Multimodality Imaging in Cranial Giant Cell Arteritis: First Experience with High-Resolution T1-Weighted 3D Black Blood without Contrast Enhancement Magnetic Resonance Imaging
Abstract
:1. Introduction
2. Materials and Methods
2.1. Vascular US and Analysis
2.2. PET/CT Image Acquisition and Analysis
2.3. MRI Acquisition and Analysis
3. Results
3.1. Participants
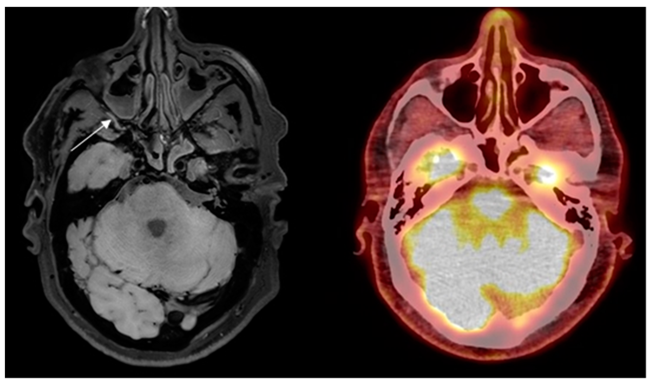
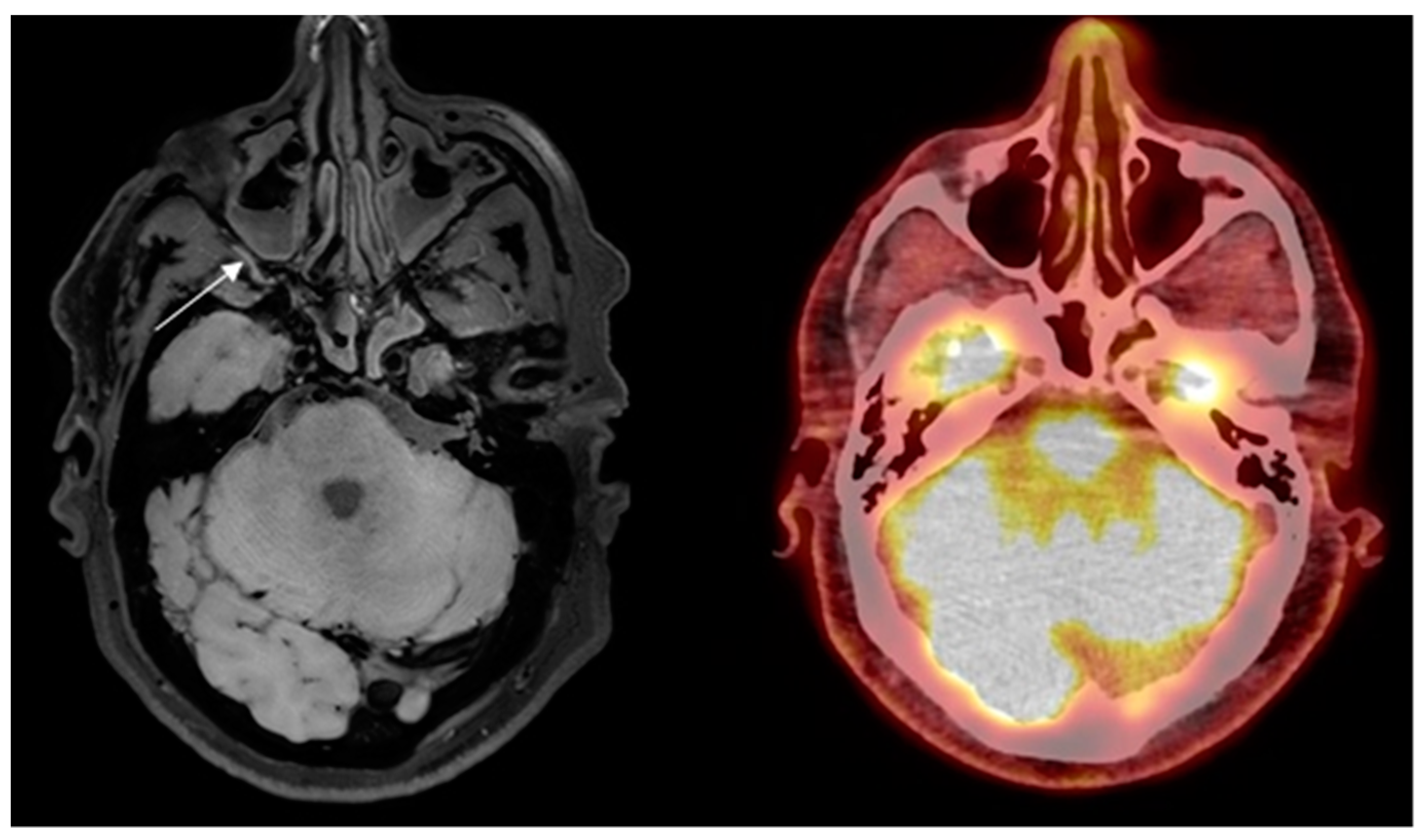
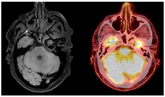
3.2. Findings on BB MRI, US, 2-[18F]FDG PET/CT, TAB, and Final Diagnosis
4. Discussion
Author Contributions
Funding
Institutional Review Board Statement
Informed Consent Statement
Data Availability Statement
Conflicts of Interest
References
- Saadoun, D.; Vautier, M.; Cacoub, P. Medium- and Large-Vessel Vasculitis. Circulation 2021, 143, 267–282. [Google Scholar] [CrossRef] [PubMed]
- Li, K.J.; Semenov, D.; Turk, M.; Pope, J. A Meta-analysis of the Epidemiology of Giant Cell Arteritis across Time and Space. Arthritis Res. Ther. 2021, 23, 1–10. [Google Scholar] [CrossRef] [PubMed]
- Kønig, E.B.; Hansen, M.S.; Folderager, J.; Siersma, V.; Loft, A.; Terslev, L.; Døhn, U.M.; Jensen, M.R.; Wiencke, A.K.; Faber, C.; et al. Seasonal variation in biopsy-proven giant cell arteritis in Eastern Denmark from 1990–2018. Acta Opthhalmol. 2021, 99, 527–532. [Google Scholar] [CrossRef] [PubMed]
- Van der Geest, K.S.M.; Sandovivi, M.; Brouwer, E.; Mackie, L. Diagnostic Accuracy of Symptoms, Physical Signs, and Laboratory Tests for Giant Cell Arteritis: A Systematic Review and Meta-analysis. JAMA Intern. Med. 2020, 180, 1295–1304. [Google Scholar] [CrossRef] [PubMed]
- Dejaco, C.; Ramiro, S.; Bond, M.; Bosch, P.; Ponte, C.; Mackie, S.L.; Bley, T.B.; Blockmans, D.; Brolin, S.; Bolek, E.C.; et al. EULAR recommendations for the use of imaging in large vessel vasculitis in clinical practice: 2023 update. Ann. Rheum. Dis, 2023; Epub ahead of print. [Google Scholar] [CrossRef]
- Bley, T.A.; Wieben, O.; Uhl, M.; Thiel, J.; Schmidt, D.; Langer, M. High-Resolution MRI in Giant Cell Arteritis: Imaging of the Wall of the Superficial Temporal Artery. AJR 2005, 184, 283–287. [Google Scholar] [CrossRef]
- Henningsson, M.; Malik, S.; Botnar, R.; Castellanos, D.; Hussain, T.; Leiner, T. Black-Blood Contrast in Cardiovascular MRI. J. Magn. Reson. Imaging. 2022, 55, 61–80. [Google Scholar] [CrossRef] [PubMed]
- Kang, N.; Qiao, Y.; Wasserman, B.A. Essentials for Interpreting Intracranial Vessel Wall MRI Results: State of the Art. Radiology 2021, 300, 492–505. [Google Scholar] [CrossRef]
- Guggenberger, K.; Krafft, A.J.; Ludwig, U.; Vogel, P.; Elsheik, S.; Raithel, E.; Forman, C.; Dovi-Akué, P.; Urback, H.; Bley, T.; et al. High-Resolution Compressed-Sensing T1 Black-Blood MRI: A New Multipurpose Sequence in Vascular Neuroimaging? Clin. Neuroradiol. 2021, 31, 207–217. [Google Scholar] [CrossRef]
- Rodriguez-Régent, C.; Ben Hassen, W.; Seners, P.; Oppenheim, C.; Régent, A. 3D T1-Weighted Black-Blood Magnetic Resonance Imaging for the Diagnosis of Giant Cell Arteritis. Clin. Exp. Rheumatol. 2020, 38, 95–98. [Google Scholar]
- Hansen, M.S.; Terslev, L.; Jensen, M.R.; Brittain, J.M.; Døhn, U.M.; Faber, C.; Heegaard, S.; Klefter, O.N.; Kønig, E.B.; Subhi, Y.; et al. Comparison of Temporal Artery Ultrasound Versus Biopsy in the Diagnosis of Giant Cell Arteritis. Eye 2023, 37, 344–349. [Google Scholar] [CrossRef]
- Chrysidis, S.; Duftner, C.; Dejaco, C.; Schäfer, V.S.; Ramiro, S.; Carrara, G.; Scirè, C.A.; Hocevar, A.; Diamantopoulos, A.P.; Iagnocco, A.; et al. Definition and Reliability Assessment of Elementary Ultrasound Lesions in Giant Cell Arteritis: A Study from the OMERACT Large Vessel Vasculitis Ultrasound Working Group. RMD 2018, 4, e000598. [Google Scholar] [CrossRef] [PubMed]
- Nielsen, B.D.; Hansen, I.T.; Kramer, S.; Haraldsen, A.; Hjorthaug, K.; Bogsrud, T.V.; Ejlersen, J.A.; Stolle, L.B.; Keller, K.K.; Therkildsen, P.; et al. Simple Dichotomous Assessment of Cranial Artery Inflammation by Conventional 18F-FDG PET/CT Shows high Accuracy for the Diagnosis of Giant Cell Arteritis: A Case-Control Study. Eur. J. Nucl. Med. Mol. Imaging 2019, 46, 184–193. [Google Scholar] [CrossRef] [PubMed]
- Chaganti, J.; Woodford, H.; Tomlinson, S.; Dunkerton, S.; Brew, B. Black blood imaging of cranial vessel walls. Pract. Neurol. 2021, 21, 101–107. [Google Scholar] [CrossRef] [PubMed]
- Eiden, S.; Beck, C.; Venhoff, N.; Elsheikh, S.; Ihorts, G.; Urbach, H.; Meckel, S. High-resolution contrast-enhanced vessel wall imaging in patients with suspected cerebral vasculitis: Prospective comparison of whole-brain 3D T1 SPACE versus 2D T1 black blood MRI at 3 Tesla. PLoS ONE 2019, 14, 3. [Google Scholar] [CrossRef] [PubMed]
- Zeiler, S.R.; Qiao, Y.; Pardo, C.A.; Lim, M.; Wasserman, B.A. Vessel wall MRI for targeting biopsies of intracranial vasculitis. AJNR Am. J. Neuroradiol. 2018, 39, 2034–2036. [Google Scholar] [CrossRef] [PubMed]
- Schwarz, F.; Strobl, F.F.; Cyran, C.C.; Helck, A.D.; Hartmann, M.; Schindler, A.; Nikolaou, K.; Reiser, M.F.; Saam, T. Reproducibility and differentiation of cervical arteriopathies using in vivo high-resolution black blood MRI at 3 T. Neuroradiology 2016, 58, 569–576. [Google Scholar] [CrossRef] [PubMed]
- Cavazza, A.; Muratore, F.; Boiardi, L.; Restuccia, G.; Pipitone, N.; Pazzola, G.; Tagliavini, E.; Ragazzi, M.; Rossi, G.; Salvarani, C. Inflamed Temporal Artery: Histological Findings in 354, With Clinical Correlations. Am. J. Surg. Pathol. 2014, 38, 1360–1370. [Google Scholar] [CrossRef]
- Luqmani, R.; Lee, E.; Singh, S.; Gillett, M.; Schmidt, W.A.; Bradburn, M.; Dasgupta, B.; Diamantopoulos, A.P.; Forreste-Barker, W.; Hamilton, W.; et al. The Role of Ultrasound Compared to Biopsy of Temporal Arteries in the Diagnosis and Treatment of Giant Cell Arteritis (TABUL): A Diagnostic accuracy and cost-effectiveness study. Health Technol. Assess. 2016, 90, 1–238. [Google Scholar] [CrossRef]
- Dejaco, C.; Ramiro, S.; Duftner, C.; Besson, F.L.; Bley, T.A.; Blockmans, D.; Brouwer, E.; Cimmino, M.A.; Clark, E.; Dasgupta, B.; et al. EULAR Recommendations for the Use of Imaging in Large Vessel Vasculitis in Clinical Practice. Ann. Rheum. Dis. 2018, 77, 636–643. [Google Scholar] [CrossRef]
- Sammel, A.M.; Hsiao, E.; Schembri, G.; Nguyen, K.; Brewer, J.; Schrieber, L.; Janssen, B.; Youssef, P.; Fraser, C.L.; Bailey, E.; et al. Diagnostic Accuracy of Positron Emission Tomography/Computed Tomography of Head, Neck, and Chest for Giant Cell Arteritis: A Prospective, Double-Blind, Cross-Sectional Study. Arthritis Rheumatol. 2019, 71, 1319–1328. [Google Scholar] [CrossRef]
- Imfeld, S.; Aschwanden, M.; Rottenburger, C.; Schegk, E.; Berger, C.T.; Staub, D.; Daikeler, T. [18F]FDG Positron Emission Tomography and Ultrasound in the Diagnosis of Giant Cell Arteritis: Congruent or Complementary Imaging Methods? Rheumatology 2020, 59, 772–778. [Google Scholar] [CrossRef] [PubMed]
- Aghayev, A. Multimodality Imaging of Large-Vessel Vasculitis, From the AJR Special Series on Inflammation. AJR Am. J. Roentgenol. 2022, 218, 213–222. [Google Scholar] [CrossRef] [PubMed]
- Klink, T.; Geiger, J.; Both, M.; Ness, T.; Heinzelmann, S.; Reinhard, M.; Holl-Ulrich, K.; Duwendag, D.; Vaith, P.; Bley, T.A. Giant Cell Arteritis: Diagnostic Accuracy of MR Imaging of Superficial Cranial Arteries in Initial Diagnosis—Results from a Multicenter Trial. Radiology 2014, 273, 844–852. [Google Scholar] [CrossRef]
- Rhéaume, M.; Rebello, R.; Pagnoux, C.; Carette, S.; Clements-Baker, M.; Cohen-Hallaleh, V.; Doucette-Preville, D.; Jackson, B.S.; Salama, S.S.S.; Ioannidis, G.; et al. High-Resolution Magnetic Resonance Imaging of Scalp Arteries for the Diagnosis of Giant Cell Arteritis. Arthritis Rheumatol. 2017, 69, 161–168. [Google Scholar] [CrossRef] [PubMed]
- Bosch, P.; Bond, M.; Dejaco, C.; Ponte, C.; Mackie, S.L.; Falzon, L.; Schmidt, W.A.; Ramiro, S. Imaging in diagnosis, monitoring and outcome prediction of large vessel vasculitis: A systematic literature review and meta-analysis informing the 2023 update of the EULAR recommendations. RMD Open 2023, 9, e003379. [Google Scholar] [CrossRef] [PubMed]
- Bilton, E.J.; Mollan, S.P. Giant Cell arteritis: Reviewing the Advancing Diagnostics and Management. Eye 2023, 37, 2365–2373. [Google Scholar] [CrossRef]
- Dua, A.B.; Husainat, N.M.; Kalot, M.A.; Byram, K.; Springer, J.M.; James, K.E.; Lin, Y.C.; Turgunbaev, M.; Villa-Forte, A.; Abril, A.; et al. Giant Cell Arteritis: A Systemic Review and Meta-Analysis of Test Accuracy and Benefits and Harms of Common Treatments. ACR Open Rheumatol. 2021, 3, 429–441. [Google Scholar] [CrossRef]
- Nielsen, B.D.; Gormsen, L.C.; Hansen, I.T.; Keller, K.K.; Therkildsen, P.; Hauge, E.M. Three Days of High-Dose Glucocorticoid Treatment Attenuates Large-Vessel 18F-FDG Uptake in Large-Vessel Giant Cell Arteritis but with a Limited Impact on Diagnostic Accuracy. Eur. J. Nucl. Med. Mol. Imaging 2018, 45, 1119–1128. [Google Scholar] [CrossRef]
- Ponte, C.; Serafim, A.S.; Monti, S.; Fernandes, E.; Lee, E.; Singh, S.; Piper, J.; Hutchings, A.; McNally, E.; Diamantopoulos, P.; et al. Early variation of ultrasound halo sign with treatment and relation with clinical features in patients with giant cell arteritis. Rheumatology 2020, 59, 3717–3726. [Google Scholar] [CrossRef]
- Ray-Chaudhuri, N.; Ah Kiné, D.; Tijani, S.O.; Parums, D.V.; Cartlidge, N.; Strong, N.P.; Dayan, M.R. Effect of Prior Steroid Treatment on Temporal Artery Biopsy Findings in Giant Cell Arteritis. Br. J. Ophthalmol. 2002, 86, 530–532. [Google Scholar] [CrossRef]
- Mandell, D.M.; Mossa-Basha, M.; Qiao, Y.; Hess, C.P.; Hui, F.; Matouk, C.; Johnson, M.H.; Daemen, M.J.A.P.; Vossough, A.; Edjali, M.; et al. Intracranial Vessel Wall MRI: Principles and Expert Consensus Recommendations of the American Society of Neuroradiology. AJNR Am. J. Neuroradiol. 2017, 38, 218–229. [Google Scholar] [CrossRef] [PubMed]


| Patient | US | 2-[18F]FDG PET/CT | BB MRI |
|---|---|---|---|
| 1 | 0 | 1 | 1 |
| 2 | 0 | 7 | 12 |
| 3 | 0 | 9 | 13 |
| 4 | 0 | 1 | 3 |
| 5 | 0 | 1 | 7 |
| 6 | 1 | 0 | 0 |
| 7 | 0 | 3 | 3 |
| 8 | 0 | 6 | 9 |
| 9 | 0 | 1 | 11 |
| 10 | 0 | 6 | 0 |
| Patients | Controls | |
|---|---|---|
| Sex, n (%) | ||
| Male | 4 (40) | 3 (60) |
| Female | 6 (60) | 2 (40) |
| Age, median (IQR) | 79.9 (70.7–85.0) | 57.5 (52.6–62.7) (p < 0.005) |
| CRP, median (IQR) | 55.5 (21.3–120.0) | n/a |
| ESR, median (IQR) | 65.0 (41.3–83.5) | n/a |
| ACR criteria, n (%) | ||
| ≥3 | 9 (90) | n/a |
| <3 | 1 (10) | n/a |
| US | 2-[18F]FDG PET/CT | BB MRI | TAB | Final Diagnosis | |
|---|---|---|---|---|---|
| Patient 1 | Positive | Positive | Positive | Positive | GCA |
| Patient 2 | Positive | Positive | Positive | Positive | GCA |
| Patient 3 | Positive | Positive | Positive | Positive | GCA |
| Patient 4 | Positive | Positive | Positive | Negative | GCA |
| Patient 5 | Positive | Positive | Positive | Not performed | GCA |
| Patient 8 | Positive | Positive | Positive | Positive | GCA |
| Patient 9 | Positive | Positive | Positive | Positive | GCA |
| Patient 10 | Positive | Positive | Positive | Positive | GCA |
| Patient 6 | Negative | Negative | Negative | Negative | Not GCA |
| Patient 7 | Negative | Negative | Negative | Negative | Not GCA |
| Control 1 | n/a | Negative | Negative | n/a | n/a |
| Control 2 | n/a | Negative | Negative | n/a | n/a |
| Control 3 | n/a | Negative | Positive | n/a | n/a |
| Control 4 | n/a | Negative | Negative | n/a | n/a |
| Control 5 | n/a | Negative | Negative | n/a | n/a |
Disclaimer/Publisher’s Note: The statements, opinions and data contained in all publications are solely those of the individual author(s) and contributor(s) and not of MDPI and/or the editor(s). MDPI and/or the editor(s) disclaim responsibility for any injury to people or property resulting from any ideas, methods, instructions or products referred to in the content. |
© 2023 by the authors. Licensee MDPI, Basel, Switzerland. This article is an open access article distributed under the terms and conditions of the Creative Commons Attribution (CC BY) license (https://creativecommons.org/licenses/by/4.0/).
Share and Cite
Brittain, J.M.; Hansen, M.S.; Carlsen, J.F.; Brandt, A.H.; Terslev, L.; Jensen, M.R.; Lindberg, U.; Larsson, H.B.W.; Heegaard, S.; Døhn, U.M.; et al. Multimodality Imaging in Cranial Giant Cell Arteritis: First Experience with High-Resolution T1-Weighted 3D Black Blood without Contrast Enhancement Magnetic Resonance Imaging. Diagnostics 2024, 14, 81. https://doi.org/10.3390/diagnostics14010081
Brittain JM, Hansen MS, Carlsen JF, Brandt AH, Terslev L, Jensen MR, Lindberg U, Larsson HBW, Heegaard S, Døhn UM, et al. Multimodality Imaging in Cranial Giant Cell Arteritis: First Experience with High-Resolution T1-Weighted 3D Black Blood without Contrast Enhancement Magnetic Resonance Imaging. Diagnostics. 2024; 14(1):81. https://doi.org/10.3390/diagnostics14010081
Chicago/Turabian StyleBrittain, Jane Maestri, Michael Stormly Hansen, Jonathan Frederik Carlsen, Andreas Hjelm Brandt, Lene Terslev, Mads Radmer Jensen, Ulrich Lindberg, Henrik Bo Wiberg Larsson, Steffen Heegaard, Uffe Møller Døhn, and et al. 2024. "Multimodality Imaging in Cranial Giant Cell Arteritis: First Experience with High-Resolution T1-Weighted 3D Black Blood without Contrast Enhancement Magnetic Resonance Imaging" Diagnostics 14, no. 1: 81. https://doi.org/10.3390/diagnostics14010081
APA StyleBrittain, J. M., Hansen, M. S., Carlsen, J. F., Brandt, A. H., Terslev, L., Jensen, M. R., Lindberg, U., Larsson, H. B. W., Heegaard, S., Døhn, U. M., Klefter, O. N., Wiencke, A. K., Subhi, Y., Hamann, S., & Haddock, B. (2024). Multimodality Imaging in Cranial Giant Cell Arteritis: First Experience with High-Resolution T1-Weighted 3D Black Blood without Contrast Enhancement Magnetic Resonance Imaging. Diagnostics, 14(1), 81. https://doi.org/10.3390/diagnostics14010081

