribrosa) Imaging in Adult Patients. Tomography 2024, 10, 400–414. [Google Scholar] [CrossRef] [PubMed] [PubMed Central]
- Leng, S.; Rajendran, K.; Gong, H.; Zhou, W.; Halaweish, A.F.; Henning, A.; Kappler, S.; Baer, M.; Fletcher, J.G.; McCollough, C.H. 150-μm Spatial Resolution Using Photon-Counting Detector Computed Tomography Technology: Technical Performance and First Patient Images. Investig. Radiol. 2018, 53, 655–662. [Google Scholar] [CrossRef] [PubMed] [PubMed Central]
- Greffier, J.; Villani, N.; Defez, D.; Dabli, D.; Si-Mohamed, S. Spectral CT imaging: Technical principles of dual-energy CT and multi-energy photon-counting CT. Diagn. Interv. Imaging 2023, 104, 167–177. [Google Scholar] [CrossRef] [PubMed]
- Zsarnoczay, E.; Fink, N.; Schoepf, U.J.; Pinos, D.; O’Doherty, J.; Allmendinger, T.; Hagenauer, J.; Griffith Iii, J.P.; Vecsey-Nagy, M.; Maurovich-Horvat, P.; et al. Accuracy of ultra-high resolution and virtual non-calcium reconstruction algorithm for stenosis evaluation with photon-counting CT: Results from a dynamic phantom study. Eur. Radiol. Exp. 2024, 8, 102. [Google Scholar] [CrossRef] [PubMed] [PubMed Central]
- Michael, A.E.; Schoenbeck, D.; Woeltjen, M.M.; Boriesosdick, J.; Kroeger, J.R.; Moenninghoff, C.; Horstmeier, S.; Niehoff, J.H.; Kabbasch, C.; Goertz, L.; et al. Nonenhanced Photon Counting CT of the Head: Impact of the keV Level, Iterative Reconstruction and Calvaria on Image Quality in Monoenergetic Images. Clin. Neuroradiol. 2024, 34, 75–83. [Google Scholar] [CrossRef] [PubMed] [PubMed Central]
- Klempka, A.; Schröder, A.; Neumayer, P.; Groden, C.; Clausen, S.; Hetjens, S. Cranial Computer Tomography with Photon Counting and Energy-Integrated Detectors: Objective Comparison in the Same Patients. Diagnostics 2024, 14, 1019. [Google Scholar] [CrossRef] [PubMed] [PubMed Central]
- Bastos, P.; Ferreira, R.; Manadas, B.; Moreira, P.I.; Vitorino, R. Insights into the human brain proteome: Disclosing the biological meaning of protein networks in cerebrospinal fluid. Crit. Rev. Clin. Lab. Sci. 2017, 54, 185–204. [Google Scholar] [CrossRef] [PubMed]
- Klarica, M.; Radoš, M.; Orešković, D. The Movement of Cerebrospinal Fluid and Its Relationship with Substances Behavior in Cerebrospinal and Interstitial Fluid. Neuroscience 2019, 414, 28–48. [Google Scholar] [CrossRef] [PubMed]
- Williams, M.A.; Razumovsky, A.Y. Cerebrospinal fluid circulation, cerebral edema, and intracranial pressure. Curr. Opin. Neurol. 1993, 6, 847–853. [Google Scholar] [CrossRef] [PubMed]
- Bell, R.B.; Dierks, E.J.; Homer, L.; Potter, B.E. Management of cerebrospinal fluid leak associated with craniomaxillofacial trauma. J. Oral Maxillofac. Surg. 2004, 62, 676–684. [Google Scholar] [CrossRef] [PubMed]
- Ziu, M.; Savage, J.G.; Jimenez, D.F. Diagnosis and treatment of cerebrospinal fluid rhinorrhea following accidental traumatic anterior skull base fractures. Neurosurg. Focus. 2012, 32, E3. [Google Scholar] [CrossRef] [PubMed]
- Valles-Salgado, M.; Gil-Moreno, M.J.; Curiel Cid, R.E.; Delgado-Álvarez, A.; Ortega-Madueño, I.; Delgado-Alonso, C.; Palacios-Sarmiento, M.; López-Carbonero, J.I.; Cárdenas, M.C.; Matías-Guiu, J.; et al. Detection of cerebrospinal fluid biomarkers changes of Alzheimer’s disease using a cognitive stress test in persons with subjective cognitive decline and mild cognitive impairment. Front. Psychol. 2024, 15, 1373541. [Google Scholar] [CrossRef] [PubMed] [PubMed Central]
- Zhan, L.; Lv, Z.; Zhang, Y.; Chen, J.; Wang, L.; Huang, R.; Sun, Y.; Wu, W. Use of Metagenomic Next-Generation Sequencing to Identify Pathogens Involved in Central Nervous System Infections. Infect. Drug Resist. 2024, 17, 3605–3615. [Google Scholar] [CrossRef] [PubMed] [PubMed Central]
- Ligocki, A.P.; Vinson, A.V.; Yachnis, A.T.; Dunn, W.A., Jr.; Smith, D.E.; Scott, E.A.; Alvarez-Castanon, J.V.; Baez Montalvo, D.E.; Frisone, O.G.; Brown, G.A.J.; et al. Cerebrospinal fluid flow extends to peripheral nerves further unifying the nervous system. Sci. Adv. 2024, 10, eadn3259. [Google Scholar] [CrossRef] [PubMed]
- Edsbagge, M.; Tisell, M.; Jacobsson, L.; Wikkelso, C. Spinal CSF absorption in healthy individuals. Am. J. Physiol. Regul. Integr. Comp. Physiol. 2004, 287, R1450–R1455. [Google Scholar] [CrossRef] [PubMed]
- Hsu, H.T.; Cheng, H.C.; Hou, T.W.; Tzeng, Y.S.; Fuh, J.L.; Chen, S.P.; Chen, W.T.; Lee, W.J.; Pai, Y.W.; Lee, Y.C.; et al. Idiopathic intracranial hypertension in Asians: A retrospective dual-center study. J. Headache Pain 2024, 25, 144. [Google Scholar] [CrossRef] [PubMed]
- Klempka, A.; Neumayer, P.; Schröder, A.; Ackermann, E.; Hetjens, S.; Clausen, S.; Groden, C. Establishing a Foundation for the In Vivo Visualization of Intravascular Blood with Photon-Counting Technology in Spectral Imaging in Cranial CT. Diagnostics 2024, 14, 1561. [Google Scholar] [CrossRef] [PubMed] [PubMed Central]
- Anam, C.; Triadyaksa, P.; Naufal, A.; Arifin, Z.; Muhlisin, Z.; Setiawati, E.; Budi, W.S. Impact of ROI Size on the Accuracy of Noise Measurement in CT on Computational and ACR Phantoms. J. Biomed. Phys. Eng. 2022, 12, 359–368. [Google Scholar] [CrossRef] [PubMed] [PubMed Central]
- Sartoretti, T.; Wyss, M.; Sartoretti, E.; Reischauer, C.; Hainc, N.; Graf, N.; Binkert, C.; Najafi, A.; Sartoretti-Schefer, S. Sex and Age Dependencies of Aqueductal Cerebrospinal Fluid Dynamics Parameters in Healthy Subjects. Front. Aging Neurosci. 2019, 11, 199. [Google Scholar] [CrossRef] [PubMed] [PubMed Central]
- Filis, A.K.; Aghayev, K.; Vrionis, F.D. Cerebrospinal Fluid and Hydrocephalus: Physiology, Diagnosis, and Treatment. Cancer Control 2017, 24, 6–8. [Google Scholar] [CrossRef] [PubMed]
- Telano, L.N.; Baker, S. Physiology, Cerebral Spinal Fluid. In StatPearls; StatPearls Publishing: Treasure Island, FL, USA, 2024; Available online: https://www.ncbi.nlm.nih.gov/books/NBK519007/ (accessed on 4 July 2023).
- Sakka, L.; Coll, G.; Chazal, J. Anatomy and physiology of cerebrospinal fluid. Eur. Ann. Otorhinolaryngol. Head Neck Dis. 2011, 128, 309–316. [Google Scholar] [CrossRef] [PubMed]
- Spector, R.; Robert Snodgrass, S.; Johanson, C.E. A balanced view of the cerebrospinal fluid composition and functions: Focus on adult humans. Exp. Neurol. 2015, 273, 57–68. [Google Scholar] [CrossRef] [PubMed]
- Abraham, M.K.; Chang, W.W. Subarachnoid Hemorrhage. Emerg. Med. Clin. N. Am. 2016, 34, 901–916. [Google Scholar] [CrossRef] [PubMed]
- Putz, K.; Hayani, K.; Zar, F.A. Meningitis. Prim Care. 2013, 40, 707–726. [Google Scholar] [CrossRef] [PubMed]
- Harsaker, V.; Jensen, K.; Andersen, H.K.; Martinsen, A.C. Quantitative benchmarking of iodine imaging for two CT spectral imaging technologies: A phantom study. Eur. Radiol. Exp. 2021, 5, 24. [Google Scholar] [CrossRef]
- Le Bastard, N.; Martin, J.J.; Vanmechelen, E.; Vanderstichele, H.; De Deyn, P.P.; Engelborghs, S. Added diagnostic value of CSF biomarkers in differential dementia diagnosis. Neurobiol. Aging 2010, 31, 1867–1876. [Google Scholar] [CrossRef] [PubMed]
- Toledo, J.B.; Zetterberg, H.; van Harten, A.C.; Glodzik, L.; Martinez-Lage, P.; Bocchio-Chiavetto, L.; Rami, L.; Hansson, O.; Sperling, R.; Engelborghs, S.; et al. Alzheimer’s disease cerebrospinal fluid biomarker in cognitively normal subjects. Brain 2015, 138 Pt 9, 2701–2715. [Google Scholar] [CrossRef] [PubMed] [PubMed Central]
- Reis, A.E.; Spano, M.; Davis-Hayes, C.; Salama, G.R. Lumbar Puncture Complications: A Review of Current Literature. Curr. Pain Headache Rep. 2024, 28, 803–813. [Google Scholar] [CrossRef] [PubMed]

| a. Monoenergetic +67 keV HU—Measurements (HU) | ||||
|---|---|---|---|---|
| 5th Percentile | 10th Percentile | 90th Percentile | 95th Percentile | |
| Right LV AH | 5 | 6 | 14 | 15 |
| Right LV CP | 5 | 6 | 12 | 13 |
| Right LV PH | 6 | 7 | 14 | 16 |
| Left LV AH | 6 | 6.5 | 13 | 15 |
| Left LV CP | 5 | 6 | 12 | 13 |
| Left LV PC | 6 | 7 | 14 | 15 |
| 3rd V | 5 | 6 | 14 | 15 |
| 4th V | 6 | 6 | 13,5 | 15 |
| SF R | 8 | 9 | 17 | 19 |
| SF L | 5 | 8 | 18 | 19 |
| b. Virtual Native Phase (HU) | ||||
| 5th Percentile | 10th Percentile | 90th Percentile | 95th Percentile | |
| Right LV AH | 3 | 5 | 13.5 | 15 |
| Right LV CP | 2 | 3 | 13 | 14 |
| Right LV PH | 2 | 4 | 15.5 | 18 |
| Left LV AH | 4 | 5 | 14 | 17 |
| Left LV CP | 2 | 3.5 | 12 | 14 |
| Left LV PC | 0 | 3 | 13 | 14 |
| 3rd V | 2 | 3 | 14.5 | 16 |
| 4th V | 3 | 4 | 12 | 14 |
| SF R | 4 | 6 | 18.5 | 21 |
| SF L | 5 | 6 | 18 | 19 |
| c. Iodine Phase (HU) | ||||
| 5th Percentile | 10th Percentile | 90th Percentile | 95th Percentile | |
| Right LV AH | −5 | −4 | 5 | 7 |
| Right LV CP | −5 | −3 | 6 | 7 |
| Right LV PH | −6 | −4 | 6,5 | 7 |
| Left LV AH | −5 | −4 | 6 | 7 |
| Left LV CP | −4 | −3 | 5 | 6 |
| Left LV PC | −4 | −2 | 7 | 9 |
| 3rd V | −5 | −3 | 6 | 7 |
| 4th V | −3 | −2 | 7 | 7 |
| SF R | −5 | −4.5 | 7 | 10 |
| SF L | −5 | −3 | 7 | 8 |
| d. SNR | ||||
| SNR | ||||
| Right LV AH | 2.39 | |||
| Right LV CP | 2.29 | |||
| Right LV PH | 2.58 | |||
| Left LV AH | 8.17 | |||
| Left LV CP | 2.20 | |||
| Left LV PC | 2.65 | |||
| 3rd V | 2.33 | |||
| 4th V | 2.36 | |||
| SF R | 3.34 | |||
| SF L | 3.20 | |||
Disclaimer/Publisher’s Note: The statements, opinions and data contained in all publications are solely those of the individual author(s) and contributor(s) and not of MDPI and/or the editor(s). MDPI and/or the editor(s) disclaim responsibility for any injury to people or property resulting from any ideas, methods, instructions or products referred to in the content. |
© 2024 by the authors. Licensee MDPI, Basel, Switzerland. This article is an open access article distributed under the terms and conditions of the Creative Commons Attribution (CC BY) license (https://creativecommons.org/licenses/by/4.0/).
Share and Cite
Klempka, A.; Neumayer, P.; Schröder, A.; Ackermann, E.; Hetjens, S.; Clausen, S.; Groden, C. Creating a Foundation for the Visualization of Intracranial Cerebrospinal Fluid Using Photon-Counting Technology in Spectral Imaging for Cranial CT. Diagnostics 2024, 14, 2551. https://doi.org/10.3390/diagnostics14222551
Klempka A, Neumayer P, Schröder A, Ackermann E, Hetjens S, Clausen S, Groden C. Creating a Foundation for the Visualization of Intracranial Cerebrospinal Fluid Using Photon-Counting Technology in Spectral Imaging for Cranial CT. Diagnostics. 2024; 14(22):2551. https://doi.org/10.3390/diagnostics14222551
Chicago/Turabian StyleKlempka, Anna, Philipp Neumayer, Alexander Schröder, Eduardo Ackermann, Svetlana Hetjens, Sven Clausen, and Christoph Groden. 2024. "Creating a Foundation for the Visualization of Intracranial Cerebrospinal Fluid Using Photon-Counting Technology in Spectral Imaging for Cranial CT" Diagnostics 14, no. 22: 2551. https://doi.org/10.3390/diagnostics14222551
APA StyleKlempka, A., Neumayer, P., Schröder, A., Ackermann, E., Hetjens, S., Clausen, S., & Groden, C. (2024). Creating a Foundation for the Visualization of Intracranial Cerebrospinal Fluid Using Photon-Counting Technology in Spectral Imaging for Cranial CT. Diagnostics, 14(22), 2551. https://doi.org/10.3390/diagnostics14222551

