Role of Computed Tomography before Transcatheter Pulmonary Valve Implantation in Patients with Dysfunctional Native Right Ventricular Outflow Tract
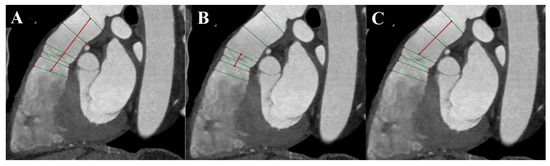
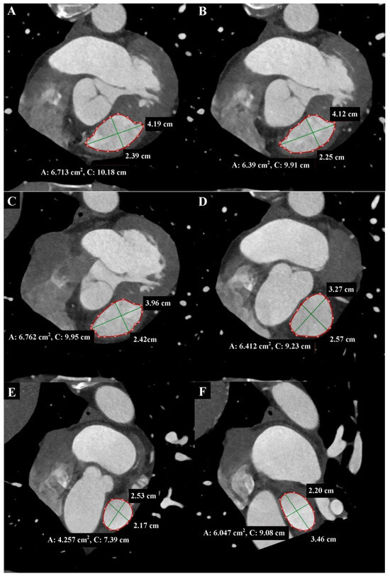
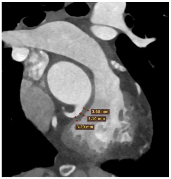
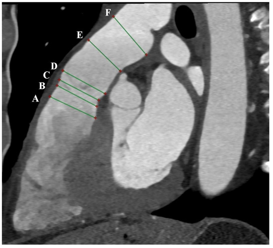
Abstract
:Author Contributions
Funding
Institutional Review Board Statement
Informed Consent Statement
Data Availability Statement
Conflicts of Interest
References
- Vahanian, A.; Beyersdorf, F.; Praz, F.; Milojevic, M.; Baldus, S.; Bauersachs, J.; Capodanno, D.; Conradi, L.; De Bonis, M.; De Paulis, R.; et al. 2021 ESC/EACTS Guidelines for the management of valvular heart disease. Eur. Heart J. 2022, 43, 561–632, Erratum in Eur. Heart J. 2022, 43, 2022. [Google Scholar] [CrossRef] [PubMed]
- Constantine, A.; Dimopoulos, K.; Heng, E.L.; Kempny, A. Transcatheter pulmonary valve implantation: An option for the few becoming an option for the many. Int. J. Cardiol. 2023, 373, 44–46. [Google Scholar] [CrossRef] [PubMed]
- Chatterjee, A.; Bajaj, N.S.; McMahon, W.S.; Cribbs, M.G.; White, J.S.; Mukherjee, A.; Law, M.A. Transcatheter Pulmonary Valve Implantation: A Comprehensive Systematic Review and Meta-Analyses of Observational Studies. J. Am. Heart Assoc. 2017, 6, e006432. [Google Scholar] [CrossRef] [PubMed]
- Curran, L.; Agrawal, H.; Kallianos, K.; Kheiwa, A.; Lin, S.; Ordovas, K.; Mahadevan, V.S. Computed tomography guided sizing for transcatheter pulmonary valve replacement. Int. J. Cardiol. Heart Vasc. 2020, 29, 100523, Erratum in Int. J. Cardiol. Heart Vasc. 2020, 31, 100676. [Google Scholar] [CrossRef] [PubMed]
- Sivaprakasam, M.C.; Reddy, J.R.V.; Ganesan, R.; Sridhar, A.; Solomon, N.; Moosa, M.J.; Lakhani, Z.S.; Gunasekaran, S. Choosing an appropriate size valve for transcatheter pulmonary valve implantation in a native right ventricle outflow tract. Ann. Pediatr. Cardiol. 2022, 15, 154–159. [Google Scholar] [CrossRef] [PubMed]
- Sun, X.; Hao, Y.; Kiekenap, J.F.S.; Emeis, J.; Steitz, M.; Breitenstein-Attach, A.; Berger, F.; Schmitt, B. Four-Dimensional Computed Tomography-Guided Valve Sizing for Transcatheter Pulmonary Valve Replacement. J. Vis. Exp. 2022, 179, e63367. [Google Scholar] [CrossRef]






Disclaimer/Publisher’s Note: The statements, opinions and data contained in all publications are solely those of the individual author(s) and contributor(s) and not of MDPI and/or the editor(s). MDPI and/or the editor(s) disclaim responsibility for any injury to people or property resulting from any ideas, methods, instructions or products referred to in the content. |
© 2023 by the authors. Licensee MDPI, Basel, Switzerland. This article is an open access article distributed under the terms and conditions of the Creative Commons Attribution (CC BY) license (https://creativecommons.org/licenses/by/4.0/).
Share and Cite
Gać, P.; Trejtowicz-Sutor, A.; Witkowski, K.; Poręba, R. Role of Computed Tomography before Transcatheter Pulmonary Valve Implantation in Patients with Dysfunctional Native Right Ventricular Outflow Tract. Diagnostics 2023, 13, 3231. https://doi.org/10.3390/diagnostics13203231
Gać P, Trejtowicz-Sutor A, Witkowski K, Poręba R. Role of Computed Tomography before Transcatheter Pulmonary Valve Implantation in Patients with Dysfunctional Native Right Ventricular Outflow Tract. Diagnostics. 2023; 13(20):3231. https://doi.org/10.3390/diagnostics13203231
Chicago/Turabian StyleGać, Paweł, Agnieszka Trejtowicz-Sutor, Konrad Witkowski, and Rafał Poręba. 2023. "Role of Computed Tomography before Transcatheter Pulmonary Valve Implantation in Patients with Dysfunctional Native Right Ventricular Outflow Tract" Diagnostics 13, no. 20: 3231. https://doi.org/10.3390/diagnostics13203231
APA StyleGać, P., Trejtowicz-Sutor, A., Witkowski, K., & Poręba, R. (2023). Role of Computed Tomography before Transcatheter Pulmonary Valve Implantation in Patients with Dysfunctional Native Right Ventricular Outflow Tract. Diagnostics, 13(20), 3231. https://doi.org/10.3390/diagnostics13203231

