HMGB1 Carried by Small Extracellular Vesicles Potentially Plays a Role in Promoting Acquired Middle Ear Cholesteatoma
Abstract
1. Introduction
2. Materials and Methods
2.1. Patients and Samples
2.2. Cell Lines and Cell Culture
2.3. Isolation of Small Extracellular Vesicles (sEVs)
2.4. Cryogenic Electron Microscopy (Cryo-EM)
2.5. Nanoparticle Tracking Analysis (NTA)
2.6. Western Blot Analysis
2.7. Silencing of Toll-like Receptor 4 (TLR4) Expression with Lentivirus Particles
2.8. Treatment of Cell Lines with sEVs
2.9. Blocking of High-Mobility Box 1 Effects
2.10. Cell Proliferation
2.11. Measurements of HMGB1 in Plasma or sEVs and Cytokines in Cell Culture Supernatants
2.12. Statistical Analysis
3. Results
3.1. Characterization of sEVs
3.2. Levels of HMGB1 in Plasma and in sEVs of Cholesteatoma Patients
3.3. Characterization of RAGE and TLR4 Expression in HaCaT and HEKA Keratinocytes
3.4. Plasma-Derived sEVs from Cholesteatoma Patients Promote Proliferation and IL-6 Production in Cultured Keratinocytes
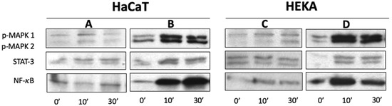
3.5. sEVs Signaling Engages Multiple Activation Pathways in RAGE-Positive Keratinocytes
4. Discussion
5. Conclusions
Author Contributions
Funding
Institutional Review Board Statement
Informed Consent Statement
Data Availability Statement
Conflicts of Interest
References
- Maniu, A.; Harabagiu, O.; Perde Schrepler, M.; Cătană, A.; Fănuţă, B.; Mogoantă, C.A. Molecular biology of cholesteatoma. Rom. J. Morphol. Embryol. 2014, 55, 7–13. [Google Scholar]
- Bellussi, L.M.; Vindigni, C.; Cocca, S.; Butorano, M.; Livi, W.; Corallo, G.; Passali, D. High-mobility group box protein 1 expression in inflammatory diseases of the middle ear. Int. J. Immunopathol. Pharmacol. 2017, 30, 168–173. [Google Scholar] [CrossRef] [PubMed]
- Deng, C.; Zhao, L.; Yang, Z.; Shang, J.-J.; Wang, C.-Y.; Shen, M.-Z.; Jiang, S.; Li, T.; Di, W.-C.; Chen, Y.; et al. Targeting HMGB1 for the treatment of sepsis and sepsis-induced organ injury. Acta Pharmacol. Sin. 2022, 43, 520–528. [Google Scholar] [CrossRef] [PubMed]
- Dong, Y.; Ming, B.; Dong, L. The Role of HMGB1 in Rheumatic Diseases. Front. Immunol. 2022, 13, 815257. [Google Scholar] [CrossRef] [PubMed]
- Du, X.; Zhang, X.; Dong, J.; Zou, N.; Guo, D.; Yao, W.; Wang, X.; Li, S.; Song, C.; Yan, K.; et al. Irradiation-induced exosomal HMGB1 to confer radioresistance via the PI3K/AKT/FOXO3A signaling pathway in ESCC. J. Transl. Med. 2022, 20, 507. [Google Scholar] [CrossRef] [PubMed]
- Dzaman, K.; Szczepanski, M.J.; Molinska-Glura, M.; Krzeski, A.; Zagor, M. Expression of the receptor for advanced glycation end products, a target for high mobility group box 1 protein, and its role in chronic recalcitrant rhinosinusitis with nasal polyps. Arch. Immunol. Ther. Exp. 2015, 63, 223–230. [Google Scholar] [CrossRef]
- Dzaman, K.; Zagor, M.; Molinska-Glura, M.; Krzeski, A. High motility group box 1 (HMGB1) protein and its receptor for advanced glycation end products (RAGE) expression in chronic rhinosinusitis without nasal polyps. Folia Histochem. Cytobiol. 2015, 53, 70–78. [Google Scholar] [CrossRef] [PubMed]
- Hill, A.V.; Menon, R.; Perez-Patron, M.; Carrillo, G.; Xu, X.; Taylor, B.D. High-mobility group box 1 at the time of parturition in women with gestational diabetes mellitus. Am. J. Reprod. Immunol. 2019, 82, e13175. [Google Scholar] [CrossRef]
- Huang, J.; Chen, X.; Lv, Y. HMGB1 Mediated Inflammation and Autophagy Contribute to Endometriosis. Front. Endocrinol. 2021, 12, 616696. [Google Scholar] [CrossRef]
- Li, B.; Song, T.-N.; Wang, F.-R.; Yin, C.; Li, Z.; Lin, J.-P.; Meng, Y.-Q.; Feng, H.-M.; Jing, T. Tumor-derived exosomal HMGB1 promotes esophageal squamous cell carcinoma progression through inducing PD1+ TAM expansion. Oncogenesis 2019, 8, 17. [Google Scholar] [CrossRef] [PubMed]
- Senda, N.; Yanai, H.; Hibino, S.; Li, L.; Mizushima, Y.; Miyagaki, T.; Saeki, M.; Kishi, Y.; Hangai, S.; Nishio, J.; et al. HMGB1-mediated chromatin remodeling attenuates Il24 gene expression for the protection from allergic contact dermatitis. Proc. Natl. Acad. Sci. USA 2021, 118, 343118. [Google Scholar] [CrossRef] [PubMed]
- Szczepanski, M.J.; Luczak, M.; Olszewska, E.; Molinska-Glura, M.; Zagor, M.; Krzeski, A.; Skarzynski, H.; Misiak, J.; Dzaman, K.; Bilusiak, M.; et al. Molecular signaling of the HMGB1/RAGE axis contributes to cholesteatoma pathogenesis. J. Mol. Med. 2015, 93, 305–314. [Google Scholar] [CrossRef] [PubMed]
- Vitale, R.F.; Ribeiro, F.d.A.Q. The role of Tumor Necrosis Factor -Alpha (TNF-α) in bone resorption present in middle ear cholesteatoma. Braz. J. Otorhinolaryngol. 2007, 73, 117–121. [Google Scholar] [CrossRef] [PubMed]
- Kinoshita, K. The Roles of Interleukin-1.alpha, Tumor necrosis factor-.alpha. and parathyroid hormone-related protein in bone resorption of cholesteatoma otitis. Nippon. Jibiinkoka Gakkai Kaiho 1994, 97, 1472–1480. [Google Scholar] [CrossRef] [PubMed][Green Version]
- Andersson, U.; Wang, H.; Palmblad, K.; Aveberger, A.-C.; Bloom, O.; Erlandsson-Harris, H.; Janson, A.; Kokkola, R.; Zhang, M.; Yang, H.; et al. High mobility group 1 protein (Hmg-1) stimulates proinflammatory cytokine synthesis in human monocytes. J. Exp. Med. 2000, 192, 565–570. [Google Scholar] [CrossRef]
- Felix, R.; Fleisch, H.; Elford, P.R. Bone-resorbing cytokines enhance release of macrophage colony-stimulating activity by the osteoblastic cell MC3T3-E1. Calcif. Tissue Int. 1989, 44, 356–360. [Google Scholar] [CrossRef]
- Théry, C.; Witwer, K.W.; Aikawa, E.; Alcaraz, M.J.; Anderson, J.D.; Andriantsitohaina, R.; Antoniou, A.; Arab, T.; Archer, F.; Atkin-Smith, G.K.; et al. Minimal information for studies of extracellular vesicles 2018 (MISEV2018): A position statement of the International Society for Extracellular Vesicles and update of the MISEV2014 guidelines. J. Extracell. Vesicles 2018, 7, 1535750. [Google Scholar] [CrossRef]
- Mori, T.; Giovannelli, L.; Bilia, A.R.; Margheri, F. Exosomes: Potential Next-Generation Nanocarriers for the Therapy of Inflammatory Diseases. Pharmaceutics 2023, 15, 2276. [Google Scholar] [CrossRef]
- Hoshino, A.; Kim, H.S.; Bojmar, L.; Gyan, K.E.; Cioffi, M.; Hernandez, J.; Zambirinis, C.P.; Rodrigues, G.; Molina, H.; Heissel, S.; et al. Extracellular Vesicle and Particle Biomarkers Define Multiple Human Cancers. Cell 2020, 182, 1044–1061.e1018. [Google Scholar] [CrossRef]
- Gong, N.; Zhu, W.; Xu, R.; Teng, Z.; Deng, C.; Zhou, H.; Xia, M.; Zhao, M. Keratinocytes-derived exosomal miRNA regulates osteoclast differentiation in middle ear cholesteatoma. Biochem. Biophys. Res. Commun. 2020, 525, 341–347. [Google Scholar] [CrossRef]
- Li, Y.; Liang, J.; Hu, J.; Ren, X.; Sheng, Y. Down-regulation of exosomal miR-106b-5p derived from cholesteatoma perimatrix fibroblasts promotes angiogenesis in endothelial cells by overexpression of Angiopoietin 2. Cell Biol. Int. 2018, 42, 1300–1310. [Google Scholar] [CrossRef] [PubMed]
- McGinn, M.D.; Chole, R.A.; Henry, K.R. Cholesteatoma: Experimental Induction in the Mongolian Gerbil, Meriones Unguiculaus. Acta Oto-Laryngol. 1982, 93, 61–67. [Google Scholar] [CrossRef] [PubMed]
- Choufani, G.; Roper, N.; Delbrouck, C.; Hassid, S.; Gabius, H.-J. Animal model for cholesteatoma induced in the gerbil: Will the profiles of differentiation/growth-regulatory markers be similar to the clinical situation? Laryngoscope 2007, 117, 706–711. [Google Scholar] [CrossRef] [PubMed]
- Ludwig, N.; Razzo, B.M.; Yerneni, S.S.; Whiteside, T.L. Optimization of cell culture conditions for exosome isolation using mini-size exclusion chromatography (mini-SEC). Exp. Cell Res. 2019, 378, 149–157. [Google Scholar] [CrossRef] [PubMed]
- Głuszko, A.; Szczepański, M.J.; Whiteside, T.L.; Reichert, T.E.; Siewiera, J.; Ludwig, N. Small Extracellular Vesicles from Head and Neck Squamous Cell Carcinoma Cells Carry a Proteomic Signature for Tumor Hypoxia. Cancers 2021, 13, 4176. [Google Scholar] [CrossRef]
- Ludwig, N.; Hong, C.S.; Ludwig, S.; Azambuja, J.H.; Sharma, P.; Theodoraki, M.N.; Whiteside, T.L. Isolation and Analysis of Tumor-Derived Exosomes. Curr. Protoc. Immunol. 2019, 127, e91. [Google Scholar] [CrossRef] [PubMed]
- Szczepanski, M.J.; DeLeo, A.B.; Łuczak, M.; Molinska-Glura, M.; Misiak, J.; Szarzynska, B.; Dworacki, G.; Zagor, M.; Rozwadowska, N.; Kurpisz, M.; et al. PRAME expression in head and neck cancer correlates with markers of poor prognosis and might help in selecting candidates for retinoid chemoprevention in pre-malignant lesions. Oral Oncol. 2013, 49, 144–151. [Google Scholar] [CrossRef]
- Pi, J.; Leung, L.; Xue, P.; Wang, W.; Hou, Y.; Liu, D.; Yehuda-Shnaidman, E.; Lee, C.; Lau, J.; Kurtz, T.W.; et al. Deficiency in the nuclear factor E2-related factor-2 transcription factor results in impaired adipogenesis and protects against diet-induced obesity. J. Biol. Chem. 2010, 285, 9292–9300. [Google Scholar] [CrossRef]
- Pusch, E.; Krążek, M.; Wojciechowicz, T.; Sassek, M.; Kołodziejski, P.A.; Strowski, M.Z.; Nowak, K.W.; Skrzypski, M. GIP_HUMAN [22–51] Peptide Encoded by the Glucose-Dependent Insulinotropic Polypeptide (GIP) Gene Suppresses Insulin Expression and Secretion in INS-1E Cells and Rat Pancreatic Islets. Genes 2023, 14, 1910. [Google Scholar] [CrossRef]
- Yang, C.-S.; Lai, Y.-Y.; Tsai, C.-C. Investigating the Effectiveness of Exopolysaccharide-Producing Lactic Acid Bacteria in Biosorbing Lead (II), Attaching to Caco-2 Cells, and Provoking Antiinflammatory Responses. J. Food Prot. 2023, 86, 100106. [Google Scholar] [CrossRef]
- Taziki, M.H.; Azarhoush, R.; Taziki, M.M.; Naghavi-Alhosseini, M.; Javid, N.; Davoodi, H. Correlation Between HMGB1 and TLR4 Expression in Sinonasal Mucosa in Patients with Chronic Rhinosinusitis. Ear Nose Throat J. 2019, 98, 599–605. [Google Scholar] [CrossRef] [PubMed]
- Pietrowska, M.; Zebrowska, A.; Gawin, M.; Marczak, L.; Sharma, P.; Mondal, S.; Mika, J.; Polańska, J.; Ferrone, S.; Kirkwood, J.M.; et al. Proteomic profile of melanoma cell-derived small extracellular vesicles in patients’ plasma: A potential correlate of melanoma progression. J. Extracell. Vesicles 2021, 10, e12063. [Google Scholar] [CrossRef]
- Jiao, Y.; Li, W.; Wang, W.; Tong, X.; Xia, R.; Fan, J.; Du, J.; Zhang, C.; Shi, X. Platelet-derived exosomes promote neutrophil extracellular trap formation during septic shock. Crit. Care 2020, 24, 380. [Google Scholar] [CrossRef] [PubMed]
- Zhang, X.; Shi, H.; Yuan, X.; Jiang, P.; Qian, H.; Xu, W. Tumor-derived exosomes induce N2 polarization of neutrophils to promote gastric cancer cell migration. Mol. Cancer 2018, 17, 146. [Google Scholar] [CrossRef] [PubMed]
- Hu, Q.; Lyon, C.J.; Fletcher, J.K.; Tang, W.; Wan, M.; Hu, T.Y. Extracellular vesicle activities regulating macrophage- and tissue-mediated injury and repair responses. Acta Pharm. Sin. B 2021, 11, 1493–1512. [Google Scholar] [CrossRef] [PubMed]
- Yang, H.; Ochani, M.; Li, J.; Qiang, X.; Tanovic, M.; Harris, H.E.; Susarla, S.M.; Ulloa, L.; Wang, H.; DiRaimo, R.; et al. Reversing established sepsis with antagonists of endogenous high-mobility group box 1. Proc. Natl. Acad. Sci. USA 2004, 101, 296–301. [Google Scholar] [CrossRef]
- Gao, W.; He, R.; Ren, J.; Zhang, W.; Wang, K.; Zhu, L.; Liang, T. Exosomal HMGB1 derived from hypoxia-conditioned bone marrow mesenchymal stem cells increases angiogenesis via the JNK/HIF-1α pathway. FEBS Open Bio 2021, 11, 1364–1373. [Google Scholar] [CrossRef]
- Ladrech, S.; Mathieu, M.; Puel, J.L.; Lenoir, M. Supporting cells regulate the remodelling of aminoglycoside-injured organ of Corti, through the release of high mobility group box 1. Eur. J. Neurosci. 2013, 38, 2962–2972. [Google Scholar] [CrossRef]
- Ladrech, S.; Wang, J.; Mathieu, M.; Puel, J.-L.; Lenoir, M. High mobility group box 1 (HMGB1): Dual functions in the cochlear auditory neurons in response to stress? Histochem. Cell Biol. 2017, 147, 307–316. [Google Scholar] [CrossRef]
- Shih, C.-P.; Chen, H.-C.; Lin, Y.-C.; Chen, H.-K.; Wang, H.; Kuo, C.-Y.; Lin, Y.-Y.; Wang, C.-H. Middle-ear dexamethasone delivery via ultrasound microbubbles attenuates noise-induced hearing loss. Laryngoscope 2019, 129, 1907–1914. [Google Scholar] [CrossRef]
- Xiao, L.; Sun, Y.; Liu, C.; Zheng, Z.; Shen, Y.; Xia, L.; Yang, G.; Feng, Y. Molecular Behavior of HMGB1 in the Cochlea Following Noise Exposure and in vitro. Front. Cell Dev. Biol. 2021, 9, 642946. [Google Scholar] [CrossRef] [PubMed]
- Shih, C.-P.; Kuo, C.-Y.; Lin, Y.-Y.; Lin, Y.-C.; Chen, H.-K.; Wang, H.; Chen, H.-C.; Wang, C.-H. Inhibition of Cochlear HMGB1 Expression Attenuates Oxidative Stress and Inflammation in an Experimental Murine Model of Noise-Induced Hearing Loss. Cells 2021, 10, 810. [Google Scholar] [CrossRef] [PubMed]
- Xiao, L.; Zhang, Z.; Liu, J.; Zheng, Z.; Xiong, Y.; Li, C.; Feng, Y.; Yin, S. HMGB1 accumulation in cytoplasm mediates noise-induced cochlear damage. Cell Tissue Res. 2023, 391, 43–54. [Google Scholar] [CrossRef] [PubMed]
- Chi, Z.; Wang, Z.; Liang, Q.; Zhu, Y.; Du, Q. Induction of cytokine production in cholesteatoma keratinocytes by extracellular high-mobility group box chromosomal protein 1 combined with DNA released by apoptotic cholesteatoma keratinocytes. Mol. Cell Biochem. 2015, 400, 189–200. [Google Scholar] [CrossRef] [PubMed]
- Xie, S.; Xiang, Y.; Wang, X.; Ren, H.; Yin, T.; Ren, J.; Liu, W. Acquired cholesteatoma epithelial hyperproliferation: Roles of cell proliferation signal pathways. Laryngoscope 2016, 126, 1923–1930. [Google Scholar] [CrossRef] [PubMed]
- Wu, Y.; Tang, X.; Shao, W.; Lu, Y. Effect of CT manifestations of cholesteatoma on MMP-2, MMP-9 and IL-6 in the serum of patients. Exp. Ther. Med. 2019, 17, 4441–4446. [Google Scholar] [CrossRef] [PubMed]
- Kuczkowski, J.; Brzoznowski, W.; Nowicki, T. Bone Damage in Chronic Otitis Media. Ear Nose Throat J. 2022, 101, 428–429. [Google Scholar] [CrossRef]






Disclaimer/Publisher’s Note: The statements, opinions and data contained in all publications are solely those of the individual author(s) and contributor(s) and not of MDPI and/or the editor(s). MDPI and/or the editor(s) disclaim responsibility for any injury to people or property resulting from any ideas, methods, instructions or products referred to in the content. |
© 2023 by the authors. Licensee MDPI, Basel, Switzerland. This article is an open access article distributed under the terms and conditions of the Creative Commons Attribution (CC BY) license (https://creativecommons.org/licenses/by/4.0/).
Share and Cite
Łuczak, M.W.; Dżaman, K.; Zaręba, Ł.; Czerwaty, K.; Siewiera, J.; Głuszko, A.; Olszewska, E.; Brzost, J.; Kantor, I.; Szczepański, M.J.; et al. HMGB1 Carried by Small Extracellular Vesicles Potentially Plays a Role in Promoting Acquired Middle Ear Cholesteatoma. Diagnostics 2023, 13, 3469. https://doi.org/10.3390/diagnostics13223469
Łuczak MW, Dżaman K, Zaręba Ł, Czerwaty K, Siewiera J, Głuszko A, Olszewska E, Brzost J, Kantor I, Szczepański MJ, et al. HMGB1 Carried by Small Extracellular Vesicles Potentially Plays a Role in Promoting Acquired Middle Ear Cholesteatoma. Diagnostics. 2023; 13(22):3469. https://doi.org/10.3390/diagnostics13223469
Chicago/Turabian StyleŁuczak, Michał W., Karolina Dżaman, Łukasz Zaręba, Katarzyna Czerwaty, Jacek Siewiera, Alicja Głuszko, Ewa Olszewska, Jacek Brzost, Ireneusz Kantor, Mirosław J. Szczepański, and et al. 2023. "HMGB1 Carried by Small Extracellular Vesicles Potentially Plays a Role in Promoting Acquired Middle Ear Cholesteatoma" Diagnostics 13, no. 22: 3469. https://doi.org/10.3390/diagnostics13223469
APA StyleŁuczak, M. W., Dżaman, K., Zaręba, Ł., Czerwaty, K., Siewiera, J., Głuszko, A., Olszewska, E., Brzost, J., Kantor, I., Szczepański, M. J., & Ludwig, N. (2023). HMGB1 Carried by Small Extracellular Vesicles Potentially Plays a Role in Promoting Acquired Middle Ear Cholesteatoma. Diagnostics, 13(22), 3469. https://doi.org/10.3390/diagnostics13223469

