Deep Infiltrating Endometriosis: Diagnostic Accuracy of Preoperative Magnetic Resonance Imaging with Respect to Morphological Criteria
Abstract
1. Introduction
2. Materials and Methods
2.1. Characteristics of the Patients
2.2. Research Methods
2.3. Methods for Statistical Analysis
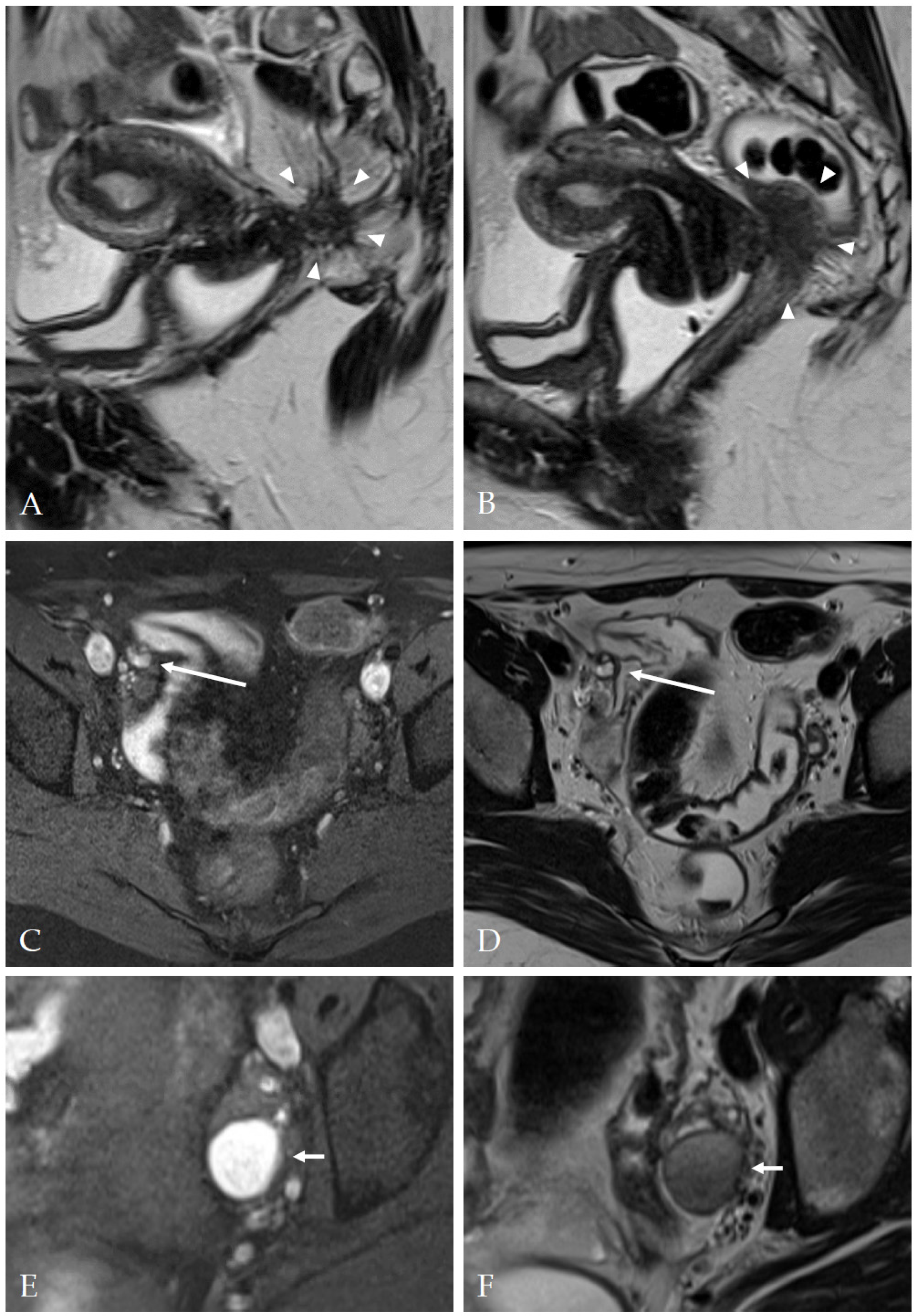
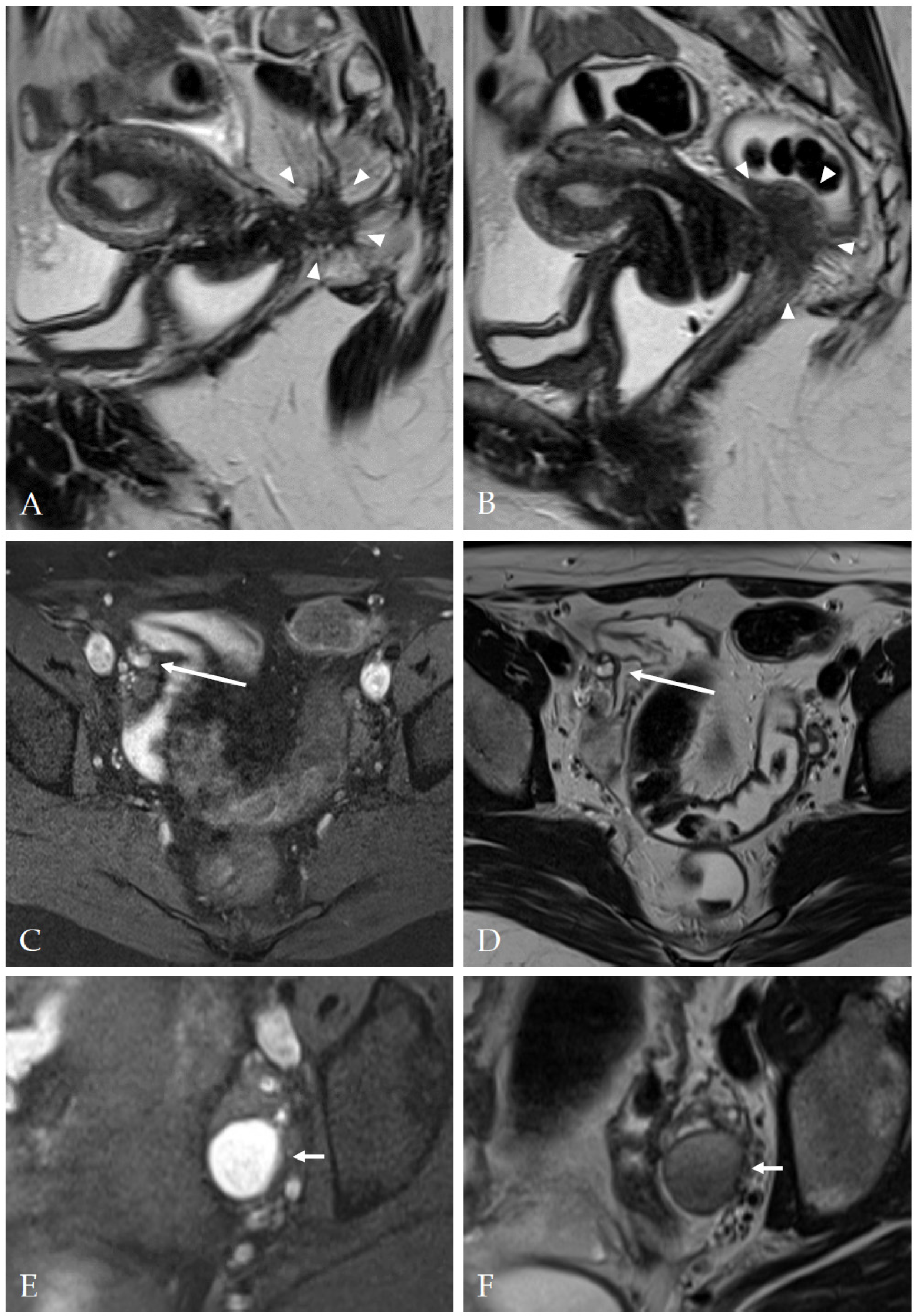
3. Results
3.1. Performance of MRI for Diagnosis of DIE
3.2. Performance of MRI for Diagnosis of Endometriomas
3.3. Influence of Deep Infiltrating Endometriosis Morphology Score
3.4. Interobserver Test
4. Discussion
4.1. Strengths and Limitations
4.2. Deep Endometriosis Morphology Score (DEMS)
4.3. Enzian A, B, C: Previous Studies
4.4. Enzian FB, FU, FI, FO: Predictive Value of MRI
4.5. Endometriomas: Predictive Value of MRI
5. Conclusions
Author Contributions
Funding
Institutional Review Board Statement
Informed Consent Statement
Data Availability Statement
Conflicts of Interest
References
- Tomassetti, C.; Johnson, N.P.; Petrozza, J.; Abrao, M.S.; Einarsson, J.I.; Horne, A.W.; Lee, T.T.M.; Missmer, S.; Vermeulen, N.; Zondervan, K.T.; et al. An international terminology for endometriosis, 2021. Hum. Reprod. Open 2021, 2021, hoab029. [Google Scholar] [CrossRef] [PubMed]
- Smolarz, B.; Szyłło, K.; Romanowicz, H. Endometriosis: Epidemiology, Classification, Pathogenesis, Treatment and Genetics (Review of Literature). Int. J. Mol. Sci. 2021, 22, 554. [Google Scholar] [CrossRef] [PubMed]
- D’Alterio, M.N.; D’Ancona, G.; Raslan, M.; Tinelli, R.; Daniilidis, A.; Angioni, S. Management Challenges of Deep Infiltrating Endometriosis. Int. J. Fertil. Steril. 2021, 15, 88–94. [Google Scholar] [CrossRef] [PubMed]
- Becker, C.M.; Bokor, A.; Heikinheimo, O.; Horne, A.; Jansen, F.; Kiesel, L.; King, K.; Kvaskoff, M.; Nap, A.; Petersen, K.; et al. ESHRE guideline: Endometriosis. Hum. Reprod. Open 2022, 2022, hoac009. [Google Scholar] [CrossRef] [PubMed]
- Keckstein, J.; Hoopmann, M.; Merz, E.; Grab, D.; Weichert, J.; Helmy-Bader, S.; Wölfler, M.; Bajka, M.; Mechsner, S.; Schäfer, S.; et al. Expert opinion on the use of transvaginal sonography for presurgical staging and classification of endometriosis. Arch. Gynecol. Obstet. 2023, 307, 5–19. [Google Scholar] [CrossRef]
- Burghaus, S.; Schäfer, S.D.; Beckmann, M.W.; Brandes, I.; Brünahl, C.; Chvatal, R.; Drahoňovský, J.; Dudek, W.; Ebert, A.D.; Fahlbusch, C.; et al. Diagnosis and Treatment of Endometriosis. Guideline of the DGGG, SGGG and OEGGG (S2k Level, AWMF Registry Number 015/045, August 2020). Geburtshilfe Frauenheilkd. 2021, 81, 422–446. [Google Scholar] [CrossRef]
- Kuznetsov, L.; Dworzynski, K.; Davies, M.; Overton, C. Diagnosis and management of endometriosis: Summary of NICE guidance. BMJ 2017, 358, j3935. [Google Scholar] [CrossRef]
- Nisenblat, V.; Bossuyt, P.M.M.; Farquhar, C.; Johnson, N.; Hull, M.L. Imaging modalities for the non-invasive diagnosis of endometriosis. Cochrane Database Syst. Rev. 2016, 2, CD009591. [Google Scholar] [CrossRef]
- Johnson, N.P.; Hummelshoj, L.; Adamson, G.D.; Keckstein, J.; Taylor, H.S.; Abrao, M.S.; Bush, D.; Kiesel, L.; Tamimi, R.; Sharpe-Timms, K.L.; et al. World Endometriosis Society consensus on the classification of endometriosis. Hum. Reprod. 2017, 32, 315–324. [Google Scholar] [CrossRef]
- Lorusso, F.; Scioscia, M.; Rubini, D.; Stabile Ianora, A.A.; Scardigno, D.; Leuci, C.; Ceglie, M.d.; Sardaro, A.; Lucarelli, N.; Scardapane, A. Magnetic resonance imaging for deep infiltrating endometriosis: Current concepts, imaging technique and key findings. Insights Imaging 2021, 12, 105. [Google Scholar] [CrossRef]
- Bazot, M.; Bharwani, N.; Huchon, C.; Kinkel, K.; Cunha, T.M.; Guerra, A.; Manganaro, L.; Buñesch, L.; Kido, A.; Togashi, K.; et al. European society of urogenital radiology (ESUR) guidelines: MR imaging of pelvic endometriosis. Eur. Radiol. 2017, 27, 2765–2775. [Google Scholar] [CrossRef] [PubMed]
- Collinet, P.; Fritel, X.; Revel-Delhom, C.; Ballester, M.; Bolze, P.A.; Borghese, B.; Bornsztein, N.; Boujenah, J.; Brillac, T.; Chabbert-Buffet, N.; et al. Management of endometriosis: CNGOF/HAS clinical practice guidelines—Short version. J. Gynecol. Obstet. Hum. Reprod. 2018, 47, 265–274. [Google Scholar] [CrossRef]
- Schneider, C.; Oehmke, F.; Tinneberg, H.-R.; Krombach, G.A. MRI technique for the preoperative evaluation of deep infiltrating endometriosis: Current status and protocol recommendation. Clin. Radiol. 2016, 71, 179–194. [Google Scholar] [CrossRef] [PubMed]
- Tong, A.; VanBuren, W.M.; Chamié, L.; Feldman, M.; Hindman, N.; Huang, C.; Jha, P.; Kilcoyne, A.; Laifer-Narin, S.; Nicola, R.; et al. Recommendations for MRI technique in the evaluation of pelvic endometriosis: Consensus statement from the Society of Abdominal Radiology endometriosis disease-focused panel. Abdom. Radiol. 2020, 45, 1569–1586. [Google Scholar] [CrossRef] [PubMed]
- Keckstein, J.; Saridogan, E.; Ulrich, U.A.; Sillem, M.; Oppelt, P.; Schweppe, K.W.; Krentel, H.; Janschek, E.; Exacoustos, C.; Malzoni, M.; et al. The #Enzian classification: A comprehensive non-invasive and surgical description system for endometriosis. Acta Obstet. Gynecol. Scand. 2021, 100, 1165–1175. [Google Scholar] [CrossRef] [PubMed]
- Togashi, K.; Nishimura, K.; Kimura, I.; Tsuda, Y.; Yamashita, K.; Shibata, T.; Nakano, Y.; Konishi, J.; Konishi, I.; Mori, T. Endometrial cysts: Diagnosis with MR imaging. Radiology 1991, 180, 73–78. [Google Scholar] [CrossRef] [PubMed]
- Giudice, L.C.; Kao, L.C. Endometriosis. Lancet 2004, 364, 1789–1799. [Google Scholar] [CrossRef]
- Enzelsberger, S.-H.; Oppelt, P.; Nirgianakis, K.; Seeber, B.; Drahoňovský, J.; Wanderer, L.; Krämer, B.; Grübling, K.N.; Kundu, S.; Salehin, D.; et al. Preoperative application of the Enzian classification for endometriosis (The cEnzian Study): A prospective international multicenter study. BJOG 2022, 129, 2052–2061. [Google Scholar] [CrossRef]
- Akoglu, H. User’s guide to sample size estimation in diagnostic accuracy studies. Turk. J. Emerg. Med. 2022, 22, 177–185. [Google Scholar] [CrossRef]
- Hajian-Tilaki, K. Sample size estimation in diagnostic test studies of biomedical informatics. J. Biomed. Inform. 2014, 48, 193–204. [Google Scholar] [CrossRef]
- Trajman, A.; Luiz, R.R. McNemar chi2 test revisited: Comparing sensitivity and specificity of diagnostic examinations. Scand. J. Clin. Lab. Investig. 2008, 68, 77–80. [Google Scholar] [CrossRef] [PubMed]
- Newcombe, R.G. Simultaneous comparison of sensitivity and specificity of two tests in the paired design: A straightforward graphical approach. Stat. Med. 2001, 20, 907–915. [Google Scholar] [CrossRef] [PubMed]
- Landis, J.R.; Koch, G.G. The measurement of observer agreement for categorical data. Biometrics 1977, 33, 159–174. [Google Scholar] [CrossRef] [PubMed]
- Goncalves, M.O.; Siufi Neto, J.; Andres, M.P.; Siufi, D.; Mattos, L.A.d.; Abrao, M.S. Systematic evaluation of endometriosis by transvaginal ultrasound can accurately replace diagnostic laparoscopy, mainly for deep and ovarian endometriosis. Hum. Reprod. 2021, 36, 1492–1500. [Google Scholar] [CrossRef] [PubMed]
- Bazot, M.; Daraï, E.; Benagiano, G.P.; Reinhold, C.; Favier, A.; Roman, H.; Donnez, J.; Bendifallah, S. ENDO_STAGE Magnetic Resonance Imaging: Classification to Screen Endometriosis. J. Clin. Med. 2022, 11, 2443. [Google Scholar] [CrossRef] [PubMed]
- Burla, L.; Scheiner, D.; Samartzis, E.P.; Seidel, S.; Eberhard, M.; Fink, D.; Boss, A.; Imesch, P. The ENZIAN score as a preoperative MRI-based classification instrument for deep infiltrating endometriosis. Arch. Gynecol. Obstet. 2019, 300, 109–116. [Google Scholar] [CrossRef]
- Thomassin-Naggara, I.; Lamrabet, S.; Crestani, A.; Bekhouche, A.; Wahab, C.A.; Kermarrec, E.; Touboul, C.; Daraï, E. Magnetic resonance imaging classification of deep pelvic endometriosis: Description and impact on surgical management. Hum. Reprod. 2020, 35, 1589–1600. [Google Scholar] [CrossRef]
- Di Paola, V.; Manfredi, R.; Castelli, F.; Negrelli, R.; Mehrabi, S.; Pozzi Mucelli, R. Detection and localization of deep endometriosis by means of MRI and correlation with the ENZIAN score. Eur. J. Radiol. 2015, 84, 568–574. [Google Scholar] [CrossRef]
- Hernández Gutiérrez, A.; Spagnolo, E.; Hidalgo, P.; López, A.; Zapardiel, I.; Rodriguez, R. Magnetic resonance imaging versus transvaginal ultrasound for complete survey of the pelvic compartments among patients with deep infiltrating endometriosis. Int. J. Gynaecol. Obstet. 2019, 146, 380–385. [Google Scholar] [CrossRef]
- Burla, L.; Scheiner, D.; Hötker, A.M.; Meier, A.; Fink, D.; Boss, A.; Imesch, P. Structured manual for MRI assessment of deep infiltrating endometriosis using the ENZIAN classification. Arch. Gynecol. Obstet. 2021, 303, 751–757. [Google Scholar] [CrossRef]
- Manganaro, L.; Celli, V.; Dolciami, M.; Ninkova, R.; Ercolani, G.; Ciulla, S.; de Vito, C.; Rizzo, S.M.; Porpora, M.G.; Catalano, C. Can New ENZIAN Score 2020 Represent a Staging System Improving MRI Structured Report? Int. J. Environ. Res. Public Health 2021, 18, 9949. [Google Scholar] [CrossRef] [PubMed]




| Characteristic | N/Total (%, Unless Shown Otherwise) |
|---|---|
| Age (years) mean ± SD, range | 33.0 ± 7.2, 19–55 |
| Time interval from MRI to surgery (days) Mean ± SD, range | 75 ± 66, 1–337 |
| Prior abdominal surgery | 85/160 (53) |
| Prior caesarean section | 20/160 (13) |
| Clinical symptoms | |
| Chronic pelvic pain | 138/160 (86) |
| Dysmenorrhea | 87/160 (54) |
| Dyspareunia | 47/160 (29) |
| Infertility | 38/160 (24) |
| Constipation/diarrhoea | 11/160 (7) |
| Dyschezia | 28/160 (18) |
| Dysuria | 20/160 (13) |
| Abnormal uterine bleeding | 19/160 (12) |
| Type of surgery | |
| Hysterectomy | 29/160 (18) |
| Partial colpectomy | 9/160 (6) |
| Discoid resection | 2/160 (1) |
| Rectal shaving | 12/160 (8) |
| Colorectal resection | 10/160 (6) |
| DEMS | MRI | MR+ N/Total (%) | Se. 95% CI (%) | Sp. 95% CI (%) | PPV 95% CI (%) | NPV 95% CI (%) | LR+ 95% CI | LR− 95% CI | Accuracy 95% CI (%) | Cohen’s Kappa (κ) 95% CI | YI |
|---|---|---|---|---|---|---|---|---|---|---|---|
| MR−: 0 MR+: 1–3 | DIE | 70/160 (43.8) | 67.0 (56.2–76.7) | 84.7 (74.3–92.1) | 84.3 (75.3–90.4) | 67.8 (60.6–74.2) | 4.39 (2.50–7.71) | 0.39 (0.28–0.53) | 75.0 (67.6–81.5) | 0.51 (0.38–0.64) | 0.52 |
| A | 40/160 (25.0) | 57.5 (42.2–71.7) | 88.5 (81.1–93.7) | 67.5 (54.1–78.6) | 83.3 (78.1–87.5) | 4.99 (2.83–8.81) | 0.48 (0.34–0.67) | 79.4 (72.3–85.4) | 0.48 (0.33–0.63) | 0.46 | |
| B | 63/160 (39.4) | 61.3 (49.7–71.9) | 82.5 (72.4–90.1) | 77.8 (67.8–85.3) | 68.0 (61.4–74.1) | 3.50 (2.11–5.81) | 0.47 (0.35–0.63) | 71.9 (64.2–78.7) | 0.44 (0.30–0.57) | 0.44 | |
| C | 26/160 (16.3) | 82.1 (63.1–93.9) | 97.7 (93.5–99.5) | 88.5 (71.2–96.0) | 96.3 (92.1–98.3) | 36.14 (11.65–112.10) | 0.18 (0.08–0.40) | 95.0 (90.4–97.8) | 0.82 (0.70–0.94) | 0.80 | |
| MR−: 0–1 MR+: 2–3 | DIE | 56/160 (35.0) | 59.1 (48.1–69.5) | 94.4 (86.4–98.5) | 92.9 (83.2–97.2) | 65.4 (59.4–71.0) | 10.64 (4.04–28.01) | 0.43 (0.33–0.56) | 75.0 (67.6–81.5) | 0.52 (0.40–0.63) | 0.54 |
| A | 34/160 (21.3) | 57.5 (42.2–71.7) | 93.8 (87.7–97.5) | 79.4 (64.4–89.2) | 84.1 (79.1–88.1) | 9.27 (4.34–19.80) | 0.45 (0.33–0.63) | 83.1 (76.4–88.6) | 0.56 (0.41–0.70) | 0.51 | |
| B | 53/160 (33.1) | 55.0 (43.5–66.2) | 88.8 (79.7–94.7) | 83.0 (71.9–90.3) | 66.4 (60.5–71.8) | 4.89 (2.56–9.33) | 0.51 (0.39–0.65) | 71.9 (64.2–78.7) | 0.44 (0.31–0.57) | 0.44 | |
| C | 25/160 (15.6) | 82.1 (63.1–93.9) | 98.5 (94.6–99.8) | 92.0 (74.2–97.9) | 96.3 (92.1–98.3) | 54.21 (13.55–216.83) | 0.18 (0.08–0.40) | 95.6 (91.2–98.2) | 0.84 (0.73–0.96) | 0.81 | |
| MR−: 0–2 MR+: 3 | DIE | 38/160 (23.8) | 43.2 (32.7–54.2) | 100.0 (95.0–100.0) | 100.0 | 59.0 (54.6–63.3) | - | 0.57 (0.47–0.68) | 68.8 (61.0–75.8) | 0.41 (0.30–0.52) | 0.43 |
| A | 30/160 (18.8) | 55.3 (40.1–69.8) | 96.5 (91.2–99.0) | 86.7 (70.6–94.6) | 83.9 (79.0–87.7) | 15.63 (5.77–42.32) | 0.46 (0.34–0.64) | 84.4 (77.8–89.6) | 0.58 (0.44–0.72) | 0.52 | |
| B | 36/160 (22.5) | 40.0 (29.2–51.6) | 95.0 (87.7–98.6) | 88.9 (74.8–95.6) | 61.3 (56.8–65.6) | 8.00 (2.97–21.58) | 0.63 (0.52–0.76) | 67.5 (59.7–74.7) | 0.35 (0.23–0.47) | 0.35 | |
| C | 24/160 (15.0) | 78.6 (59.1–91.7) | 98.5 (94.6–99.8) | 91.7 (73.3–97.8) | 95.6 (91.4–97.8) | 51.86 (12.93–207.98) | 0.22 (0.11–0.44) | 95.0 (90.4–97.8) | 0.82 (0.69–0.94) | 0.77 |
| Surgery | Surgery | Surgery | |||||||||||||
|---|---|---|---|---|---|---|---|---|---|---|---|---|---|---|---|
| DEMS | MRI | A0 | A1 | A2 | A3 | MRI | B0 | B1 | B2 | B3 | MRI | C0 | C1 | C2 | C3 |
| 0 | A0 | 80 | 9 | 1 | 0 | B0 | 62 | 15 | 10 | 3 | C0 | 87 | 3 | 0 | 0 |
| A1 | 0 | 0 | 0 | 0 | B1 | 0 | 0 | 0 | 0 | C1 | 0 | 0 | 0 | 0 | |
| A2 | 0 | 0 | 0 | 0 | B2 | 0 | 0 | 0 | 0 | C2 | 0 | 0 | 0 | 0 | |
| A3 | 0 | 0 | 0 | 0 | B3 | 0 | 0 | 0 | 0 | C3 | 0 | 0 | 0 | 0 | |
| 1 | A0 | 7 | 1 | 0 | 0 | B0 | 2 | 0 | 2 | 0 | C0 | 12 | 1 | 0 | 0 |
| A1 | 6 | 0 | 0 | 0 | B1 | 3 | 0 | 1 | 0 | C1 | 1 | 0 | 0 | 0 | |
| A2 | 0 | 0 | 0 | 0 | B2 | 1 | 0 | 2 | 1 | C2 | 0 | 0 | 0 | 0 | |
| A3 | 0 | 0 | 0 | 0 | B3 | 1 | 0 | 1 | 0 | C3 | 0 | 0 | 0 | 0 | |
| 2 | A0 | 11 | 1 | 1 | 1 | B0 | 1 | 0 | 0 | 0 | C0 | 16 | 1 | 0 | 0 |
| A1 | 2 | 0 | 0 | 0 | B1 | 0 | 2 | 0 | 1 | C1 | 0 | 0 | 1 | 0 | |
| A2 | 1 | 0 | 1 | 0 | B2 | 1 | 1 | 4 | 1 | C2 | 0 | 0 | 0 | 0 | |
| A3 | 0 | 0 | 0 | 0 | B3 | 4 | 2 | 1 | 0 | C3 | 0 | 0 | 0 | 0 | |
| 3 | A0 | 2 | 1 | 3 | 2 | B0 | 1 | 0 | 1 | 0 | C0 | 14 | 0 | 0 | 0 |
| A1 | 0 | 2 | 4 | 1 | B1 | 0 | 0 | 0 | 0 | C1 | 0 | 1 | 0 | 0 | |
| A2 | 4 | 1 | 4 | 8 | B2 | 2 | 0 | 4 | 6 | C2 | 2 | 5 | 1 | 0 | |
| A3 | 0 | 2 | 2 | 2 | B3 | 2 | 0 | 13 | 9 | C3 | 0 | 3 | 2 | 10 | |
| 0–3 | A0 * | 100 | 12 | 5 | 3 | B0 † | 66 | 15 | 13 | 3 | C0 ‡ | 129 | 5 | 0 | 0 |
| A1 * | 8 | 2 | 4 | 1 | B1 † | 3 | 2 | 1 | 1 | C1 ‡ | 1 | 1 | 1 | 0 | |
| A2 * | 5 | 1 | 5 | 8 | B2 † | 4 | 1 | 10 | 8 | C2 ‡ | 2 | 5 | 1 | 0 | |
| A3 * | 0 | 2 | 2 | 2 | B3 † | 7 | 2 | 15 | 9 | C3 ‡ | 0 | 3 | 2 | 10 | |
| Surgery | Surgery | Surgery | Surgery | |||||||||
|---|---|---|---|---|---|---|---|---|---|---|---|---|
| DEMS | MRI | DIE− | DIE+ | MRI | A− | A+ | MRI | B− | B+ | MRI | C− | C+ |
| 0 | DIE− | 61 | 29 | A− | 80 | 10 | B− | 62 | 28 | C− | 87 | 3 |
| DIE+ | 0 | 0 | A+ | 0 | 0 | B+ | 0 | 0 | C+ | 0 | 0 | |
| 1 | DIE− | 0 | 0 | A− | 7 | 1 | B− | 2 | 2 | C− | 12 | 1 |
| DIE+ | 7 | 7 | A+ | 6 | 0 | B+ | 5 | 5 | C+ | 1 | 0 | |
| 2 | DIE− | 0 | 0 | A− | 11 | 3 | B− | 1 | 0 | C− | 16 | 1 |
| DIE+ | 4 | 14 | A+ | 3 | 1 | B+ | 5 | 12 | C+ | 0 | 1 | |
| 3 | DIE− | 0 | 0 | A− | 2 | 6 | B− | 1 | 1 | C− | 14 | 0 |
| DIE+ | 0 | 38 | A+ | 4 | 26 | B+ | 4 | 32 | C+ | 2 | 22 | |
| 0–3 | DIE− * | 61 | 29 | A− † | 100 | 20 | B− ‡ | 66 | 31 | C− § | 129 | 5 |
| DIE+ * | 11 | 59 | A+ † | 13 | 27 | B+ ‡ | 14 | 49 | C+ § | 3 | 23 | |
| Surgery | Surgery | Surgery | Surgery | |||||||||
|---|---|---|---|---|---|---|---|---|---|---|---|---|
| DEMS | MRI | FB0 * | FB1 * | MRI | FU0 † | FU1 † | MRI | FI0 ‡ | FI1 ‡ | MRI | FO0 § | FO1 § |
| 0 | FB0 | 90 | 0 | FU0 | 90 | 0 | FI0 | 90 | 0 | FO0 | 90 | 0 |
| FB1 | 0 | 0 | FU1 | 0 | 0 | FI1 | 0 | 0 | FO1 | 0 | 0 | |
| 1 | FB0 | 12 | 1 | FU0 | 14 | 0 | FI0 | 12 | 0 | FO0 | 13 | 0 |
| FB1 | 1 | 0 | FU1 | 0 | 0 | FI1 | 1 | 1 | FO1 | 0 | 1 | |
| 2 | FB0 | 15 | 0 | FU0 | 18 | 0 | FI0 | 17 | 0 | FO0 | 14 | 2 |
| FB1 | 2 | 1 | FU1 | 0 | 0 | FI1 | 1 | 0 | FO1 | 1 | 1 | |
| 3 | FB0 | 33 | 1 | FU0 | 35 | 0 | FI0 | 28 | 1 | FO0 | 36 | 0 |
| FB1 | 1 | 3 | FU1 | 1 | 2 | FI1 | 2 | 7 | FO1 | 1 | 1 | |
| 0–3 | FB0 | 150 | 2 | FU0 | 157 | 0 | FI0 | 147 | 1 | FO0 | 153 | 2 |
| FB1 | 4 | 4 | FU1 | 1 | 2 | FI1 | 4 | 8 | FO1 | 2 | 3 | |
| Category | DEMS A | DEMS B | Difference in Sensitivity (B-A), 95% CI | p-Value | Difference in Specificity (B–A), 95% CI | p-Value |
|---|---|---|---|---|---|---|
| DIE | 1–3 | 2–3 | −7.95 (−13.97 to −1.88) | 0.016 | 9.72 (2.33 to 18.63) | 0.016 |
| 1–3 | 3 | −23.86 (−32.44 to −14.42) | <0.001 | 15.28 (7.02 to 25.32) | <0.001 | |
| 2–3 | 3 | −15.91 (−23.45 to −7.86) | <0.001 | 5.56 (−0.53 to 13.43) | 0.125 | |
| A | 1–3 | 2–3 | 0.00 (−4.16 to 4.16) | 1.000 | 5.31 (0.69 to 10.96) | 0.031 |
| 1–3 | 3 | −2.13 (−7.83 to 3.62) | 1.000 | 7.96 (2.80 to 14.46) | 0.004 | |
| 2–3 | 3 | −2.13 (−7.83 to 3.62) | 1.000 | 2.65 (−1.33 to 7.59) | 0.250 | |
| B | 1–3 | 2–3 | −6.25 (−11.95 to 0.44) | 0.063 | 6.25 (0.16 to 13.25) | 0.063 |
| 1–3 | 3 | −21.25 (−29.92 to −11.74) | <0.001 | 12.50 (5.00 to 21.41) | 0.002 | |
| 2–3 | 3 | −15.00 (−22.76 to −6.73) | <0.001 | 6.25 (0.16 to 13.77) | 0.063 | |
| C | 1–3 | 2–3 | 0.00 (−10.16 to 10.16) | 1.000 | 0.76 (−2.41 to 4.40) | 1.000 |
| 1–3 | 3 | −3.57 (−15.65 to 7.84) | 1.000 | 0.76 (−2.41 to 4.40) | 1.000 | |
| 2–3 | 3 | −3.57 (−15.65 to 7.84) | 1.000 | 0.00 (−3.11 to 3.11) | 1.000 |
| Category | R1 N | R2 N | Kappa (κ)/Weighted Kappa (κw) |
|---|---|---|---|
| O0–3 | O1: 5, O2: 5, O3: 1 | O1: 3, O2: 3, O3: 2 | κw: 0.88 (95% CI: 0.76–0.99) |
| A0–3 | A1:1, A2: 2, A3: 1 | A1: 1, A2: 3, A3: 0 | κw: 0.57 (95% CI: 0.13–1.00) |
| B0–3 | B1: 3, B2: 3, B3: 0 | B1: 3, B2: 3, B3: 3 | κw: 0.44 (95% CI: 0.11–0.76) |
| C0–3 | C1: 0, C2: 4, C3: 0 | C1: 0, C2: 3, C3: 1 | κw: 0.89 (95% CI: 0.75–1.00) |
| DEMS | 1: 3, 2: 3, 3: 5 | I: 3, 2: 3, 3: 4 | κw: 0.75 (95% CI: 0.52–0.98) |
| FB | 2 | 1 | κ: 0.64 (95% CI: 0.19–1.00) |
| FU | 1 | 0 | - |
| FI | 2 | 3 | κ: 0.77 (95% CI: 0.35–1.00) |
| FO | 2 | 1 | κ: 0.64 (95% CI: 0.01–1.00) |
Disclaimer/Publisher’s Note: The statements, opinions and data contained in all publications are solely those of the individual author(s) and contributor(s) and not of MDPI and/or the editor(s). MDPI and/or the editor(s) disclaim responsibility for any injury to people or property resulting from any ideas, methods, instructions or products referred to in the content. |
© 2023 by the authors. Licensee MDPI, Basel, Switzerland. This article is an open access article distributed under the terms and conditions of the Creative Commons Attribution (CC BY) license (https://creativecommons.org/licenses/by/4.0/).
Share and Cite
Harth, S.; Roller, F.C.; Zeppernick, F.; Meinhold-Heerlein, I.; Krombach, G.A. Deep Infiltrating Endometriosis: Diagnostic Accuracy of Preoperative Magnetic Resonance Imaging with Respect to Morphological Criteria. Diagnostics 2023, 13, 1794. https://doi.org/10.3390/diagnostics13101794
Harth S, Roller FC, Zeppernick F, Meinhold-Heerlein I, Krombach GA. Deep Infiltrating Endometriosis: Diagnostic Accuracy of Preoperative Magnetic Resonance Imaging with Respect to Morphological Criteria. Diagnostics. 2023; 13(10):1794. https://doi.org/10.3390/diagnostics13101794
Chicago/Turabian StyleHarth, Sebastian, Fritz C. Roller, Felix Zeppernick, Ivo Meinhold-Heerlein, and Gabriele A. Krombach. 2023. "Deep Infiltrating Endometriosis: Diagnostic Accuracy of Preoperative Magnetic Resonance Imaging with Respect to Morphological Criteria" Diagnostics 13, no. 10: 1794. https://doi.org/10.3390/diagnostics13101794
APA StyleHarth, S., Roller, F. C., Zeppernick, F., Meinhold-Heerlein, I., & Krombach, G. A. (2023). Deep Infiltrating Endometriosis: Diagnostic Accuracy of Preoperative Magnetic Resonance Imaging with Respect to Morphological Criteria. Diagnostics, 13(10), 1794. https://doi.org/10.3390/diagnostics13101794

