The Prediction of Radiation-Induced Trismus by the Apparent Diffusion Coefficient Values of Masseter Muscles before Chemoradiotherapy in Locally Advanced Nasopharyngeal Carcinomas
Abstract
1. Introduction
2. Materials and Methods
2.1. Ethical Considerations, Consent, and Permissions
2.2. Patient Selection
2.3. Baseline Dental Examination
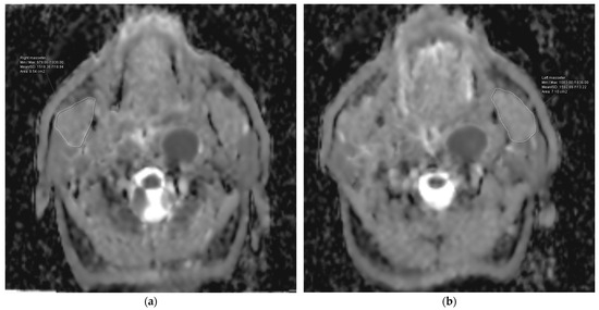
2.4. Imaging Acquisition
2.5. Post-Processing and Image Analysis
2.6. Treatment Protocol
2.7. Follow-Up Dental Examination
2.8. Statistical Analysis
3. Results
4. Discussion
5. Conclusions
Author Contributions
Funding
Institutional Review Board Statement
Informed Consent Statement
Data Availability Statement
Conflicts of Interest
References
- Chang, E.T.; Ye, W.; Zeng, Y.X.; Adami, H.O. The Evolving Epidemiology of Nasopharyngeal Carcinoma. Cancer Epidemiol. Biomark. Prev. 2021, 30, 1035–1047. [Google Scholar] [CrossRef] [PubMed]
- Xiao, W.W.; Huang, S.M.; Han, F.; Wu, S.X.; Lu, L.X.; Lin, C.G.; Deng, X.W.; Lu, T.X.; Cui, N.J.; Zhao, C. Local control, survival, and late toxicities of locally advanced nasopharyngeal carcinoma treated by simultaneous modulated accelerated radiotherapy combined with cisplatin concurrent chemotherapy: Long-term results of a phase 2 study. Cancer 2011, 117, 1874–1883. [Google Scholar] [CrossRef] [PubMed]
- Lee, A.W.; Ma, B.B.; Ng, W.T.; Chan, A.T. Management of Nasopharyngeal Carcinoma: Current Practice and Future Perspective. J. Clin. Oncol. 2015, 33, 3356–3364. [Google Scholar] [CrossRef] [PubMed]
- Rocha, P.H.P.; Reali, R.M.; Decnop, M.; Souza, S.A.; Teixeira, L.A.B.; Júnior, A.L.; Júnior, A.L.; Sarpi, M.O.; Cintra, M.B.; Pinho, M.C.; et al. Adverse Radiation Therapy Effects in the Treatment of Head and Neck Tumors. Radiographics 2022, 42, 806–821. [Google Scholar] [CrossRef] [PubMed]
- Brook, I. Late side effects of radiation treatment for head and neck cancer. Radiat. Oncol. J. 2020, 38, 84–92. [Google Scholar] [CrossRef]
- Dijkstra, P.U.; Huisman, P.M.; Roodenburg, J.L. Criteria for trismus in head and neck oncology. Int. J. Oral Maxillofac. Surg. 2006, 35, 337–342. [Google Scholar] [CrossRef]
- Ortigara, G.B.; Schulz, R.E.; Soldera, E.B.; Bonzanini, L.I.L.; Danesi, C.C.; Antoniazzi, R.P.; Ferrazzo, K.L. Association between trismus and dysphagia-related quality of life in survivors of head and neck cancer in Brazil. Oral Surg. Oral Med. Oral Pathol. Oral Radiol. 2019, 128, 235–242. [Google Scholar] [CrossRef]
- Somay, E.; Yilmaz, B.; Topkan, E.; Kucuk, A.; Pehlivan, B.; Selek, U. Definitions of Radiation-induced Trismus in Head and Neck Can-cer: Current Concepts and Controversies. In Advancements in Cancer Research, 1st ed.; Sergi, C.M., Ed.; Exon Publications: Brisbane, Australia, 2022; pp. 23–40. [Google Scholar]
- Waldron, N.H.; Stolp, B.W.; Ogilvie, M.P.; Powers, D.B.; Shaughnessy, M.R. Transorbital endotracheal intubation: A nonstandard approach to a difficult airway. J. Clin. Anesth. 2016, 34, 314–317. [Google Scholar] [CrossRef]
- Haksoyler, V.; Topkan, E. High Pretreatment Platelet-to-Albumin Ratio Predicts Poor Survival Results in Locally Advanced Nasopharyngeal Cancers Treated with Chemoradiotherapy. Ther. Clin. Risk Manag. 2021, 17, 691–700. [Google Scholar] [CrossRef]
- Somay, E.; Yilmaz, B.; Topkan, E.; Kucuk, A.; Haksoyler, V.; Pehlivan, B.; Selek, U.; Araz, K. Hemoglobin-to-platelet ratio in predicting the incidence of trismus after concurrent chemoradiotherapy. Oral Dis. 2023, 29, 2962–2970. [Google Scholar] [CrossRef]
- Somay, E.; Topkan, E.; Pehlivan, U.A.; Yilmaz, B.; Besen, A.A.; Mertsoylu, H.; Pehlivan, B.; Selek, U. The Use of Pre-Chemoradiotherapy Total Masseter Muscle Volume as a Novel Predictor of Radiation-Induced Trismus in Locally Advanced Nasopharyngeal Carcinoma Patients. Tomography 2024, 10, 79–89. [Google Scholar] [CrossRef] [PubMed]
- Rowley, H.A.; Grant, P.E.; Roberts, T.P. Diffusion MR imaging. Theory and applications. Neuroimaging Clin. N. Am. 1999, 9, 343–361. [Google Scholar]
- Fornasa, F. Diffusion-weighted Magnetic Resonance Imaging: What Makes Water Run Fast or Slow? J. Clin. Imaging Sci. 2011, 1, 27. [Google Scholar] [CrossRef] [PubMed]
- Messina, C.; Bignone, R.; Bruno, A.; Bruno, A.; Bruno, F.; Calandri, M.; Caruso, D.; Coppolino, P.; De Robertis, R.; Gentili, F.; et al. Diffusion-Weighted Imaging in Oncology: An Update. Cancers 2020, 12, 1493. [Google Scholar] [CrossRef] [PubMed]
- Hatakenaka, M.; Yabuuchi, H.; Matsuo, Y.; Okafuji, T.; Kamitani, T.; Setoguchi, T.; Nishikawa, K.; Honda, H. Effect of passive muscle length change on apparent diffusion coefficient: Detection with clinical MR imaging. Magn. Reson. Med. Sci. 2008, 7, 59–63. [Google Scholar] [CrossRef][Green Version]
- Hatakenaka, M.; Matsuo, Y.; Setoguchi, T.; Yabuuchi, H.; Okafuji, T.; Kamitani, T.; Nishikawa, K.; Honda, H. Alteration of proton diffusivity associated with passive muscle extension and contraction. J. Magn. Reson. Imaging 2008, 27, 932–937. [Google Scholar] [CrossRef]
- Chikui, T.; Shiraishi, T.; Ichihara, T.; Kawazu, T.; Hatakenaka, M.; Kami, Y.; Yuasa, K.; Yoshiura, K. Effect of clenching on T2 and diffusion parameters of the masseter muscle. Acta Radiol. 2010, 51, 58–63. [Google Scholar] [CrossRef]
- Shiraishi, T.; Chikui, T.; Yoshiura, K.; Yuasa, K. Evaluation of T2 values and apparent diffusion coefficient of the masseter muscle by clenching. Dentomaxillofac. Radiol. 2011, 40, 35–41. [Google Scholar] [CrossRef]
- Muraoka, H.; Kaneda, T.; Ito, K.; Hirahara, N.; Kondo, T.; Tokunaga, S. Quantitative analysis of masticatory muscle changes by Eichner index using diffusion-weighted imaging. Oral Radiol. 2023, 39, 437–445. [Google Scholar] [CrossRef]
- de Oliveira, A.M.; Paulino, M.V.; Vieira, A.P.F.; McKinney, A.M.; da Rocha, A.J.; Dos Santos, G.T.; Leite, C.D.C.; Godoy, L.F.S.; Lucato, L.T. Imaging Patterns of Toxic and Metabolic Brain Disorders. Radiographics 2019, 39, 1672–1695. [Google Scholar] [CrossRef]
- Muraoka, H.; Ito, K.; Hirahara, N.; Okada, S.; Kondo, T.; Kaneda, T. Quantitative Assessment of the Apparent Diffusion Coefficient Values of the Inflammatory Connective Tissue Around the Mandibular Condyle in Rheumatoid Arthritis. J. Oral Maxillofac. Surg. 2021, 79, 1230–1235. [Google Scholar] [CrossRef] [PubMed]
- Guo, R.; Mao, Y.P.; Tang, L.L.; Chen, L.; Sun, Y.; Ma, J. The evolution of nasopharyngeal carcinoma staging. Br. J. Radiol. 2019, 92, 20190244. [Google Scholar] [CrossRef] [PubMed]
- Schiffman, E.; Ohrbach, R.; Truelove, E.; Look, J.; Anderson, G.; Goulet, J.P.; List, T.; Svensson, P.; Gonzalez, Y.; Lobbezoo, F.; et al. Diagnostic Criteria for Temporomandibular Disorders (DC/TMD) for Clinical and Research Applications: Recommendations of the International RDC/TMD Consortium Network* and Orofacial Pain Special Interest Group†. J. Oral Facial Pain Headache 2014, 28, 6–27. [Google Scholar] [CrossRef] [PubMed]
- Bhargava, D.; Jain, M.; Deshpande, A.; Singh, A.; Jaiswal, J. Temporomandibular joint arthrocentesis for internal derangement with disc displacement without reduction. J. Maxillofac. Oral Surg. 2015, 14, 454–459. [Google Scholar] [CrossRef]
- Topkan, E.; Ekici, N.Y.; Ozdemir, Y.; Besen, A.A.; Yildirim, B.A.; Mertsoylu, H.; Sezen, D.; Selek, U. Baseline hemoglobin <11.0 g/dL has stronger prognostic value than anemia status in nasopharynx cancers treated with chemoradiotherapy. Int. J. Biol. Markers. 2019, 34, 139–147. [Google Scholar]
- Borges, M.M.; Malta, C.E.; Ribeiro, R.S.; Cetira-Filho, E.L.; de Moura, J.F.; Rebouças, L.M.; Costa, F.W.; Silva, P.B.; Mota, M.R. Chemotherapy increases the prevalence of radiotherapy-related trismus in head and neck cancer patients: A systematic review and meta-analysis. J. Clin. Exp. Dent. 2024, 16, 503–515. [Google Scholar] [CrossRef]
- Cardoso, R.C.; Kamal, M.; Zaveri, J.; Chambers, M.S.; Gunn, G.B.; Fuller, C.D.; Lai, S.Y.; Mott, F.E.; McMillan, H.; Hutcheson, K.A. Self-Reported Trismus: Prevalence, severity and impact on quality of life in oropharyngeal cancer survivorship: A cross-sectional survey report from a comprehensive cancer center. Support Care Cancer 2021, 29, 1825–1835. [Google Scholar] [CrossRef]
- Kraaijenga, S.A.; Hamming-Vrieze, O.; Verheijen, S.; Lamers, E.; van der Molen, L.; Hilgers, F.J.; van den Brekel, M.W.; Heemsbergen, W.D. Radiation dose to the masseter and medial pterygoid muscle in relation to trismus after chemoradiotherapy for advanced head and neck cancer. Head Neck 2019, 41, 1387–1394. [Google Scholar] [CrossRef]
- Guirguis, M.; Sharan, G.; Wang, J.; Chhabra, A. Diffusion-weighted MR imaging of musculoskeletal tissues: Incremental role over conventional MR imaging in bone, soft tissue, and nerve lesions. BJR Open 2022, 4, 20210077. [Google Scholar] [CrossRef]
- Berry, D.B.; Regner, B.; Galinsky, V.; Ward, S.R.; Frank, L.R. Relationships between tissue microstructure and the diffusion tensor in simulated skeletal muscle. Magn. Reson. Med. 2018, 80, 317–329. [Google Scholar] [CrossRef]
- Li, G.D.; Liang, Y.Y.; Xu, P.; Ling, J.; Chen, Y.M. Diffusion-Tensor Imaging of Thigh Muscles in Duchenne Muscular Dystrophy: Correlation of Apparent Diffusion Coefficient and Fractional Anisotropy Values with Fatty Infiltration. AJR Am. J. Roentgenol. 2016, 206, 867–870. [Google Scholar] [CrossRef] [PubMed]
- Sawada, E.; Kaneda, T.; Sakai, O.; Kawashima, Y.; Ito, K.; Hirahara, N.; Iizuka, N. Increased Apparent Diffusion Coefficient Values of Masticatory Muscles on Diffusion-Weighted Magnetic Resonance Imaging in Patients with Temporomandibular Joint Disorder and Unilateral Pain. J. Oral Maxillofac. Surg. 2019, 77, 2223–2229. [Google Scholar] [CrossRef] [PubMed]
- Sawada, E.; Ito, K.; Hirahara, N.; Muraoka, H.; Tokunaga, S.; Okada, S.; Iwata, K.; Kaneda, T. Comparing apparent diffusion coefficient values of the masticatory muscles on diffusion-weighted magnetic resonance imaging in patients with temporomandibular joint osteoarthrosis. Oral Sci. Int. 2024, 21, 244–248. [Google Scholar] [CrossRef]
- Hanahan, D.; Weinberg, R.A. Hallmarks of cancer: The next generation. Cell 2011, 144, 646–674. [Google Scholar] [CrossRef]
- Nagy, J.A.; Benjamin, L.; Zeng, H.; Dvorak, A.M.; Dvorak, H.F. Vascular permeability, vascular hyperpermeability and angiogenesis. Angiogenesis 2008, 11, 109–119. [Google Scholar] [CrossRef]
- Ito, J.; Marmarou, A.; Barzó, P.; Fatouros, P.; Corwin, F. Characterization of edema by diffusion-weighted imaging in experimental traumatic brain injury. J. Neurosurg. 1996, 84, 97–103. [Google Scholar] [CrossRef]
- Rydhög, A.S.; Szczepankiewicz, F.; Wirestam, R.; Ahlgren, A.; Westin, C.F.; Knutsson, L.; Pasternak, O. Separating blood and water: Perfusion and free water elimination from diffusion MRI in the human brain. Neuroimage 2017, 156, 423–434. [Google Scholar] [CrossRef] [PubMed]
- Lavdas, I.; Miquel, M.E.; McRobbie, D.W.; Aboagye, E.O. Comparison between diffusion-weighted MRI (DW-MRI) at 1.5 and 3 Tesla: A phantom study. J. Magn. Reson. Imaging 2014, 40, 682–690. [Google Scholar] [CrossRef] [PubMed]
- Rosenkrantz, A.B.; Oei, M.; Babb, J.S.; Niver, B.E.; Taouli, B. Diffusion-weighted imaging of the abdomen at 3.0 Tesla: Image quality and apparent diffusion coefficient reproducibility compared with 1.5 Tesla. J. Magn. Reson. Imaging 2011, 33, 128–135. [Google Scholar] [CrossRef] [PubMed]
- Belli, G.; Busoni, S.; Ciccarone, A.; Coniglio, A.; Esposito, M.; Giannelli, M.; Mazzoni, L.N.; Nocetti, L.; Sghedoni, R.; Tarducci, R.; et al. Quality assurance multicenter comparison of different MR scanners for quantitative diffusion-weighted imaging. J. Magn. Reson. Imaging 2016, 43, 213–219. [Google Scholar] [CrossRef]






| Characteristics | All Patients (n = 77) | Average ADCmean of MMs < 1381.30 × 10−6 mm2/s (n = 49) | Average ADCmean of MMs > 1381.30 × 10−6 mm2/s (n = 28) | p-Value |
|---|---|---|---|---|
| Median age, year (range) | 53 (25–76) | 53 (30–76) | 54 (25–75) | |
| Age group, n (%) | ||||
| ≥65 years | 13 (16.88) | 8 (16.33) | 5 (17.86) | 0.42 |
| <65 years | 64 (83.12) | 41 (83.67) | 23 (82.14) | |
| Gender, n (%) | ||||
| Female | 22 (28.57) | 15 (26.32) | 7 (25) | 0.41 |
| Male | 55 (71.43) | 34 (73.68) | 21 (75) | |
| ECOG, n (%) | ||||
| 0 | 35 (45.45) | 23 (46.94) | 13 (46.43) | 0.92 |
| 1 | 42 (54.55) | 26 (53.06) | 15 (53.57) | |
| T-stage *, n (%) | ||||
| 1–2 | 31 (40.26) | 19 (38.78) | 12 (42.86) | 0.44 |
| 3–4 | 46 (59.74) | 30 (61.22) | 16 (57.14) | |
| N-stage *, n (%) | ||||
| 0–1 | 26 (33.77) | 17 (34.69) | 9 (32.14) | 0.58 |
| 2–3 | 51 (66.23) | 32 (65.31) | 19 (67.86) | |
| Concurrent chemotherapy cycles, n (%) | ||||
| 1 | 17 (22.08) | 11 (22.45) | 6 (21.43) | 0.62 |
| 2–3 | 60 (77.92) | 38 (77.55) | 22 (78.57) | |
| Adjuvant chemotherapy cycles, n (%) | ||||
| 0 | 20 (25.97) | 13 (26.53) | 7 (25) | 0.78 |
| 1–2 | 57 (74.03) | 36 (73.47) | 21 (75) | |
| Mean masseter muscle dose, Gy (range) | 37.5 (8.6–62.3) | 38.3 (8.6–60.7) | 36.6 (9.3–62.3) | 0.49 |
| Mean masseter muscle dose group, n (%) | ||||
| <37.5 Gy | 42 (54.55) | 26 (53.1) | 16 (57.1) | 0.51 |
| ≥37.5 Gy | 35 (45.45) | 23 (46.9) | 12 (42.9) |
| Variable | All Patients (n = 77) | RIT (%) (n = 23) | Univariate p-Value | Multivariate p-Value | HR (95% CI) |
|---|---|---|---|---|---|
| Age group, n (%) | |||||
| ≥65 years | 13 | 6 (46.15) | 0.14 | - | - |
| <65 years | 64 | 17 (26.56) | |||
| Gender, n (%) | |||||
| Female | 22 | 7 (31.82) | 0.50 | - | - |
| Male | 55 | 16 (29.09) | |||
| ECOG, n (%) | |||||
| 0 | 35 | 10 (28.5) | 0.82 | - | - |
| 1 | 42 | 13 (30.95) | |||
| T-stage *, n (%) | |||||
| 1–2 | 31 | 6 (19.35) | 0.003 | 0.007 | 1.84 (1.26–3.18) |
| 3–4 | 46 | 17 (36.96) | |||
| N-stage *, n (%) | |||||
| 0–1 | 26 | 7 (26.92) | 0.32 | - | - |
| 2–3 | 51 | 16 (31.37) | |||
| Concurrent chemotherapy cycles, n (%) | |||||
| 1 | 17 | 3 (17.64) | 0.012 | 0.021 | 1.67 (1.21–2.06) |
| 2–3 | 60 | 20 (33.33) | |||
| Adjuvant chemotherapy cycles, n (%) | |||||
| 0 | 20 | 5 (25.00) | 0.37 | - | - |
| 1–2 | 57 | 18 (31.58) | |||
| Mean masseter muscle dose group, n (%) | |||||
| <37.5 Gy | 42 | 5 (11.90) | <0.001 | <0.001 | 4.89 (2.66–7.93) |
| ≥37.5 Gy | 35 | 16 (45.71) | |||
| ADC group, n (%) | |||||
| <1381.30 × 10−6 mm2/s | 49 | 3 (6.12) | <0.001 | <0.001 | 11.17 (5.63–18.76) |
| >1381.30 × 10−6 mm2/s | 28 | 20 (71.42) |
Disclaimer/Publisher’s Note: The statements, opinions and data contained in all publications are solely those of the individual author(s) and contributor(s) and not of MDPI and/or the editor(s). MDPI and/or the editor(s) disclaim responsibility for any injury to people or property resulting from any ideas, methods, instructions or products referred to in the content. |
© 2024 by the authors. Licensee MDPI, Basel, Switzerland. This article is an open access article distributed under the terms and conditions of the Creative Commons Attribution (CC BY) license (https://creativecommons.org/licenses/by/4.0/).
Share and Cite
Pehlivan, U.A.; Somay, E.; Yalcin, C.; Topkan, E. The Prediction of Radiation-Induced Trismus by the Apparent Diffusion Coefficient Values of Masseter Muscles before Chemoradiotherapy in Locally Advanced Nasopharyngeal Carcinomas. Diagnostics 2024, 14, 2268. https://doi.org/10.3390/diagnostics14202268
Pehlivan UA, Somay E, Yalcin C, Topkan E. The Prediction of Radiation-Induced Trismus by the Apparent Diffusion Coefficient Values of Masseter Muscles before Chemoradiotherapy in Locally Advanced Nasopharyngeal Carcinomas. Diagnostics. 2024; 14(20):2268. https://doi.org/10.3390/diagnostics14202268
Chicago/Turabian StylePehlivan, Umur Anil, Efsun Somay, Cigdem Yalcin, and Erkan Topkan. 2024. "The Prediction of Radiation-Induced Trismus by the Apparent Diffusion Coefficient Values of Masseter Muscles before Chemoradiotherapy in Locally Advanced Nasopharyngeal Carcinomas" Diagnostics 14, no. 20: 2268. https://doi.org/10.3390/diagnostics14202268
APA StylePehlivan, U. A., Somay, E., Yalcin, C., & Topkan, E. (2024). The Prediction of Radiation-Induced Trismus by the Apparent Diffusion Coefficient Values of Masseter Muscles before Chemoradiotherapy in Locally Advanced Nasopharyngeal Carcinomas. Diagnostics, 14(20), 2268. https://doi.org/10.3390/diagnostics14202268

